medigraphic.com
ENGLISH

Revista Latinoamericana de Infectología Pediátrica

ISSN 2683-1678 (Impreso)
Órgano Oficial de la Sociedad
Latinoamericana de lnfectología Pediátrica.
Órgano de la Asociación Mexicana de
Infectología Pediátrica, A.C.
Órgano difusor de la Sociedad Española
de lnfectología
  • Mostrar índice
  • Números disponibles
  • Información
    • Información general        
    • Directorio
  • Publicar
    • Instrucciones para autores        
  • medigraphic.com
    • Inicio
    • Índice de revistas            
    • Registro / Acceso
  • Mi perfil

2022, Número 1

<< Anterior Siguiente >>

Rev Latin Infect Pediatr 2022; 35 (1)


Síndrome encefalopático posterior reversible asociado a neuroinfección por Mycoplasma pneumoniae en un paciente con leucemia linfoblástica aguda

Cardoso Enciso, Héctor Rodrigo1; Velázquez Durán, Perla Xóchitl2; Suárez Hortiales, Sabino3; Fernández Luna, Claudia Paola4
Texto completo Cómo citar este artículo 10.35366/104662

DOI

DOI: 10.35366/104662
URL: https://dx.doi.org/10.35366/104662
Artículos similares

Idioma: Español
Referencias bibliográficas: 12
Paginas: 26-29
Archivo PDF: 175.32 Kb.


PALABRAS CLAVE

Mycoplasma pneumoniae, encefalitis, síndrome encefalopático posterior reversible.

RESUMEN

Se presenta el caso de un paciente masculino de 14 años de edad con diagnóstico de leucemia linfoblástica aguda en protocolo St. Jude total XV, quien inicia su padecimiento con crisis convulsivas tónico clónico generalizadas, pérdida del estado de alerta, hipertensión arterial sistémica, IgM positiva para M. pneumoniae y resonancia magnética simple y contrastada de cráneo con hiperintensidad difusa en secuencia T2 y FLAIR (Fluid Attenuation Inversion Recovery, por sus siglas en inglés) en hemisferio cerebeloso superior e inferior bilateral de predominio central, a la administración de contraste con realce de trayecto del nervio óptico en su porción intracraneal y de predominio derecho. En la literatura se describe la presencia de encefalitis, cerebelitis o síndrome encefalopático posterior reversible (PRES), asociado a infección por M. pneumoniae, en este caso se detecta este microorganismo con signos clínicos y radiológicos de PRES, particularmente en un paciente con patología oncológica, donde no se conoce con certeza la incidencia o prevalencia de esta enfermedad.



