medigraphic.com
ENGLISH

Revista Latinoamericana de Infectología Pediátrica

ISSN 2683-1678 (Impreso)
Órgano Oficial de la Sociedad
Latinoamericana de lnfectología Pediátrica.
Órgano de la Asociación Mexicana de
Infectología Pediátrica, A.C.
Órgano difusor de la Sociedad Española
de lnfectología
  • Mostrar índice
  • Números disponibles
  • Información
    • Información general        
    • Directorio
  • Publicar
    • Instrucciones para autores        
  • medigraphic.com
    • Inicio
    • Índice de revistas            
    • Registro / Acceso
  • Mi perfil

2022, Número 1

<< Anterior Siguiente >>

Rev Latin Infect Pediatr 2022; 35 (1)


Sarcoidosis infantil de inicio tardío con afección multiorgánica. Informe de dos casos y revisión de la literatura

Rodríguez Herrera, Raymundo1; Carbajal Rodríguez, Luis2; Rojas Maruri, César Mauricio3; de Uña Flores, Armando4; Gutiérrez Morales, Gabriel5; Barrios Santos, Elisa6
Texto completo Cómo citar este artículo 10.35366/104663

DOI

DOI: 10.35366/104663
URL: https://dx.doi.org/10.35366/104663
Artículos similares

Idioma: Español
Referencias bibliográficas: 58
Paginas: 30-45
Archivo PDF: 600.42 Kb.


PALABRAS CLAVE

Sarcoidosis infantil, adenopatía hiliar, uveítis, hipercalcemia, hipercalciuria.

RESUMEN

Introducción: La sarcoidosis es una enfermedad sistémica de etiología desconocida. Ocurre en raras ocasiones en la infancia. Se caracteriza por fiebre, afección multiorgánica, sobre todo pulmonar, cutánea, neurológica, ocular, renal y articular, adenopatías, hepatomegalia y esplenomegalia. Caso clínico: Se informan dos casos de sarcoidosis infantil de inicio tardío cuyo diagnóstico fue confirmado con estudio histopatológico de riñón en el caso 1 y de piel en el caso 2. Ambos pacientes tuvieron manifestaciones sistémicas con predominio de las alteraciones pulmonares, uveítis, hipercalcemia e hipercalciuria. Recibieron tratamiento inicial con esteroide y micofenolato de mofetilo sin respuesta adecuada. Posteriormente reciben esteroides y metotrexato con excelente respuesta clínica. Conclusiones: Es importante considerar el diagnóstico de sarcoidosis en los pacientes con daño pulmonar difuso, uveítis, parálisis facial, eritema nodoso, hipercalcemia y niveles séricos elevados de la enzima convertidora de angiotensina. La complejidad de esta enfermedad y la amplia gama de síntomas con que puede presentarse, hacen imprescindible el abordaje interdisciplinario del paciente para valorar el compromiso orgánico múltiple y el inicio oportuno de la terapia con esteroides y metotrexato con el fin de evitar progresión de la enfermedad.



INTRODUCCIóN

La sarcoidosis es una enfermedad sistémica crónica de etiología desconocida y de distribución mundial que afecta principalmente a la población adulta. Es rara en la población pediátrica, menos de 3% de los casos. Puede afectar cualquier órgano; sin embargo, el pulmón, los ganglios linfáticos, los ojos y la piel son los más afectados. La sarcoidosis infantil de inicio tardío es similar a la del adulto, su diagnóstico requiere de manifestaciones clínicas, hallazgos radiológicos, pruebas bioquímicas y hallazgos histopatológicos característicos de granulomas epitelioides no caseificantes de células gigantes, con la exclusión previa de otras patologías que generan inflamación granulomatosa. Por todo esto, el diagnóstico de sarcoidosis en pediatría continúa siendo difícil.1

Desde que en 1877 Jonathan Hutchinson, cirujano y dermatólogo, describió el primer caso en Londres como una enfermedad dermatológica, la sarcoidosis ha continuado fascinando a clínicos e investigadores.

Las primeras descripciones sobre la sarcoidosis se realizaron en Europa a finales del siglo XIX. En 1899 en Dinamarca, C. Boeck designó a las lesiones histológicas de la piel con el término sarkoid, por su similitud con el sarcoma. J. N. Schaumann describió en Suecia en 1914 la forma sistémica de la enfermedad; además, señaló que tanto el lupus pernio de Besnier como el sarkoid de Boeck eran manifestaciones de una misma enfermedad, ya que los tejidos afectados en estos pacientes tenían granulomas, a los que llamó linfogranulomatosis benigna con el fin de diferenciarlos del granuloma maligno de Hodgkin. La mayor parte de los estudios sobre sarcoidosis se ha realizado en adultos; sin embargo, desde 1923 se han descrito casos en niños. Al padecimiento se le conoció como enfermedad de Besnier-Boeck-Schaumann hasta 1958, cuando se realizó el Congreso Mundial de Sarcoidosis en Londres y se generalizó el término sarcoidosis para designar a la enfermedad.2

En el momento actual, de acuerdo con el consenso internacional establecido por la American Thoracic Society, la European Respiratory Society y la World Association for Sarcoidosis and Other Granulomatosis, se considera que la sarcoidosis es una enfermedad granulomatosa sistémica de distribución mundial, que se presenta en ambos sexos, a cualquier edad y en cualquier raza, y cuya etiología continúa siendo desconocida, por lo general afecta a los adultos y es muy rara en los niños.3-5

La incidencia y la gravedad de la sarcoidosis varían en distintas regiones del mundo.

En América del Norte se estima en 3-10 por 100,000 entre los caucásicos y de 35-80 por 100,000 entre los afroamericanos.6 En la mayor parte de los países europeos se reportan menos de uno por cada 100,000 habitantes.7

Los países escandinavos, Inglaterra, Estados Unidos y Japón tienen la prevalencia más alta de la enfermedad; en Suecia, la tasa de morbilidad en la población general es de 64 por 100,000 habitantes y en los Estados Unidos, de 35.5 por 100,000 habitantes entre la población negra y 10.9 entre la caucásica. La mayoría de los estudios señalan un ligero predominio en el sexo femenino.4

El National Center for Health Statistics reportó un total de 29,176,040 defunciones durante el periodo 1999-2010; en 10,348 casos la causa de la muerte fue la sarcoidosis, con una tasa promedio de 2.8/1,000,000 habitantes. Sin embargo, la mortalidad en la población afroamericana fue 12 veces mayor que en la población caucásica.8

Existe escasa información sobre la epidemiología de la sarcoidosis pediátrica. Un registro nacional danés incluyó a 48 niños dentro de una cohorte de 5,536 pacientes con sarcoidosis, resultando en una incidencia global calculada para la sarcoidosis de la infancia de 0.29 por 100,000 habitantes por año.9

La incidencia varió de 0.06 por 100,000 por año en los niños menores de cinco años a 1.02 por 100,000 por año en los niños de 14 a 15 años de edad.1

El Registro Internacional de Sarcoidosis Pediátrica establecido en 2005 no muestra diferencia de género o predominio geográfico; la mayoría de los pacientes que tienen la tríada clásica de artritis, uveítis y exantema, inician la enfermedad antes de cumplir cinco años de edad.10

Son zonas endémicas Suecia, Islandia, Inglaterra, EE.UU. y Japón.11 En México no hay estudios sobre la epidemiología de la sarcoidosis infantil. Rodríguez y colaboradores12 realizaron un informe de dos pacientes adultos y una revisión de los casos publicados en México, y de esta recopilación de 12 pacientes, sólo dos tenían menos de 18 años.13,14

Otro estudio realizado en el Instituto Nacional de Pediatría describe dos casos de sarcoidosis de inicio temprano con manifestaciones cutáneas.15

Zamora y su equipo16 describen a un adolescente con sarcoidosis de inicio tardío con hepatoesplenomegalia, adenopatías, daño pulmonar difuso, eritema nodoso, masa testicular e hipercalcemia.

El informe más reciente es el de Vega y colegas, quienes describen el caso de un preescolar con sarcoidosis laríngea.17

Los hallazgos epidemiológicos del estudio multicéntrico ACCESS (A Case Control Etiologic Study of Sarcoidosis) muestran un aumento del riesgo de padecer sarcoidosis con algunas condiciones ambientales que actúan como agentes desencadenantes. Entre ellos, materiales orgánicos (polen de plantas, hojas de pino y semillas), materiales inorgánicos (sílice, berilio, circonio, titanio, aluminio y fibra de vidrio) o microorganismos (Mycobacterium tuberculosis, Propionibacterium acnes, Brucella, Borrelia, Leptospira, Mycoplasma, Leishmania y Schistosoma) que generan estímulos antigénicos. La hipótesis de un agente microbiológico es la más aceptada, ya que existe evidencia clínica y epidemiológica de la transmisibilidad de la sarcoidosis.5,18,19

La heterogeneidad de esta enfermedad con una amplia gama de patrones clínicos aumenta la posibilidad de distintos agentes etiológicos, o que uno solo pueda ocasionar diferentes efectos, según la susceptibilidad individual basada en factores genéticos. La raza es un importante factor de riesgo de esta enfermedad y esto apunta a una predisposición genética. El consenso científico es contundente al señalar la región del cromosoma 6p, donde se localiza el complejo mayor de histocompatibilidad (MHC) de clase II como el lugar de las asociaciones genéticas más importantes.4,20,21

La sarcoidosis es una enfermedad granulomatosa sistémica de distribución mundial, ocurre en ambos sexos, a cualquier edad y en cualquier raza. Hasta la fecha no se ha aislado un posible agente microbiológico. Hay varias razones, la primera es que posiblemente se desconozcan todavía las condiciones óptimas para el aislamiento de ese posible germen causal; otra razón es que la causa no sea infecciosa y por último, cabe la posibilidad de que esta entidad nosológica llamada sarcoidosis sea en realidad la suma de más de una enfermedad, cada una de las cuales tiene distinta etiología.4,22

Se desconoce la causa de la sarcoidosis y la evidencia sugiere que en hospedadores genéticamente susceptibles existe una elevada respuesta inmunológica tipo Th1, esto produce una formación descontrolada de granulomas y un incremento de los linfocitos T CD4+ en los pulmones afectados, incrementando drásticamente su número, mientras que las células T CD8+ son desreguladas. Esta marcada acumulación de linfocitos se observa en todos los sitios de enfermedad activa, incluyendo ganglios linfáticos, bazo, conjuntivas, piel y otros tejidos afectados por el proceso inflamatorio de tipo inmunológico. Los linfocitos T aislados en los pulmones de pacientes con sarcoidosis activa muestran una expresión predominante de citoquinas Th1, con niveles elevados de IFN-γ, IL-2 e IL-12; citosina que estimula la producción de IFN-γ, proliferación de células T activadas y la diferenciación de las células Th0 a Th1.11

La presentación clínica de la sarcoidosis en los niños es muy variada. En la mayoría de los casos ocurre afección a múltiples órganos, con respuesta inflamatoria difusa que genera fiebre, astenia, hiporexia, náuseas y pérdida de peso, además de los síntomas y signos específicos derivados de la disfunción de cada órgano afectado. Durante los siguientes dos a cinco años desde el inicio de los síntomas, más de 60% de los pacientes experimentan una resolución completa de la enfermedad, pero en el restante 30% puede seguir un curso crónico, que en algunos casos lleva al desarrollo final de fibrosis pulmonar con síntomas respiratorios permanentes.



