medigraphic.com
ENGLISH

Revista Mexicana de Ortodoncia

ISSN 2395-9215 (Impreso)
Órgano Oficial de Difusión de la Facultad de Odontología de la UNAM
  • Mostrar índice
  • Números disponibles
  • Información
    • Información general        
    • Directorio
  • Publicar
    • Instrucciones para autores        
  • medigraphic.com
    • Inicio
    • Índice de revistas            
    • Registro / Acceso
  • Mi perfil

2020, Número 2

<< Anterior Siguiente >>

Rev Mex Ortodon 2020; 8 (2)


Corrección de maloclusión clase II esqueletal con colapso maxilar y mordida abierta anterior mediante expansor Hass

Escalante-Elías, César1; Hernández-Espinosa, Guillermo1; Pesqueira-Melgarejo, Roberto1; Rodríguez-Chávez, Jacqueline Adelina2
Texto completo Cómo citar este artículo Artículos similares

Idioma: Español/Inglés [English version]
Referencias bibliográficas: 21
Paginas: 113-124
Archivo PDF: 537.76 Kb.


PALABRAS CLAVE

Maloclusión clase II, mordida abierta anterior, expansión maxilar rápida, técnica Alexander, tornillo Hass.

RESUMEN

Paciente masculino de 13 años de edad que acude al Departamento de Ortodoncia para mejorar su sonrisa. Se diagnosticó maloclusión clase II división 1 esqueletal por rotación mandibular a favor de las manecillas de reloj, mordida borde a borde posterior y una mordida abierta anterior. El tratamiento consistió en: 1) fase ortopédica: con tornillo Hass con apoyo acrílico para expansión maxilar rápida y arco lingual inferior removible; 2) fase de brackets: colocación en superior e inferior y sustitución de Hass por arco palatino con espolones para control de proyección lingual; 3) fase de detallado y asentamiento; 4) fase de retención. Se mantuvo el perfil facial, se logró una sonrisa agradable, alineación y nivelación, correcto overjet y overbite, buena proyección del labio superior, líneas medias centradas, clase I molar y clase I canina bilateral, y pocos cambios en los valores cefalométricos. El tratamiento ortopédico seguido de ortodoncia con brackets en pacientes clase II y en crecimiento da excelentes resultados.



INTRODUCCIóN

La maloclusión clase II división 1 se asocia a menudo con un maxilar y un labio superior protrusivos junto con un perfil facial convexo. Aunque el principal objetivo del tratamiento es la corrección de la maloclusión, también se aprecia el efecto benéfico del tratamiento en el perfil facial.1-3 El objetivo de una expansión maxilar es lograr una expansión esquelética transversal del maxilar, buscando evitar los efectos secundarios dentales en la medida de lo posible, e. g. la inclinación de los molares superiores. El uso de un dispositivo de expansión maxilar estable es necesario para lograr este efecto esquelético y se ocupa en pacientes que no sufren hendiduras en el área de mandíbula y paladar.4-6

La expansión maxilar rápida (EMR) conduce a un posicionamiento espontáneo adelante de la mandíbula antes y después del periodo de retención en casos de dentición mixta asociada con la constricción maxilar y ha sido el tratamiento de elección por más de un siglo. Aunque el procedimiento se utilizó inicialmente para corregir las mordidas cruzadas posteriores, se ha propuesto un mayor número de posibles indicaciones.7 Numerosos dispositivos de EMR han sido ampliamente ocupados por los ortodoncistas, tales como Haas y Hyrax. Sin embargo, la evaluación a largo plazo ha mostrado una tendencia a la recaída en estos casos.8,9

