medigraphic.com
ENGLISH

Cardiovascular and Metabolic Science

ISSN 2954-3835 (Digital)
ISSN 2683-2828 (Impreso)
Antes Revista Mexicana de Cardiología

Ver Revista Mexicana de Cardiología


  • Mostrar índice
  • Números disponibles
  • Información
    • Información general        
    • Directorio
  • Publicar
    • Instrucciones para autores        
    • Envío de artículos
  • medigraphic.com
    • Inicio
    • Índice de revistas            
    • Registro / Acceso
  • Mi perfil

2022, Número 1

<< Anterior

Cardiovasc Metab Sci 2022; 33 (1)


Enorme masa ventricular derecha en un paciente masculino de 25 años

Cerqueira BFLA, Rocha CM, Garcia CAW, Lemes FD
Texto completo Cómo citar este artículo 10.35366/104036

DOI

DOI: 10.35366/104036
URL: https://dx.doi.org/10.35366/104036
Artículos similares

Idioma: Inglés [English version]
Referencias bibliográficas: 23
Paginas: 32-35
Archivo PDF: 187.86 Kb.


PALABRAS CLAVE

Tumores cardiacos, sarcoma, cardio-oncología, mixoma, ecocardiografía.

RESUMEN

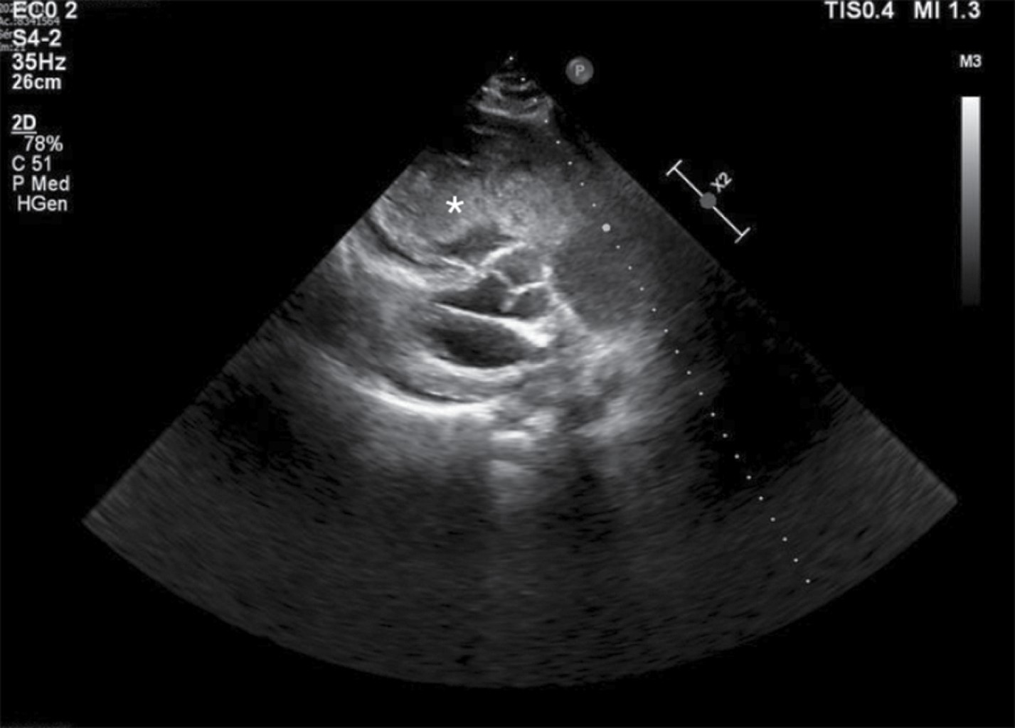
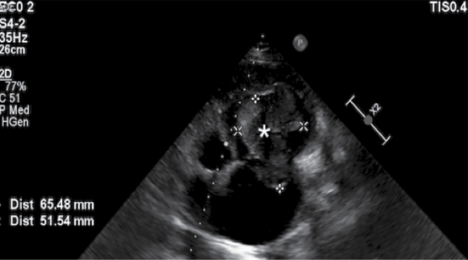
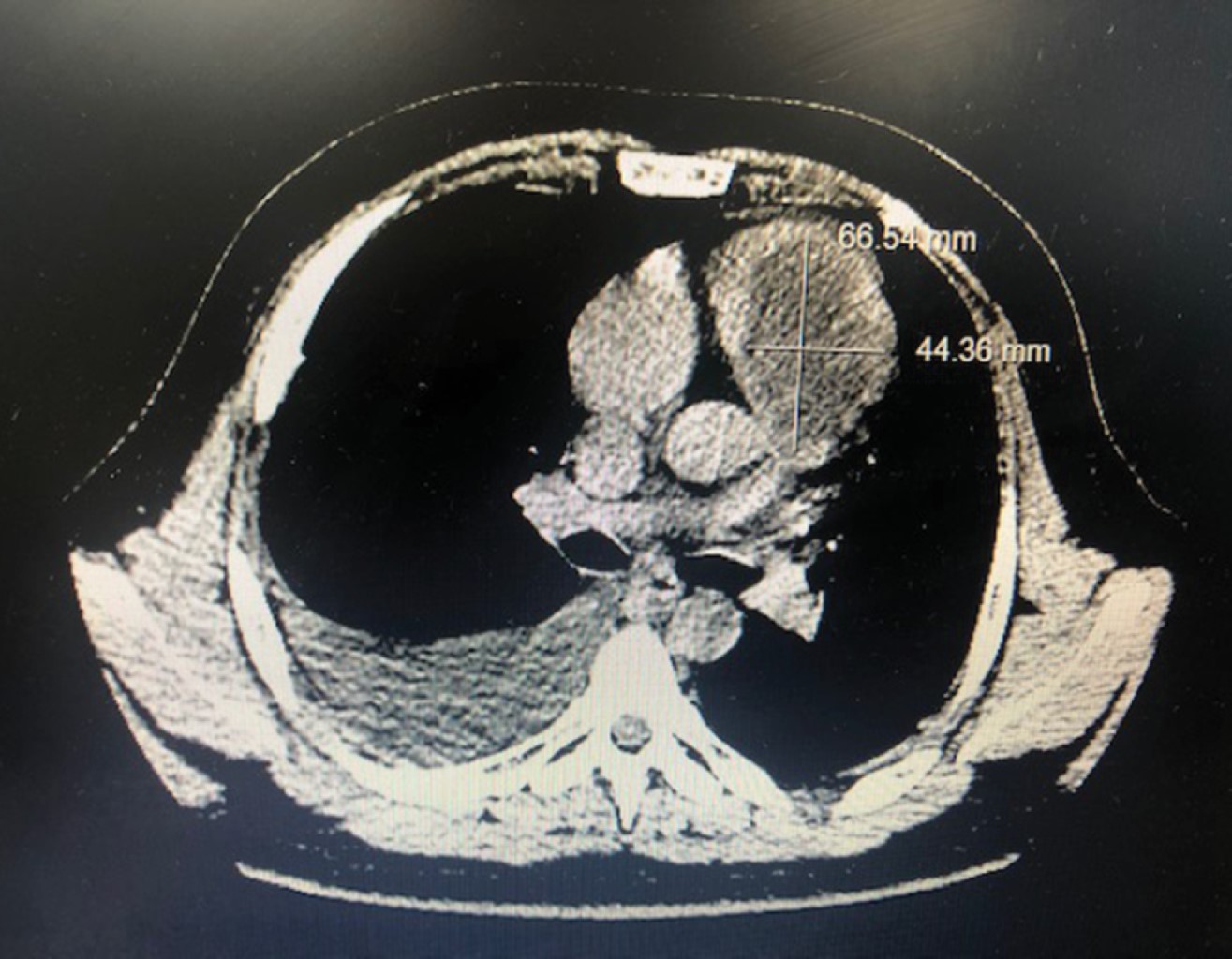
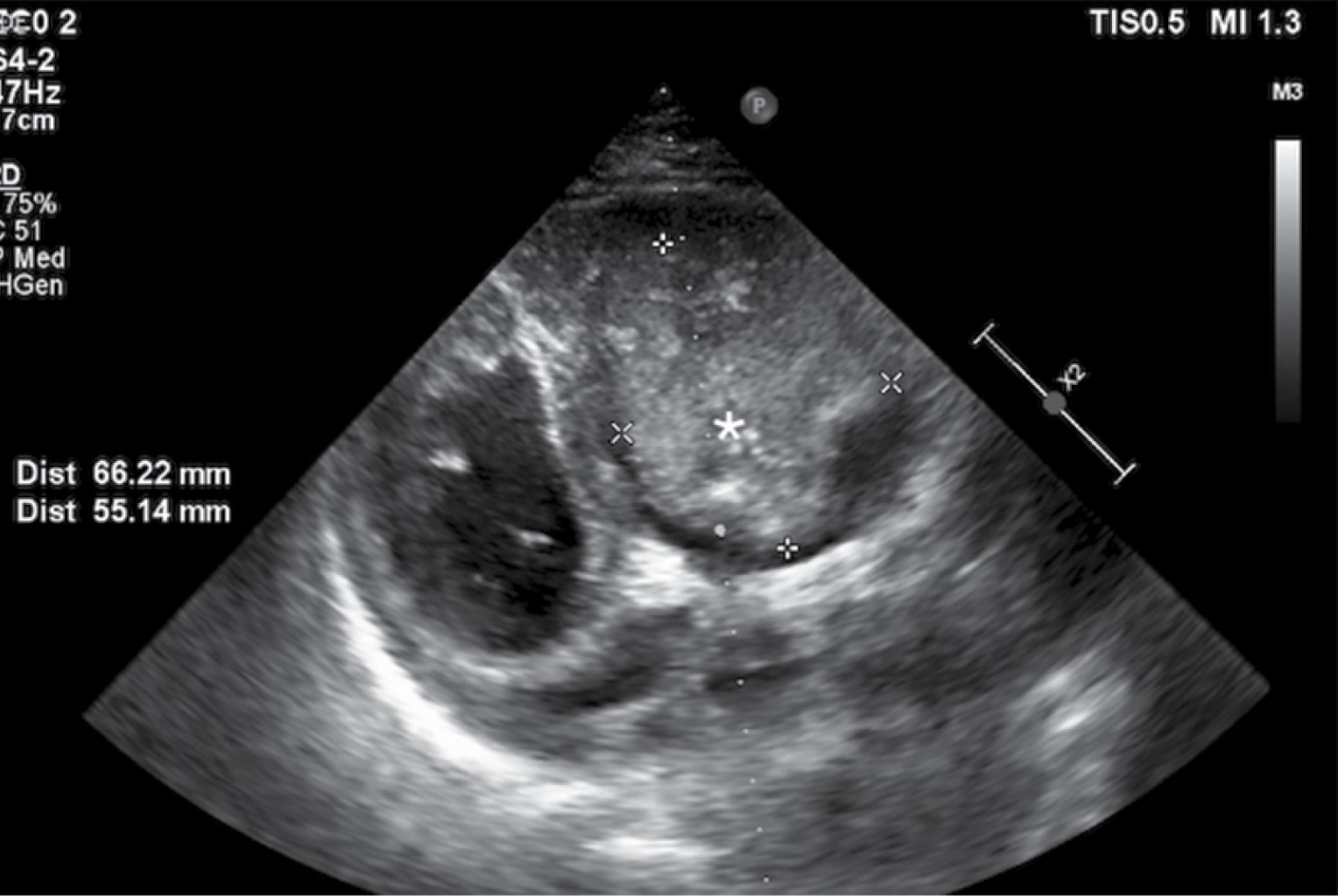
Un joven varón acudió al Servicio de Urgencias del Hospital Santa Marcelina de Cidade Tiradentes con signos de insuficiencia cardíaca congestiva y pérdida de apetito. Se realizó un ecocardiograma bidimensional y se detectó una enorme masa ventricular derecha. Las masas cardíacas son siempre un desafío, y este artículo proporciona una revisión sobre el tema.


