medigraphic.com
ENGLISH

Revista Mexicana de Ortodoncia

ISSN 2395-9215 (Impreso)
Órgano Oficial de Difusión de la Facultad de Odontología de la UNAM
  • Mostrar índice
  • Números disponibles
  • Información
    • Información general        
    • Directorio
  • Publicar
    • Instrucciones para autores        
  • medigraphic.com
    • Inicio
    • Índice de revistas            
    • Registro / Acceso
  • Mi perfil

2020, Número 1

<< Anterior Siguiente >>

Rev Mex Ortodon 2020; 8 (1)


Cambios en el balance facial de un paciente con exceso de crecimiento vertical del maxilar

Robalino León, Gabriela Verónica1; Damián Mosquera, Eduardo2; Quezada Lara, Irving3; Hernández Carvallo, José Ramón4; Rodríguez Pérez, Alejandra5
Texto completo Cómo citar este artículo Artículos similares

Idioma: Español/Inglés [English version]
Referencias bibliográficas: 13
Paginas: 33-40
Archivo PDF: 271.06 Kb.


PALABRAS CLAVE

Exceso de crecimiento vertical, estética, sonrisa gingival, síndrome de cara larga.

RESUMEN

Introducción: La sonrisa es una expresión facial que se da por la contracción de 17 músculos que se encuentran alrededor de los ojos y boca. El balance facial es un punto fundamental a la hora de establecer un plan de tratamiento ortodóncico-quirúrgico, debido a la importancia que se le ha dado a la cara, tanto por las diferentes estructuras que se encuentran allí como por el valor social que representa. La etiología de las alteraciones verticales se considera multifactorial e incluye los aspectos genéticos y los ambientales, junto con la gran variabilidad presente entre las personas. Caso clínico: Se reporta paciente femenino de 21 años, clase I esquelética, clase I molar derecha y III izquierda por ausencia de OD 35, clase I canina bilateral, sonrisa gingival de 8 mm, exposición de incisivo en reposo de 6 mm, incompetencia labial, mordida borde a borde anterior, mordida cruzada posterior derecha. El tratamiento consistió en ortodoncia prequirúrgica, cirugía ortognática bimaxilar, ortodoncia postquirúrgica y retención. Objetivos: Los objetivos del tratamiento fueron la corrección ortodóncica-quirúrgica del exceso de la dimensión vertical del maxilar, otorgar estabilidad oclusal y estética facial. Resultados: Se logró una adecuada relación maxilomandibular, clase I canina bilateral, clase I molar derecha y III izquierda, coincidencia de líneas medias, estética facial y estabilidad oclusal. Conclusión: El estudio de los componentes del balance facial es un complemento fundamental para el tratamiento de pacientes con alteraciones faciales y con la valoración de los tejidos blandos es posible predecir los cambios estéticos que tendrá el paciente al final del tratamiento. El ortodoncista debe conocer las alternativas de tratamiento para ofrecérselas al paciente. La cirugía maxilofacial y la ortodoncia deben integrar el estudio de la estética facial en el diagnóstico para brindar al paciente un tratamiento integral.



INTRODUCCIóN

La sonrisa es una expresión facial que se da por la contracción de 17 músculos que se encuentran alrededor de los ojos y boca.1 La sonrisa se da en dos fases, en la primera hay una contracción del labio superior y del pliegue nasolabial por la acción de tres músculos: elevador del labio superior, cigomático mayor y fibras superiores del buccinador; en la segunda fase hay una contracción de la musculatura periocular por la elevación del labio superior.1

Resulta fácil decir que la parte más importante del balance facial es la sonrisa, pero esto no es del todo cierto, las proporciones verticales del paciente también son un aspecto importante.1

El balance facial es un punto fundamental a la hora de establecer un plan de tratamiento ortodóncico-quirúrgico, debido a la importancia que se le ha dado a la cara, tanto por las diferentes estructuras que se encuentran allí como por el valor social que representa. Es así como la cara ha adquirido mucha importancia en diversas disciplinas, como las artísticas, las biológicas y las antropológicas, y cada una de ellas según su ideología han visto el rostro humano y sus constituyentes desde diferentes ángulos.2

El excesivo desarrollo de la dimensión facial se consideró como un problema clínico hasta finales de la década de los 60. Por las características estéticas, faciales y cefalométricas similares de estos pacientes y el exceso vertical maxilar como común denominador, es que en 1985 se le da el nombre de exceso vertical maxilar.3

