medigraphic.com
ENGLISH

Revista Mexicana de Ortodoncia

ISSN 2395-9215 (Impreso)
Órgano Oficial de Difusión de la Facultad de Odontología de la UNAM
  • Mostrar índice
  • Números disponibles
  • Información
    • Información general        
    • Directorio
  • Publicar
    • Instrucciones para autores        
  • medigraphic.com
    • Inicio
    • Índice de revistas            
    • Registro / Acceso
  • Mi perfil

2020, Número 2

<< Anterior Siguiente >>

Rev Mex Ortodon 2020; 8 (2)


Corrección de clase II esqueletal con propulsor mandibular Forsus™. Reporte de caso clínico

Esparza-Pimentel, Isabel1; Fonseca López, Vanessa2; Rodríguez-Chávez, Jacqueline Adelina3; Paz Cristóbal, Alejandra Noemí3; Guerrero Velázquez, Celia3; García López, José de Jesús3
Texto completo Cómo citar este artículo Artículos similares

Idioma: Español/Inglés [English version]
Referencias bibliográficas: 20
Paginas: 125-134
Archivo PDF: 394.05 Kb.


PALABRAS CLAVE

Maloclusión clase II, propulsor mandibular Forsus™ 3M, tratamiento ortodóntico temprano.

RESUMEN

Introducción: La maloclusión clase II es generalmente resultado de una falta de desarrollo mandibular. Los aparatos funcionales de propulsión mandibular son una alternativa eficaz en el tratamiento temprano. Objetivo: Mejorar el perfil y avance mandibular para la corrección de la sobremordida horizontal; establecer clase I molar y clase canina bilateral, así como adecuada guía anterior; liberar apiñamiento; mantener sobremordida vertical y la distancia intermolar e intercanina de ambas arcadas. Caso clínico: Paciente femenino de 12 años de edad, con una retención de 10 a 25% de crecimiento esperado. Clase ll esqueletal por retrusión y posterorrotación mandibular, crecimiento vertical y sobremordida horizontal aumentada. Después de la alineación y nivelación, recibe cuatro meses de tratamiento con Forsus™. Resultados: Mejora del perfil, corrección de sobremordida horizontal con proinclinación de incisivos inferiores y ligero crecimiento mandibular. Relación molar y canina clase I, y posterorrotación mandibular. Conclusiones: El Forsus™ es un aparato funcional efectivo en el tratamiento de la maloclusión clase II de pacientes con remanente de crecimiento, cuyos efectos son mayormente dentoalveolares.



INTRODUCCIóN

La maloclusión clase II puede ser resultado de múltiples combinaciones de componentes dentales y esqueletales,1 siendo la retrusión esqueletal mandibular la característica más común.1,2 De acuerdo con estos hallazgos, los tratamientos encaminados a cambiar la cantidad y dirección del crecimiento mandibular son más apropiados que aquéllos que buscan restringir el crecimiento del maxilar.1

Los efectos de los aparatos funcionales para la corrección de maloclusión clase II son mayormente dentoalveolares,3-5 como la proinclinación de incisivos inferiores, que permite incrementar la longitud del arco mandibular.6

La decisión de realizar un tratamiento con aparatos funcionales debe hacerse considerando tanto los beneficios como los efectos adversos que puedan causar al paciente.7

Se han realizado diversos estudios para comparar los efectos del Forsus™ con otras mecánicas, así como con aparatos funcionales fijos y removibles durante la corrección de la maloclusión clase II.3,8-11 Por ejemplo, se genera una menor respuesta dentoalveolar con el aparato funcional Forsus™ que con el PowerScope.8 El activador de Andresen, a pesar de demostrar mayores cambios esqueletales, produce la misma estimulación en el crecimiento mandibular e inhibición del crecimiento maxilar que el Forsus™,9 con cambios similares en el perfil, siendo ambos efectivos en el tratamiento de este tipo de maloclusión. En comparación con el Twin Block, ambos cuentan con una tasa de efectividad de 80%, aunque el efecto del Twin Block es mayormente esqueletal, mientras que el del Forsus™ es mayormente dentoalveolar.10 Se obtiene un mayor éxito con el Forsus™ para la corrección de la relación clase II unilateral, de la sobremordida horizontal y de la desviación de línea media, que con el uso de elásticos intermaxilares.11