En ocasiones, los pacientes presentan una mordida abierta anterior y hay numerosas teorías sobre su etiología, como patrones de crecimiento, herencia, hábitos digitales o factores ambientales y función lingual. Entre los tratamientos se encuentran los aparatos para romper el hábito, los bloques de mordida, arco extraoral, mentoneras de tirante vertical, los elásticos verticales y la corrección quirúrgica.10-15 Se ha reportado que la prevalencia de mordida abierta en niños estadounidenses fue de 3.5% en la población blanca y 16.5% en la población afroamericana.16 Entre los factores ambientales se incluyen variaciones en la erupción dental, crecimiento alveolar, crecimiento neuromuscular desproporcionado o función neuromuscular aberrante relacionada con movimientos anormales de la lengua, hábitos orales o ambos. Un objetivo primordial es distinguir de una mordida abierta dental a una esqueletal, ya que en ocasiones las mordidas abiertas dentales son autocorregibles o responden fácilmente al tratamiento miofuncional y la mecanoterapia, y las esqueletales son más difíciles de tratar y tienden a la recaída. El tratamiento temprano de la displasia vertical durante el periodo de la dentición primaria o mixta se ha recomendado para reducir la necesidad de tratamiento en la dentición permanente, cuando la cirugía es una opción viable.10,15,17

Hay distintas modalidades de tratamiento que incluyen principalmente aparatos funcionales, técnicas multibracket y arcos extraorales.17,18 Un tratamiento efectivo y con beneficios clínicos sería una EMR, no obstante, se han reportado desventajas como la apertura de mordida, recaída, microtrauma de la articulación temporomandibular y sutura palatina media, y reabsorción radicular.6,19 Esta última se puede producir por predisposición biológica, genética individual y al efecto de factores mecánicos. La EMR es el tratamiento de elección en adolescentes en crecimiento.20

La fuerza aplicada provoca la apertura gradual de la sutura palatina media, la flexión de los procesos alveolares y la inclinación dental. Se han reportado pérdidas significativas de volumen de raíz después del tratamiento con EMR, tanto con los aparatos Hyrax como los Haas, presentándose más con los Hyrax.20 En un estudio se comparó el aparato Haas con el aparato Hyrax, utilizando diversos parámetros dentales y esqueléticos, encontrando que ambos tienen efectos similares en el complejo dentofacial. Ambos aparatos abrieron la mordida, aunque el aparato Haas demostró un cambio ligeramente más vertical que el Hyrax.21

A continuación, se presenta el caso de un paciente de clase II división 1 con colapso maxilar y mordida abierta anterior, que se corrigió con expansor Hass y para redirigir la proyección lingual se usó un arco palatino con espolones y elásticos anteriores.



REPORTE DE CASO CLíNICO

Diagnóstico y plan de tratamiento. Paciente masculino de 13 años de edad que acude a la clínica de Especialidad de Ortodoncia de la Universidad Autónoma de Guadalajara, porque quiere mejorar su sonrisa y cerrar su mordida.

