medigraphic.com
ENGLISH

Medicina Crítica

  • Mostrar índice
  • Números disponibles
  • Información
    • Información general        
    • Directorio
  • Publicar
    • Instrucciones para autores        
  • Políticas
  • Lineamientos
  • medigraphic.com
    • Inicio
    • Índice de revistas            
    • Registro / Acceso
  • Mi perfil

2022, Número 2

<< Anterior Siguiente >>

Med Crit 2022; 36 (2)


Neumotórax y bulla como complicación tardía en un paciente con neumonía por COVID-19. Reporte de un caso y revisión de la literatura

Vásquez-Revilla, Héctor Romeo1; Revilla-Rodríguez, Eduardo1
Texto completo Cómo citar este artículo 10.35366/104874

DOI

DOI: 10.35366/104874
URL: https://dx.doi.org/10.35366/104874
Artículos similares

Idioma: Español
Referencias bibliográficas: 15
Paginas: 112-115
Archivo PDF: 219.84 Kb.


PALABRAS CLAVE

Neumotórax, bulla, COVID-19.

RESUMEN

El neumotórax y la presencia de bullas se han reportado como complicaciones tardías asociadas a la neumonía por COVID-19 en pacientes con mala evolución. Se desconoce el mecanismo exacto que ocasiona estas complicaciones y su papel en el curso clínico de la enfermedad. A continuación se expone el caso de paciente masculino de 56 años de edad con neumotórax y bulla como complicación tardía de neumonía por COVID-19.



INTRODUCCIóN

La enfermedad por SARS-CoV-2 (COVID-19) es una infección causada por un nuevo coronavirus emergente detectado por primera vez en Wuhan (China) en diciembre de 2019.1 Las manifestaciones radiológicas típicas de los pacientes con COVID-19 consisten en la presencia de opacidades pulmonares bilaterales (tanto imágenes en vidrio despulido como consolidaciones) observadas en las primeras etapas y puede ser atribuido al edema del espacio alveolar e inflamación causada por la infección.2 Los casos que responden mal al tratamiento progresan a lesiones múltiples y difusas.3

El neumotórax se caracteriza por la presencia de aire en el espacio virtual existente entre las dos hojas pleurales, lo que conduce al colapso del parénquima pulmonar. Puede ser espontáneo o secundario a múltiples enfermedades como la enfermedad pulmonar obstructiva crónica tipo enfisema, los tumores, las enfermedades pulmonares intersticiales, las enfermedades del tejido conectivo y las infecciones. De las infecciones, la tuberculosis pulmonar, la neumonía por Pneumocystis, la neumonía necrosante y las infecciones fúngicas son las que con mayor frecuencia se complican con neumotórax.4

Se ha descrito recientemente que 1% de pacientes con COVID-19 pueden desarrollar neumotórax espontáneo, siendo indistinguibles los síntomas por la propia neumonía COVID-19.3 La fibrosis, la inflamación prolongada y la isquemia asociadas a la neumonitis por COVID-19 podrían condicionar el daño de los alveolos y la aparición de fugas de aire hacia la cavidad pleural.5,6 En algunos estudios se ha reportado la presencia de neumotórax espontáneo, neumomediastino y bullas como complicaciones tardías en pacientes con COVID-19.7-9 Se desconoce cuál es la incidencia exacta de estas complicaciones, pero se considera menor que la del síndrome respiratorio agudo severo (SARS) que ocurrió en el año 2003, donde se informó que fue entre 12 y 34% de los pacientes con SARS que recibieron ventilación mecánica.10 Una bulla o bula se define como un área de enfisema bien delimitada mayor o igual a 1 cm de diámetro y pared fina epitelizada de grosor por lo general menor de 1 mm.11 La ruptura espontánea de una bulla se ha reportado como la causa más frecuente de neumotórax espontáneo.12 En este artículo revisamos el caso de un paciente con presencia de neumotórax y bulla como complicación tardía de neumonía por COVID-19.