LA SARCOIDOSIS INFANTIL TIENE DOS FORMAS DE PRESENTACIóN

Sarcoidosis de inicio temprano (SIT) o síndrome de Blau: inicia en niños menores de cinco años de edad, en forma esporádica o familiar. La forma familiar es causada por mutaciones heredadas o de novo en el gen NOD2 (nucleotide-binding oligomerization domain protein 2), localizado en 16q12, también conocido como caspase activation recruitment domain 15 (CARD15). La herencia es autosómica dominante. En 75% de estos casos se manifiesta con una tríada de artritis inflamatoria granulomatosa, uveítis y erupción cutánea papular, y en el restante 25% se acompaña de afección a otros órganos.

Sarcoidosis de inicio tardío o síndrome clásico: ocurre en niños mayores de cinco años y es semejante a la forma clínica del adulto. No está asociada con mutaciones del gen NOD2/CARD15. Los síntomas son fiebre, afección multiorgánica, sobre todo pulmonar, cutánea, neurológica, ocular, renal y articular, adenopatías, hepatomegalia y esplenomegalia.1,10,23

La sarcoidosis es un diagnóstico de exclusión sugerido por un cuadro clínico compatible y confirmado por un granuloma no caseificante típico en el examen histológico de un tejido biopsiado. Deben excluirse otras causas de granuloma: tuberculosis y otras micobacterias, inmunodeficiencia combinada, granuloma eosinofílico, enfermedad de Crohn, tumores y granulomatosis inducida por medicamentos.3

No hay una prueba definitiva que confirme el diagnóstico de sarcoidosis, los estudios que apoyan la enfermedad son los siguientes:

El análisis citológico del lavado broncoalveolar es de gran utilidad, los enfermos con sarcoidosis tienen una celularidad predominante de linfocitos en > 90% de los casos. Además, la citometría de flujo muestra una relación CD4/CD8 > 3.5, la cual tiene una sensibilidad de 52-59% y una especificidad de 94-96% para el diagnóstico de sarcoidosis.24,25

El granuloma sarcoideo origina sustancias como la enzima convertidora de angiotensina (ECA), lisozima, glucuronidasa, colagenasa y calcitriol. La determinación de los niveles séricos de la ECA está elevada en 80% de los casos. Su elevación no es constante ni específica, varía en función de la edad con niveles más altos en población pediátrica que descienden en los pacientes que entran en remisión, por lo que sirve como un marcador de actividad de la enfermedad.1,26

Medición del receptor soluble de la interleucina-2 (sIL-2R). Es una prueba que ha sido muy útil en la evaluación de la actividad de la sarcoidosis.27,28

Determinación de los niveles de calcio sérico y urinario. Son de gran utilidad tanto en el diagnóstico como en el monitoreo de la evolución de la enfermedad, ya que la hipercalcemia que se presenta en 20% de los casos y la hipercalciuria hasta en 60% de los enfermos con sarcoidosis dependen de la actividad y la extensión de la enfermedad.28,29

Múltiples factores contribuyen al desarrollo de hipercalcemia e hipercalciuria en pacientes con sarcoidosis como la regulación positiva de la actividad de 1-a-hidroxilasa dentro de los granulomas de pacientes con sarcoidosis, que conduce a un aumento de la conversión de 25- (OH) vitamina D3 en 1,25- (OH) 2 vitamina D3, adenomas paratiroideos, o suplementación de calcio en pacientes que reciben tratamiento crónico con esteroides. Sin embargo, los niveles normales de ambas formas de vitamina D ocurren en pacientes con sarcoidosis hipercalcémica, lo que sugiere que otros mecanismos también podrían contribuir a la hipercalcemia en estos pacientes.20,30

Los estudios de laboratorio pueden mostrar velocidad de sedimentación elevada o proteína C reactiva positiva. Es frecuente detectar anemia, leucopenia y eosinofilia. Las anomalías inmunitarias incluyen hipergammaglobulinemia, pero con autoanticuerpos negativos20 y disminución de la respuesta de hipersensibilidad retardada en las pruebas cutáneas.

Los exámenes adicionales son electrocardiografía, espirometría, pletismografía y pruebas de función pulmonar, esta última indica que más de 50% de los pacientes con sarcoidosis tienen enfermedad pulmonar restrictiva, incluso si están asintomáticos, y son de gran utilidad para valorar la evolución y la respuesta al tratamiento.20

Las anomalías radiológicas en sarcoidosis pulmonar se clasifican en cuatro estadios radiográficos. Los tres primeros estadios tienen resolución y en el estadio IV las lesiones radiográficas son irreversibles (Tabla 1).31 La tomografía computarizada de alta resolución sirve para definir la extensión de la afectación parenquimatosa y para poner de manifiesto complicaciones secundarias.

El diagnóstico de certeza se realiza por medio del estudio histopatológico de un ganglio linfático, lesión de piel, glándula salival o de algún órgano afectado como pulmón o riñón.32

Histológicamente se caracterizará por la presencia de granulomas epitelioides no caseificantes con células gigantes multinucleadas que en su interior presentan inclusiones citoplasmáticas llamadas cuerpos de Schaumann y asteroides.33

El diagnóstico temprano evita complicaciones severas como la fibrosis pulmonar.11

El tratamiento de primera línea son los corticoides, habitualmente orales (0.5-2 mg/kg/día), aunque en ocasiones se emplean pulsos intravenosos. En caso de corticorresistencia o corticodependencia, se utilizan inmunosupresores como fármacos ahorradores de corticoides. El más empleado es el metotrexato, también se utilizan azatioprina, micofenolato e hidroxicloroquina. En casos graves, se puede considerar la ciclofosfamida. Como tratamiento de tercera línea, se han empleado anti-TNF-α predominantemente para tratar enfermedad extrapulmonar.20,34

La sarcoidosis es una enfermedad benigna con un pronóstico variable. Un porcentaje importante de pacientes afectados pueden estar asintomáticos y más de 30% tienen remisión espontánea. Se han publicado tasas de mortalidad de 1 a 6%.4

En el estudio danés31 se describe recuperación completa en 78% de los casos y recuperación con secuelas en 4%. Se describe enfermedad crónica activa con daño de algún órgano (pulmón, ojo, sistema nervioso central o riñón) en 11%. La afectación del sistema nervioso central tiene un peor pronóstico.

Nathan y colaboradores18 describen recuperación completa en 45% de los pacientes, estabilidad con tratamiento en 14% y recaídas extratorácicas en 41%. Además, observaron asociación entre extensión sistémica de la enfermedad (número de órganos afectados) y recaída.

Debido a la rareza de este padecimiento, se informan dos casos pediátricos de sarcoidosis infantil de inicio tardío con afectación multisistémica con el objetivo de dar a conocer esta enfermedad, la cual es un padecimiento de difícil diagnóstico, se puede confundir de acuerdo con su presentación clínica con otras enfermedades inflamatorias sistémicas y el tratamiento temprano evitará complicaciones.



CASO 1

Adolescente masculino de 13 años de edad, hijo único, con ambos padres sanos, abuela paterna padeció cáncer de tiroides. Producto de una primera gestación de término, obtenido por eutocia sin complicaciones perinatales, desarrollo psicomotor adecuado y esquema de vacunación completo. Antecedentes personales patológicos negados. Inicia un año antes con cefalea de predominio vespertino, universal, pulsátil, dos episodios a la semana, con náusea y vómito. Once meses antes tuvo parálisis facial derecha tratada con complejo B que remitió en ocho días; una semana después se agrega parálisis facial izquierda que remite en mismo tiempo y con el mismo tratamiento que la contralateral. Tuvo polidipsia de seis meses de evolución, llegando a consumir hasta 5 litros de agua en el día, poliuria y pérdida de peso de 20 kg, acompañada de malestar general, hiporexia, astenia, lumbalgia, fiebre de pocos días de evolución y artralgias en manos y rodillas. Tuvo disminución de agudeza visual bilateral, progresiva, de cinco meses de evolución. Un mes antes, un oftalmólogo detecta vasos nutricios esclerales, queratopatía en banda, lesiones vascularizadas a nivel de iris, motivo por el cual fue referido a nuestra institución.

Exploración física (EF): peso 38 kg (p < 5), talla 151 cm (percentil 10 [P10]), IMC 16.6 (p < 5), T/A 80/60, frecuencia cardiaca: 82, frecuencia respiratoria: 22, temperatura: 36 oC.

Al examen físico, adolescente del sexo masculino alerta, funciones mentales conservadas, bien orientado, pálido, oídos, nariz y faringe normales. Cuello sin alteraciones. Tórax adelgazado, con movimientos de amplexión y amplexación normales, murmullo vesicular adecuado sin estertores ni sibilancias, ruidos cardiacos rítmicos sin soplos. Abdomen blando, sin visceromegalias, ruidos intestinales normales. Genitales masculinos Tanner II, normales. Extremidades hipotróficas, con pulsos periféricos simétricos, no lesiones cutáneas, reflejos osteotendinosos normales sin signos de Babinski, sucedáneos ni cerebelosos, marcha normal. La valoración oftalmológica con pupilas isocóricas con reflejo fotomotor adecuado, disminución de la agudeza visual, ojo izquierdo "percibe bultos", ojo derecho 25/20, córnea con queratopatía en banda inferior, iris con sinequias posteriores 360o, resto de pares craneales sin alteraciones.

