medigraphic.com
ENGLISH

Revista Mexicana de Cirugía Endoscópica

ISSN 1665-2576 (Impreso)
  • Mostrar índice
  • Números disponibles
  • Información
    • Información general        
    • Directorio
  • Publicar
    • Instrucciones para autores        
    • Envío de artículos
  • medigraphic.com
    • Inicio
    • Índice de revistas            
    • Registro / Acceso
  • Mi perfil

2021, Número 1

<< Anterior Siguiente >>

Rev Mex Cir Endoscop 2021; 22 (1)


Diverticulitis yeyunal: causa poco frecuente de abdomen agudo en el adulto mayor

Garteiz-Martínez, Denzil1,2; Weber-Sánchez, Alejandro1; Jorge, Diego Leonardo3; Carbó-Romano, Rafael1
Texto completo Cómo citar este artículo 10.35366/102892

DOI

DOI: 10.35366/102892
URL: https://dx.doi.org/10.35366/102892
Artículos similares

Idioma: Español
Referencias bibliográficas: 9
Paginas: 34-37
Archivo PDF: 210.25 Kb.


PALABRAS CLAVE

Divertículo yeyunal, abdomen agudo, adultos, caso clínico.

RESUMEN

Introducción: Entre las causas poco frecuentes de dolor abdominal en el adulto mayor se encuentra la diverticulosis de intestino delgado. Se puede presentar con una gran diversidad de síntomas digestivos desde diarrea, hemorragia y malabsorción hasta obstrucción intestinal, abdomen agudo y sepsis. El diagnóstico adecuado requiere de un alto índice de sospecha y muchas veces se llega a él en forma incidental durante la exploración quirúrgica. Caso clínico: Paciente masculino de 80 años con datos de abdomen agudo, en el cual se realiza tomografía que muestra múltiples saculaciones en el tubo digestivo (desde duodeno hasta colon), una de ellas perforada y abscedada. Se somete a laparoscopía corroborando presencia de divertículo yeyunal perforado, por lo cual se realiza resección intestinal y anastomosis mano asistida. Presenta evolución favorable y sin complicaciones en el seguimiento posoperatorio. Conclusión: Este reporte ejemplifica la presentación clínica, los criterios diagnósticos y opciones terapéuticas de una causa poco frecuente de abdomen agudo en el adulto mayor.



INTRODUCCIóN

Entre las causas de dolor abdominal en el adulto mayor, suelen destacar la enfermedad ácido-péptica, apendicitis aguda, enfermedad diverticular, obstrucción intestinal, isquemia intestinal y malignidad del tubo digestivo. Es extraordinariamente raro que se piense en la diverticulosis del intestino delgado como primera opción diagnóstica. Sin embargo, en pacientes de edad avanzada, ésta puede ser la causa de una gran diversidad de síntomas digestivos como diarrea, hemorragia, obstrucción intestinal, abdomen agudo y sepsis. Para realizar un diagnóstico adecuado, se requiere un alto índice de sospecha y, aunque los estudios de imagen contrastados los pueden detectar con cierta facilidad, muchas veces se llega a éste en forma incidental durante la exploración quirúrgica. En este reporte se presenta un caso que ejemplifica la presentación clínica, los criterios diagnósticos y los hallazgos quirúrgicos de esta enfermedad.



PRESENTACIóN DEL CASO

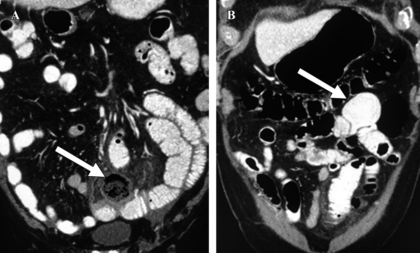
Paciente masculino de 80 años con mal estado general, dolor abdominal de 48 horas de evolución, fiebre, leucocitosis e irritación peritoneal localizada hacia la fosa iliaca izquierda. Antecedentes de dolor abdominal crónico y diarrea atribuidos a síndrome de intestino irritable y diverticulosis sigmoidea. Diagnosticado inicialmente con un cuadro de probable enfermedad diverticular complicada del colon, por lo cual se le solicitó tomografía abdominal contrastada. En dicho estudio, se reportó la presencia de un plastrón inflamatorio asociado a un segmento de intestino delgado en la zona del hipogastrio y líquido libre en la cavidad abdominal. En el segmento intestinal afectado, se observó engrosamiento parietal difuso con estriación del tejido graso del mesenterio y una imagen redondeada de 3.7 cm de diámetro con líquido y aire en su interior dependiente del asa intestinal (Figura 1A). Además, se describieron múltiples imágenes saculares, con contraste en su interior, a nivel de duodeno, íleon, yeyuno (Figura 1B) y colon.