Los objetivos principales del tratamiento con Forsus™ son proporcionar una estimulación en el crecimiento mandibular11,12 y una inhibición del crecimiento del maxilar.12,13 Dentro de sus efectos esqueletales se encuentra el incremento de la altura facial inferior posterior, la rotación mandibular en sentido antihorario,12 el aumento de la altura del plano oclusal,14 y mejoría en los ángulos ANB y SNA.15 Entre los efectos dentoalveolares mayormente reportados se encuentran la protrusión,12-14 proinclinación,9,10,12,14,15 intrusión12,14 de los incisivos inferiores, retroinclinación de los incisivos superiores, distalización,9,14 la intrusión de primeros molares superiores y la reducción del overjet y overbite.12

Otros de los beneficios que pueden conseguirse por medio de la terapia con el Forsus™ son el mejoramiento del perfil15,16 y la obtención del aumento del espacio de la vía aérea faríngea en pacientes clase II división 1 con mandíbula retrognática.17

Los estadios de maduración de las vértebras cervicales descritos por Lamparski fueron modificados por Hassel y Farman en 1995,18 quienes establecieron seis estadios de maduración. El cuarto fue llamado Desaceleración debido a que el crecimiento comienza a desacelerar dramáticamente, con 10 a 25% del crecimiento adolescente esperado. Los bordes inferiores de C2, C3 y C4 presentan una concavidad bien definida y los cuerpos vertebrales de C3 y C4 comienzan a adquirir una forma cuadrada.18 De acuerdo con la literatura, el Forsus™ permite una corrección más efectiva de la relación molar clase II durante el estadio de maduración vertebral C3-C4, que en el estadio C5-C6 que es un periodo de crecimiento mandibular de mayor velocidad.19

Se presenta un caso de corrección de clase II dental y esquelética de una paciente de 12 años de edad con remanente de crecimiento, mediante el aparato funcional Forsus™.



CASO CLíNICO

Diagnóstico: paciente femenino de 12 años, con motivo de consulta "porque tengo la mandíbula muy atrás"; biotipo dólico-facial, cara ovalada, nariz larga, labios delgados, tercio inferior y quinto medio aumentados, línea interpupilar e intercomisural inclinadas y coincidentes, perfil convexo, incompetencia labial, sonrisa media y paralela, se exponen sólo dientes superiores al sonreír (Figura 1A). En el análisis intraoral se observa dentición permanente, lesiones iniciales de caries en primeros y segundos molares superiores e inferiores, ligero apiñamiento anteroinferior, relación molar y canina clase II de Angle y sobremordida horizontal aumentada (Figura 1B).

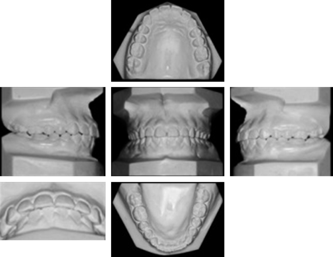
El análisis de modelos arroja arcos continuos y ovalados, línea media inferior desviada 2 mm a la derecha, sobremordida horizontal de 5 mm y vertical de 3.5 mm, línea de Spee de 2 mm, discrepancia de longitud de arco superior de -0.5 mm e inferior de -3 mm, análisis de Bolton con exceso maxilar de 1.7 mm de 6-6 y de 0.5 mm de 3-3.

En la radiografía panorámica se observa posible obstrucción de vías aéreas superiores, presencia de caries de terceros molares, relación corono-radicular 1:1.5, y raíces de los órganos dentarios 12 y 22 inclinadas hacia mesial (Figura 2A). No se encontraron alteraciones en la articulación temporomandibular.

Se realizó el trazado cefalométrico de Steiner, con el programa Dolphin Imaging versión 9.0.00.19, sobre la radiografía lateral de cráneo inicial (Figura 2B y C). Se observa clase II esqueletal por ligera protrusión maxilar, posterorrotación y retrusión mandibular, patrón de crecimiento vertical, incisivos superiores e inferiores proinclinados y protruidos (Tabla 1). Asimismo, se aprecia el cuarto estadio de maduración esqueletal, según Hassel y Farman, indicando un remanente de crecimiento adolescente esperado de 10-25%.

Objetivos del tratamiento: mejorar el perfil y avance mandibular para la corrección de la sobremordida horizontal; establecer clase I molar y clase canina bilateral, así como adecuada guía anterior; liberar apiñamiento; mantener sobremordida vertical y la distancia intermolar e intercanina de ambas arcadas.

