medigraphic.com
ENGLISH

Acta Médica Grupo Ángeles

Órgano Oficial del Hospital Ángeles Health System
  • Mostrar índice
  • Números disponibles
  • Información
    • Información general        
    • Directorio
  • Publicar
    • Instrucciones para autores        
    • Envío de artículos
    • Políticas
    • Nombre y afiliación del Comité Editorial
  • Nosotros
    • Plan de gestión e intercambio de datos
    • Objetivos declarados y alcance
  • medigraphic.com
    • Inicio
    • Índice de revistas            
    • Registro / Acceso
  • Mi perfil

2022, Número 1

<< Anterior Siguiente >>

Acta Med 2022; 20 (1)


Trombosis de la arteria renal

Pérez Cruz, Carolina Andrea1; Flores Mata, Asael Guadalupe1; González Vergara, Carolina1; Hidalgo Pérez, Lizbett2
Texto completo Cómo citar este artículo 10.35366/103571

DOI

DOI: 10.35366/103571
URL: https://dx.doi.org/10.35366/103571

Idioma: Español
Referencias bibliográficas: 4
Paginas: 108-110
Archivo PDF: 198.92 Kb.


PALABRAS CLAVE

Sin palabras Clave



La trombosis de la arteria renal se presenta con una incidencia menor de 2% de todas las trombosis abdominales.1 Se debe incluir en los diagnósticos diferenciales de un síndrome doloroso abdominal.

Se presenta el caso de una mujer de 68 años hipertensa, fumadora (índice tabáquico de 24), que presenta dolor súbito tipo cólico en hipogastrio, intensidad 10/10, irradiado hacia región lumbar derecha. En exploración física presenta diaforesis, dolor a la palpación en fosa iliaca derecha. Creatinina 1.14 mg/dL, lactato deshidrogenasa (DHL) 189 U/L.

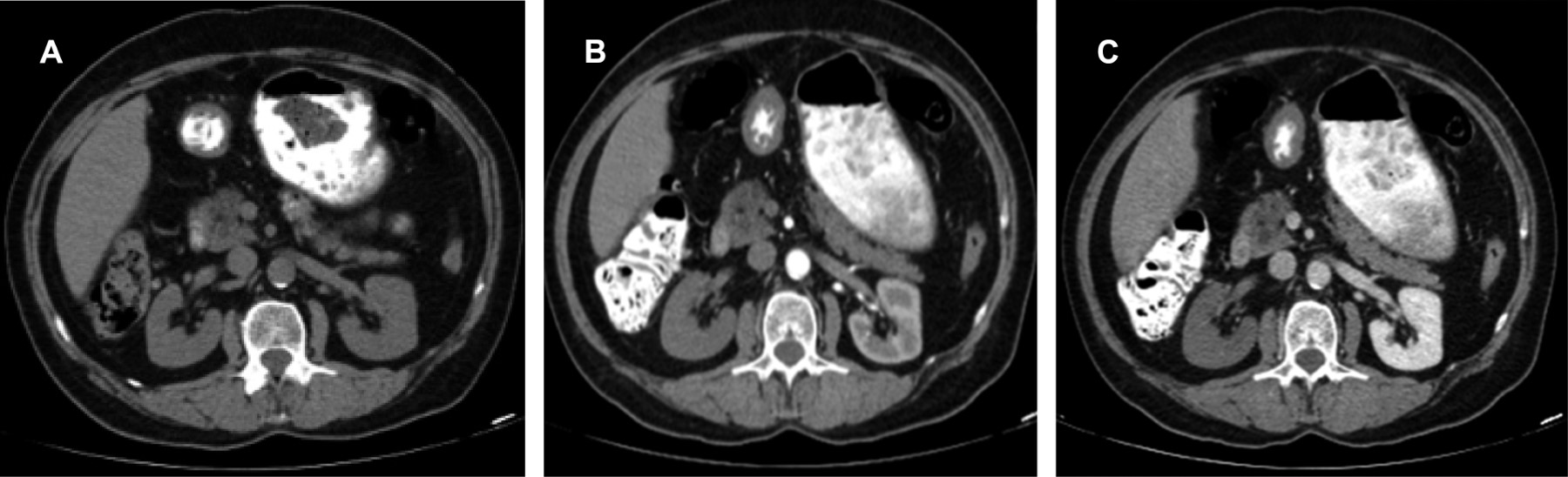
En fase arterial, la angiotomografía evidencia amputación de arteria renal derecha desde su origen con la consecuente ausencia de fase nefrográfica (Figuras 1 y 2).

