medigraphic.com
ENGLISH

Revista Mexicana de Ortodoncia

ISSN 2395-9215 (Impreso)
Órgano Oficial de Difusión de la Facultad de Odontología de la UNAM
  • Mostrar índice
  • Números disponibles
  • Información
    • Información general        
    • Directorio
  • Publicar
    • Instrucciones para autores        
  • medigraphic.com
    • Inicio
    • Índice de revistas            
    • Registro / Acceso
  • Mi perfil

2020, Número 1

<< Anterior Siguiente >>

Rev Mex Ortodon 2020; 8 (1)


Manejo ortodóncico de un paciente con maloclusión clase I con mordida cruzada anterior con crecimiento vertical y biprotrusión dental tratado sin extracciones

López Aguilera, Melanie1; Pérez Vázquez, José Luis1; Bernal Fulgencio, Allan Jay1; Villegas Echeverria, Josué Elías1; Barajas Ramírez, David1; Cerrillo Lara, Daniel1; García López, Salvador2
Texto completo Cómo citar este artículo Artículos similares

Idioma: Español/Inglés [English version]
Referencias bibliográficas: 22
Paginas: 23-32
Archivo PDF: 354.85 Kb.


PALABRAS CLAVE

Mordida cruzada anterior, desgaste interproximal, elásticos.

RESUMEN

Este artículo informa sobre el diagnóstico de ortodoncia y la planificación del tratamiento de una paciente de 17 años con problemas estéticos y funcionales. Presentó maloclusión de Angle clase I, mordida cruzada anterior, doble protrusión incisiva e incompetencia labial, además de un perfil facial recto ligeramente cóncavo. Los objetivos fueron mantener el control vertical, mejorar la estética facial, eliminar el apiñamiento y corregir la mordida cruzada anterior. El tratamiento de ortodoncia no requirió extracciones. La mordida cruzada se corrigió mediante desgastes interproximales y fuerzas mecánicas a través de elásticos intermaxilares, lo que contribuyó a la alineación y nivelación de los dientes así como a mejorar el perfil facial de la paciente.



INTRODUCCIóN

La decisión de realizar un tratamiento de ortodoncia con o sin extracciones de dientes sanos resulta complicado en muchas ocasiones. Dentro de los factores que contribuyen al proceso de toma de decisiones encontramos la cantidad de apiñamiento, el efecto pronosticado del tratamiento en la protrusión labial, cantidad de sobremordida y estado periodontal del paciente, entre otros.

La terapéutica de extracción o no extracción ha recibido mucha atención por parte del ortodoncista. En particular, el procedimiento de "no extracciones a cualquier costo" enunciado por Angle ha sido sustituido por "extracciones en caso necesario" propuesto por Case.1 Hay distintos criterios que debe tener el ortodoncista para evitar un tratamiento con extracciones. Sin embargo, uno fundamental es que debe existir una relación maxilomandibular clase I, misma que facilita su tratamiento ortodóntico.2 De igual manera, el análisis de perfil facial del paciente facilita el tratamiento ortodóntico. Conocer las distintas biomecánicas que tenemos a la mano para resolver casos que se encuentran en el límite (borderline) entre extracciones o no extracciones, nos ayudarán a ser ingeniosos a fin de adaptarlas a las necesidades del paciente. El uso del desgaste interproximal del esmalte es una excelente herramienta para liberar el espacio en casos de apiñamiento leve y corrección en la sobremordida borde a borde. La cantidad de desgaste está directamente relacionada con la cantidad de apiñamiento por resolver y sus indicaciones señalan remover en anteriores sólo 1 mm (0.5 mm por superficie proximal).3-5

El propósito de la presentación de este caso es mostrar el manejo ortodóncico de una paciente con mordida cruzada anterior con incremento del tercio inferior y biprotrusión tratado con desgaste interproximal.