Plan de tratamiento: brackets superiores e inferiores Alexander 0.018", bandas superiores con tubo doble e inferiores con tubo sencillo. Alineación y nivelación con secuencia de arcos 0.014" Nitinol (NiTi), 0.014" acero inoxidable (SS), 0.016" SS, 0.016" × 0.022" SS y 0.017" × 0.025" SS. Colocación de aparato Forsus™ (cuatro a seis meses). Etapa de retención al retirar aparatología de ortodoncia.

Alternativas de tratamiento: brackets convencionales. Extracciones de primeros premolares superiores, retracción de sector anterior y asentamiento. Etapa de retención al retirar aparatología de ortodoncia.

Progresión del tratamiento: colocación de bandas y brackets superiores e inferiores con arco 0.014" NiTi (Figura 3A). Secuencia de arcos para alineación y nivelación hasta llegar a arcos 0.017" × 0.025" SS y toma de radiografía panorámica para evaluar el paralelismo radicular.

A los nueve meses del inicio del tratamiento se cinchan los arcos 0.017" × 0.025" SS, se liga cada arco en forma de 8 de 6 a 6; se inserta un arco transpalatino y el aparato Forsus™ (Figura 3B).

Se realiza la revisión continua del aparato de propulsión durante cuatro meses, después se retira el Forsus™ y se indican elásticos con vector clase II de ¼ 4.5 oz (Figura 4).

Cambio de arco superior por arco de torque progresivo y suspensión de elásticos, al observarse ligera recidiva se indican nuevamente elásticos vector clase II de ¼ 6.5 oz. Se retira la aparatología tras un año cinco meses de tratamiento. Para la retención se indica plano de mordida superior y se cementa retenedor inferior fijo de canino a canino.



RESULTADOS

Se mejoró el perfil y la estética de la sonrisa (Figuras 5A y 6A), se corrigió la sobremordida horizontal mediante proinclinación de 3o de incisivos inferiores, lo cual puede verificarse en el valor del IMPA de la Tabla 1, y en el ligero crecimiento mandibular de la paciente (Figuras 6B y 7C). El maxilar descendió como consecuencia del crecimiento de la paciente, y se observó posterorrotación y avance mandibular (Figura 7C). Se obtuvo una disminución de 2o en ANB (Tabla 1).

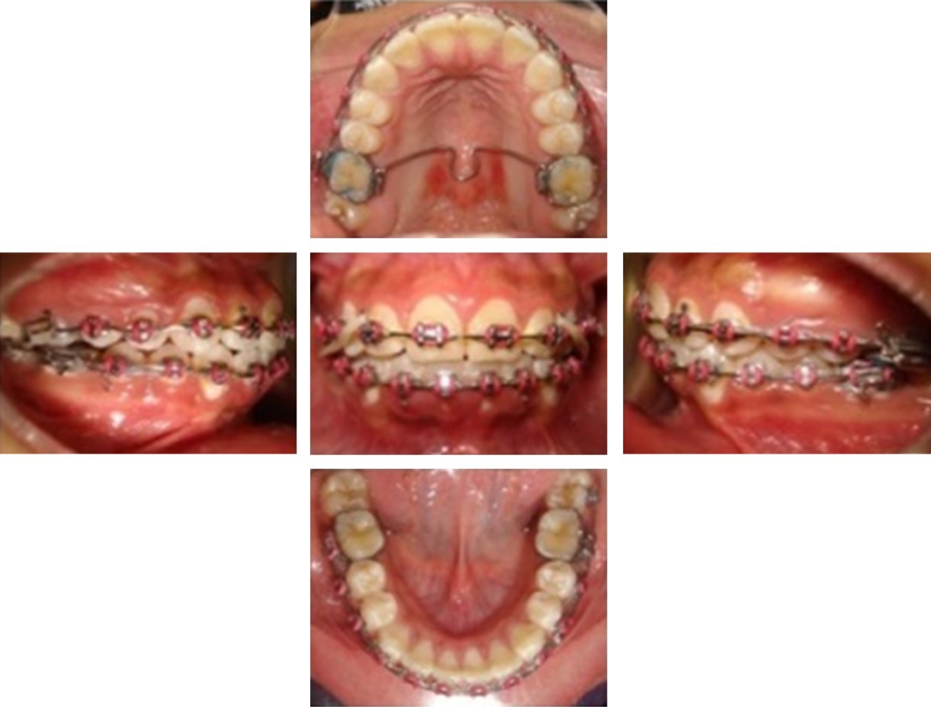
Se estableció la relación molar y canina clase I (Figuras 5B y 8), guía anterior, liberación de apiñamiento, nivelación y ligera extrusión de molares superiores que mejoraron la sobremordida vertical.

