medigraphic.com
SPANISH

Cirujano General

ISSN 2594-1518 (Electronic)
ISSN 1405-0099 (Print)
  • Contents
  • View Archive
  • Information
    • General Information        
    • Directory
  • Publish
    • Instructions for authors        
    • Send manuscript
  • medigraphic.com
    • Home
    • Journals index            
    • Register / Login
  • Mi perfil

2021, Number 1

<< Back Next >>

Cir Gen 2021; 43 (1)

Management of gallbladder edema mistaken as cholecystitis in the Emergency Department

Díaz-Martínez, Jair1
Full text How to cite this article 10.35366/103908

DOI

DOI: 10.35366/103908
URL: https://dx.doi.org/10.35366/103908

Language: English
References: 18
Page: 9-14
PDF size: 255.25 Kb.


Key words:

Gallbladder edema, cholecystitis, cholecystectomy, misdiagnosed.

ABSTRACT

Introduction: Different acute systemic diseases such as heart disease, cirrhosis, hepatitis can produce gallbladder wall edema and may be mistaken for acute cholecystitis. The aim of this study is to analyze patients sent for cholecystectomy due to gallbladder wall thickening mistaken for acute cholecystitis in an emergency department. Material and methods: An observational, retrospective study was performed from December 2016 to November 2019 in a regional referral center. Patients admitted to the emergency department for possible acute cholecystitis were studied. Results: Of 3,393 patients suspected of cholecystitis, 31 were mistaken for acute cholecystitis because of gallbladder wall thickening secondary to various acute illnesses and sent for cholecystectomy. Gender distribution was equal (male 51%). In all patients, gallbladder wall thickening of more than 5 mm (mean 8.96 mm, range: 5-16 mm) without signs of acute cholecystitis was corroborated. Diagnoses that were mistaken for cholecystitis were liver disease, dengue fever, cardiovascular disease, pneumonia, and pancreatitis. Seven patients (22.6%) underwent cholecystectomy for suspected cholecystitis. Two patients presented postsurgical complications (6.5%) and none died. In the histopathological study no signs of biliary cholecystitis were found. Patients who received surgical treatment had a longer hospital stay than those who did not undergo surgery, showing a statistical significance difference (p = 0.004). Conclusion: In the emergency assessment of patients with suspected cholecystitis, it is mandatory to rule out gallbladder edema secondary to systemic diseases. Surgical treatment in patients mistaken for acute cholecystitis may increase unnecessary hospital stay and costs.



INTRODUCTION

Acute cholecystitis is common in the emergency department, and the diagnosis is based on clinical signs and radiological findings.1-3 However, different acute systemic diseases (heart failure, cirrhosis, hepatitis) can produce symptoms and even alterations in complementary diagnostic studies, such as gallbladder wall thickening resembling cholecystitis.4,5 In acute systemic diseases, surgical treatment can produce a higher systemic inflammatory response, increasing morbidity and mortality.6-8 Despite this, many of these pathologies are still confused with cholecystitis and continue to be sent to emergency cholecystectomy, representing a challenge for the surgeon.7 Despite this, few articles explain this entity, persisting the fact that gallbladder edema may be mistaken for cholecystitis.

The objective of this study is to identify and analyze the patients presented for cholecystectomy with gallbladder edema secondary to acute diseases, mistaken as cholecystitis in the emergency department of a regional reference center.



