medigraphic.com
ENGLISH

Revista Odontológica Mexicana Órgano Oficial de la Facultad de Odontología UNAM

ISSN 1870-199X (Impreso)
Órgano oficial de la Facultad de Odontología, UNAM
  • Mostrar índice
  • Números disponibles
  • Información
    • Información general        
    • Directorio
  • Publicar
    • Instrucciones para autores        
  • medigraphic.com
    • Inicio
    • Índice de revistas            
    • Registro / Acceso
  • Mi perfil

2021, Número 3

<< Anterior Siguiente >>

Rev Odont Mex 2021; 25 (3)


Terapia adyuvante con 5-fluorouracilo tópico para queratoquiste odontogénico, presentación de caso y revisión de la literatura

Hernández-Ortega, Óscar Rohel1; Malanche-Abdalá, Germán1; Salgado-Chavarría, Fabiola1
Texto completo Cómo citar este artículo Artículos similares

Idioma: Español/Inglés [English version]
Referencias bibliográficas: 20
Paginas: 224-232
Archivo PDF: 351.35 Kb.


PALABRAS CLAVE

Queratoquiste, tumor queratoquístico odontogénico, tratamiento queratoquiste, 5-fluorouracilo, 5-fluorouracilo tópico, quistes odontogénicos.

RESUMEN

El queratoquiste odontogénico es el tercer quiste más usual de la región maxilar, después del quiste periapical y el quiste dentígero. Se presenta más comúnmente en la zona posterior mandibular, clínicamente puede causar expansión de corticales y desplazamiento del diente involucrado dentro de la lesión. En la actualidad, se han descrito distintos tratamientos para estas entidades, con el objetivo de reducir las morbilidades creadas por el cirujano mediante el tratamiento elegido. El 5-fluorouracilo es un antimetabolito utilizado para el tratamiento de carcinomas basocelulares, inhibiendo la vía de señalización Sonic Hedgehog (SHH), la cual, según por su patogénesis molecular, también es compartida por los queratoquistes, por lo que recientemente se ha propuesto su tratamiento mediante la aplicación tópica de este metabolito, por su menor morbilidad y su nula neurotoxicidad comparada con otros tratamientos. Se presenta el caso de paciente femenino de 19 años de edad, quien fue tratada con descompresión, enucleación de la lesión y aplicación tópica con 5-fluorouracilo.



INTRODUCCIóN

El queratoquiste odontogénico (QQO) es un quiste de origen odontogénico caracterizado por una delgada capa de epitelio escamoso paraqueratinizado.1 El término "queratoquiste odontogénico" fue utilizado por primera vez por Philppson (1956) y posterior a esto, sus características clínicas e histológicas fueron confirmadas por Brownie (1970-1971). En ese tiempo se creía que era un quiste benigno, pero potencialmente agresivo y recurrente.2

En el año 2005 la Organización Mundial de la Salud (OMS) renombró a esta lesión como "tumor odontogénico queratoquístico", debido a que se creía que por su comportamiento clínico era más parecido al de una neoplasia, con alta recurrencia posterior a su enucleación simple, sus características histológicas y, más recientemente, a los marcadores presentes en el quiste, los cuales consisten específicamente en el antígeno de proliferación celular nuclear (PCNA), Ki67, la secuencia BCE 2 de la enzima dihidropropil acetiltransferasa, metaloproteinasas de la matriz (MMP) 2 y 9, y p53.3

Después, en el año 2017, la OMS reclasificó al queratoquiste dentro del apartado de quistes de origen odontogénico, ya que no había suficiente evidencia para clasificarlo como una neoplasia como tal. Mientras existe un mar de cambios de la patogénesis molecular de esta entidad, la mayoría de las definiciones de neoplasia incluyen un concepto de autonomía, la cual, aunque se remueva el agente causante, ésta puede seguir creciendo. Las neoplasias no pueden remitir espontáneamente, en cambio, se ha descrito de manera amplia que los queratoquistes pueden ceder después de su descompresión e imprevistamente, el revestimiento de muchos de los quistes descomprimidos aparentan ser similares histológicamente al de la mucosa bucal.4

El objetivo de este artículo es realizar una revisión de los tratamientos disponibles para esta entidad, los beneficios de utilizar un tratamiento conservador con una terapia adyuvante con 5-fluorouracilo y presentar un caso clínico en el cual se utilizó de manera tópica el 5-fluorouracilo para el tratamiento de los QQO.



