medigraphic.com
ENGLISH

Acta Médica Grupo Ángeles

Órgano Oficial del Hospital Ángeles Health System
  • Mostrar índice
  • Números disponibles
  • Información
    • Información general        
    • Directorio
  • Publicar
    • Instrucciones para autores        
    • Envío de artículos
    • Políticas
    • Nombre y afiliación del Comité Editorial
  • Nosotros
    • Plan de gestión e intercambio de datos
    • Objetivos declarados y alcance
  • medigraphic.com
    • Inicio
    • Índice de revistas            
    • Registro / Acceso
  • Mi perfil

2022, Número 1

<< Anterior Siguiente >>

Acta Med 2022; 20 (1)


Hernia diafragmática de Bochdalek en un adulto

Perzabal Aviléz, Carlos Tadeo1; López Jaime, César Alberto2; Colín Núñez, Emmanuel3; Carrera Cruz, Diana Laura3
Texto completo Cómo citar este artículo 10.35366/103570

DOI

DOI: 10.35366/103570
URL: https://dx.doi.org/10.35366/103570

Idioma: Español
Referencias bibliográficas: 5
Paginas: 105-107
Archivo PDF: 221.46 Kb.


PALABRAS CLAVE

Sin palabras Clave



Mujer de 17 años que acude tras presentar cuadro de dolor de dos años de evolución en flanco izquierdo que se irradia a hipocondrio izquierdo de tipo opresivo, que se acompaña de disnea. A la exploración física con hipoventilación basal izquierda, abdomen blando, depresible, doloroso a la palpación profunda en hipocondrio izquierdo, sin datos de irritación peritoneal.

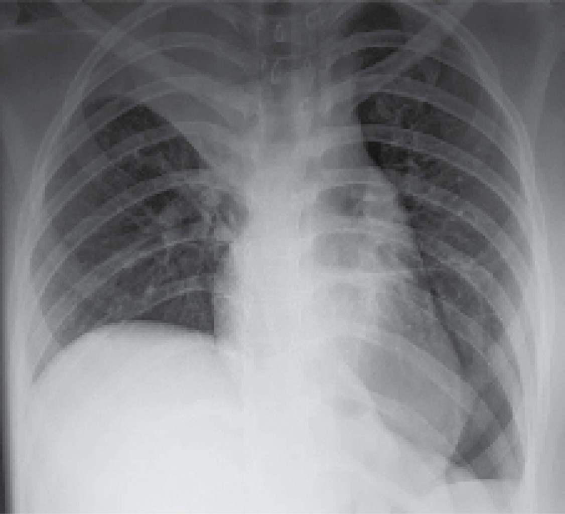
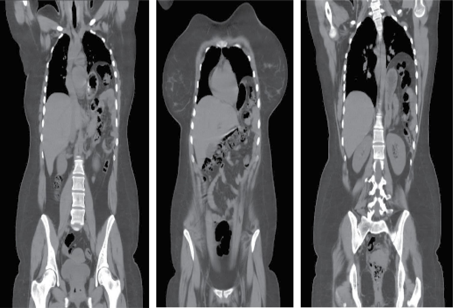
Radiografía de tórax a su ingreso con imagen radiopaca basal izquierda con niveles hidroaéreos (Figura 1), por lo que se solicita estudio tomográfico que confirma la presencia de una hernia diafragmática izquierda con colon, bazo, estómago e intestino delgado dentro de su contenido (Figura 2).

Se pasa a sala de operaciones en donde se realiza incisión paramedia izquierda, encontrando orificio herniario de 5 × 5 cm, en su interior se observa colon, bazo, estómago e intestino delgado, se reduce dicho contenido y se reseca el saco herniario, se realiza cierre primario del defecto diafragmático y previo a la colocación de la última sutura se colocó sonda endopleural y se solicitó la realización de múltiples maniobras de Valsalva por el servicio de anestesiología, para después cerrar de manera simultánea el defecto mientras se retiraba la sonda endopleural, se cierra por planos y se da por terminado el procedimiento (Figura 3).

