medigraphic.com
ENGLISH

Cardiovascular and Metabolic Science

ISSN 2954-3835 (Digital)
ISSN 2683-2828 (Impreso)
Antes Revista Mexicana de Cardiología

Ver Revista Mexicana de Cardiología


  • Mostrar índice
  • Números disponibles
  • Información
    • Información general        
    • Directorio
  • Publicar
    • Instrucciones para autores        
    • Envío de artículos
  • medigraphic.com
    • Inicio
    • Índice de revistas            
    • Registro / Acceso
  • Mi perfil

2022, Número 2

<< Anterior

Cardiovasc Metab Sci 2022; 33 (2)


Endocarditis infecciosa temprana posterior a reemplazo valvular aórtico transcatéter con válvula protésica SAPIEN 3

Sonqui-Soto JP, Hernández-Mercado MA, Reyes-Corona JA, Victoria-Campos JL, Morales-Bernal NE
Texto completo Cómo citar este artículo 10.35366/105823

DOI

DOI: 10.35366/105823
URL: https://dx.doi.org/10.35366/105823
Artículos similares

Idioma: Inglés [English version]
Referencias bibliográficas: 9
Paginas: 78-81
Archivo PDF: 152.59 Kb.


PALABRAS CLAVE

EI-RVAT, Streptococcus mitis, ecocardiograma transesofágico, válvula protésica SAPIEN 3.

RESUMEN

La endocarditis infecciosa en válvulas nativas o en válvulas reemplazadas quirúrgicamente ha sido ampliamente descrita en la literatura; sin embargo, respecto a la endocarditis infecciosa en válvulas bioprotésicas transcatéter, aún se encuentra en un proceso continuo de investigación. Presentamos el caso de una paciente de 66 años con diagnóstico de endocarditis infecciosa temprana de válvula protésica aórtica percutánea SAPIEN 3, quien tuvo una evolución clínica y desenlace favorable con tratamiento médico conservador basado en antibióticos, a pesar de que la incidencia de mortalidad intrahospitalaria a causa de EI-TAVR, representa más de 40%. Reportar nuevos casos clínicos con sus diferentes características, sus tratamientos y resultados obtenidos, se considera de suma importancia para apoyar a un mejor diagnóstico y tratamiento médico en futuros pacientes.


REFERENCIAS (EN ESTE ARTÍCULO)

  1. Miranda WR, Connolly HM, Baddour LM et al. Infective endocarditis following transcatheter aortic valve replacement: Diagnostic yield of echocardiography and associated echo-Doppler findings. Int J Cardiol. 2018; 271: 392-395.

  2. Yeo I, Kim LK, Park SO et al. In-hospital infective endocarditis following transcatheter aortic valve replacement: a cross-sectional study of the national inpatient sample database in the USA. J Hosp Infect. 2018; 100 (4): 444-450. Available in: https://doi.org/10.1016/j.jhin.2018.05.014

  3. Summers MR, Leon MB, Smith CR et al. Prosthetic valve endocarditis after TAVR and SAVR: insights from the PARTNER trials. Circulation. 2019; 140 (24): 1984-1994. Available in: https://doi.org/10.1161/CIRCULATIONAHA.119.041399

  4. Regueiro A, Linke A, Latib A et al. Association between transcatheter aortic valve replacement and subsequent infective endocarditis and in-hospital death. JAMA. 2016; 316 (10): 1083-1092.

  5. Amat IJ, Messika D, Eltchaninoff H et al. Infective endocarditis following transcatheter aortic valve implantation? results from a large multicenter registry. Circulation. 2015; 131 (18): 1566-1574.

  6. Butt JH, Ihlemann N, De Backer O et al. Long-term risk of infective endocarditis after transcatheter aortic valve replacement. J Am Coll Cardiol. 2019; 73 (13): 1646-1655.

  7. Yim J, Smith JR, Singh NB et al. Evaluation of daptomycin combinations with cephalosporins or gentamicin against Streptococcus mitis group strains in an in vitro model of simulated endocardial vegetations (SEVs). J Antimicrob Chemother. 2017; 72 (8): 2290-2296.

