medigraphic.com
ENGLISH

Revista Mexicana de Ortodoncia

ISSN 2395-9215 (Impreso)
Órgano Oficial de Difusión de la Facultad de Odontología de la UNAM
  • Mostrar índice
  • Números disponibles
  • Información
    • Información general        
    • Directorio
  • Publicar
    • Instrucciones para autores        
  • medigraphic.com
    • Inicio
    • Índice de revistas            
    • Registro / Acceso
  • Mi perfil

2020, Número 2

<< Anterior Siguiente >>

Rev Mex Ortodon 2020; 8 (2)


Tratamiento ortodóntico en un paciente clase II esqueletal con caninos ectópicos superiores

Rosas-Gama, Raquel1; Moreno Moreno, José Javier2; Meléndez Ruiz, José Luis3; Rodríguez-Chávez, Jacqueline Adelina3; Orozco Partida, Juan Antonio3; Paz Cristóbal, Alejandra Noemí3
Texto completo Cómo citar este artículo

Idioma: Español/Inglés [English version]
Referencias bibliográficas: 18
Paginas: 135-144
Archivo PDF: 510.54 Kb.


PALABRAS CLAVE

Sin palabras Clave

RESUMEN

Palabras claves: Caninos ectópicos, clase II esqueletal, apiñamiento dental.



INTRODUCCIóN

Las maloclusiones dentales son afecciones del desarrollo que corresponden a desviaciones clínicas en la normalidad de las relaciones espaciales, crecimiento y morfología, entre las bases óseas maxilares, las piezas dentarias y de éstas con los maxilares. Así, las maloclusiones pueden ser displasias dentarias, esqueléticas y/o dentoesqueléticas.1

Las maloclusiones son de origen multifactorial, sin embargo, la predisposición genética y los factores exógenos o ambientales son los componentes principales que pueden definir su etiología e incluyen todos los elementos capaces de acondicionar una maloclusión durante el desarrollo craneofacial.2

La maloclusión clase II, denominada también distoclusión, se presenta cuando la cúspide mesiovestibular del primer molar superior ocluye por delante de la cúspide mesiovestibular del primer molar inferior. Los dientes de la arcada superior y el maxilar se sitúan mesializados respecto a la mandíbula. Dentro de la maloclusión clase II se distinguen dos variedades: 1) maloclusión clase II división 1: cuando los incisivos superiores están protruidos, con overjet aumentado. 2) Maloclusión clase II división 2: cuando los incisivos centrales superiores tienen una posición de retroinclinación coronaria, con los incisivos laterales en vestibuloversión, overjet disminuido y mordida profunda en el sector anterior.3,4

El comportamiento de las maloclusiones a escala mundial oscila en rangos de 35 a 75%, con diferencias de sexo y edad. El apiñamiento constituye la anomalía más frecuente, contribuyendo a la maloclusión aproximadamente con 40 a 85%.5

La erupción ectópica o erupción en otro lugar es una anomalía muy frecuente. Se ha reportado que la erupción ectópica de los caninos ocurre en 1.5 a 2% de la población aproximadamente, siendo más frecuente en el sexo femenino en una proporción de 2:1.6 En diferentes estudios los caninos presentan alrededor de 20% de anomalías en su erupción.7 Los caninos superiores son los últimos dientes en erupcionar antes de los terceros molares, por lo que presentan mayor tendencia a sufrir problemas de espacio en la arcada, así como anomalías en su erupción.8 Entre las causas ambientales más comunes de los caninos ectópicos (pueden ser una o más de la siguiente lista) se encuentran: discrepancia en la longitud del arco dental, exfoliación temprana o tardía del canino temporal, posición anormal del folículo del canino permanente, presencia de hendidura alveolar, anquilosis, formación quística o neoplásica, dilaceración de la raíz, origen iatrogénico o causas idiopáticas.9,10

Además, uno de los objetivos del tratamiento ortodóntico no sólo consiste en conseguir mejoras dentales y esqueléticas, sino también mejoras en los tejidos blandos.11

A continuación, se presenta el tratamiento de una paciente adolescente con remanente de crecimiento, maloclusión clase II esqueletal y caninos ectópicos. En el tratamiento se indicaron extracciones de primeros premolares superiores e inferiores para la correcta posición de los caninos y mejorar el perfil facial.



CASO CLíNICO

Diagnóstico

Paciente femenino de 12 años de edad, sin antecedentes médicos relevantes, con remanente de crecimiento, acudió a consulta ortodóntica con el siguiente motivo: "Me están saliendo los dientes por arriba".

