medigraphic.com
ENGLISH

Revista Mexicana de Ortodoncia

ISSN 2395-9215 (Impreso)
Órgano Oficial de Difusión de la Facultad de Odontología de la UNAM
  • Mostrar índice
  • Números disponibles
  • Información
    • Información general        
    • Directorio
  • Publicar
    • Instrucciones para autores        
  • medigraphic.com
    • Inicio
    • Índice de revistas            
    • Registro / Acceso
  • Mi perfil

2020, Número 1

<< Anterior

Rev Mex Ortodon 2020; 8 (1)


El rol del plano oclusal en la salud articular en el diagnóstico de ortodoncia (Parte I)

Puebla Ramos, Lorenzo1; Soto Castro, Tely Adriana2
Texto completo Cómo citar este artículo Artículos similares

Idioma: Español/Inglés [English version]
Referencias bibliográficas: 28
Paginas: 60-68
Archivo PDF: 219.67 Kb.


PALABRAS CLAVE

Plano oclusal, articulación temporomandibular, trastornos temporomandibulares.

RESUMEN

El plano oclusal corre sagitalmente desde la superficie oclusal más distal del último molar, pasa por las puntas de las cúspides de los dientes caninos y continúa hasta llegar a la zona incisiva, no es completamente plano, ya que debe presentar cierta curvatura, y también tiene una disposición transversal. Está conformado por las superficies oclusales y bordes incisales de todos los órganos dentarios. Se pueden tener varios tipos de planos oclusales en un mismo paciente dependiendo de la zona que queramos valorar, incluso también para fines diagnósticos o terapéuticos cuando los asociamos con otros planos anatómicos o cefalométricos. Tenemos claro el rol que tiene el plano oclusal en la salud y estabilidad articular sin importar la edad del paciente, necesidad de rehabilitación, tratamiento de ortodoncia, cirugía o consideraciones estéticas. Conformar la oclusión final es sin duda uno de los principios funcionales más importantes que tenemos que considerar al momento de corregir una maloclusión. Establecer la salud articular deseada y necesaria se traduce en estabilidad oclusal, muscular y esquelética. El aspecto estético será otro factor a considerar al momento de determinar la posición final del plano oclusal, ya que puede llegar a generar diferencias importantes que tienen que ver con la cantidad de diente y encía que se muestra sobre todo en la sonrisa del paciente.



INTRODUCCIóN

A través del tiempo ha existido un gran número de autores que proponen distintos planos oclusales, Downs en 1949, Steiner en 1949, Ricketts en 1950, Wright en 1966, Delaire en 1981, Karkazis en 1986, etc. Incluso se han relacionado con planos cefalométricos craneales como herramienta de diagnóstico, los cuales no mencionaremos porque es parte de otro tema.1-4

En 2008 Okeson5 define el plano oclusal como el que se forma si se traza una línea imaginaria a través de todas las puntas de las cúspides bucales y de los bordes incisivos de los dientes inferiores, y después corre un plano que abarque las puntas de las cúspides linguales y continúe a través de la arcada, incluyendo las puntas de las cúspides bucales y linguales de lado opuesto, introduciendo un pensamiento tridimensional oclusal.

Para entender y analizar es importante examinar cuidadosamente cada una de las estructuras que conforman el plano oclusal así como la posición necesaria para alcanzar una relación óptima con las estructuras que controlan el movimiento mandibular, las articulaciones temporomandibulares (ATM) y los dientes anteriores. Éstos son factores determinantes para alcanzar la mejor relación funcional con las ATM.

Las estructuras que controlan el movimiento mandibular se dividen en dos tipos: 1) las que influyen en el movimiento de la parte posterior de la mandíbula y 2) las que influyen en el movimiento de la parte anterior de la mandíbula. Las ATM se consideran los factores de control posterior (FCP) y los dientes anteriores son los factores de control anterior (FCA). Los dientes posteriores están situados entre los dos factores de control y por lo tanto, pueden verse afectados por ambos en diversos grados.4-6

Desde el punto de vista de la oclusión, la aparición de los incisivos marca por primera vez la conformación de un tripodismo oclusal dada por los dientes anteriores y las ATM. A partir de este momento se empiezan a dar importantes cambios anatómicos y funcionales, básicamente el desarrollo del tubérculo cigomático ante la modificación de los movimientos mandibulares que han pasado a ser ciclos más complejos que incluyen movimientos verticales, laterales y protrusivos.