Los exámenes de laboratorio mostraron: hemoglobina: 12.6 g/dL, leucocitos: 6,110/mm3, neutrófilos: 43%, linfocitos: 47%, monocitos: 8%, eosinófilos: 2%, plaquetas: 321,000/mm3, velocidad de sedimentación globular: 52 mm/h, proteína C reactiva: 0.64 mg/dL (0.07-0.8 mg/dL). La química sanguínea mostró: glucosa: 82 mg/dL, creatinina: 1.53 mg/dL (0.6-1 mg/dL), nitrógeno ureico en la sangre (BUN, por sus siglas en inglés): 13.8 mg/dL, ácido úrico: 5 mg/dL, sodio: 140 mmol/L; potasio: 3.3 mmol/L, cloro: 107 mmol/L, magnesio: 2.4 mg/dL, calcio: 12.4 mg/dL (8.8-10.6 mg/dL), fósforo: 4 mg/dL. Proteínas séricas: 7.3 g/dL, albúmina: 3.7 g/dL, globulinas: 3.6 g/dL, bilirrubina total: 0.48 mg/dL, bilirrubina directa: 0.17 mg/dL, bilirrubina indirecta: 0.31 mg/dL, tiempo de protombina (TP): 11¨ 100%, tiempo parcial de tromboplastina (TTP): 28.4¨, deshidrogenasa láctica: 175 UI/L, gamma glutamil transpeptidasa (GGT): 11 UI/L, alanina aminotransferasa (ALT): 16 UI/L, aspartato aminotransferasa (AST): 29 UI/L, fosfatasa alcalina: 84 UI/L, colesterol: 177 mg/dL, triglicéridos: 117 mg/dL. La gasometría venosa sin aporte de oxígeno: pH: 7.41, pCO2: 34.9 mmHg, pO2: 31 mmHg, HCO3: 21.8 mmol/L, SO2: 53.9, lactato: 1.5 mmol/L, anión gap: 16.7 mmol/L. El examen general de orina resultó con aspecto amarillo transparente, densidad: 1,010, pH: 6.5, leucocitos, nitritos, proteínas y sedimento negativos.

Depuración de creatinina: 49 mL/m2/min. Fracción excretada de sodio: 1.19, fracción excretada de potasio: 9.49. Cuenta minuta de eritrocitos: 824 células/minuto. Eritrocitos dismórficos 62% del tipo espiculado y anular. La proteinuria de 24 horas fue de 14.5 mg/m2/hora, calcio urinario: 22.24 mg/dL, creatinina urinaria: 24.78 mg/dL. Relación calcio/creatinina en micción aislada: 0.89 y fracción excretada de calcio: 1.219 (normal < 0.150), depuración de fósforo: 10.2 mL/min (normal: 2-8 mL/min), reabsorción tubular de fósforo: 67% ( normal > 85%), fosfaturia en orina de 24 horas de 27.6 mg/kg/día, relación fósforo/creatinina en micción aislada de 0.55 mg/mg.

Hormona paratiroidea: < 3 pg/mL (5.68-47.8 pg/mL), vitamina D: 3 ng/mL (30-100 ng/mL), inmunoglobulina A: 436 mg/dL (1-17), inmunoglobulina M: 122 mg/dL (8-78), inmunoglobulina G: 2,530 mg/dL (221-838). Los anticuerpos anti-Toxocara canis, anti-Toxoplasma y anti-Histoplasma capsulatum fueron negativos. Prueba cutánea de derivado proteico purificado (PPD) y de QuantiFERON® gamma y cultivo Lowenstein-Jensen todos fueron negativos. La citometría de flujo en sangre periférica mostró la población de linfocitos CD4: 799 mm3 cels/mL (300-1,400), CD8 462 mm3 cels/mL (200-900), relación CD4/CD8: 1.72, C3: 95.6 mg/dL, C4: 13.2 mg/dL. Anticuerpos antinucleares: positivo+ difuso, anti-ADN nativo: negativo. La enzima convertidora de angiotensina: 120 UL (valor normal: 13-100). No se realizó la medición del receptor soluble de la interleucina-2 (sIL-2R).

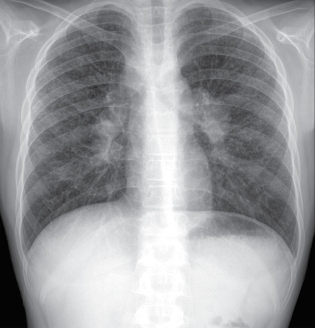
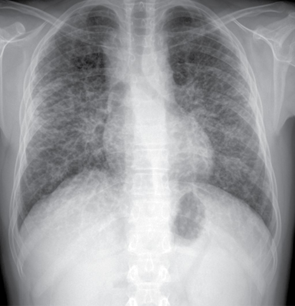
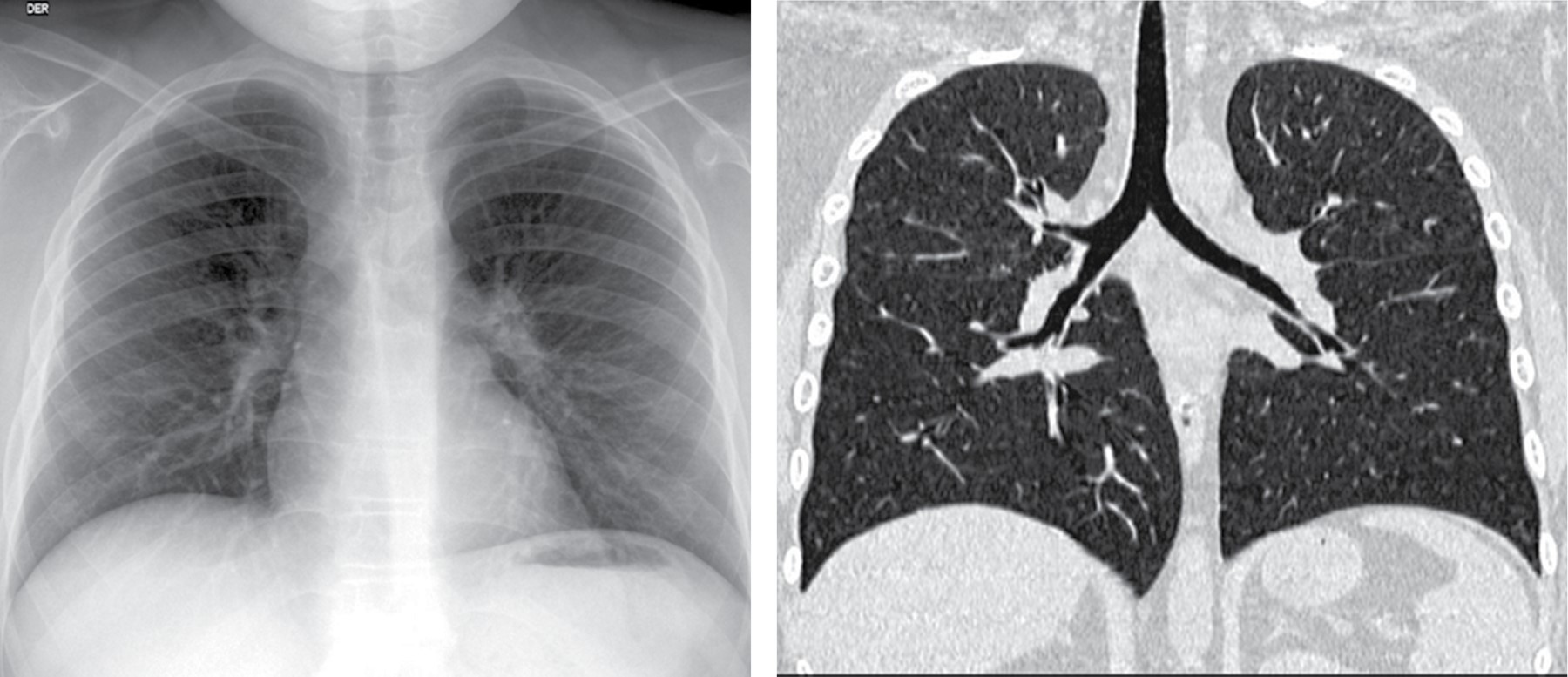
La radiografía de tórax inicial mostró: ensanchamiento parahiliar bilateral por crecimientos ganglionares y un patrón intersticial fino bilateral y difuso, casi simétrico con algunas imágenes micronodulares bilaterales (Figura 1).

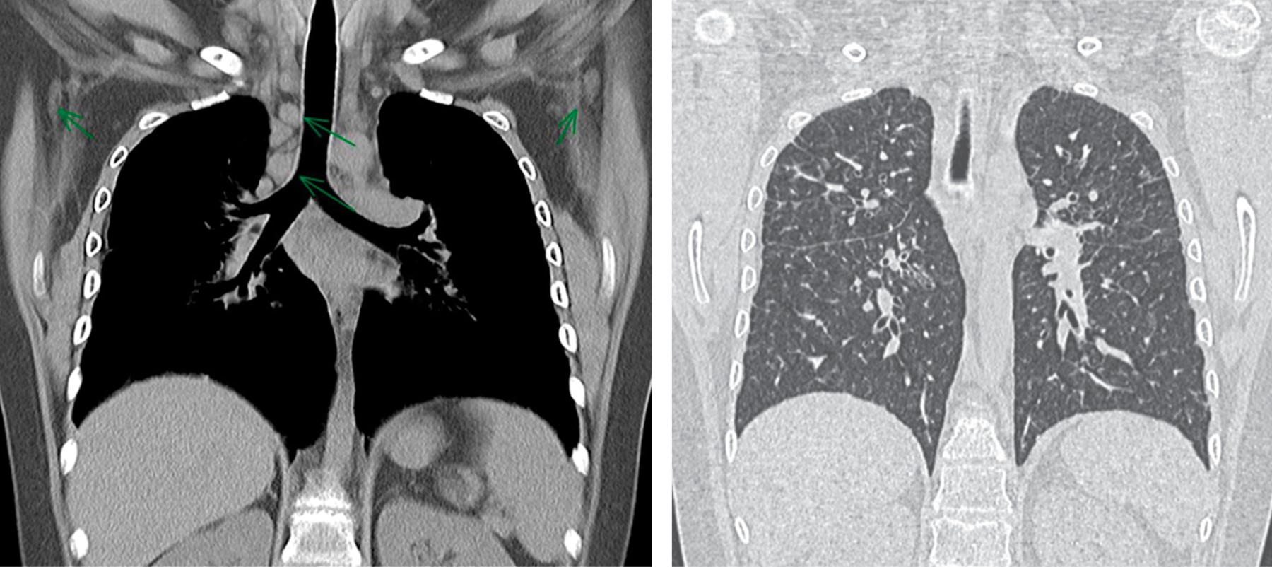
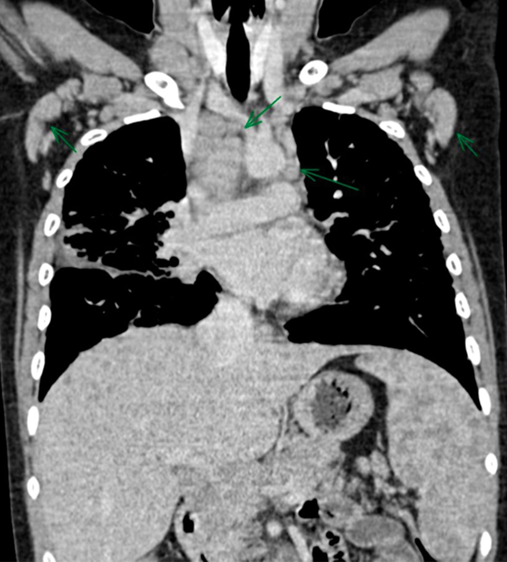
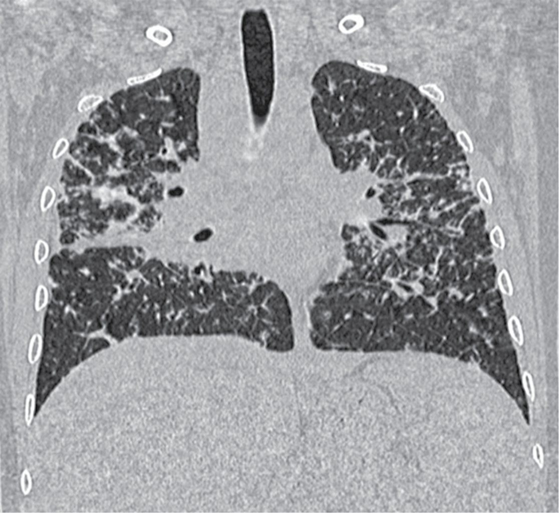
La tomografía axial computarizada de alta resolución (TACAR) pulmonar inicial mostró un patrón retículo nodular fino difuso con engrosamiento bronquial discreto y crecimientos nodulares parahiliares bilaterales (Figura 2). La espirometría mostró un patrón restrictivo sin respuesta significativa al uso del broncodilatador.

