medigraphic.com
ENGLISH

Cardiovascular and Metabolic Science

ISSN 2954-3835 (Digital)
ISSN 2683-2828 (Impreso)
Antes Revista Mexicana de Cardiología

Ver Revista Mexicana de Cardiología


  • Mostrar índice
  • Números disponibles
  • Información
    • Información general        
    • Directorio
  • Publicar
    • Instrucciones para autores        
    • Envío de artículos
  • medigraphic.com
    • Inicio
    • Índice de revistas            
    • Registro / Acceso
  • Mi perfil

2021, Número 4

<< Anterior Siguiente >>

Cardiovasc Metab Sci 2021; 32 (4)


El valor añadido emergente de la resonancia magnética cardiaca sobre la ecocardiografía en la evaluación de la insuficiencia mitral funcional

Chango-Azanza DX, Rosales-Uvera S, Vásquez Z, Munín MA, Obregón R
Texto completo Cómo citar este artículo 10.35366/102770

DOI

DOI: 10.35366/102770
URL: https://dx.doi.org/10.35366/102770
Artículos similares

Idioma: Inglés [English version]
Referencias bibliográficas: 35
Paginas: 188-196
Archivo PDF: 656.82 Kb.


PALABRAS CLAVE

Insuficiencia mitral funcional, imagen multimodal cardiaca, resonancia magnética cardiaca, fracción regurgitante.

RESUMEN

De acuerdo con un nuevo punto de vista conceptual, la insuficiencia mitral funcional es consistente con una variedad de características estructurales y dinámicas en varios escenarios clínicos con respecto a la afectación del ventrículo izquierdo (VI) y la integridad de la válvula mitral. La ecocardiografía es sin duda, la modalidad cardíaca de primera línea para la clasificación de la etiología y la gravedad de la insuficiencia mitral funcional. Sin embargo, no proporciona información completa y precisa del compromiso del VI y tiende a tener algunos errores metodológicos en los cálculos en su estimación. La resonancia magnética cardíaca es la técnica de referencia para la estimación de los volúmenes y la fracción de eyección del VI y podría integrar el estudio de la caracterización tisular del VI en varias miocardiopatías; permite la estimación cuantitativa de la gravedad de la insuficiencia valvular y podría mejorar la toma de decisiones clínicas.


REFERENCIAS (EN ESTE ARTÍCULO)

  1. Bonow RO, O'Gara PT, Adams DH, Badhwar V, Bavaria JE, Elmariah S et al. 2020 Focused update of the 2017 ACC expert consensus decision pathway on the management of mitral regurgitation: a report of the American College of Cardiology Solution Set Oversight Committee. Vol. 75, Journal of the American College of Cardiology. United States; 2020. 2236-2270.

  2. Wang A, Grayburn P, Foster JA, McCulloch ML, Badhwar V, Gammie JS et al. Practice gaps in the care of mitral valve regurgitation: Insights from the American College of Cardiology mitral regurgitation gap analysis and advisory panel. Am Heart J. 2016; 172: 70-79.

  3. Silbiger JJ. Novel pathogenetic mechanisms and structural adaptations in ischemic mitral regurgitation. J Am Soc Echocardiogr Off Publ Am Soc Echocardiogr. 2013; 26 (10): 1107-1117.

  4. Lang RM, Badano LP, Mor-Avi V, Afilalo J, Armstrong A, Ernande L et al. Recommendations for cardiac chamber quantification by echocardiography in adults: an update from the American Society of Echocardiography and the European Association of Cardiovascular Imaging. European Heart Journal - Cardiovascular Imaging. 12015; 6 (3): 233-271.

  5. Gaasch WH, Meyer TE. Secondary mitral regurgitation (part 1): volumetric quantification and analysis. Heart. 2018; 104 (8): 634-638.

  6. Gaasch WH, Meyer TE. Secondary mitral regurgitation (part 2): deliberations on mitral surgery and transcatheter repair. Heart. 2018; 104 (8): 639-643.

