medigraphic.com
ENGLISH

Revista Mexicana de Ortodoncia

ISSN 2395-9215 (Impreso)
Órgano Oficial de Difusión de la Facultad de Odontología de la UNAM
  • Mostrar índice
  • Números disponibles
  • Información
    • Información general        
    • Directorio
  • Publicar
    • Instrucciones para autores        
  • medigraphic.com
    • Inicio
    • Índice de revistas            
    • Registro / Acceso
  • Mi perfil

2020, Número 1

<< Anterior Siguiente >>

Rev Mex Ortodon 2020; 8 (1)


Corrección de mordida abierta anterior con maloclusión clase III esqueletal. Reporte de caso clínico

Rodríguez González, Mario1; Hernández-Espinosa, Guillermo1; Pesqueira-Melgarejo, Roberto1; Rodríguez-Chávez, Jacqueline Adelina2
Texto completo Cómo citar este artículo Artículos similares

Idioma: Español/Inglés [English version]
Referencias bibliográficas: 18
Paginas: 50-59
Archivo PDF: 378.05 Kb.


PALABRAS CLAVE

Mordida abierta, clase III, overjet, overbite.

RESUMEN

Introducción: La mordida abierta es una falta de superposición vertical entre ambos incisivos. Este tipo de problema vertical puede deberse a diversos factores ambientales o a determinados hábitos. Presentación del caso: Paciente femenino de 15 años que refiere malestar con el aspecto de sus dientes. Presentaba mordida abierta anterior dental, perfil convexo, un biotipo facial normocefálico, relaciones molares de clase I y canina clase II bilateral, y una maloclusión clase III esqueletal por hipoplasia maxilar compensada esqueletalmente por el crecimiento vertical de la mandíbula. Se realizó extracción de los primeros premolares superiores e inferiores, seguido de la cementación de aparatología fija MBT 0.022", se comenzó la etapa de alineación con arcos redondos de nitinol en calibre 0.014" y 0.016", para después nivelar con un arco 0.019" × 0.025" de nitinol. El cierre de espacios se realizó con tie back activo en inferior en un arco 0.019" × 0.025". En superior, del lado izquierdo con un tie back y del lado derecho con un loop de cierre. Se realizó stripping interdentario y se utilizaron elásticos intermaxilares. Resultados: Después de un año y 10 meses de tratamiento, el resultado fue obtenido. Los cambios más significativos los obtuvimos en el IMPA y en el Wits. Conclusión: La mordida abierta siempre será un reto difícil para el ortodoncista, la clave del éxito radica en el diagnóstico y etiología del mismo.



INTRODUCCIóN

La mordida abierta es una falta de superposición vertical entre ambos incisivos y para cuantificarla se mide la separación existente entre éstos. Este tipo de problema vertical puede deberse a diversos factores ambientales o a determinados hábitos.1 Esta alteración dentofacial puede ser causada por un patrón anormal de crecimiento, hábito de dedo, obstrucción de vías aéreas o una mala posición de la lengua.2 La prevalencia va desde 1.5 a 11% y a pesar de que es un porcentaje mínimo, la demanda para el tratamiento de este tipo de maloclusión es muy común, aproximadamente 17% de los pacientes tratados con ortodoncia presenta mordida abierta anterior.3

Los principales problemas que presentan este tipo de pacientes son disminución de la estética dental, problemas al comer, escupir de manera involuntaria al hablar, desgaste de las cúspides de los molares y también problemas de autoestima. Los ortodoncistas han reconocido que la mordida abierta anterior es difícil de tratar y tiende al relapso postratamiento.4 Se reportó que en más de 35% de pacientes tratados con ortodoncia convencional hubo un relapso de 3 mm o más a los 10 años de retención.5

Existen dos tipos de mordida abierta, la de tipo dental y la de tipo esqueletal. La de tipo dental se caracteriza por presentarse en la región anterior, de canino a canino y está asociada a un patrón craneofacial normal, incisivos proinclinados, falta de erupción de los dientes anteriores, deglución infantil y hábitos de succión de pulgar o de algún otro dedo de la mano. La de tipo esquelético presenta una erupción normal de los dientes anteriores, rotación hacia abajo de la mandíbula, excesiva erupción de los dientes posteriores, cefalométricamente se puede observar una excesiva altura facial anterior y también está asociada con hábitos de succión digital y deglución atípica.1

El contacto entre premolares es el punto ideal de referencia para el plano oclusal y esto ayudará a obtener un tratamiento exitoso y estable.6

La mordida abierta es un problema difícil de tratar, además, un factor a considerar es la recidiva, ya que se presenta en un porcentaje alto. Varios autores describen diferentes tipos de tratamiento para corregir dicho problema, como la utilización de espolones, terapia miofuncional, alineadores, ajuste oclusal, anclaje cigomático, intrusión molar con mini-implantes y arcos multiloop.4,7-13