Se realizó broncoscopia y lavado broncoalveolar (LBA) con resultados microbiológicos negativos para bacterias, hongos, Pneumocystis y Mycobacterium.

No se realizó análisis citológico para determinar la relación CD4/CD8.

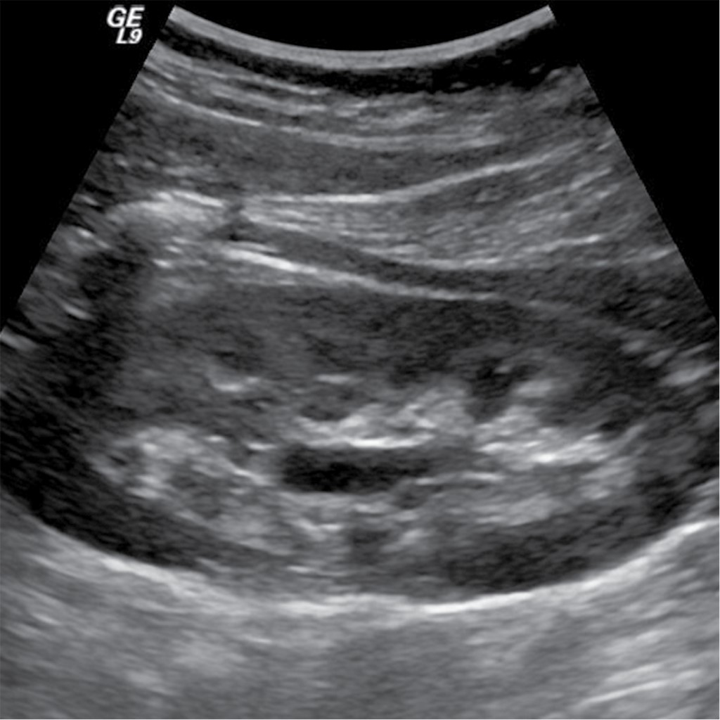
En el ultrasonido renal se observan ambos riñones de tamaño normal, con pérdida de la relación córtico-medular, con pirámides francamente ecogénicas en relación a nefrocalcinosis bilateral, sin evidencia de dilatación de los sistemas colectores (Figura 3).

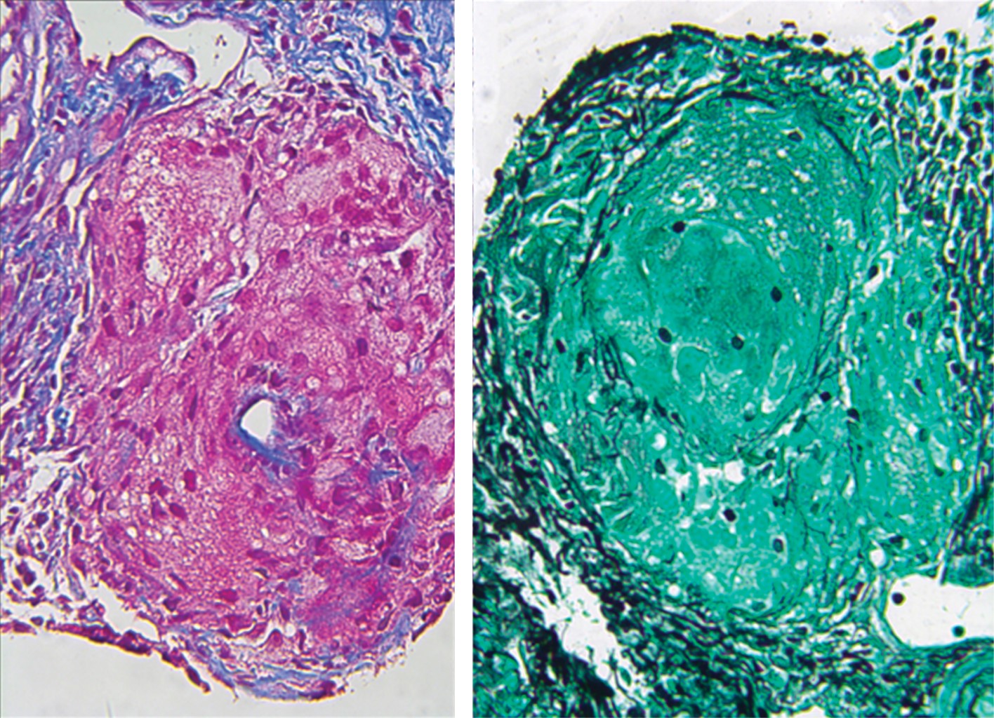
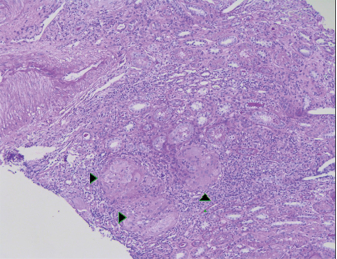
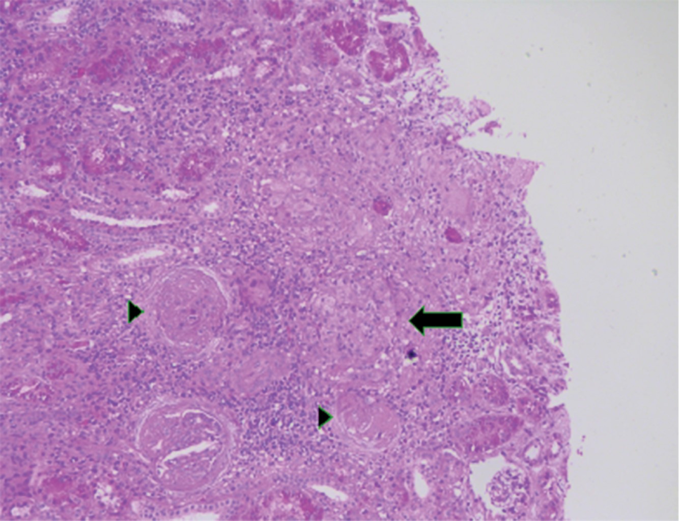
La biopsia renal mostró una nefritis granulomatosa tubulointersticial no caseificante con esclerosis global focal y datos anatómicos de arteriopatía hipertensiva (Figuras 4, 5 y 6).

No asistió regularmente a consulta con nosotros y posterior a la biopsia renal fue tratado durante tres meses por dos diferentes servicios con tres pulsos de metilprednisolona a 30 mg/kg/día, posteriormente prednisona oral a 1 mg/kg/día y micofenolato de mofetilo de 40 mg/kg/día (500 mg VO cada 12 horas). Para la uveítis recibió prednisona y atropina ocular al 1%. A los tres meses de tratamiento mostró leve mejoría de la visión, podía leer y usar la computadora. A los cuatro meses del tratamiento y coincidiendo con disminución de la dosis total de esteroide a 0.5 mg/kg/día y el cambio a días alternos, manifestó nuevamente actividad de sarcoidosis con tos, disnea de grandes esfuerzos, visión borrosa y agudeza visual del ojo derecho 20/80 y el ojo izquierdo 20/200, la presión intraocular del ojo derecho 20 mmHg y del ojo izquierdo 18 mmHg, queratopatía en banda nasal y temporal, Tyndall+ y opacificación del cristalino.