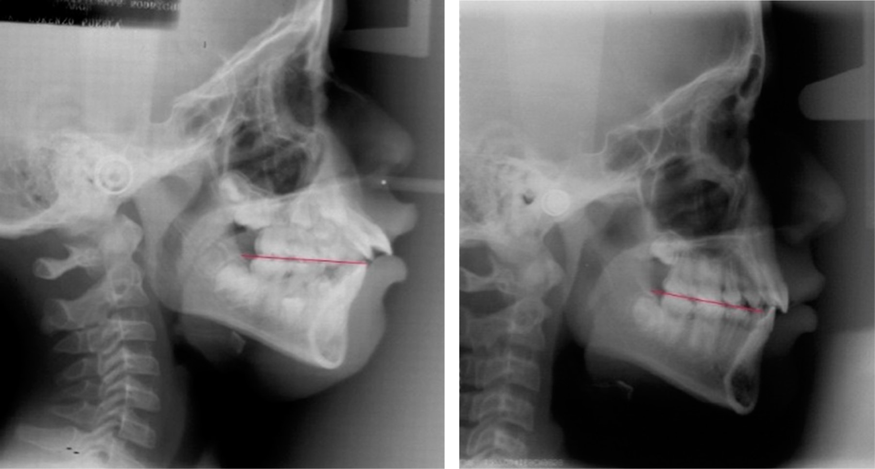
Conforme se va completando la dentición temporal se va produciendo el descenso del plano oclusal, que en el recién nacido está prácticamente a nivel de las ATM. En virtud de la dirección de los centros de crecimiento del maxilar superior, que es hacia abajo y adelante, se establece el primer plano oclusal, ya que a diferencia de la dentición permanente no presenta las características básicas para el diagnóstico tridimensional del plano oclusal (Figura 1) como la curva de Spee y/o de Wilson, donde se analizan las relaciones sagitales y transversales junto con la dimensión vertical.3,7,8

La curva de Spee se refiere a una curvatura sagital que va desde la cúspide de los caninos inferiores y se desplaza hacia atrás pasando por las cúspides de los premolares y molares; si la curvatura se continuara hacia atrás, pasaría a través del cóndilo (Figura 2).

La curva sagital del plano oclusal está diseñada para permitir la desoclusión de los dientes posteriores en el movimiento de protrusión y de esta manera se evitarán contactos prematuros de oclusión, en combinación con la guía anterior y guía condilar. Cuando se presenta la separación de los dientes posteriores por medio del contacto incisal, los músculos elevadores ejercen presión (de carga y no sobrecarga) sobre los dientes anteriores y cóndilos. Si no se llegara a cumplir con esta sincronía de movimiento y fuerza regulada por el sistema sensor, sin duda comenzará una serie de daños directamente sobre la masa dental, músculos, articulaciones y estructura periodontal.

La curva de Wilson es muy importante en el plano oclusal, es transversal y entra en contacto con las cúspides bucales y linguales en cada lado de la arcada. Las cúspides linguales deben estar más bajas que las bucales en la arcada inferior, y en el arco superior las cúspides palatinas están más bajas que las vestibulares. Las inclinaciones de los dientes posteriores permiten que exista resistencia a la carga y la función masticatoria sea correcta cuando trabajan en sincronía los músculos de la lengua y buccinadores.2,6,8,9

Tenemos que entender que el asentamiento del plano oclusal es una estructura funcional primordial y no sólo es una consideración estética. La literatura considera que la exposición de encía del maxilar superior debe ser de 0-2 mm en sonrisa y que los bordes incisales de los dientes superiores deben mostrarse de 2-4 mm cuando el labio se encuentra en reposo. Sin embargo, debemos tener ciertas consideraciones como que los incisivos superiores disminuyen su exposición con la edad, es decir, los pacientes jóvenes tienen mayor exposición de los dientes superiores, mientras que los adultos muestran más los dientes inferiores. Estas consideraciones son muy importantes y deben tomarse en cuenta al momento de determinar qué tipo de plano oclusal estético funcional (POEF) queramos dejar, de acuerdo con la edad del paciente (Figura 3).10,11

