medigraphic.com
ENGLISH

Acta Médica Grupo Ángeles

Órgano Oficial del Hospital Ángeles Health System
  • Mostrar índice
  • Números disponibles
  • Información
    • Información general        
    • Directorio
  • Publicar
    • Instrucciones para autores        
    • Envío de artículos
    • Políticas
    • Nombre y afiliación del Comité Editorial
  • Nosotros
    • Plan de gestión e intercambio de datos
    • Objetivos declarados y alcance
  • medigraphic.com
    • Inicio
    • Índice de revistas            
    • Registro / Acceso
  • Mi perfil

2022, Número 2

<< Anterior Siguiente >>

Acta Med 2022; 20 (2)


Neumonía por Trichosporon asahii en paciente inmunocompetente

Becerril Nito, Jimena M1; Moreno Ordaz, Lorena2; Díaz Greene, Enrique Juan2; Cornelio Rodríguez, Georgina3
Texto completo Cómo citar este artículo 10.35366/104282

DOI

DOI: 10.35366/104282
URL: https://dx.doi.org/10.35366/104282
Artículos similares

Idioma: Español
Referencias bibliográficas: 14
Paginas: 181-184
Archivo PDF: 167.83 Kb.


PALABRAS CLAVE

Tricosporonosis, Trichosporon asahii, neumonía nosocomial, fungemia.

RESUMEN

La tricosporonosis es una infección micótica poco frecuente con alta mortalidad en pacientes inmunocomprometidos, y en pacientes inmunocompetentes es aún menos frecuente. Se reporta el caso de paciente de 66 años, inmunocompetente, con neumonía secundaria a perforación de tracto gastrointestinal y manejo avanzado de la vía aérea por sepsis abdominal, quien mantuvo una evolución tórpida con estancia prolongada en la unidad de cuidados intensivos hasta reporte de cultivo positivo para Trichosporon asahii e inicio de tratamiento específico.



INTRODUCCIóN

Las infecciones fúngicas son una de las causas más importantes de mortalidad en pacientes hospitalizados, específicamente en los que se encuentran en unidades de cuidados intensivos, los más comunes son los pertenecientes a la familia Candida ssp.1 Recientemente se han identificado otros hongos como Trichosporon spp., que de manera habitual forma parte de la microbiota humana y que en ocasiones puede manifestarse como infección superficial conocida como "piedra blanca" en pacientes inmunocompetentes; cuando ésta se manifiesta en pacientes inmunocomprometidos, la neutropenia es el principal factor de riesgo. La tricosporonosis se considera una infección oportunista, invasiva, poco frecuente, con mortalidad que oscila entre 50 y 80%, cuyas manifestaciones principales son la fiebre y la fungemia.1,2 El diagnóstico se divide en comprobado (aislamiento en hemocultivos, cultivo de líquido cefalorraquídeo o biopsia) y probable (factores de riesgo, cultivos en material biológico y datos de infección.2

En este caso se documentó Trichosporon asahii por medio de cultivo de secreción bronquial, por lo que representa un diagnóstico probable. El objetivo de la presentación de este caso es un paciente que no se encuentra en estado de inmunocompromiso, con manifestaciones relacionadas a neumonía con adecuada respuesta a tratamiento posterior al aislamiento de Trichosporon asahii.



REPORTE DE CASO

Masculino de 66 años de edad, con colecistectomía laparoscópica como único antecedente de relevancia, inicia padecimiento actual tres semanas previas a su ingreso hospitalario con un cuadro caracterizado por dolor abdominal difuso, de intensidad moderada, acompañado de distensión del perímetro abdominal y alteración en el patrón de las evacuaciones, razón por la que acude con facultativo quien inicia tratamiento sin mejoría, agregándose astenia, adinamia, náusea sin llegar al vómito y aumento en la intensidad de dolor abdominal, por lo que acude a urgencias de una unidad hospitalaria, donde se inicia manejo con inhibidor de bomba de protones y enema evacuante sin adecuada respuesta. Por lo anterior, se solicita tomografía computarizada de abdomen, la cual revela diverticulitis complicada con perforación a nivel de recto sigmoides, líquido libre y cambios inflamatorios mesentéricos.

