medigraphic.com
ENGLISH

Revista Mexicana de Ortodoncia

ISSN 2395-9215 (Impreso)
Órgano Oficial de Difusión de la Facultad de Odontología de la UNAM
  • Mostrar índice
  • Números disponibles
  • Información
    • Información general        
    • Directorio
  • Publicar
    • Instrucciones para autores        
  • medigraphic.com
    • Inicio
    • Índice de revistas            
    • Registro / Acceso
  • Mi perfil

2020, Número 2

<< Anterior

Rev Mex Ortodon 2020; 8 (2)


Transposición bilateral de caninos inferiores: reporte de un caso clínico

Garibay Hernández, Beatriz Catalina1; Rizo Álvarez, Diana2; Rodríguez-Chávez, Jacqueline Adelina3; Guerrero Velázquez, Celia3; Villanueva Betancourt, Daniel3; Hernández Roldán, Erik3
Texto completo Cómo citar este artículo Artículos similares

Idioma: Español/Inglés [English version]
Referencias bibliográficas: 14
Paginas: 145-155
Archivo PDF: 464.98 Kb.


PALABRAS CLAVE

Transmigración de caninos inferiores, transposición dental, tracción bilateral de caninos inferiores, mecánica de cupla.

RESUMEN

Introducción: La transposición dental es un término utilizado para nombrar los casos extremos donde hay una erupción ectópica, la cual provoca un cambio en la colocación natural de los dientes permanentes. Caso clínico: Paciente femenino de 12 años, que refiere "mis dientes me salieron por atrás". Presenta clase I esqueletal con tendencia a clase III por una hipoplasia maxilar, clase III molar derecha, clase canina no establecida, perfil recto y dentición mixta. Tratamiento con aparatología fija Alexander 0.018", topes (bite turbo) en incisivos centrales superiores. Fase de alineación y nivelación: se indicaron extracciones de caninos temporales, colocación de botones en caninos inferiores para comenzar con la tracción de caninos hacia al arco y mecánica de cupla. Fase de trabajo: incorporación del cantilever para verticalización del segundo molar inferior derecho. Fase de detallado y finalización: uso de elásticos de 3/16 de 3.5 onzas en triángulo, finalizando con el retiro de aparatología y colocación de retención. Resultados: Después de dos años cuatro meses los objetivos fueron cumplidos, además de la paralelización del segundo molar inferior derecho. Conclusión: La transposición dental tiene diferentes etiologías, por lo que su correcto diagnóstico es importante para poder tener éxito el tratamiento.



INTRODUCCIóN

Los caninos son los dientes más largos, resistentes y piezas fundamentales en la oclusión. Forman parte crucial de la estética de la cara, donde proporciona armonía en la zona anterior, complementan la línea de la sonrisa y el surco nasogeniano, además de poseer una valiosa función cuando se encuentran en su correcta posición. Los caninos inferiores permanentes erupcionan aproximadamente a los 10.6 años aproximadamente y su raíz se completa a los 12.9 años de edad.1-3

Los caninos tienen un alto índice de impactación, por lo que requieren de atención especial. Se presentan comúnmente impactados en el maxilar, mientras que es menos habitual que aparezcan en el arco mandibular y es menos frecuente que se presente un canino mandibular emigrando a otro sitio de la mandíbula. Este fenómeno ha sido denominado transmigración o movimiento de un diente no erupcionado que ha atravesado la línea media sin la influencia de ninguna entidad patológica, por lo cual el diente pudiera permanecer impactado o también pudiera erupcionar en su nueva posición.3,4

La transposición dental es un término utilizado para nombrar los casos extremos donde hay una erupción ectópica, la cual provoca un cambio natural en la colocación habitual de los dientes permanentes. En los casos de transposición dental en caninos mandibulares, raramente llegan a erupcionar y a generar una transposición, ya que en la mayoría de los casos los caninos permanecen como dientes impactados.5

La etiología de transmigración dental o impactación dental es muy variada y aún no ha sido determinada; no obstante, se atribuye a factores locales o generales o de un patrón genético. Asimismo, puede ser el producto de una alteración del desarrollo dental, resultando una malposición en la lámina dental durante la etapa embriológica.3,6