Schendel fue el primero en describir en la literatura el término de "síndrome de cara larga" para referirse al exceso vertical del maxilar que generalmente se definía como hiperdivergente (crecimiento vertical), y que estaba caracterizado por un tercio facial inferior aumentado, dando como resultado la apariencia de una cara larga.4

La etiología de las alteraciones verticales se considera multifactorial e incluye los aspectos genéticos y los ambientales, junto con la gran variabilidad presente entre las personas. Entre los factores genéticos más importantes se encuentran el patrón neuromuscular, heredabilidad de las dimensiones faciales verticales y características étnicas. Mientras que en los factores ambientales encontramos, entre otros, la respiración bucal y succión digital, etcétera.2,5

Los pacientes con esta problemática presentan rasgos característicos como el tercio superior en norma, la nariz generalmente es angosta, al igual que la base alar y depresión del área nasolabial, el tercio medio se presenta aumentado, resequedad de la comisura nasolabial, excesiva exposición dental en reposo, distancia interlabial aumentada, retroposición del mentón, rotación inferior de la porción posterior del maxilar, la mandíbula tiende a rotar hacia abajo y atrás, espacio faríngeo largo pero angosto, inflamación de la mucosa nasal, incompetencia labial, etcétera.5

La exposición gingival en sonrisa depende de varios factores, por lo que conseguir niveles ideales de exposición gingival es usualmente difícil, ya que requiere la identificación y corrección exacta de la causa del problema, la cual puede ser esquelética, dental o ambas.5-7



CASO CLíNICO

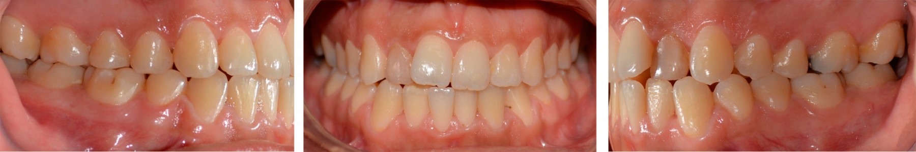
Paciente femenino de 21 años que se presenta en el Centro de Alta Especialidad "Dr. Rafael Lucio", cuyo motivo de consulta es "quiero cerrar la boca bien", no refiere alergias ni malos hábitos. Presenta un biotipo dolicofacial, cara ovalada, línea media facial no coincide con la línea media dental superior, sonrisa gingival de 8 mm y exposición de incisivo en reposo de 6 mm, con un perfil recto, deficiencia del tercio medio facial (Figura 1), mordida borde a borde en el sector anterior, mordida cruzada unilateral derecha posterior, un overjet de 0 mm, clase I canina bilateral, clase I molar derecha y III izquierda por la ausencia del OD 35, apiñamiento leve superior e inferior (Figura 2).



PLAN DE TRATAMIENTO

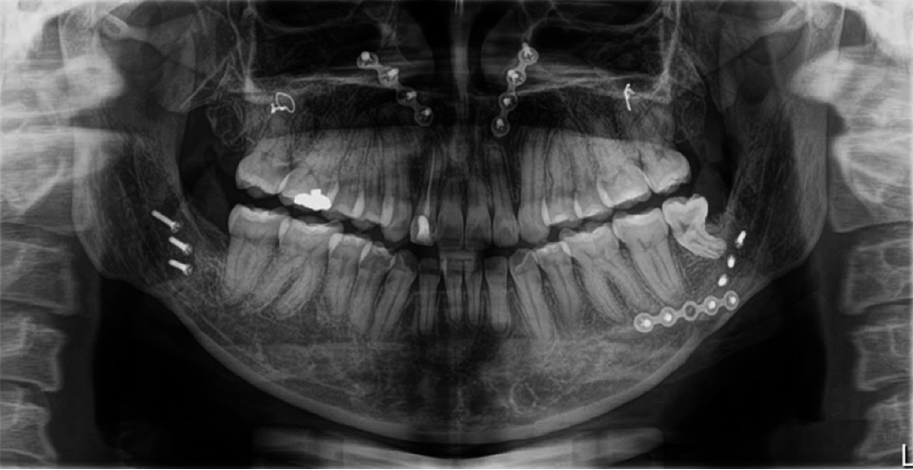
De acuerdo con la evaluación de los estudios radiográficos (Figuras 3 y 4), fotografías extra- e intraorales y datos cefalométricos (Tabla 1) se decide realizar tratamiento ortodóncico-quirúrgico y de esta manera cumplir con los objetivos planeados.