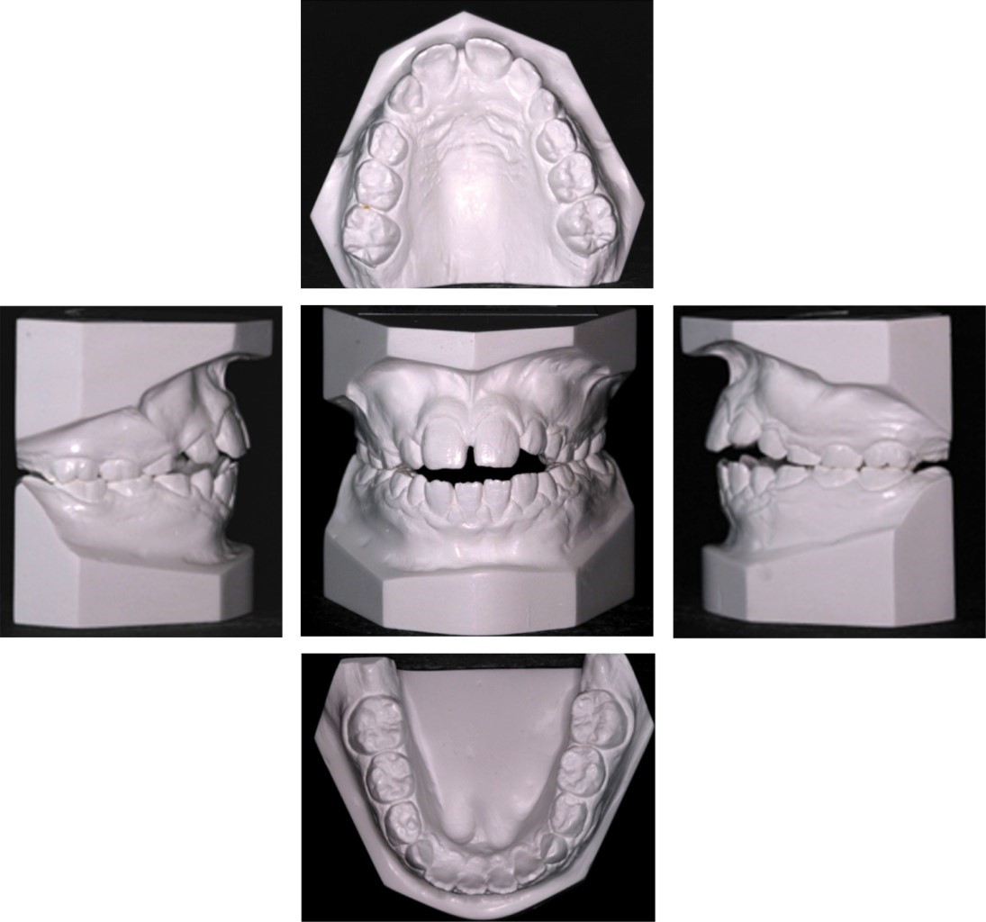
El paciente presenta un biotipo dolicofacial con perfil convexo por crecimiento a favor de las manecillas del reloj, tercios faciales simétricos, labios delgados, frente convexa, proyección del puente nasal recta, buena proyección del tercio medio, posición de la punta nasal alta, ángulo nasolabial abierto, escalón labial recto, poca proyección de pogonión de tejidos blandos, incompetencia labial, la línea media dental no coincide con línea media facial, sonrisa baja, muestra dos dientes en la arcada superior y 10 dientes en la arcada inferior, no muestra corredores bucales, bordes incisales coinciden con línea de sonrisa y no muestra encía al sonreír, como se puede observar en la Figura 1A. En el análisis intraoral, el paciente presenta arcos superior e inferior ovoides, mordida abierta anterior, mordida borde a borde posterior, diastema anterior, líneas medias dentales no coincidentes entre sí, márgenes gingivales superiores e inferiores asimétricos, presencia de piezas temporales, clase III molar izquierda, clase I molar derecha, clase canina bilateral no establecida, overjet de 3 mm, overbite - 4 mm y una curva de Spee de 0 mm, como se muestra en la Figura 1B y Figura 2.