  8. García D, Olmos C, Vivas D et al. Endocarditis infecciosa. Medicine. 2017; 12 (40): 2380-2395.

  9. Sohail MR, Martin KR, Wilson WR et al. Medical versus surgical management of Staphylococcus aureus prosthetic valve endocarditis. Am J Med. 2006; 119 (2): 147-1454.




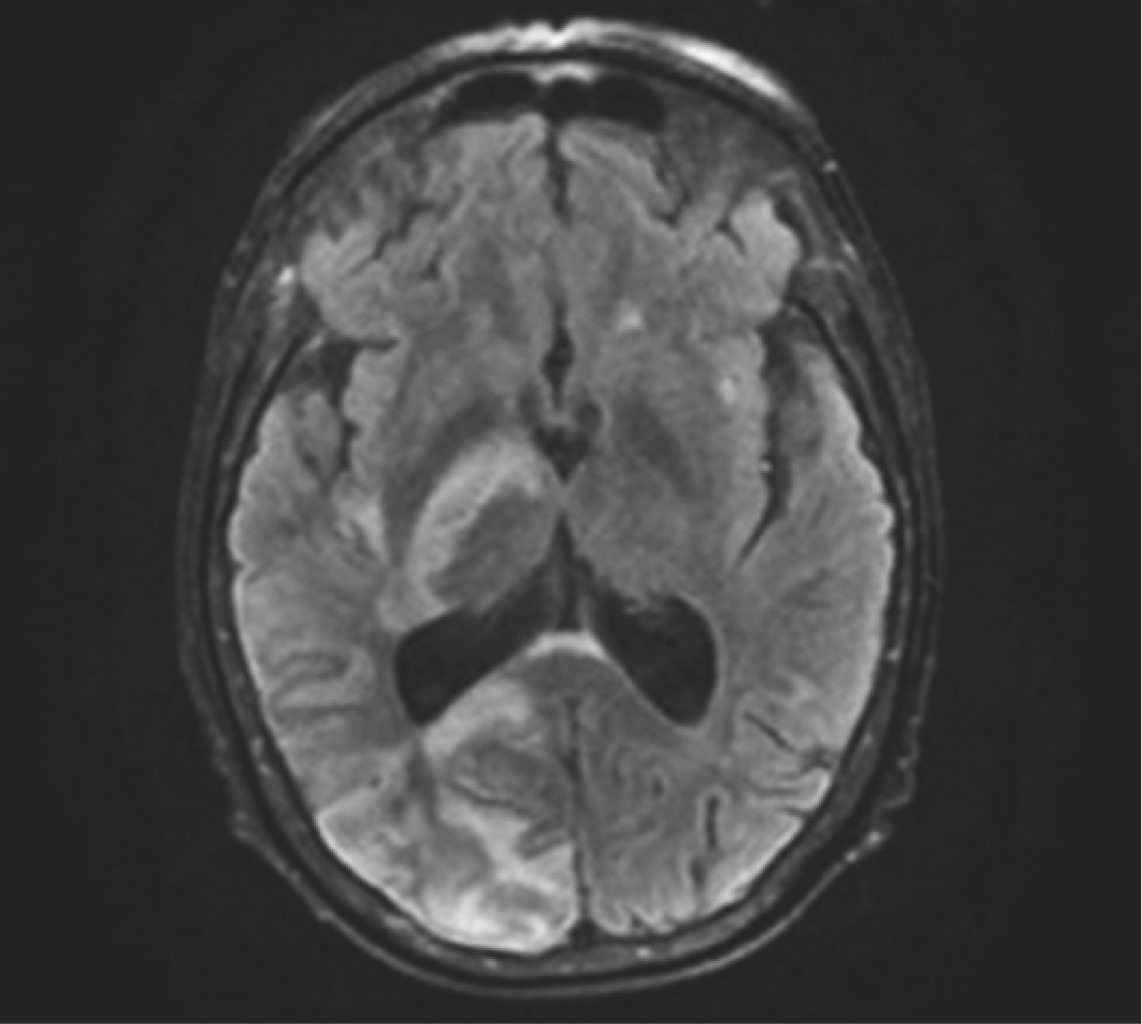
Figura 1
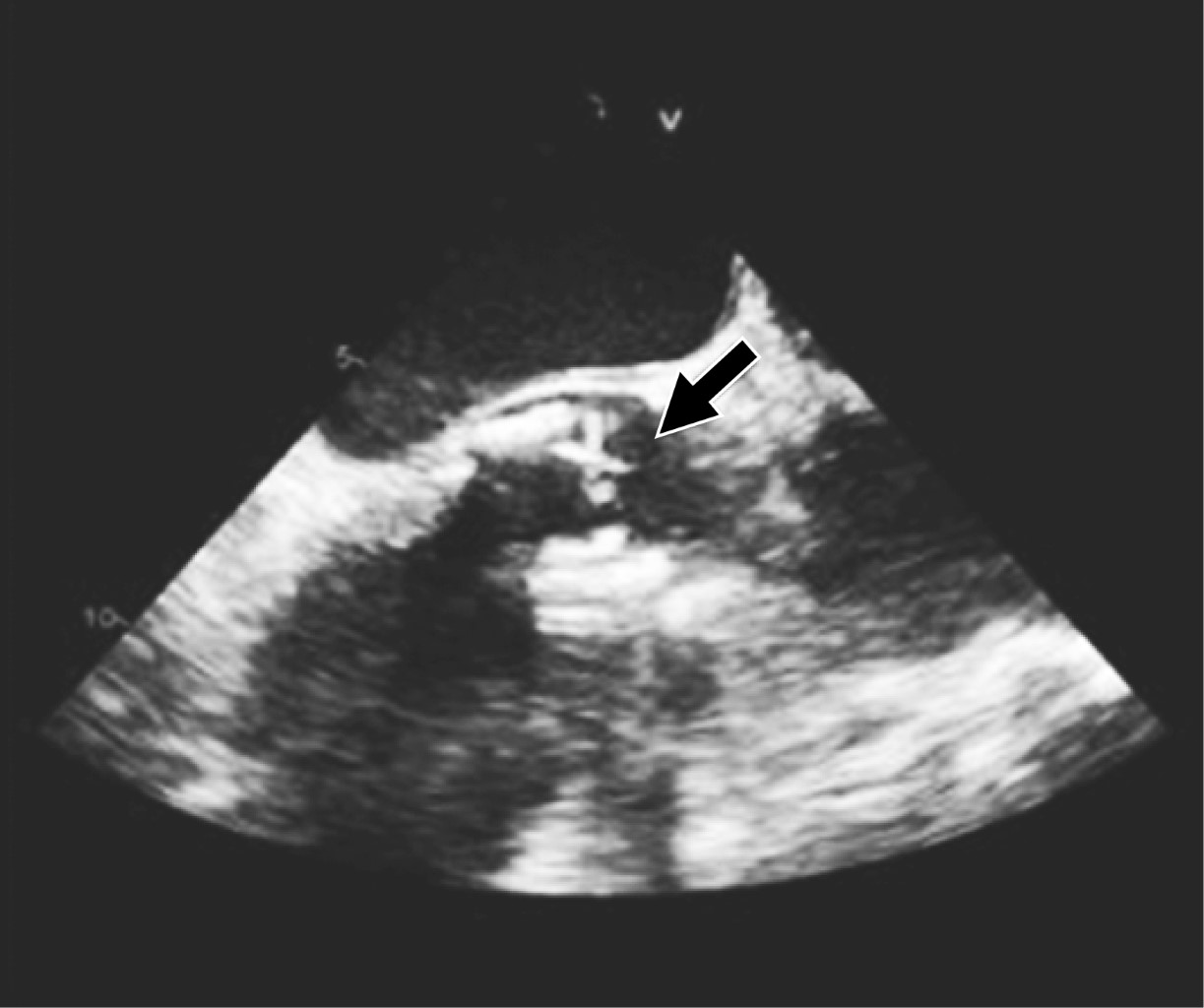
Figura 2
Figura 3

2020     |     www.medigraphic.com

Mi perfil

C?MO CITAR (Vancouver)

Cardiovasc Metab Sci . 2022;33

ARTíCULOS SIMILARES

CARGANDO ...