  7. Zoghbi WA, Adams D, Bonow RO, Enriquez-Sarano M, Foster E, Grayburn PA et al. Recommendations for noninvasive evaluation of native valvular regurgitation: a report from the American Society of Echocardiography Developed in Collaboration with the Society for Cardiovascular Magnetic Resonance. J Am Soc Echocardiogr. 2017; 30 (4): 303-371.

  8. Topilsky Y, Michelena H, Bichara V, Maalouf J, Mahoney DW, Enriquez-Sarano M. Mitral valve prolapse with mid-late systolic mitral regurgitation: pitfalls of evaluation and clinical outcome compared with holosystolic regurgitation. Circulation. 2012; 125 (13): 1643-1651.

  9. Altiok E, Hamada S, van Hall S, Hanenberg M, Dohmen G, Almalla M et al. Comparison of direct planimetry of mitral valve regurgitation orifice area by three-dimensional transesophageal echocardiography to effective regurgitant orifice area obtained by proximal flow convergence method and vena contracta area determined by color Doppler echocardiography. Am J Cardiol. 2011; 107 (3): 452-458.

  10. Iwakura K, Ito H, Kawano S, Okamura A, Kurotobi T, Date M et al. Comparison of orifice area by transthoracic three-dimensional Doppler echocardiography versus proximal isovelocity surface area (PISA) method for assessment of mitral regurgitation. Am J Cardiol. 2006; 97 (11): 1630-1637.

  11. Little SH, Pirat B, Kumar R, Igo SR, McCulloch M, Hartley CJ et al. Three-dimensional color Doppler echocardiography for direct measurement of vena contracta area in mitral regurgitation: in vitro validation and clinical experience. JACC Cardiovasc Imaging. 2008; 1 (6): 695-704.

  12. Shanks M, Siebelink H-MJ, Delgado V, van de Veire NRL, Ng ACT, Sieders A et al. Quantitative assessment of mitral regurgitation: comparison between three-dimensional transesophageal echocardiography and magnetic resonance imaging. Circ Cardiovasc Imaging. 2010; 3 (6): 694-700.

  13. De Agustín JA, Marcos-Alberca P, Fernandez-Golfin C, Goncalves A, Feltes G, Nuñez-Gil IJ et al. Direct measurement of proximal isovelocity surface area by single-beat three-dimensional color Doppler echocardiography in mitral regurgitation: a validation study. J Am Soc Echocardiogr [Internet]. 2012; 25 (8): 815-823. Available from: https://doi.org/10.1016/j.echo.2012.05.021

  14. Obadia J-F, Messika-Zeitoun D, Leurent G, Iung B, Bonnet G, Piriou N et al. Percutaneous repair or medical treatment for secondary mitral regurgitation. N Engl J Med. 2018; 379 (24): 2297-2306.

  15. Stone GW, Lindenfeld J, Abraham WT, Kar S, Lim DS, Mishell JM et al. Transcatheter mitral-valve repair in patients with heart failure. N Engl J Med. 2018; 379 (24): 2307-2318.

  16. Grayburn PA, Sannino A, Packer M. Proportionate and disproportionate functional mitral regurgitation: a new conceptual framework that reconciles the results of the MITRA-FR and COAPT Trials. JACC Cardiovasc Imaging. 2019; 12 (2): 353-362.

  17. Doenst T, Bargenda S, Kirov H, Moschovas A, Tkebuchava S, Safarov R et al. Cardiac surgery 2018 reviewed. Clin Res Cardiol. 2019; 108 (9): 974-989.

  18. Lancellotti P, Tribouilloy C, Hagendorff A, Popescu BA, Edvardsen T, Pierard LA et al. Recommendations for the echocardiographic assessment of native valvular regurgitation: an executive summary from the European Association of Cardiovascular Imaging. Eur Heart J Cardiovasc Imaging. 2013; 14 (7): 611-644.