PRESENTACIóN DEL CASO

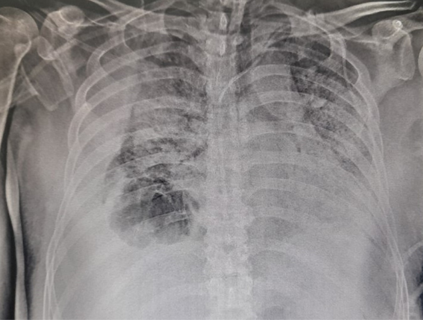
Se trata de un hombre de 56 años sin antecedentes de importancia, el cual presenta cuadro de fiebre, tos, rinorrea, malestar general. El día dos de iniciado el cuadro clínico se realiza reacción en cadena de la polimerasa (PCR) para el SARS-CoV-2 cuyo resultado fue positivo, recibe tratamiento domiciliario. El día tres de iniciado el cuadro es trasladado a un hospital privado por persistir con disnea y desaturación requiriendo administración de oxígeno suplementario. El día 10 de iniciado el cuadro muestra datos de dificultad respiratoria e hipoxemia ameritando intubación orotraqueal e inicio de ventilación mecánica por presentar síndrome de insuficiencia respiratorio agudo (SIRA) severo de acuerdo a la clasificación de Berlín (PaO2/FiO2 70 mmHg). Durante su estancia recibe tratamiento a base de levofloxacino, tocilizumab y dexametasona, por la mala evolución clínica requiere de parámetros altos de ventilación y apoyo con vasopresor. Se decide traslado a nuestro hospital 28 días después de haber iniciado el cuadro clínico. Es ingresado a terapia intensiva donde se le realizó traqueostomía percutánea por ventilación prolongada, permanece con requerimientos altos de fracción inspirada de oxígeno. El día 40 de iniciado el cuadro se documenta en radiografía de tórax imagen radiolúcida en tercio inferior derecho compatible con bulla pulmonar (Figura 1). Se realiza tomografía computarizada de tórax, la cual reporta área de atrapamiento aéreo con presencia de septos en su interior en segmento 10 del pulmón derecho (S10) compatible con bulla y neumotórax (Figura 2).

