medigraphic.com
ENGLISH

Acta Médica Grupo Ángeles

Órgano Oficial del Hospital Ángeles Health System
  • Mostrar índice
  • Números disponibles
  • Información
    • Información general        
    • Directorio
  • Publicar
    • Instrucciones para autores        
    • Envío de artículos
    • Políticas
    • Nombre y afiliación del Comité Editorial
  • Nosotros
    • Plan de gestión e intercambio de datos
    • Objetivos declarados y alcance
  • medigraphic.com
    • Inicio
    • Índice de revistas            
    • Registro / Acceso
  • Mi perfil

2022, Número 3

<< Anterior Siguiente >>

Acta Med 2022; 20 (3)


Signo de Chilaiditi

Moreno Madrigal, Luis Guillermo1
Texto completo Cómo citar este artículo 10.35366/105736

DOI

DOI: 10.35366/105736
URL: https://dx.doi.org/10.35366/105736

Idioma: Español
Referencias bibliográficas: 0
Paginas: 280-280
Archivo PDF: 84.24 Kb.


PALABRAS CLAVE

Sin palabras Clave



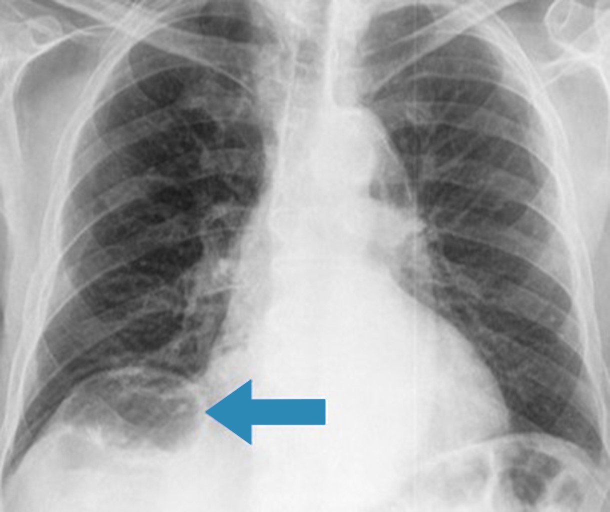
Hombre de 84 años con antecedentes de hipertensión arterial sistémica e hiperplasia prostática benigna. Fue visto en la consulta de medicina interna para realización de valoración preoperatoria para resección transuretral de próstata, observándose de manera incidental la presencia de gas subdiafragmático derecho (Figura 1). Se refirió asintomático. En tomografía abdominal se confirmó la interposición hepatodiafragmática del ángulo hepático del colon (Figura 2), lo que definió la presencia de signo de Chilaiditi.

Este signo consiste en la posición anómala del intestino delgado, colon o ambos entre el diafragma y el hígado. Su causa es desconocida. Su incidencia es de 0.014% a 0.28% de la población. Fue descrito en 1865 por Cantini, pero hasta 1910 se consolidó como signo radiológico por el imagenólogo griego Demetrius Chilaiditi. Es asintomático, pero si se acompaña de síntomas clínicos se denomina síndrome de Chilaiditi. Sólo éste último requiere manejo comúnmente conservador; en caso de falla, amerita laparotomía exploradora.




AFILIACIONES

1 Médico Internista. Adscrito al Servicio de Medicina Interna del Hospital General Regional No. 1 "Dr. Carlos Mac Gregor Sánchez Navarro", Instituto Mexicano del Seguro Social. Ciudad de México. México.



CORRESPONDENCIA

Luis Guillermo Moreno Madrigal. Correo electrónico: dr.luismoreno23@gmail.com




Aceptado: 20-10-2021.

Figura 1
Figura 2

2020     |     www.medigraphic.com

Mi perfil

C?MO CITAR (Vancouver)

Acta Med. 2022;20

ARTíCULOS SIMILARES

CARGANDO ...