MATERIAL AND METHODS

Study design: a retrospective study in a regional reference center was conducted from December 2016 to November 2019. Patients admitted to the emergency department due to suspected acute cholecystitis were analyzed. All patients underwent radiological studies (abdominal ultrasound and CT-scan), and acute cholecystitis was ruled out. Inclusion criteria were patients older than 18 years, with signs, symptoms (colicky pain in the right hypochondrium, nausea, vomiting), and radiological findings like cholecystitis but without cholecystitis. Patients with radiological findings compatible with lithiasis cholecystitis according to Tokyo 2018 guidelines criteria, like microlithiasis, anatomical gallbladder alterations (polyps, scleroatrophy, in a Phrygian cap, etc.) or increased gallbladder diameters were excluded.9

Clinical evaluation: the patient's files with surgical assessment for suspected cholecystitis were retrospectively reviewed. In all patients, comorbidities, medical history, clinical symptoms, laboratories were evaluated, as well as radiographic signs seen in the abdominal ultrasound or in the abdominal tomography. Surgical indication for suspected cholecystitis, histopathological findings after surgery, the primary cause of gallbladder edema, hospital stay, follow-up, morbidity, and mortality were evaluated.

Statistical analysis: we used descriptive statistics, as well as the t-Student test, for continuous variables, χ2, and non-parametric tests for categorical variables to perform the analysis. A p-value ≤ 0.05 (95% confidence interval) was considered statistically significant. The statistical analysis was performed using the IBM Statistical Package for Social Sciences (SPSS, Statistics version 24.0, Inc, Chicago, IL).



RESULTS

Of 3,393 patients analyzed, 31 patients were sent for cholecystectomy with gallbladder edema mistaken as cholecystitis, representing 0.91% of the total population. Mean age was 43.94 years (range, 18-81) with an equal gender distribution most of them being males (n = 16, 51%). Ten patients (32.3%) presented comorbidities, being the most common diabetes and systemic arterial hypertension. Of these, two patients (6.5%) had type II diabetes, four type II diabetes and systemic arterial hypertension (12.9%), one had cerebral vascular disease and arterial hypertension (3.2%), and one had antiphospholipid syndrome (3.2%). The remaining 21 patients (67.7%) had no comorbidities. The characteristics of the study population are shown in Table 1.

