medigraphic.com
ENGLISH

Revista Mexicana de Periodontología

ISSN 2007-4360 (Impreso)
Asociación Mexicana de Periodontología, Colegio de Periodoncistas A.C
  • Mostrar índice
  • Números disponibles
  • Información
    • Información general        
    • Directorio
  • Publicar
    • Instrucciones para autores        
  • medigraphic.com
    • Inicio
    • Índice de revistas            
    • Registro / Acceso
  • Mi perfil

2020, Número 1-3

<< Anterior

Rev Mex Periodontol 2020; 11 (1-3)


Enucleación de quiste periapical y colocación de implante dental en sector anterior: Reporte de caso clínico

Umanzor Bonilla, Vilma Alejandra1; Romero Alvarenga, Hugo Humberto2; Sabillón Ellner, Karen Elizabeth3; Kafati Ávila, Zamir Arturo4; Gabrie Elvir, Mario Enrique5
Texto completo Cómo citar este artículo 10.35366/102643

DOI

DOI: 10.35366/102643
URL: https://dx.doi.org/10.35366/102643
Artículos similares

Idioma: Español
Referencias bibliográficas: 10
Paginas: 22-27
Archivo PDF: 353.75 Kb.


PALABRAS CLAVE

Implante dental, quiste periapical, guía quirúrgica, planeación digital.

RESUMEN

La colocación de un implante dental unitario es uno de los retos más desafiantes que tiene el odontólogo en el momento quirúrgico, ya que él mismo debe imitar la naturaleza de los demás dientes, debido a que la función y estética son su principal objetivo, pero para poder cumplir con dichos requisitos es necesario realizar un plan de tratamiento adecuado respaldado por exámenes radiográficos y clínicos y tener en cuenta que no sólo es necesario evaluar los tejidos en la zona donde se colocará el implante, sino también los tejidos que rodean los dientes adyacentes para evitar futuras complicaciones y asegurar el éxito del tratamiento a largo plazo. En la actualidad, los nuevos avances tecnológicos facilitan la detección de patologías o alteraciones óseas que puedan afectar la colocación o la oseointegración de los implantes dentales, creando una oportunidad para realizar un diagnóstico y plan de tratamiento más certero y así poder corregir a tiempo cualquier alteración que favorezca el fracaso del tratamiento. En este caso se presenta la presencia de un quiste periapical que no interfería directamente con la colocación del implante dental, ya que estaba a nivel del órgano dental 2,1 y el implante dental se colocó en sustitución del órgano dental 2,3; sin embargo, se decidió hacer la enucleación de éste, debido que al no removerlo podría aumentar su tamaño y afectar el proceso de oseointegración del implante a largo plazo.



INTRODUCCIóN

Los humanos siempre han tenido que enfrentar los problemas asociados con la pérdida de dientes. Sin embargo, no fue hasta los últimos tiempos que los implantes endoóseos se fabricaron con superficies rugosas, colocadas sin traumatismos en el hueso adyacente.1

Hoy en día, la colocación de implantes dentales en pacientes parcial o totalmente edéntulos se aplica en números crecientes y se ha convertido en un tratamiento de rutina para la rehabilitación oral.2 Los implantes dentales según su momento de colocación se clasifican en: 1) inmediatos: se colocan inmediatamente postextracción; 2) tempranos: se colocan después de dos a cuatro semanas postextracción; 3) tardíos: se colocan después de cuatro a seis meses postextracción.3 Siendo éste un tratamiento con tanta demanda, se ha logrado un gran avance en tecnología nueva que ha permitido mejorar la calidad de los exámenes radiográficos. Aunque las imágenes radiográficas intraorales y panorámicas bidimensionales (2D) siguen siendo una opción que se utiliza ampliamente en la práctica dental diaria, el acceso y uso de imágenes radiográficas tridimensionales (3D) ha mejorado drásticamente las opciones para recopilación de datos. El uso de la tomografía computarizada de haz cónico (CBCT) ha permitido recopilar un conjunto de datos de diagnóstico de pretratamiento más consistente y preciso.4

En el examen radiográfico y en la CBCT se logra observar todas las estructuras anatómicas a evaluar para colocar un implante dental, también facilita la detección de patologías o estructuras que interfieran con dicho tratamiento o que pueden llegar a perjudicar el tratamiento ya realizado a largo plazo, como en este reporte de caso, un quiste periapical fue detectado por medio de los exámenes radiográficos.