CASO CLíNICO

Para corregir la sobremordida se recurrió a la mecánica de elásticos intermaxilares. Un material esencial en el tratamiento con múltiples aplicaciones clínicas que incluye, entre las más comunes, la de corregir discrepancias en sentido anteroposterior. Las indicaciones a seguir en la mecánica con elásticos CIII consisten en que la fuerza debe ser aproximada a 180 g con arcos rectangulares rígidos para evitar efectos secundarios no deseados.3

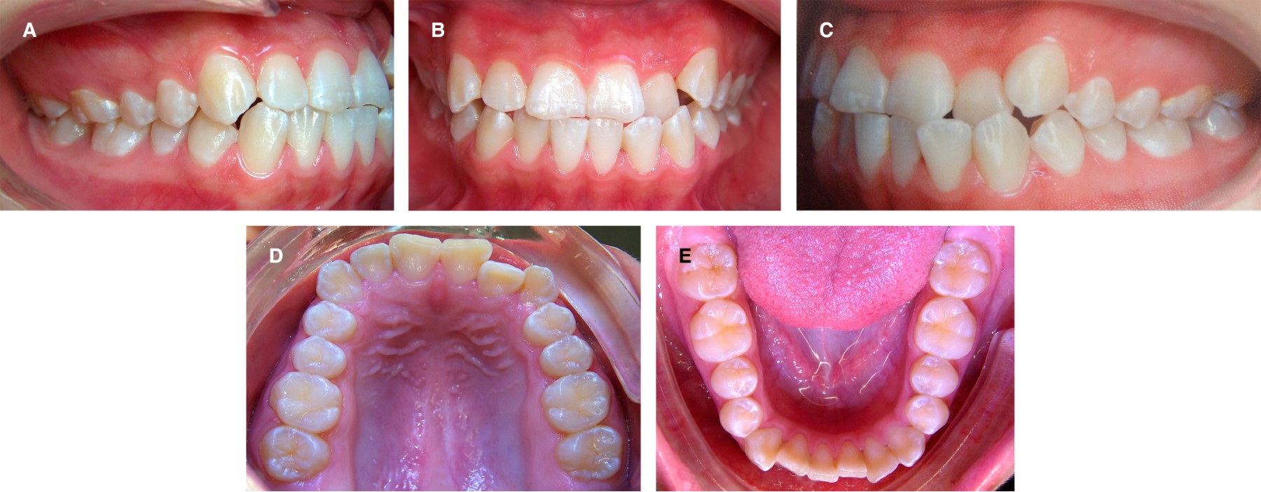
Paciente de sexo femenino de 17 años cuatro meses de edad quien acudió a la Clínica de Ortodoncia de la Universidad Autónoma de Baja California campus Tijuana. El motivo de su consulta fue "quiero arreglar mi sonrisa". La historia clínica la califica como una paciente aparentemente sana. A la inspección clínica se observó biotipo dolicofacial, perfil recto, forma facial ovalada, simétrica, línea media facial y dental inferior no coincidentes, tercio medio aumentado, labios medianos e incompetencia labial (Figura 1).

La evaluación clínica intraoral reportó relación clase I molar y clase III canina bilateral; supraoclusión de los caninos superiores con presencia de apiñamiento moderado; mordida cruzada anterior de los órganos dentarios 22 y 3; línea media inferior desviada hacia el lado izquierdo; falta de coordinación de las arcadas: el arco inferior con forma ovoide y el superior de forma cuadrada (Figura 2).

En la radiografía panorámica se observaron 28 dientes permanentes erupcionados y terceros molares en proceso de erupción; la longitud radicular es de 3:1; los senos, cóndilos y ramas mandibulares aparentemente simétricas, sin presentar alguna alteración (Figura 3A).

En la radiografía lateral de cráneo –de acuerdo con el trazado cefalométrico de Steiner– la paciente mostró un patrón esquelético clase I. El plano mandibular aumentado indica un patrón de crecimiento vertical, proinclinación de incisivos superiores (1s/SN 109o) y proinclinación de incisivos inferiores (IMPA 94o) (Figura 3B).

Objetivos del tratamiento

  • 1. Mejorar perfil.
  • 2. Corregir la mordida cruzada anterior.
  • 3. Mantener la relación clase I molar en ambos lados.
  • 4. Establecer una relación clase I canina bilateral.
  • 5. Corregir sobremordida horizontal y vertical.
  • 6. Liberar el apiñamiento.
  • 7. Armonizar ambas arcadas.
  • 8. Obtener una oclusión funcional.
  • 9. Mantener una salud periodontal.

Plan de tratamiento

En la evaluación de frente, la paciente mostró una cara poco armoniosa y proporcional. Presentó un perfil recto, el cual es complicado dado que se ha propuesto que el perfil recto podría ser más cóncavo con el tiempo en pacientes que aún no concluyen su crecimiento a nivel mandibular.5 Por tal razón, se utilizó el tratamiento terapéutico sin extracciones; además se realizó desgaste interproximal para retroclinar los incisivos con el uso de elásticos con un vector de fuerza clase III más un vector vertical anterior, lo que ayudó a que la paciente mejorara su perfil.

