medigraphic.com
ENGLISH

Revista Mexicana de Cirugía Endoscópica

ISSN 1665-2576 (Impreso)
  • Mostrar índice
  • Números disponibles
  • Información
    • Información general        
    • Directorio
  • Publicar
    • Instrucciones para autores        
    • Envío de artículos
  • medigraphic.com
    • Inicio
    • Índice de revistas            
    • Registro / Acceso
  • Mi perfil

2021, Número 1

<< Anterior

Rev Mex Cir Endoscop 2021; 22 (1)


Falla en la interpretación ultrasonográfica y tomográfica de la colecistitis aguda: presentación de imágenes clínicas

Garteiz-Martínez, Denzil1; Lozano-Zalce, Horacio2
Texto completo Cómo citar este artículo 10.35366/102893

DOI

DOI: 10.35366/102893
URL: https://dx.doi.org/10.35366/102893
Artículos similares

Idioma: Español
Referencias bibliográficas: 4
Paginas: 38-40
Archivo PDF: 203.80 Kb.


PALABRAS CLAVE

Colecistitis aguda, error diagnóstico, ultrasonido, tomografía, imagen clínica.



El ultrasonido y la tomografía son estudios muy útiles para la evaluación de pacientes con dolor abdominal, pero en el caso de la colecistitis aguda, no es infrecuente que existan fallas en la interpretación de sus resultados. La sensibilidad y especificidad reportadas en la literatura para el ultrasonido son de 81% (IC 95%: 75-87%) y 83% (IC 95%: 74-89%), mientras que para la tomografía son de 94% (IC 95%: 73-99%) y 59% (IC 95%: 42-74%), respectivamente.1

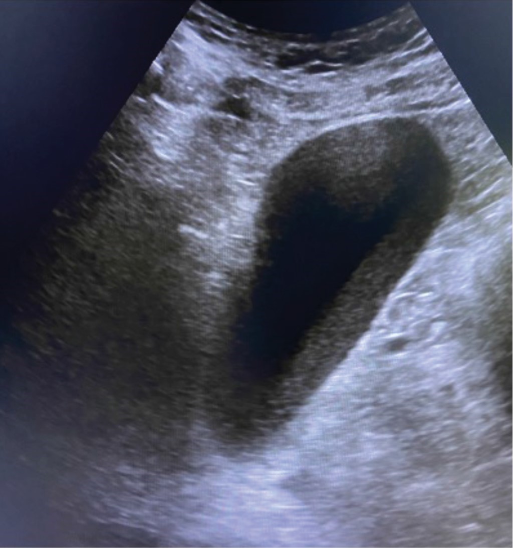
La primera imagen que presentamos muestra el ultrasonido de un paciente masculino de 70 años que acudió a urgencias por dolor epigástrico, náusea y vómito. A la exploración física no presentaba datos de irritación peritoneal o signo de Murphy, probablemente debido a que había recibido analgésicos opioides previamente. Tampoco se encontraron alteraciones en sus laboratorios de ingreso. La interpretación del ultrasonido inicial describió sólo la presencia de lodo biliar pero "sin datos de inflamación" al momento del estudio, ausencia de cálculos en su interior, distensión vesicular "satisfactoria", pared con grosor de 1.6 mm y colédoco con calibre de 3.2 mm (Figura 1).