Fase prequirúrgica: cementación de brackets CCO slot 0.022" × 0.028", iniciando con arcos NiTi 0.014" en ambas arcadas para comenzar con la alineación y nivelación. El tratamiento continuó con arcos 0.016" NiTi, 0.016" × 0.022" NiTi, 0.019" × 0.025" NiTi, 0.019" × 0.025" acero.

Al cabo de 18 meses se revaloró el caso con estudios radiográficos y modelos de estudio junto con el Departamento de Cirugía Oral y Maxilofacial y se programó la cirugía ortognática. Se colocaron arcos quirúrgicos previos a la cirugía, arco 0.019" × 0.025" de acero inoxidable con ganchos quirúrgicos. La primera fase del tratamiento constó de 20 meses.

Fase quirúrgica: se determinó realizar cirugía bimaxilar, en el maxilar superior se realizó una osteotomía Le Fort tipo 1 alta por la hipoplasia del tercio medio que presentaba el paciente, se realizó un avance maxilar de 4 mm y una intrusión maxilar de 6 mm en anterior y 5 mm en posterior. En la mandíbula se realizó una OSRAM (osteotomía sagital de rama), con anterorrotación mandibular. La segunda fase constó de tres semanas, desde la cirugía hasta la primera cita postquirúrgica, previa recuperación.

Fase ortodóntica posquirúrgica: 21 días después de la cirugía se indicaron elásticos intermaxilares con el fin de corregir la línea media, los patrones musculares y mejorar asentamiento. En la retención se indicaron retenedores circunferenciales superior e inferior. La última fase constó de nueve meses.



RESULTADOS

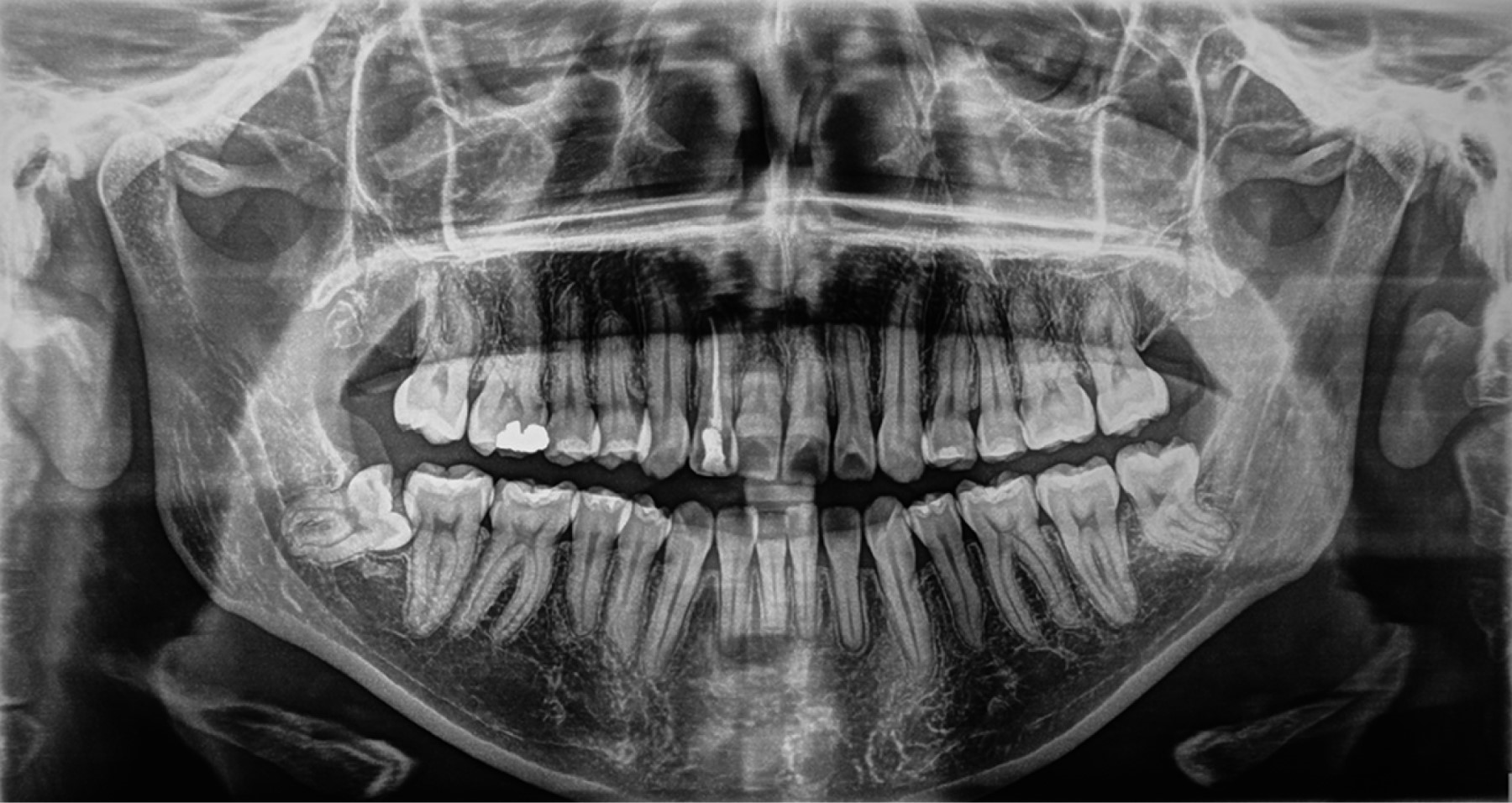
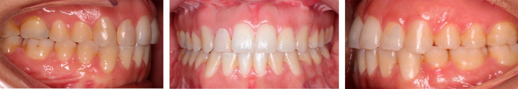
La duración del tratamiento fue de 32 meses, se alcanzó la coordinación de ambas arcadas, se corrigió el exceso de crecimiento vertical de la paciente, se consiguió clase I canina bilateral, sonrisa con arco positivo, correcta guía anterior (overjet y overbite), coincidencia de las líneas medias, se eliminó la mordida borde a borde en sector anterior y la mordida cruzada en sector posterior derecho (Figuras 5 y 6). En el examen radiográfico se observó paralelismo radicular y las adecuadas inclinaciones de los incisivos (Figuras 7 y 8, Tabla 2).



