medigraphic.com
ENGLISH

Cardiovascular and Metabolic Science

ISSN 2954-3835 (Digital)
ISSN 2683-2828 (Impreso)
Antes Revista Mexicana de Cardiología

Ver Revista Mexicana de Cardiología


  • Mostrar índice
  • Números disponibles
  • Información
    • Información general        
    • Directorio
  • Publicar
    • Instrucciones para autores        
    • Envío de artículos
  • medigraphic.com
    • Inicio
    • Índice de revistas            
    • Registro / Acceso
  • Mi perfil

2022, Número 1

<< Anterior Siguiente >>

Cardiovasc Metab Sci 2022; 33 (1)


Disección coronaria espontánea asociada a ejercicio como causa de parada cardíaca

García-Rueda JE, Bermúdez-Flórez AM, Londoño-García R, Saavedra-González YA
Texto completo Cómo citar este artículo 10.35366/104035

DOI

DOI: 10.35366/104035
URL: https://dx.doi.org/10.35366/104035
Artículos similares

Idioma: Inglés [English version]
Referencias bibliográficas: 23
Paginas: 26-31
Archivo PDF: 290.35 Kb.


PALABRAS CLAVE

Disección coronaria espontánea, síndrome coronario agudo, arteriopatía coronaria.

RESUMEN

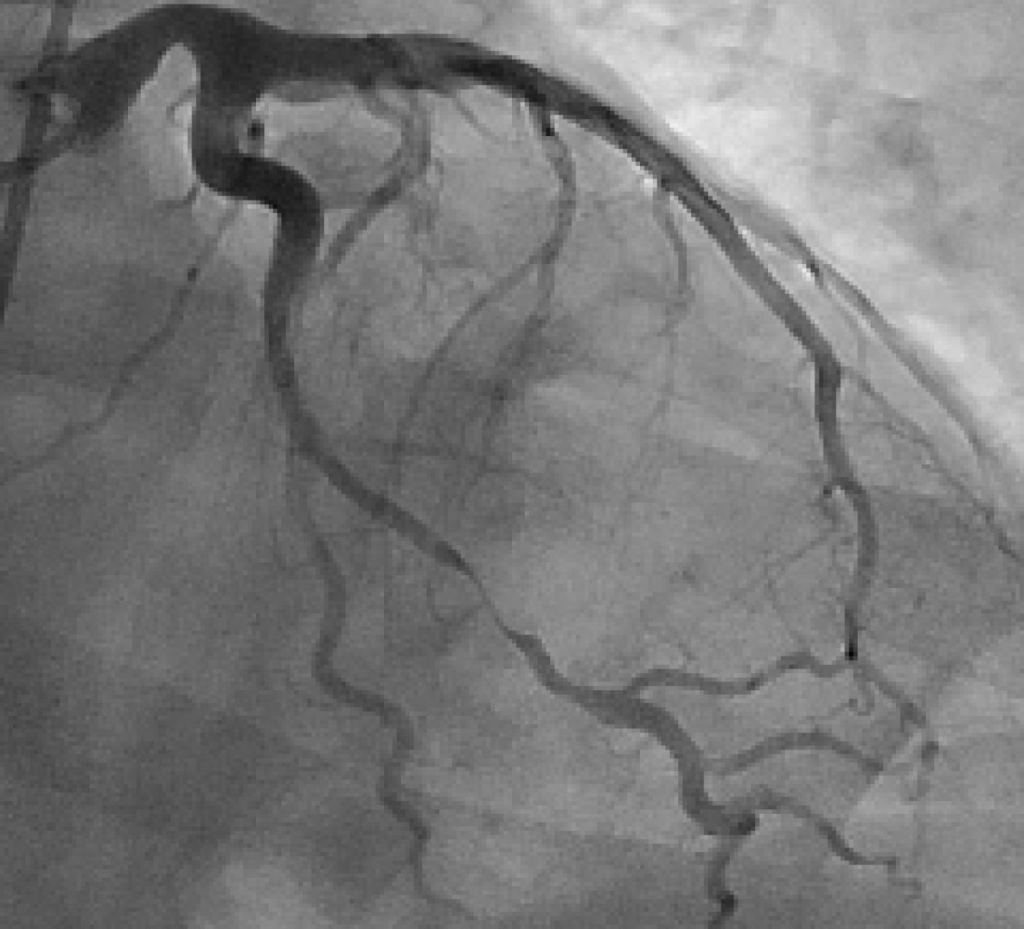
La disección coronaria espontánea (DCE) es una causa poco frecuente de infarto agudo de miocardio, principalmente se presenta en personas jóvenes y de edad media sin factores de riesgo cardiovascular. La presentación clínica depende del grado de afectación y puede ir desde dolor torácico en 85-96% de los casos, síndrome coronario agudo con elevación del ST (SCACEST) en 20-50%, arritmias ventriculares en 3-5%, choque cardiogénico en 2%, muerte súbita o taponamiento pericárdico. Existen algunos factores predisponentes como sexo femenino, embarazo, edad < 50 años, tratamiento hormonal, enfermedades del tejido conectivo (síndrome de Ehlers-Danlos vascular, síndrome de Marfan) y displasia fibromuscular. Así mismo, se han identificado algunos factores desencadenantes como el estrés emocional y físico, ejercicio intenso isométrico y levantamiento de pesas. La angiografía coronaria es el método de elección para hacer el diagnóstico y clasificación. Con relación a su tratamiento, se prefiere en la mayoría de los casos un manejo conservador sobre la revascularización en pacientes estables. Se presenta el caso de un paciente con SCACEST y parada cardiaca secundaria a disección coronaria espontánea mientras realizaba actividad física.