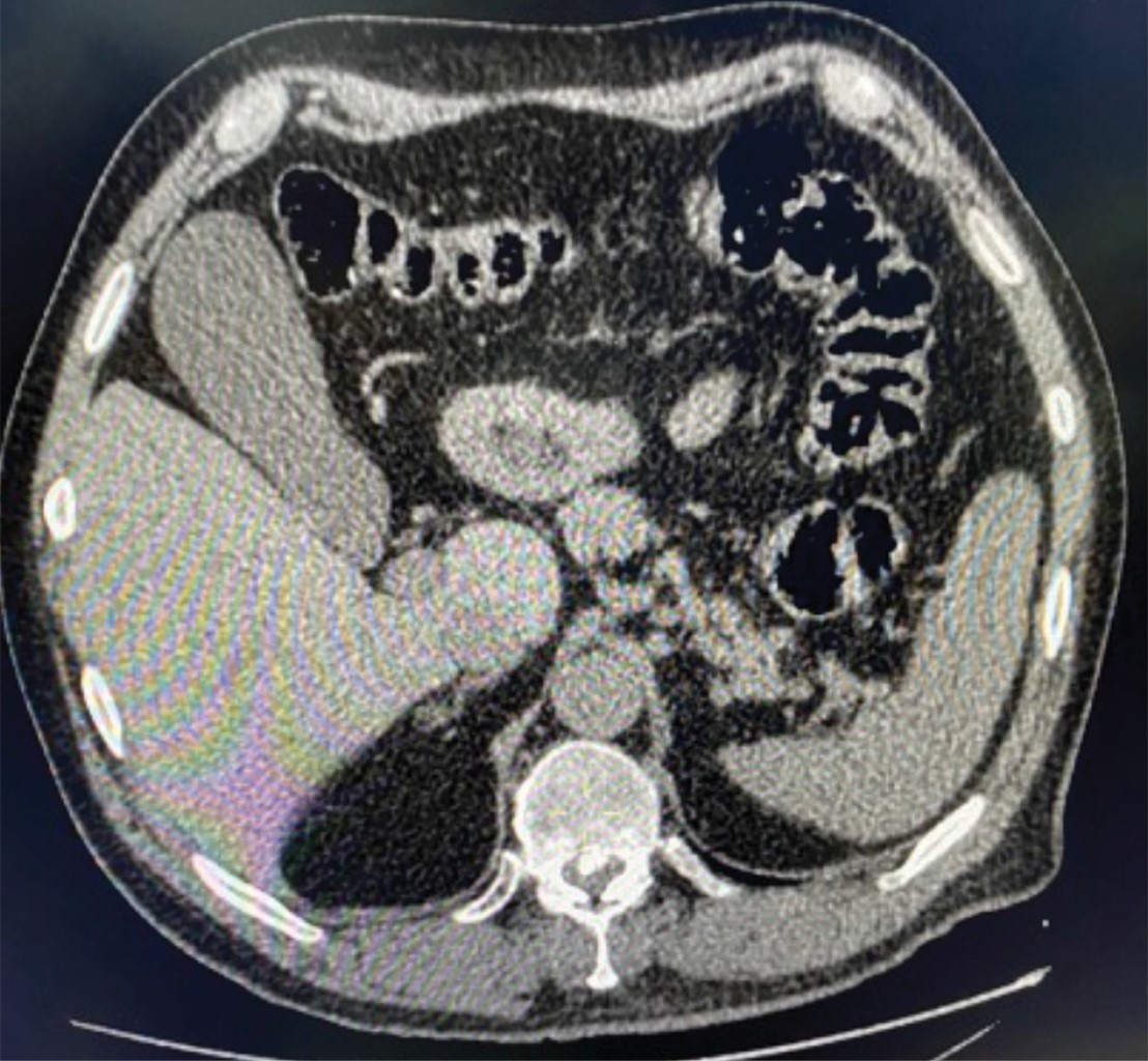
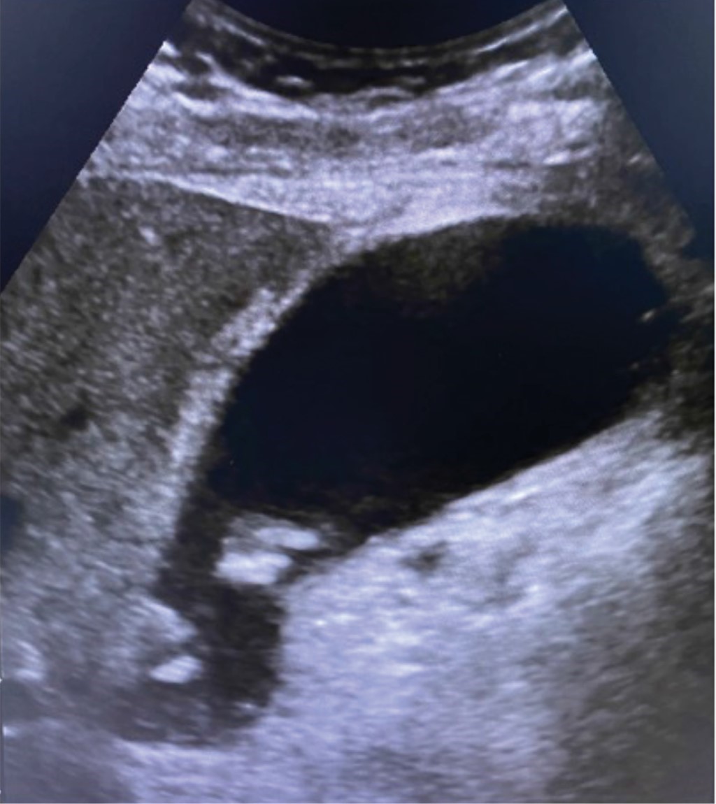
Ante la falta de diagnóstico preciso, se realizó tomografía de abdomen en donde no se pudo documentar alguna patología intraabdominal que justificara el dolor del paciente y que reportó nuevamente la presencia de lodo biliar, pero ninguna alteración vesicular o biliar agregada (Figura 2). Después de unas horas de observación sin analgésicos, el dolor volvió a incrementarse y fue más evidente su localización en el hipocondrio derecho. Un segundo ultrasonido, realizado por otro radiólogo, interpretó incremento generalizado de las dimensiones de la vesícula con franco engrosamiento parietal de 8 mm, escasa cantidad de líquido perivesicular, imagen en "tela de cebolla", signo de Murphy sonográfico positivo y ecos que ocupaban el cuello vesicular y proyectaban sombra acústica posterior (Figura 3). El paciente fue sometido a colecistectomía laparoscópica, donde se encontró vesícula severamente inflamada, con engrosamiento generalizado de su pared, gran distensión y datos de isquemia focal (Figura 4).