  19. Zoghbi WA, Asch FM, Bruce C, Gillam LD, Grayburn PA, Hahn RT et al. Guidelines for the evaluation of valvular regurgitation after percutaneous valve repair or replacement: a report from the American Society of Echocardiography developed in collaboration with the society for cardiovascular angiography and interventions, Japanese Society of Echocardiography, and Society for Cardiovascular magnetic resonance. J Am Soc Echocardiogr. 2019; 32 (4): 431-475.

  20. Dujardin KS, Enriquez-Sarano M, Bailey KR, Nishimura RA, Seward JB, Tajik AJ. Grading of mitral regurgitation by quantitative Doppler echocardiography: calibration by left ventricular angiography in routine clinical practice. Circulation. 1997; 96 (10): 3409-3415.

  21. Hagendorff A, Doenst T, Falk V. Echocardiographic assessment of functional mitral regurgitation: opening Pandora's box? ESC Hear Fail. 2019; 6 (4): 678-685.

  22. Reddy YN V, Nishimura RA. Not all secondary mitral regurgitation is the same-potential phenotypes and implications for mitral repair. JAMA Cardiol. 2020; 5 (10): 1087-1088.

  23. Goldstein D, Moskowitz AJ, Gelijns AC, Ailawadi G, Parides MK, Perrault LP et al. Two-year outcomes of surgical treatment of severe ischemic mitral regurgitation. N Engl J Med. 2016; 374 (4): 344-353.

  24. Aguero J, Galan-Arriola C, Fernandez-Jimenez R, Sanchez-Gonzalez J, Ajmone N, Delgado V et al. Atrial infarction and ischemic mitral regurgitation contribute to post-mi remodeling of the left atrium. J Am Coll Cardiol. 2017; 70 (23): 2878-2889.

  25. Nishino S, Watanabe N, Ashikaga K, Morihisa K, Kuriyama N, Asada Y et al. Reverse remodeling of the mitral valve complex after radiofrequency catheter ablation for atrial fibrillation: a serial 3-dimensional echocardiographic study. Circ Cardiovasc Imaging. 2019; 12 (10): e009317.

  26. Bellenger NG, Burgess MI, Ray SG, Lahiri A, Coats AJ, Cleland JG et al. Comparison of left ventricular ejection fraction and volumes in heart failure by echocardiography, radionuclide ventriculography and cardiovascular magnetic resonance; are they interchangeable? Eur Heart J. 2000; 21 (16): 1387-1396.

  27. Myerson SG. Heart valve disease: investigation by cardiovascular magnetic resonance. J Cardiovasc Magn Reson [Internet]. 2012; 14 (1): 7. Available from: https://doi.org/10.1186/1532-429X-14-7

  28. Buchner S, Debl K, Poschenrieder F, Feuerbach S, Riegger GAJ, Luchner A et al. Cardiovascular magnetic resonance for direct assessment of anatomic regurgitant orifice in mitral regurgitation. Circ Cardiovasc Imaging. 2008; 1 (2): 148-155.

  29. Chatzimavroudis GP, Oshinski JN, Franch RH, Walker PG, Yoganathan AP, Pettigrew RI. Evaluation of the precision of magnetic resonance phase velocity mapping for blood flow measurements. J Cardiovasc Magn Reson. 2001; 3 (1): 11-19.

  30. Chew PG, Bounford K, Plein S, Schlosshan D, Greenwood JP. Multimodality imaging for the quantitative assessment of mitral regurgitation. Quant Imaging Med Surg [Internet]. 2018; 8 (3): 342-359. Available from: https://pubmed.ncbi.nlm.nih.gov/29774187

  31. Cavalcante JL, Kusunose K, Obuchowski NA, Jellis C, Griffin BP, Flamm SD et al. Prognostic impact of ischemic mitral regurgitation severity and myocardial infarct quantification by cardiovascular magnetic resonance. JACC Cardiovasc Imaging. 2020; 13 (7): 1489-1501.