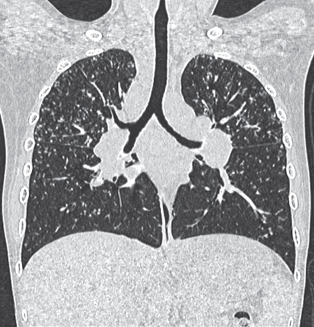
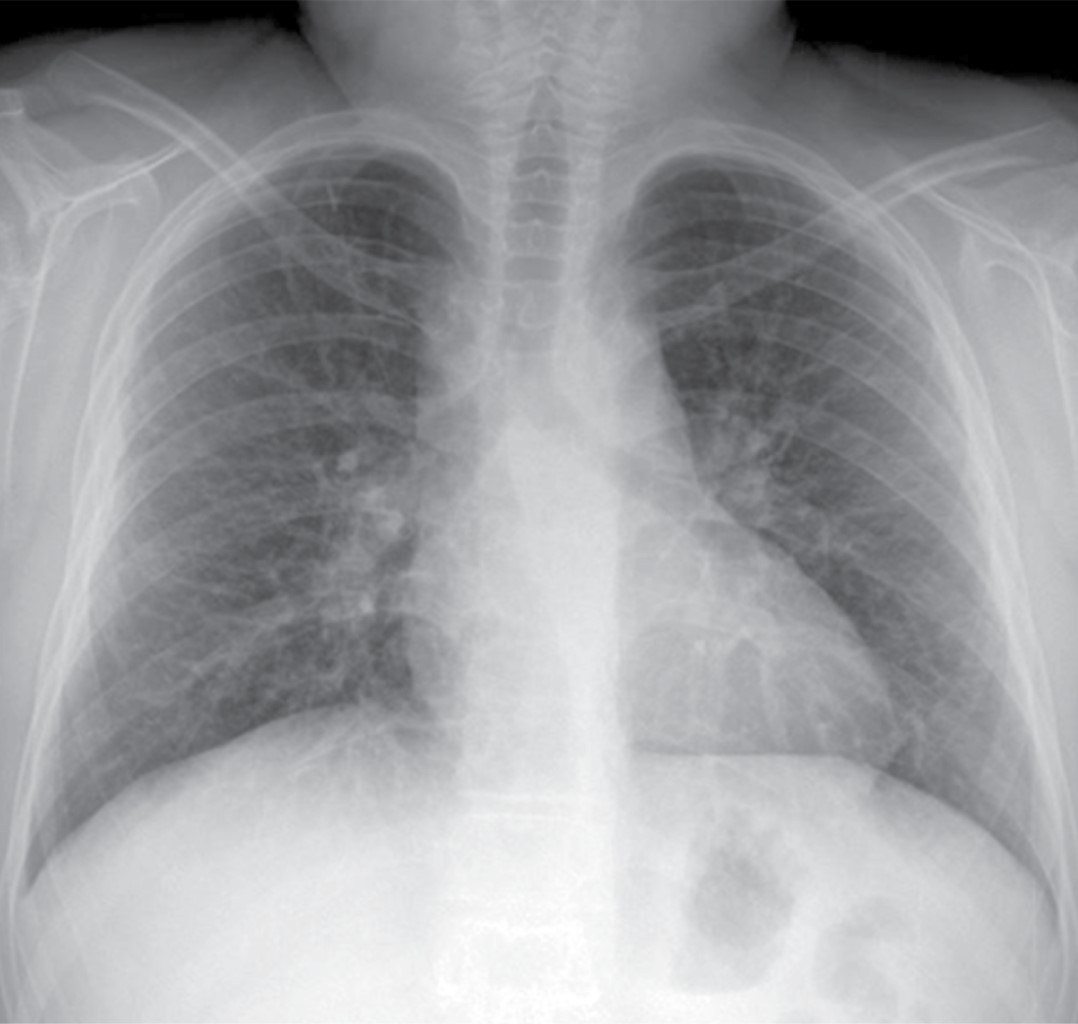
Ante este deterioro acude nuevamente a nuestro servicio y recibe tratamiento con prednisona a 1 mg/kg/día y metotrexato a 15 mg/m2/semana y se suspende micofenolato de mofetilo; con este cambio, a los dos meses de tratamiento hubo mejoría de la uveítis, sin depósitos, ni queratopatía y presión intraocular normal, la sintomatología respiratoria desapareció y hubo evidente mejoría por radiografía de tórax y por TACAR con desaparición de los crecimientos ganglionares parahiliares, de las imágenes micronodulares y del patrón intersticial (Figura 7).

La mejoría fue continua. Tres años después del diagnóstico de sarcoidosis fue operado de catarata bilateral, con mejoría de la agudeza visual: ojo derecho 20/25, ojo izquierdo: 20/30, presión intraocular ojo derecho e izquierdo 10 y 11 mmHg respectivamente. Córnea con leucomas puntiformes difusos en periferia, cámara formada, pupila reactiva, iris con atrofia, con opacidad posterior, retina aplicada, con zonas puntiformes hipopigmentadas, nervio óptico con excavación fisiológica, mácula sin alteración.

Al momento del diagnóstico tenía una proteinuria de 16 mg/m2SC/h y tres años después es negativa, con una depuración de creatinina de 91 mL/min/1.73 m2SC, con relación calcio creatinina de: 0.078, depuración de fósforo de 5.7 mL/min/m2, reabsorción tubular de fósforo: 93%, fracción excretada de calcio: 0.057, hormona paratiroidea: 28.3 pg/mL (normal: 5.68-47.8 pg/mL), vitamina D: 12.1 ng/mL (normal: 30-100 ng/mL). Inmunoglobulina A: 182 (1-17) mg/dL, inmunoglobulina M: 71.6 mg/dL (8-78). A los 18 años de edad, egresa por mayoría de edad, asintomático recibe prednisona y metotrexato por un año más, los cuales se disminuyen paulatinamente y se retiran a los 19 años de edad. Actualmente asintomático y sin tomar medicamentos.



CASO 2

Adolescente masculino de 14 años de edad. Padre de 39 años y hermana de 17 años de edad sanos. Madre de 38 años, con diagnóstico de hipertrigliceridemia e hipercolesterolemia. Sin otros antecedentes familiares relevantes. Fue el producto de la segunda gestación de término, obtenido por cesárea iterativa, sin complicaciones perinatales, desarrollo psicomotor adecuado y esquema de vacunación completo. De los antecedentes personales patológicos, a los dos años diagnóstico de displasia ectodérmica, a los nueve años cefalea migrañosa y a los 11 años eritema nodoso. Su padecimiento inicia a los 13 años de edad con cefalea, dolor articular, conjuntivitis, malestar general, pérdida de peso, hiporexia, astenia, fiebre, tos húmeda en accesos y secreción verde, rinorrea, obstrucción nasal, epistaxis, sibilancias y disnea progresiva de medianos y grandes esfuerzos.

Exploración física (EF): peso 46.7 kg, talla 1.54 cm (percentil 5 [P5]), IMC 20.3 (percentil 10 [P10]), T/A 108/61, frecuencia cardiaca: 105, frecuencia respiratoria: 26, temperatura: 36.5 oC.

Alerta, pálido, funciones mentales conservadas, bien orientado, región frontal y preauricular, con múltiples pápulas, de 3 a 5 mm de diámetro, eritematosas y algunas color de la piel. Oídos, nariz y faringe normales. Cuello sin alteraciones. Tórax con movimientos de amplexión y amplexación normales, murmullo vesicular adecuado sin estertores ni sibilancias, ruidos cardiacos rítmicos sin soplos. Abdomen blando, sin visceromegalias, ruidos intestinales normales. Genitales masculinos Tanner II, normales. Extremidades inferiores con múltiples neoformaciones exofíticas, de forma irregular y algunas de forma oval, elevadas del mismo color de la piel de bordes bien definidos y de superficie regular, no dolorosas. La cara anterior de extremidades inferiores con múltiples nudosidades, de forma oval, límites mal definidos, con aumento de temperatura local y dolor. Fuerza muscular normal con pulsos periféricos simétricos. reflejos de estiramiento muscular normales. No clonus, no Babinski, no signos meníngeos ni cerebelosos. Pares craneales normales.

La valoración por oftalmología mostró agudeza visual 20/20 en ambos ojos, presión intraocular ojo derecho de 12 mmHg e izquierdo de 15 mmHg.

Conjuntiva, cristalino y córnea transparente, cámara anterior con celularidad aumentada compatible con uveítis.

Los exámenes de laboratorio mostraron: calcio: 10.4 mg/dL (8.8-10.1 mg/dL), creatinina: 0.39 mg/dL (0.6-1 mg/dL), sodio: 133 mg/dL; potasio: 3.9 mg/dL, cloro: 102 mg/dL; magnesio. 2.2 mg/dL, fósforo: 4.8 mg/dL. Depuración de creatinina 84.4, proteinuria de 16.6 mg/m2/h (435 mg/24 h), fracción excretada de calcio 0.07, fracción excretada de sodio 0.35 %. PCR 0.64 mg/dL (0.07-0.8 mg/dL). La enzima convertidora de angiotensina 180 UL (valor de referencia: 20-70).

Ultrasonido renal muestra en riñón izquierdo dilatación pielocalicial con imágenes ecogénicas en pirámides sugestivas de nefrocalcinosis (Figura 8).

La radiografía de tórax mostró ensanchamiento mediastinal y un patrón intersticial grueso a expensas de intersticio perilobulillar bilateral y difuso, casi simétrico con algunas imágenes nodulares también difusas (Figura 9). En la TACAR contrastada se corrobora el patrón intersticial perilobulillar con nódulos difusos con discreto predominio subpleural así como zonas de atelectasia bilateral subpleurales y en lóbulo medio (Figura 10). En la ventana mediastinal se demuestran crecimientos ganglionares paratraqueales de predominio derecho, en ventana aortopulmonar y axilar bilateral. A nivel abdominal lesiones nodulares hipodensas múltiples hepatoesplénicas sugestivas de granulomas (Figura 11). Se realizó biopsia de piel en cara, la cual mostró dermatitis granulomatosa epitelioide no caseificante, compatible con sarcoidosis (Figura 12).

Las pruebas de función respiratoria iniciales mostraron un patrón sugestivo de restricción moderada, sin respuesta significativa al broncodilatador. La broncoscopia mostró traqueobronquitis leve y gastritis antral, baciloscopias en serie de tres y prueba de PPD reportadas negativas. La biopsia de piel reveló granulomas desnudos compatibles con sarcoidosis. Para la uveítis recibió prednisona ocular al 1%. Fue tratado por otro servicio con tres pulsos de metilprednisolona a 30 mg/kg/día, prednisona oral a 0.7 mg/kg/día y micofenolato de mofetilo 42 mg/kg/día (1 g VO cada 12 horas) sin respuesta. Cambiamos a prednisona en dosis de 1 mg/kg/día y metotrexato a 15 mg/m2/semana, hubo respuesta favorable desde las cuatro primeras semanas de tratamiento; la enfermedad está inactiva, pero el paciente cursa con tos, disnea, cianosis distal, y baja saturación de O2, todo lo anterior traduce un daño pulmonar permanente (Figuras 13 y 14).



DISCUSIóN

La sarcoidosis es una enfermedad granulomatosa sistémica de distribución mundial, ocurre en ambos sexos, a cualquier edad y en cualquier raza. Aunque los esfuerzos se han dirigido durante décadas al aislamiento de un posible agente microbiológico, los resultados han sido desalentadores. Hay varias razones. La primera es que posiblemente se desconozcan todavía las condiciones óptimas para el aislamiento de ese posible germen causal; otra razón es que la causa no sea infecciosa y por último, cabe la posibilidad de que esta entidad nosológica llamada sarcoidosis sea en realidad la suma de más de una enfermedad, cada una de las cuales tiene distinta etiología.4,22

Se informan dos casos de sarcoidosis infantil de inicio tardío con afectación sistémica en adolescentes de sexo masculino que inician el padecimiento a los 13 años de edad.