DISCUSIóN

La sonrisa gingival es la mayor preocupación estética del paciente, por lo cual se han descrito algunas técnicas no invasivas que mejoran la apariencia, mas no corrigen la función. Guerra Leal en 2011, y Cope y Sachdeva en 1999, describen la ortodoncia de camuflaje al producir los movimientos compensatorios que pueden mejorar la apariencia facial, sin embargo, el resultado final exhibe características poco atractivas.8,9

Aunque el abordaje ortopédico es una opción cuando el problema es sagital o transversal, el resultado del tratamiento para problemas esqueléticos verticales continúa siendo controversial.10

Meneses López en 2005 propone que la inyección de toxina botulínica reduce la exposición gingival durante la sonrisa debido a la inmovilización de la musculatura peribucal, aunque ésta no es una solución permanente.6,8-11

Falcón-Guerrero en 2018 estudia el alargamiento del labio superior a través de V-Y plastia y gingivoplastia, como alternativas poco invasivas para disminuir la exposición gingival. Guerra y colaboradores, en 2011, analizaron que estos procedimientos no garantizaban la estabilidad con el tiempo.8,12

Otra opción es el uso de dispositivos de anclaje temporal (TAD, por sus siglas en inglés), para intrusión en el sector anterior y así tratar de disminuir la sonrisa gingival, aunque esta opción tiene sus limitaciones.13

Epker y Wolford en 1980 proponen la osteotomía Le Fort I de impactación, la cual permite corregir el exceso vertical maxilar, porque elimina el excedente y reposiciona el maxilar superiormente, al mismo tiempo que reduce la altura del proceso alveolar y acorta el tercio inferior facial. Adicionalmente, Nielsen en 2011 destaca que el procedimiento brinda estabilidad funcional a largo plazo, ya que es fijado a través del material de osteosíntesis que contribuye a la estabilidad durante el proceso de consolidación ósea. El paciente con exceso vertical maxilar o cualquier otra deformidad dentofacial que distorsione la armonía facial, puede presentar una baja autoestima, que puede mejorar posterior a la cirugía ortognática, consiguiendo mayor seguridad durante su desarrollo psicosocial.8,13



CONCLUSIóN

El estudio de los componentes del balance facial es un complemento fundamental para el tratamiento de pacientes con alteraciones faciales. Hay que tener en cuenta que con la valoración de los tejidos blandos es posible predecir los cambios estéticos que tendrá nuestro paciente al final del tratamiento. El ortodoncista debe tener conocimiento de las alternativas de tratamiento para poder ofrecérselas al paciente. En la actualidad, tanto en cirugía maxilofacial como en ortodoncia se integra el estudio de la estética facial en el diagnóstico para brindar un tratamiento integral al paciente.