PRESENTACIóN DEL CASO CLíNICO

Se presentó paciente femenino de 19 años de edad a la Clínica de Cirugía Oral y Maxilofacial, de la División de Estudios de Postgrado e Investigación (DEPeI) de la UNAM, para la extracción de sus terceros molares; sin antecedentes de importancia para su tratamiento. En la ortopantomografía se observa el tercer molar superior derecho (OD 18) desplazado hasta piso de órbita ipsilateral, con una zona radiolúcida asociada a la corona del mismo, la cual ocupa todo el seno maxilar y se extiende hasta la tuberosidad del mismo lado, midiendo aproximadamente 3.3 × 5 cm, mientras que en la tomografía (cone beam) se observó la estrecha relación entre el ápice del tercer molar con el piso de órbita (Figura 1). Se inició con una punción exploratoria y se observa contenido amarillento compatible con queratina. Luego, se realizó biopsia incisional de la lesión y se extrajo el tercer molar en relación para estudio histopatológico. Se colocó drenaje utilizando una sonda Foley No. 18 y se indicó higiene estricta del mismo (Figura 2).

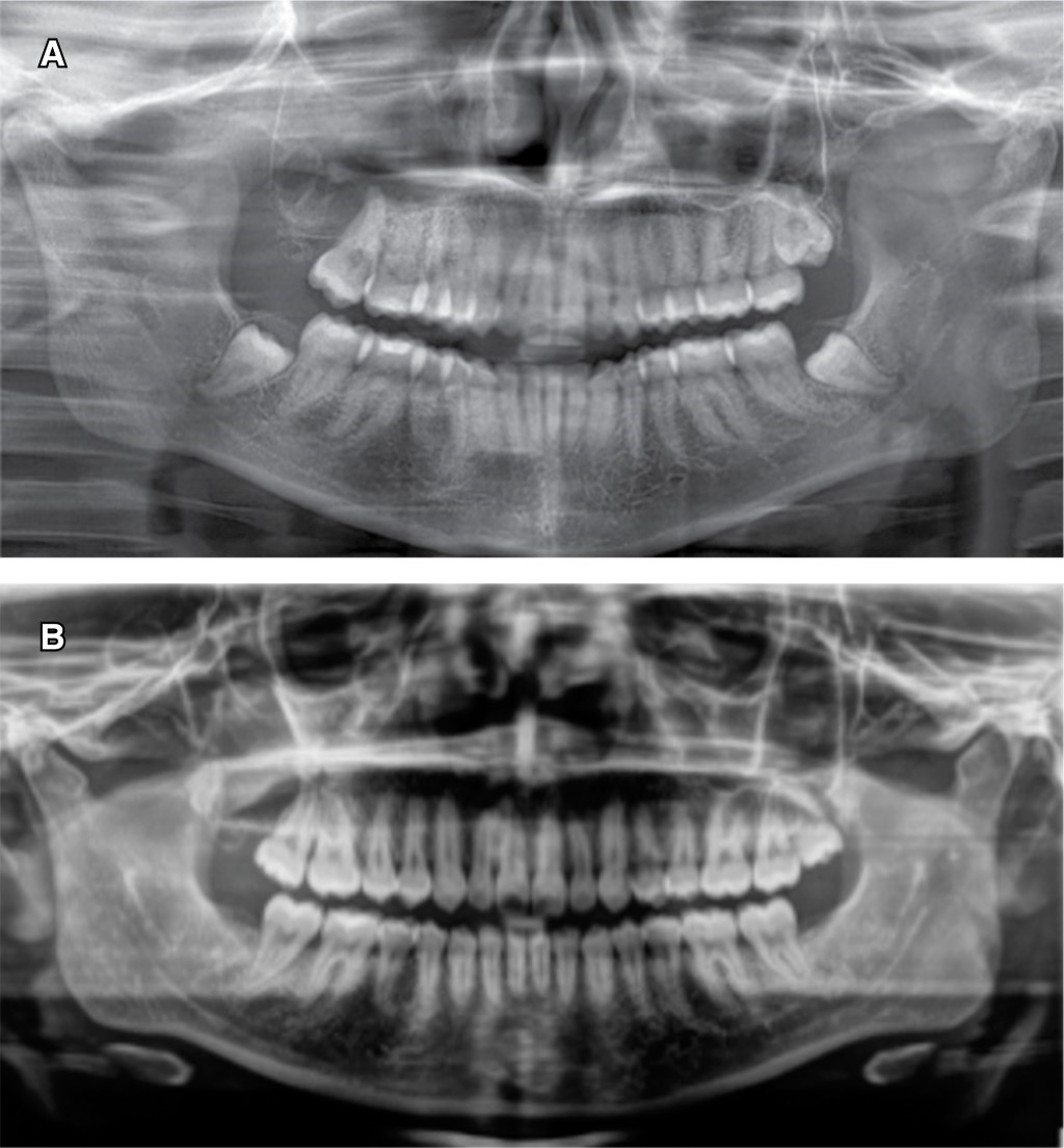
Se envió la muestra al Departamento de Patología de la DEPeI y se emitió el diagnóstico de queratoquiste odontogénico. Se decidió continuar con la descompresión de la cavidad quística hasta alcanzar un tamaño óptimo para la enucleación y la extracción de ésta. Se dio cita de control mensual y seguimiento radiográfico de la lesión cada cuatro meses. Ocho meses posteriores a la colocación del drenaje quístico, se observó en la ortopantomografía un cambio de densidad alrededor de la lesión, así como una mayor delimitación de la misma, por lo que se realizó la enucleación y la colocación de 5-fluorouracilo para su tratamiento (Figura 3A). Se comenzó con un abordaje a través de la pared anterior del seno maxilar, se procedió a la enucleación y curetaje del epitelio quístico, una vez retirado el tejido en su totalidad, se colocó una gasa embebida de 5-fluorouracilo (Efudix®) al 5% utilizando aproximadamente 1 g y se citó a la paciente para retiro de la gasa a las 24 horas (Figura 4). Concluidas las 24 horas se retiró el material colocado en el sitio de la enucleación y se realizó el cierre hermético de la mucosa bucal. Se envió la muestra completa para estudio histopatológico de la lesión y se corroboró el diagnóstico de queratoquiste odontogénico.