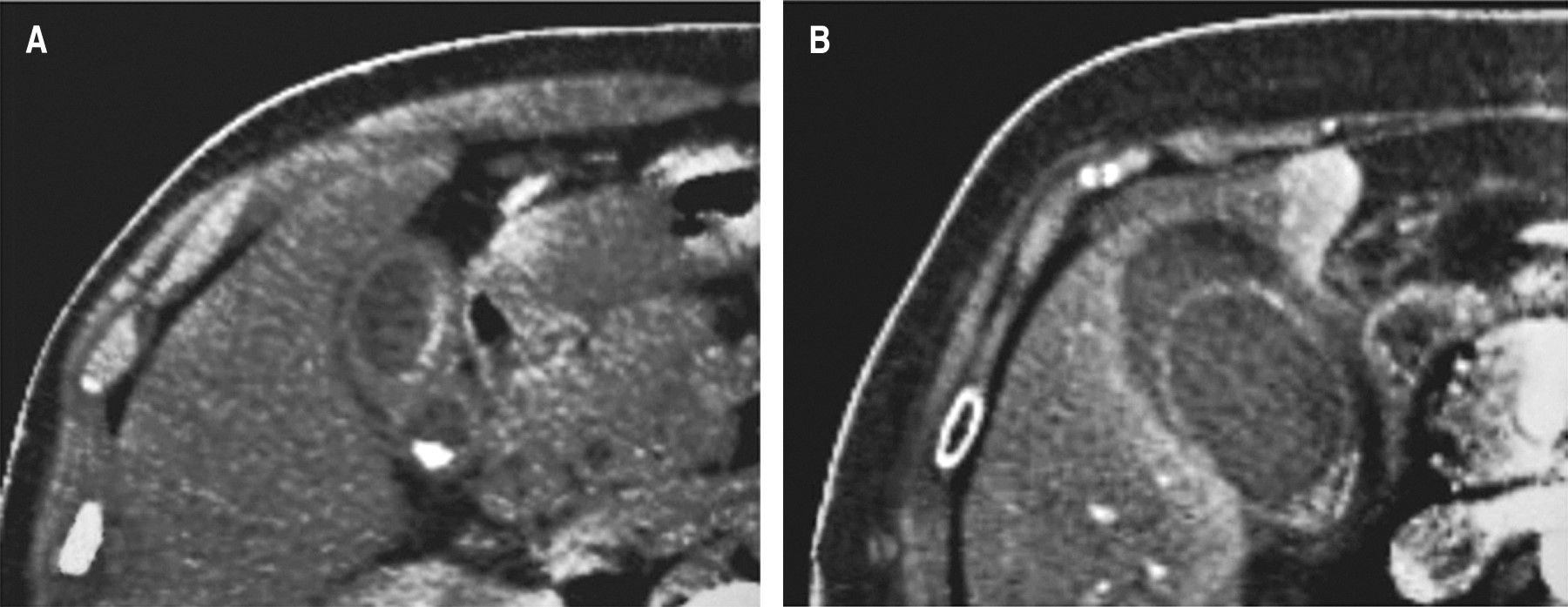
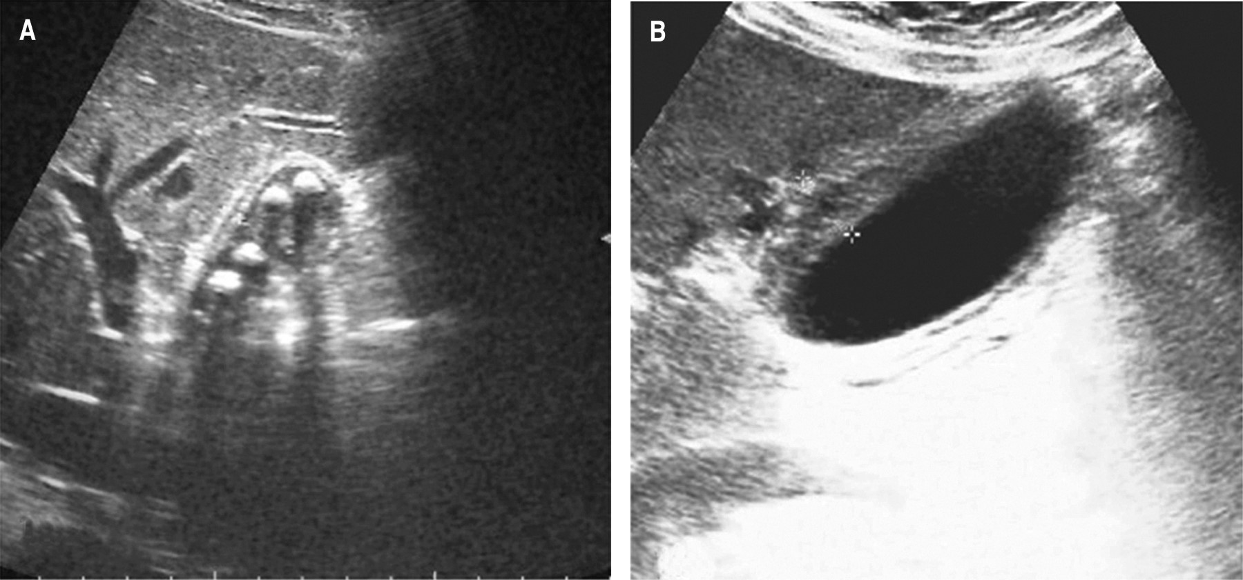
Upon admission, all patients underwent imaging studies for suspected acute cholecystitis (abdominal ultrasonography and/or abdominal tomography). In all patients, the gallbladder wall thickening of more than 5 mm (mean 8.96 mm, range 5-16 mm) was corroborated, and signs of acute cholecystitis (criteria TG-18) or structural alterations were ruled out. Differences between acute cholecystitis and gallbladder edema in the abdominal ultrasound are shown in Figure 1, and differences in the CT scan are shown in Figure 2, respectively.

