medigraphic.com
ENGLISH

Cardiovascular and Metabolic Science

ISSN 2954-3835 (Digital)
ISSN 2683-2828 (Impreso)
Antes Revista Mexicana de Cardiología

Ver Revista Mexicana de Cardiología


  • Mostrar índice
  • Números disponibles
  • Información
    • Información general        
    • Directorio
  • Publicar
    • Instrucciones para autores        
    • Envío de artículos
  • medigraphic.com
    • Inicio
    • Índice de revistas            
    • Registro / Acceso
  • Mi perfil

2022, Número 2

<< Anterior Siguiente >>

Cardiovasc Metab Sci 2022; 33 (2)


Reporte de caso: asociación de vacuna COVID-19 mRNA con cuadro de miocarditis aguda

Pérez-Orpinel OA, Figuerola-Chaparro LC, Fernández-Rosas S, Moreno-Zamudio D, Mendoza-González CA
Texto completo Cómo citar este artículo 10.35366/105821

DOI

DOI: 10.35366/105821
URL: https://dx.doi.org/10.35366/105821
Artículos similares

Idioma: Inglés [English version]
Referencias bibliográficas: 7
Paginas: 69-72
Archivo PDF: 234.80 Kb.


PALABRAS CLAVE

Miocarditis aguda, COVID-19, vacunas mRNA, ESAVI.

RESUMEN

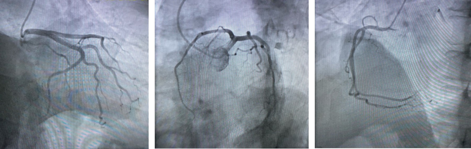
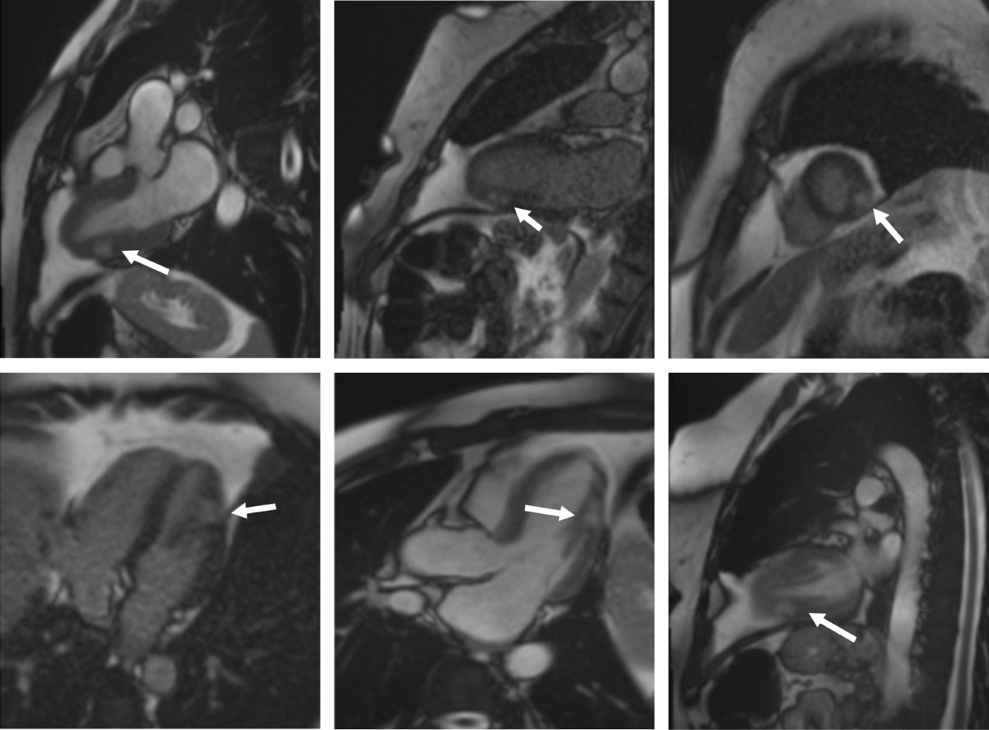
Se presenta el caso de una mujer de 50 años atendida en el Servicio de Urgencias por dolor torácico y elevación de enzimas cardiacas; no tuvo alteraciones electrocardiográficas. Se realizó coronariografía en la que no se encontraron lesiones obstructivas. Un estudio de resonancia magnética cardiaca reportó imagen compatible con miocarditis aguda sin evidencia de isquemia miocárdica. La paciente había recibido una primera dosis de vacuna Pfizer-BioNTech dos días antes de la aparición de los síntomas. En la mayoría de los casos de miocarditis, el diagnóstico etiológico se encuentra indeterminado y sus manifestaciones clínicas tienen un amplio espectro. En los últimos meses, se ha establecido la asociación probable entre casos de miocarditis con vacunas COVID-19 mRNA. El uso de vacunas COVID-19 mRNA ha demostrado el beneficio significativo en la reducción de morbilidad y mortalidad relacionadas a la infección por el virus SARS-COV-2. Este puede ser un proceso transitorio que no representa una contraindicación para la aplicación de la vacuna.


REFERENCIAS (EN ESTE ARTÍCULO)

  1. Pollack A, Kontorovich AR, Fuster V et al. Viral myocarditis-diagnosis, treatment options, and current controversies. Nat Rev Cardiol. 2015; 12 (11): 670-680.

  2. Caforio AL, Pankuweit S, Arbustini E et al. Current state of knowledge on aetiology, diagnosis, management, and therapy of myocarditis: a position statement of the European society of cardiology working group on myocardial and pericardial diseases. Eur Heart J. 2013; 34 (33): 2636-2648.

  3. Fairweather D, Cooper LT, Blauwet LA. Sex and gender differences in myocarditis and dilated cardiomyopathy.Curr Probl Cardiol. 2013; 38: 7-46.

  4. Ferreira VM, Schulz-Menger J, Holmvang G et al. Cardiovascular magnetic resonance in nonischemic myocardial inflammation: expert recommendations. J Am Coll Cardiol. 2018 18; 72 (24): 3158-3176.

  5. Centers for Disease Control and Prevention (CDC). Advisory Committee on Immunization Practices (ACIP). Coronavirus disease 2019 (COVID-19) vaccines.

  6. Bozkurt B, Kamat I, Hotez PJ. Myocarditis with COVID-19 mRNA vaccines. Circulation. 2021; 144 (6): 471-484.

  7. Dirección General de Epidemiología. Manual de procedimientos estandarizados para la vigilancia epidemiológica de eventos supuestamente atribuibles a la vacunación o inmunización (ESAVI). Versión 2021. Secretaría de Salud; México. Disponible en: https://epidemiologia.salud.gob.mx/gobmx/salud/documentos/manuales/42_Manual_ESAVI.pdf




Figura 1
Figura 2
Figura 3

2020     |     www.medigraphic.com

Mi perfil

C?MO CITAR (Vancouver)

Cardiovasc Metab Sci . 2022;33

ARTíCULOS SIMILARES

CARGANDO ...