Dados los hallazgos y para su mejor manejo se decide traslado a nuestro servicio de urgencias; al ingreso paciente obnubilado, con datos de irritación peritoneal con abdomen en madera, se pasa paciente a quirófano donde se realiza laparotomía exploradora con sigmoidectomía, colostomía y lavado de cavidad, posterior ingreso a la unidad de cuidados intensivos (UCI) por choque séptico de origen abdominal, con apoyo de aminas y ventilación mecánica invasiva. Iniciándose tratamiento antimicrobiano empírico con meropenem y metronidazol.

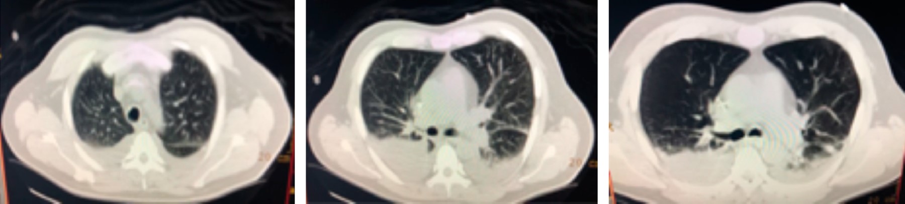
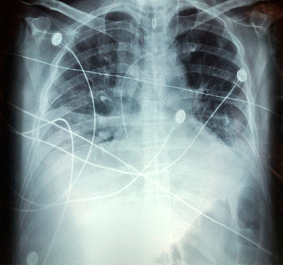
Posteriormente presenta datos de respuesta inflamatoria sistémica y elevación térmica asociándose en un inicio a sepsis abdominal y posteriormente a infección de catéter venoso central. Se realiza cambio del mismo sin mejoría reportando cultivo negativo, a lo cual se añaden estertores bésales y sibilancias. Al sexto día se integra clínicamente el diagnóstico de neumonía, mismo que es confirmado por radiografía de tórax (Figura 1), se solicita cultivo de secreción bronquial y se realiza tomografía toracoabdominal (Figura 2), que revela datos de neumonía asociada al ventilador y se agrega caspofungina al esquema antimicrobiano previo.

El paciente presenta mejoría relativa, se decide su extubación, un día posterior a esto persiste con deterioro clínico, se amplia cobertura de antimicrobianos para Staphylococcus aureus meticilino-resistente, se solicita nueva tomografía de tórax para control, en la cual persisten las zonas de consolidación en lóbulos inferiores, agregándose derrame pleural bilateral, el resto del estudio sin cambios significativos respecto al previo (Figura 3).

Seis días posteriores se reporta cultivo de secreción positivo para Trichosporon asahii, cambiando caspofungina por voriconazol, logrando su egreso de la UCI. Un día posterior el paciente presenta mejoría clínica, manteniendo una evolución favorable el resto de su estancia hospitalaria en tratamiento con voriconazol. Se realiza nueva tomografía de control, la cual muestra mejoría significativa de las zonas de consolidación en los lóbulos pulmonares inferiores así como del derrame pleural, el cual mostraba resolución casi total del hemitórax izquierdo y disminución del volumen del derrame pleural derecho. Por lo anterior, se decide su egreso a domicilio posterior a 22 días de estancia intrahospitalaria. Actualmente continúa con seguimiento por consulta externa con evolución favorable.



DISCUSIóN

La familia de Trichosporon spp. son levaduras ubicuas y por lo general se encuentran en sustratos ambientales y madera descompuesta,3 restos vegetales, animales y aves;4 pueden formar parte de la microbiota humana, encontrándose en el tracto gastrointestinal, y especialmente en la región perigenital, donde es responsable de una infección superficial llamada piedra blanca,1 que se caracteriza por nódulos superficiales e irregulares que aparecen en el área afectada que puede ser barba, bigote o la región genital,5 pero su relevancia clínica va más allá al ser capaz de producir infecciones invasoras y su incidencia ha aumentado en las últimas dos décadas.6