REFERENCIAS (EN ESTE ARTÍCULO)

  1. Almeda FQ, Barkatullah S, Kavinsky CJ. Spontaneous coronary artery dissection: Spontaneous coronary artery dissection. Clin Cardiol [Internet]. 2004; 27 (7): 377-380. Available in: http://dx.doi.org/10.1002/clc.4960270702

  2. Gilhofer TS, Saw J. Spontaneous coronary artery dissection: update 2019. Curr Opin Cardiol [Internet]. 2019; 34 (6): 594-602. Available in: http://dx.doi.org/10.1097/HCO.0000000000000671

  3. Saw J, Poulter R, Fung A, Wood D, Hamburger J, Buller CE. Spontaneous coronary artery dissection in patients with fibromuscular dysplasia: a case series: A case series. Circ Cardiovasc Interv [Internet]. 2012; 5 (1): 134-137. Available in: http://dx.doi.org/10.1161/CIRCINTERVENTIONS.111.966630

  4. Reports of societies. BMJ [Internet]. 1931; 1 (3667): 667-669. Available in: http://dx.doi.org/10.1136/bmj.1.3667.667

  5. Vrints CJM. Spontaneous coronary artery dissection. Heart [Internet]. 2010; 96 (10): 801-808. Available in: http://dx.doi.org/10.1136/hrt.2008.162073

  6. Sultan A, Kreutz RP. Variations in clinical presentation, risk factors, treatment, and prognosis of spontaneous coronary artery dissection. J Invasive Cardiol. 2015; 27 (8): 363-369.

  7. Vanzetto G, Berger-Coz E, Barone-Rochette G, Chavanon O, Bouvaist H, Hacini R et al. Prevalence, therapeutic management and medium-term prognosis of spontaneous coronary artery dissection: results from a database of 11,605 patients. Eur J Cardiothorac Surg [Internet]. 2009; 35 (2): 250-254. Available in: http://dx.doi.org/10.1016/j.ejcts.2008.10.023

  8. García-Guimaraes M, Bastante T, Macaya F, Roura G, Sanz R, Barahona Alvarado JC et al. Disección coronaria espontánea en España: características clínicas y angiográficas, tratamiento y evolución hospitalaria. Rev Esp Cardiol [Internet]. 2021; 74 (1): 15-23. Disponible en: http://dx.doi.org/10.1016/j.recesp.2020.02.008

  9. Saw J, Starovoytov A, Humphries K, Sheth T, So D, Minhas K et al. Canadian spontaneous coronary artery dissection cohort study: in-hospital and 30-day outcomes. Eur Heart J [Internet]. 2019; 40 (15): 1188-1197. Available in: http://dx.doi.org/10.1093/eurheartj/ehz007

  10. Saw J, Humphries K, Aymong E, Sedlak T, Prakash R, Starovoytov A et al. Spontaneous coronary artery dissection: clinical outcomes and risk of recurrence. J Am Coll Cardiol [Internet]. 2017; 70 (9): 1148-1158. Available in: http://dx.doi.org/10.1016/j.jacc.2017.06.053

  11. Tweet MS, Hayes SN, Pitta SR, Simari RD, Lerman A, Lennon RJ et al. Clinical features, management, and prognosis of spontaneous coronary artery dissection. Circulation [Internet]. 2012; 126 (5): 579-588. Available in: http://dx.doi.org/10.1161/CIRCULATIONAHA.112.105718

