medigraphic.com
ENGLISH

Orthotips AMOT

ISSN 2007-8560 (Impreso)
Órgano Oficial de Difusión Científica de la Federación Mexicana de Colegios de Ortopedia y Traumatología, A.C. (FEMECOT)
  • Mostrar índice
  • Números disponibles
  • Información
    • Información general        
    • Directorio
  • Publicar
    • Instrucciones para autores        
  • medigraphic.com
    • Inicio
    • Índice de revistas            
    • Registro / Acceso
  • Mi perfil

2022, Número 2

<< Anterior Siguiente >>

Ortho-tips 2022; 18 (2)


Osteosarcoma de alto grado de radio distal asociado con retinoblastoma y meningioma anaplásico: reporte de un caso y revisión de la literatura

Botello Fuentes, Tomás1; Rivera Saldívar, Gustavo1; Cervantes Díaz, Karina1
Texto completo Cómo citar este artículo 10.35366/105506

DOI

DOI: 10.35366/105506
URL: https://dx.doi.org/10.35366/105506
Artículos similares

Idioma: Español
Referencias bibliográficas: 20
Paginas: 156-159
Archivo PDF: 163.91 Kb.


PALABRAS CLAVE

Osteosarcoma, retinoblastoma, tumores óseos.

RESUMEN

Se expone el reporte de un caso clínico con su revisión de la bibliografía, se trata de un osteosarcoma de alto grado en un paciente masculino de 17 años aunado al antecedente de retinoblastoma bilateral y meningioma anaplásico. En la literatura encontramos datos de relación entre la mutación del gen RB1 con aparición de tumores óseos, pero no con meningiomas.



INTRODUCCIóN

La Organización Mundial de la Salud (OMS) define al osteosarcoma como un tumor óseo de origen mesenquimatoso maligno, caracterizado por la producción de material osteoide.1 La incidencia de cáncer en pacientes pediátricos ha ido en aumento, por fortuna la esperanza y calidad de vida han pasado de 20-30% en los años 80 hasta 70% hoy en día. Los tumores óseos ocupan 7% de las neoplasias infantiles, siendo el osteosarcoma y el sarcoma de Ewing los más comunes.2 Las estadísticas en México mencionan que el osteosarcoma afecta alrededor de 5,600 pacientes pediátricos por año. Su expresión es bimodal, teniendo un pico en la adolescencia y volviendo a aparecer después de los 60 años.3 La media de edad fue 20 años, con una relación 2:1 predominando el sexo masculino.4,5 Su afectación suele ser metafisaria, siendo el fémur distal el afectado en 60%, mientras que el radio representa 5%.

El osteosarcoma de alto grado representa menos de 1% de las estirpes histológicas.6 La sintomatología suele ser inespecífica, siendo el dolor y el aumento de volumen lo más característico, aunado a la disminución de los arcos de movilidad de la zona afectada. Más síntomas constitucionales son pérdida de peso, astenia, adinamia y fiebre.3 Ante la sospecha clínica, su diagnóstico inicia con un estudio radiográfico en el que se puede encontrar imagen en sol naciente por reacción perióstica, observar las fibras de Sharpey y triángulo de Codman;7,8 dejando la tomografía computarizada, la resonancia magnética nuclear o la tomografía por emisión de positrones (PET-scan),9 como pruebas complementarias para estadificación, pronóstico o planeaciones quirúrgicas.10 El manejo es multimodal; el tratamiento quirúrgico se valora entre la amputación de la extremidad11,12 y el salvamento de la misma con resecciones de márgenes libres más terapia coadyuvante a base de quimioterapia, siendo el esquema más recomendado para pacientes menores de 30 años metotrexato, adriamicina y cisplatino.13,14



CASO CLíNICO

Paciente masculino de 17 años, antecedentes personales patológicos de retinoblastoma diagnosticado al año de edad, manejado mediante enucleación bilateral al año tres meses, con quimioterapia coadyuvante, se desconoce quimioterapéuticos empleados. Refiere iniciar su padecimiento actual en febrero de 2021, al presentar cefalea, aumento de volumen a nivel de antebrazo, niega limitación a la flexoextensión y pronosupinación del antebrazo, además de otorrea bilateral, motivo por el cual acude a su unidad de primera atención, siendo referido a oncología, donde realizan tomografía simple de cráneo, encontrando tumoración, motivo por el cual se decide realizar craniectomía y exéresis de la tumoración más radioterapia coadyuvante 4005 cGy.