INTRODUCCIóN

M. pneumoniae es una bacteria pleomórfica que carece de pared celular, lo que consecuentemente lleva a la falta de detección por tinción Gram, aproximadamente 10% de los infectados desarrollan neumonía, la cual es frecuente en edad escolar hasta en 20% de los casos, es poco común en preescolares; el periodo de incubación puede ir de una a cuatro semanas.1 A pesar de que las manifestaciones a nivel del sistema respiratorio son las más frecuentes, la infección en sistema nervioso central es una de las manifestaciones extrapulmonares más comunes y ocurre con mayor frecuencia en niños que en adultos. La aparición de una encefalitis temprana con prueba de proteína C reactiva (PCR) positiva para M. pneumoniae, se relaciona con la interacción directa del microorganismo en el sistema nervioso central, observándose casos fatales mediante inmunohistoquímica del tejido cerebral, principalmente de encefalomielitis diseminada aguda y leucoencefalitis aguda hemorrágica.2,3 M. pneumoniae se ha reportado hasta en 7% de los casos de encefalitis con agente etiológico identificable, con edad promedio de 5.5 años, donde los datos clínicos más importantes son fiebre, signos focales, pleocitosis en el líquido cefalorraquídeo, proteinorraquia y anormalidad en el electroencefalograma.4 Otra de las manifestaciones a nivel del sistema nervioso central es el síndrome de Guillain Barré, el cual se presenta producto de una reacción cruzada de anticuerpos que afectan directamente el galactocerebrósido, un glucolípido constituyente de la mielina, manifestándose hasta siete días después la infección por M. pneumoniae, donde se observa que el daño en el huésped, además de ser causado por un mecanismo patogénico directo del microorganismo, también puede ocurrir por reacción cruzada de anticuerpos.5-7 Este último mecanismo puede ser la razón fisiopatológica en la presentación de encefalitis con ausencia de IgM para M. pneumoniae en líquido cefalorraquídeo, detectándose anticuerpos específicos para este agente en faringe, así como hallazgos radiológicos compatibles con neumonía, otro mecanismo es el relacionado con fenómenos vasculíticos locales y trombóticos.6 Los signos clínicos en una infección confirmada por M. pneumonie son muy variables, se ha reportado incluso como una cefalea intratable y cambios de neuroimagen sugestivos de síndrome encefalopático reversible posterior o síndrome de PRES, por sus siglas en inglés, los cuales consisten en edema subcortical en la sustancia blanca, el cual puede ser inversamente proporcional al nivel de tensión arterial sistémica; dentro del espectro clínico se encuentran crisis convulsivas, vómito, convulsiones, hipertensión arterial sistémica y alteración del estado mental.8 En estos casos, un alto índice de sospecha es importante para su detección y tratamiento oportuno, incluso en niños sin patologías previas.



CASO CLíNICO

Paciente masculino de 14 años de edad, con diagnóstico de leucemia linfoblástica aguda de células B de alto riesgo por edad, hiperleucocitosis, translocación 1,19 (e2a-pbx1) en tratamiento con protocolo St. Jude total XV, pseudoquiste pancreático secundario a L-asparginasa y diabetes esteroidea. Es referido de un Hospital de Segundo Nivel por un cuadro de cefalea insidiosa, de intensidad variable, de 7 horas de evolución que no mejora con analgésicos, crisis convulsivas tónico clónico generalizadas, pérdida del estado de alerta e hipertensión arterial sistémica, se realiza tomografía de cráneo sin evidencia de lesión hemorrágica, como único antecedente de importancia cursó una semana antes con faringitis autolimitada; una vez estabilizado, se traslada de manera programada a este Centro Médico Naval. Durante la evaluación inicial del paciente en este centro, se observó somnoliento, piel pálida, sin signos meníngeos o de focalización y a nivel pulmonar sin datos de patología, por lo que se inicia protocolo de estudio. Ante la sospecha de una probable infección o infiltración a nivel de sistema nervioso central como diagnóstico diferencial, fue tratado de forma empírica con dexametasona a dosis 10 mg/kg/día, aciclovir a 1,500 mg/m2/día, ceftriaxona 100 mg/kg/día y vancomicina 60 mg/kg/día.