Para evaluar, ya sea una transposición o impactación dental, es importante su clasificación. Es por ello que se deben tomar en cuenta los siguientes puntos: primero se determina si la alteración es en el maxilar o en la mandíbula; segundo, se observa si es unilateral o bilateral, del lado izquierdo y/o derecho; tercero, se examina la profundidad con referencia al plano oclusal; cuarto, se analiza el estado radicular; quinto se analiza la angulación, la presentación en central, vestibular, lingual y/o palatal, y se observa si ha generado daño a los dientes próximos.2

El tratamiento en una transmigración dental puede ser complejo y dependiendo de ello, pudiera ser un tratamiento prolongado, por lo que se sugiere la extracción en casos con mal pronóstico.7

Para lograr el éxito en la alineación de los caninos hacia la arcada dental, se han sugerido algunos factores que llevan a un correcto tratamiento, como lo son: la cooperación por parte del paciente; la edad, porque puede requerir mayor tiempo de tratamiento; el espacio o apiñamiento en la arcada (ya que se necesitará espacio para permitir la nueva ubicación del canino en la arcada) y, por último, la posición del canino. Por consiguiente, es de gran importancia llevar a cabo un buen diagnóstico.6

Es recomendable basar el diagnóstico utilizando dos tipos de evaluaciones: clínica y radiográfica. Dentro de la clínica debemos realizar una correcta historia clínica, inspección visual y palpación. Para la evaluación radiográfica existen varias opciones, entre ellas las radiografías en dos dimensiones como periapicales, oclusales y panorámicas, pero presentan desventajas debido a su distorsión y superposición en las estructuras. Otro mecanismo es la tomografía computarizada (TC) que proporciona las estructuras en tres dimensiones, su desventaja consiste en que la radiación es más intensa que en una 2D. También existe la cone-beam tomografía computarizada (CBCT) que es de menor radiación y proporciona las estructuras en superposiciones en el plano sagital, axial y coronal.6

A continuación, se presenta el tratamiento de una paciente con maloclusión clase I esqueletal y con erupción bilateral de caninos mandibulares por lingual, tratada con ortodoncia y utilizando aparatología Alexander.



REPORTE DE CASO CLíNICO

Diagnóstico

Paciente femenino de 12 años de edad, sin antecedentes médicos, cuyo motivo de consulta es: "Mis dientes salieron por atrás".

La paciente presenta un perfil recto, patrón facial braquifacial, tercio inferior disminuido, labio delgado, asimetría facial en ojo, ceja; ala de la nariz y mandíbula más bajos en el lado izquierdo y la nariz desviada a la derecha (Figura 1A).

En el análisis intraoral la paciente presenta dentición mixta, clase III molar derecha, clase canina no establecida, forma de arco superior e inferior ovalados, frenillo lingual corto, dientes medianos y cuadrados, caninos inferiores fuera del arco por lingual, caninos temporales presentes en los cuatro cuadrantes (Figura 1B).

Al analizar los modelos de estudio podemos apreciar la línea media inferior desviada 2 mm a la derecha, sobremordida horizontal 0.5 mm, sobremordida vertical 3 mm y la curva de Spee 3.5 mm. El análisis de Bolton muestra exceso mandibular de 2 mm, en anterior un exceso mandibular de 2.4 mm, discrepancia de longitud de arco de 5 mm superior y 6 mm inferior con apiñamiento ligero anterior superior e inferior (Figura 2).

En la radiografía panorámica se observan senos paranasales permeables, cornete izquierdo con hipertrofia, ramas mandibulares simétricas, cóndilos simétricos, niveles de crestas óseas sanas, presencia de los cuatro caninos temporales, caninos superiores y los cuatro órganos dentarios de los segundos molares permanentes sin erupcionar, gérmenes dentarios de terceros molares en los cuatro cuadrantes, y proporción corona-raíz con relación de 1:1 (Figura 3A). En la radiografía lateral de cráneo (Figura 3B) se observan las vías aéreas permeables y perfil recto.