Los quistes periapicales están asociados con dientes no vitales e identificados en los ápices de los dientes, la condición cariosa o traumática conduce a la muerte del tejido de la pulpa dental y el estímulo inflamatorio de la región pulpar alcanza una zona periapical para provocar estimulación de los restos de células epiteliales de Malassez, formando finalmente un quiste periapical.5

En la actualidad, se logra ver una gran demanda de implantes dentales, pero también se ha visto el fracaso de este tratamiento y existen múltiples razones que intervienen para esto como deficiencias en la cantidad y calidad de hueso.6 La colocación de un implante dental puede ser exitoso a pesar de la existencia de algún quiste periapical en zonas adyacentes a la zona a tratar, pero a largo plazo podría extenderse y afectar la calidad de hueso y la oseointegración del implante. La oseointegración es la fijación rígida asintomática de un material aloplástico (implante) en el hueso con la capacidad de resistir las fuerzas oclusales.7

Es muy importante la oseointegración en el proceso de colocación de un implante dental, para este caso clínico se tomó la decisión de realizar una enucleación del quiste periapical que se encontraba a nivel del órgano dental 2,1 para prevenir que éste siguiera creciendo y afectando la calidad de hueso que necesitaba tener el implante dental que se colocaría en sustitución del órgano dental 2,3.



CASO CLíNICO

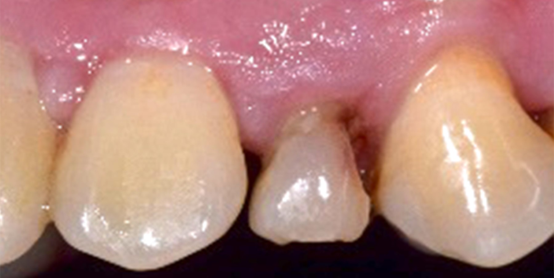
Paciente femenino de 34 años de edad, se presentó a la Clínica de Odontología de la Universidad Nacional Autónoma de Honduras con el deseo de mejorar su sonrisa estéticamente colocándose un implante dental, debido a que presentaba un órgano dentario 6,3 en el lugar donde debe estar situado el 2,3; dicha situación comprometía estéticamente la sonrisa de la paciente afectando su autoestima y satisfacción propia con respecto a su apariencia física. La paciente contaba con su radiografía panorámica inicial, en ella se observó la presencia de un órgano dental incluido (2,3) en una posición horizontal en el proceso alveolar ubicado apicalmente a los órganos dentales 2,1, 2,2, 6,3 y 2,4 causando reabsorción radicular en ellos, se observaron también restauraciones mal adaptadas en la pared palatina de los órganos dentales 1,1 y 2,1 junto con lesiones periapicales. En la evaluación clínica se observa el órgano dentario deciduo con movilidad dental debido a reabsorción radicular y caries en esmalte y dentina (Figura 1).

Se solicitó la realización de la CBCT y se planificó la colocación del implante dental elaborando recreaciones en tercera dimensión (3D) y tomando las dimensiones verticales y horizontales necesarias que posteriormente ayudarían a la elección correcta del implante dental a colocar (Figura 2).

En la valoración de la tomografía se observó una zona hipodensa a nivel del periápice del órgano dentario 2,1 extendiéndose hacia vestibular (Figura 3).

Se planificó la enucleación del quiste periapical junto con la colocación del xenoinjerto de hueso bovino de 0.25 cm3 debido a la reabsorción ósea que el quiste había provocado; posterior a esto, se procedería a colocar el implante dental. Se realizó una recreación digital de la corona del órgano dentario 2,3 con el programa BlueSkyBio para lograr una mejor planeación digital que serviría para la elaboración de una guía quirúrgica impresa en 3D que facilitaría el procedimiento de la colocación del implante dental (Figuras 4 y 5).

Se tomó la decisión de escoger un implante con 3.3 mm de ancho y 13 mm de alto con forma cónica y plataforma de hexágono interno.

Durante la cirugía se realizó el colgajo de espesor total para tener total acceso y visibilidad de la zona para remover el quiste periapical situado a nivel del ápice del órgano dental 2,1; se logró remover todo el tejido infectado, seguido de la colocación de xenoinjerto de hueso bovino de 0.25 cm3 en el defecto óseo causado por la lesión osteolítica.

Se procedió a realizar la exodoncia del órgano dental deciduo y luego se ubicó la guía quirúrgica, ésta se utilizó como referencia para la colocación del implante dental en la zona donde estaría situado el órgano dental 2,3 (Figuras 6, 7 y 8).