The admission diagnoses of these patients were mostly liver diseases (n = 17, 55%). Ten patients presented with acute viral hepatitis corroborated by elevated transaminase levels and a positive viral hepatitis profile. Five patients presented with decompensated cirrhosis in Child-Pugh B class, one patient had non-alcoholic liver disease, and one patient had a left lobe liver tumor who subsequently showed to be a left lobe hepatocellular carcinoma (HCC). Ten patients (32.25%) presented hemorrhagic dengue with abdominal involvement subsequently corroborated in their hospitalization with IgM and IgG antibodies. Two patients had an acute myocardial infarction. One patient presented with fungal pneumonia and one patient with severe acute non-biliary pancreatitis Balthazar D.

After surgical assessment in these 31 cases, an emergency surgical treatment was performed in seven of them (22.58%). These patients underwent emergency cholecystectomy for suspected acute cholecystitis. Of these, four patients underwent open cholecystectomy, and three patients underwent laparoscopic cholecystectomy. One of these patients also had a liver biopsy was performed due to elevated transaminase in the presence of negative viral panel. In operated patients, the primary diagnosis that produced the gallbladder edema was viral hepatitis in four (12.9%), cirrhosis Child-Pugh A class in one (3.2%), non-alcoholic liver disease in one (3.2%), and non-biliary pancreatitis (3.2%) in one. In Table 2, he definitive diagnosis of patients who underwent cholecystectomy is shown.

After surgery, two patients (6.5%) had surgical-related complications, and none died. Complications were one hemoperitoneum and one abortion secondary to transuterine bleeding. The patient with hemoperitoneum was submitted to open cholecystectomy and had 1,500 cc of hepatic bleeding. In this patient reoperation for hemostatic control was needed. Clinical evolution after reoperation was satisfactory, and the patient was discharged without any other complication. The other patient presented transuterine bleeding with the subsequent abortion of nine weeks gestation. This patient was managed by the gynecology service for hemostatic control and subsequently discharged without any other complication. In the histopathological study, no signs of cholesterolosis or gallbladder inflammation secondary to gallstones were founded. During the hospital follow-up, two patients without surgical treatment died (6.5%). One patient was secondary to an acute transmural myocardial infarction and the other patient due to multiorgan failure after massive hemorrhagic dengue with antiphospholipid syndrome.

In the rest of the patients misdiagnosed as cholecystitis and sent for cholecystectomy, the gallbladder edema was reevaluated, and no indication for surgical treatment was found. Subsequently, the patients evolved satisfactorily and were discharged. The mean hospital stay was 9.38 days (range, 3-21 days). In those patients without surgical treatment, the mean hospital stay was 8.7 days (range: 3-12 days), and with surgical treatment was 17 days (range: 14-21 days). The causes of gallbladder edema misdiagnosed as cholecystitis were analyzed with the different diagnosis and pre-surgical variables, and no statistically significant difference was found. Besides, postsurgical complications were analyzed comparing with the pre-surgical diagnosis and no significant difference was found. In operated patients, the analyst of hospital stay was significantly larger than in patients without surgery with a statistical significant difference (p = 0.004). No complications after 30 days of follow-up were found.



DISCUSSION

Different systemic diseases may produce gallbladder wall thickening due to edema demonstrated by ultrasonography or CT scan which may be confused with acute cholecystitis. Some of these diseases are self-limited such as hepatitis A or dengue, but other may be fatal, so recognizing them on time can improve the prognosis of these patients.6,7,10,11 The presentation of these diseases is not that clear sometimes, and experience is required to rule out surgical treatment. In addition, there is a lack of evidence worldwide, especially in Latin America, where this diagnostic confusion has been less reported, making recognition of this situation more difficult.

