medigraphic.com
ENGLISH

Revista Mexicana de Cirugía Bucal y Maxilofacial

ISSN 2007-3178 (Impreso)
Asociación Mexicana de Cirugía Bucal y Maxilofacial, Colegio Mexicano de Cirugía Bucal y Maxilofacial, A.C.
  • Mostrar índice
  • Números disponibles
  • Información
    • Información general        
    • Directorio
  • Publicar
    • Instrucciones para autores        
    • Envío de artículos
  • medigraphic.com
    • Inicio
    • Índice de revistas            
    • Registro / Acceso
  • Mi perfil

2021, Número 3

<< Anterior

Rev Mex Cir Bucal Maxilofac 2021; 17 (3)


Glosectomía parcial con técnica de resección en cuña estelar y colgajo de rotación anterior para el tratamiento de la macroglosia por linfangioma

Gómez HKA, Castilla CH, Ruíz VY
Texto completo Cómo citar este artículo 10.35366/105395

DOI

DOI: 10.35366/105395
URL: https://dx.doi.org/10.35366/105395
Artículos similares

Idioma: Ingles.
Referencias bibliográficas: 37
Paginas: 156-164
Archivo PDF: 385.88 Kb.


PALABRAS CLAVE

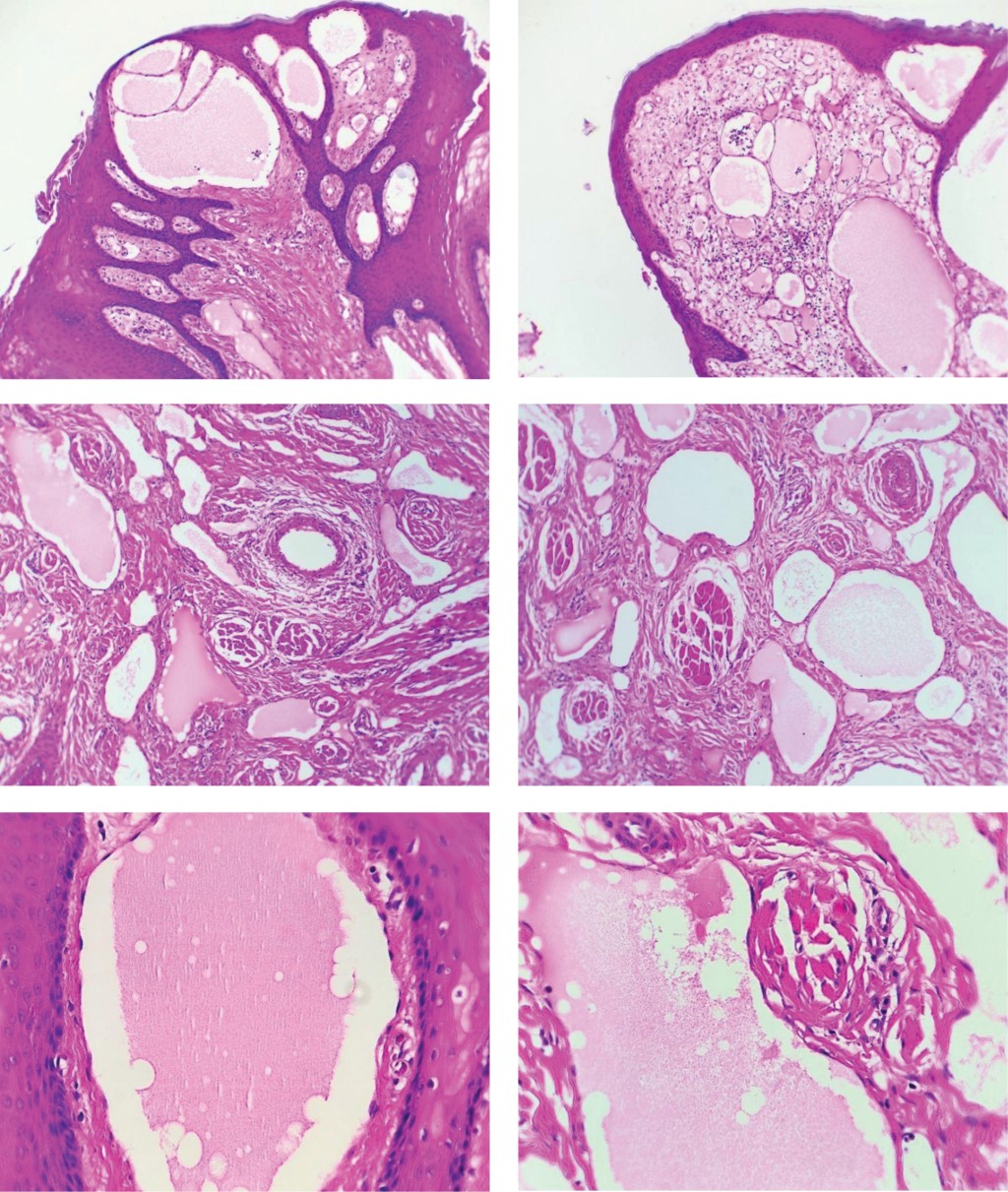
Macroglosia, malformación vascular, glosectomía parcial, linfangioma, malformación linfática.

