medigraphic.com
ENGLISH

Revista Odontológica Mexicana Órgano Oficial de la Facultad de Odontología UNAM

ISSN 1870-199X (Impreso)
Órgano oficial de la Facultad de Odontología, UNAM
  • Mostrar índice
  • Números disponibles
  • Información
    • Información general        
    • Directorio
  • Publicar
    • Instrucciones para autores        
  • medigraphic.com
    • Inicio
    • Índice de revistas            
    • Registro / Acceso
  • Mi perfil

2021, Número 3

<< Anterior Siguiente >>

Rev Odont Mex 2021; 25 (3)


Expresión de p63/p40 en quistes y tumores odontogénicos benignos

Urias Barreras, Cynthia Marina1; Ramírez Camou, Jessica Guadalupe2; Ríos Burgueño, Efrén Rafael3
Texto completo Cómo citar este artículo Artículos similares

Idioma: Español/Inglés [English version]
Referencias bibliográficas: 24
Paginas: 215-223
Archivo PDF: 491.08 Kb.


PALABRAS CLAVE

p63, p40, quistes odontogénicos, tumores odontogénicos, quistes maxilares.

RESUMEN

Introducción: p63 pertenece a la familia de genes p53 y codifica diferentes isoformas, TAp63 transactiva el gen diana de p53 que induce la apoptosis, Np63 inhibe la actividad de TAp63 y p53 promoviendo la proliferación y el crecimiento celular. El anticuerpo p63 reconoce las isoformas TAp63 y Np63, mientras que el anticuerpo p40 sólo reconoce la isoforma Np63. Objetivos: Analizar las propiedades discriminatorias de agresividad del inmunoperfil p63/p40 en quistes y tumores odontogénicos benignos. Material y métodos: Cinco tumores odontogénicos (tres ameloblastomas, un tumor odontogénico primordial y un fibroma ameloblástico) y 25 quistes odontogénicos (12 queratoquistes odontogénicos, seis quistes radiculares, cinco quistes dentígeros, un quiste odontogénico glandular, y un caso con nidos epiteliales en la pared quística) se evaluaron con anticuerpos p63 y p40. Resultados: Los ameloblastomas y el fibroma ameloblástico presentaron p63+/p40+ en todas las células neoplásicas epiteliales. El tumor odontogénico primordial mostró positividad en el componente epitelial, excepto en áreas del estrato superficial. Los queratoquistes odontogénicos mostraron p63+/p40+ en todos los estratos epiteliales, excepto en la capa superficial paraqueratinizada. Los quistes dentígeros fueron positivos en todas las células epiteliales, algunos con menor intensidad en el estrato superficial. No fue posible evaluar el quiste odontogénico glandular, ya que perdió el componente epitelial en el procesamiento. Los quistes radiculares mostraron p63+ en todos los estratos epiteliales, excepto un caso con positividad intensa pero focal; p40 mostró positividad en algunos casos muy fuerte, en otros, moderada o focal. Por otro lado, se observó p63+/p40+ en los nidos epiteliales odontogénicos en la pared de un quiste. Conclusiones: El inmunofenotipo p63/p40 no es discriminatorio de agresividad en el diagnóstico de quistes y tumores odontogénicos benignos.



INTRODUCCIóN

El factor de transcripción p63 pertenece a una familia de genes p53 que participa en el desarrollo y el mantenimiento del epitelio, la biología de las células madre, la carcinogénesis y la proliferación de las extremidades y la estructura craneofacial; p63 se expresa normalmente en la capa basal del epitelio estratificado, en las células mioepiteliales y en las neoplasias que derivan de estos epitelios, y las células madre que carecen de p63 sufren un repliegue proliferativo prematuro. La p63 codifica diferentes isoformas, tres con el dominio de transactivación (TA) y tres que carecen del dominio N-terminal (N), que ejercen propiedades biológicas opuestas. TAp63 transactiva el gen diana de p53 que induce la apoptosis. Por otro lado, Np63 inhibe la actividad de TAp63 y p53, promoviendo la proliferación y el crecimiento celular. Se ha demostrado que diferentes isoformas de p63 desempeñan funciones en diversas células y tejidos, como la epidermis, los ovocitos, los músculos y la cóclea. El anticuerpo p63 reconoce las isoformas TAp63 y Np63 de la proteína p63, mientras que el anticuerpo p40 sólo reconoce la isoforma Np63, la forma escamosa más específica.1-11