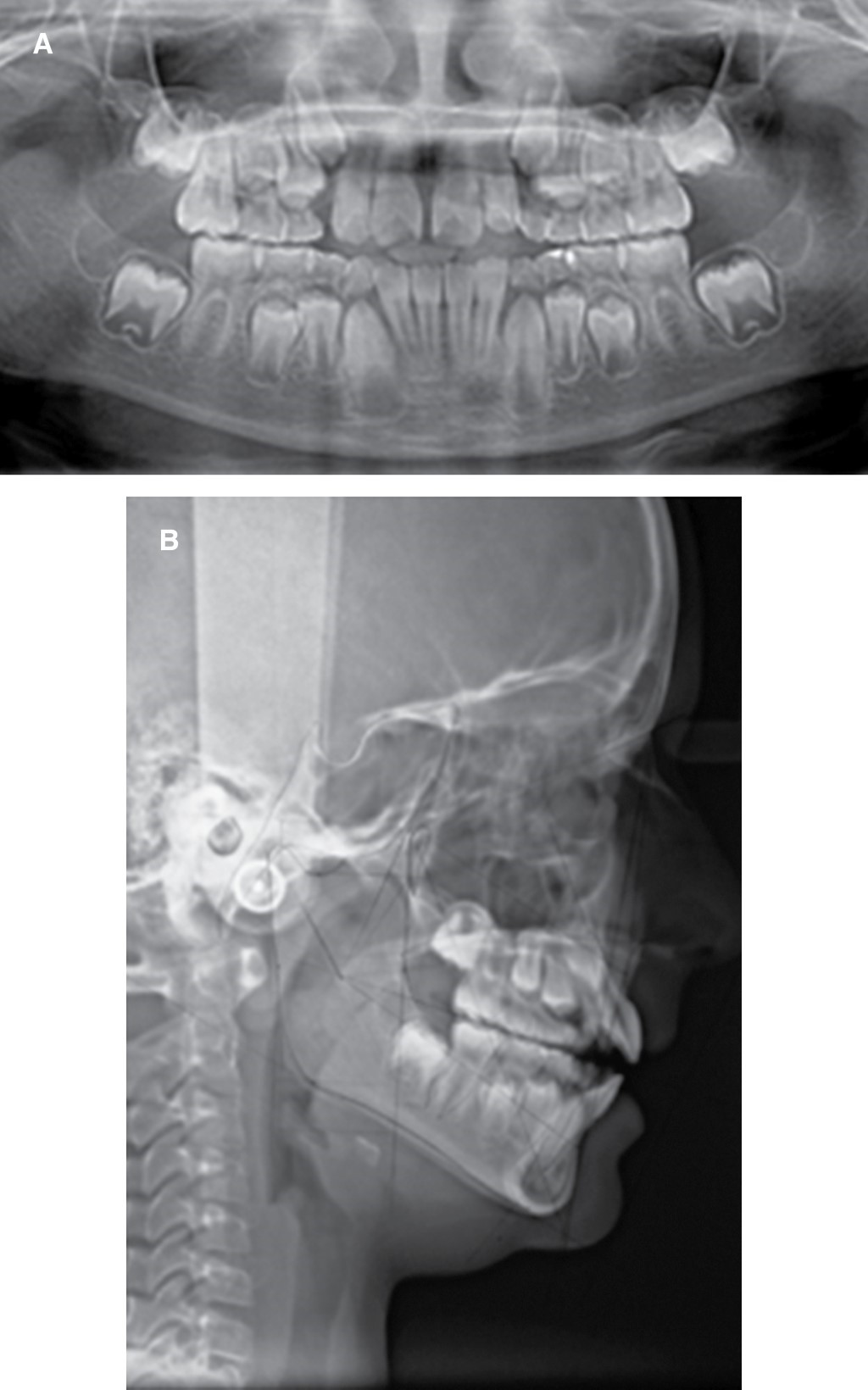
En la radiografía panorámica (Figura 3A) se observan dientes permanentes por erupcionar, cóndilos aparentemente sanos y vías aéreas ligeramente obstruidas.

Se diagnosticó como una clase II división 1 esqueletal con tendencia a clase III por hipoplasia del maxilar, compensando por una rotación mandibular en sentido de las manecillas del reloj, como se muestra en la Figura 3B y Tabla 1.



TRATAMIENTOS ALTERNATIVOS

  • 1. Se consideró el uso de Hyrax para descruzar mordida posterior mediante EMR por mayor comodidad e higiene. Sin embargo, el paciente no contaba con dientes en el área de premolares para tener una mayor área de apoyo, por lo que se rechazó a opción.
  • 2. Se consideró el uso de un arco extraoral de tracción alta para lograr intrusión molar y al mismo tiempo rotación mandibular, esta opción se rechazó por la falta de cooperación del paciente.
  • 3. Se consideró realizar extracciones de primeros premolares superiores e inferiores, pero esta opción fue rechazada porque el paciente presentaba un perfil convexo y ángulo nasolabial abierto.
  • 4. Se consideró el uso de un expansor tipo Hass para descruzar mordida posterior; y uso de elásticos en caja anterior para cierre de mordida, después de explicar esta alternativa a los padres, ellos decidieron optar por esta opción para el tratamiento.

