medigraphic.com
ENGLISH

Acta Médica Grupo Ángeles

Órgano Oficial del Hospital Ángeles Health System
  • Mostrar índice
  • Números disponibles
  • Información
    • Información general        
    • Directorio
  • Publicar
    • Instrucciones para autores        
    • Envío de artículos
    • Políticas
    • Nombre y afiliación del Comité Editorial
  • Nosotros
    • Plan de gestión e intercambio de datos
    • Objetivos declarados y alcance
  • medigraphic.com
    • Inicio
    • Índice de revistas            
    • Registro / Acceso
  • Mi perfil

2022, Número 2

<< Anterior Siguiente >>

Acta Med 2022; 20 (2)


Lipoma pericalloso tubulonodular con disgenesia del cuerpo calloso

Mercado Elizondo, Roberto J1; Cornelio Rodríguez, Georgina2; Ramírez Arias, José Luis3; Takenaga Mezquida, Raúl Hiroshi4
Texto completo Cómo citar este artículo 10.35366/104281

DOI

DOI: 10.35366/104281
URL: https://dx.doi.org/10.35366/104281
Artículos similares

Idioma: Español
Referencias bibliográficas: 5
Paginas: 178-180
Archivo PDF: 153.19 Kb.


PALABRAS CLAVE

Clasificaciones de tumores, Organización Mundial de la Salud, disgenesia, lipoma, cuerpo calloso.

RESUMEN

La clasificación de tumores de la Organización Mundial de la Salud (OMS) sitúa a los lipomas intracraneales como tumores no meningoteliales mesenquimatosos. La localización en cuerpo calloso es rara, menos de 5%. Se consideran como el resultado de la persistencia y diferenciación anormal de la meninge primitiva en tejido adiposo, típicamente la reabsorción ocurre entre la octava y décima semana de gestación. Clínicamente, más de 50% de los casos cursan con cefalea y convulsiones y en ocasiones acuden con trastornos psicológicos como el paciente del caso actual. También pueden referirse asintomáticos.



INTRODUCCIóN

La clasificación de tumores de la Organización Mundial de la Salud (OMS) de 2016, sitúa a los lipomas intracraneales como tumores no meningoteliales mesenquimatosos.1 Los lipomas del cuerpo calloso son raros, representan menos de 5% de las malformaciones del cuerpo calloso y suelen asociarse con disgenesias del cuerpo calloso.2

Pueden ser asintomáticos y diagnosticarse como un hallazgo incidental en un estudio de imagen. La mayoría de las veces se presentan con cefalea y convulsiones en más de 50% de los casos y en ocasiones acuden con trastornos psicológicos3 como el paciente presentado en nuestro caso.