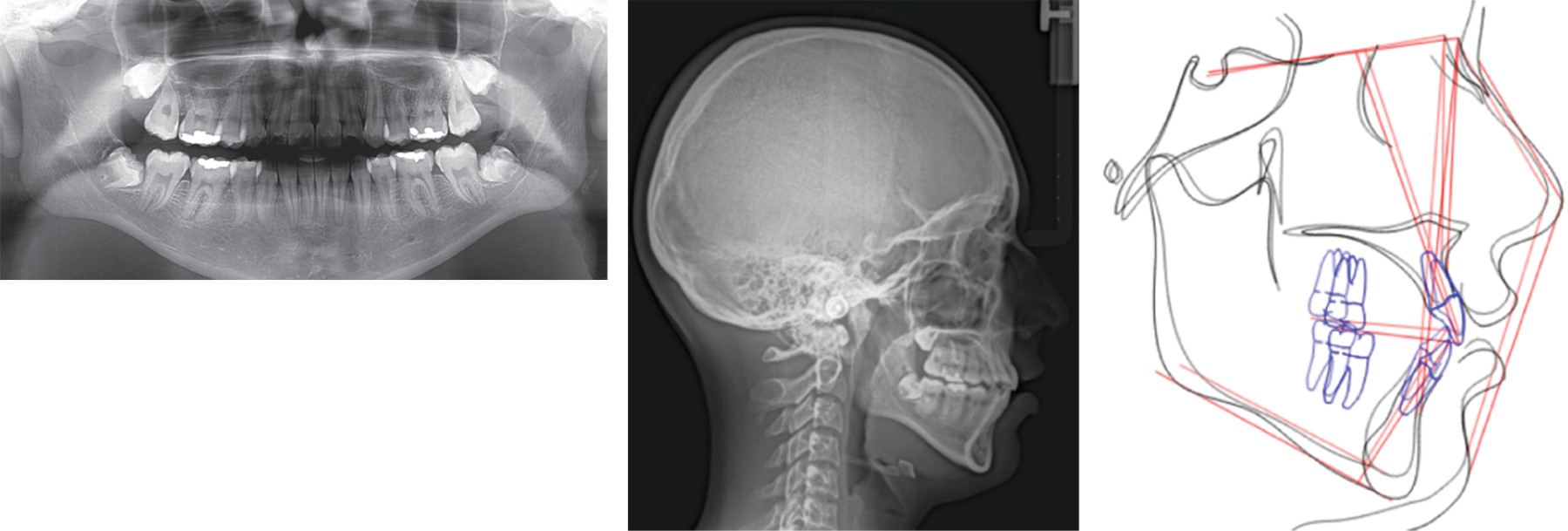
Al examen clínico la paciente presentó desarrollo normal, con un biotipo dolicofacial, perfil convexo, tercio inferior aumentado, línea media facial coincidente con línea media dental (Figura 1). En el análisis intraoral se observó clase I molar, clase canina no establecida por caninos superiores ectópicos, mordida cruzada posterior unilateral derecha, incisivos inferiores proinclinados y protruidos, forma de arco superior triangular e inferior ovoide, línea media inferior desviada 2 mm a la izquierda, sobremordida horizontal 3 mm y vertical 3.5 mm (Figura 1), discrepancia de longitud de arco maxilar de -9.8 mm y mandibular de -10.9 mm, curva de Spee de 2 mm (Figura 2). Radiográficamente se observó dentición permanente, cornetes semipermeables, asimetría de cóndilos, presencia de germen de terceros molares y premolares inferiores sin cierre apical. En la radiografía lateral de cráneo se observaron vías aéreas permeables e incompetencia labial (Figura 3). Se realizó el trazado cefalométrico de Steiner con el software Dolphin 9.0 y se resolvió en una clase II esqueletal con posterorrotación mandibular (Tabla 1). El análisis funcional no presentó alteraciones en la articulación temporomandibular ni hábitos.

Objetivos: descruzar mordida posterior unilateral derecha, correcta sobremordida horizontal y vertical, eliminar curva de Spee; mantener clase I molar; establecer clase I canina; eliminar el apiñamiento, paralelismo radicular; mejorar la función y el perfil; obtener guía anterior y formas de arco adecuadas.

Plan de tratamiento y progresión

El plan de tratamiento se inició con extracciones de primeros premolares superior e inferior. Se colocaron bandas en superior e inferior con cajas linguales para elaboración de arco transpalatino y arco lingual. Colocación de brackets Roth slot 0.018".