Objetivos del tratamiento

Expandir el maxilar y descruzar la mordida posterior, mejorar el perfil, alineación y nivelación; obtener la clase I molar y clase I canina bilateral; obtener overjet y overbite adecuados, y salud periodontal.

Plan de tratamiento

El tratamiento se dividió en cuatro fases. Primera fase ortopédica: se usó tornillo Hass con apoyo de acrílico para expansión maxilar rápida y arco lingual inferior removible. Se retiró el Hass a los tres meses de haber logrado expansión superior y se reevaluó. Segunda fase: se sustituyó el expansor Hass por arco palatino con espolones para controlar la proyección lingual y se realizó colocación de aparatología Alexander slot 0.018" superior e inferior. Tercera fase: se realizó detallado y asentamiento. Cuarta fase: retención fija inferior 3-3 y circunferencial superior.

Progresión del tratamiento

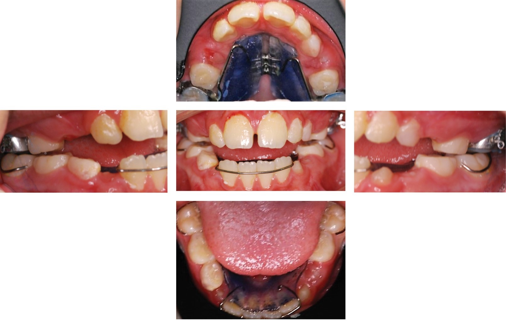
Se inició el tratamiento con la cementación del Hass y arco lingual como se muestra en la Figura 4, se decidió retirar Hass durante dos semanas, debido a que el paciente presentó una tumefacción en zona de tornillo expansor. Se continuó con su uso durante dos semanas más y a los cuatro meses se retiró Hass y se colocó arco palatino con espolones para controlar la proyección lingual (Figura 5).

A los siete meses se realizó colocación de aparatología Alexander slot 0.018" en superior y se suspendió uso de arco lingual inferior.

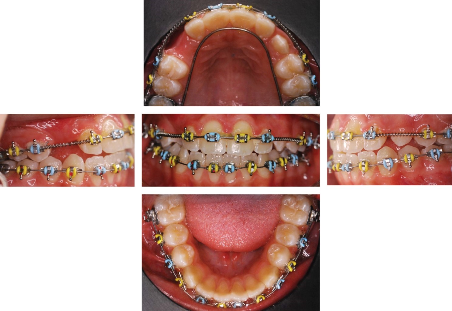
Posteriormente, se cementaron brackets de los órganos dentales #14 y #15 con resorte para distalizar el órgano dental #14, se consolidó con ligadura metálica, y se cementaron brackets de #24 y #25 como se muestra en la Figura 6. A los 11 meses se logró espacio para los caninos superiores y se realizó la colocación de aparatología inferior de 6-6 con arco 0.016" NITI SE y colocación del bracket del órgano dental #23. El órgano dental #13 erupcionó sólo de la cúspide y se decide colocar un botón con hilo elástico al arco para traccionarlo junto con el uso de un elástico Delta izquierdo del órgano dental #23 a los órganos dentales #33 y #34 de de 3.5 oz. Cuando se logró la alineación y nivelación a los 32 meses se colocaron arcos 0.016" × 0.022" SS y del elástico en caja anterior ¼ de 6 oz.

Al término de 34 meses se dio por finalizada la etapa de detallado y asentamiento y se prosiguió al retiro de aparatología superior e inferior, colocación de retenedor fijo inferior de 3-3, circunferencial superior y toma de fotografías y radiografías finales.



RESULTADOS

Se mantuvo perfil facial, se logró una sonrisa agradable, se descruzó la mordida posterior; se mejoró notoriamente el overbite inicial de -4 a 2 mm, se obtuvo un correcto overjet, una buena proyección del labio superior, líneas medias centradas, clase I molar y clase I canina bilateral (Figura 7A y B), buen paralelismo radicular (Figura 8A) y sin cambios radicales en sus valores cefalométricos (Figura 8B).