Infecciones con Trichosporon spp. Son invasivos que se asocian con frecuencia al uso de catéter venoso central, y catéter peritoneal; su habilidad para formar biofilm en dispositivos implantados puede explicar el progreso a las formas invasoras así como promover la resistencia a la respuesta inmunológica del paciente y de la mayoría de los antifúngicos. Estas infecciones se manifiestan con mayor frecuencia en pacientes con enfermedades hematológicas, diálisis peritoneo y tumores sólidos, presentándose inmediatamente después con frecuencia en pacientes críticos admitidos a unidades de cuidados intensivos, sujetos a procedimientos médicos invadidos y terrazas antimicrobianas de amplio espectro.7

El tracto gastrointestinal, las lesiones cutáneas y la mucosa son posibles portales de entrada,8 siendo la traslocación a través del intestino la fuente de infección en un importante número de tricosporonosis documentadas. La tricosporonosis puede limitarse a un órgano o diseminarse hematógenamente a otros tejidos, las infecciones profundas por T. asahii están asociadas a un amplio espectro de manifestaciones clínicas como fiebre, lesiones pulmonares, cutáneas y choque séptico.9 El diagnóstico requiere deuda lata sospecha basándose en los factores de riesgo, cultivos repetidos y biopsias.10

Por imagen muchas veces la radiografía no aporta grandes hallazgos, especialmente en estadios tempranos de la enfermedad, pero si éstos se visualizaran encontraríamos opacidades retículo nodulares de distribución difusa y con predominio del tipo peribroncovascular y en ocasiones distorsión de la arquitectura, por lo que una tomografía computarizada de alta resolución (TCAR) resultará más sensible, la cual muestra un patrón en vidrio deslustrado con nódulos centrolobulillares, en algunos casos patrón en mosaico con atrapamiento aéreo, con predominio en lóbulos inferiores y de distribución central; sólo en estadios crónicos se podría identificar un patrón en panal de abeja en una minoría de los casos.11,12

A pesar de los avances en los tratamientos de las infecciones fúngicas invasivas, el tratamiento destinado a la tricosporonosis sigue siendo de gran controversia, ya que se ha observado la efectividad tanto in vitro como in vivo de los agentes trazólicos como el fluconazol, itraconazol y voriconazol. De acuerdo a lo encontrado en la literatura, en este caso presentado se eligió el voriconazol como el antifúngico para tratar la infección sistémica por T. asahii, ya que tiene un mayor espectro de actividad en comparación con el fluconazol e itraconazol. Es de suma importancia vigilar las interacciones medicamentosas debido a que la vía de metabolización por medio del CYP 450 lleva a una disminución en las concentraciones plasmáticas del fármaco. Además, es un fármaco con disponibilidad de administración tanto oral como intravenosa, es bien tolerado con fotopsias, el efecto adverso que con más frecuencia se reporta es de 30%, en segundo lugar, las reacciones alérgicas cutáneas (8%) y aproximadamente en 10-15% de los pacientes con elevación transitoria de las enzimas hepáticas hasta cinco veces su límite normal, asociada a altas concentraciones plasmáticas del fármaco, las cuales revierten de forma inmediata al suspender el tratamiento.1,13



CONCLUSIONES

En la literatura existen muy pocos casos reportados de infecciones invasoras por Trichosporon asahii, hasta 2011 sólo hay aproximadamente 100 artículos publicados a nivel mundial14 y en años recientes este número no ha aumentado mucho. El nuestro es un caso atípico, ya que no se asocia a neutropenia, que es el principal factor de riesgo de presentar la infección grave, asociada a una mortalidad mayor de 50%.1 Aunque el diagnóstico de nuestro paciente fue sólo por cultivo de secreción, la identificación oportuna y el inicio del tratamiento con voriconazol fueron factores determinantes en el resultado final.


REFERENCIAS (EN ESTE ARTÍCULO)

  1. Tamayo Lomasa L, Domínguez-Gil M, Martín Luengo AI, Eiros Bouza JM, Piqueras Pértez JM. Infección Nosocomial por Trichosporon asahii en un paciente quemado crítico. Rev Iberoam Micol. 2015; 32 (4): 257-260.