REFERENCIAS (EN ESTE ARTÍCULO)

  1. Londoño Bolívar MA, Botero Mariaca P. La sonrisa y sus dimensiones. Rev Fac Odontol Univ Antioq. 2012; 23 (2): 253-365.

  2. Ocampo ZM. Diagnóstico de las alteraciones verticales dentofaciales. Rev Fac Odont Univ Ant. 2005; 17 (1): 84-97.

  3. Proffit W. Ortodoncia, teoría y práctica. 3a ed. Madrid: Harcourt; 2001.

  4. Schendel SA, Eisenfeld J, Bell WH, Epker BN, Mishelevich DJ. The long face syndrome: vertical maxillary excess. Am J Orthod. 1976; 70 (4): 398-408.

  5. Roca Mendoza DR. Características cefalométricas del crecimiento vertical durante el pico de crecimiento mandibular en las maloclusiones esqueléticas [Tesis]. Lima, Perú: Universidad Nacional Mayor de San Marcos; 2014.

  6. Meneses López A, Marin SY, Hiromoto OJ, Tuesta da Cruz O, Ventura Ponce H. Tratamiento ortodóncico-quirúrgico de un paciente con síndrome de cara larga. Rev Estomatol Herediana. 2005; 15 (1): 67-72.

  7. Flores-Vignolo R, Meneses-López A, Liñán-Durán C. Influencia de la exposición gingival en la percepción estética de la sonrisa. Rev Estomatol Herediana. 2013; 23 (2): 76-82.

  8. Guerra Leal DA, Miranda Villasana JE. Tratamiento de deformidades dentofaciales con protrusión alveolodentaria maxilar. Rev Odontol Mex. 2011; 15 (1): 40-45.

  9. Cope JB, Sachdeva RC. Nonsurgical correction of a class II malocclusion with a vertical growth tendency. Am J Orthod Dentofacial Orthop. 1999; 116 (1): 66-74.

  10. Sankey WL, Buschang PH, English J, Owen AH 3rd. Early treatment of vertical skeletal dysplasia: the hyperdivergent phenotype. Am J Orthod Dentofacial Orthop. 2000; 118 (3): 317-327.

  11. Nunes L, Ferrao Junior JP, Feres Teixeira SA, Leandro L, Fernando L, García Guevara HA. Tratamiento de la sonrisa gingival con la toxina botulínica tipo A: caso clínico. Rev Esp Cir Oral Maxilofac. 2015; 37 (4): 229-232.

  12. Falcón-Guerrero B. Tratamiento de la sonrisa gingival excesiva mediante reposicionamiento labial. Rev ADM. 2018; 75 (2): 112-116.

  13. Paik CH, Park HS, Ahn HW. Treatment of vertical maxillary excess without open bite in a skeletal class II hyperdivergent patient. Angle Orthod. 2017; 87 (4): 625-633.



AFILIACIONES

1 Residente del Posgrado de Ortodoncia. Universidad Nacional Autónoma de México campus Centro de Alta Especialidad (CAE-UNAM). México.

2 Egresado del Posgrado de Cirugía Maxilofacial. Universidad Nacional Autónoma de México campus Centro de Alta Especialidad (CAE-UNAM). México.

3 Egresado del Posgrado de Ortodoncia. Universidad Nacional Autónoma de México campus Centro de Alta Especialidad (CAE-UNAM). México.

4 Coordinador del Posgrado. Universidad Nacional Autónoma de México campus Centro de Alta Especialidad (CAE-UNAM). México.

5 Cirujano adscrito del Posgrado de Cirugía Maxilofacial. Universidad Nacional Autónoma de México campus Centro de Alta Especialidad (CAE-UNAM). México.



CORRESPONDENCIA

Gabriela Verónica Robalino León. E-mail: gabyvrobalinoleon@gmail.com




Recibido: Marzo 2020. Aceptado: Mayo 2020.

Figura 1
Figura 2
Figura 3
Figura 4
Figura 5
Figura 6
Figura 7
Figura 8
Tabla 1
Tabla 2

2020     |     www.medigraphic.com

Mi perfil

C?MO CITAR (Vancouver)

Rev Mex Ortodon. 2020;8

ARTíCULOS SIMILARES

CARGANDO ...