medigraphic.com
ENGLISH

Cirujano General

ISSN 2594-1518 (Digital)
ISSN 1405-0099 (Impreso)
  • Mostrar índice
  • Números disponibles
  • Información
    • Información general        
    • Directorio
  • Publicar
    • Instrucciones para autores        
    • Envío de artículos
  • medigraphic.com
    • Inicio
    • Índice de revistas            
    • Registro / Acceso
  • Mi perfil

2021, Número 1

<< Anterior Siguiente >>

Cir Gen 2021; 43 (1)


Manejo del edema de vesícula biliar confundido como colecistitis, en el Departamento de Urgencias

Díaz-Martínez J
Texto completo Cómo citar este artículo 10.35366/103908

DOI

DOI: 10.35366/103908
URL: https://dx.doi.org/10.35366/103908
Artículos similares

Idioma: Ingles.
Referencias bibliográficas: 18
Paginas: 9-14
Archivo PDF: 255.25 Kb.


PALABRAS CLAVE

Edema de vesícula biliar, colecistitis, colecistectomía, confusión diagnóstica.

RESUMEN

Introducción: Diferentes enfermedades sistémicas agudas (cardiopatías, cirrosis, hepatitis) pueden producir edema de la pared de vesícula biliar y ser confundidas con colecistitis aguda. El objetivo de este estudio es analizar los pacientes presentados para colecistectomía, por engrosamiento de pared de vesícula biliar confundidos como colecistitis aguda en el Departamento de Urgencias. Material y métodos: Se realizó un estudio observacional, retrospectivo de diciembre 2016 a noviembre 2019 en un centro regional de referencia. Se revisaron pacientes admitidos al Servicio de Urgencias por posible colecistitis aguda. Resultados: De 3,393 pacientes sospechosos de colecistitis, 31 fueron confundidos con colecistitis aguda por presentar engrosamiento de la pared vesicular secundario a enfermedades agudas diversas, y presentados para colecistectomía. La distribución por sexo fue igual (varones 51%). En todos los pacientes, el engrosamiento de pared de vesícula biliar de más de 5 mm sin signos de colecistitis aguda fue corroborado (media: 8.96 mm, rango: 5-16 mm). Los diagnósticos que se confundieron con colecistitis fueron enfermedades hepáticas, dengue, enfermedades cardiovasculares, neumonía y pancreatitis. En siete pacientes (22.6%) se realizó colecistectomía por sospecha de colecistitis. Dos pacientes presentaron complicaciones postquirúrgicas (6.5%) y ninguno falleció. En el estudio histopatológico no se encontraron signos de colecistitis biliar. En el análisis, los pacientes que recibieron tratamiento quirúrgico tuvieron una estancia hospitalaria mayor que los no operados mostrando significancia estadística (p = 0.004). Conclusión: En la evaluación de urgencia en pacientes con sospecha de colecistitis es obligatorio descartar edema de vesícula biliar secundario a enfermedades sistémicas. El tratamiento quirúrgico en pacientes confundidos con colecistitis aguda puede incrementar la estancia hospitalaria y los costos.


REFERENCIAS (EN ESTE ARTÍCULO)

  1. Bagla P, Sarria JC, Riall TS. Management of acute cholecystitis. Curr Opin Infect Dis. 2016; 29: 508-513.

  2. Chawla A, Bosco JI, Lim TC, Srinivasan S, Teh HS, Shenoy JN. Imaging of acute cholecystitis and cholecystitis-associated complications in the emergency setting. Singapore Med J. 2015; 56: 438-443.

  3. Tucker L, Tangedahl TN. Manifestations of gallstone disease. Postgrad Med. 1979; 66: 179-80, 183-184.

  4. Oppenheimer DC, Rubens DJ. Sonography of acute cholecystitis and its mimics. Radiol Clin North Am. 2019; 57: 535-548.

  5. Tana M, Tana C, Cocco G, Iannetti G, Romano M, Schiavone C. Acute acalculous cholecystitis and cardiovascular disease: a land of confusion. J Ultrasound. 2015; 18: 317-320.

  6. Ozeki M, Takeda Y, Morita H, Miyamura M, Sohmiya K, Hoshiga M, et al. Acute cholecystitis mimicking or accompanying cardiovascular disease among Japanese patients hospitalized in a Cardiology Department. BMC Res Notes. 2015; 8: 805.

  7. Matsui Y, Hirooka S, Kotsuka M, Yamaki S, Kosaka H, Yamamoto T, et al. Prognosis in patients with gallbladder edema misdiagnosed as cholecystitis. JSLS. 2019; 23: e2019.00022.

  8. Diaz-Martinez J, Chapa-Azuela O, Roldan-Garcia JA, Rangel-Flores G. Bile duct injuries after cholecystectomy, analysis of constant risk. Ann Hepatobiliary Pancreat Surg. 2020; 24: 150-155.

  9. Yokoe M, Hata J, Takada T, Strasberg SM, Asbun HJ, Wakabayashi G, et al. Tokyo Guidelines 2018: diagnostic criteria and severity grading of acute cholecystitis (with videos). J Hepatobiliary Pancreat Sci. 2018; 25: 41-54.

  10. Pothapregada S, Kamalakannan B, Thulasingam M. Clinical profile of atypical manifestations of dengue fever. Indian J Pediatr. 2016; 83: 493-499.

  11. Wright WF, Palisoc K, Pinto CN, Lease JA, Baghli S. Hepatitis C virus-associated acalculous cholecystitis and review of the literature. Clin Med Res. 2020; 18: 33-36.

  12. Mazziotti A, Grazi GL, Cavallari A. Gallbladder lithiasis in the era of laparoscopic cholecystectomy. Ann Ital Chir. 1998; 69: 719-722.