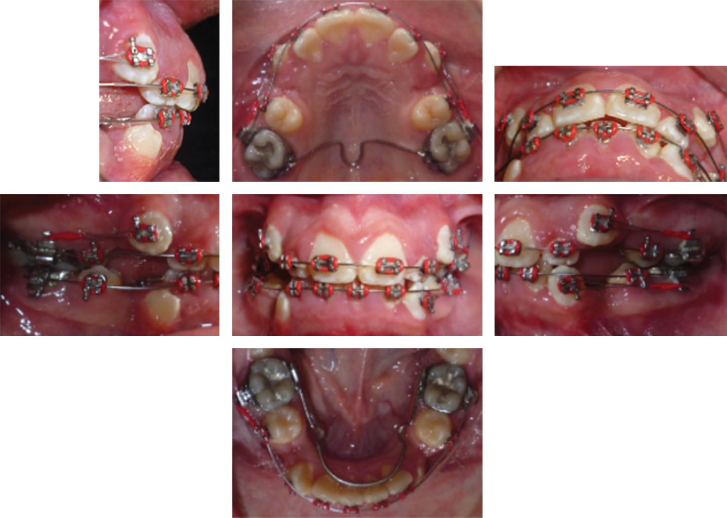
En la fase de alineación y nivelación: se utilizaron arcos 0.016" térmico, 0.016" SS, 0.016" × 0.022" térmico. Trabajo: arcos 0.016" × 0.022" SS, 0.017" × 0.025" SS. Se realizó la retracción de caninos superiores e inferiores con retroligadura (Figura 4). Se cerraron los espacios con cadena, se corrigió la línea media y se coordinaron los arcos.

Detallado y finalización: una vez cerrados los espacios, se pidió radiografía panorámica para valorar paralelismo radicular y se realizaron las recolocaciones de brackets en los órganos dentarios 15, 12, 22, 25, 45 y se retiró el arco transpalatino (Figura 5). Se colocaron tubos en segundos molares inferiores, se usaron elásticos de asentamiento posterior ¼" 4.5 onzas y se retiró el arco lingual (Figura 6). Una vez que se lograron los objetivos, se retiraron los brackets (Figura 7).

Retención: se tomaron impresiones para la elaboración de retenedores circunferenciales superior e inferior. Se remite a la paciente para cirugía de terceros molares.



RESULTADOS

Se eliminó la mordida cruzada posterior unilateral derecha, se establecieron caninos en clase I; se mantuvo la clase I molar; se obtuvo adecuada sobremordida horizontal y vertical, corrección de la curva de Spee y formas de arco adecuadas; se eliminó el apiñamiento. Se logró un adecuado asentamiento de la oclusión con guía anterior y se mejoró el perfil disminuyendo la convexidad facial. Además, periodontalmente el margen gingival de los caninos se muestra en buena posición (Tabla 1) (Figuras 7 y 8).



DISCUSIóN

El apiñamiento dental y la falta de espacio son los principales problemas que aquejan el presente caso; coincidimos con Jacoby, que informó que sólo 17% de los sujetos con desplazamiento ectópico de caninos presentaron suficiente espacio para la erupción en el arco.12 De igual manera, el tamaño de los dientes y las dimensiones del arco dental son factores determinantes en el apiñamiento dental.13

Rodríguez y colegas mencionan que el término anclaje se entiende como la resistencia requerida para movilizar los dientes y luego controlar las contrafuerzas, el cual a su vez va a depender de la cantidad y longitud de las raíces comprometidas, la posición axial de los dientes por anclar y las estructuras óseas circundantes a los dientes.14 En el presente caso fue necesario el anclaje, ya que mantener la clase I molar era un objetivo, así como la extracción de primeros premolares superiores e inferiores para la correcta colocación de los caninos ectópicos en ambas arcadas.

Carlton y Nanda concluyeron que con el tratamiento de ortodoncia, los cóndilos se posicionan más concéntricos y que los espacios articulares anterior y posterior cambiaron significativamente en la mayoría de los casos en pacientes tratados con extracción de premolares.15 En contraste, otros estudios concluyeron que la posición condilar fue estable durante el tratamiento y no se comportó de manera diferente bajo las condiciones de extracción y no extracción.16,17 Coincidimos con esto último, porque la paciente presenta estabilidad durante el tratamiento de ortodoncia y posterior a la extracción de premolares.

Los objetivos de tratamiento en las maloclusiones clase II van direccionados a la corrección transversal y resolver problemas de apiñamiento dental (alineación dental), la corrección del perfil facial con extracciones de primeros premolares superiores e inferiores;18 consecuentemente nos planteamos tales objetivos para la corrección de la clase II.

Se ha mencionado en la literatura y los ortodoncistas han comprobado que la terapéutica de extracciones de premolares es seguida por cambios en el perfil y tejidos blandos,14 al igual que la mejoría del perfil facial en el paciente.



CONCLUSIONES

Todos los casos son un reto para los ortodoncistas, ya que su finalidad es crear sonrisas funcionales, estables y armónicas. Para lograrlo es necesario el conocimiento total del caso y la cooperación del paciente. El manejo de los espacios fue fundamental para obtener excelentes resultados con nuestra paciente. La extracción de primeros premolares permite cumplir con los objetivos, y como resultado se obtiene el espacio necesario para la colocación de los caninos ectópicos y la corrección de las proinclinaciones y protrusiones de los incisivos. Además de retraer el segmento anterior y conducir a la mandíbula a rotar en sentido contrario de las manecillas del reloj, solucionado la clase II esqueletal y mejorar el perfil.