Mediante la cefalometría digital de Steiner, realizada con el software Dolphin versión 9.0 (Tabla 1 y Figura 3B), se diagnosticó como una clase I esqueletal con tendencia a clase III por maxilar retruido, crecimiento horizontal, patrón braquifacial, incisivos superiores retroinclinados, incisivos inferiores retroinclinados y ligeramente retruidos.

Objetivos de tratamiento: mantener clase molar izquierda y obtener clase I molar derecha, traccionar caninos al arco mandibular y establecer guía canina, mantener forma de arco ovalada, eliminar la curva de Spee, lograr una sobremordida horizontal y vertical, y mantener perfil.

Alternativas de tratamiento
  • 1. Los microimplantes tienen entre sus funciones la tracción horizontal en caninos y el anclaje para la verticalización de molares. Sus ventajas son carga inmediata, no requiere osteointegración, no hay necesidad de que el crecimiento esté completo, el acto quirúrgico de colocación y retirado es sencillo, pero su desventaja es el costo.
  • 2. Monkey hooks es un auxiliar que consiste en un bucle abierto en cada extremo. Se utiliza como herramienta en los caninos impactados, direccionan el diente a su posición correcta, su ventaja es que pueden colocarse varios ganchos en forma de cadenas elásticas ofreciendo un control preciso y su desventaja es el costo.

Tratamiento y progresión

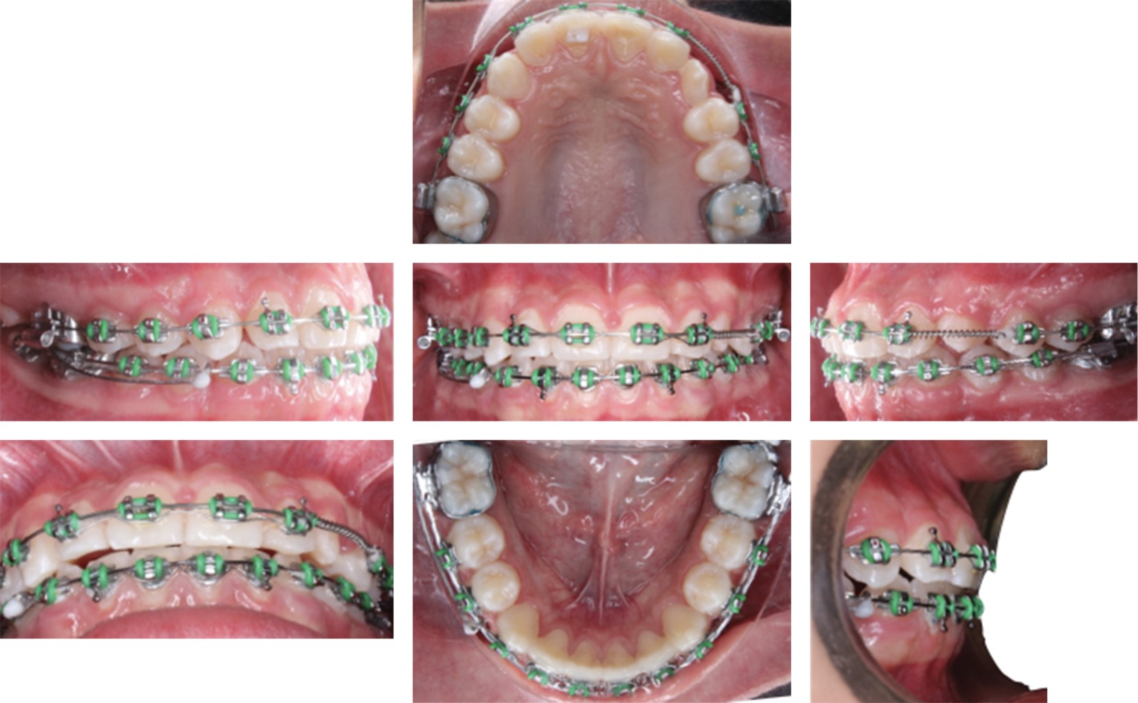
Se decidió realizar el tratamiento sin extracciones con aparatología fija Alexander 0.018", colocación de bite turbo en incisivos centrales superiores para levantar la mordida anterior, arco superior e inferior 0.016" nitinol. Se derivó a interconsulta para extraer caninos temporales. Se cambió el arco inferior a 0.016" acero, cementación de botones en caninos inferiores para iniciar con la fase de alineación y nivelación dental junto con la tracción de caninos para integrarlos al arco (Figura 4). Colocación de arco 0.012" nitinol inferior, cementación de bracket en canino inferior izquierdo y botón por lingual de canino inferior derecho para enderezar el canino con mecánica de cupla.