En la Tabla 1 podemos observar los valores cefalométricos iniciales y finales, al final del tratamiento se realizó una comparativa obteniendo excelentes resultados sin alterar por mucho los valores cefalométricos. En la Figura 7A se puede observar cómo a pesar del crecimiento notorio, se mantuvo el perfil facial del paciente, y se logró el cierre de la mordida abierta anterior sin alterar por mucho las inclinaciones de los dientes tanto superiores como inferiores. Por último, en la superposición observamos los cambios dentales y esqueletales del paciente (Figura 8C).



DISCUSIóN

El caso clínico describe el tratamiento de un paciente clase II división 1 esqueletal con colapso maxilar y mordida abierta anterior, con clase III molar izquierda, clase I molar derecha y clase canina no establecida. Se decidió realizar un tratamiento ortopédico inicial con la expansión maxilar rápida (EMR), ya que ha sido utilizada durante más de un siglo como un excelente tratamiento cuando se presenta una constricción maxilar.7 La mordida cruzada y el apiñamiento dental son dos signos clínicos fácilmente reconocibles que podrían ser el resultado de una deficiencia maxilar.18 El paciente presentaba hábitos funcionales como la posición anterior e inferior de la lengua por falta de desarrollo maxilar, el cual fue tratado con EMR y apoyado por el uso de un arco palatino con espolones, efectivos a la hora de utilizarlo en pacientes en crecimiento. Se eliminó la proyección lingual y llevó a la lengua a su correcta posición en la cavidad oral, permitiendo al mismo tiempo lograr el cierre de la mordida abierta anterior.

Coincidimos con la literatura7,17,18 que al diagnosticar un arco maxilar estrecho en pacientes jóvenes la mejor opción es la EMR, debido a que se encuentran en etapa de crecimiento y todavía en dentición mixta. Al usar la EMR se logra una corrección transversal estable al anclarse en los dientes primarios brindando resultados tanto dentales como esqueletales.17,19 De acuerdo a los estudios radiográficos, el paciente no presentó ninguna complicación en términos de reabsorción radicular.20

La posición alterada del maxilar con alteración concomitante de la oclusión también causa una abertura de la mordida. Hass A9 encontró que los dientes mandibulares tienden a seguir los dientes maxilares por una mayor inclinación bucal, lo cual nos puede ocasionar una mordida abierta anterior, y el aumento significativo de la inclinación bucal probablemente, debido a una combinación de varios factores como la fuerza excesiva de activación. En otro estudio Basciftci F19 informa del movimiento hacia abajo y adelante del maxilar con el uso de EMR, la inclinación bucal de los primeros molares superiores y la extrusión de las cúspides palatinas hacen que la mandíbula se mueva hacia abajo y hacia atrás. El movimiento da como resultado una disminución del SNB y un aumento en las dimensiones de la cara inferior,19 demostrando que la inclinación y extrusión de los molares son la causa de la apertura de la mordida y aumentan en las dimensiones verticales después del tratamiento con la EMR convencional. Se ha señalado que el aumento de la rigidez de un aparato reduce el componente rotacional de las fuerzas a lo largo del eje longitudinal de los dientes. En el presente estudio, para evitar la inclinación de los molares superiores y controlar la dimensión facial vertical, se utilizó un dispositivo EMR de tipo más rígido, es decir, con enlace acrílico modificado. Además, muchos autores han señalado que el uso de un mentón vertical u oblicuo durante la EMR o inmediatamente después de ella, es suficiente para mantener y controlar la dimensión vertical, y prevenir los efectos adversos.19

Diferimos con la literatura que menciona que puede haber apertura de mordida anterior por inclinación dental de molares superiores con conjunto por no hacer uso de una EMR con cobertura rígida.5,9,19,21 Ya que al llevar a cabo el tratamiento ortopédico usando el expansor Hass para realizar la EMR teniendo una mordida abierta anterior inicial (que se mantuvo hasta terminar el uso del expansor), se eliminó la mordida borde a borde posterior, resultando en una correcta oclusión de dientes maxilares y mandibulares.