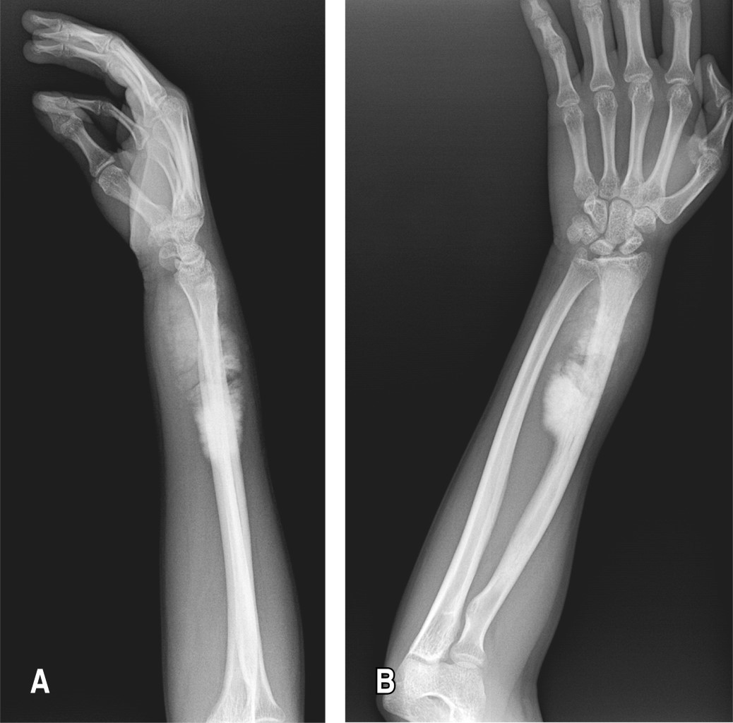
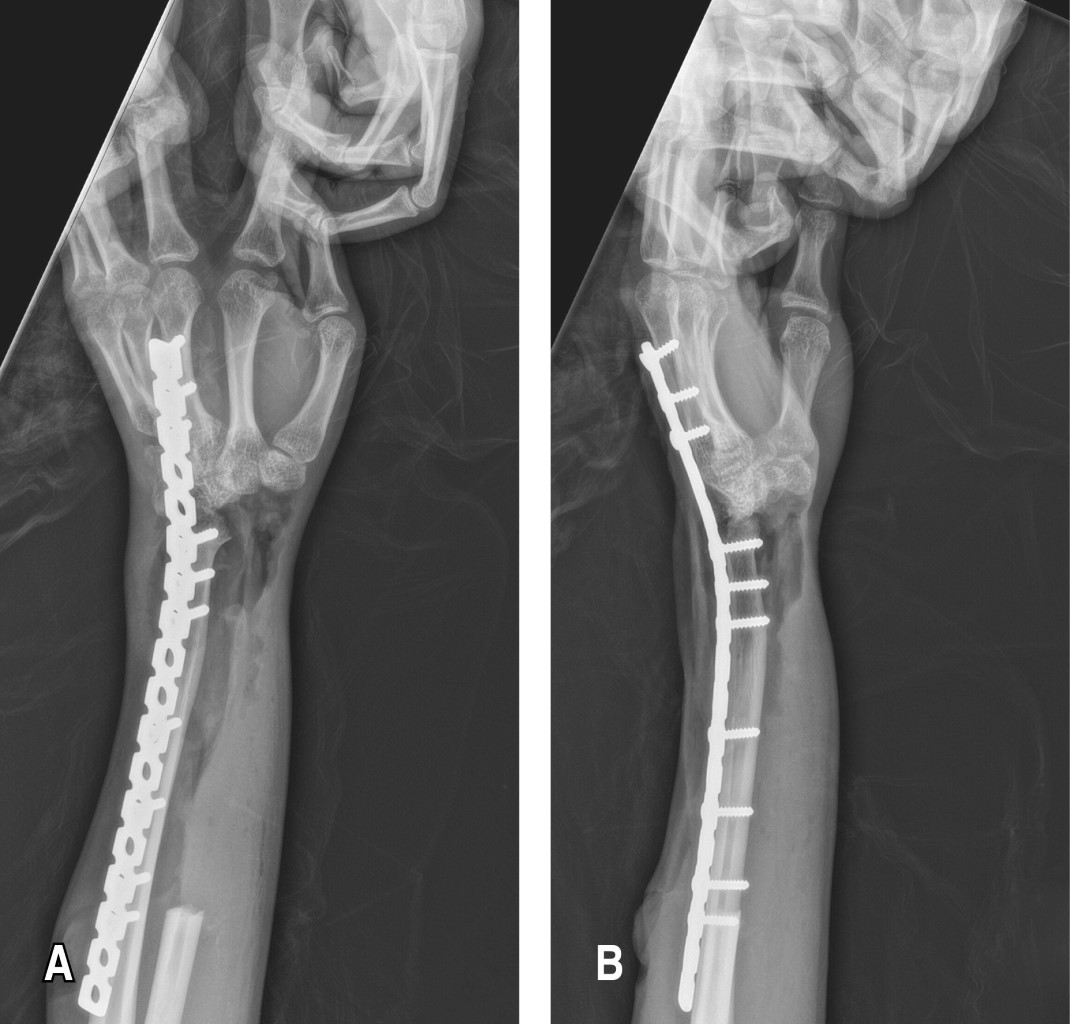
Posteriormente, es referido a la consulta de ortopedia en mayo de 2021 por presentar aumento de volumen a nivel del antebrazo, de crecimiento exponencial, presentando limitación a la pronosupinación, no a la flexoextensión, se solicitan radiografías anteroposterior y lateral de antebrazo, las cuales evidencian tumoración blástica, extracompartimental, excéntrica con reacción perióstica tipo triángulo de Codman de 11 × 5 × 4 cm (Figura 1). Se cita al paciente dos semanas después, con protocolo quirúrgico establecido se solicitan nuevas radiografías, encontrando aumento exponencial en tumoración, clínicamente dolor tumefacción, limitación de arcos de movilidad (Figura 2). Junio 2021. Se realiza biopsia escisional, mediante resección ampliada de radio derecho dejando márgenes de seguridad de aproximadamente 3 cm (Figura 3), exéresis de ganglio centinela y primera fila del carpo, centralización a tercer rayo de ulna y artrodesis con placa de reconstrucción de 18 orificios (Figura 4).