RESUMEN

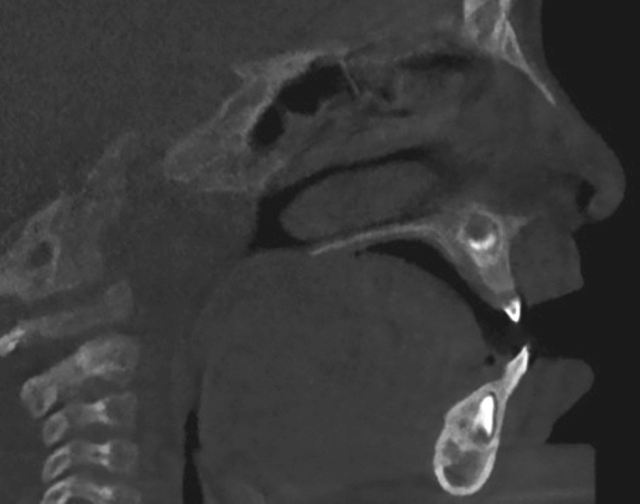
La macroglosia es una afección caracterizada por el aumento del tamaño de la lengua causado por malformaciones congénitas como linfangiomas, corioestomas, hamartomas, o malformaciones adquiridas como neoplasias benignas o malignas. En la mayoría de los casos, el tratamiento es quirúrgico y puede ser conservador cuando la vía aérea no está comprometida. En este trabajo presentamos el caso de un paciente varón de dos años con diagnóstico de macroglosia por linfangioma. El protocolo de tratamiento consistió en una glosectomía parcial mediante la técnica de resección en cuña estelar y colgajo de rotación anterior, así como terapia del habla tras la fase quirúrgica. Tras un año de seguimiento, se observó la persistencia de la lesión, lo que mereció una segunda intervención quirúrgica en la que se consiguió una dimensión lingual de parámetros normales, preservando la armonía estética y funcional sin causar alteraciones neurosensoriales ni gustativas.


REFERENCIAS (EN ESTE ARTÍCULO)

  1. Ring ME. The treatment of macroglossia before the 20th century. Am J Otolaryngol - Head Neck Med Surg. 1999; 20: 28-36. Available in: https://doi.org/10.1016/S0196-0709(99)90047-9

  2. Anichini C, Lotti F, Cencini A, Caruso G, Stortini G, Spinelli M. Macroglossia as a cause of atypical swallowing: comparison of evaluation and logopedic treatment between Beckwith-Wiedemann and down patients. J Siena Acad Sci. 2013; 5: 75. Available in: https://doi.org/10.4081/jsas.2013.75

  3. Simmonds JC, Patel AK, Mildenhall NR, Mader NS, Scott AR. Neonatal macroglossia: demographics, cost of care, and associated comorbidities. Cleft Palate Craniofac J. 2018; 55 (8): 1122-1129. Available in: https://doi.org/10.1177/1055665618760898

  4. Balaji S. Reduction glossectomy for large tongues. Ann Maxillofac Surg. 2013; 3 (2): 167-172. Available in: https://doi.org/10.4103/2231-0746.119230

  5. Pau M, Reinbacher KE, Feichtinger M, Karcher H. Surgical treatment of macroglossia caused by systemic primary amyloidosis. Int J Oral Maxillofac Surg. 2013; 42 (2): 294-297. Available in: https://doi.org/10.1016/j.ijom.2012.05.015

  6. Galaz-Montoya CI, García-Delgado C, Cervantes-Peredo A, García-Morales L, Morán-Barroso VF. Perfil clínico de una cohorte de pacientes con síndrome de Silver-Russell atendidos en el Hospital Infantil de México Federico Gómez de 1998 a 2012. Bol Med Hosp Infant Mex. 2014; 71 (4): 218-226. Available in: https://doi.org/10.1016/j.bmhimx.2014.08.001