REFERENCIAS (EN ESTE ARTÍCULO)

  1. Vellini Ferreira F. Ortodoncia, diagnóstico y planificación clínica. 2a ed. Sao Paulo: Artes Médicas Latinoamericana; 2004.

  2. Canut JA. Clinical and therapeutic orthodontics. Madrid: Masson; 2001.

  3. Graber TM, Vandarsall RL, Vig KW. Ortodoncia principios y técnicas actuales. 4ª ed. España: Elsevier; 2006.

  4. Gregoret J. Ortodoncia y cirugía ortognatica diagnostico y planificación. 1ª ed. Madrid: Espax Barcelona; 2004.

  5. Gil RM, Oliva LMQ, Remón BB, García AMG. Frecuencia del apiñamiento dentario en adolescentes del área de salud Masó. 2008. Rev Habanera Ciencias Méd. 2009; 8 (5): 71-80.

  6. Becktor KB, Steiniche K, Kjaer I. Association between ectopic eruption of maxillary canines and first molars. Eur J Orthod. 2005; 27 (2): 186-189.

  7. Salinas J, Salinas P. Caninos incluidos biomecánica de arcos dobles. Rev Act Clin Med. 2012; 20 (20): 1022-1026.

  8. Chiapasco M. Tácticas y técnicas en cirugía oral. 3a ed. España: Amolca; 2015.

  9. Becker A. Orthodontic treatment of impacted teeth. 3rd ed. Wiley-Blackwell; 2012.

  10. Becker A. Palatal canine displacement: guidance theory or an anomaly of genetic origin? Angle orthod. 1995; 65 (2): 95-102. doi: 10.1043/0003-3219(1995)065<0095:PCDGTO>2.0.CO;2.

  11. Nassi RR. Extracción de primeros premolares simétricos en pacientes con apiñamiento severo: reporte de un caso. Odontología Vital. 2017; 1 (6): 43-52.

  12. Jacoby H. The etiology of maxillary canine impactions. Am J Orthod. 1983; 84 (2): 125-132. doi:10.1016/0002-9416(83)90176-8.

  13. Cooke J, Wang HL. Canine impactions: incidence and management. Int J Periodontics Restorative Dent. 2006; 26 (5):483-491.

  14. Rodríguez E, Casas R, Natera A. 101 tips en ortodoncia y sus secretos. 2a ed. México: Amolca; 2007.

  15. Carlton KL, Nanda RS. Prospective study of post-treatment changes in the temporomandibular joint. Am J Orthod Dentofacial Orthop. 2002; 122 (5): 486-490. doi: 10.1067/mod.2002.128863.

  16. Gianelly AA, Hughes HM, Wohlgemuth P, Gildea G. Condylar position and extraction treatment. Am J Orthod Dentofacial Orthop. 1988; 93 (3): 201-205.

  17. Major P, Kamelchuk L, Nebbe B, Petrikowski G, Glover K. Condyle displacement associated with premolar extraction and non-extraction orthodontic treatment of class I malocclusion. Am J Orthod Dentofacial Orthop. 1997; 112 (4): 435-440. doi: 10.1016/s0889-5406(97)70052-0.

  18. Basciftci FA, Usumez S. Effects of extraction and no extraction treatment on class I and class II subjects. Angle Orthodontist. 2003; 73 (1): 36-42. doi:10.1043/0003-3219(2003)073<0036:EOEANT>2.0.CO;2.



AFILIACIONES

1 Alumna de la Especialidad en Ortodoncia. Departamento de Clínicas Odontológicas Integrales. Centro Universitario de Ciencias de la Salud. Universidad de Guadalajara, México.

2 Egresado de la Especialidad en Ortodoncia. Departamento de Clínicas Odontológicas Integrales. Centro Universitario de Ciencias de la Salud. Universidad de Guadalajara, México.

3 Docente de la Especialidad en Ortodoncia. Departamento de Clínicas Odontológicas Integrales. Centro Universitario de Ciencias de la Salud. Universidad de Guadalajara, México.



CORRESPONDENCIA

Dra. Alejandra Noemí Paz Cristóbal. E-mail: ale.ortho@hotmail.com




Recibido: Marzo 2021. Aceptado: Junio 2021.

Figura 1
Figura 2
Figura 3
Figura 4
Figura 5
Figura 6
Figura 7
Figura 8
Tabla 1

2020     |     www.medigraphic.com

Mi perfil

C?MO CITAR (Vancouver)

Rev Mex Ortodon. 2020;8

ARTíCULOS SIMILARES

CARGANDO ...