Como hallazgos postquirúrgicos se reporta tumoración de 15 × 8 cm neovascularizada con compromiso radial, de flexor palmar largo. En julio de 2021 el reporte de histopatología muestra resultado de osteosarcoma convencional de alto grado, osteoblástico en 65% y condroblástico en 35%, clínicamente con movilidad activa de extremidad, flexión y extensión de codo completa, prensión de mano fuerza 4 de 5 Daniels (Figura 5).



DISCUSIóN

El osteosarcoma tiene como predominio los huesos grandes del cuerpo, el radio toma un mínimo de casos de estas neoplasias, su estirpe celular más común es la central medular convencional clásica, no así de alto grado como la que presenta nuestro paciente.15,16

Parte de la revisión bibliográfica era encontrar la relación entre las neoplasias del paciente, se conoce que el gen RB1 codifica la fosfoproteína nuclear que participa de manera importante en la regulación del ciclo celular,17,18 encontrando una estrecha relación con tumores óseos en pacientes con mutación del mismo, pero no con los hemangiomas anaplásicos.19

Por otro lado, en el manejo quirúrgico se describe como alternativa la amputación de la extremidad, con menores índices de recidivas, quitando por completo los márgenes libres; éste es un manejo más agresivo, ya que presenta malos resultados para la función del paciente. Debido a los antecedentes del paciente y a la incapacidad funcional secundaria a la enucleación bilateral, se decidió buscar alternativas con un manejo menos invasivo. Se realizó manejo de exéresis tumoral y resección de bordes, incluidos ganglio satélite, como búsqueda para preservar la funcionalidad de la extremidad y una artrodesis funcional. Con adecuados resultados, el paciente conserva flexoextensión y pinza de la extremidad.



CONCLUSIONES

Tras la revisión de la literatura encontramos relación entre la mutación del gen RB1 y tumores óseos, pero no con el meningioma anaplásico, mismo que podría ser secundario a mutación de novo.20 En busca de una mejora en la calidad de vida, a través del manejo quirúrgico se recuperó la funcionalidad del paciente.


REFERENCIAS (EN ESTE ARTÍCULO)

  1. Mokánszki A, Chang Chien YC, Mótyán JA, Juhász P, Bádon ES, Madar L, et al. Novel RB1 and MET gene mutations in a case with bilateral retinoblastoma followed by multiple metastatic osteosarcoma. Diagnostics (Basel). 2021; 11 (1): 28. doi: https://doi.org/10.3390/diagnostics11010028

  2. Liu W, Wang B, Zhang S, Li Y, Hu B, Shao Z. Wrist reconstruction after en bloc resection of bone tumors of the distal radius. Orthop Surg. 2021; 13 (2): 376-383. doi: https://doi.org/10.1111/os.12737

  3. Capasso M, Montella A, Tirelli M, Maiorino T, Cantalupo S, Iolascon A. Genetic predisposition to solid pediatric cancers. Front Oncol. 2020; 10: 590033. doi: https://doi.org/10.3389/fonc.2020.590033

  4. Yang Z, Niu N, Tang J, Wu L, He J, Shi J. Reconstruction of forearm support with ulnar translocation after resection of chondrosarcoma in the proximal radius. Orthopade. 2020; 49 (11): 1006-1012. doi: https://doi.org/10.1007/s00132-020-03903-x

  5. Gilsenan A, Midkiff K, Harris D, McQuay L, Hunter S, Kellier-Steele N, et al. Assessing the incidence of osteosarcoma among teriparatide users based on Medicare Part D and US State Cancer Registry Data. Pharmacoepidemiol Drug Saf. 2020; 29 (12): 1616-1626. doi: https://doi.org/10.1002/pds.5103

  6. Rojas GA, Hubbard AK, Diessner BJ, Ribeiro KB, Spector LG. International trends in incidence of osteosarcoma (1988-2012). Int J Cancer. 2021; 149 (5): 1044-1053. doi: https://doi.org/10.1002/ijc.33673

  7. Agrawal AC, Garg AK, Choudhary R, Verma S, Dash RN. Giant cell tumor of the distal radius: Wide resection, ulna translocation with wrist arthrodesis. Cureus. 2021; 13 (5): e15034. doi: https://doi.org/10.7759/cureus.15034

  8. Jafari F, Javdansirat S, Sanaie S, Naseri A, Shamekh A, Rostamzadeh D, et al. Osteosarcoma: A comprehensive review of management and treatment strategies. Ann Diagn Pathol. 2020; 49 (151654): 151654.