Lithiasis cholecystitis is a prevalent disease reported in up to 10% of the population. Unlike lithiasis cholecystitis, gallbladder edema without lithiasis is a rare condition. In our series, the frequency of gallbladder wall thickening without cholecystitis was only 0.95% of all patients submitted to cholecystectomy. Due to this low frequency of wall thickening presentation in patients with typical symptoms, many surgical teams prefer to perform a cholecystectomy procedure due to the risk implying a silent lithiasis, with its subsequent complications.12-14

Unlike the mechanism seen in lithiasis cholecystitis where the luminal obstruction of the cystic duct produces mucous distention, ulceration, and infiltration of leukocytes, in patients with non-lithiasis gallbladder edema the mechanism occurs due to vascular permeability, inflammation, and increased portal venous pressure, although the exact pathophysiology is not clearly identified.7,15

In viral diseases such as hepatitis, viral infiltration as well as direct cellular liver damage are the cause of gallbladder edema. Hepatitis A, a common cause of acute viral disease, causes acute liver failure in 0.5% as well as thickening of the gallbladder wall as an extrahepatic involvement. In the study patients, the pathologies that were most mistaken for acute cholecystitis were liver diseases. In these cases, viral hepatitis was mostly self-limited, but in 12.9% of those submitted to surgical treatment, two had complications, and in one patient the complication was graded as severe due to 1,500 cc hemoperitoneum.16

In other viral diseases like dengue, it has been reported that in the early stages, capillary plasma leakage occurs, leading to thickening of the gallbladder wall in up to a third of them.17 In this series, dengue cases occurred with a frequency of 32.25%, in all of them with thrombocytopenia and the presence of spontaneous hemorrhage; one patient with dengue hemorrhagic fever and antiphospholipid syndrome died. In these patients, the indication for surgical treatment was not clarified, probably due to the high risk of spontaneous hemorrhage induced by severe thrombocytopenia in the initial stage of the disease. In all these patients, the gallbladder edema decreased after the initial stage, and indication for surgical treatment was not subsequently mentioned.

Cardiovascular diseases also occur due to hepatic venous congestion. However, their relationship has not been fully established. In most cases, a relationship between cardiovascular diseases and gallbladder edema has been reported.18 In this series, only two patients without surgical treatment had an acute myocardial infarction. One of them died from an acute transmural myocardial infarction, and the other patient had congestive heart failure as a sequel. In addition, one patient had fungal pneumonia. This etiology has not been reported as a cause of gallbladder wall thickening until now.

After the statistical analysis, the gallbladder wall thickening was evaluated, and no relation to surgical treatment was found. Regarding this finding, some studies show that gallbladder thickening due to edema is a direct indicator of plasma capillary leakage, especially in patients with dengue.17 In present report, the relationship between the wall thickening and other variables showed no statistical significance.

In some cases of silent lithiasis, surgical treatment is indicated, which could be the cause of deterioration in these patients. In this series, there was no direct relationship between morbidity and mortality after surgical treatment, but a statistical significance difference with the hospital stay in postsurgical patients was found. In our experience, the indication of cholecystectomy must be very carefully chosen when dealing with these types of patients because the most important issue is the management of its underlying pathology. More prospective studies are required to increase information in this regard.



CONCLUSION

In the emergency surgical treatment of patients with suspected cholecystitis, it is mandatory to rule out gallbladder edema secondary to acute diseases. Surgical treatment in patients confused as acute cholecystitis can increase the length of hospital stay and therefore, costs.


REFERENCES

  1. Bagla P, Sarria JC, Riall TS. Management of acute cholecystitis. Curr Opin Infect Dis. 2016; 29: 508-513.

  2. Chawla A, Bosco JI, Lim TC, Srinivasan S, Teh HS, Shenoy JN. Imaging of acute cholecystitis and cholecystitis-associated complications in the emergency setting. Singapore Med J. 2015; 56: 438-443.

  3. Tucker L, Tangedahl TN. Manifestations of gallstone disease. Postgrad Med. 1979; 66: 179-80, 183-184.

  4. Oppenheimer DC, Rubens DJ. Sonography of acute cholecystitis and its mimics. Radiol Clin North Am. 2019; 57: 535-548.

  5. Tana M, Tana C, Cocco G, Iannetti G, Romano M, Schiavone C. Acute acalculous cholecystitis and cardiovascular disease: a land of confusion. J Ultrasound. 2015; 18: 317-320.