  32. Carabello BA, Boyd WD. Scar in Secondary MR, Another piece to the puzzle: dead meat don't beat. Vol. 13, JACC. Cardiovascular imaging. United States; 2020. 1502-1504.

  33. Lanzer P, Barta C, Botvinick EH, Wiesendanger HU, Modin G, Higgins CB. ECG-synchronized cardiac MR imaging: method and evaluation. Radiology. 1985; 155 (3): 681-686.

  34. Ripley DP, Musa TA, Dobson LE, Plein S, Greenwood JP. Cardiovascular magnetic resonance imaging: what the general cardiologist should know. Heart [Internet]. 2016; 102 (19): 1589 LP-1603. Available from: http://heart.bmj.com/content/102/19/1589.abstract

  35. Katz WE, Conrad Smith AJ, Crock FW, Cavalcante JL. Echocardiographic evaluation and guidance for MitraClip procedure. Cardiovasc Diagn Ther. 2017; 7 (6): 616-632.




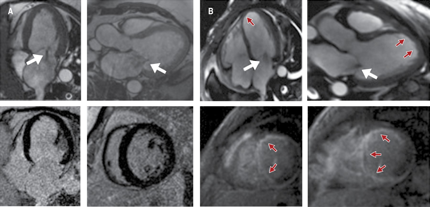
Figura 1
Figura 2
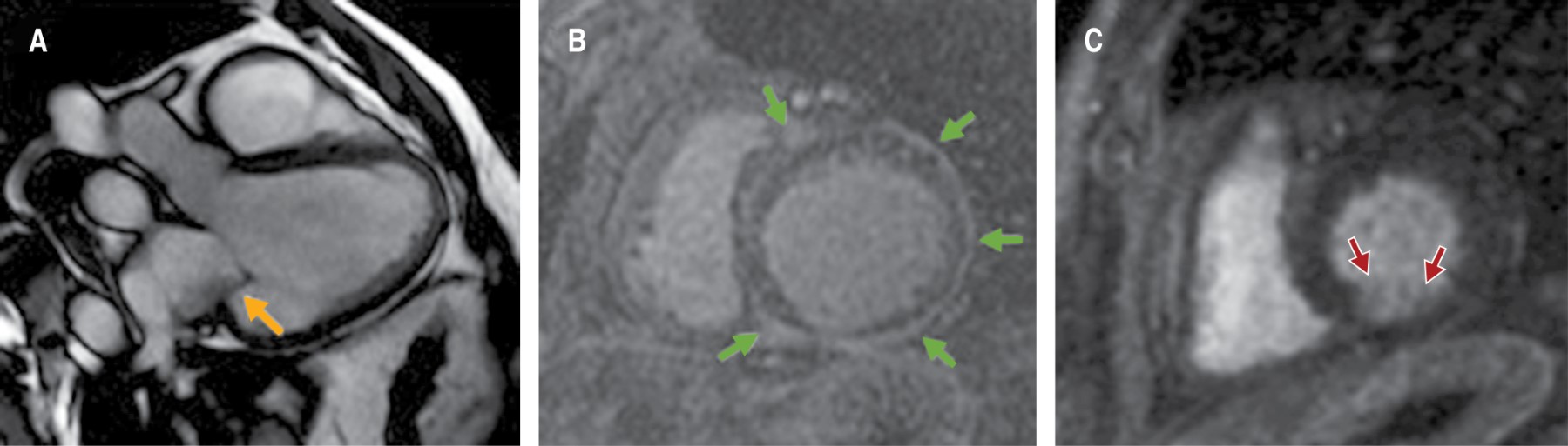
Figura 3
Figura 4
Figura 5

2020     |     www.medigraphic.com

Mi perfil

C?MO CITAR (Vancouver)

Cardiovasc Metab Sci . 2021;32

ARTíCULOS SIMILARES

CARGANDO ...