La forma e inclinación del plano oclusal así como sus características individuales están relacionadas con la función del sistema estomatognático, al igual que con la estética dentofacial. Es muy importante determinar cuál es el plano oclusal en el que se basará la interpretación diagnóstica o terapéutica del paciente, ya que además de tener diferentes planos oclusales dentro de la misma boca, por ejemplo, el plano oclusal funcional (POF) o el plano oclusal bisectado (PLB), encontramos diferencias de asentamiento oclusal en pacientes clase II y III o en pacientes con crecimiento vertical y crecimiento horizontal.7,11-13

La predicción del crecimiento craneofacial es una meta fundamental en la biología craneofacial y es una preocupación importante dentro de la ortodoncia y cualquier área de la odontología, ya que es clave en el diagnóstico, prevención, intercepción y tratamiento de las maloclusiones. Hasta la fecha no está completamente claro cómo ocurre un crecimiento anormal en los diferentes esquemas dentoesqueletales debido a los diferentes factores que están involucrados y sus interacciones. Entre los factores se encuentran flexión de la base craneal, erupción dental, dimensión vertical, plano oclusal, crecimiento intrínseco maxilar y mandibular, factores genéticos y medio ambiente. El significado de la inclinación del plano oclusal en particular como un factor primario determinante en el establecimiento de la posición mandibular sigue sin entenderse.2,9,14

Shudy puntualizó que la relación entre el crecimiento efectivo vertical condilar (crecimiento horizontal) y el crecimiento vertical de los molares determina si la mandíbula rota hacia abajo o hacia adelante, o simplemente no rota. El plano oclusal es el efecto, no la causa de la relación anatómica atribuible al crecimiento condilar (relacionado al crecimiento vertical) como la clave para los cambios del crecimiento vertical.15,16

Los planos transversales llegan a sufrir alteraciones no nada más dentales, sino también dentoesqueletales que pueden ser alteraciones congénitas o del desarrollo.

Las asimetrías estructurales craneomandibulares son de origen congénito (heredofamiliar) o adquirido (traumático y/o infeccioso), que durante el crecimiento se pueden llegar a acentuar dependiendo de la severidad o manifestación de ésta. Las alteraciones repercuten en el asentamiento del plano oclusal y en la mayoría de los casos llegan a producir planos oclusales diferentes, es decir, de un lado se produce un plano oclusal y del lado contralateral otro, dependiendo de la severidad de la asimetría. Las cargas o fuerzas del sistema muscular también son de suma importancia para el desarrollo y correcto funcionamiento de la oclusión porque determinan en gran medida la adaptación o desadaptación del sistema musculoesquelético.17-19