Los resultados faciales anteroposteriores fueron favorables; sin embargo, no pudo evitarse el aumento del patrón dólico-facial como consecuencia de las mecánicas con elásticos que generan posterorrotación mandibular. Puede observarse en la radiografía lateral de cráneo final y superposición (Figuras 7B y C), así como el paralelismo radicular en la radiografía panorámica (Figura 7A). La paciente y su familia se mostraron muy satisfechos con los resultados.



DISCUSIóN

El momento ideal para tratar las maloclusiones clase II es la adolescencia, cerca del pico de crecimiento.20 Mediante la propulsión mandibular puede conseguirse un mejor perfil facial a partir de cambios mayormente dentoalveolares en el arco inferior.16

Dentro de las opciones de tratamiento para este tipo de maloclusión se encuentra el Forsus™, que mantiene la mandíbula en constante posición anterior y que en diferentes publicaciones han reportado sus efectos en pacientes clase II con deficiencia mandibular.2,5,13,16,20

La paciente de 12 años presentada en este trabajo contaba con una clase II esqueletal, un ANB inicial de 6o y un perfil convexo. El tratamiento consistió en la propulsión mandibular con Forsus™ y los principales cambios obtenidos durante la corrección fueron la proinclinación de los incisivos inferiores, que permitió la reducción de la sobremordida horizontal, y un perfil facial significativamente más estético. Goracci y Cacciatore20 obtuvieron también una mejoría en la sobremordida horizontal y la estética en un paciente de seis años y nueve meses de edad con el tratamiento temprano con Forsus™, el cual aún presentaba remanente de crecimiento como nuestra paciente.

En el caso reportado por Jain y su equipo2 de una paciente de 14 años, también con remanente de crecimiento, 10 mm de sobremordida horizontal y un ANB de 7o, se consiguió una corrección de las relaciones dentoesqueletales, con disminución de 3o en el ANB y un mejor perfil facial. Dicha paciente experimentó menor proinclinación de los incisivos, lo cual puede atribuirse a la utilización de un arco seccional con torque, previo a la colocación del Forsus™.

Para un mayor control de los efectos dentoalveolares secundarios, como la marcada proinclinación de incisivos inferiores, Turkkahram y colegas13 recomiendan la utilización del Forsus™ con anclaje óseo.

Por último, en nuestro caso hubiera sido ideal una tomografía antes y después del tratamiento para evaluar si fue generada remodelación condilar por estímulo del aparato ortopédico, por lo cual se recomienda para futuros estudios.



CONCLUSIONES

En pacientes con maloclusión clase II por retrognatismo mandibular que presentan ligero remanente de crecimiento, el tratamiento con propulsor mandibular proporciona resultados favorables en la corrección de la sobremordida horizontal, además de mejorar la estética en el perfil del paciente.

El Forsus™ puede ser un método de corrección para la maloclusión II, con efectos principalmente dentoalveolares, que mejora el perfil de los pacientes en crecimiento.


REFERENCIAS (EN ESTE ARTÍCULO)

  1. McNamara JA. Components of class II malocclusion in children 8-10 years of age. Angle Orthod. 1981; 51 (3): 177-202.

  2. Jain AB, Patil AK, Ganeshkar SV, Sangamesh B, Chugh. Non-extraction treatment of skeletal class II malocclusion. Contemp Clin Dent. 2012; 3 (3): 334-337.

  3. Yin K, Han E, Guo J, Yasumara T, Grauer D, Sameshima G. Evaluating the treatment effectiveness and efficiency of carrier distalizer: a cephalometric and study model comparison of class II appliances. Prog Orthod. 2019; 20: 24.

  4. Elkordy SA, Abouelezz AM, Fayed MM, Attia KH, Ishaq RA, Mostafa YA. Three-dimensional effects of the mini-implant achored forsus fatigue resistant device: a randomized controlled trial. Angle Orthod. 2016; 86 (2): 292-305.

  5. Jiménez-Valdivia LM, Fitzcarrald FD, Watanabe-Kanno GA, Gutierrez-Tapia G. Eficiencia del forsus en el tratamiento de maloclusión clase II. Rev Cient Odontol. 2016; 4 (2): 561-567.

  6. Nelson C, Harkness M, Herbison P. Mandibular changes during functional appliance treatment. Am J Orthod Dentofac Orthop. 1993; 104: 153-161.