Por último, se suturó con hilo ácido poliglicólico reabsorbible (Vicryl 0000), previo a la cirugía se realizó un encerado diagnóstico para confeccionar una guarda que sirvió de guía para la corona provisional que fue hecha de monómero y polímero, se ferulizó con resina fluida en las paredes mesial y distal y se polimerizó, quedó soportada por las paredes proximales de las coronas de los órganos dentales adyacentes (Figuras 9 y 10).

Se le indicó a la paciente instrucciones postoperatorias, evitar el cepillado y uso de hilo dental en la zona donde se realizó la cirugía, llevar una dieta blanda sin alimentos o bebidas calientes, evitar actividad física y exposición al sol, todo esto para mantener su higiene oral y obtener una cicatrización sin complicaciones, también se le indicó la medicación, clindamicina de 300 mg c/8 horas por siete días, ibuprofeno de 600 mg c/8 horas, dexametasona de 8 mg vía parenteral (dosis única), intramuscular y clorhexidina al 0.12% c/8 horas por tres semanas. En la revisión de ocho días postquirúrgico, la paciente presentó cicatrización sin procesos infecciosos adversos.



DISCUSIóN

El quiste periapical radicular es parte de los quistes odontogénicos, siendo el de mayor incidencia dentro de éstos (64.3%). Regularmente, se presenta más en la zona anterior del maxilar y en la zona posterior de la mandíbula.8 La enucleación del quiste periapical fue un paso clave dentro del plan de tratamiento, puesto que no hay duda sobre la influencia del hueso receptor en la oseointegración que determinan estabilidad inicial, la remodelación y oseointegración, dado que debe de existir un remanente óseo adecuado para la colocación del implante en ausencia de procesos inflamatorios o cualquier actividad patológica sistémica que pueda influenciar en la regeneración ósea en la zona adyacente al implante.

El encerado diagnóstico realizado en los modelos tanto en físico como en digital, suministra información de previsión de la prótesis final, muestra discrepancias entre arcos, facilita la planeación de la ubicación del implante, ayuda a detectar posibles problemas para la rehabilitación final y sirve de referencia para la guía quirúrgica.

La llegada de CBCT ha permitido visualizar la dentición, el esqueleto maxilofacial y la relación de las estructuras anatómicas en 3D.

El objetivo de las imágenes preoperatorias de implantes dentales es obtener la siguiente información sobre el sitio potencial del implante: 1) presencia de algún tipo de afecciones patológicas; 2) ubicación de las características anatómicas que deben evitarse al colocar un implante, como el seno maxilar, el canal nasopalatino, el canal alveolar inferior y el agujero mentoniano; 3) ubicación de la morfología ósea, incluidas las crestas de los rebordes en filo de cuchilla, ubicación y profundidad de la fosa submandibular, variaciones del desarrollo, irregularidades postextracción, espacios medulares agrandados, integridad y grosor cortical, y densidad ósea trabecular; 4) cantidad de hueso disponible para la colocación del implante.9

Una de las ventajas de poder contar con la CBCT para este caso clínico es que se pudieron observar de una manera detallada las estructuras óseas y dentales y se pudo realizar un plan de tratamiento adecuado, proporcionando un menor margen de error y dando lugar a la elección correcta del implante dental a colocar. También se pudo realizar una planeación digital y la confección de la guía quirúrgica que fue de suma importancia en la colocación del implante. Las guías quirúrgicas se utilizan durante la cirugía como referencia al perforar el hueso y posicionar los implantes. Según un estudio realizado, existe una tasa de supervivencia acumulada de cinco años de 94.5 a 100% para implantes dentales que se colocaron con la ayuda de guías quirúrgicas estáticas diseñadas digitalmente.10

El objetivo principal de los implantes dentales es satisfacer al paciente el deseo de reemplazar el órgano dentario perdido, recuperando la estética, y sus funciones de fonación y masticación. Siguiendo el plan de tratamiento estipulado desde el comienzo sin omitir pasos importantes y con seguimientos postoperatorios para valorar la oseointegración, se aumenta la predictibilidad del tratamiento a largo plazo.



AGRADECIMIENTOS

A la Facultad de Odontología de la Universidad Nacional Autónoma de Honduras por facilitar las instalaciones adecuadas para hacer posible este caso clínico, siempre con el objetivo priorizar la actualización de conocimientos en las prácticas clínicas.

También le agradecemos a DSD Radiodiagnóstico por siempre tener la disposición de proveer con estudios tomográficos y el soporte para la fabricación de la guía quirúrgica.