La sintomatología puede ser aguda, subaguda o crónica, cursando asintomáticos 30% de los casos. En ambos pacientes la sintomatología fue subaguda. Durante los siguientes dos a cinco años desde el inicio de los síntomas, más de 60% de los pacientes experimentan una resolución completa de la enfermedad, pero en el restante 30% puede seguir un curso crónico, que en algunos casos termina en fibrosis pulmonar con síntomas respiratorios permanentes como ocurrió en el caso 2 con daño pulmonar permanente.5,9,18

En la sarcoidosis infantil de inicio tardío es muy común la sintomatología constitucional (66-98%), principalmente fiebre (38-48%), pero también astenia, pérdida de peso y malestar; esta sintomatología ocurrió en ambos casos. Las manifestaciones más frecuentes son tos seca, disnea y dolor torácico. Se describen, respectivamente, en 65, 29 y 12% de los casos en la serie danesa.9

Ambos pacientes tuvieron afección pulmonar, con mayor sintomatología en el caso 2, con un año de evolución con tos productiva, disnea de medianos esfuerzos y saturación entre 88-90%.

La duración de los síntomas antes del diagnóstico es en promedio de 7.6 meses;35 75% tuvieron más de un órgano o sistema afectado. Nuestros casos tenían un año de evolución con síntomas inespecíficos como cefalea, pérdida de peso, artralgias, hiporexia y astenia antes del diagnóstico.

En más de 90% de los casos el pulmón es el órgano más afectado. La tos crónica es el síntoma más común y la neumonía intersticial difusa es el hallazgo más frecuente. Los ganglios linfáticos de drenaje mediastinal son los sitios más comunes de participación; pueden ser asintomáticos (sólo con evidencia en estudios de gabinete) o manifestarse con disnea, tos, dolor torácico e incluso hemoptisis.8

La radiografía de tórax es anormal en 90% de los casos. Los dos hallazgos más característicos son la linfadenopatía mediastinal bilateral acompañada de enfermedad intersticial nodular del pulmón, éstos sirven para la estadificación de la enfermedad,5,8 siendo la TACAR la herramienta más valiosa para el diagnóstico (Tabla 1).

Las adenopatías paratraqueales bilaterales e hiliares son las más comunes. Los patrones radiológicos parenquimatosos más comunes son las opacidades reticulonodulares (90%) en las zonas superiores del pulmón, afección alveolar y fibrosis pulmonar. El patrón miliar es raro a cualquier edad.1,5,8

Nuestros casos se clasifican en el estadio II, ya que en la TACAR se detectó adenopatía hiliar bilateral con infiltrados pulmonares (Tabla 1).

Kendig y colaboradores36 publicaron el grupo más grande de sarcoidosis infantil con 104 casos. En 103 pacientes había linfadenopatías hiliares bilaterales con compromiso pulmonar o sin él (estadio I y II).

Las pruebas de función pulmonar indican que más de 50% de los pacientes con sarcoidosis tienen una enfermedad pulmonar restrictiva incluso si están asintomáticos.8,18 Nuestros casos tenían síntomas respiratorios y ambos un patrón restrictivo en las pruebas de función respiratoria. Existe disminución de los volúmenes pulmonares y reducción de la capacidad de difusión de monóxido de carbono (DLCO), estas alteraciones son originadas por las alteraciones anatómicas desarrolladas a nivel del intersticio pulmonar.

Sin embargo, existen informes de afección a nivel endobronquial, cuya manifestación ventilatoria será más de origen obstructivo, de acuerdo a la literatura se encuentra en 5% de los casos con afección pulmonar y se considera un factor de mal pronóstico.8,21

El lavado broncoalveolar muestra linfocitosis con aumento de la relación linfocitos T CD4+/CD8+ mayor de 3,5; esto es muy característico de sarcoidosis con una especificidad de 94%.8,16,35 Este estudio no fue realizado en nuestros casos.

La biopsia transbronquial (BTB) es la más útil para la demostración de los granulomas por su alta sensibilidad (80-90%), la biopsia pulmonar está indicada cuando los sitios para biopsiar son inaccesibles y la radiografía y/o TACAR son anormales.8,16,35

Las manifestaciones extrapulmonares son muy frecuentes,9,18 hepatomegalia o esplenomegalia 50%, afectación ocular 29-39% (uveítis), linfadenopatías periféricas 29-39%, manifestaciones cutáneas 19-42% (más frecuentemente eritema nodoso), dolor o inflamación articular 15%. También se describe parotiditis e hipertrofia de glándulas salivares. En ambos pacientes predominaron la uveítis y la afección articular, el caso 2 además cursó con afección cutánea manifestada por eritema nodoso y lesiones en región frontal y preauricular, con múltiples pápulas, de 3 a 5 mm de diámetro, eritematosas y algunas color de la piel características de sarcoidosis.

La linfadenopatía es la manifestación inicial más común de sarcoidosis. Los nódulos linfáticos generalmente son firmes, móviles y no dolorosos.35 La adenopatía retroperitoneal es común.37 Algunos pacientes pueden desarrollar hepatitis granulomatosa y diarrea crónica con síndrome de mala absorción intestinal.38,39

La afectación renal ocurre en 10% de los pacientes, se manifiesta con hipercalcemia, hipercalciuria, nefrocalcinosis y supresión de la hormona paratiroidea. Además, la nefrolitiasis, las glomerulopatías y la nefritis intersticial (con o sin granuloma sarcoideo) forman parte del espectro de la afectación renal en la sarcoidosis.40

El caso 1 inicialmente tuvo insuficiencia renal aguda, que remitió sin terapia de reemplazo renal, ya que no tuvo criterios para diálisis. Además, se comprobó hipercalciuria hipercalcémica y supresión de la hormona paratiroidea como ocurrió en el caso 1 y el 2 acompañada de disminución de la reabsorción tubular de fosfatos, que condicionó nefrocalcinosis (Figuras 3 y 8).

La hipercalcemia se ha atribuido a la producción de calcitriol por los macrófagos y monocitos activados de los granulomas, lo que a su vez incrementa la absorción intestinal del calcio y la actividad de los osteoclastos, con resorción ósea y aumento en los niveles de calcio sérico. Sin embargo, en el caso 1, la determinación de calcitriol (1,25 dihidroxi-vitamina D3) estuvo en rango normal, y la PTH por debajo de los niveles normales; esto indica, por un lado, que existía inhibición de las glándulas paratiroideas debido al nivel elevado de calcio sérico y, por otro, que probablemente la hipercalcemia se debió a otro factor autónomo como la producción del PTHrP por los macrófagos activados, lo que no fue posible medir en este caso.20,30,39

La prevalencia de nefritis tubulointersticial oscila entre 7 y 27%, aunque la insuficiencia renal crónica se desarrolla en menos de 1% de los casos según diferentes estudios retrospectivos.2,41

El hallazgo más frecuente es la nefritis granulomatosa tubulointersticial no caseificante,20,41 documentada por biopsia en el caso 1.

Las manifestaciones predominantes en el caso 1 fueron la asociación de uveítis y nefritis túbulo-intersticial (TINU) por sus siglas en inglés, síndrome descrito por primera vez en 1975 por Dobrin y colaboradores.42

Entre los diagnósticos diferenciales de TINU están el lupus eritematoso generalizado, la artritis reumatoide juvenil, la poliangeítis granulomatosa y algunas infecciones como la tuberculosis. Todas estas enfermedades fueron excluidas en nuestro paciente y se confirmó que este síndrome fue secundario a sarcoidosis, la causa más frecuente de TINU.43

Las manifestaciones cutáneas ocurren en 77% de los niños pequeños y en 24-40% de los mayores, sólo el caso 2 cursó con éstas. Se caracterizan por pápulas eritematosas y/o lesiones liquenoides en extremidades y tronco; o como máculas, pápulas, nódulos, placas, nudosidades o cicatrices infiltrativas, con coloración que varía desde el rojo-marrón hasta violáceas. La lesión más frecuente es el eritema nodoso, que se utiliza como marcador de sarcoidosis aguda y que generalmente remite en seis a ocho semanas. Cuando se acompañada de fiebre, artralgias y adenopatías hiliares, se constituye el síndrome de Löfgren. Otras lesiones cutáneas incluyen nódulos subcutáneos, placas similares a psoriasis, alopecia, lesiones hiperpigmentadas y vasculitis leucocitoclástica.11,16

La afección ocular es bilateral y tiene preferencia por el segmento anterior entre 70 y 85% de las veces con panuveítis de 9-30% de los casos, siendo este último un compromiso grave que lleva a la ceguera en 10% de los pacientes en el transcurso del primer año después del inicio. Los síntomas pueden incluir lagrimeo, fotofobia, dolor e inyección conjuntival. Sin embargo, alrededor de un tercio de los pacientes son asintomáticos.44 Ambos casos cursaron con uveítis anterior, siendo más severa y crónica en el caso 1.

El segundo compromiso más común son los nódulos en las conjuntivas, que propician la aparición de sinequias posteriores, queratopatía en banda, glaucoma, o la formación de cataratas, situación que ocurrió en el caso 1.

La lesión característica es la uveítis, pero puede afectarse la esclerótica, cristalino y glándulas lacrimales, produciendo cataratas, glaucoma y queratoconjuntivitis seca. En el segmento posterior puede ocurrir vitritis, vasculitis retiniana isquémica con neovascularización, oclusión de la vena central de la retina, afección del nervio óptico, edema macular, lesiones perforantes, exudados en "gotas de cera" y desprendimiento de retina con ceguera, que pueden detectarse en el examen oftalmológico con lámpara de hendidura y con angiografía retiniana.45,46

El tratamiento de la enfermedad ocular incluye esteroide tópico, sistémico y metotrexato. En nuestros casos hubo mejoría de la afección ocular con el tratamiento local y sistémico.

La manifestación articular por sarcoidosis puede simular artropatías agudas o crónicas, ocurre en 25% de los pacientes durante el curso de la enfermedad.

