medigraphic.com
ENGLISH

CIU Cardiac Image Updated

ISSN 2683-2313 (Digital)
Sociedad Nacional de Ecocardiografía de México AC (SONECOM)
  • Mostrar índice
  • Números disponibles
  • Información
    • Información general        
    • Directorio
  • Publicar
    • Instrucciones para autores        
  • medigraphic.com
    • Inicio
    • Índice de revistas            
    • Registro / Acceso
  • Mi perfil

2022, Número 1

<< Anterior Siguiente >>

CIU Cardiac Image Updated 2022; 2 (1)


Endocarditis y espondilodiscitis como complicación de ruptura de aneurisma ventricular postinfarto

Borges-López JS, Rosas-Munive E, Barón-Caballero JL, Ochoa-Pérez V, Castaño-Guerra RJ, Ayala-Hernández E, Trejo-Caballero A
Texto completo Cómo citar este artículo 10.35366/105941

DOI

DOI: 10.35366/105941
URL: https://dx.doi.org/10.35366/105941
Artículos similares

Idioma: Ingles.
Referencias bibliográficas: 10
Paginas: 21-25
Archivo PDF: 348.08 Kb.


PALABRAS CLAVE

Aneurisma ventricular, infarto, endocarditis, espondilodiscitis.

RESUMEN

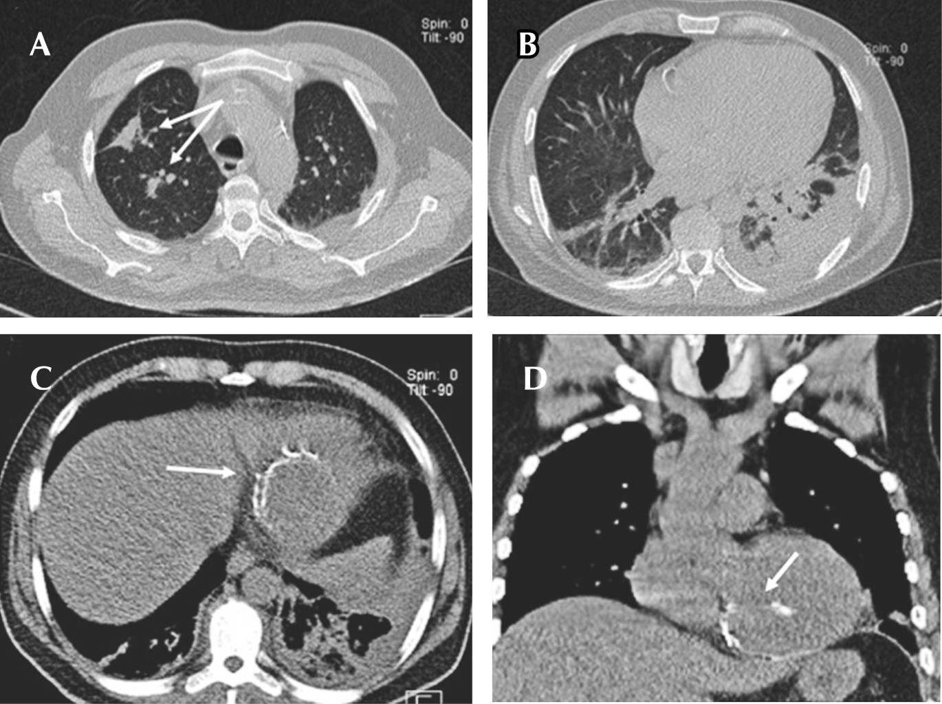
El aneurisma ventricular postinfarto se define como una dilatación del ventrículo izquierdo o derecho en forma sacular que puede provocar su ruptura a nivel de la pared o septum ventricular y puede predisponer a endocarditis debido a la producción de turbulencias ocasionadas por cortocircuitos que ocasionan daño del tejido endocárdico con la consecuente colonización bacteriana y embolismos sistémicos. Una vez confirmado el diagnóstico, debe otorgarse tratamiento antibiótico y, en caso de complicaciones, valorarse el tratamiento quirúrgico. Se reporta el caso de un paciente masculino con antecedente previo de infarto agudo de miocardio, el cual acudió a urgencias por presentar datos de respuesta inflamatoria sistémica, evidenciándose endocarditis en válvula tricúspide y un aneurisma ventricular roto, condicionando fenómenos embólicos a columna dorsal, por lo que requirió tratamiento quirúrgico.


REFERENCIAS (EN ESTE ARTÍCULO)

  1. Arnaoutakis GJ, Zhao Y, George TJ, Sciortino CM, McCarthy PM, Conte JV. Surgical repair of ventricular septal defect after myocardial infarction: outcomes from the Society of Thoracic Surgeons National Database. Ann Thorac Surg. 2012; 94 (2): 436-443; discussion 443-444.

  2. Cabrera-Rego J, Castañeda O, Valiente-Mustelier J, LLerena-Rojas R, López-Ferrero L, Mendoza-Rodríguez V. Presentación tardía de aneurisma ventricular post-infarto. Caracterización por múltiples modalidades de imagen. Revista Finlay [Internet]. 2011; 1 (3). Disponible en: http://www.revfinlay.sld.cu/index.php/finlay/article/view/57

  3. Romero TL, Gutiérrez JL, Vasquez TG. Aneurisma ventricular calcificado en un paciente con cardiopatía isquémica y antecedente de trauma cerrado de tórax. Rev Costarric Cardiol. 2006; 8 (1): 27-29.

  4. Walpot J, Peerenboom P, van Wylick A, Klazen C. Aneurysm of the membranous septum with ventricular septal defect and infective endocarditis. Eur J Echocardiogr. 2004; 5 (5): 391-393.

  5. Alvarado Sánchez E, Lacayo González H, Siles Varela MA. Ruptura miocárdica y formación de aneurisma después de un infarto agudo de miocardio silente: Reporte de un caso. Rev Costarric Cardiol. 2011; 13 (2): 33-36.

  6. Egbe AC, Poterucha JT, Rihal CS, Taggart NW, Cetta F, Cabalka AK, et al. Transcatheter closure of postmyocardial infarction, iatrogenic, and postoperative ventricular septal defects: The Mayo Clinic experience. Catheter Cardiovasc Interv. 2015; 86 (7): 1264-1270. doi: 10.1002/ccd.25989.

  7. Ronco D, Matteucci M, Kowalewski M, De Bonis M, Formica F, Jiritano F, et al. Surgical treatment of postinfarction ventricular septal rupture. JAMA Netw Open. 2021; 4 (10): e2128309. doi: 10.1001/jamanetworkopen.2021.28309.

  8. Blázquez González JA, Cortina JM, Centeno J, López MJ, Forteza A, Pérez de la Sota E, et al. Corrección quirúrgica de la comunicación interventricular postinfarto. Cir. Cardiov. 2009; 16 (2): 197-205.

  9. Prior-Español A, Mateo L, Martínez-Morillo M, Riveros-Frutos A. Espondilodiscitis sin endocarditis causada por Streptococcus mitis. Reumatol Clin. 2016; 12 (6): 356-364.

  10. Friedman BM, Dunn MI. Postinfarction ventricular aneurysms. Clin Cardiol. 1995; 18 (9): 505-511. doi: 10.1002/clc.4960180905.




Figura 1
Figura 2
Figura 3
Figura 4

2020     |     www.medigraphic.com

Mi perfil

C?MO CITAR (Vancouver)

CIU Cardiac Image Updated . 2022;2

ARTíCULOS SIMILARES

CARGANDO ...