Hass A,5,9 en 1965, informó la desaparición de las fuerzas vectoriales en los dientes posteriores inferiores en dirección lingual debido al movimiento lateral de los músculos bucales asociado con la expansión maxilar. Esta expansión cambia el equilibrio entre la lengua y los músculos de la mejilla a favor de la lengua.

Se ha determinado que las fuerzas de oclusión son alteradas por la expansión, de modo que el vector lingual normal de la fuerza en los dientes bucales mandibulares se pierde. El ensanchamiento del arco inferior se debe principalmente a la "descompensación", que se refiere al enderezamiento de los dientes posteriores inferiores, que a menudo se encuentran en una orientación más lingual debido al maxilar colapsado.9,18 En consecuencia, el movimiento lateral del maxilar ensancha el área de fijación de la musculatura bucal que da como resultado un cambio de equilibrio entre la lengua y la musculatura bucal,9 ayudando en la posición baja y anterior de la lengua. El equilibrio entre el maxilar y la mandíbula logran que la lengua tome su posición ideal en el paladar eliminando la mordida abierta, como ocurrió en nuestro paciente.

Cabe destacar que al evaluar los efectos del tratamiento a corto y largo plazo de la expansión rápida del maxilar en dos grupos de sujetos tratados con el dispositivo Haas, el expansor indujo una cantidad reproducible de expansión a nivel dentoalveolar en cualquier etapa de desarrollo. Sin embargo, a nivel esquelético, el grupo tratado tempranamente presentó aumentos significativamente mayores para el ancho nasal posterior (1.1 mm más que el grupo tratado más tarde), y con aumentos mayores, aunque no estadísticamente significativos, para el ancho maxilar (0.6 mm más que el grupo tratado más tarde).6



CONCLUSIONES

El tratamiento ortopédico con el expansor Hass seguido de una mecánica ortodóntica con brackets Alexander en un paciente con maloclusión clase II división 1 nos puede dar excelentes resultados. Hay que tomar en cuenta que la ortopedia en pacientes en crecimiento nos brindará un resultado mucho mejor que si se espera al término del mismo, donde tal vez no pudiéramos utilizar ciertas modalidades de tratamiento como el uso de aparatos funcionales.


REFERENCIAS (EN ESTE ARTÍCULO)

  1. Kirjavainen M, Hurmerinta K, Kirjavainen T. Facial profile changes in early class II correction with cervical headgear. Angle Orthod. 2007; 77 (6): 960-967.

  2. Ozbilek S, Yalcin A, Celik S. Effects of skeletally anchored class II elastics: a pilot study and new approach for treating class II malocclusion. Angle Orthod. 2017; 87 (4): 505-512.

  3. Cozzani M, Guiducci A, Mirenghi S, Mutinelli S, Siciliani G. Arch width changes with a rapid maxillary expansion appliance anchored to the primary teeth. Angle Orthod. 2007; 77 (2): 296-302.

  4. Holberg C, Holberg N, Schwenzer K, Wichelhaus A, Rudzki-Janson I. Biomechanical analysis of maxillary expansion in CLP patients. Angle Orthod. 2007; 77 (2): 280-287.

  5. Hass A. The treatment of maxillary deficiency by opening the midpalatal suture. Angle Orthod. 1965; 35 (3): 200-217.

  6. Bacetti T, Franchi, L, Cameron C, McNamara Jr J. Treatment timing for rapid maxillary expansion. Angle Orthod. 2001; 71 (5): 343-350.

  7. Lima R, Lima F, Lima A, De Oliveira A. Spontaneous correction of class II malocclusion after rapid palatal expansion. Angle Orthod. 2003; 73 (6): 745-752.