  12. Hayes SN, Kim ESH, Saw J, Adlam D, Arslanian-Engoren C, Economy KE et al. Spontaneous coronary artery dissection: Current state of the science: A scientific statement from the American heart association. Circulation [Internet]. 2018; 137 (19): e523-e557. Available in: http://dx.doi.org/10.1161/CIR.0000000000000564

  13. Saw J. Coronary angiogram classification of spontaneous coronary artery dissection: coronary angiogram classification of spontaneous coronary artery dissection. Catheter Cardiovasc Interv [Internet]. 2014; 84 (7): 1115-1122. Available in: http://dx.doi.org/10.1002/ccd.25293

  14. Rogowski S, Maeder MT, Weilenmann D, Haager PK, Ammann P, Rohner F et al. Spontaneous coronary artery dissection: angiographic follow-up and long-term clinical outcome in a predominantly medically treated population: angiographic follow-up and long-term clinical outcome in a predominantly medically treated population. Catheter Cardiovasc Interv [Internet]. 2017; 89 (1): 59-68. Available in: http://dx.doi.org/10.1002/ccd.26383

  15. Lobo AS, Cantu SM, Sharkey SW, Grey EZ, Storey K, Witt D et al. Revascularization in patients with spontaneous coronary artery dissection and ST-segment elevation myocardial infarction. J Am Coll Cardiol [Internet]. 2019; 74 (10): 1290-1300. Available in: http://dx.doi.org/10.1016/j.jacc.2019.06.065

  16. Eleid MF, Guddeti RR, Tweet MS, Lerman A, Singh M, Best PJ et al. Coronary artery tortuosity in spontaneous coronary artery dissection: angiographic characteristics and clinical implications: Angiographic characteristics and clinical implications. Circ Cardiovasc Interv [Internet]. 2014; 7 (5): 656-662. Available in: http://dx.doi.org/10.1161/CIRCINTERVENTIONS.114.001676

  17. Prakash R, Starovoytov A, Heydari M, Mancini GBJ, Saw J. Catheter-induced iatrogenic coronary artery dissection in patients with spontaneous coronary artery dissection. JACC Cardiovasc Interv [Internet]. 2016; 9 (17): 1851-1853. Available in: http://dx.doi.org/10.1016/j.jcin.2016.06.026

  18. Lettieri C, Zavalloni D, Rossini R, Morici N, Ettori F, Leonzi O et al. Management and long-term prognosis of spontaneous coronary artery dissection. Am J Cardiol [Internet]. 2015; 116 (1): 66-73. Available in: http://dx.doi.org/10.1016/j.amjcard.2015.03.039

  19. Kim ESH. Spontaneous coronary-artery dissection. N Engl J Med [Internet]. 2020; 383 (24): 2358-2370. Available in: http://dx.doi.org/10.1056/NEJMra2001524

  20. Krittanawong C, Kumar A, Johnson KW, Luo Y, Yue B, Wang Z et al. Conditions and factors associated with spontaneous coronary artery dissection (from a national population-based cohort study). Am J Cardiol [Internet]. 2019; 123 (2): 249-253. Available in: http://dx.doi.org/10.1016/j.amjcard.2018.10.012

  21. Vandamme M, De Backer J, De Backer T, Drieghe B, Devos D, Gevaert S. The spectrum of spontaneous coronary artery dissection: illustrated review of the literature. Acta Cardiologica [Internet]. 2017; 72 (6): 599-609. Available in: http://dx.doi.org/10.1080/00015385.2017.1309095

  22. Ellis CJ, Haywood GA, Monro JL. Spontaneous coronary artery dissection in a young woman resulting from an intense gymnasium "work-out". Int J Cardiol [Internet]. 1994; 47 (2): 193-194. Available in: http://dx.doi.org/10.1016/0167-5273(94)90191-0

  23. Smith AAH, Wananu M, Carlson MD. Spontaneous coronary artery dissection in a healthy woman after initiating a high-intensity interval training workout program. Am J Cardiol [Internet]. 2018; 122 (9): 1588-1589. Available in: http://dx.doi.org/10.1016/j.amjcard.2018.07.013




Figura 1
Figura 2
Figura 3

2020     |     www.medigraphic.com

Mi perfil

C?MO CITAR (Vancouver)

Cardiovasc Metab Sci . 2022;33

ARTíCULOS SIMILARES

CARGANDO ...