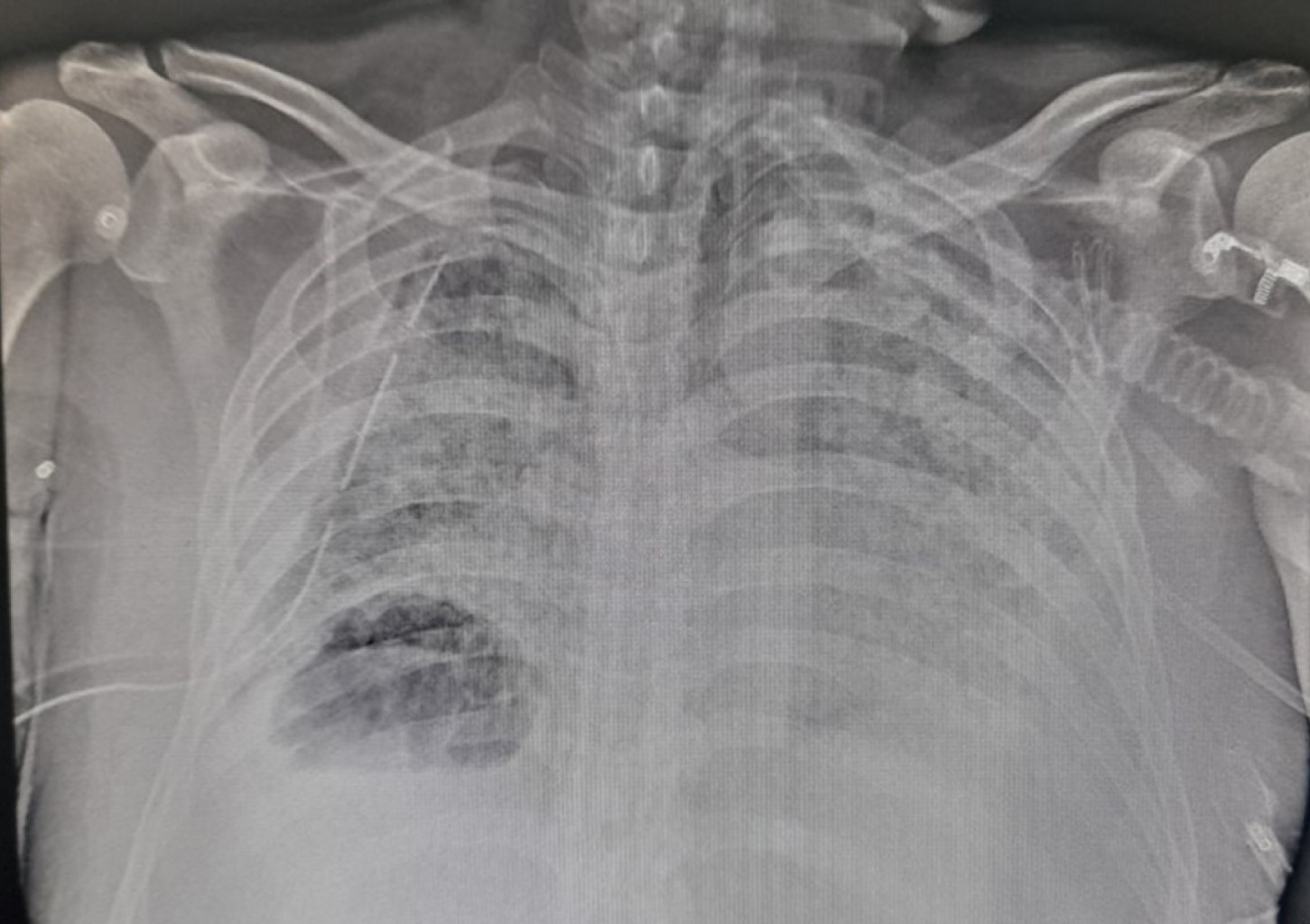
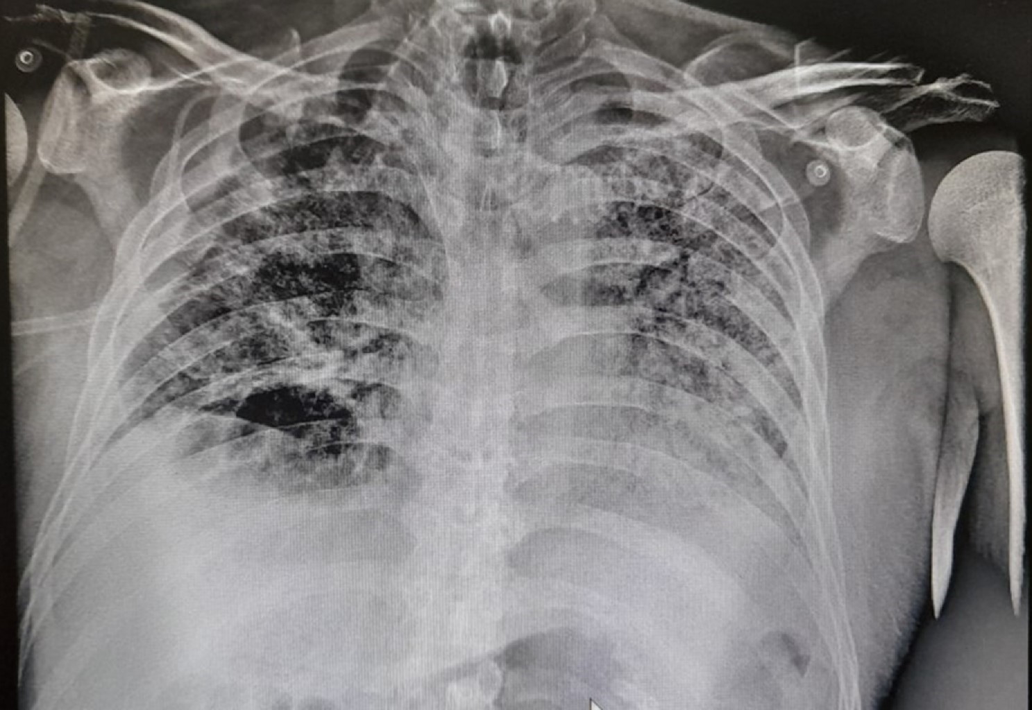
Se decide colocar sonda endopleural en quinto espacio intercostal en su intersección con la línea axilar media derecha obteniendo 200 mL de material serohemático, se conecta a succión continua, se verifica colocación de sonda endopleural con control radiográfico posterior (Figura 3). Se solicita valoración por el servicio cirugía de tórax, quien indica manejo conservador con seguimiento a través de estudios de imagen. Se retira la sonda endopleural a los 10 días de colocada, corroborando expansión pulmonar (Figura 4). Se logra el retiro de la ventilación a los 68 días de iniciado el cuadro y 58 días de ventilación mecánica tolerando de manera adecuada, siendo egresado a sala general para continuar con su manejo.