En la actualidad, la paciente sigue en control radiográfico y no se ha reportado ningún indicio de recidiva posterior a tres años, se observa el sitio de la lesión con adecuada evolución y formación de hueso en la cavidad quística (Figura 3B). Se requiere un seguimiento a largo plazo para confirmar el éxito del tratamiento, por lo cual se indicaron citas de control por al menos cinco años y control radiográfico cada tres a cuatro meses.



DISCUSIóN

El QQO representa de 10 a 20% de todos los quistes odontogénicos, siendo éste el tercer quiste más común.1 Radiográficamente se observa una imagen radiolúcida con bordes corticales bien definidos, puede ser unilocular o multilocular, y presentar también expansión de corticales y un poco de inflamación.2,3 Alrededor de 59% de los queratoquistes en la mandíbula se presentan en la región posterior, 41% se puede encontrar adyacente a los dientes, a diferencia del hueso maxilar, en los cuales 75.5% va a estar localizado en el área de los dientes y 24.5% va a estar localizado en la porción posterior maxilar. Histológicamente se observa un epitelio paraqueratinizado de 5-8 capas de células, sin crestas interpapilares, con una superficie corrugada, células basales dispuestas en empalizada, con núcleos hipercromáticos y polarización inversa.4,5 La presencia de paraqueratina es única entre las demás lesiones, por lo que hace su diagnóstico más certero.6 Algunas de las alteraciones genéticas que presentan estas lesiones son principalmente en genes supresores de tumores como lo son p16, p53, PTCH, MCC, TSLC1, LTAS2 y FHIT; sin embargo, la alteración genética reportada más importante en el queratoquiste es el gen Drosophila Patched (PTCH1), el cual codifica un receptor transmembrana para Sonic Hedgehog y otras proteínas Hedgehog.7