El paciente fue sometido a exploración laparoscópica, donde se corroboró la presencia de múltiples divertículos en intestino delgado (Figura 2A), uno de ellos con franca necrosis en su pared y un absceso sellado adjunto (Figura 2B). Se realizó la resección de un segmento intestinal de aproximadamente 40 cm, que incluía el divertículo perforado y otro cercano, debido a inflamación contigua (Figura 3). El tránsito intestinal se restituyó con anastomosis mano-asistida y se realizó lavado y drenaje de la cavidad abdominal. El reporte de patología corroboró la presencia de un divertículo de 5 cm de diámetro, perforado con necrosis extensa en su pared (Figura 4). El paciente tuvo una evolución sin complicaciones.



DISCUSIóN

La diverticulitis yeyunal es una enfermedad que puede simular cualquier otra causa de abdomen agudo, pero de la cual rara vez se sospecha en forma inicial. Su prevalencia es tan baja que se ha reportado sólo en 0.3 a 1.4% de autopsias y 2% en estudios baritados.1 Claramente es mucho menos frecuente que la enfermedad diverticular del colon, el duodeno o el íleon.2 Sin embargo, más de 80% de los casos corresponde a adultos mayores, y por este motivo, debe ser un diagnóstico contemplado en este grupo etario.1

Su etiología no se conoce bien, pero parece estar relacionada con alteraciones de la motilidad intestinal, cirugías previas y obstrucción por enterolitos.3 Se cree que puede ser ocasionada por trastornos como la esclerosis sistémica, neuropatías, miopatías y bridas posquirúrgicas.2 También se ha asociado con dietas bajas en fibra y altas en azúcares refinadas, obesidad, estreñimiento, tabaquismo, sedentarismo y consumo de antiinflamatorios no esteroideos.4,5

El diagnóstico clínico es complejo, debido a que hasta 75% de los casos pueden ser asintomáticos. Además, también suelen simular otras patologías digestivas, ya que pueden manifestarse con sangrado de tubo digestivo, diarrea crónica, dolor intermitente, malabsorción y, en casos avanzados, perforación u obstrucción intestinal.6 Cuando existe inflamación severa, es muy fácil de confundir con otras causas más frecuentes de abdomen agudo, como la apendicitis o la diverticulitis del colon, ya que se presenta con dolor abdominal, irritación peritoneal y signos sistémicos de inflamación como leucocitosis o elevación de proteína C reactiva, entre otros. En nuestro paciente, la localización del dolor en fosa iliaca izquierda asociado a fiebre y mal estado general apuntaron inicialmente a un diagnóstico clínico de diverticulitis sigmoidea.

Para los cuadros crónicos e inespecíficos de manifestaciones digestivas, el diagnóstico se puede hacer con un simple tránsito intestinal o una tomografía contrastada. Desafortunadamente en la actualidad, en el estudio de estos pacientes, predominan las endoscopías de tubo digestivo superior y colon que no abarcan al intestino medio. Sólo en casos de hemorragia de origen desconocido, con el uso de la cápsula endoscópica, se podría establecer el diagnóstico oportuno de los divertículos. Nuestro paciente había sido tratado por diarrea crónica (con diagnóstico de síndrome de intestino irritable) y tenía una colonoscopía previa que reportaba diverticulosis colónica; no se había documentado la presencia de diverticulosis en otros sitios por falta de estudios contrastados, y este diagnóstico nunca había sido contemplado por sus médicos.

Por otra parte, en los casos de abdomen agudo, donde sí es frecuente la realización de tomografía, es más común encontrarlos. Así como en nuestro caso, aproximadamente 60% de los pacientes puede presentar divertículos múltiples a lo largo del intestino delgado.3 En la tomografía, se describen como imágenes redondeadas, adyacentes al intestino, que contienen medio de contraste, aire y residuo intestinal. Cuando los divertículos son mayores a 3 cm de diámetro, el diagnóstico tomográfico puede ser difícil debido a la similitud con asas intestinales, pero se pueden diferenciar de éstas por la ausencia de válvulas conniventes en su interior.1 En ausencia de tomografía, para la mayoría de las complicaciones, como la perforación o la obstrucción de un divertículo yeyunal, el diagnóstico suele ser un hallazgo transoperatorio.

No existe consenso para el tratamiento de la enfermedad diverticular yeyunal. En casos con síntomas crónicos como dolor, diarrea o sangrado de tubo digestivo esporádico, se puede optar por el manejo conservador o por la cirugía electiva. El primero consiste en mejorar la motilidad intestinal con dieta, medidas generales y medicamentos procinéticos; y la segunda con resección intestinal segmentaria y anastomosis primaria.

El diagnóstico y seguimiento tomográfico han permitido, en la actualidad, ofrecer tratamientos cada vez más conservadores y prevenir el desarrollo de complicaciones. Sin embargo, cuando se presenta hemorragia severa o sepsis abdominal, se requiere manejo quirúrgico urgente a base de resección con o sin anastomosis primaria, según lo permita cada caso.

