medigraphic.com
ENGLISH

Cardiovascular and Metabolic Science

ISSN 2954-3835 (Digital)
ISSN 2683-2828 (Impreso)
Antes Revista Mexicana de Cardiología

Ver Revista Mexicana de Cardiología


  • Mostrar índice
  • Números disponibles
  • Información
    • Información general        
    • Directorio
  • Publicar
    • Instrucciones para autores        
    • Envío de artículos
  • medigraphic.com
    • Inicio
    • Índice de revistas            
    • Registro / Acceso
  • Mi perfil

2021, Número 4

<< Anterior Siguiente >>

Cardiovasc Metab Sci 2021; 32 (4)


Ruptura cardiaca durante ecocardiograma de estrés con dobutamina como estratificación posterior a infarto agudo al miocardio

Silva OJA, Mendoza RRMÁ
Texto completo Cómo citar este artículo 10.35366/102768

DOI

DOI: 10.35366/102768
URL: https://dx.doi.org/10.35366/102768
Artículos similares

Idioma: Inglés [English version]
Referencias bibliográficas: 7
Paginas: 179-182
Archivo PDF: 514.14 Kb.


PALABRAS CLAVE

Ruptura cardiaca, ecocardiograma estrés con dobutamina, infarto agudo al miocardio.

RESUMEN

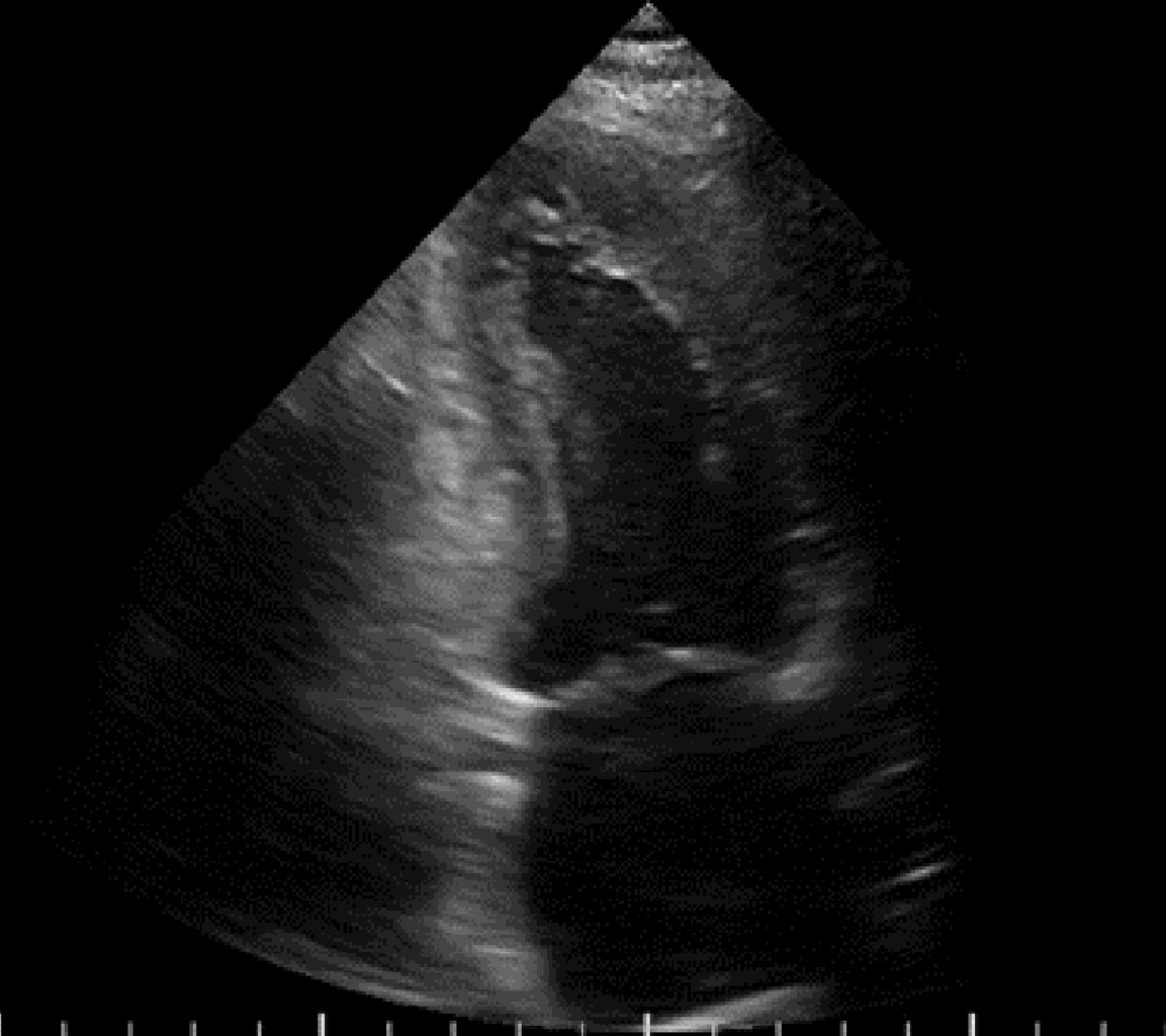
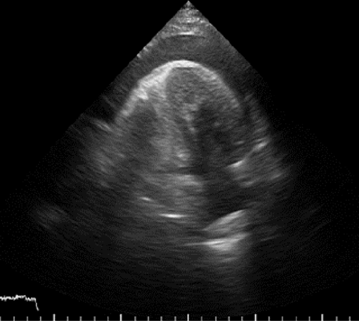
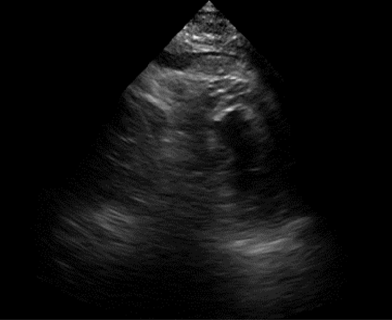
El ecocardiograma de estrés con dobutamina es ampliamente utilizado en la estratificación posterior a un infarto agudo al miocardio. Se han reportado complicaciones que pueden ser potencialmente mortales, siendo las arritmias ventriculares las más frecuentes. La ruptura cardiaca es una complicación rara, pero fatal. Se presenta el caso de un masculino de 68 años con un infarto inferior sin estrategia de reperfusión, el cual fue sometido a un ecocardiograma de estrés con dobutamina a los seis días del infarto. Durante la recuperación inicial el paciente presenta ruptura cardiaca por presencia de derrame pericárdico de aspecto hemático y disociación electro mecánica. Se realizó pericardiocentesis de urgencia, finalmente falleciendo el paciente. En la literatura se ha reportado el infarto inferior reciente y una zona discinética como las características de alto riesgo para presentarse. La selección adecuada del paciente, un ecocardiograma basal sin características de riesgo para ruptura y el tiempo de realización del estudio posterior al infarto puede disminuir la incidencia de esta complicación.