El ultrasonido es el método más común para la evaluación de patología vesicular, sin embargo, su interpretación es operador dependiente, está sujeta a cierta subjetividad y tiene mayor margen de error comparado con otras modalidades de imagen (otros estudios). Por otra parte, aunque la tomografía es útil para descartar diferentes causas de dolor abdominal, por lo general no es recomendada para evaluar patología vesicular. En ambos estudios, los hallazgos que apoyan el diagnóstico de colecistitis aguda son la presencia de edema o engrosamiento de la pared vesicular, distensión vesicular, cálculos biliares, líquido perivesicular o aire en la pared de la vesícula.

Un estudio sobre las fallas en la interpretación del ultrasonido encontró como causas principales la falta de reconocimiento de edema de pared o de distensión vesicular, así como ausencia de diagnóstico concluyente en el reporte radiológico.2 El edema de pared suele ser más fácil de identificar en el borde hepático de la vesícula y debe ser buscado específicamente ahí. De forma convencional, se considera que un diámetro transversal de más de 4 cm se asocia con obstrucción e inflamación aguda, no obstante, la forma de la vesícula puede variar considerablemente y el sitio de medición también. En el mismo trabajo de Brook,2 todos los casos de subdiagnóstico de colecistitis aguda reportaron distensión importante de la vesícula, pero sin engrosamiento de la pared, lo cual hace sospechar que, al menos en un inicio del cuadro, el aumento del diámetro vesicular produce adelgazamiento de la pared que dificulta la visualización del edema. Esto sugiere que se debe dar mayor importancia a la distensión de la vesícula que al engrosamiento de su pared al interpretar el estudio. Aunque es raro que el ultrasonido no visualice la presencia de cálculos, éste también puede ser un factor de falla en la interpretación.

En el caso de la tomografía, la identificación (visualización) de cálculos biliares no calcificados tiene sensibilidad muy baja (25-88%),2 ya que los litos y la bilis son isointensos y, por lo tanto, no es una herramienta útil para el diagnóstico de colecistitis litiásica. Aunque existen las técnicas tomográficas con energía dual3 que sí permiten distinguir estas estructuras, aún no es común contar con este recurso en la mayoría de los hospitales. Otro dato poco reportado en tomografía, que ha sido descrito como predictor temprano de inflamación, es el reforzamiento hepático perivesicular en la fase arterial.4

Factores adicionales que dificultan el diagnóstico clínico de colecistitis aguda son edad avanzada, presencia de diabetes mellitus, uso de analgésicos, índice de masa corporal y presencia de gas intestinal. Es en estos pacientes en donde, tanto los radiólogos como los cirujanos, debemos poner mayor atención en la interpretación de los estudios radiológicos y correlacionarlos con la presentación clínica para poder ofrecer una resolución quirúrgica oportuna cuando ésta sea necesaria.


REFERENCIAS (EN ESTE ARTÍCULO)

  1. Kiewiet JJ, Leeuwenburgh MM, Bipat S, Bossuyt PM, Stoker J, Boermeester MA. A systematic review and meta-analysis of diagnostic performance of imaging in acute cholecystitis. Radiology. 2012; 264: 708-720.

  2. Brook OR, Kane RA, Tyagi G, Siewert B, Kruskal JB. Lessons learned from quality assurance: errors in the diagnosis of acute cholecystitis on ultrasound and CT. AJR Am J Roentgenol. 2011; 196: 597-604.

  3. Matos C. Will dual-energy CT become the reference standard to evaluate gallstone disease? Radiology. 2019; 292: 407-408.

  4. Kim YK, Kwak HS, Kim CS, Han YM, Jeong TO, Kim IH et al. CT findings of mild forms or early manifestations of acute cholecystitis. Clin Imaging. 2009; 33 (4): 274-280.



AFILIACIONES

1 Cirugía General. ORCID: 0000-0002-8479-4076. Hospital Ángeles Lomas. Estado de México, México.

2 Departamento de Imagenología. Hospital Ángeles Lomas. Estado de México, México.



CORRESPONDENCIA

Dr. Denzil Garteiz-Martínez, MSc, FACS. E-mail: denzilgarteiz@yahoo.com




Recibido: 16/11/2021. Aceptado: 19/11/2021.

Figura 1
Figura 2
Figura 3
Figura 4

2020     |     www.medigraphic.com

Mi perfil

C?MO CITAR (Vancouver)

Rev Mex Cir Endoscop. 2021;22

ARTíCULOS SIMILARES

CARGANDO ...