En cualquiera de las circunstancias quirúrgicas, ya sea electiva o de urgencia, se recomienda limitarse a resecar sólo los divertículos afectados para evitar la resección múltiple y el síndrome de intestino corto.7 En tiempos recientes, se ha descrito también el manejo laparoscópico con lavado y drenaje exclusivamente para casos de perforación sellada y controlada sin peritonitis generalizada.8

Este caso es un ejemplo típico de un octogenario con síntomas digestivos crónicos inespecíficos, que había sido diagnosticado por colonoscopía con diverticulosis colónica y síndrome de intestino irritable, y que recibía tratamiento sintomático en forma intermitente sin resultados contundentes ni apego a las medidas dietéticas y generales. Cuando presentó el cuadro agudo, inmediatamente se pensó en una diverticulitis sigmoidea y, de no haber sido por la tomografía, el diagnóstico no se hubiera establecido hasta estar dentro del quirófano.

La literatura menciona dos posibles abordajes terapéuticos en casos como éste:9 el manejo conservador por medio de drenaje percutáneo y antibióticos, que en nuestro paciente no era factible debido a la localización del absceso y el riesgo de perforación del intestino durante la punción; y el abordaje quirúrgico. Se optó por un abordaje laparoscópico, el cual permitió la evaluación minuciosa de toda la cavidad abdominal y del estado en el resto de los divertículos presentes. También hizo posible un lavado exhaustivo y la realización de una resección segmentaria y selectiva, con una anastomosis asistida a través de una incisión muy pequeña.

Cuando existen múltiples divertículos, como en nuestro paciente, se recomienda limitar la resección intestinal al sitio del divertículo afectado para evitar el síndrome de intestino corto.9 En este caso, se decidió resecar un segmento de aproximadamente 40 cm donde se encontraba el divertículo perforado, pero incluyendo también otro divertículo cercano que mostraba datos de inflamación menor, pero que hubiera quedado en la cercanía proximal de la anastomosis; todo esto favoreció la pronta y adecuada evolución del paciente. El reporte de patología confirmó la presencia de un divertículo perforado con necrosis transmural.



CONCLUSIONES

La presentación de este caso clínico nos recuerda que, en el adulto mayor, las causas de abdomen agudo pueden ser muy variadas y que existen patologías poco frecuentes que debemos contemplar. Asimismo, nos obliga a ser más cautos ante la presencia de síntomas digestivos inespecíficos y crónicos en pacientes de este grupo etario, la diverticulosis del intestino delgado puede ser la causa de éstos, y la realización oportuna de estudios contrastados nos puede ayudar a concretar el diagnóstico.


REFERENCIAS (EN ESTE ARTÍCULO)

  1. Fintelmann F, Levine MS, Rubesin SE. Jejunal diverticulosis: findings on CT in twenty-eight patients. AJR Am J Roentgenol. 2008; 190: 1286-1290.

  2. Serrano-González J, Artés-Caselles M, Román-García de León L, Plá-Sánchez P, Sánchez-Turrión V. Manejo de la diverticulitis yeyunal. Experiencia en nuestro centro. Cir Cir. 2018; 86: 148-151.

  3. Horesh N, Klang E, Gravetz A, Nevo Y, Amiel I, Amitai MM et al. Jejunal diverticulitis. J Laparoendosc Adv Surg Tech A. 2016; 26: 596-599.

  4. Dahl C, Crichton M, Jenkins J, Nucera R, Mahoney S, Marx W et al. Evidence for dietary fibre modification in the recovery and prevention of reoccurrence of acute, uncomplicated diverticulitis: a systematic literature review. Nutrients. 2018; 10: 137.

  5. Fluxá D, Quera R. Enfermedad diverticular: mitos y realidades. Rev Med Chile. 2017; 145: 209-218.

  6. Balcazar VCM, Ayola RBC, Ocampo CJM, Bejarano M. Perforación del yeyuno por enfermedad diverticular: una condición a considerar en ancianos. Rev Colomb Gastroenterol. 2019; 34: 202-206.

  7. Ghrissi R, Harbi H, Elghali MA, Belhajkhlifa MH, Letaif MR. Jejunal diverticulosis: a rare cause of intestinal obstruction. J Surg Case Rep. 2016; 2: 1-3.

  8. Spasojevic M, Naesgaard JM, Ignjatovic D. Perforated midgut diverticulitis: revisited. World J Gastroenterol. 2012; 18: 4714-4720.

  9. Harbi H, Kardoun N, Fendri S, Dammak N, Toumi N, Guirat A et al. Jejunal diverticulitis. Review and treatment algorithm. Presse Med. 2017; 46: 1139-1143. doi: 10.1016/j.lpm.2017.08.009.



AFILIACIONES

1 Cirugía General Hospital Ángeles Lomas. México.

2 ORCID: 0000-0002-8479-4076. Hospital Ángeles Lomas. México.

3 Patología. Hospital Ángeles Lomas. México.



CORRESPONDENCIA

Dr. Denzil Garteiz-Martínez. E-mail: denzilgarteiz@yahoo.com




Recibido: 25/09/2021. Aceptado: 07/10/2021.

Figura 1
Figura 2
Figura 3
Figura 4

2020     |     www.medigraphic.com

Mi perfil

C?MO CITAR (Vancouver)

Rev Mex Cir Endoscop. 2021;22

ARTíCULOS SIMILARES

CARGANDO ...