La isoforma ΔNp63 actúa como potenciador de la proliferación celular en tumores humanos, lo que sugiere que podría desempeñar un papel oncogénico a través de su regulación de la reprogramación metabólica en los tumores. En estudios recientes, la combinación de p63/p40 se ha propuesto como un método de diagnóstico eficaz en neoplasias de glándulas salivales, los tumores del tracto sinonasal y los carcinomas pulmonares. La expresión de ΔNp63 en los tumores odontogénicos benignos se ha asociado con alto riesgo de recurrencia, más que en los tumores odontogénicos benignos no agresivos con bajo riesgo de recurrencia, también p63 se expresa en más de 50% de los tumores odontogénicos malignos en comparación con los tumores odontogénicos benignos no agresivos.11-13

Además, el aumento de la angiogénesis y la expresión de p53, p63, p73 pueden contribuir a los comportamientos localmente agresivos e invasivos de los queratoquistes odontogénicos (QQO), anteriormente llamados tumores odontogénicos queratoquísticos (TOQQ).14 Por otro lado, Alsaegh y equipo15 informaron que ΔNp63 se correlaciona con la capacidad proliferativa del epitelio odontogénico en el quiste dentígero (QD) y el queratoquiste odontogénico (QQO), pero no en el ameloblastoma (AME). Esta diversidad podría reflejar un papel y unas vías diferentes de ΔNp63 en el tumor odontogénico que en el quiste odontogénico.

El objetivo de esta investigación es analizar la expresión del perfil inmunológico combinado p63/p40 en quistes y tumores odontogénicos benignos para determinar su propiedad discriminatoria de agresividad en estas lesiones.



MATERIAL Y MéTODOS

Se seleccionaron tumores odontogénicos benignos y quistes odontogénicos del Departamento de Patología del Centro de Investigación y Docencia en Ciencias de la Salud de la Universidad Autónoma de Sinaloa, diagnosticados en el periodo de enero de 2014 a abril de 2019. Se revisaron los especímenes procesados y teñidos con hematoxilina y eosina para confirmar el diagnóstico. El grupo de tumores odontogénicos benignos está formado por tres ameloblastomas (AME), un tumor odontogénico primordial (TOP) y 1 fibroma ameloblástico (FA). El grupo de quistes odontogénicos incluye 12 queratoquistes odontogénicos (QQO), seis quistes radiculares (QR), cinco quistes dentígeros (QD) y un quiste odontogénico glandular (QOG). Además, se analizaron los nidos epiteliales odontogénicos (NEO) presentes en la pared de un quiste. Se recogieron los datos clínicos de edad y sexo de los pacientes, así como la localización de la lesión (Tabla 1).

Para el estudio de inmunohistoquímica, se realizaron niveles a 1.5 micras de cada bloque. Cada corte fue desparafinado a 80 oC durante 20 minutos y rehidratado con xilol-alcohol, según el protocolo estándar del proceso inmunohistoquímico. Posteriormente, se realizó el desenmascaramiento antigénico durante 18 minutos a una temperatura de 105 oC con RHP Bio & SB. Cada laminilla fue sometida a un proceso de capilaridad por coverplate con PVC a pH 7,4 y un bloqueo interno de la peroxidasa con peróxido de hidrógeno al 3% y posteriores enjuagues con PVC. El anticuerpo primario p63 y p40 se colocó con diluciones de 1:200 y 1:50 según las especificaciones del productor (Bio & SB y Diagnocell) durante 30 minutos. El anticuerpo secundario HRP Bio & Sb se utilizó durante 10 minutos y se enjuagó con PVC. Por último, se marcó con un complejo Bio & SB para un sistema biotinizado por 10 minutos, después del enjuague se reveló con diaminobencidina y se contratiñó con hematoxilina y eosina para su posterior interpretación.