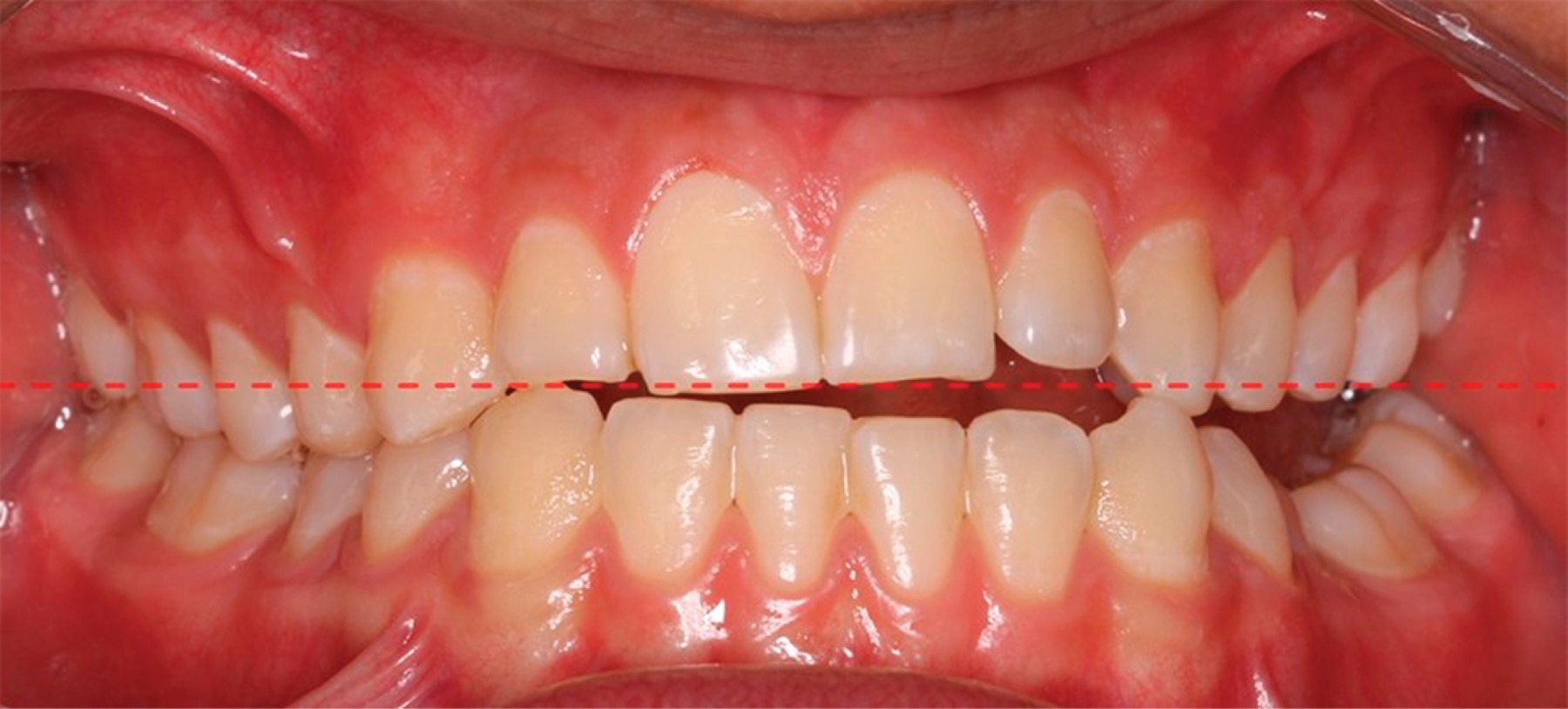
Las asimetrías se presentan en los tres planos del espacio y se pueden llegar a manifestar en los tres tercios de la cara; sin embargo, en el tercio inferior se observa el mayor el problema, quizá porque es donde participan los componentes del sistema estomatognático (músculos, ligamentos, dientes, articulaciones, etc.). El plano oclusal será un factor determinante en la posición y adaptación de la mandíbula, variando los grados de inclinación del mismo o los planos oclusales que presente la oclusión del paciente. Por lo tanto, el grado de inclinación del plano o planos oclusales será directamente proporcional a los grados de desviación de la mandíbula tanto de sus tejidos duros como blandos y con respecto a la línea media facial o elementos de valoración de la simetría facial.11,14,17,18,20

Es frecuente encontrar que en las asimetrías faciales se desarrollen trastornos temporomandibulares (TTM) tanto en el lado hacia donde se presenta la desviación de la mandíbula como hacia donde se encuentra el canteamiento del plano oclusal, donde es más frecuente en el lado ipsilateral (lado hacia donde está el canteamiento), que del lado contralateral. La mayoría de los estudios de asimetría facial se enfocan en la desviación de la mandíbula, y algunos han descrito la relación entre la desviación lateral mandibular y la inclinación del plano oclusal.

Existe una fuerte correlación entre la desviación lateral de la mandíbula y el canteamiento del maxilar superior, que tiende a ser la inclinación hacia donde se desvía la mandíbula. Sin embargo, en algunas ocasiones la mandíbula puede estar desviada hacia un lado y el plano oclusal estar inclinado hacia el lado contralateral.

Por lo general, las áreas de mayor fuerza oclusal y de mayor área de contacto oclusal es en el lado hacia donde se desvía la mandíbula y hacia donde está inclinado el plano oclusal. Cabe destacar que no necesariamente es el lado donde predomina la sintomatología de las articulaciones (Figuras 4 y 5).11,12,18,19,21

La corrección de las deformidades dentolabiales a menudo requiere de cirugía bimaxilar para alcanzar un adecuado resultado estético y funcional, la cual debe corroborarse por medio de criterios esenciales cefalométricos y clínicos, pero sin duda la decisión depende de la angulación del plano oclusal que se quiera obtener. Dejar un plano oclusal funcional se determinará sobre todo por valoración cefalométrica.