La enucleación, curetaje, resecciones amplias y terapias adyuvantes como la crioterapia, solución de Carnoy, solución de Carnoy modificada y, más recientemente, el uso tópico del 5-fluorouracilo son algunos de los tratamientos que podemos utilizar para el tratamiento de este quiste. La enucleación y el curetaje son los métodos tradicionales para el manejo de quistes odontogénicos y algunos tumores de la región maxilar.8 La enucleación tiene una recidiva de aproximadamente 25 a 60%, cuando se trata la lesión con resección y márgenes de seguridad de un centímetro, ésta puede llegar a ser de 0%, siendo inversamente proporcional al aumento excesivo de la morbilidad del paciente.3,9 Otra opción es la marsupialización del quiste, la cual consiste en suturar el epitelio quístico a la mucosa oral con el fin de lograr un recambio del epitelio y un engrosamiento de éste para facilitar su remoción o, mediante una incisión más pequeña, colocar un tubo de descompresión, con los mismos fines de la marsupialización, logrando de igual manera un recambio de epitelio y reduciendo el tamaño de la lesión. Si se realiza la descompresión como cura puede haber recidiva de 10%.3,9 En un estudio realizado por Da Silva y colaboradores comparaban la enucleación simple y la marsupialización combinada con una enucleación posterior a la descompresión de la lesión sin terapia adyuvante y disminuía la recurrencia en 52% comparada con la enucleación simple, por lo que se recomienda realizar una enucleación "retardada" previa al tratamiento definitivo.3,9 Diniz y su equipo describieron que en las lesiones tratadas con marsupialización existe una alteración de la mutación del gen PITCH1 y en la vía de señalización SHH.10

Gao y colegas publicaron un artículo en el año 2014 en el cual concluyeron que la media de descompresión al mes era de 2.87 cm2 en los QQO.11 Para la enucleación de quiste con osteotomía periférica se puede realizar con una osteotomía de la lesión de alrededor de 1-2 mm. Su desventaja es la mayor morbilidad al retirar una mayor cantidad de tejido además de la lesión quística.3,11 Para el tratamiento físico con crioterapia se deben alcanzar temperaturas menores a -20 oC. El único agente disponible que puede alcanzar estas temperaturas es el nitrógeno líquido, el cual alcanza temperaturas hasta de -198 oC. La técnica incluye la enucleación de la lesión, se debe aplicar a la cavidad hasta que se congele y se debe mantener así durante un minuto aplicándolo varias veces y luego se deja descongelar. Se recomienda que sea aplicado tres veces. Con el uso de esta técnica parece existir una recurrencia de alrededor de 10%.

La solución de Carnoy es un agente químico que se aplica durante 5 minutos en la cavidad ósea y después se debe lavar. La solución de Carnoy es neurotóxica y puede dañar el nervio alveolar o infraorbitario si éste está en contacto durante 2 minutos. El otro inconveniente de la solución de Carnoy es que contiene cloroformo, el cual se ha categorizado como carcinogénico por la Agencia de Protección Ambiental en Estados Unidos (EPA, por sus siglas en inglés), por lo cual muchos expertos lo han dejado de utilizar. Debido a esto, se propuso el uso de la solución de Carnoy modificada, la cual excluía al cloroformo dentro de la preparación. En un intento por aclarar el dilema que rodea este tema de discusión a la modificación de la solución de Carnoy, la Asociación Americana de Cirujanos Orales y Maxilofaciales (AAOMS, por sus siglas en inglés) refirió que de 6,880 miembros en 2013, 56% utilizaban la solución con cloroformo y 42% con la modificación, no reportando ninguna complicación con el uso de dicha solución, por lo que en la actualidad sigue defendiéndose el uso de este compuesto.3,12 En otro estudio se trató a un grupo de pacientes con solución de Carnoy (n = 44) y otro grupo con solución de Carnoy modificada (n = 36) y se demostró recidiva de 10% en pacientes tratados con solución de Carnoy y de 35% con solución modificada.13