DISCUSIóN

En este caso el paciente no tenía antecedentes de neumopatía crónica o tabaquismo, los cuales han sido reportados como factores de riesgo de desarrollo de bullas,13 tampoco la presencia de bullas fue observada en los estudios radiológicos iniciales. Sin embargo, en los pacientes con neumonía por COVID-19 y deterioro progresivo de la función pulmonar se ha descrito la presencia de neumotórax y neumomediastino espontáneos asociados con la presencia de bullas, que no son observadas en las etapas iniciales de la enfermedad, incluso en los pacientes que no requieren ventilación mecánica.14

El desarrollo de bullas en los pacientes con COVID-19 es el resultado de la lesión alveolar difusa que ocasiona que los alveolos sean propensos a romperse.3 Además, la presencia de tos pronunciada puede contribuir aumentando la presión de manera súbita en la vía aérea distal, lo que ocasiona rotura alveolar y fuga secundaria de gas al intersticio, el aire puede disecar proximalmente hasta alcanzar el mediastino;15 en este caso no se documentó esta complicación.

La visualización del aire libre en el estudio radiográfico suele ser suficiente para el diagnóstico, aunque en el caso de neumotórax o bullas de pequeño tamaño el diagnóstico puede requerir una tomografía. En una gran parte de los casos el abordaje inicial consiste en la resolución del neumotórax mediante la colocación de una sonda endopleural y dejando el manejo quirúrgico sólo para los casos complicados. Los criterios más aceptados para la resección quirúrgica de una bulla son: presencia de bulla aislada de más de 30% de un hemitórax (bulla gigante) y evidencia de compresión de parénquima pulmonar normal en un paciente con insuficiencia respiratoria, indicaciones menos frecuentes están relacionadas con complicaciones locales de la bulla como hemorragia, neumotórax recidivante, malignización e infección.3 En nuestro caso el neumotórax se resolvió con la colocación de la sonda endopleural y el manejo de la bulla se realizó de manera conservadora.



CONCLUSIONES

Se desconoce el mecanismo exacto por el que se produce neumotórax y bullas en los pacientes con neumonía por SARS-CoV-2, pero se considera que tienen una respuesta favorable a medidas conservadoras. Sin embargo, es importante realizar un diagnóstico temprano y mantener una vigilancia estrecha ante la posibilidad de complicaciones hemodinámicas y respiratorias, las cuales podrían representar un marcador de la progresión de la enfermedad. El neumotórax, el neumomediastino y las lesiones pulmonares como las bullas en pacientes con COVID-19 probablemente se deben a un daño inflamatorio prolongado del parénquima pulmonar con el desarrollo de cambios degenerativos (fibrosis), ruptura y posteriores fugas de aire.

Como comentamos con anterioridad parece que la fibrosis, la inflamación prolongada y la isquemia asociadas a la neumonitis por COVID-19 podrían condicionar el daño de los alveolos y la aparición de fugas de aire hacia la cavidad pleural.