DESCRIPCIóN DEL CASO

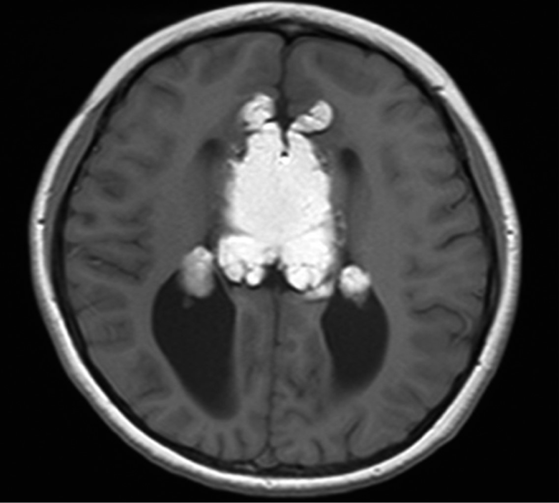
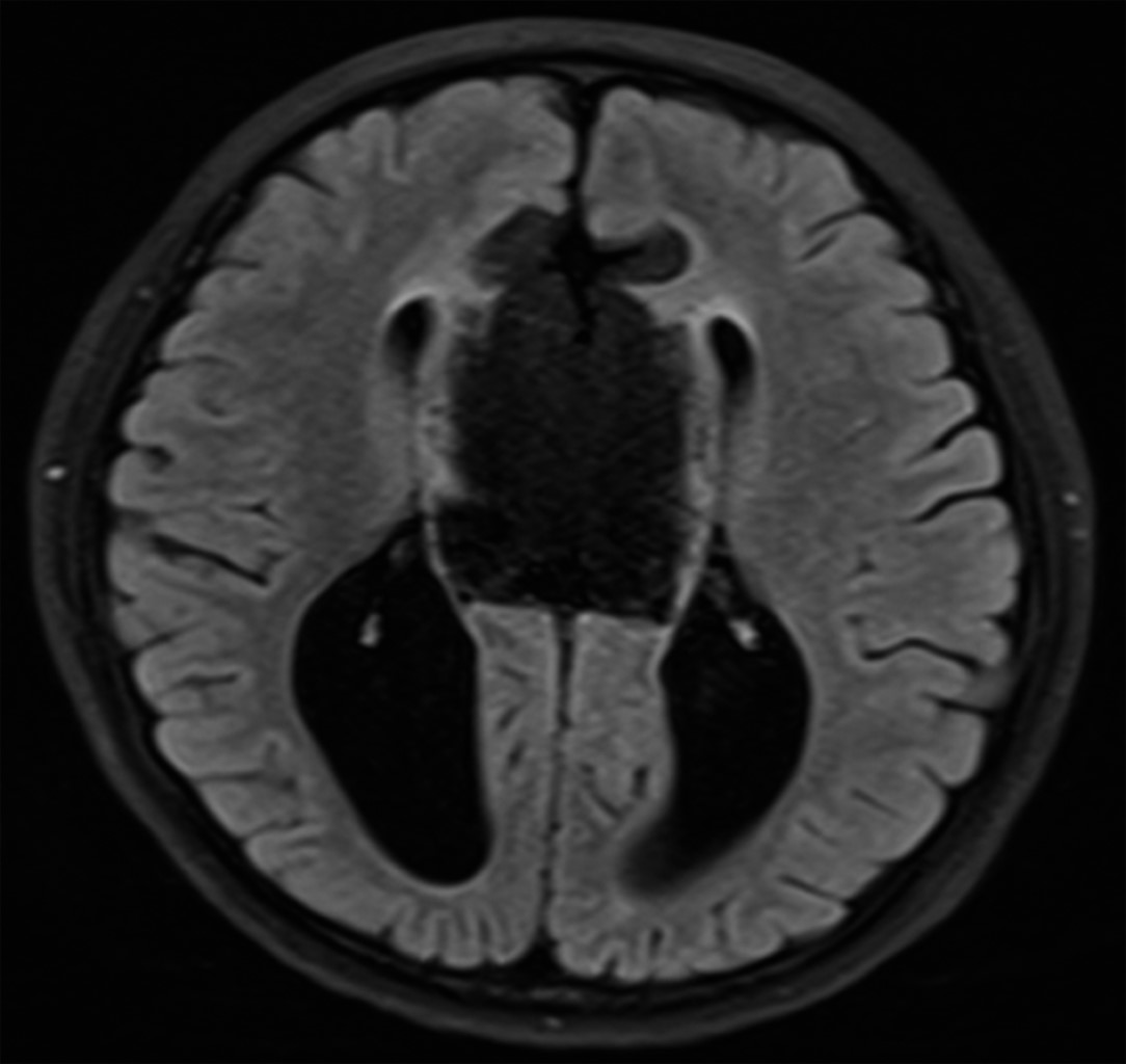
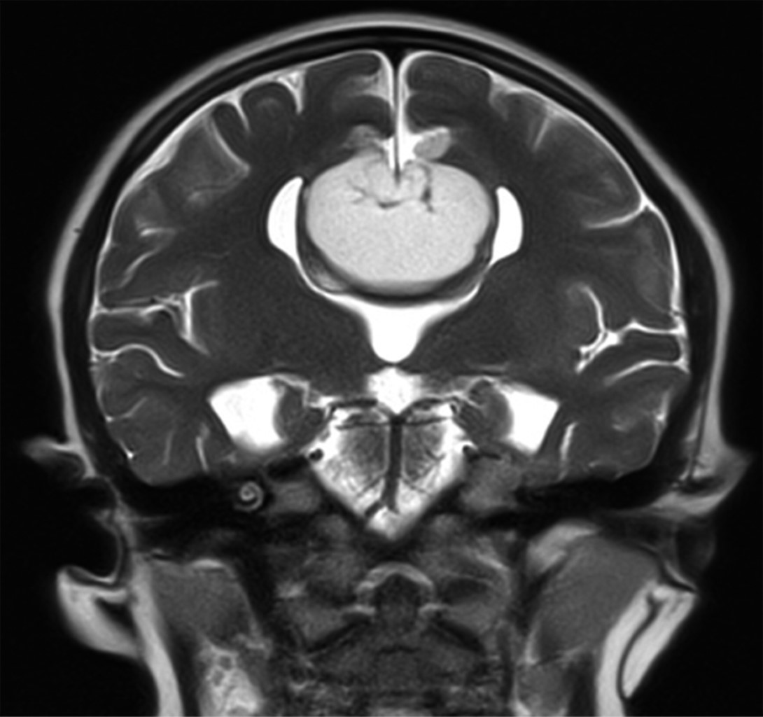
Masculino de siete años edad con antecedente de cefalea, muestra deficiencias en la coordinación motora, equilibrio y lenguaje expresivo. Acude a consulta en medio institucional, donde médico tratante solicita como estudio de abordaje inicial resonancia magnética de encéfalo, en la que se observan cuernos frontales pequeños con dilatación de los trígonos y cuernos occipitales identificando los signos radiológicos en cortes axiales "carro de carreras" (Figura 1) y en cortes coronales "cabeza de alce" (Figura 2). Lo antes descrito se relaciona con disgenesia del cuerpo calloso, la cual se corrobora en cortes sagitales donde no se identifica en la línea media el cuerpo calloso. Además, se identifica masa ubicada en topografía pericallosa de localización anterior, centrada hacia la fisura interhemisférica, lesión de forma irregular de comportamiento hiperintenso en T1 (Figura 1) y T2 (Figura 2), que suprime en secuencia de supresión grasa (Figura 3) y que mide aproximadamente 2.4 × 3.4 × 5.4 cm de diámetro máximo en sus ejes laterolateral, cefalocaudal y rostroventral, respectivamente.