  7. Kovach TA, Kang DR, Triplett RG. Massive macroglossia secondary to angioedema: a review and presentation of a case. J Oral Maxillofac Surg. 2015; 73: 905-917. Available in: https://doi.org/10.1016/j.joms.2014.12.029

  8. Melville JC, Menegotto KD, Woernley TC, Maida BD, Alava I. Unusual case of a massive macroglossia secondary to myxedema: a case report and literature review. J Oral Maxillofac Surg. 2018; 76: 119-127. Available in: https://doi.org/10.1016/j.joms.2017.06.033

  9. Bouaoud J, Joly A, Picard A, Thierry B, Arnaud E, James S et al. Severe macroglossia after posterior fossa and craniofacial surgery in children. Int J Oral Maxillofac Surg. 2018; 47: 428-436. Available in: https://doi.org/10.1016/j.ijom.2017.12.003

  10. Gardon MA, Andre CV, Ernenwein D, Teissier N, Bennaceur S. New surgical method of tongue reduction for macroglossia: technical note. Oral Surg Oral Med Oral Pathol Oral Radiol. 2019; 127: e1-7. Available in: https://doi.org/10.1016/j.oooo.2018.06.013

  11. Heggie AAC, Vujcich NJ, Portnof JE, Morgan AT. Tongue reduction for macroglossia in Beckwith Wiedemann syndrome: review and application of new technique. Int J Oral Maxillofac Surg. 2013; 42: 185-191. Available in: https://doi.org/10.1016/j.ijom.2012.09.003

  12. Toranzo-Fernández JM, Duarte-Hernández S, Rodríguez-Pérez A. Síndrome de Beckwith-Wiedemann: reporte de tres casos. Revista ADM. 2001; 58 (5): 170-172.

  13. Wolford LM, Cottrell DA. Diagnosis of macroglossia and indications for reduction glossectomy. Am J Orthod Dentofacial Orthop. 1996; 110 (2): 170-177.

  14. Canseco HC, Villa BU. Hiperplasia condilar bilateral manejo quirúrgico. Reporte de caso. Rev Mex Cir Bucal Maxilofac. 2016; 12: 10-20.

  15. Prada CE, Zarate YA, Hopkin RJ. Genetic causes of macroglossia: diagnostic approach. Pediatrics. 2012; 129. Available in: https://doi.org/10.1542/peds.2011-1732

  16. Greene AK, Perlyn CA, Alomari AI. Management of lymphatic malformations. Clin Plast Surg. 2011; 38: 75-82. Available in: https://doi.org/10.1016/j.cps.2010.08.006

  17. Kolokythas A. Vascular malformations and theirtreatment in the growing patient. Oral Maxillofac Surg Clin North Am. 2016; 28: 91-104. Available in: https://doi.org/10.1016/j.coms.2015.07.006

  18. Bonet-Coloma C, Minguez-Martínez I, Aloy-Prósper A, Rubio-Serrano M, Peñarrocha-Diago MA, Peñarrocha-Diago M. Clinical characteristics, treatment, and evolution in 14 cases of pediatric orofacial lymphangioma. J Oral Maxillofac Surg. 2011; 69: e96-99. Available in: https://doi.org/10.1016/j.joms.2010.07.029

  19. Bouchard C, Peacock ZS, Troulis MJ. Pediatric vascular tumors of the head and neck. Oral Maxillofac Surg Clin North Am. 2016; 28: 105-113. https://doi.org/10.1016/j.coms.2015.07.010

  20. Colletti G, Valassina D, Bertossi D, Melchiorre F, Vercellio G, Brusati R. Contemporary management of vascular malformations. J Oral Maxillofac Surg. 2014; 72: 510-528. Available in: https://doi.org/10.1016/j.joms.2013.08.008

  21. Webb DE, McDermott J, Grover D. Vascular anomalies of the neck. Atlas Oral Maxillofac Surg Clin North Am. 2015; 23: 63-78. Available in: https://doi.org/10.1016/j.cxom.2014.11.001

  22. Neville BW, Damm DD, Allen CM CA. Oral and maxillofacial pathology. 4°. Canada: Elsevier; 2016.

  23. Noia G, Maltese PE, Zampino G, D'Errico M, Cammalleri V, Convertini P et al. Cystic hygroma: a preliminary genetic study and a short review from the literature. Lymphat Res Biol. 2019; 17: 30-39. Available in: https://doi.org/10.1089/lrb.2017.0084