Se realizó una evaluación semicuantitativa de la expresión de p63 y p40 asignando los casos a una de las tres categorías siguientes: (I) puntuación 0, cuando las células teñidas comprendían de 0 a < 5%; (II) puntuación 1, cuando las células teñidas suponían de > 5 a < 50%; (III) puntuación 2, cuando las células teñidas suponían > 50% de la población celular total.14,16



RESULTADOS

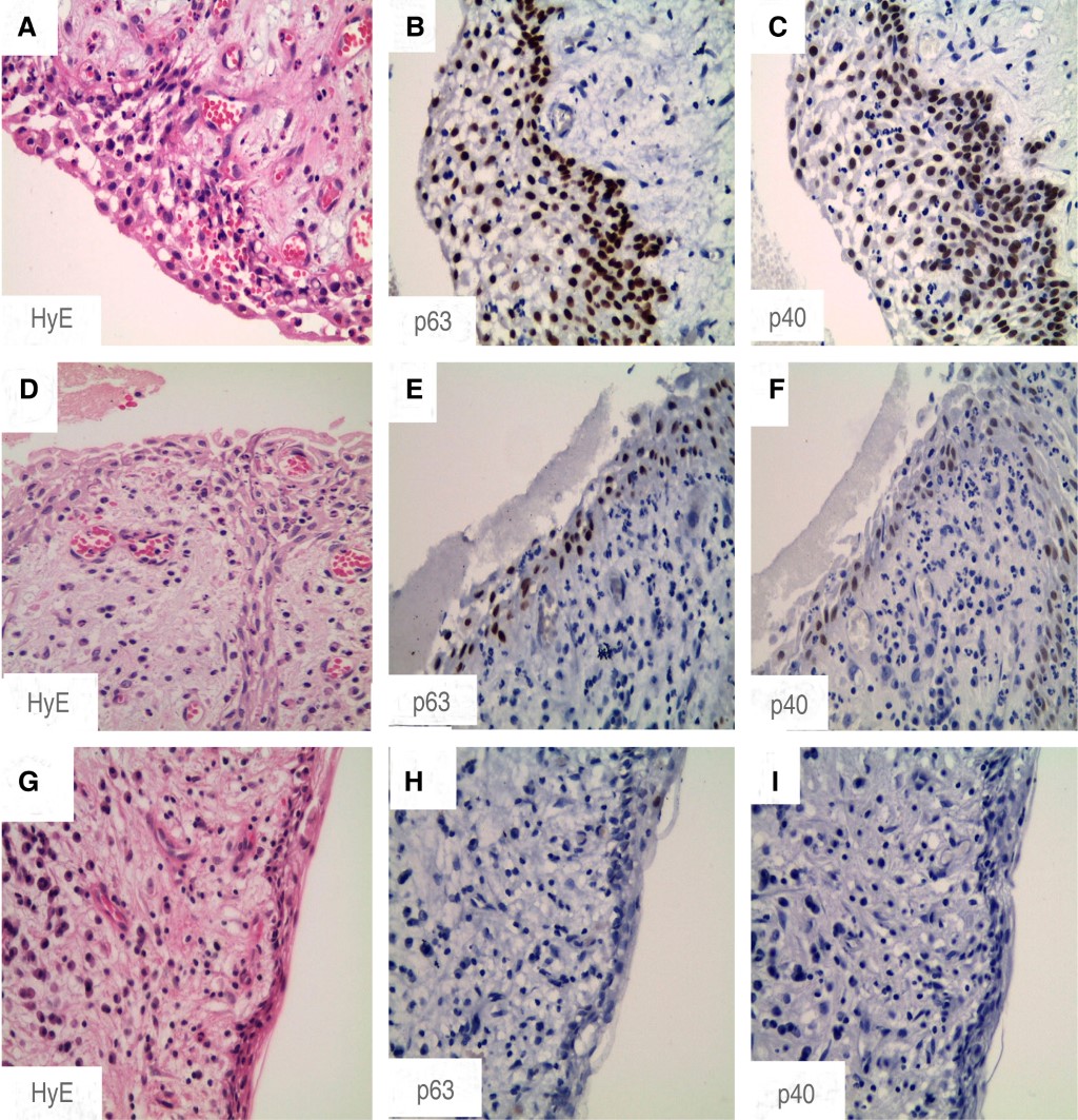
En AME y FA p63 y p40 fueron positivos en todas las células epiteliales neoplásicas (puntuación 2); sólo un caso de AME mostró positividad con una intensidad débil. El TOP mostró p63+/p40+ en el componente epitelial (puntuación 2) con la excepción de algunas zonas del estrato superficial (Figura 1).