La fase de trabajo comenzó con arcos 0.016" × 0.022" acero superior y nitinol en inferior, posteriormente se puso un arco 0.017" × 0.025" acero superior, y la colocación de un resorte abierto entre incisivo lateral y primer premolar superior izquierdo manteniendo el espacio del canino. Se colocó tubo inferior derecho en segundo molar y se incorporó un cantilever de titanio molibdeno (TMA) para la corrección de posición (Figura 5). Remoción de resorte abierto y cantilever, y la colocación de bracket en canino superior izquierdo.

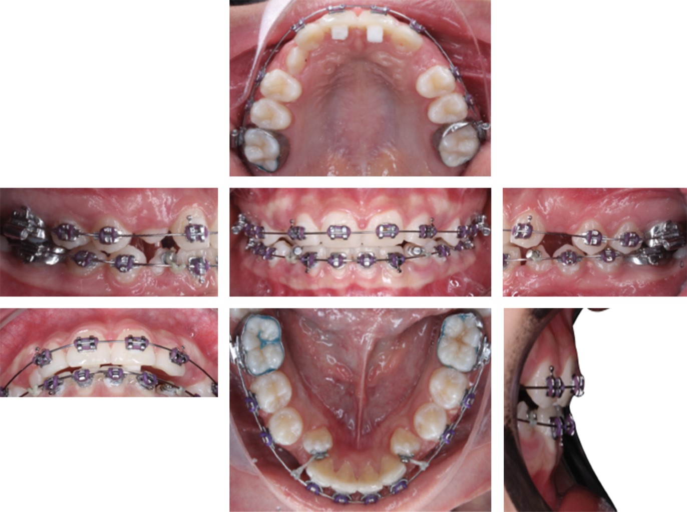
En la etapa de detallado y finalización se colocó un arco 0.016" × 0.022" nitinol superior, se realizó la radiografía panorámica para la paralelización de raíces. Se indicó el uso de elásticos de 3/16 de 3.5 onzas en triángulo, se retiró la aparatología (Figura 6A), se indicó Essix calibre 35 y se realizó interconsulta con maxilofacial para el retiro de terceros molares.



RESULTADOS

Se obtuvo una ligera proyección del labio superior e inferior en el perfil, la cual se asoció al remanente de crecimiento. Intraoralmente se consiguió la posición correcta de los caninos dentro de la arcada, estableciendo una guía canina y clase I molar, adecuada sobremordida horizontal y vertical, se mantuvieron las formas de arcos ovaladas (Figura 6B), se eliminó la curva de Spee y la verticalización del segundo molar derecho (Figura 7A). En el trazado cefalométrico el mayor cambio fue en los incisivos inferiores, ya que se encontraban retruidos (Figura 7B) y se obtuvo un IMPA de 95.7o (Tabla 1). En la superposición se pueden analizar los cambios esqueletales, dentales y faciales del paciente (Figura 7C). Con los cambios realizados, la paciente mostró mayor seguridad y satisfacción al sonreír.



DISCUSIóN

El caso clínico presentado describe el tratamiento de una paciente clase I esqueletal, con una transposición dental de los caninos inferiores hacia lingual y la mesioangulación del molar inferior izquierdo. La transmigración de caninos mandibulares es una anomalía poco común,7 es por ello que hasta la fecha se continúa estudiando.

En un estudio elaborado por Al-Abdallah y colaboradores,8 en el que analizaron la presencia de anomalías dentales en 3,315 pacientes, se reportó un solo caso de transposición dental mandibular unilateral. Qadeer M y su equipo9 llevaron a cabo un estudio demográfico para comprender la prevalencia y los patrones de los caninos mandibulares impactados en 3,469 pacientes. Se encontraron 20 pacientes con esta patología, de los cuales sólo 15% eran bilaterales, resaltando que todos eran hombres y sólo 0.09% era transmigración. Queda clara la particularidad de la presencia de esta anomalía y la gran significancia e interés clínico del presente estudio, ya que se muestra a paciente femenino con transmigración dental bilateral de caninos en la arcada inferior.