Se reportó una sobreerupción de molares en pacientes con mordida abierta, en comparación con pacientes que presentan un overbite adecuado, una proinclinación de incisivos superiores y una retroinclinación de incisivos inferiores en pacientes de clase III.14

Se observó también una satisfactoria corrección de la mordida abierta con intrusión de molares, pero éstos tendían a reerupcionar entre 0.5 a 1.5 mm.15

Una opción de tratamiento es la extracción de los primeros molares superiores e inferiores para así poder disminuir la dimensión vertical y poder aumentar la altura facial anterior.16

Se presenta el caso de una paciente de clase III esqueletal normocefálico con mordida abierta anterior, la cual se trató con extracciones de primeros premolares superiores e inferiores.



CASO CLíNICO

Diagnóstico y plan de tratamiento. Paciente femenino de 15 años de edad, sin antecedentes médicos relevantes, acude a la Clínica de Ortodoncia de la Universidad Autónoma de Guadalajara, el motivo de consulta es que no le gusta el aspecto de sus dientes.

En el análisis antropométrico encontramos que la paciente es de tipo euriprosopo con un perfil convexo, el tercio superior disminuido, el ancho bucal coincide con la distancia inter-iris, sonrisa asimétrica, competencia labial, nariz y frente recta, labio inferior ligeramente por delante de la línea estética facial, distancia cervicomental corta y molares deprimidos, como se muestra en la Figura 1A.

Dentro del análisis intraoral encontramos una mordida abierta anterior más marcada del lado derecho, márgenes gingivales irregulares, líneas medias dentales no coincidentes y la inferior desviada con respecto a la superior 2 mm hacia la derecha, overjet y overbite de -4 y 3 mm, respectivamente, relación clase I molar derecha e izquierda y clase II canina bilateral, arco superior ovalado con apiñamiento severo en el sector anterior, órgano dentario #22 en mordida cruzada, el arco inferior ovalado con apiñamiento leve y una curva de Spee de 1 mm como se muestra en las Figuras 1B y 2.

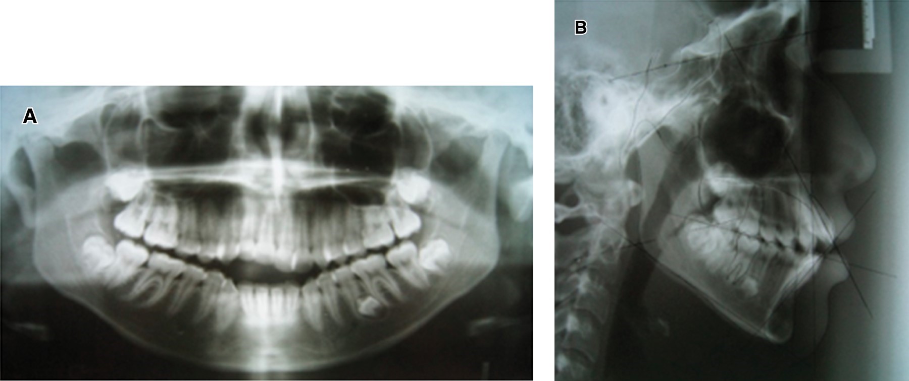
La radiografía panorámica nos muestra la presencia de un diente supernumerario que se encuentra dentro del hueso mandibular del lado izquierdo entre el segundo premolar y el primer molar, el cual va a ser retirado cuando el tratamiento haya concluido; ligero paralelismo radicular, presencia de gérmenes dentarios de los terceros molares superiores e inferiores, como se muestra en la Figura 3A. En la lateral del cráneo (Figura 3B) se utilizó el análisis cefalométrico de Steiner, arrojando un ANB de 5o y GoGn-SN de 45o y un Wits de -6 mm. Con los datos obtenidos se determinó diagnosticar a la paciente como una clase III por hipoplasia maxilar compensada esqueletalmente por el crecimiento vertical de la mandíbula como se muestra en la Tabla 1.

Durante la exploración se observó que el incisivo central superior derecho estaba muy por encima del plano oclusal, lo que nos llevó a pensar que posiblemente estaba anquilosado, sin embargo, la paciente no había referido ningún tipo de habito de succión digital. Se le comunicó a los padres de la paciente lo observado ya que, si durante el tratamiento el diente no se movía, tendría que ser extraído y necesitaría la valoración para la colocación de un implante o prótesis fija.

Objetivos del tratamiento. Cerrar la mordida abierta, descruzar el órgano dentario #22, coordinación de ambas arcadas, mantener clase I molar de ambos lados y conseguir clase I canina derecha e izquierda.