REFERENCIAS (EN ESTE ARTÍCULO)

  1. Safi LM, Mehta V, Tolis G Jr, Picard MH. Right ventricular angiosarcoma compressing the left ventricle. CASE (Phila). 2017; 1 (1): 2-5.

  2. Singh V, Singh SK, Devenraj V, Kumar S. Giant right ventricular myxoma obstructing both inflow and outflow tract. Indian J Thorac Cardiovasc Surg. 2019; 35 (3): 499-501. doi: 10.1007/s12055-019-00793-3.

  3. Reynen K. Frequency of primary tumors of the heart. Am J Cardiol. 1996; 77 (1): 107. doi: 10.1016/s0002-9149(97)89149-7.

  4. Tamin SS, Maleszewski JJ, Scott CG, Khan SK, Edwards WD, Bruce CJ, Oh JK, Pellikka PA, Klarich KW. Prognostic and bioepidemiologic implications of papillary fibroelastomas. J Am Coll Cardiol. 2015; 65 (22): 2420-2429. doi: 10.1016/j.jacc.2015.03.569.

  5. Bhattacharyya S, Khattar R, Senior R. Characterisation of intra-cardiac masses by myocardial contrast echocardiography. Int J Cardiol. 2013; 163 (1): e11-3. doi: 10.1016/j.ijcard.2012.06.098.

  6. Altbach MI, Squire SW, Kudithipudi V, Castellano L, Sorrell VL. Cardiac MRI is complementary to echocardiography in the assessment of cardiac masses. Echocardiography. 2007; 24 (3): 286-300. doi: 10.1111/j.1540-8175.2007.00392.x.