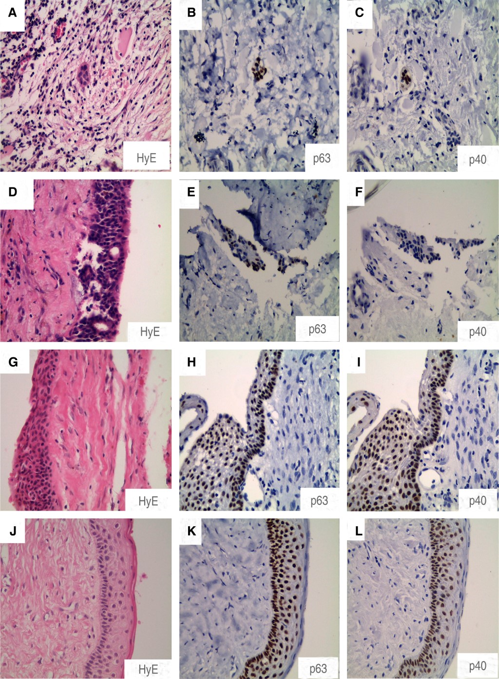
En el QQO, se observó positividad para p63/p40 en todos los estratos epiteliales, excepto en la capa paraqueratinizada (puntuación 2). En los casos de QD, se observó p63+/p40+ en todos los estratos epiteliales con la excepción de algunas células del estrato superficial (puntuación 2); sin embargo, un caso mostró positividad con intensidad moderada. No fue posible evaluar el QOG, ya que el componente epitelial se perdió durante el procesamiento. Por otro lado, se observó p63+/p40+ en los nidos epiteliales presentes en la pared de un quiste (Figura 2). QR mostró p63+ en todos los estratos epiteliales (puntuación 2) con la excepción de un caso con positividad intensa pero focal (puntuación 0); la expresión de p40 fue variable, tres casos mostraron positividad muy fuerte (puntuación 2), dos casos positividad moderada (puntuación 1) y un caso positividad focal (puntuación 0) (Figura 3).



DISCUSIóN

En este estudio se observó que en AME p63/p40 fue positivo (con intensidad variable) en todas las células epiteliales neoplásicas, como lo reportaron Argyris et al,1 quienes además detallaron que AME mostró una intensa positividad para p63 en las células centrales y periféricas a diferencia de los resultados obtenidos por Atarbashi et al.17 y Martínez et al.18 en los que AME fue intensamente positivo sólo en las células periféricas. Por otra parte, Lo Muzio et al.16 observaron reactividad para p63 en tumores odontogénicos como AME, carcinoma ameloblástico, tumor odontogénico adenomatoide, carcinoma intraóseo primario y carcinoma odontogénico de células claras. Además, la expresión de p63 en tumor odontogénico maligno se detectó en > 50% de las células en todos los casos y fue significativamente mayor que en tumor odontogénico benigno no agresivo con bajo riesgo de recurrencia. Asimismo, la expresión de p63 no difirió significativamente entre el tumor odontogénico benigno localmente agresivo con alto riesgo de recidiva y el tumor odontogénico maligno. En nuestro estudio, sólo se incluyeron tumores odontogénicos benignos, y no se observaron diferencias en la expresión de p63 entre tumores odontogénicos benignos localmente agresivos (AME y FA) y con bajo riesgo de recurrencia (TOP).