Plan de tratamiento. Consistió en extracción de los primeros premolares superiores e inferiores, aparatología MBT slot 0.022". Fase de alineación y nivelación, cierre de espacios, detallado de oclusión y retención final (removible superior e inferior).

Progresión del tratamiento. Se inició con la extracción de los primeros premolares superiores e inferiores, posteriormente se cementaron los brackets de tipo metálicos convencional MBT slot 0.022" para comenzar la fase de alineación y nivelación.

Después de cuatro meses de tratamiento se completó la nivelación de ambas arcadas, terminando ésta con un arco 0.019" × 0.025" de nitinol en ambas arcadas, y en este momento se prosiguió a comenzar el cierre de espacios con arcos 0.019" × 0.025" de acero inoxidable y ganchos crimpables con lace backs pasivos. Pasado un mes más de tratamiento, se comenzó a activar el arco con una cadena elástica. Se cerraron todos los espacios menos el cuadrante superior derecho.

El cierre del lado derecho se realizó con un arco de cierre con loop 0.017" × 0.025", ya que con el tie back activo tuvimos problemas para efectuar el cierre. Se colocaron desoclusores posteriores para destrabar la oclusión. Mes con mes se fue activando el loop hasta completar el cierre como se muestra en la Figura 4.

Después de que se logró el cierre del espacio faltante, se retiraron los desoclusores posteriores y se realizó stripping interdentario con lija entre los órganos dentarios #15 y #13; esto para lograr conseguir un mejor engrane del canino en clase I. Durante tres meses se hizo este procedimiento para después colocar un elástico intermaxilar con vector de clase II de ese mismo lado. En la fase de terminado se colocaron elásticos verticales para así finalizar con el tratamiento como se muestra en la Figura 5.



RESULTADOS

Extraoralmente hubo una disminución en la proyección del labio superior, lo que ayudó a mejorar el perfil facial y los cambios más significativos fueron intraorales. Se logró cerrar la mordida abierta con excelentes resultados estéticos, se mantuvo la relación clase I molar, se consiguió la relación canina de clase I con su respectiva guía canina y un overjet y overbite de 2 mm (Figura 6). El tiempo total de tratamiento fue de un año y 10 meses ininterrumpidos, terminando el caso con la mordida abierta corregida, con una relación clase I molar y canina, y una guía canina establecida (Figura 7A). Cefalométricamente los cambios más significativos fueron en los incisivos superiores que se retroinclinaron 8 mm, mientras que el IMPA quedó en 88o y el Wits en -1 mm (Tabla 1), en la Figura 7B y la superposición en la Figura 8 se observan los cambios dentales y esqueletales del paciente. Cabe señalar que la paciente presentó una mejora en su autoestima; en un principio se mostraba seria y al ver cómo su aspecto iba mejorando, mostró una actitud más positiva y llegaba con un entusiasmo muy notorio a sus citas de control. Al término del tratamiento, se remitió al Servicio de Cirugía Maxilofacial para extracción del diente supernumerario y terceros molares.



DISCUSIóN

Para cerrar una mordida abierta, la literatura menciona que la intrusión de molares por medio de mini-implantes es una buena opción de tratamiento;12,15 en este caso, la intrusión no era un procedimiento a seguir, ya que era un paciente normocefálico y no se quería evidenciar mucho más la clase III. Por lo cual se decidió hacer extracciones de primeros premolares para que el cambio fuera sólo de tipo dental. Los cambios se observaron en la posición de los incisivos superiores e inferiores, especialmente en la retroinclinación de los superiores. La nueva posición de los incisivos nos permitió cerrar la mordida y obtener un perfil facial mucho más armónico.

McLaughlin, Benett y Trevisi mencionan que en pacientes de clase III el IMPA es estable entre los 80 a 85o,17 y en nuestro caso obtuvimos un IMPA de 88o similar a lo encontrado por Arriola-Guillen y Flores-Mir, donde reportan una retroinclinación en el incisivo inferior en pacientes de clase III de hasta 10o o más grados.14

Tuvimos dificultad en la etapa del cierre de espacios del cuadrante superior derecho, por esta razón se optó por utilizar un arco de cierre con loop de gota para así eliminar la fricción y que el cierre fuera más libre.18



CONCLUSIóN

El abordaje y tratamiento de la mordida abierta es complicado, sin embargo, logramos los objetivos deseados, conseguimos cerrar la mordida abierta anterior, y se obtuvo una oclusión correcta con su respectiva guía canina. Con la extracción de premolares logramos reducir la protrusión dentaria y le dimos a la paciente una mejor armonía facial que le permitiera tener mayor confianza en sí misma. La retención es vital para prevenir el relapso y se necesita hacer hincapié en que los pacientes asistan a sus citas de control. La mordida abierta siempre será un reto difícil para el ortodoncista, la clave del éxito en la corrección del problema radica en el diagnóstico y en la etiología del mismo, teniendo estos elementos en cuenta se puede proponer un plan de tratamiento ideal y la tasa de éxito será mucho mayor.