En el estudio realizado en el año 2016 por Forteza y su grupo hubo una recurrencia de un total de 26.8%, siendo la marsupialización la que mayor tasa de recidiva presentaba con 45.8%.14 En el artículo realizado por Moraissi y colegas encontraron que con la enucleación sin ningún tratamiento adyuvante había una recidiva de 23.1%, con la enucleación combinada con curetaje fue de 17.4%, la enucleación con el uso de la solución de Carnoy fue de 11.5%, la enucleación combinada con la crioterapia fue de 14.5%, la marsupialización sin tratamiento adyuvante fue de 32.3%, la descompresión seguida de una enucleación fue de 14.6% y con la realización de resecciones amplias fue de 8.6%, obteniendo un total de recidivas en general de 16.6%.15 Debido a los altos porcentajes de recidiva, así como a la alta morbilidad con algunos de los tratamientos mencionados anteriormente, se ha buscado un tratamiento más conservador para este tipo de lesiones. Hoy en día, se ha propuesto una terapia dirigida, basada en el conocimiento actual de la patogénesis molecular de los queratoquistes. Estudios moleculares enfocados en la vía del gen supresor de tumores de la proteína homóloga patched (PTCH) nos han dado una terapia dirigida para los carcinomas de células basales. Se conoce que los queratoquistes se desarrollan a partir de una mutación similar a los carcinomas de células basales en el gen PTCH.

La mutación en este gen produce una activación de las vías de señalización Smoothened (SMO) y Sonic Hedgehog (SHH), resultando en un crecimiento neoplásico. De manera reciente, Rui y su equipo16 reportaron que las alteraciones en el gen SMO juegan un papel importante en el desarrollo del queratoquiste. Este descubrimiento sugiere que el antagonismo de la vía de señalización SHH puede ser un camino eficiente para el tratamiento dirigido a los queratoquistes, inhibiendo al gen SMO y suprimiendo los factores de transcripción de SHH. El medicamento antimetabolito, 5-fluorouracilo, ha demostrado que induce apoptosis inhibiendo SHH en las células del carcinoma hepatocelular, misma vía de señalización observada en el queratoquiste odontogénico, por lo cual se propone su uso tópico para el tratamiento de éste. En un estudio ambispectivo de cohorte en el tratamiento tópico de los queratoquistes con 5-fluorouracilo, en los cuales se tomó un grupo de 32 pacientes, 11 fueron tratados con 5-fluorouracilo y 21 con solución de Carnoy modificada, se demostró que no hubo recidivas con el uso de 5-fluorouracilo, además no hubo evidencia de daños locales o sistémicos.17

El 5-fluorouracilo es activado a través de un proceso enzimático triple, por la actividad catalítica secuencial de la carboxilesterasa (hígado), citidina desaminasa y timidina fosforilasa, esta cascada da como resultado la formación de 5-fluorouracilo. Éste es metabolizado adicionalmente a monofosfato de 5-fluorodesoxiuridina que inhibe la timidilato sintasa (TYMS). Este último convierte el monofosfato de desoxiuridina en timidina monofosfato, que es una molécula clave para la síntesis de ácido desoxirribonucleico (ADN). Además, el 5-fluorouracilo se puede incorporar directamente al ácido ribonucleico (ARN), que interfiere con la transcripción de ARN y, con menos frecuencia, en el ADN, inhibiendo su replicación. Con respecto a la dihidropirimidina deshidrogenasa (DYPD) el paso inicial consiste en el catabolismo de las pirimidinas fisiológicas, así como 5-fluorouracilo y capecitabina. Se expresa predominantemente en el hígado y desactiva más del 80% del medicamento administrado. Hasta 20% se excreta en la orina. La actividad reducida de DYPD (deficiencia de DYPD) produce un aumento de la vida media de éste y, por lo tanto, debido al aumento de concentración de 5-fluorouracilo en el organismo puede causar una toxicidad severa. La prevalencia de deficiencia parcial de DYPD es poco común, oscilando entre 3 a 5% de la población general.18

