medigraphic.com
ENGLISH

Cardiovascular and Metabolic Science

ISSN 2954-3835 (Digital)
ISSN 2683-2828 (Impreso)
Antes Revista Mexicana de Cardiología

Ver Revista Mexicana de Cardiología


  • Mostrar índice
  • Números disponibles
  • Información
    • Información general        
    • Directorio
  • Publicar
    • Instrucciones para autores        
    • Envío de artículos
  • medigraphic.com
    • Inicio
    • Índice de revistas            
    • Registro / Acceso
  • Mi perfil

2021, Número 4

<< Anterior Siguiente >>

Cardiovasc Metab Sci 2021; 32 (4)


Aneurisma de presentación como causa de insuficiencia de la válvula mitral

Antunes-Vicente MB, Alarcón CH, Ravelo-Dopico R, Lima-Domingos LM, Méndez-Peralta T, Pedro A
Texto completo Cómo citar este artículo 10.35366/102769

DOI

DOI: 10.35366/102769
URL: https://dx.doi.org/10.35366/102769
Artículos similares

Idioma: Inglés [English version]
Referencias bibliográficas: 10
Paginas: 183-187
Archivo PDF: 451.80 Kb.


PALABRAS CLAVE

Aneurisma ventricular cardiaco, aneurisma subvalvular mitral, insuficiencia valvular, falla cardiaca, cardiopatía congénita.

RESUMEN

El aneurisma ventricular subvalvular mitral se considera una rara afección cardiaca con un origen aún no bien definido. Desde su primer informe por Corvisart en 1812, varios informes han coincidido en señalar su mayor incidencia entre los africanos, lo que ha sido escenario de varias discusiones hasta hoy. Existen varias controversias en torno a este tema, el consenso actual es de varios factores interrelacionados como la debilidad del anillo fibroso posterior de la válvula mitral está en la base de su aparición que puede ser de base sostenida, aneurisma congénito, procesos infecciosos, inflamatorios o degenerativos que involucran el endocardio. El diagnóstico de certeza se realiza mediante ecocardiograma y el tratamiento es eminentemente quirúrgico. Se describe el caso de una paciente de 28 años, de nacionalidad angoleña, con aneurisma subvalvular mitral como causa de regurgitación mitral severa e insuficiencia cardiaca, que fue corregida quirúrgicamente con éxito.


REFERENCIAS (EN ESTE ARTÍCULO)

  1. Morais H, Feijao A, Valdano M. Annular subvalvular left ventricular aneurysms: a comprehensive review. EC Cardiology. 2020; SI.02: 1-13. Available in: https://www.researchgate.net/profile/Humberto_Morais/publication/342865702_Annular_Subvalvular_Left_Ventricular_Aneurysms_A_Comprehensive_Review/links/5f09817692851c52d628e4dd/Annular-Subvalvular-LeftricularAprehensive-Ventricular-Comprehensive_Review/links/5f09817692851c52d628e4dd/Annular-Subvalvular-Leftricular-VentricularAprehensive

  2. Nawale JM, Chavan RV, Shah MM, Chaurasia AS, Nalawade D. Submitral aneurysm: A rare cause of complete heart block. J Indian Acad Echocardiogr Cardiovasc Imaging. 2018; 2 (3): 179-181. Available in: https://www.jiaecho.org/text.asp?2018/2/3/179/247033

  3. Mishra B. A rare case of coexisting subaortic and submitral left ventricular aneurysms. J Indian Acad Echocardiogr Cardiovasc Imaging. 2020; 4: 49-52. Available in: https://go.gale.com/ps/anonymous?id=GALE%7CA640984637&sid=googleScholar&v=2.1&it=r&linkaccess=abs&issn=09743405&p=HRCA&sw = w

  4. Abrahams DG, Barton CJ, Cockshott WP, Edington GM, Weaver EJ. Annular subvalvular left ventricular aneurysms. Q J Med. 1962; 31: 345-360.

  5. Singh SS, Cherian VT, Palangadan S. Windsock deformity of submitral left ventricular aneurysm communicating into left atrium - role of transesophageal echocardiography. Ann Card Anaesth. 2021; 24 (1): 72-74.

  6. Manuel V, Sousa-Uva M, Miguel G, Magalhaes MP, Pedro A, Júnior AP et al. Submitral aneurysm in children. J Card Surg. 2016; 31 (8): 551-555. doi: 10.1111/jocs.12789.

  7. Du Toit HJ, Von Oppell UO, Hewitson J, Lawrenson J, Davies J. Left ventricular sub-valvar mitral aneurysms. Interact Cardiovasc Thorac Surg. 2003; 2 (4): 547-551. doi: 10.1016/S1569-9293(03)00141-5.

  8. Ribeiro PJ, Mendes RG, Vicente WV, Menardi AC, Evora PR. Submitral left ventricular aneurysm. Case report and review of published Brazilian cases. Arq Bras Cardiol. 2001; 76 (5): 395-402.

  9. Mayosi BM, Blanche C, John L. Cardiovascular diseases. In: Ryan E, Hill D, Solomon T, Magill A. Hunter's tropical medicine and emerging infectious diseases. USA: Saunders; 2020. pp. 8-15.

  10. Wolpowitz A, Arman B, Barnard MS, Barnard CN. Annular subvalvular idiopathic left ventricular aneurysms in the black African. Ann Thorac Surg. 1979; 27 (4): 350-355.