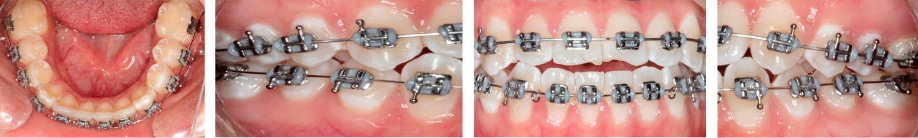
La paciente presentó maloclusión Angle clase I, con mordida cruzada anterior de los incisivos central superior izquierdo y lateral superior izquierdo. Se realizó el diagnóstico con base en las características estéticas, edad y tipo de maloclusión. El tratamiento se efectuó con aparatología fija superior e inferior atendiendo a la perspectiva de Ricketts, con brackets de un slot 0.018"; la alineación y nivelación fue iniciada con arcos de nitinol redondos 0.016". No se ligó del arco el incisivo lateral superior izquierdo porque no había suficiente espacio, por lo que se realizó desgaste interproximal durante la fase de alineación de incisivos para lograr la armonización de la circunferencia del arco y contribuir a una retroinclinación de dientes protrusivos con el fin de alcanzar la normalidad (Figura 4).6

A los siete meses, una vez obtenido el espacio suficiente, se incorporó al arco el incisivo lateral superior izquierdo. A los 10 meses de tratamiento empezó la formación del segmento anterior superior y se completó la aparatología fija en arcada inferior. Se realizó desgaste interproximal para iniciar fase de alineación y nivelación en la arcada inferior. Se decidió colocar recordatorios palatinos en los incisivos superiores con el objetivo de evitar mordida abierta por proyección lingual (Figura 5).

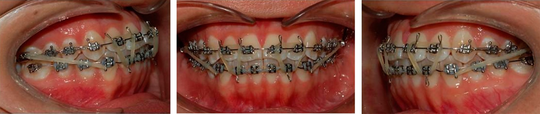
Una vez terminada la alineación y nivelación en ambas arcadas fue necesario tomar una radiografía panorámica y modelos de control para evaluar el paralelismo radicular. Después de recolocar los brackets se reniveló con arcos rectangulares 0.017" × 0.025" de nitinol. Posteriormente, se colocaron arcos de acero inoxidable 0.017" × 0.025" y se terminó asentando la mordida con elásticos clase III de 5/16" con una fuerza de 4.5 oz en conjunto con elásticos triangulares 3/16" 6 oz en los segmentos anteriores (Figura 6).

Resultados del tratamiento

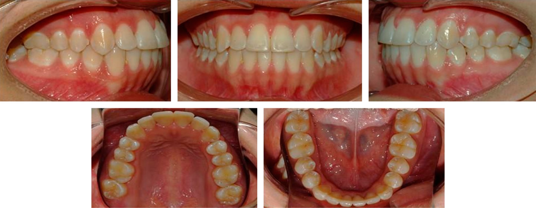
Los registros posteriores al tratamiento evidenciaron que se consiguieron los objetivos. Las fotografías faciales mostraron una mejor estética de perfil (Figura 7).

Se eliminó la incompetencia labial, se lograron una sobremordida y una intercuspidación aceptables. La desviación de la línea media se corrigió y las líneas medias dentales se alinearon con la línea media facial. Se eliminó la mordida cruzada anterior y se mejoraron las relaciones oclusales posteriores con un overjet bucal adecuado. Se establecieron relaciones caninas y molares clase I (Figura 8).

La ortopantomografía posterior al tratamiento mostró un espacio adecuado y un paralelismo radicular sin signos significativos de reabsorción ósea o radicular. El cefalograma postratamiento muestra los resultados obtenidos, corroborados por la superimposición de los trazos (Figuras 9 y 10).