  8. Iseri H, Ozsoy S. Semirapid maxillary expansion - a study of long-term transverse effects in older adolescents and adults. Angle Orthod. 2004; 74 (1): 71-78.

  9. Hass A. Rapid expansion of the maxillary dental arch and nasal cavity by opening the midpalatal suture. Angle Orthod. 1961; 31 (2): 73-90.

  10. Pedra J, Quintao C, Macedo L, Almeida M. Severe anterior open-bite malocclusion orthognathic surgery or several years of orthodontics? Angle Orthod. 2006; 76 (4): 728-732.

  11. Cruz-Escalante M, Aliaga A, Soldevilla L, Janson G, Yatabe M, Voss R. Extreme skeletal open bite correction with vertical elastics. Angle Orthod. 2017; 87 (6): 911-923.

  12. Vela-Hernandez A, Lopez R, Garcia V, Paredes V, Lasagabaster F. Nonsurgical treatment of skeletal anterior open bite in adult patients: posterior build-ups. Angle Orthod. 2017; 87 (1): 33-40.

  13. Slaviero T, Freire T, Oltramari P, Ferreira A, Lupion M, Rodrigues M. Dimensional changes of dental arches produced by fixed and removable palatal cribs: a prospective, randomized, controlled study. Angle Orthod. 2017; 87 (2): 215-222.

  14. Van Dyck C, Dekeyser A, Vantricht E, Manders E, Goeleven A, Fieuws S et al. The effect of orofacial myofunctional treatment in children with anterior open bite and tongue dysfunction: a pilot study. Eur J Orthod. 2016; 38 (3): 227-234.

  15. Albogha H, Takahashi I, Sawan N.Early treatment of anterior open bite: comparison of the vertical and horizontal morphological changes induced by magnetic bite-blocks and adjusted rapid molar intruders. Korean J Orthod. 2015; 45 (1): 38-46.

  16. Kelly JE, Sanchez M, Van Kirk LE. An assessment of the occlusion of the teeth of children 6-11 years, United States. Vital Health Stat 11. 1973; 130: 1-60.

  17. Cozza P, Mucedero M, Baccetti T, Franchi L. Early orthodontic treatment of skeletal open-bite malocclusion: a systematic review. Angle Orthod. 2005; 75 (5): 707-713.

  18. Mcnamara J. Maxillary transverse deficiency. Am J Orthod Dentofacial Orthop. 2000; 117 (5): 567-570.

  19. Basciftci F, Karaman A. Effects of a Modified acrylic bonded rapid maxillary expansion appliance and vertical chin cap on dentofacial structures. Angle Orthod. 2002; 72 (1): 61-71.

  20. Dindaroglu F, Dogan S. Evaluation and comparison of root resorption between tooth-borne and tooth-tissue borne rapid maxillary expansion appliances: a CBCT study. Angle Orthod. 2016; 86 (1): 46-52.

  21. Asanza S, Cisneros G, Nieberg L. Comparison of Hyrax and bonded expansion appliances. Angle Orthod. 1997; 67 (1): 15-22.



AFILIACIONES

1 Especialidad en Ortodoncia. Universidad Autónoma de Guadalajara. Guadalajara, Jalisco, México.

2 Departamento de Clínicas Odontológicas Integrales, Instituto de Investigación en Odontología, Centro Universitario de Ciencias de la Salud. Universidad de Guadalajara. Guadalajara, Jalisco, México.



CORRESPONDENCIA

Jacqueline Adelina Rodríguez-Chávez. E-mail: jacqueline.rchavez@academicos.udg.mx




Recibido: Enero 2020. Aceptado: Abril 2020.

Figura 1
Figura 2
Figura 3
Figura 4
Figura 5
Figura 6
Figura 7
Figura 8
Tabla 1

2020     |     www.medigraphic.com

Mi perfil

C?MO CITAR (Vancouver)

Rev Mex Ortodon. 2020;8

ARTíCULOS SIMILARES

CARGANDO ...