Hasta el momento no ha habido un informe de algún caso de toxicidad potencialmente mortal de un paciente que haya recibido únicamente la aplicación tópica del 5-fluorouracilo. En varios estudios anteriores de aplicación tópica del 5-fluorouracilo informan una tasa de absorción cutánea de 10%. Se estima que la aplicación de 2 g de crema de 5-fluorouracilo al 5% aplicado dos veces al día resultaría en una exposición total de 20 mg/día de 5-fluorouracilo (que se traduce en 0.33 mg/kg). Esta cantidad está muy por debajo de los 500-550 mg/kg típicos intravenosos de 5-fluorouracilo en bolo administrado para quimioterapia contra el cáncer.19 Se ha determinado que el rango terapéutico para que el 5-fluorouracilo sea seguro está comprendido en un área bajo la curva (ABC) que va de 20 a 30 mg/h/L. El ABC ha demostrado que es el parámetro de farmacocinética más estrechamente asociada con eficacia y toxicidad, y en la terapia con 5-fluorouracilo la mejor respuesta se observa en pacientes con medidas de ABC en el rango de 20-30 mg/h/L. Fuera de estos parámetros, un paciente corre el riesgo de toxicidad por estar recibiendo dosis terapéuticas subóptimas o bien, dosis tóxicas, por lo tanto, se decide realizar tratamiento utilizando el 5-fluorouracilo de manera tópica, el cual no presentó ningún tipo de efecto secundario, y, hasta el momento, evoluciona de manera satisfactoria sin la necesidad de haber realizado resecciones amplias y manteniendo de manera íntegra todas las estructuras adyacentes a la patología con una morbilidad mínima para el paciente.20



CONCLUSIONES

El queratoquiste tiene una alta tasa de recidiva si éste no es tratado correctamente. En la actualidad existen numerosas opciones de tratamiento para este tipo de patología, pero se debe buscar el tratamiento ideal dependiendo de las características individuales de cada paciente; además, hoy en día, aparte de eliminar la lesión por completo, se busca disminuir la morbilidad del paciente con dichos tratamientos, evitando procedimientos radicales y extensos. La utilización tópica del 5-fluorouracilo es una buena elección de tratamiento adyuvante debido a sus propiedades y su menor morbilidad al realizar el tratamiento.


REFERENCIAS (EN ESTE ARTÍCULO)

  1. El-Naggar A, Chan J, Grandis JR, Takata T, Slootweg P (Eds). Who classification of head and neck tumours. 4th ed. Lyon Francia: International Agency of Research on Cancer; 2017.

  2. Neville B, Damm D, Allen C, Chi A. Oral and maxillofacial pathology. 4th ed. St Louis, Missouri: Elsevier; 2015.

  3. Pogrel MA. The keratocystic odontogenic tumor. Oral Maxillofacial Surg Clin N Am. 2013; 25 (1): 21-30.

  4. Wright JM, Vered M. Update from the 4th Edition of the World Health Organization classification of head and neck tumours: odontogenic and maxillofacial bone tumors. Head and Neck Pathology. 2017; 11 (1): 68-77.

  5. Slusarenko da Silva Y, Stoelinga PJW, Naclério-Homem MDG. The presentation of odontogenic keratocysts in the jaws with an emphasis on the tooth-bearing area: a systematic review and meta-analysis. Oral Maxillofac Surg. 2019; 23 (2): 133-147.

  6. Jordan RC. Histology and ultrastructural features of the odontogenic keratocyst. Oral Maxillofac Surg Clin North Am. 2003; 15 (3): 325-333.

  7. Gomes CC, Diniz MG, Gomez RS. Review of the molecular pathogenesis of the odontogenic keratocyst. Oral Oncol. 2009; 45 (12): 1011-1014.