  2. Valladares García JC, Gallardo Grajeda LA, Salado Burbano JC, Espinosa Aguilar L. Infección por Trichosporon asahii. An Med ABC. 2018; 63 (2): 138-141.

  3. Tapia P Cecilia. Género Trichosporon. Rev Chil Infectol. 2009; 26 (3): 263-264.

  4. Odero V, Galán-Sánchez F, García-Agudo L, García-Tapia AM, Guerrero-Lozano I, Rodríguez-Iglesias MA. Fungemia por Trichosporn asahii en un paciente con neoplasia hematológica. Rev Iberoam Micol. 2015; 32 (1): 59-61.

  5. Chagas-Neto TC, Chaves GM, Colombo AL. Update on the genus Trichosporon. Mycopathologia. 2008; 166 (3): 121-132.

  6. Girmenia C, Pagano L, Martino B, D'Antonio D, Fanci R, Specchia G et al. Invasive infections caused by Trichosporon species and Geotrichum capitatum in patients with hematological malignancies: a retrospective multicenter study from Italy and review of the literature. J Clin Microbiol. 2005; 43 (4): 1818-1828.

  7. Colombo AL, Padovan AC, Chavez GM. Current knowledge of Trichosporon spp. and Trichosporosis. Clin Microbiol Rev. 2011; 24 (4): 682-700.

  8. Khan ID, Sahni AK, Basu A, Haleem S. Trichosporon asahii urinary tract infection in immunocompetent patients. Med J Armed Forces India. 2015; 71 (4): 373-376.

  9. Da Silva Rodrigues G, Ubatuba de Faria RR, Silva Guazzeli L, de Mattos Oliveira F, Severo LC. Infección nosocomial por Trichosporon asahii: revisión clínica de 22 casos. Rev Iberoam Micol. 2006; 23: 85-89.

  10. Vartivarian SE, Anaissie EJ, Bodey GP. Emerging fungal pathogens in immunocompromised patients: classification, diagnosis and management. Clin Infect Dis. 1993; 17 (Suppl 2): 487-491.

  11. Franquet T. Airway-Centered Interstitial Fibrosis. StatDx. Consultado el día 20 Septiembre 2020. Available in: https://my.statdx.com/document/airway-centered-interstitial-fibro-/67389921-f4ed-46d3-b929-021a5fd90c64?searchTerm=Trichosporon

  12. Cebollero P, Echechipía S, Echegoyen A, Lorente MP, Fanlo P. Neumonitis por hipersensibilidad (alveolitis alérgica extrínseca). Anales Sis San Navarra. 2005; 28 (Suppl. 1): 91-99.

  13. Fica C A. Tratamiento de infecciones fúngicas sistémicas Primera parte: fluconazol, itraconazol y voriconazol. Rev Chil Infectol. 2004; 21 (1): 26-38.

  14. Heslop OD, Nyi Nyi MP, Abbott SP, Rainford LE, Castle DM, Coard KC. Disseminated Trichosporonosis in a burn patient: meningitis and cerebral abscess due to Trichosporon asahii. J Clin Microbiol. 2011, 49 (12): 4405-4408.



AFILIACIONES

1 Médico Cirujano. Hospital San Ángel Inn Sur. Ciudad de México, México.

2 Médico especialista en Medicina Interna. Hospital Angeles Pedregal. Ciudad de México, México.

3 Médico especialista en Radiología e Imagen. Hospital Angeles Pedregal. Ciudad de México, México.



Conflicto de intereses: Los autores declaran que no tienen conflicto de intereses.



CORRESPONDENCIA

Jimena M Becerril Nito. Correo electrónico: jimena.b.nito@gmail.com




Aceptado: 21-05-2021.

Figura 1
Figura 2
Figura 3

2020     |     www.medigraphic.com

Mi perfil

C?MO CITAR (Vancouver)

Acta Med. 2022;20

ARTíCULOS SIMILARES

CARGANDO ...