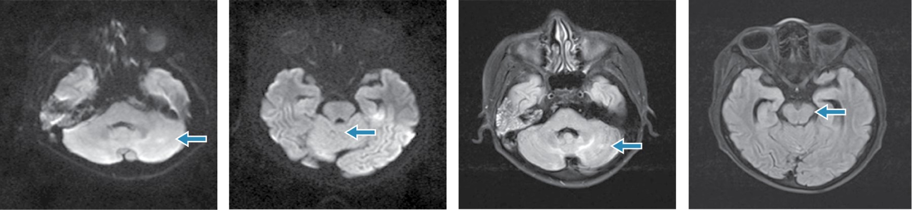
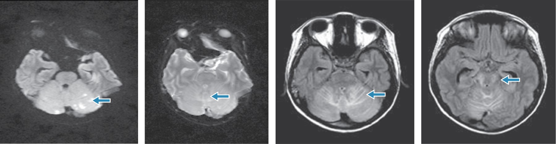
Dentro de los estudios de laboratorio en su abordaje diagnóstico se encontraron leucocitos de 7.9 × 109/L, neutrófilos absolutos 7.1 × 109/L, linfocitos absolutos 0.4 × 109/L, monocitos absolutos 0.5 × 109/L, glucosa 97 mg/dL, creatinina 0.3 mg/dL, sodio sérico 130 mmol/L, potasio 3.7 mmol/L, cloro 88 mmol/L, proteína C reactiva 4.6 mg/dL, procalcitonina 3.2 ng/dL, enzimas hepáticas normales, urocultivo y hemocultivos sin desarrollo. Reporte del líquido cefalorraquídeo: microproteínas 38 mg/dL, lactato deshidrogenasa 12 UI/L, cloro 116 mmol/L, aspecto agua de roca, sin celularidad, panel de encefalitis FilmArray® PCR múltiple negativo, anticuerpos contra M. pneumoniae IgG negativo e IgM positivo, tinta china, tinción Gram, tinción bacterias ácido-alcohol resistentes (BAAR) y cultivos negativos, estudio histopatológico sin infiltración neoplásica. Resonancia magnética (RMN) simple y contrastada de cráneo, con hiperintensidad difusa en secuencia T2 y FLAIR en hemisferio cerebeloso superior e inferior, bilateral, de predominio central y fóveas, con extensión a pedículos cerebelosos posteriores y mesencefálicos; a la administración de contraste se encontró realce de trayecto del nervio óptico en su porción intracraneal, de predominio derecho. Con lo anterior se integran datos de síndrome de PRES asociado a infección por M. pneumoniae, motivo por el cual se indica tratamiento dirigido con levofloxacino a 10 mg/kg/día. Durante la evolución clínica, el paciente no presentó nuevos eventos convulsivos, las cifras tensionales permanecieron normales, no presentó datos de focalización y no se agregaron otros síntomas. A los 13 días, se realiza una nueva RMN de control, donde se observa disminución de la intensidad a nivel de fosa posterior, en relación a estudio previo, sin evidencia de reforzamientos anormales intra- ni extraaxiales que sugieran implantes y neuroeje sin reforzamientos anormormales; angioresonancia normal.



DISCUSIóN

En el síndrome de PRES, la hipertensión arterial se explica de manera hipotética por una perfusión cerebral deficiente, que conlleva a una lesión endotelial mediada por toxinas sistémicas; los factores de riesgo para este síndrome son insuficiencia renal, síndrome nefrótico, nefritis aguda, síndrome hemolítico urémico, dosis altas de esteroides, enfermedades oncológicas y uso de inmunosupresores.8 Sin embargo, en algunos casos, la afección a nivel del sistema nervioso central, puede simular un efecto de masa, simulando neoplasias a este nivel.9 Otros datos que pueden apoyar el diagnóstico son la hipomagnesemia y la afección tradicional en neuroimagen de los lóbulos parietooccipitales, aunque ocasionalmente se observan otras áreas.10 Es importante recordar que a pesar de que las crisis convulsivas son de los datos clínicos más frecuentes, éstas pueden variar en intensidad y características, pudiendo observarse crisis epilépticas no convulsivas con focalización secundaria o de gran mal. La resolución de los hallazgos por RNM es espontánea, en ocho días aproximadamente, por lo que el tratamiento específico es muy importante para delimitar estas lesiones.7,11 El diagnóstico serológico de afección de sistema nervioso central por M. pneumoniae es controversial; habitualmente, los anticuerpos IgM aparecen durante la primera semana de la infección y preceden por dos semanas a los anticuerpos IgG; la detección de IgM positiva en suero en correlación con la clínica compatible sería suficiente para definir la primoinfección por M. pneumoniae, otros autores consideran que para definir la infección del sistema nervioso central se requiere, además de la clínica, detección de IgM positiva en suero y el aumento significativo de títulos de IgG analizados en muestras pareadas, o bien, por detección de PCR positiva en el líquido cefalorraquídeo (LCR) en forma aislada, aunque es infrecuente su hallazgo; por lo que es importante considerar que esta entidad es un reto diagnóstico.12 En el contexto de este paciente, debido a sus manifestaciones clínicas, se abordó de manera inicial para descartar los diagnósticos más frecuentes. Sin embargo, al tener una enfermedad oncológica subyacente, es importante considerar otras posibilidades diagnósticas de forma integral, con lo que se incrementa el pronóstico a corto plazo en este tipo de pacientes (Figuras 1 y 2).