  13. Biagini J. Asymptomatic cholelithiasis. When is a cholecystectomy justified? J Med Liban. 1989; 38: 51-55.

  14. Diaz-Martinez J, Merlin-Gallegos A, Perez-Hernandez JL. Large liver abscess and cholecystogastric fistula secondary of emphysematous cholecystitis. Span J Surg Res. 2020; 23: 73-75.

  15. Petakovic G, Korica M, Gavrilovic S. Bacteriologic examination of gallbladder contents. Med Pregl. 2002; 55: 225-228.

  16. Shin EC, Jeong SH. Natural history, clinical manifestations, and pathogenesis of hepatitis A. Cold Spring Harb Perspect Med. 2018; 8: a031708.

  17. Nainggolan L, Wiguna C, Hasan I, Dewiasty E. Gallbladder wall thickening for early detection of plasma leakage in dengue infected adult patients. Acta Med Indones. 2018; 50: 193-199.

  18. Meelu OA, Baber U, Theodoropoulos K, Mennuni MG, Kini AS, Sharma SK. Acute cholecystitis and myocardial infarction: a case study with coronary involvement. Clin Case Rep. 2016; 4: 793-796.




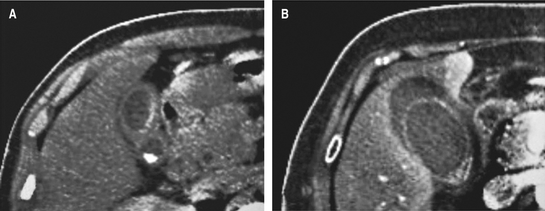
Figura 1
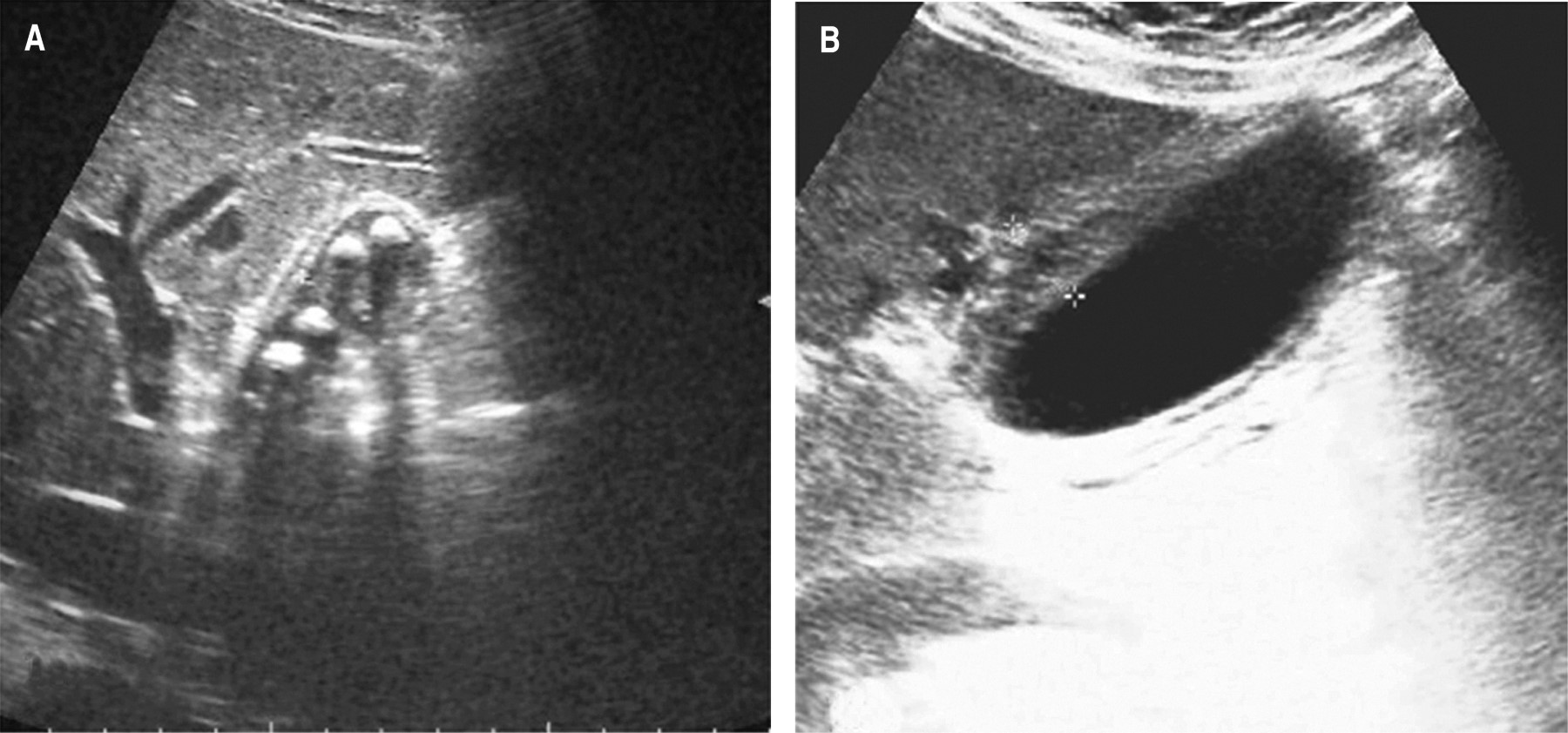
Figura 2
Tabla 1
Tabla 2

2020     |     www.medigraphic.com

Mi perfil

C?MO CITAR (Vancouver)

Cir Gen. 2021;43

ARTíCULOS SIMILARES

CARGANDO ...