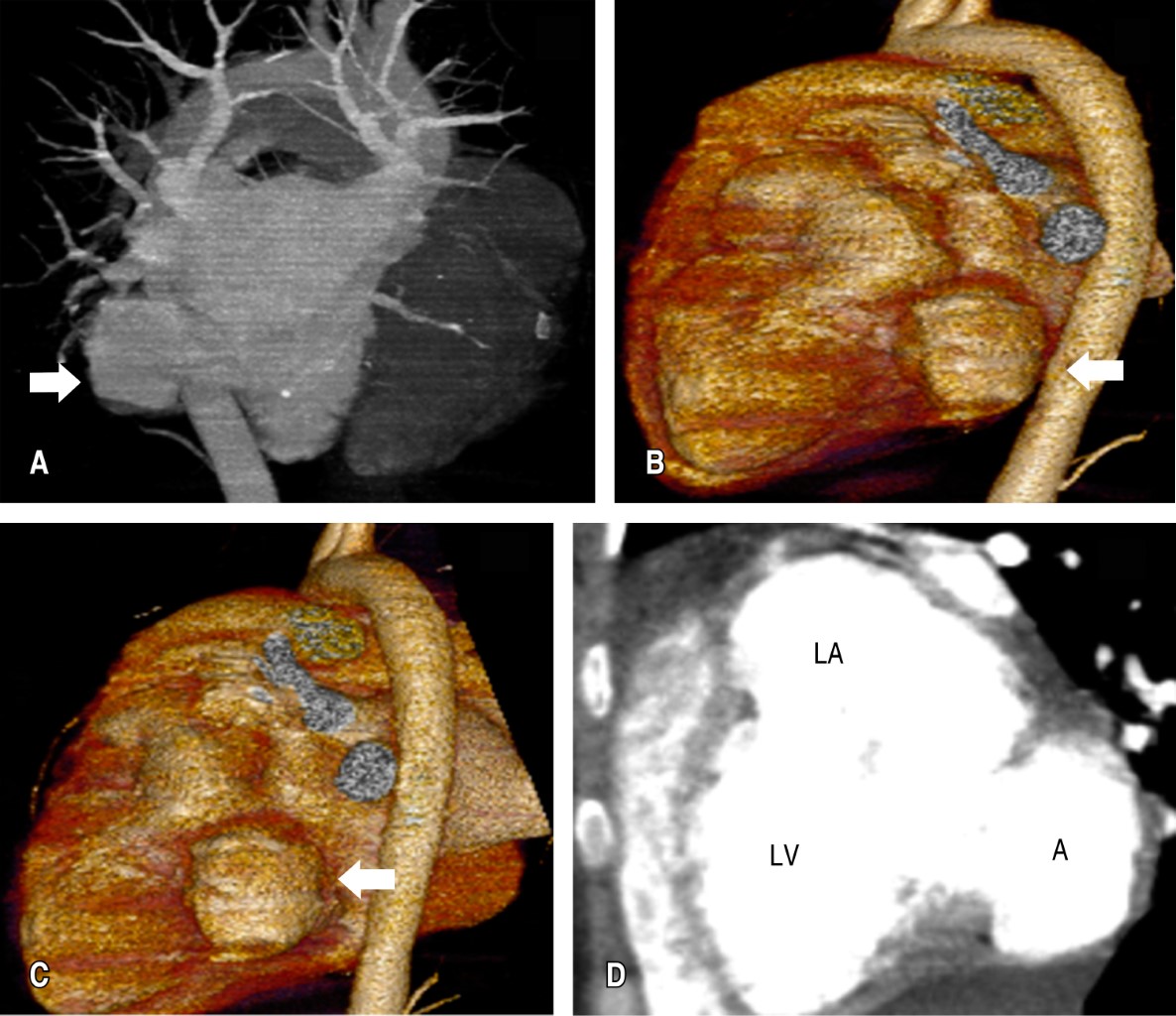
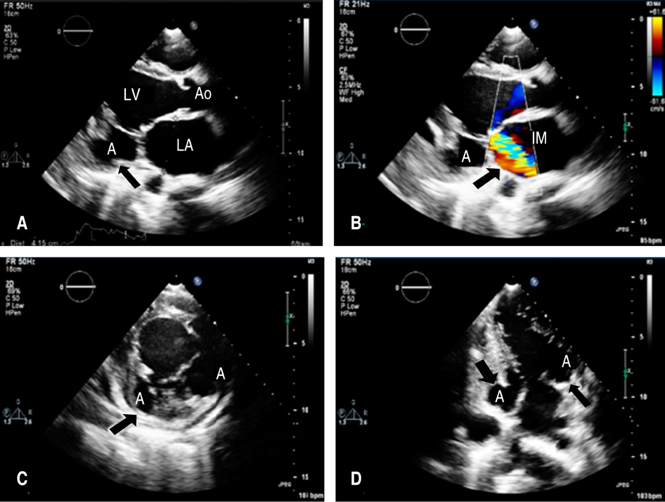
Figura 1
Figura 2
Figura 3

2020     |     www.medigraphic.com

Mi perfil

C?MO CITAR (Vancouver)

Cardiovasc Metab Sci . 2021;32

ARTíCULOS SIMILARES

CARGANDO ...