Gratzinger et al.19 encontraron que p63 se expresaba fuertemente en la mitad basal del epitelio oral, generalmente no se expresaba en las capas superficiales maduras. La expresión uniforme de p63 fue la norma en los AME y en los tumores odontogénicos epiteliales calcificantes (TOEC); en los tumores odontogénicos queratoquísticos (TOQ) y los QOG, se mantuvo la polaridad de la expresión de p63. En nuestro estudio, de igual manera, la expresión de p63 fue uniforme en los AME, en el FA y en la mayor parte del componente epitelial del TOP, y p63 no se expresó en la capa superficial madura del QQO, anteriormente TOQ. Del mismo modo, de Brito et al.20 informaron que la inmunoexpresión de p63 en el componente epitelial del TOQ era positiva en las capas basal y suprabasal de todos los casos analizados. Argyris et al.1 informaron que QQO, QD y QR mostraban una expresión fuerte y difusa de p63+/p40+ en todo el espesor del revestimiento epitelial, excepto en la capa superficial de queratina en el QQO y en el quiste ortoqueratinizado. En nuestro estudio, similarmente los QQO fueron positivos para p63/p40, en todos los estratos epiteliales, pero no en la capa paraqueratinizada. Respecto a los QD, éstos fueron p63+/p40+; sin embargo, se identificó positividad moderada en algunas células epiteliales del estrato superficial, así como en las capas basal y parabasal. Los QR mostraron p63+ en todos los estratos epiteliales, excepto un caso con positividad intensa pero focal, y la positividad de p40 fue mucho más variable.

Observamos que QD y QQO tenían una puntuación de p63 superior a 50% en la escala semicuantitativa, el QR tenía una puntuación superior a 50%, excepto un caso que tenía una puntuación inferior a 5% (Tabla 1). A diferencia de Lo Muzio et al.11 quienes informaron que en la mayoría de los quistes foliculares (QF) las células teñidas estaban comprendidas entre 0 y < 5% del total, en los QQO, 64% de los casos mostraba un porcentaje de células teñidas comprendido entre > 5 y < 50%, aproximadamente 1/3 de los QR presentaban un porcentaje de células teñidas comprendido entre 0 y < 5% y aproximadamente 2/3 entre > 5 y < 50%. Por su parte, Atarbashi et al.17 informaron que la inmunotinción para p63 en QD y QR se encontraba principalmente en las capas basal y parabasal. En nuestro estudio, en cuatro de cinco casos de QD también se observó una intensa reactividad en las capas superiores. Asimismo, Lo Muzio et al.11 informaron que en casi todos los QF la inmunotinción para p63 se limitaba a la capa basal y parabasal del epitelio. Sólo dos casos de los 30 mostraron una positividad de la capa intermedia. Tres QR presentaban un epitelio negativo a la inmunotinción de p63, mientras que los casos residuales mostraban positividad no sólo en la capa basal y parabasal, sino más de la mitad, también en la capa intermedia.

La positividad de p63 fue mayor en la capa superficial de QD y QR que en la de QQO, tal y como lo informaron previamente Mascitti et al.21 Por otro lado, Seyedmajidi et al.22 encontraron que los TOQ revelaron la mayor expresión de p63 entre el quiste dentígero y el quiste radicular. Gurgel et al.23 no encontraron diferencias significativas en la expresión de Ki-67, p53 y p63 entre los TOQ primarios y los recurrentes o entre los TOQ asociados al síndrome del carcinoma basocelular nevoide. Foschini et al.24 informaron que en los QQO recurrentes la tinción del anticuerpo ΔNp63 se encontraba en 60 a 90% de las células y se localizaba en todas las capas. En las lesiones no recurrentes se encontró en menos de 70% de las células, y se limitó a las capas basal y parabasal. Sugirieron que las lesiones con alta expresión de p40 son más propensas a recurrir. Interesantemente, en nuestro estudio, la expresión de p40 se detectó en todas las capas, excepto la paraqueratinizada, de todos los QQO, los cuales fueron descritos como lesiones primarias no recurrentes hasta ese momento.