REFERENCIAS (EN ESTE ARTÍCULO)

  1. 1. Proffit WR, Fields HW, Sarver DM. Ortodoncia contemporánea. 4a ed. España: Elsevier; 2008.

  2. Bilodeau J. Nonsurgical treatment of a class III patient with a lateral open-bite malocclusion. Am J Orthod Dentofacial Orthop. 2011; 140: 861-868.

  3. Artese A, Drummond S, Nascimento JM, Artese F. Criteria for diagnosing and treating anterior open bite with stability. Dental Press J Orthod. 2011; 16 (3): 136-161.

  4. Justus R. Correction of anterior open bite with spurs: long-term stability. World J Orthod. 2001; 2: 219-231.

  5. Lopez-Gavito G, Wallen TR, Little RM, Joondeph DR. Anterior open-bite malocclusion: a longitudinal 10-year postretention evaluation of orthodontically treated patients. Am J Orthod. 1985; 87 (3): 175-186.

  6. Choi YJ, Kim DJ, Nam J, Chung CJ, Kim KH. Cephalometric configuration of the occlusal plane in patients with anterior open bite. Am J Orthod Dentofacial Orthop. 2016; 149: 391-400.

  7. Smithpeter J, Covell D. Relapse of anterior open bites treated with orthodontic appliances with and without orofacial myofunctional therapy. Am J Orthod Dentofacial Orthop. 2010; 137: 605-614.

  8. Schupp W, Haubrich J, Neumann I. Treatment of anterior open bite with the Invisalign system. J Clin Orthod. 2010; 44 (8): 501-507.

  9. Bonfante G, Valle AL, Pegoraro LF, Barbosa LC, Barnabe W, Neto TM. Reducción de mordida abierta anterior a través de desgaste selectivo. Rev Odontol Dominic. 1999; 5: 32-36.

  10. Janson G, Crepaldi MV, Salvatore de Freitas KM. Evaluation of anterior open bite treatment with oclussal adjustment. Am J Orthod Dentofacial Orthop. 2008; 134: 10.e1-10.e9.

  11. Erverdi N, Usumez S, Solak A. New generation open-bite treatment with zygomatic anchorage. Angle Orthod. 2006; 76 (3): 519-526.

  12. Park YC, Lee HA, Choi NC, Kim DH. Open bite correction by intrusion of posterior teeth with miniscrews. Angle Orthod. 2008; 78 (4): 699-710.

  13. Kim YH. Anterior open bite and its treatment with multiloop edgewise archwire. Angle Orthod. 1987; 57: 290-321.

  14. Arriola-Guillen LE, Flores-Mir C. Molar heights and incisor inclinations in adults with class II and class III skeletal open-bite malocclusions. Am J Orthod Dentofacial Orthop. 2014; 145: 325-332.

  15. Scheffer NR, Proffit WR, Phillips C. Outcomes and stability in patients with anterior open bite and long anterior face height treated with temporary anchorage devices and maxillary intrusion splint. Am J Orthod Dentofacial Orthop. 2014; 146: 594-602.

  16. Oliveira KF, De Freitas KM, Valarelli FP, Cancado RH, De Menezes CC. Molar extraction in severe open bite treatment. J Surg Clin Dent. 2015; 1 (6): 11-16.

  17. McLaughlin RP, Benett JC, Trevisi HJ. Mecánica sistematizada del tratamiento ortodóntico. España: Elsevier; 2001.

  18. Pithon MM. Angle class I malocclusion with anterior open bite treated with extraction of permanent teeth. Dental Press J Orthod. 2013; 18 (2): 133-140.



AFILIACIONES

1 Especialidad de Ortodoncia. Universidad Autónoma de Guadalajara. México.

2 Departamento de Clínicas Odontológicas Integrales. Centro Universitario de Ciencias de la Salud.Universidad de Guadalajara. México.



CORRESPONDENCIA

Jacqueline Adelina Rodríguez-Chávez. E-mail: jacqueline.rchavez@academicos.udg.mx




Recibido: Enero 2020. Aceptado: Abril 2020.

Figura 1
Figura 2
Figura 3
Figura 4
Figura 5
Figura 6
Figura 7
Figura 8
Tabla 1

2020     |     www.medigraphic.com

Mi perfil

C?MO CITAR (Vancouver)

Rev Mex Ortodon. 2020;8

ARTíCULOS SIMILARES

CARGANDO ...