De manera complementaria se realizó espectroscopia univoxel con tiempo de eco corto para valorar metabolitos pequeños, en la cual se identifica un aumento en el pico de los lípidos; asimismo, previo a conocer el diagnóstico se realiza espectroscopia multivoxel con tiempo de eco largo para valorar el patrón tumoral, el cual se caracteriza por la presencia de un pico de Cho y disminución del NAA, llama la atención un marcado pico en la posición 1.3-1.4 ppm que corresponde a los lípidos.



DISCUSIóN

Los lipomas del cuerpo calloso pueden ser asintomáticos y diagnosticarse como un hallazgo incidental en un estudio de imagen. La mayoría de las veces se presentan con cefalea y convulsiones en más de 50% de los casos y en ocasiones acuden con trastornos psicológicos.3

La fisiopatología de un lipoma pericalloso se considera como el resultado de la persistencia y diferenciación anormal de la meninge primitiva en tejido adiposo, típicamente la reabsorción ocurre entre la octava y décima semana de gestación. Cabe mencionar que el estudio de elección por imagen para valorar de manera adecuada los hallazgos morfológicos es la resonancia magnética simple, la cual nos ayuda a evaluar las variantes de los lipomas pericallosos, es decir, del tipo tubulonodular y curvilíneo. En la variante tubulonodular se presentan como tumores redondeados o lobulados que miden más de 2 cm de espesor, se sitúan anteriores y se asocian con anomalías del cuerpo calloso, pueden extenderse hasta el plexo coroideo. Los lipomas pericallosos curvilíneos suelen ser delgados, alargados a lo largo del margen del cuerpo calloso, suelen medir menos de 1 cm de espesor y están situados posteriormente; la asociación con anomalías del cuerpo calloso es poco frecuente.4 Dicho método de imagen nos ayudará a realizar diagnósticos más precisos basándonos en las características morfológicas de la lesión para apoyar al médico tratante con diagnósticos más asertivos.

El abordaje diagnóstico de inicio fue con resonancia magnética de cráneo; sin embargo, el estudio inicial es mediante tomografía computarizada simple, que demuestra una masa a nivel de la línea media en topografía pericallosa con un coeficiente de atenuación graso entre (-80 y -110 unidades Hounsfield), la variante tubulonodular que es la más común, puede presentar calcificaciones periféricas.

El estudio de elección es la resonancia magnética simple que realiza secuencias para valorar la supresión de la grasa, y la secuencia ecogradiente o T2 que nos ayuda a valorar calcios periféricos, ya que en esta secuencia se visualiza el artefacto blackdots en la presencia de calcificaciones. La espectroscopia con tiempo de eco corto nos ayuda a valorar los metabolitos como la grasa y también la espectroscopia con tiempo de eco largo nos ayuda a valorar si la masa presenta un patrón tumoral.1,4

La resonancia magnética contrastada se utiliza para valorar los vasos cerebrales, ya que los vasos anteriores se pueden ver discurriendo a través o encima de la masa y pueden tener malformaciones vasculares asociadas como la malformación de aneurismas o incluso tratarse como un diagnóstico diferencial.5

El manejo en lactantes como método de imagen inicial se puede dar mediante ultrasonido transfontanelar, en el cual se visualiza una masa hiperecogénica en la línea media asociada a datos de ausencia del cuerpo calloso, que son la colpocefalia y la disminución del volumen de las astas anteriores de los ventrículos laterales. Posterior a tener la sospecha imagenológica de lipoma pericalloso es importante complementar con resonancia magnética simple para caracterizar adecuadamente la morfología de la masa y mencionar si se trata de un lipoma pericalloso del tipo tubulonodular o curvilíneo.