CONCLUSIóN

El inmunofenotipo p63/p40 en quistes y tumores odontogénicos benignos no es discriminatorio de agresividad en el diagnóstico de estas lesiones.


REFERENCIAS (EN ESTE ARTÍCULO)

  1. Argyris PP, Malz C, Taleb R, Koutlas IG. Benign and malignant odontogenic neoplasms of the jaws show a concordant nondiscriminatory p63/p40 positive immunophenotype. Oral Surg Oral Med Oral Pathol Oral Radiol. 2018; 126 (6): 506-512.

  2. Soares E, Zhou H. Master regulatory role of p63 in epidermal development and disease. Cell Mol Life Sci. 2018; 75 (7): 1179-1190.

  3. Jaafari-Ashkavandi Z, Geramizadeh B, Ranjbar MA. P63 and Ki-67 expression in dentigerous cyst and ameloblastomas. J Dent. 2015; 16 (4): 323-328.

  4. Tilson MP, Bishop JA. Utility of p40 in the differential diagnosis of small round blue cell tumors of the sinonasal tract. Head Neck Pathol. 2014; 8 (2): 141-145.

  5. Senoo M, Pinto F, Crum CP, McKeon F. p63 is essential for the proliferative potential of stem cells in stratified epithelia. Cell J. 2007; 129 (3): 523-536.

  6. Mills AA. p53: link to the past, bridge to the future. Genes Dev. 2005; 19 (18): 2091-2099.

  7. Kumamoto H, Izutsu T, Ohki K, Takahashi N, Ooya K. p53 gene status and expression of p53, MDM2, and p14 proteins in ameloblastomas. J Oral Pathol Med. 2004; 33 (5): 292-299.

  8. Tsujita-Kyutoku M, Kiuchi K, Danbara N, Yuri T, Senzaki H, Tsubura A. p63 expression in normal human epidermis and epidermal appendages and their tumors. J Cutan Pathol. 2003; 30 (1): 11-17.

  9. Yang A, Kaghad M, Caput D, McKeon F. On the shoulders of giants: p63, p73 and the rise of p53. Trends Genet. 2002; 18 (2): 90-95.

  10. Kaelin WG. The p53 gene family. Oncogene.1999; 18 (53): 7701-7705.

  11. Lo Muzio L, Santarelli A, Caltabiano R, Rubini C, Pieramici T, Fior A et al. p63 expression in odontogenic cysts. Int J Oral Maxillofac Surg. 2005; 34 (6): 668-673.

  12. Argyris PP, Wetzel SL, Greipp P, Wehrs RN, Knutson DL, Kloft-Nelson SM et al. Clinical utility of myb rearrangement detection and p63/p40 immunophenotyping in the diagnosis of adenoid cystic carcinoma of minor salivary glands: a pilot study. Oral Surg Oral Med Oral Pathol Oral Radiol. 2016; 121 (3): 282-289.

  13. Rooper L, Sharma R, Bishop JA. Polymorphous low grade adenocarcinoma has a consistent p63+/p40- immunophenotype that helps distinguish it from adenoid cystic carcinoma and cellular pleomorphic adenoma. Head Neck Pathol. 2015; 9 (1): 79-84.

  14. Chandrangsu S, Sappayatosok K. p53, p63 and p73 expression and angiogenesis in keratocystic odontogenic tumors. J Clin Exp Dent. 2016; 8 (5): 505-511.