Se realiza nefrectomía derecha, con reporte por anatomía patológica de necrosis cortical y hemorragia reciente de 95% asociadas a trombosis arterial.

A nivel del hilio se encontraron cuatro arterias renales, resultado de la bifurcación de una arteria renal principal como variante anatómica (Figura 3).

Se debe sospechar trombosis de la arteria renal con dolor abdominal súbito, elevación sérica de DHL y/o hematuria y riesgo de evento trombótico (fibrilación auricular, tabaquismo, dislipidemia y ateroesclerosis).2,3

La angiografía es el estudio de elección y es positiva en 100% de los casos, seguida de la angiotomografía, la cual es actualmente el estudio de elección por la mayor disponibilidad y por ser menos invasiva para el paciente. Los datos tomográficos de diagnóstico son: riñón hipodenso en fase arterial consistente con dato de hipoperfusión renal, aspecto de masa y ausencia de realce en forma de cuña.1,4 La morfología cuneiforme puede traducir isquemia parcial. La correlación con la cínica y laboratorios permite realizar el diagnóstico diferencial con pielonefritis. De manera oportuna permitirá la intervención temprana y adecuada para preservar la viabilidad renal y deberá considerarse en pacientes con factores de riesgo aun con cuadro clínico inespecífico, ya que el estudio tomográfico simple es inservible en este padecimiento.

En caso de que el estudio angiotomográfico sea negativo y presente una alta sospecha de trombosis renal, el estudio alternativo será un gammagrama renal específico realizado con Tc99m/DTPA o con MAG3 (Figura 4).4


REFERENCIAS (EN ESTE ARTÍCULO)

  1. Sosa-Barrios H, Jiménez-Álvaro S, Gomis-Couto A, Rivera-Gorrin M, Blázquez J, Burguera-Vion V et al. Oclusión de arteria renal y fibrinolisis local intravascular. NefroPlus. 2014; 6 (1): 57-60. doi: 10.3265/NefroPlus.pre2013.Jul.12068.

  2. Al-Katib S, Shetty M, Jafri SM, Jafri SZ. Radiologic assessment of native renal vasculature: a multimodality review. RadioGraphics. 2017; 37 (1): 136-156. doi: 10.1148/rg.2017160060.

  3. Nandwani A, Pathania D, Jha PK, Kher V. Renal artery thrombosis with renal infarction: a rare cause of acute abdomen. Indian J Nephrol. 2017; 27 (4): 313-315. doi: 10.4103/0971-4065.183581.

  4. Lopez VM, Glauser J. A case of renal artery thrombosis with renal infarction. J Emerg Trauma Shock. 2010; 3 (3): 302.



AFILIACIONES

1 Departamento de Radiología e Imagen. Hospital Angeles Mocel. México.

2 Departamento de Anatomía Patológica. Hospital Angeles Mocel. México.



CORRESPONDENCIA

Carolina Andrea Pérez Cruz. Correo electrónico: caroolina_0793@hotmail.com




Aceptado: 07-09-2020.

Figura 1
Figura 2
Figura 3
Figura 4

2020     |     www.medigraphic.com

Mi perfil

C?MO CITAR (Vancouver)

Acta Med. 2022;20

ARTíCULOS SIMILARES

CARGANDO ...