Por otra parte, coincidimos con Sinko K y colegas10 en que para poder determinar el tipo de tratamiento a realizar en cada paciente, se deben tomar en cuenta las características de la transposición dental, como lo son: la patología asociada, la edad del paciente, las complicaciones y la posición de la raíz. Con ello, se visualiza una opción de tratamiento y se trata de evitar que el diente permanente sea removido quirúrgicamente. Además, se concuerda en que el canino inferior deciduo debe permanecer en su posición y que sea retirado antes de la alineación final. Posteriormente, se coloca el bracket en el canino permanente para así lograr una correcta nivelación.

Existen diferentes técnicas para el tratamiento en una transmigración, como lo reportan Jaisinghani AP y su grupo,11 concordando con ellos; a pesar de que la mecánica utilizada en su caso no fue similar a la empleada por Sinko K y colaboradores, se puede especular que la implementación de una correcta biomecánica puede llevar los caninos transmigrados a oclusión.

Díaz-Sánchez RM y su equipo comentaron la opción de la extracción de dientes que se encuentran en transposición como tratamiento;12 no obstante, estamos en desacuerdo con ellos, porque en algunos casos se puede lograr la nivelación y la tracción realizando un buen diagnóstico y plan de tratamiento.

En el estudio de Sinko K y colegas10 también nos mencionan el caso de un canino inferior por lingual, se empleó la mecánica de tracción con microimplantes con un tiempo de tratamiento de dos años y 2.5 meses. Haciendo una comparación con el caso clínico presentado, el tiempo de tratamiento fue de dos años y cuatro meses; resaltando que no se presenta diferencia significativa, aun cuando no se utilizó anclaje esquelético.

Kim KJ y su grupo13 reportan que con el uso de microimplantes en molares posicionados de manera horizontal se logra tener control y llevar al molar a su posición correcta, ya que el posicionamiento de los molares impactados horizontalmente se convierte en un reto en la praxis por la limitación y control que se pueda tener, en nuestro caso no se eligió el uso de microimplantes, debido a que el molar se encontraba con una ligera mesioangulación.

Para solucionar dicho reto, Loks A y colegas14 mencionan que la verticalización en los dientes es necesaria para buscar restablecer la oclusión, por lo cual presentan diferentes mecánicas para poder realizarla en molares, tomando en cuenta que se deben evitar los efectos secundarios que pudieran afectar en el resultado final. Por ese motivo, decidimos utilizar un cantilever TMA, que permite las activaciones por más tiempo con menor fuerza; se utilizaron los dientes anteriores como anclaje, evitando así la extrusión no deseada y obteniendo la verticalización del molar a nivel del plano oclusal, junto con un equilibrio en la oclusión.



CONCLUSIóN

La transposición dental en caninos inferiores es una anomalía poco frecuente, pero cuando llega a presentarse, en la mayoría de los casos se encuentran los caninos impactados y en menor frecuencia en una erupción ectópica. Lo relevante del caso expuesto es la erupción ectópica de ambos caninos en lingual, por lo que se tomó la decisión de utilizar aparatología Alexander para la tracción bilateral dental, con la que se logró el control de torque. La utilización del alambre TMA para el cantilever resultó ventajosa en la verticalización de molares, debido a sus grandes propiedades, obteniendo la paralelización. Con todos estos factores a favor, concluimos el caso con una buena relación oclusal.


REFERENCIAS (EN ESTE ARTÍCULO)

  1. Proffit W. Contemporary orthodontics. CV Mosby Company, St Louis, Toronto, London. 1986.

  2. Canut JA. Ortodoncia clínica y terapéutica. 2ª ed. Masson, 2000.

  3. Joshi MR. Transmigrant mandibular canines: a record of 28 cases and a retrospective review of the literature. Angle Orthod. 2001; 71 (1): 12-22. doi: 10.1043/0003-3219(2001)071<0012:TMCARO>2.0.CO;2.