REFERENCIAS (EN ESTE ARTÍCULO)

  1. Arkilo D, Pierce B, Ritter F et al. Diverse seizure presentation of acute Mycoplasma pneumoniae encephalitis resolving with immunotherapy. J Child Neurol. 2014; 29 (4): 564-5606.

  2. Christie L, Honarmand S, Talkington D et al. Pediatric encephalitis: What is the role of Mycoplasma pneumoniae? Pediatrics. 2007; 120 (2): 305-313.

  3. San Martin I, Urabayen R, Diez V et al. Síndrome de encefalopatía posterior reversible: 5 casos relacionados con quimioterapia. An Pediatr. 2014; 80 (2): 117-121.

  4. De Groot R, Meyer P, Unger W et al. Things that could be Mycoplasma pneumoniae. J Infect. 2017; 74 Suppl 1: S95-S100.

  5. Krafft K, Christy C. Mycoplasma pneumoniae in children and adolescents. Pediatr Rev. 2020; 41 (1): 12-19.

  6. Milstein N, Paret G, Reif S et al. Acute childhood encephalitis at 2 tertiary care children's hospitals in Israel etiology and clinical characteristics. Pediatr Emerg Care. 2016: 32 (2): 82-86.

  7. Smolders J, Jacobs B, Tio-Guillen A et al. Mycoplasma pneumoniae and antibodies against galactocerebroside in a 9-year-old boy with encephalitis. Neuropediatrics. 2019; 50 (1): 54-56.

  8. Ramgopal A, Thavamani A, Ghori A. Association between posterior reversible encephalopathy syndrome and Mycoplasma pneumoniae. J Pediatr Neurosci. 2018; 13 (1): 109-111.

  9. Meyer P, Moeller A, Relly C et al. Swiss national prospective surveillance of paediatric Mycoplasma pneumoniae associated encephalitis. Swiss Med Wkly. 2016; 146: w14222.

  10. Simpkins A, Strickland S, Oliver J et al. Complete resolution of advanced Mycoplasma pneumoniae encephalitis mimicking brain mass lesions: report of two pediatric cases and review of literature. Neuropathology. 2012; 91-99.

  11. Waites KB, Xiao L, Liu Y et al. Mycoplasma pneumoniae from the respiratory tract and beyond. Clin Microbiol Rev. 2017; 30 (3): 747-809.

  12. Arighi P, Deregibus MI, Agrimbau Vázquez J et al. Mycoplasma pneumoniae: manifestaciones neurológicas y controversias diagnósticas: a propósito de un caso. Arch Argent Pediatr. 2018; 116 (4): e590-e593.



AFILIACIONES

1 Pediatría Médica. Centro Médico Naval. Ciudad de México.

2 Infectología Pediátrica. Centro Médico Naval. Ciudad de México.

3 Neurología Pediátrica. Centro Médico Naval. Ciudad de México.

4 Cardiología Pediátrica. Centro Médico Naval. Ciudad de México.



CORRESPONDENCIA

Dr. Sabino Suárez Hortiales. E-mail: dr.sabinosuarez@gmail.com




Recibido: 16-12-2020. Aceptado: 08-02-2021.

Figura 1
Figura 2

2020     |     www.medigraphic.com

Mi perfil

C?MO CITAR (Vancouver)

Rev Latin Infect Pediatr. 2022;35

ARTíCULOS SIMILARES

CARGANDO ...