  6. Ozeki M, Takeda Y, Morita H, Miyamura M, Sohmiya K, Hoshiga M, et al. Acute cholecystitis mimicking or accompanying cardiovascular disease among Japanese patients hospitalized in a Cardiology Department. BMC Res Notes. 2015; 8: 805.

  7. Matsui Y, Hirooka S, Kotsuka M, Yamaki S, Kosaka H, Yamamoto T, et al. Prognosis in patients with gallbladder edema misdiagnosed as cholecystitis. JSLS. 2019; 23: e2019.00022.

  8. Diaz-Martinez J, Chapa-Azuela O, Roldan-Garcia JA, Rangel-Flores G. Bile duct injuries after cholecystectomy, analysis of constant risk. Ann Hepatobiliary Pancreat Surg. 2020; 24: 150-155.

  9. Yokoe M, Hata J, Takada T, Strasberg SM, Asbun HJ, Wakabayashi G, et al. Tokyo Guidelines 2018: diagnostic criteria and severity grading of acute cholecystitis (with videos). J Hepatobiliary Pancreat Sci. 2018; 25: 41-54.

  10. Pothapregada S, Kamalakannan B, Thulasingam M. Clinical profile of atypical manifestations of dengue fever. Indian J Pediatr. 2016; 83: 493-499.

  11. Wright WF, Palisoc K, Pinto CN, Lease JA, Baghli S. Hepatitis C virus-associated acalculous cholecystitis and review of the literature. Clin Med Res. 2020; 18: 33-36.

  12. Mazziotti A, Grazi GL, Cavallari A. Gallbladder lithiasis in the era of laparoscopic cholecystectomy. Ann Ital Chir. 1998; 69: 719-722.

  13. Biagini J. Asymptomatic cholelithiasis. When is a cholecystectomy justified? J Med Liban. 1989; 38: 51-55.

  14. Diaz-Martinez J, Merlin-Gallegos A, Perez-Hernandez JL. Large liver abscess and cholecystogastric fistula secondary of emphysematous cholecystitis. Span J Surg Res. 2020; 23: 73-75.

  15. Petakovic G, Korica M, Gavrilovic S. Bacteriologic examination of gallbladder contents. Med Pregl. 2002; 55: 225-228.

  16. Shin EC, Jeong SH. Natural history, clinical manifestations, and pathogenesis of hepatitis A. Cold Spring Harb Perspect Med. 2018; 8: a031708.

  17. Nainggolan L, Wiguna C, Hasan I, Dewiasty E. Gallbladder wall thickening for early detection of plasma leakage in dengue infected adult patients. Acta Med Indones. 2018; 50: 193-199.

  18. Meelu OA, Baber U, Theodoropoulos K, Mennuni MG, Kini AS, Sharma SK. Acute cholecystitis and myocardial infarction: a case study with coronary involvement. Clin Case Rep. 2016; 4: 793-796.



AFFILIATIONS

1 Department of Hepato-pancreato-biliary Surgery. IMSS Hospital General Regional No. 1. Cuernavaca, Mor., Mexico. ORCID: 0000-0002-7581-6739.



Ethical considerations: The Local Ethics Committee approved this protocol. Also, it was subjected to specific standards for these types of human studies. And it was also subjected to the regulations of the General Health Law on health research and with the Declaration of Helsinki, as well as institutional norms and instructions on scientific research.

Funding: The author declares that he has not received any funding to carry out this work.

Disclosure: The author declares no conflict of interest.



CORRESPONDENCE

Jair Díaz-Martínez. E-mail: diazjairmd@gmail.com




Received: 11/21/2020. Accepted: 07/30/2021

Figure 1
Figure 2
Table 1
Table 2

2020     |     www.medigraphic.com

Mi perfil

C?MO CITAR (Vancouver)

Cir Gen. 2021;43