  24. Abramowicz S, Padwa BL. Vascular anomalies in children. Oral Maxillofac Surg Clin North Am. 2012; 24: 443-455. Available in: https://doi.org/10.1016/j.coms.2012.05.001

  25. Bloom DC, Perkins JA, Manning SC. Management of lymphatic malformations and macroglossia: results of a national treatment survey. Int J Pediatr Otorhinolaryngol. 2009; 73: 1114-1118. Available in: https://doi.org/10.1016/j.ijporl.2009.04.016

  26. Perkins JA, Manning SC, Tempero RM, Cunningham MJ, Edmonds JLJ, Hoffer FA et al. Lymphatic malformations: review of current treatment. Otolaryngol Neck Surg Off J Am Acad Otolaryngol Neck Surg. 2010; 142: 795-803, 803.e1. Available in: https://doi.org/10.1016/j.otohns.2010.02.026

  27. Lauretano AM, Li KK, Caradonna DS, Khosta RK, Fried MP. Anatomic location of the tongue base neurovascular bundle. Laryngoscope. 1997; 107: 1057-109. Available in: https://doi.org/10.1097/00005537-199708000-00010

  28. Limbrock GJ, Castillo-Morales R, Hoyer H, Stover B, Onufer CN. The Castillo-Morales approachto orofacial pathology in Down syndrome. Int Assoc Orofac Myol. 1993; 19: 30-37.

  29. Jiao-ling L, Hai-ying W, Wei Z, Jin-rong L, Kun-shan C, Qian F. Treatment and prognosis of fetal lymphangioma. Eur J Obstet Gynecol Reprod Biol. 2018; 231: 274-279. Available in: https://doi.org/10.1016/j.ejogrb.2018.10.031

  30. Choi JW, Kim HJ, Park HS, Kwon TG. Congenital macroglossia treated by 2-stage partial glossectomy. J Craniofac Surg. 2013; 24: 554-556. Available in: https://doi.org/10.1097/SCS.0b013e31826cff10

  31. Kadouch DJM, Maas SM, Dubois L, Van Der Horst CMAM. Surgical treatment of macroglossia in patients with Beckwith-Wiedemann syndrome: a 20-year experience and review of the literature. Int J Oral Maxillofac Surg. 2012; 41: 300-308. Available in: https://doi.org/10.1016/j.ijom.2011.10.021

  32. Naujokat H, Moller B, Terheyden H, Birkenfeld F, Caliebe D, Krause MF et al. Tongue reduction in Beckwith-Wiedemann syndrome: outcome and treatment algorithm. Int J Oral Maxillofac Surg. 2019; 48: 9-16. Available in: https://doi.org/10.1016/j.ijom.2018.07.008

  33. Somers EH, Samson TD. Keyhole tongue reduction. Oper Tech Otolaryngol-Head Neck Surg. 2015; 26: 127-130. Available in: https://doi.org/10.1016/j.otot.2015.06.005

  34. Maas SM,Kadouch DJ, Masselink ACCM, Van Der Horst CMAM. Taste and speech following surgical tongue reduction in children with Beckwith-Wiedemann syndrome. J Cranio-Maxillofacial Surg. 2016; 44: 659-663. Available in: https://doi.org/10.1016/j.jcms.2016.02.010

  35. Kacker A, Honrado C, Martin D, Ward R. Tongue reduction in Beckwith-Weidemann syndrome. Int J Pediatr Otorhinolaryngol. 2000; 53: 1-7. Available in: https://doi.org/10.1016/S0165-5876(00)00280-9

  36. Linden RW. Taste. Br Dent J. 1993; 175: 243-253. Available in: https://doi.org/10.1038/sj.bdj.4808291

  37. Okazaki T, Iwatani S, Yanai T, Kobayashi H, Kato Y, Marusasa T et al. Treatment of lymphangioma in children: our experience of 128 cases. J Pediatr Surg. 2007; 42: 386-389. Available in: https://doi.org/10.1016/j.jpedsurg.2006.10.012




Tabla 1
Tabla 2
Tabla 3
Figura 1
Figura 2
Figura 3
Figura 4
Figura 5
Figura 6
Figura 7
Figura 8
Figura 9
Figura 10

2020     |     www.medigraphic.com

Mi perfil

C?MO CITAR (Vancouver)

Rev Mex Cir Bucal Maxilofac. 2021;17

ARTíCULOS SIMILARES

CARGANDO ...