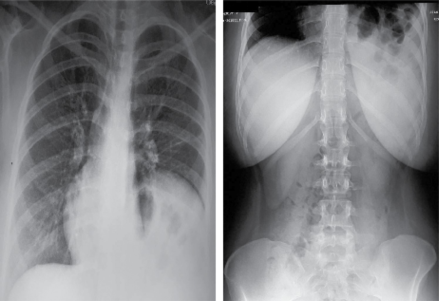
Se solicita radiografía de tórax de control, con evidencia de atelectasia apical derecha, con neumotórax basal mínimo izquierdo, por lo cual se egresa a la paciente para manejo por consulta externa a las 48 horas de su postoperatorio (Figura 4).



HERNIA DE BOCHDALEK

Descrita por Vincent Alexander Bochdalek en 1848,1-3 aunque en 1754 McCauley describe el curso clínico y la anatomía post mortem de un infante.2 Kirkland en 1959 publicó por primera vez una revisión de 34 casos de hernias de Bochdalek en adultos.1

En la actualidad, no se ha explicado de manera clara la patogenia de las hernias diafragmáticas. Se asocia de un 10-30% con un defecto cromosomal, siendo la causa etiológica desconocida en un 70% de los casos.4

El diagnóstico es difícil, ya que la presencia de esta enfermedad es demasiado rara en la edad adulta, por los diagnósticos prenatales y la mortalidad elevada. Si no se llega a un diagnóstico adecuado, las complicaciones son vólvulos, incarceración, estrangulación, hemorragia o perforación de víscera, hasta la muerte.1,3

Las presentaciones clínicas de la hernia de Bochdalek en los adultos a comparación de los pacientes en edad pediátrica son diferentes; en adultos pueden ser dolor torácico, intolerancia a los alimentos con vómito postprandial, reflujo gastroesofágico, disnea, dolor abdominal y datos de oclusión intestinal.1,5

Se puede realizar el diagnóstico con los estudios convencionales, siendo la radiografía y los estudios con bario una opción en el adulto.3 El uso de la tomografía computarizada es necesaria para realizar un diagnóstico correcto, ya que un 38% de los adultos con hernia de Bochdalek son diagnosticados con derrame pleural, empiema, neumotórax o quiste pulmonar.1,2

El manejo quirúrgico está indicado en todos los casos con diagnóstico de hernia diafragmática por las repercusiones potenciales que pueden ocurrir con el paso del tiempo. Existen diferentes tipos, los cuales se abordan con el tratamiento de laparotomía, laparoscopia, toracotomía, toracoscopia o una combinación de éstas.5


REFERENCIAS (EN ESTE ARTÍCULO)

  1. Alam A, Chander BN. Adult Bochdalek hernia. Med J Armed Forces India. 2005; 61 (3): 284-286.

  2. Brown SR, Horton JD, Trivette E, Hofmann LJ, Johnson JM. Bochdalek hernia in the adult: demographics, presentation, and surgical management. Hernia. 2011; 15 (1): 23-30.

  3. Schumacher L, Gilbert S. Congenital diaphragmatic hernia in the adult. Thorac Surg Clin. 2009; 19 (4): 469-472.

  4. Kosinski P, Wielgos M. Congenital diaphragmatic hernia: pathogenesis, prenatal diagnosis and management - literature review. Ginekol Pol. 2017; 88 (1): 24-30.

  5. Ooi G, Lloyd D. Symptomatic congenital diaphragmatic hernia following right nephrectomy. ANZ J Surg. 2017; 87 (3): 198-199.



AFILIACIONES

1 Cirujano General y Laparoscopia. Hospital General de Ciudad Juárez. Cd. Juárez, Chihuahua.

2 Médico Residente de Cirugía General. Hospital General de Ciudad Juárez. Cd. Juárez, Chihuahua.

3 Médico General. Hospital General de Ciudad Juárez. Cd. Juárez, Chihuahua.



CORRESPONDENCIA

César Alberto López Jaime. Correo electrónico: cesarlopezj91@gmail.com




Aceptado: 03-08-2020.

Figura 1
Figura 2
Figura 3
Figura 4

2020     |     www.medigraphic.com

Mi perfil

C?MO CITAR (Vancouver)

Acta Med. 2022;20

ARTíCULOS SIMILARES

CARGANDO ...