  4. Latorre AVHFL. Un método eficaz de tracción y enderezamiento de dientes incluidos. Ortodoncia Española. 2001; 41 (4): 287-296.

  5. Peck S, Peck L, Kataja M. Mandibular lateral incisor-canine transposition, concomitant dental anomalies, and genetic control. Angle Orthod. 1998; 68 (5): 455-466. doi: 10.1043/0003-3219(1998)068<0455:MLICTC>2.3.CO;2.

  6. Egido S, Arnau C, Juárez I, Jané-Salas E, Marí A, López-López J. Caninos incluidos, tratamiento odontológico. Revisión de la literature. Av Odontoestomatol. 2013; 29 (5): 227-238 doi: 10.4321/S0213-12852013000500002.

  7. Zerón A. Clasificación de caninos retenidos y su aplicación clínica. Rev ADM. 2001; 58 (1): 16-20.

  8. Al-Abdallah M, Alhadidi A, Hammad M, Al-Ahmad H, Saleh R. Prevalence and distribution of dental anomalies: A comparison between maxillary and mandibular tooth agenesis. Am J Orthod Dentofac Orthop. 2015; 148 (5): 793-798. Available in: http://dx.doi.org/10.1016/j.ajodo.2015.05.024

  9. Qadeer M, Khan H, Najam E, Anwar A, Khan T. Prevalence and patterns of mandibular impacted canines. A cbct based retrospective study. Pakistan Oral Dent J. 2019; 38 (2): 178-181.

  10. Sinko K, Nemec S, Seemann R, Eder-Czembirek C. Clinical management of impacted and transmigrated lower canines. J Oral Maxillofac Surg. 2016; 74 (11): 2142.e1-2142.e16. Available in: http://dx.doi.org/10.1016/j.joms.2016.07.001

  11. Jaisinghani AP, Pradhan T, Keluskar KM, Takane V. Treatment of a transmigrated and an impacted mandibular canine along with missing maxillary central incisor: a case report. Orthod Waves. 2019; 78 (2): 84-92. Available in: https://doi.org/10.1016/j.odw.2019.04.002

  12. Díaz-Sánchez RM, Castillo-De-Oyagüe R, Serrera-Figallo MÁ, Hita-Iglesias P, Gutiérrez-Pérez JL, Torres-Lagares D. Transmigration of mandibular cuspids: Review of published reports and description of nine new cases. Br J Oral Maxillofac Surg. 2016; 54 (3): 241-247. Available in: http://dx.doi.org/10.1016/j.bjoms.2016.01.010

  13. Kim KJ, Park JH, Kim MJ, Jang HI, Chae JM. Posterior available space for uprighting horizontally impacted mandibular second molars using orthodontic microimplant anchorage. J Clin Pediatr Dent. 2019; 43 (1): 56-63. doi: 10.17796/1053-4625-43.1.11.

  14. Locks A, Locks RL, Locks LL. Diferentes abordagens para a verticalizacao de molares. Rev Clin Ortodon Dent Press. 2015; 14 (4): 32-48.



AFILIACIONES

1 Alumna de la Especialidad en Ortodoncia. Departamento de Clínicas Odontológicas Integrales. Centro Universitario de Ciencias de la Salud. Universidad de Guadalajara. Guadalajara, Jalisco, México.

2 Egresada de la Especialidad en Ortodoncia. Departamento de Clínicas Odontológicas Integrales. Centro Universitario de Ciencias de la Salud. Universidad de Guadalajara. Guadalajara, Jalisco, México.

3 Profesor de la Especialidad en Ortodoncia. Departamento de Clínicas Odontológicas Integrales. Centro Universitario de Ciencias de la Salud. Universidad de Guadalajara. Guadalajara, Jalisco, México.



CORRESPONDENCIA

Erik Hernández Roldán. E-mail: erik.hz@hotmail.com




Recibido: Marzo 2021. Aceptado: Junio 2021.

Figura 1
Figura 2
Figura 3
Figura 4
Figura 5
Figura 6
Figura 7
Tabla 1

2020     |     www.medigraphic.com

Mi perfil

C?MO CITAR (Vancouver)

Rev Mex Ortodon. 2020;8

ARTíCULOS SIMILARES

CARGANDO ...