REFERENCIAS (EN ESTE ARTÍCULO)

  1. Block MS. Dental implants: the last 100 years. J Oral Maxillofac Surg [Internet]. 2018; 76 (1): 11-26. Available in: https://www.sciencedirect.com/science/article/abs/pii/S0278239117312491

  2. Li J, Jansen JA, Walboomers XF, van den Beucken JJ. Mechanical aspects of dental implants and osseointegration: A narrative review. J Mech Behav Biomed Mate [Internet]. 2020; 103: 103574. Available in: https://www.sciencedirect.com/science/article/abs/pii/S1751616118315728

  3. Alghamdi A, Al-Motari K, Sundar C, Jansen JA, Alghamdi H. Dental implants and bone grafts materials and biological issues [Internet]. Elsevier; 2020. Available in: https://www.sciencedirect.com/science/article/pii/B9780081024782000027

  4. Morton D, Phasuk K, Polido WD, Lin WS, Consideration for contemporary implant surgery. Dent Clin N Am [Internet]. 2019; 63 (2): 309-329. Available in: https://www.sciencedirect.com/science/article/abs/pii/S0011853218300995

  5. Rajendra Santosh AB. Odontogenic cysts. Dent Clin N Am [Internet]. 2020; 64 (1): 105-119. Available in: https://www.sciencedirect.com/science/article/abs/pii/S0011853219300709?via%3Dihub

  6. García-Calderón AG, Donohue-Cornejo A, Cuevas-González MV, Ávila-Valdéz R, Cuevas-González JC. Periimplantitis: revisión de la literatura. Int J Odontostomat [Internet]. 2016; 10 (2): 255-260. Disponible en: http://dx.doi.org/10.4067/S0718-381X2016000200011

  7. Fiorellini J, Wada K, Sarmiento HL, Klokkevold P. Peri-implant anatomy, biology, and function. In: Newman M, Takei H, Klokkevold P, Carranza F. Newman and Carranza's clinical periodontology. 13th edition. New York: Elsevier; 2019. pp. 4024-4076.

  8. Díaz Arredondo DO, Olivar Cedeño JM, López Torres I, Correa Hinojosa H. Manejo multidisciplinario de quiste periapical. Reporte de caso. Rev Mex Estomatol. 2018; 5 (2):14-17.

  9. Nasseh I, Al-Rawi W. Cone beam computed tomography. Dent Clin N Am [Internet]. 2018; 62 (3): 361-391. Available in: https://www.sciencedirect.com/science/article/abs/pii/S001185321830017X

  10. Walker-Finch K, Ucer C. Five-year survival rates for implants placed using digitally-designed static surgical guides: a systematic review. Br J Oral Maxillofac Surg [Internet]. 2020; 58 (3): 268-276. Available in: https://www.sciencedirect.com/science/article/abs/pii/S026643561930796X



AFILIACIONES

1 Profesor Titular II, Departamento de Preventiva y Social. Especialista en Periodoncia e Implantología. Facultad de Cirugía Dental de la Universidad Nacional Autónoma de Honduras (UNAH). Tegucigalpa, Honduras.

2 Profesor Titular II, Departamento de Estomatología. Coordinador de Cirugía Maxilofacial Hospital Escuela, Especialista en Cirugía Oral y Maxilofacial. Facultad de Cirugía Dental de la Universidad Nacional Autónoma de Honduras (UNAH). Tegucigalpa, Honduras.

3 Alumna de quinto año. Facultad de Cirugía Dental de la Universidad Nacional Autónoma de Honduras (UNAH). Tegucigalpa, Honduras.

4 Cirujano Dentista. Facultad de Cirugía Dental de la Universidad Nacional Autónoma de Honduras (UNAH). Tegucigalpa, Honduras.

5 Alumno de sexto año. Facultad de Cirugía Dental de la Universidad Nacional Autónoma de Honduras (UNAH). Tegucigalpa, Honduras.



CORRESPONDENCIA

Karen Elizabeth Sabillón Ellner. E-mail: karens96@hotmail.com




Recibido: 16 de febrero de 2020. Aceptado: 20 de julio de 2020.

Figura 1
Figura 2
Figura 3
Figura 4
Figura 5
Figura 6
Figura 7
Figura 8
Figura 9
Figura 10

2020     |     www.medigraphic.com

Mi perfil

C?MO CITAR (Vancouver)

Rev Mex Periodontol. 2020;11

ARTíCULOS SIMILARES

CARGANDO ...