Pueden ser en forma de poliartritis migratoria y/o artritis persistente, además de tenosinovitis granulomatosa. Cuando se presenta en menores de cinco años con poliartritis, exantema y uveítis, constituye el síndrome de Blau.10

La artritis bilateral del tobillo es característica de esta enfermedad, la cual tiene una sensibilidad de 95% y una especificidad de 90% en casos con sospecha de sarcoidosis.47

La sarcoidosis hepática está subestimada, según el estudio ACCESS 4 ocurre en 11.5%. La mayoría de los pacientes son asintomáticos o tienen síntomas inespecíficos, más aún si se compara el compromiso histológico y el de las pruebas hepáticas alteradas en ausencia de síntomas. La biopsia es positiva en 75% de los pacientes, los síntomas comunes son dolor abdominal, prurito, fiebre, ictericia y pérdida de peso. La hepatomegalia ocurre entre 5-15% de los pacientes y la anormalidad bioquímica más descrita es la elevación de la fosfatasa alcalina, en 90% de los sintomáticos.38,39

La afectación cardiaca incluye bloqueo cardiaco completo, arritmias y cardiomiopatía infiltrativa.48 Se diagnostica por clínica en menos de 5% de los pacientes y en estudios post mortem existe compromiso del sistema de conducción entre 20 y 30%, lo que ocasiona arritmias y muerte súbita; este porcentaje aumenta de 50 a 78% en la población japonesa. En ellos, la principal causa de muerte es la cardiaca con 75-85% a diferencia de otras razas que es de 13-50%.48

Los hallazgos ecocardiográficos consisten en disfunción ventricular y disminución de la fracción de eyección del ventrículo izquierdo; sin embargo, la comprobación histológica requiere de biopsias miocárdicas por cateterismo cardiaco.

La neurosarcoidosis ocurre en 5-10% de los pacientes, afecta los pares craneales II y VII como resultado de una meningitis granulomatosa.49,50 El caso 1 cursó con afección bilateral del VII par craneal y disfunción hipotalámica.

Los sitios intracraneales más frecuentes de afección son el hipotálamo y la hipófisis, se creía que la anormalidad endocrina más frecuente en estos pacientes era la diabetes insípida, pero en realidad estos pacientes tienen control alterado de la sed mediado centralmente, lo que provoca polidipsia y poliuria, y explica el metabolismo anormal del agua, situación que ocurrió en el caso 1.

También ocurren deficiencias de hormonas de la adenohipófisis como consecuencia de una insuficiencia hipotalámica, la afección granulomatosa de la unidad hipotálamo-hipofisiaria puede ser extensa y provocar deterioro visual y confundirse con un tumor hipofisiario o hipotalámico,51 como ocurrió en el caso 1, ya que el paciente manifestó cefalea, disminución de la agudeza visual, poliuria y polidipsia, por lo que inicialmente se pensó en un tumor hipofisiario, lo cual se descartó.

Los hallazgos hematológicos en pacientes con sarcoidosis son raros, se han descrito linfadenopatías periféricas, anemia, trombocitopenia, anemia de enfermedad crónica, linfopenia y leucopenia, dichos hallazgos parecen ser por granulomas en la médula ósea o por el secuestro esplénico.52

El diagnóstico de sarcoidosis se confirma por la demostración de un granuloma no necrosante de células epitelioides típico en la biopsia,1,9,21,41,53 como ocurrió en ambos casos al demostrar dichos granulomas en la biopsia renal y de piel respectivamente.

El diagnóstico diferencial de la sarcoidosis depende de la presentación clínica de la enfermedad. Se deben investigar infecciones granulomatosas pulmonares, especialmente las causadas por micobacterias y hongos, como en nuestros pacientes que se descartó tuberculosis pulmonar e infecciones micóticas.

Los objetivos del tratamiento son disminuir la sintomatología y la isquemia ocasionada por la inflamación perivascular, tratando de modificar la historia natural de la enfermedad.

Aunque no disponemos de ensayos clínicos para determinar el manejo más adecuado, éste incluye glucocorticoides, inmunosupresores o inmunomoduladores.54-56

La prednisona en dosis de 1 mg/kg/día es la base del tratamiento en la sarcoidosis grave o progresiva pulmonar o extrapulmonar. Después de cuatro a seis semanas, se reduce la dosis progresivamente, aunque la mayoría de los pacientes requieren dosis de mantenimiento de 10-15 mg/día para evitar recaídas. Los esteroides producen una resolución notable de la enfermedad.1,20,21,41,54-56

En pacientes con afectación neurológica rápidamente progresiva y grave deben administrarse 20-30 mg/kg/dosis de metilprednisolona de forma intravenosa durante tres días, seguidas de prednisona.49,50 En caso de enfermedad refractaria o necesidad de dosis elevadas de glucocorticoides se emplean inmunosupresores ahorradores de esteroides principalmente metotrexato o ciclosporina A.55,56

Ambos pacientes fueron tratados inicialmente por otros servicios con prednisona y micofenolato de mofetilo, sin mejoría de los síntomas durante seis meses. Posterior a este tiempo fueron atendidos por nosotros. Ajustamos dosis de prednisona a 1 mg/kg/día, agregamos metotrexato, que es el inmunosupresor de primera elección, con mejoría clínica desde el primer mes de tratamiento, la cual se mantiene hasta el momento en el caso 1, y en el 2 persiste con síntomas respiratorios como consecuencia del daño pulmonar permanente, manifestado por tos crónica y estudios de imagen anormales.

El pronóstico generalmente es bueno, aunque los pacientes con afectación del parénquima cerebral tienen una evolución progresiva o con frecuentes recaídas, y la presencia de hidrocefalia implica una mortalidad de hasta 75%.57

Al ser una enfermedad sistémica, la capacidad de afectar varios órganos y sistemas atrae la atención de médicos de diferentes ramas. La complejidad y la amplia gama de síntomas con que puede presentarse la hacen una de las "imitadoras" importantes en la literatura médica, por lo que es necesario hacer un abordaje interdisciplinario del paciente. Diferentes factores, pronósticos clínicos, radiológicos y de laboratorio (lupus pernio, uveítis crónica, enfermedad de inicio tardío, hipercalcemia crónica, nefrocalcinosis, raza afroamericana, sarcoidosis pulmonar progresiva, estadio radiológico 4, compromiso óseo, neurosarcoidosis, afección cardiaca y respiratoria crónica) hacen imprescindible su identificación temprana para establecer estrategias diagnósticas y terapéuticas que incidan en la morbimortalidad de esta enfermedad.58

En general, la situación de una enfermedad puede clasificarse por su actividad o gravedad, pero en la sarcoidosis la actividad no indica necesariamente un curso progresivo, un pronóstico fatal o la necesidad de tratamiento. Esto supone un reto para el clínico, que afronta muchas dificultades al tratar de categorizar la sarcoidosis de inicio tardío en un paciente concreto.


REFERENCIAS (EN ESTE ARTÍCULO)

  1. Rosé CD, Wouters C. Pediatric sarcoidosis. In: Petty RE, Laxer RM, Lindsley CB, Wedderburn LR, editors. Textbook of pediatric rheumatology. 7th edition. Philadelphia: Elsevier, Inc.; 2016. pp. 517-525.

  2. Sharma OP. Sarcoidosis: a historical perspective. Clin Dermatol. 2007; 25: 232-241.

  3. Statement on sarcoidosis. Joint Statement of the American Thoracic Society (ATS), the European Respiratory Society (ERS) and the World Association of Sarcoidosis and Other Granulomatous Disorders (WASOG) adopted by the ATS Board of Directors and by the ERS Executive Committee, February 1999. Am J Respir Crit Care Med. 1999; 160 (2): 736-755.

  4. Fernández FE. Epidemiología de la sarcoidosis. Arch Bronconeumol. 2007; 43: 92-100.

  5. Gedalia A, Khan TA, Shetty AK, Dimitriades VR, Espinoza LR. Childhood sarcoidosis: Louisiana experience. Clin Rheumatol. 2016; 35 (7): 1879-1884.

  6. Rybicki BA, Lannuzzi MC. Epidemiology of sarcoidosis: recent advances and future prospects. Semin Respir Crit Care Med. 2007; 28: 22-35.

  7. Cox CE, Davis-Allen A, Judson MA. Sarcoidosis. Med Clin North Am. 2005; 89: 817-828.

  8. Mirsaeidi M, Machado RF, Schraufnagel D, Sweiss NJ, Baughman RP. Racial difference in sarcoidosis mortality in the United States. Chest. 2015; 147: 438-449.

  9. Hoffmann A, Milman N, Byg K. Childhood sarcoidosis in Denmark 1979-1994: incidence, clinical features and laboratory results at presentation in 48 children. Acta Paediatr. 2004; 93: 30-36.

  10. Caso F, Costa L, Rigante D, Vitale A, Cimaz R, Lucherini OM et al. Caveats and truths in genetic, clinical, autoimmune and autoinflammatory issues in Blau syndrome and early onset sarcoidosis. Autoimmun Rev. 2014; 13: 1220-1229.

  11. Cruz AI, Barón LS, Garrido GC, Velázquez SJ. Sarcoidosis pulmonar. Rev Chil Pediatr. 2011; 82 (6): 535-541.

  12. Rodríguez CMA, Castellanos IAA, García GPE, Sánchez TT. Sarcoidosis cutáneo-pulmonar: comunicación de dos casos y revisión bibliográfica. Dermatol Rev Mex. 2009; 53: 299-302.?

  13. Violante N, Reyes E, Honda S, García A, Orozco R. Sarcoidosis cutánea en tres pacientes mexicanos: análisis clínico-patológico de las variantes papular, nodular y en placa. Dermatol Rev Mex. 1997; 41: 28-33.

  14. Arevalo-López A, Macotela-Ruiz E. Sarcoidosis (intra y extratorácica): a propósito de un caso mexicano. Gac Med Mex. 1991; 127: 411-417.

  15. Julián-González RE, Saez-de-Ocariz M, Orozco-Covarrubias L, Durán McKinster C, Ruiz-Maldonado R. Sarcoidosis de inicio temprano. Rastreo de casos nuevos en pacientes previamente diagnosticados con artritis idiopática juvenil. Dermatol Pediatr Latinoam. 2012; 10: 58-63.

  16. Zamora-Chávez A, Sadowinski-Pine S, Serrano Bello C, Velázquez-Jones L, Saucedo-Ramírez J, Palafox-Flores J et al. Sarcoidosis en la infancia. Una rara enfermedad sistémica. Bol Med Hosp Infant Mex. 2016; 73: 117-128.

  17. Vega-Cornejo G, Ayala-Buenrostro P. Sarcoidosis laríngea infantil: presentación de un caso clínico. Reumatol Clin. 2019; 15: e102-e104.

  18. Nathan N, Marcelo P, Houdouin V, Epaud R, Blic J, Valeyre D et al. Lung sarcoidosis in children: update on disease expression and management. Thorax. 2015; 70: 537-542.