Entre las consideraciones que debemos tener en cuanto a las ATM, en primer lugar hay que evaluar el estatus en el cual se encuentran previo a la cirugía, particularmente en los casos en que se disminuirá la inclinación del plano oclusal. El o los movimientos que se lleven a cabo para reubicar el plano oclusal siempre serán sin generar sobrecarga por parte de los músculos sobre articulaciones, tejido blando y estructuras dentoalveolares para que tengan la oportunidad de readaptarse (Figura 6).11,22-24

Opdebeeck y colaboradores25 establecieron las diferencias morfométricas y anatómicas mediante cefalometrías en pacientes con síndrome de cara larga y cara corta. La principal diferencia morfológica se asocia con la rotación de la mandíbula, en el primer síndrome es hacia abajo y atrás (sentido horario); en cambio, en pacientes con síndrome de cara corta la mandíbula rota con dirección anterior y superior (sentido antihorario), lo que representa cambios en la posición condilar debido a la rotación mandibular, y en otras estructuras anatómicas que cambian de posición como el hueso hioides e incluso la lengua.

El reconocimiento del plano oclusal parece ser sencillo, pero cuando el clínico se enfrenta a alteraciones de curvaturas excesivas, mordidas abiertas o profundas o severa maloclusión, es complicado determinar el plano oclusal. Reyneke sugiere trabajar con el uso de dos diferentes planos oclusales, el oclusal superior y el oclusal inferior, los cuales son totalmente aplicables a la planificación quirúrgica.19,24,26-28



CONCLUSIONES

Determinar el plano oclusal es un procedimiento sencillo que no debe tener mayor error o complicación al momento de ubicarlo, siempre y cuando tengamos claros los criterios (diagnósticos, terapéuticos, de estética dental y facial, sonrisa, aspectos funcionales, de estabilidad, etc.) que se aplicarán para llevar a cabo un determinado tratamiento. Existen diferentes planos oclusales que podemos utilizar en nuestra planificación, dependiendo del tipo de tratamiento que llevaremos a cabo (fase preventiva o temprana, ortodoncia interceptiva o correctiva, tratamiento de cirugía ortognática, etcétera).

El establecimiento del plano oclusal es primordial y básico durante el tratamiento de una maloclusión porque tiene una relación directa con la función y estabilidad del tratamiento a elegir, y dependerá en gran medida de la armonía y buen funcionamiento de las ATM, ya que ambas deben tener una relación de sincronía funcional completa.

En la segunda parte de este artículo mostraremos cómo la inclinación del plano oclusal es proporcional a la inclinación de la eminencia articular y directamente se encuentra relacionada con la inclinación de los dientes anteriores, lo cual permite que la articulación temporomandibular funcione en verdad como una articulación ortopédica en relación céntrica, libre de sobrecarga y donde los músculos que están involucrados trabajan en neuropacificación.


REFERENCIAS (EN ESTE ARTÍCULO)

  1. Martínez Arriagada VP. Estudio comparativo entre el plano oclusal según la definición de Ricketts [Tesis]. Universidad de Chile Facultad de odontología; Santiago de Chile: 2014.

  2. Ricketts RM. The influence of orthodontic treatment on facial growth and development. Angle Orthod. 1960; 30: 103-133.

  3. Tweed CH. The Frankfort-mandibular incisor Angle (FMIA) in orthodontics diagnosis, treatment planning and prognosis. Angle Orthod. 1954; 24: 121-69.

  4. Ricketts RM. Variation of the temporomandibular joint as revealed by cephalometric laminagraphy. Am J Orthod. 1950; 36: 877-892.

  5. Okeson JP. Tratamiento de oclusión y afecciones temporomandibulares. Capítulo 6. 5ª ed. St Louis: Mosby; 2008. pp. 129-146.

  6. Angle EH. Malocclusion of the teeth. 7th edition. Philadelphia: S.S. White; 1907.

  7. Alonso AA, Albertini JS, Bechelli AH. Oclusión y diagnóstico en rehabilitación oral. Cap. 1. Buenos Aires: Ed. Médica Panamericana; 2003.