  7. Basso C, Valente M, Poletti A, Casarotto D, Thiene G. Surgical pathology of primary cardiac and pericardial tumors. Eur J Cardiothorac Surg. 1997; 12 (5): 730-737; discussion 737-8. doi: 10.1016/s1010-7940(97)00246-7.

  8. Jain D, Maleszewski JJ, Halushka MK. Benign cardiac tumors and tumorlike conditions. Ann Diagn Pathol. 2010; 14 (3): 215-230. doi: 10.1016/j.anndiagpath.2009.12.010.

  9. Kamilaris CDC, Faucz FR, Voutetakis A, Stratakis CA. Carney Complex. Exp Clin Endocrinol Diabetes. 2019; 127 (2-03): 156-164. doi: 10.1055/a-0753-4943.

  10. Amonkar GP, Kandalkar BM, Balasubramanian M. Cardiac rhabdomyoma. Cardiovasc Pathol. 2009; 18 (5): 313-314. doi: 10.1016/j.carpath.2008.02.002.

  11. Saffari A, Brosse I, Wiemer-Kruel A, Wilken B, Kreuzaler P, Hahn A et al. Safety and efficacy of mTOR inhibitor treatment in patients with tuberous sclerosis complex under 2 years of age - a multicenter retrospective study. Orphanet J Rare Dis. 2019; 14 (1): 96. doi: 10.1186/s13023-019-1077-6.

  12. Leja MJ, Shah DJ, Reardon MJ. Primary cardiac tumors. Tex Heart Inst J. 2011; 38 (3): 261-262.

  13. Bussani R, Castrichini M, Restivo L, Fabris E, Porcari A, Ferro F et al. Cardiac tumors: diagnosis, prognosis, and treatment. Curr Cardiol Rep. 2020; 22 (12): 169. doi: 10.1007/s11886-020-01420-z.

  14. Lestuzzi C. Primary tumors of the heart. Curr Opin Cardiol. 2016; 31 (6): 593-598. doi: 10.1097/HCO.0000000000000335.

  15. Araoz PA, Mulvagh SL, Tazelaar HD, Julsrud PR, Breen JF. CT and MR imaging of benign primary cardiac neoplasms with echocardiographic correlation. Radiographics. 2000; 20 (5): 1303-1319. doi: 10.1148/radiographics.20.5.g00se121303.

  16. Gupta A. Primary cardiac sarcomas. Expert Rev Cardiovasc Ther. 2008; 6 (10): 1295-1297. doi: 10.1586/14779072.6.10.1295.

  17. Swallow CJ, Catton CN. Local management of adult soft tissue sarcomas. Semin Oncol. 2007; 34 (3): 256-269. doi: 10.1053/j.seminoncol.2007.03.008.

  18. O'Sullivan B, Pisters PW. Staging and prognostic factor evaluation in soft tissue sarcoma. Surg Oncol Clin N Am. 2003; 12 (2): 333-353. doi: 10.1016/s1055-3207(03)00011-5.

  19. Putnam JB Jr, Sweeney MS, Colon R, Lanza LA, Frazier OH, Cooley DA. Primary cardiac sarcomas. Ann Thorac Surg. 1991; 51 (6): 906-910. doi: 10.1016/0003-4975(91)91003-e.

  20. Simpson L, Kumar SK, Okuno SH, Schaff HV, Porrata LF, Buckner JC, Moynihan TJ. Malignant primary cardiac tumors: review of a single institution experience. Cancer. 2008; 112 (11): 2440-2446. doi: 10.1002/cncr.23459.

  21. Bussani R, De-Giorgio F, Abbate A, Silvestri F. Cardiac metastases. J Clin Pathol. 2007; 60 (1): 27-34. doi: 10.1136/jcp.2005.035105.

  22. Thompson CA, Skelton TN. Thromboembolism in the right side of the heart. South Med J. 1999; 92 (8): 826-830. doi: 10.1097/00007611-199908000-00018.

  23. Coelho VS, Calandrini A, Waisbich LT. 'Voices from Cidade Tiradentes, Sao Paulo, Brazil' in the Shaping Health programme on Learning from international experience on approaches to community power, participation and decision-making in health. Brazilian Centre for Analysis and Planning: TARSC. July 2017. Available from https://www.tarsc.org/publications/documents/SOCEMP%20Brazil%20%20case%20study%20July2017pv.pdf.




Figura 1
Figura 2
Figura 3
Figura 4

2020     |     www.medigraphic.com

Mi perfil

C?MO CITAR (Vancouver)

Cardiovasc Metab Sci . 2022;33

ARTíCULOS SIMILARES

CARGANDO ...