  19. Rotsinger JE, Drake WP. Sarcoidosis: unknown etiology and genetic predisposition provides therapeutic challenges. J Pulm Respir Med. 2014; 4: 190. Available in: http://dx.doi.org/10.4172/2161-105X.1000190

  20. González Fernández MI. Sacoidosis pediátrica. Protoc Diagn Ter Pediatr. 2020; 2: 401-412.

  21. Jain R, Yadav D, Puranik N, Guleria R, Jin JO. Sarcoidosis: causes, diagnosis, clinical features, and treatments. J Clin Med. 2020; 9: 1081. Available in: https://doi.org/10.3390/jcm9041081

  22. Du Bois RM, Goh N, McGrath D, Cullinan P. Is there a role for microorganisms in the pathogenesis of sarcoidosis? J Intern Med. 2003; 253: 4-17.

  23. Wouters CH, Maes A, Foley KP, Bertin J, Rose CD. Blau syndrome, the prototypic auto-inflammatory granulomatous disease. Pediatr Rheumatol. 2014; 12: 33.

  24. Thomeer M, Demedts M. Predictive value of CD4/CD8 ratio in bronchoalveolar lavage in the diagnosis of sarcoidosis. Sarcoidosis Vasc Diffuse Lung Dis. 1997; 14 Suppl 1: 36.

  25. Welker L, Jorres RA, Costabel U, Magnussen H. Predictive value of BAL cell differentials in the diagnosis of interstitial lung diseases. Eur Respir J. 2004; 24: 1000-1006.

  26. Díaz AT, Morales CW, Lozano NL, Plata OJ, Zárate TL. Sarcoidosis sistémica: un reto diagnóstico en pediatría. Reporte de un caso. Arch Argent Pediatr. 2016; 114: e323-e328.

  27. Grutters JC, Fellrath JM, Mulder L, Janssen R, van den Bosh JM, van Velzen-Blad H. Serum soluble interleukin-2 receptor measurement in patients with sarcoidosis: a clinical evaluation. Chest. 2003; 124: 186-195.

  28. Bachiller-Corral J. Otras causas de hipercalcemia. En: Sociedad Española de Reumatología. Manual de enfermedades óseas. Madrid: Editorial Médica Panamericana, S.A.; 2010. pp. 143-148.

  29. González-Lamuño D. Hipercalciuria. Pediatr Integral. 2013; 17: 422-432.

  30. Marginean CO, Melit LE, Grigorescu G, Puiac C, Simu I. Hypercalcemia, an important puzzle piece in uncommon onset pediatric sarcoidosis-a case report and a review of the literature. Front Pediatr. 2020; 8: 497. doi: 10.3389/fped.2020.00497.

  31. Milman N, Hoffmann AL. Childhood sarcoidosis: long-term follow-up. Eur Respir J. 2008; 31: 592-598.

  32. Giuffrida TJ, Kerdel FA. Sarcoidosis. Dermatol Clin. 2002; 20: 435-447.

  33. Gokdemir Y, Ersu R, Karadag B, Karakoc F, Kiyan G, Kaya H et al. Sarcoidosis infantil. Un caso clínico infrecuente. Arch Argent Pediatr. 2013; 111: e113-e116.

  34. Grunewald J, Grutters JC, Arkema EV, Saketkoo LA, Moller DR, Müller-Quernheim J. Sarcoidosis. Nat Rev Dis Primers. 2019; 5: 45.

  35. Nathan N, Sileo C, Calender A, Pacheco Y, Rosental PA, Cavalin C et al. Paediatric sarcoidosis. Paediatr Respir Rev. 2019; 29: 53-59. doi: 10.1016/j.prrv.2018.05.003.

  36. Kendig EL, Niitu Y. Sarcoidosis in Japanese and American children. Chest. 1980; 77: 514-516.

  37. Fretzayas A, Moustaki M, Vougiouka O. The puzzling clinical spectrum and course of juvenile sarcoidosis. World J Pediatr. 2011; 7: 103-110. doi: 10.1007/s12519-011-0261-0.

  38. Alawdah L, Nahari A, Alshahrani D, Fagih M, Ghazi S, Al-Hussaini A. Pediatric gastrointestinal sarcoidosis: Successful treatment with infliximab. Saudi J Gastroenterol. 2016; 22: 391-395. doi: 10.4103/1319-3767.191146.

  39. Sengül OK, Akkelle BS, Volkan B, Tutar E, Celikel CA, Ertem D. Gastrointestinal sarcoidosis presenting with malabsorption at an early age. Turk Pediatri Ars. 2020; 55: 441-444. doi: 10.14744/TurkPediatriArs.2019.93274.

  40. Lim V, Clarke BL. Coexisting primary hyperparathyroidism and sarcoidosis cause increased angiotensin-converting enzyme and decreased parathyroid hormone and phosphate levels. J Clin Endocrinol Metab. 2013; 98: 1939-1945.

  41. Seve P, Pacheco Y, Durupt F, Jamilloux Y, Gerfaud-Valentin M, Isaac S et al. Sarcoidosis: a clinical overview from symptoms to diagnosis. Cells. 2021; 10 (4): 766. doi: 10.3390/cells10040766.

  42. Dobrin RS, Vernier RL, Fish AL. Acute eosinophilic interstitial nephritis and renal failure with bone marrow-lymph node granulomas and anterior uveitis. A new syndrome. Am J Med. 1975; 59: 325-333.

  43. Agarwal R, Kanaujia V, Mishra P, Sharma K. Tubulointerstitial nephritis and uveitis syndrome: our experience. Oman J Ophthalmol. 2020; 13 (2): 89-91.

  44. Jamilloux Y, Kodjikian L, Broussolle C, Seve P. Sarcoidosis and uveitis. Autoimmun Rev. 2014; 13 (8): 840-849. doi: 10.1016/j.autrev.2014.04.001.

  45. Kansal V, Dollin M. Ocular involvement in sarcoidosis. CMAJ. 2017; 189 (16): E609. doi: 10.1503/cmaj.160569.

  46. Herbort CP, Rao NA, Mochizuki M; members of Scientific Committee of First International Workshop on Ocular Sarcoidosis. International criteria for the diagnosis of ocular sarcoidosis: results of the first International Workshop On Ocular Sarcoidosis (IWOS). Ocul Immunol Inflamm. 2009; 17 (3): 160-169.

  47. Chavarriaga-Restrepo A, López Amaya JE, Mesa Navas MA, Velázquez Franco CJ. Sarcoidosis: muchas caras, una enfermedad. Revisión narrativa de la literatura. Iatreia. 2019; 32 (3): 191-203. doi 10.17533/udea.iatreia.

  48. Lynch JP 3rd, Hwang J, Bradfield J, Fishbein M, Shivkumar K, Tung R. Cardiac involvement in sarcoidosis: evolving concepts in diagnosis and treatment. Semin Respir Crit Care Med. 2014; 35: 372-390. doi: 10.1055/s-0034-1376889.

  49. Rao R, Dimitriades VR, Weimer M, Sandlin C. Neurosarcoidosis in pediatric patients: a case report and review of isolated and systemic neurosarcoidosis. Pediatr Neurol. 2016; 63: 45-52. doi: 10.1016/j.pediatrneurol.2016.05.018.

  50. Kidd DP. Sarcoidosis of the central nervous system: clinical features, imaging, and CSF results. J Neurol. 2018; 265: 1906-1915. doi: 10.1007/s00415-018-8928-2.

  51. Gardner G, Shoback D. Endocrinología básica y clínica de Greenspan. 9a ed. México: McGraw-Hill; 2012. p. 95.

  52. Valeyre D, Bernaudin JF, Uzunhan Y, Kambouchner M, Brillet PY, Soussan M et al. Clinical presentation of sarcoidosis and diagnostic work-up. Semin Respir Crit Care Med. 2014; 35: 336-351. doi: 10.1055/s-0034-1381229.

  53. Govender P, Berman JS. The diagnosis of sarcoidosis. Clin Chest Med. 2015; 36: 585-602. doi: 10.1016/j.ccm.2015.08.003.

  54. Carmona EM, Kalra S, Ryu JH. Pulmonary sarcoidosis: diagnosis and treatment. Mayo Clin Proc. 2016; 9: 946-954. doi: 10.1016/j.mayocp.2016.03.004.

  55. Gerke AK. Treatment of sarcoidosis: a multidisciplinary approach. Front Immunol. 2020; 37: 425-432. doi: 10.3389/fimmu.2020.545413.

  56. Kahlmann V, Janssen Bonás M, Moor CC, van Moorsel CHM, Kool M, Kraaijvanger R et al. Design of a randomized controlled trial to evaluate effectiveness of methotrexate versus prednisone as first-line treatment for pulmonary sarcoidosis: the PREDMETH study. BMC Pulm Med. 2020; 20: 271. doi: 10.1186/s12890-020-01290-9.

  57. McKeever A, Cox A, Garnett M, Cunniffe NG. Hydrocephalus as the first presenting symptom of neurosarcoidosis in two patients: a diagnosis more forthcoming in the context of systemic disease. BMJ. 2019; 12: e229903. doi: 10.1136/bcr-2019-229903.

  58. Kobak S. Catch the rainbow: prognostic factor of sarcoidosis. Lung India. 2020; 37: 425-432. doi: 10.4103/lungindia.lungindia_380_19.



AFILIACIONES

1 Médico Internista Pediatra. Departamento de Medicina Interna. Instituto Nacional de Pediatría. México.

2 Departamento de Medicina Interna. Instituto Nacional de Pediatría. México.

3 Departamento de Patología. Instituto Nacional de Pediatría. México.

4 Médico Radiólogo. Departamento de Radiología. Instituto Nacional de Pediatría. México.

5 Servicio de Neumología Pediátrica. Instituto Nacional de Pediatría. México.

6 Residente de Endocrinología Pediátrica. Instituto Nacional de Pediatría. México.



Financiamiento: Ninguno.

Conflicto de intereses: Ninguno.



CORRESPONDENCIA

Dr. Raymundo Rodríguez Herrera. E-mail: raymundo.rdzh@gmail.com




Recibido: 25-10-2021. Aceptado: 11-11-2021.

Figura 1
Figura 2
Figura 3
Figura 4
Figura 5
Figura 6
Figura 7
Figura 8
Figura 9
Figura 10
Figura 11
Figura 12
Figura 13
Figura 14
Tabla 1

2020     |     www.medigraphic.com

Mi perfil

C?MO CITAR (Vancouver)

Rev Latin Infect Pediatr. 2022;35

ARTíCULOS SIMILARES

CARGANDO ...