  8. Pogrel MA, Kahnberg K, Andersson L (Eds). Essentials of oral and maxillofacial surgery. John Willey & Sons; 2014.

  9. Da Silva Y, Stoelinga P, Homem M. Recurrence of nonsyndromic odontogenic keratocyst after marsupialization and delayed enucleation vs. enucleation alone: a systematic review and meta-analysis. Oral Maxillofac Surg. 2019; 23 (1): 1-11.

  10. Diniz MG, Borges ER, Guimaraes AL, Moreira PR, Brito JA, Gomez MV et al. PTCH1 isoforms in odontogenic keratocysts. Oral Oncol. 2009; 45 (3): 291-295.

  11. Gao L, Wang X, Li S, Liu C, Chen C, Li J et al. Decompression as a treatment for odontogenic cystic lesions of the jaw. J Oral Maxillofac Surg. 2014; 72 (2): 327-333.

  12. Ecker J, Horst RT, Koslovsky D. Current role of Carnoy's solution in treating keratocystic odontogenic tumors. J Oral Maxfac Surg. 2016; 74 (2): 278-282.

  13. Dashow JE, McHugh JB, Braun TM, Edwards SP, Helman JI, Ward BB. Significantly decreased recurrence rates in keratocystic odontogenic tumor with simple enucleation and curettage using Carnoy's versus modified Carnoy's solution. J Oral Maxillofac Surgery. 2015; 73 (11): 2132-2135.

  14. Forteza-López A, Saez-Alcaide L-M, Molinero-Mourelle P, Helm A, Paz-Hermoso V, Blanco-Jerez L, et al. Tratamiento de tumor odontogénico queratoquístico: una revisión sistemática. Rev Esp Cirug Oral y Maxilofac. 2019; 41 (1): 26-32.

  15. Al-Moraissi EA, Dahan AA, Alwadeai MS, Oginni FO, Al-Jamali JM, Alkhutari AS, et al. What surgical treatment has the lowest recurrence rate following the management of keratocystic odontogenic tumor?: A large systematicreview and meta-analysis. J Craniomaxillofac Surg. 2017; 45 (1): 131-144.

  16. Rui Z, Li-Ying P, Jia-Fei Q, Ying-Ying H, Feng C, Tie-Jun L. Smoothened gene alterations in keratocystic odontogenic tumors. Head Face Med. 2014; 10: 1-7.

  17. Ledderhof NJ, Caminiti MF, Bradley G, Lam DK. Topical 5-Fluorouracil is a novel targeted therapy for the keratocystic odontogenic tumor. J Oral Maxillofac Surg. 2017; 75 (3): 514-524.

  18. Papanastasopoulus P, Stebbing J. Molecular basis of 5-fluoruracil-related toxicity: Lessons of clinical practice. Anticancer Res. 2014; 34 (4): 1531-1536.

  19. Johnson MR, Hageboutros A, Wang K, High L, Smith JB, Diasio RB. Life-threatening toxicity in a dihydropyrimidine dehydrogenasedeficient patient after treatment with topical 5-fluorouracil. Clin Cancer Res.1999; 5 (8): 2006-2011.

  20. Matus J, Aguilar J, Lara F, Herrera A, Meneces A, López M. Revisión del monitoreo farmacocinético del 5-fluorouracilo como herramienta para incrementar eficacia y seguridad. Rev Med Inst Mex Seguro Soc. 2016; 54 (3): 354-362.



AFILIACIONES

1 Clínica de Cirugía Oral y Maxilofacial de la División de Estudios de Postgrado e Investigación, Facultad de Odontología, Universidad Nacional Autónoma de México.



CORRESPONDENCIA

Óscar Rohel Hernández-Ortega. E-mail: oscarrohel@hotmail.com




Recibido: Mayo 2020. Aceptado: Junio 2020.

Figura 1
Figura 2
Figura 3
Figura 4

2020     |     www.medigraphic.com

Mi perfil

C?MO CITAR (Vancouver)

Rev Odont Mex. 2021;25

ARTíCULOS SIMILARES

CARGANDO ...