  15. Alsaegh MA, Altaie AM, Zhu S. p63 Expression and its relation to epithelial cells proliferation in dentigerous cyst, odontogenic keratocyst, and ameloblastoma. Pathol Oncol Res. 2020; 26 (2): 1175-1182.

  16. Lo Muzio L, Santarelli A, Caltabiano R, Rubini C, Pieramici T, Giannone N et al. p63 expression correlates with pathological features and biological behaviour of odontogenic tumours. Histopathology. 2006; 49 (2): 211-214.

  17. Atarbashi Moghadam S, Atarbashi Moghadam F, Mokhtari S, Eini E. Immunohistochemical analysis of P63 expression in odontogenic lesions. Biomed Res Int. 2013; 2013: 624176.

  18. Martínez-Martínez M, Mosqueda-Taylor A, Carlos-Bregni R, Pires F-R, Delgado-Azanero W, Neves-Silva R et al. Comparative histological and immunohistochemical study of ameloblastomas and ameloblastic carcinomas. Med Oral Patol Oral Cir Bucal. 2017; 22 (3): 324-332.

  19. Gratzinger D, Salama ME, Poh CF, Rouse R V. Ameloblastoma, calcifying epithelial odontogenic tumor, and glandular odontogenic cyst show a distinctive immunophenotype with some myoepithelial antigen expression. J Oral Pathol Med. 2008; 37 (3): 177-184.

  20. de Brito Monteiro BV, Cavalcante RB, Maia Nogueira RL, da Costa Miguel MC, Weege Nonaka CF, da Silveira ÉJD. Participation of hMLH1, p63, and MDM2 proteins in the pathogenesis of syndromic and nonsyndromic keratocystic odontogenic tumors. Oral Surg Oral Med Oral Pathol Oral Radiol. 2015; 120 (1): 52-57.

  21. Mascitti M, Togni L, Balercia A, Balercia P, Rubini C, Santarelli A. p53-family proteins in odontogenic cysts. Appl Immunohistochem Mol Morphol. 2020; 28 (5): 369-375.

  22. Seyedmajidi M, Shafaee S, Shafigh E, Bijani A, Hamidi H. p63 expression in randomized odontogenic cysts. Saudi Med J. 2011; 32 (5): 463-466.

  23. Gurgel CAS, Ramos EAG, Azevedo RA, Sarmento VA, da Silva Carvalho AM, dos Santos JN. Expression of Ki-67, p53 and p63 proteins in keratocyst odontogenic tumours: an immunohistochemical study. J Mol Histol. 2008; 39 (3): 311-316.

  24. Foschini MP, Cocchi R, Marucci G, Pennesi MG, Magrini E, Ligorio C et al. High DeltaN p63 isoform expression favours recurrences in odontogenic keratocyst--odontogenic keratocystic tumour. Int J Oral Maxillofac Surg. 2006; 35 (7): 673-675.



AFILIACIONES

1 Patóloga bucal. Profesora de la Facultad de Odontología. Profesora del Departamento de Patología en el Centro de Investigación y Docencia en Ciencias. Universidad Autónoma de Sinaloa, Sinaloa, México.

2 Pasante de Servicio Social en el Instituto Mexicano del Seguro Social Unidad Médica Familiar No. 37. Estudiante de la Facultad de Odontología. Universidad Autónoma de Sinaloa, Sinaloa, México.

3 Médico Patólogo, Jefe del Departamento de Patología del Centro de Investigación y Docencia en Ciencias de la Salud. Universidad Autónoma de Sinaloa, Sinaloa, México.



CORRESPONDENCIA

Cynthia Marina Urias Barreras. E-mail: cynthia.urias@uas.edu.mx




Recibido: Febrero 2021. Aceptado: Abril 2021.

Figura 1
Figura 2
Figura 3
Tabla 1

2020     |     www.medigraphic.com

Mi perfil

C?MO CITAR (Vancouver)

Rev Odont Mex. 2021;25

ARTíCULOS SIMILARES

CARGANDO ...