  9. Grünewald TG, Alonso M, Avnet S, Banito A, Burdach S, Cidre-Aranaz F, et al. Sarcoma treatment in the era of molecular medicine. EMBO Mol Med. 2020; 12 (11): e11131. doi: https://doi.org/10.15252/emmm.201911131

  10. Palmerini E, Righi A, Staals EL. Rare primary malignant bone sarcomas. Cancers (Basel). 2020; 12 (11): 3092. doi: https://doi.org/10.3390/cancers12113092

  11. Israelski R, Obi TN, Pean CA, Hippolyte JW, Durham J, Zuckerman LM. Unusual presentation in Haiti of a recurrent giant cell tumor of bone affecting the distal radius: A case report. Int J Surg Case Rep. 2021; 80 (105686): 105686. doi: https://doi.org/10.1016/j.ijscr.2021.105686

  12. Al-Qassab S, Lalam R, Botchu R, Bazzocchi A. Imaging of pediatric bone tumors and tumor-like lesions. Semin Musculoskelet Radiol. 2021; 25 (1): 57-67. doi: https://doi.org/10.1055/s-0041-1723965

  13. Belayneh R, Fourman MS, Bhogal S, Weiss KR. Update on osteosarcoma. Curr Oncol Rep. 2021; 23 (6): 71. doi: https://doi.org/10.1007/s11912-021-01053-7

  14. Meredith DM, Charville GW, Fletcher CDM, Hornick JL. Distantly Metastatic Retinoblastoma to Soft Tissue and Bone: A Challenging Diagnosis Highlighting the Utility of CRX. Am J Surg Pathol. 2021; 45 (6): 820-824. doi: 10.1097/PAS.0000000000001620.

  15. Li B, Fang L, Wang B, Yang Z, Zhao T. Identification of prognostic RBPs in osteosarcoma. Technol Cancer Res Treat. 2021; 20: 15330338211004918. doi: https://doi.org/10.1177/15330338211004918

  16. Lans J, Ballatori SE, Castelein RM, Chen NC, Lozano Calderon SA. Osteoarticular allograft reconstruction after distal radius tumor resection: Reoperation and patient reported outcomes. J Surg Oncol. 2021; 123 (5): 1304-1315. doi: https://doi.org/10.1002/jso.26405

  17. Koelsche C, Schrimpf D, Stichel D, Sill M, Sahm F, Reuss DE, et al. Sarcoma classification by DNA methylation profiling. Nat Commun. 2021; 12 (1): 498. doi: https://doi.org/10.1038/s41467-020-20603-4

  18. Smrke A, Anderson PM, Gulia A, Gennatas S, Huang PH, Jones RL. Future directions in the treatment of osteosarcoma. Cells. 2021; 10 (1): 172. doi: https://doi.org/10.3390/cells10010172

  19. Li X, Teng X, Lin N, Yan X, Li B, Ye Z. Treatment of distal tibial tumor with vascularized fibula reconstruction. Zhongguo Xiu Fu Chong Jian Wai Ke Za Zhi. 2020; 34 (10): 1221-1225. doi: https://doi.org/10.7507/1002-1892.202003088

  20. Schiffman B, Hanel D. The one bone forearm. Hand Clin. 2020; 36 (4): 531-538. doi: https://doi.org/10.1016/j.hcl.2020.07.007



AFILIACIONES

1Unidad Médica de Alta Especialidad, Hospital de Traumatología y Ortopedia de Puebla del Instituto Mexicano del Seguro Social. México.



Conflicto de intereses: Los autores declaran no tener conflicto de intereses.



CORRESPONDENCIA

Dr. Tomás Botello Fuentes. E-mail: botello_to@hotmail.com




Recibido: 09-10-2021. Aceptado: 27-10-2021.

Figura 1
Figura 2
Figura 3
Figura 4
Figura 5

2020     |     www.medigraphic.com

Mi perfil

C?MO CITAR (Vancouver)

Ortho-tips. 2022;18

ARTíCULOS SIMILARES

CARGANDO ...