REFERENCIAS (EN ESTE ARTÍCULO)

  1. Lv M, Luo X, Estill J, Liu Y, Ren M, Wang J, et al. Coronavirus disease (COVID-19): a scoping review. Euro Surveill. 2020;25(15):2000125.

  2. Yang W, Sirajuddin A, Zhang X, Liu G, Teng Z, Zhao S, et al. The role of imaging in 2019 novel coronavirus pneumonia (COVID-19). Eur Radiol. 2020;30(9):4874-4882.

  3. Sun R, Liu H, Wang X. Mediastinal emphysema, giant bulla, and pneumothorax developed during the course of COVID-19 pneumonia. Korean J Radiol. 2020;21(5):541-544.

  4. Redondo A, Gómez M, Jenkins C, Redondo J., Neumotórax asociado a COVID-19. Medicina de Familia. SEMERGEN. 2021;47(5):e35-e36. Available in: https://doi.org/10.1016/j.semerg.2020.11.004

  5. Mallick T, Dinesh A, Engdahl R, Sabado M. COVID-19 complicated by spontaneous pneumothorax. Cureus. 2020;12:e9104.

  6. Do Lago VC, Cezare TJ, Fortaleza CMCB, Okoshi MP, Baldi BG, Tanni SE. Does COVID-19 increase the risk for spontaneous pneumothorax? Am J Med Sci. 2020;360(6):735-737.

  7. Wang W, Gao R, Zheng Y, Jiang L. COVID-19 with spontaneous pneumothorax, pneumomediastinum and subcutaneous emphysema. J Travel Med. 2020;27(5):taaa062.

  8. Wang J, Su X, Zhang T, Zheng C. Spontaneous pneumomediastinum: a probable unusual complication of coronavirus disease 2019 (COVID-19) pneumonia. Korean J Radiol. 2020;21(5):627-628.

  9. Pérez-López KP, Moreno-Madrigal LG. Neumotórax y neumomediastino espontáneos en pacientes con neumonía por COVID-19. Med Int Méx. 2021;37(1):152-156.

  10. Xu W, Luo X, Wang H, Shen C, Song Y, Sun T, et al. Pulmonary emphysema, bullae, and pneumothorax in COVID-19 pneumonia. Radiol Case Rep. 2021;16(5):995-998

  11. Clauzure M, Tomaszuk AG. Bulla con nivel hidroaéreo en su interior, interpretación y enfoque terapéutico. Rev Am Med Respir. 2019;3:245-247.

  12. Álvarez J, Concejo P, Ferreiro C, Gálvez E, Azahara M, Zubiaguirre I, et al. Hallazgos de imagen en Covid-19. Complicaciones y enfermedades simuladoras. Rev Chil Radiol. 2020;26(4):145-162.

  13. Parra GML, Buitrago WG, Grau GM, Arenaza CG. Aspectos radiológicos de la neumonía COVID-19: evolución y complicaciones torácicas. Radiología. 2021;63:74-88.

  14. López VJM, Parra GML, Diez TA, Ossaba VS. Pneumomediastinum and spontaneous pneumothorax as an extrapulmonary complication of COVID-19 disease. Emerg Radiol. 2020;27(6):727-730.

  15. Gorospea L, Ayala A, Urena A, Fernández S, Muñoz E, Almonacid P, et al. Neumomediastino espontáneo en pacientes con COVID-19: una serie de cuatro casos. Arch Bronconeumol. 2020;56(11):747-763.



AFILIACIONES

1 Hospital Regional de Alta Especialidad de Oaxaca (HRAEO).



CORRESPONDENCIA

Héctor Romeo Vásquez-Revilla. E-mail: hromeo81@hotmail.com, dr.vasquezrevilla@hotmail.com




Recibido: 22/03/2021. Aceptado: 11/05/2021.







Figura 1
Figura 2
Figura 3
Figura 4

2020     |     www.medigraphic.com

Mi perfil

C?MO CITAR (Vancouver)

Med Crit. 2022;36

ARTíCULOS SIMILARES

CARGANDO ...