DISCUSIóN

El tratamiento de ortodoncia llevado a cabo sin extracción tiende a seleccionarse como una alternativa para evitar el efecto negativo de un perfil cóncavo/recto. Se han utilizado dispositivos auxiliares como los elásticos tipo clase III,7 los cuales contribuyen a una inclinación distal de los molares mandibulares en conjunto con el enderezamiento de los incisivos mandibulares y en la rotación en sentido contrario a las manecillas del reloj del plano oclusal, lo que resulta en la corrección de relaciones con sobremordida horizontal y de los molares. Sin embargo, estas estrategias de tratamiento requieren la cooperación del paciente, lo que significa que a menudo es difícil usar tales aditamentos auxiliares en su atención. En nuestro caso, funcionaron de forma muy efectiva, por lo que se lograron los objetivos propuestos en el tratamiento ortodóntico. Complementar el tratamiento con el desgaste interproximal hace posible a los ortodoncistas evitar tener que extraer dientes,8 como en este reporte. Tiene relevancia porque un gran porcentaje de pacientes adultos tienen perfiles con cierto nivel de compromiso estético. Tal es el caso de la doble protrusión dental. Cuando estos pacientes tienen un periodonto sano y un apiñamiento moderado de 8 mm aproximadamente, la extracción se convierte en el método de elección para obtener el espacio necesario hacia la alineación de los dientes. Además, la reducción interproximal también ha mostrado una disminución del tiempo de tratamiento en los casos de discrepancia dentaria, lo que a su vez permite mantener la inclinación de los incisivos inferiores y evitar así la proinclinación durante el tratamiento. Algunos autores han comparado el tratamiento con extracciones y pérdida de anclaje en la parte posterior con el tratamiento de reducción interproximal, donde se demostró que no hubo diferencias significativas en los cambios esqueléticos, pero sí en tejidos blandos. El grupo de extracciones mostró labios ligeramente retruidos en comparación con el tratamiento de desgaste interproximal.8,9 Por otro lado, el desgaste interproximal puede mejorar la estabilidad dentaria postratamiento debido al aumento de las áreas de contacto entre los dientes,9 aunque durante años se ha utilizado como tratamiento de la irregularidad dentaria postratamiento.

Sheridan3 demostró que la reducción interproximal se puede realizar no sólo en los dientes anteriores, sino también en los sectores posteriores del arco, volviendo la reducción interproximal una alternativa viable a la extracción de dientes permanentes en los casos en que se encuentran en el límite (borderline). La terapia de desgaste interproximal se ha convertido en una herramienta fiable que los ortodoncistas pueden utilizar para evitar el aumento de la distancia intercanina, o bien, impedir proinclinar en exceso los incisivos inferiores por la vía labial. Al realizar la evaluación de la paciente al final del tratamiento se observó una mejor inclinación de la posición de los incisivos inferiores logrando un mejor balance de su perfil gracias a la reducción interproximal. Ésta ha demostrado ser una terapia alternativa y tener buen pronóstico para pacientes que se encuentran en el límite del tratamiento de extracción o no extracción, además de ser consistente con otros estudios reportados en la literatura.10,11

La mayoría de los estudios hacen énfasis en el correcto diagnóstico y planificación para decidir el tratamiento de ortodoncia con o sin extracciones. Se resalta la importancia de realizar procedimientos conservadores o no y los efectos que éstos tendrían en el perfil facial del paciente. La extracción no obedece sólo a la falta de espacio, sino también a todos los factores que influyen en un adecuado diagnóstico tales como la cantidad de apiñamiento, el efecto pronosticado del tratamiento sobre la protrusión labial, cantidad de sobremordida horizontal y vertical presente y el estado periodontal del paciente.



CONCLUSIóN

El tratamiento realizado con reducción interproximal en esta paciente logró una oclusión funcional estable y un balance facial.


REFERENCIAS (EN ESTE ARTÍCULO)

  1. Bernstein L. Edward H. Angle versus Calvin S. Case: extraction versus nonextraction. Historical revisionism. Part II. Am J Orthod Dentofacial Orthop. 1992; 102 (6): 546-551.

  2. Valverde R, Mickle U, Valverde S. Extracción vs. no extracción: el dilema en ortodoncia y los cuatro determinantes de extracción. Odontol Pediatr. 2012; 11: 125-135.

  3. Sheridan J. Air-rotor stripping update. J Clin Orthod. 1987; 21 (11): 781-788.

  4. Meneses Bedoya DL, Botero Mariaca P. Aplicaciones y ventajas estéticas de la reducción interproximal del esmalte. Rev Nac Odontol. 2014; 10 (18): 67-73.

  5. Uribe Restrepo GA. Ortodoncia. Teoría y clínica. Corporación para investigaciones biológicas. Medellín, Colombia: Corporación para Investigaciones Biológicas; 2004.

  6. Pecora NG, Bacetti T, McNamara JA. The aging craniofacial complex: a longitudinal cephalometric study from late adolescence to late adulthood. Am J Orthod Dentofacial Orthop. 2008; 134 (4): 496-505.