  8. Angle EH. Classification of malocclusion. Dent Cosmos. 1889; 41: 248-264.

  9. Dawson PE. Oclusión funcional: diseño de la sonrisa a partir de la ATM. Capítulo 20. El plano de oclusión. Venezuela: Amolca; 2009. pp. 200, 206.

  10. Camara CA, Martins RP. Functional aesthetic occlusal plane (FAOP). Dental Press J Orthod. 2016;21(4):114-125.

  11. Downs WB. Variation in facial relationships: their significance in treatment and prognosis. Am J Orthod. 1948; 34: 812-840.

  12. Li JL, Kau C, Wang M. Changes of occlusal plane inclination after orthodontic treatment in different dentoskeletal frames. Prog Orthod. 2014; 15 (1): 41.

  13. Jarabak JR, Fizzel JA. Technique and treatment with light wire appliances. 2nd edition. St Louis: Mosby; 1972.

  14. Tanaka EM, Sato S. Longitudinal alteration of the occlusal plane and development of different dentoskeletal frames during growth. Am J Orthod Dentofacial Orthop. 2008; 134 (5): 602.e1-11; discussion 602-3.

  15. Shudy GF. A longitudinal cephalometric study of post-treatment craniofacial growth: its implications in orthodontic treatment. Am J Orthod. 1974; 63: 39.

  16. Bjork A. The face in the profile. Lund: Berlingska Boktryckeriet; 1947.

  17. Vig PS, Hewitt AB. Asymmetry of the human facial skeleton. Angle Orthod. 1975; 45 (2): 125-129.

  18. Corte CC, Silveira BL, Marquezan M. Influence of occlusal plane inclination and mandibular deviation on esthetics. Dental Press J Orthod. 2015; 20 (5): 50-57.

  19. Sassouni V. A roentgenographic cephalometric analysis of cephalo-faciodental relationships. Am J Orthod. 1955; 41: 735-764.

  20. Severt TR, Proffit WR. The prevalence of facial asymmetry in the dentofacial deformities population at the University of North Carolina. Int J Adult Orthodon Orthognath Surg. 1997; 12 (3): 171-176.

  21. Uesugi S, Yonemitsu I, Kokai S, Takei M, Omura S, Ono T. Features in subjects with the frontal occlusal plane inclined toward the contralateral side of the mandibular deviation. Am J Orthod Dentofacial Orthop. 2016; 149 (1): 46-54.

  22. Wolford LM, Chemello PD, Hilliard F. Occlusal plane alteration in orthognathic surgery--Part I: Effects on function and esthetics. Am J Orthod Dentofacial Orthop. 1994; 106 (3): 304-316.

  23. Steiner CC. Cephalometrics for you and me. Am J Orthod. 1953; 39: 729-755.

  24. McNamara JA. A method of cephalometric evaluation. Am J Orthod. 1984; 86: 449-469.

  25. Opdebeeck H, Bell WH, Eisenfeld J, Mishelevich D. Comparative study between the SFS and LFS rotation as a possible morphogenic mechanism. Am J Orthod. 1978; 74 (5): 509-521.

  26. Olate S, Chaves Netto HDM. Manipulación del plano oclusal en cirugía ortognática: consideraciones faciales. Int J Odontostomat. 2010; 4 (1): 23-32.

  27. Canut JA. Ortodoncia clínica. Cap. 26. España: Ed. Masson SA; 1988.

  28. Reyneke JP, Tsakiris P, Kienle F. A simple classification for surgical treatment planning of maxillomandibular asymmetry. Br J Oral Maxillofac Surg. 1997; 35 (5): 349-351.



AFILIACIONES

1 Expresidente del Colegio de Ortodoncia y Ortopedia Dentomaxilofacial del Distrito Federal. México.

2 Profesora invitada en el Postgrado de Ortodoncia de la Universidad Autónoma de Baja California (UABC Campus Mexicali). México.



CORRESPONDENCIA

Dr. Lorenzo Puebla Ramos. E-mail: lorenzopr_1@hotmail.com




Recibido: Agosto 2019. Aceptado: Octubre 2019.

Figura 1
Figura 2
Figura 3
Figura 4
Figura 5
Figura 6

2020     |     www.medigraphic.com

Mi perfil

C?MO CITAR (Vancouver)

Rev Mex Ortodon. 2020;8

ARTíCULOS SIMILARES

CARGANDO ...