REFERENCIAS (EN ESTE ARTÍCULO)

  1. Picano E, Mathias W, Pingitore A, Bigi R, Previtali M. Safety and tolerability of dobutamine-atropine stress echocardiography: a prospective, multicentre study. Lancet. 1994; 334: 1190-1192.

  2. Orlandini AD, Tuero EI, Díaz R, Vilamajo OA, Paolasso EA. Acute cardiac rupture during dobutamine-atropine echocardiography stress test. J Am Soc Echocardiogr. 2000; 13: 152-153.

  3. Serra V, Zamorano J, Moreno R et al. Left ventricular free wall rupture during dobutamine stress echocardiography. Rev Esp Cardiol. 2002; 55 (3): 312-314.

  4. Daniels CJ, Orsinelli DA. Cardiac rupture with dobutamine stress echocardiography. J Am Soc Echocardiogr. 1997; 10 (9): 979-981.

  5. Reisenhofer B, Squarcini G, Picano E. Cardiac rupture during dobutamine stress test. Ann Int Med. 1998; 128: 605.

  6. Geilense M, Boudewijn K, Nemes A et al. Incidence, pathophysiology and treatment of complications during dobutamine-atropine stress echocardiography. Circulation. 2010; 121: 1756-1767.

  7. López-Sendón J, González A, López de Sá E et al. Diagnosis of subacute ventricular wall rupture after acute myocardial infarction: sensitivity and specificity of clinical, hemodynamic and echocardiographic criteria. J Am Coll Cardiol. 1992; 19: 1145-1153.




Figura 1
Figura 2
Figura 3
Figura 4
Figura 5
Figura 6

2020     |     www.medigraphic.com

Mi perfil

C?MO CITAR (Vancouver)

Cardiovasc Metab Sci . 2021;32

ARTíCULOS SIMILARES

CARGANDO ...