  7. Bertl MH, Mandl C, Crismani AG. Do functional orthodontic appliances stimulate mandibular growth in class II division 1 patients? J Stomat Occ Med. 2011; 4: 45-53.

  8. Arora V, Sharma R, Chowdhary S. Comparative evaluation of treatment effects between two fixed functional appliances for correction of Class II malocclusion: A single center, randomized controlled trial. Angle Orthod. 2018; 88 (3): 259-266.

  9. Bilgic F, Basaran G, Hamamc? O. Comparison of forsus FRD EZ and Andresen activator in the treatment of class II, division 1 malocclusions. Clin Oral Invest. 2015; 19 (2): 445-451.

  10. Giuntini V, Vangelisti A, Masucci C, Defraia E. McNamara JA, Franchi L. Treatment effects produced by the twin-block appliance vs the forsus fatigue resistant device in growing class II patients. Angle Orthod. 2015; 85: 784-789.

  11. Aras I, Pasaoglu A. Class II subdivision treatment with the forsus fatigue resistant device vs intermaxillary elastics. Angle Orthod. 2017; 87 (3): 371-376.

  12. Sakuno AC, Barbisan AP, Akio F, Trivino T, Guedes PE, Torres FC. Tomographic evaluation of dentoskeletal changes due to the treatment of class II malocclusion with Forsus appliance. J Oral Biol Craniofac Res. 2019; 9 (3): 277-279.

  13. Turkkahraman H, Kocabas S, Findik Y. Effects of miniplate anchored and conventional forsus fatigue resistant devices in treatment of class II malocclusion. Angle Orthod. 2016; 86:1026-1032.

  14. Linjawi A, Abbassy MA. Dentoskeletal effects of the fosrsusTM fatigue resistance device in the treatment of class II malocclusion: a systematic review and meta-analysis. J Orthodont Sci. 2018; 7: 1-13.

  15. Dada DM, Galang-Boquiren MT, Viana G, Obrez A, Kusnoto B. Treatment of forsus fatigue resistant device on class II malocclusion cases: a cephalometric evaluation. J World Fed Orthod. 2015; 4: 14-17.

  16. Barth FA, Rodrigues R, De Almeida M, Pedron PV, Freire TM, De Castro AC. Perception of facial profile changes after treatment with forsus fatigue-resistant device in Class II patients. J World Fed Orthod. 2019; 8: 73-77.

  17. Temani P, Jain P, Rathee P, Temani R. Volumetric changes in pharyngeal airway in class II division 1 patients treated with forsus-fixed functional appliance: A three-dimensional cone-bean computed tomography study. Contemp Colin Dent. 2016; 7 (1): 31-35.

  18. Hassel B, Farman AG. Skeletal maturation evaluation using cervical vertebrae. Am J Orthod Dentofac Orthop. 1995; 107 (1): 58-66.

  19. Servello DF, Fallis DW, Alvetro L. Analysis of class II patients, successfully treated with the straight-wire and Forsus appliances, based on cervical vertebral maduration status. Angle Orthod. 2015; 85 (1): 80-86.

  20. Goracci C, Cacciatore G. Early treatment of a severe class II malocclusion with the forsus fatigue resistant device. Eur J Paediatr Dent. 2017; 18 (3): 199-207.



AFILIACIONES

1 Alumna de la Especialidad en Ortodoncia. Departamento de Clínicas Odontológicas Integrales. Centro Universitario de Ciencias de la Salud. Universidad de Guadalajara, México.

2 Egresada de la Especialidad en Ortodoncia. Departamento de Clínicas Odontológicas Integrales. Centro Universitario de Ciencias de la Salud. Universidad de Guadalajara, México.

3 Profesor de la Especialidad en Ortodoncia. Departamento de Clínicas Odontológicas Integrales. Centro Universitario de Ciencias de la Salud. Universidad de Guadalajara, México.



CORRESPONDENCIA

José de Jesús García López. E-mail: pepegalop@yahoo.com.mx




Recibido: Marzo 2021. Aceptado: Junio 2021.

Figura 1
Figura 2
Figura 3
Figura 4
Figura 5
Figura 6
Figura 7
Figura 8
Tabla 1

2020     |     www.medigraphic.com

Mi perfil

C?MO CITAR (Vancouver)

Rev Mex Ortodon. 2020;8

ARTíCULOS SIMILARES

CARGANDO ...