Entre los diagnósticos diferenciales que podemos encontrar para esta patología están el tumor dermoide intracraneal, teratoma intracraneal, falx cerebrigraso, transformación lipomatosa rara de la neoplasia (PNET, ependimoma y glioma). Por lo que es importante tomar en cuenta en cada uno de los diagnósticos diferenciales la edad del paciente, la localización de la lesión y el comportamiento de la lesión en secuencias especiales de resonancia magnética.4,5



CONCLUSIóN

El diagnóstico de lipoma pericalloso, pese a ser una lesión poco frecuente, debe tomarse en cuenta en pacientes con síntomas que van desde convulsiones y cefalea hasta trastornos de la conducta. El abordaje diagnóstico debe incluir tomografía computarizada con el fin de poder valorar el coeficiente de atenuación graso entre (-80 y -110 unidades Hounsfield), la resonancia magnética que es el estudio diagnóstico de elección para valorar adecuadamente los hallazgos morfológicos de esta lesión y que realiza secuencias para valorar la supresión de la grasa, y la secuencia ecogradiente o T2 que nos ayuda a valorar calcios periféricos, ya que en esta secuencia se visualiza el artefacto blackdots en la presencia de calcificaciones.

Teniendo en cuenta lo revisado en la literatura, diagnosticar estos tumores es un reto diagnóstico debido a la ambigüedad de sus síntomas que, incluso en ocasiones, suelen presentarse de manera asintomática y encontrarse incidentalmente en los estudios de imagen.


REFERENCIAS (EN ESTE ARTÍCULO)

  1. Osborn AG, Hedlund GL, Salzman KL. Congenital Malformations of the Skull and Brain. Osborn's brain: imaging, pathology, and anatomy. 2.ª ed. Philadelphia, PA: Elsevier; 2018. pp. 1159-1168.

  2. Lucena J, Barrero E, Salguero M, Rico A, Blanco M, Marín R et al. Lipoma del cuerpo calloso con crisis convulsiva que ocasiona broncoaspiracion alimentaria mortal. Cuad med forense. 2004; (37): 59-63.

  3. Kilic B, Gungor S. Pericallosal lipoma: A rare cause of persistente headache. Curr Pediatr Res. 2016; 20 (1-29): 85-87.

  4. Desai P, Saber M. Pericallosal lipoma. 2009. Available in: https://radiopaedia.org/articles/pericallosal-lipoma

  5. Woodward PJ, editor. Intracranial Lipoma. En: Diagnostic Imaging: Obstetrics. 4ª ed. Elsevier; 2021. Available in: https://my.statdx.com/document/intracranial-lipoma/75939a2c-8e82-492e-8fcf-d1557f8d8344?searchTerm=pericallosal%20lipoma



AFILIACIONES

1 Médico Radiólogo. Médico Residente del curso de Alta Especialidad de Imagen e Intervención de la Mama. Facultad de Medicina UNAM. Ciudad de México, México. Hospital Angeles Pedregal. Ciudad de México, México.

2 Médico Radiólogo Intervencionista. Médico Residente del curso de Alta Especialidad en PET/CT. Facultad de Medicina de la UNAM. Ciudad de México, México. Hospital Angeles Pedregal. Ciudad de México, México.

3 Médico Radiólogo. Director Médico. Hospital Angeles Pedregal. Ciudad de México, México.

4 Médico Radiólogo Pediatra, Departamento de Radiología Pediatría. Hospital Angeles Pedregal. Ciudad de México, México.



Conflicto de intereses: Los autores declaran no tener conflicto de intereses.



CORRESPONDENCIA

Dr. Roberto Javier Mercado Elizondo. Correo electrónico: rjme90@gmail.com




Aceptado: 26-04-2021.

Figura 1
Figura 2
Figura 3

2020     |     www.medigraphic.com

Mi perfil

C?MO CITAR (Vancouver)

Acta Med. 2022;20

ARTíCULOS SIMILARES

CARGANDO ...