  7. Nakamura M, Kawanabe N, Kataoka T, Murakami T, Yamashiro T, Kamioka H. Comparative evaluation of treatment outcomes between temporary anchorage devices and class III elastics in class III malocclusions. Am J Orthod Dentofac Orthop. 2017; 151 (6): 1116-1124.

  8. Ritter DE. Class I malocclusion with anterior crossbite and severe crowding. Dental Press J Orthod. 2014; 19 (2): 115-125.

  9. Germec D, Taner TU. Effects of extraction and non-extraction therapy with air-rotor stripping on facial esthetics in post adolescent borderline patients. Am J Orthod. 2008; 133: 539-549.

  10. Torres Orozco Y, Gurrola Martínez B, Casasa AA. Tratamiento ortodóncico sin extracciones, caso clínico. Rev Latinoam Ortodon Odontopediatr. 2016. Disponible en: https://www.ortodoncia.ws/publicaciones/2016/art-18/

  11. Peck H, Peck S. An index for assessing tooth shape deviations as applied to the mandibular incisors. Am J Orthod. 1972; 61 (4): 384-401.

  12. Andrews LF. The six keys to normal occlusion. Am J Orthod. 1972; 62 (3): 296-309.

  13. Formby WA, Nanda RS, Currier GF. Longitudinal changes in the adult facial profile. Am J Orthod Dentofacial Orthop. 1994; 105 (5): 464-476.

  14. Quaglio CL, de Freitas KM, de Freitas MR, Janson G, Henriques JF. Stability and relapse of maxillary anterior crowding treatment in class I and class II division 1 malocclusions. Am J Orthod Dentofacial Orthop. 2011; 139: 768-774.

  15. Balarezo Gutiérrez MA, Sigüencia Cruz V, Bravo Calderón ME. Tratamiento de ortodoncia sin extracción dental. Revisión de la literatura. Rev Latinoam Ortodon Odontopediatr. 2014. Disponible en: https://www.ortodoncia.ws/publicaciones/2014/art-22/

  16. Rodríguez NR, Garcés YL, Fuentes YI, Silot EBL, Ocaña NB. Aplicación del stripping o desgaste interdentario en pacientes con discrepancia hueso-diente negativa. Rev Inf Cient. 2013; 79 (3): 1-8.

  17. Pontons JC, Fernandes da Cunha L, Yoshio Furuse A, Rafael Francisco LM, Mondelli J. Reestablecimiento estético y funcional de la guía anterior utilizando la técnica de estratificación con resina compuesta. Acta Odontol Venez. 2009; 47 (2): 418-424.

  18. Proffit W. Ortodoncia contemporánea. 4a ed. España: Elsevier; 2008.

  19. Proffit WR. Interarch elastics: their place in modern orthodontics. In: Hosl E, Baldauf A, eds. Mechanical and biological basics in orthodontic therapy. Germany: Huthig; 1991. pp. 173-178.

  20. Bratu C, Fleser C, Glavan F. The effect of intermaxillary elastics in orthodontic therapy. TMJ. 2004; 54 (4): 406-409.

  21. Sarver DM. Enameloplasty and esthetic finishing in orthodontics-identification and treatment of microesthetic features in orthodontics part 1. J Esthet Restor Dent. 2011; 23 (5): 296-302.

  22. Frindel C. Clear thinking about interproximal stripping. J Dentofacial Anom Orthod. 2010; 13: 187-199.



AFILIACIONES

1 Universidad Autónoma de Baja California (UABC) campus Tijuana; Centro Universitario de Postgrado e Investigación en Salud. Tijuana, Baja California.

2 Universidad Autónoma Metropolitana Unidad Xochimilco (UAM-X). México.



CORRESPONDENCIA

José Luis Pérez Vázquez. E-mail: jl.perezvaz001@gmail.com
Daniel Cerrillo Lara. E-mail: danielcerrillo@uabc.edu.mx




Recibido: Diciembre 2019. Aceptado: Marzo 2020.

Figura 1
Figura 2
Figura 3
Figura 4
Figura 5
Figura 6
Figura 7
Figura 8
Figura 9
Figura 10

2020     |     www.medigraphic.com

Mi perfil

C?MO CITAR (Vancouver)

Rev Mex Ortodon. 2020;8

ARTíCULOS SIMILARES

CARGANDO ...