medigraphic.com
ENGLISH

CIU Cardiac Image Updated

ISSN 2683-2313 (Digital)
Sociedad Nacional de Ecocardiografía de México AC (SONECOM)
  • Mostrar índice
  • Números disponibles
  • Información
    • Información general        
    • Directorio
  • Publicar
    • Instrucciones para autores        
  • medigraphic.com
    • Inicio
    • Índice de revistas            
    • Registro / Acceso
  • Mi perfil

2022, Número 1

<< Anterior Siguiente >>

CIU Cardiac Image Updated 2022; 2 (1)


Disección de la arteria pulmonar en cardiopatía chagásica

Larios LJH, Franco CCE, Gómez LV, Castillo HGJ
Texto completo Cómo citar este artículo 10.35366/105940

DOI

DOI: 10.35366/105940
URL: https://dx.doi.org/10.35366/105940
Artículos similares

Idioma: Ingles.
Referencias bibliográficas: 16
Paginas: 16-20
Archivo PDF: 283.16 Kb.


PALABRAS CLAVE

Disección de la arteria pulmonar, cardiopatía chagásica, angiotomografía torácica.

RESUMEN

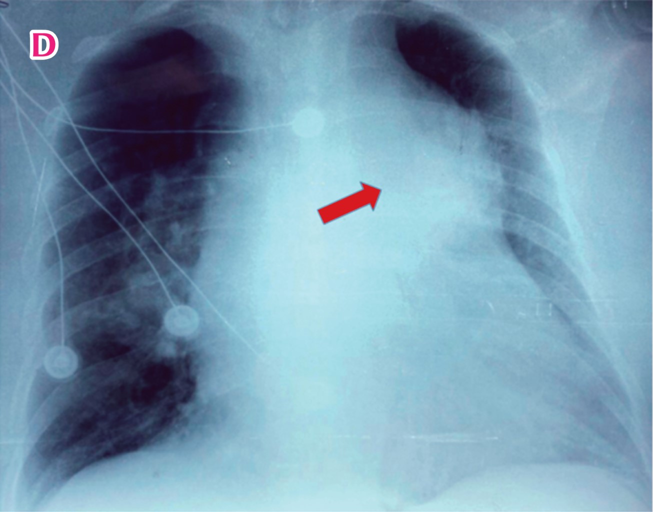
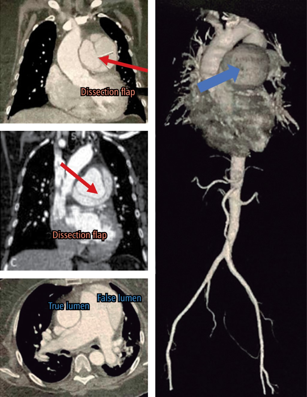
Objetivo: Describir la presentación de una disección de arteria pulmonar a la Unidad de Urgencias, la secuencia de eventos y revisión de la literatura. Reporte de caso: Paciente femenino de 59 años con cardiopatía chagásica conocida, quien acudió a urgencias por un episodio de dolor torácico repentino punzante y disnea progresiva, que evolucionó rápidamente a choque cardiogénico. Una radiografía de tórax informó un ensanchamiento severo del mediastino y cardiomegalia; por tanto, se realizó una angiotomografía torácica para descartar síndrome aórtico agudo, en la que se diagnosticó un aneurisma disecante de arteria pulmonar. El ecocardiograma transtorácico mostró un colgajo de la íntima a nivel de la arteria pulmonar y una dilatación severa. La paciente falleció en menos de 4 horas desde su llegada a urgencias sin poder acceder a tratamiento quirúrgico debido a la rápida evolución. Conclusión: La disección de la arteria pulmonar es una enfermedad rara, con una alta tasa de mortalidad. El manejo óptimo requiere un diagnóstico rápido con múltiples técnicas de imagen. Falta información sobre este tema.


REFERENCIAS (EN ESTE ARTÍCULO)

  1. Perrotta S, Lentini S. Pulmonary artery dissection. J Card Surg. 2015; 30 (5): 442-447.

  2. Malm CJ, Ternstrom L, Jorgensen K, Dellgren G. Pulmonary artery dissection in a patient with undiagnosed pulmonary hypertension--A case report and review of literature. Heart Lung. 2015; 44 (5): 453-457.

  3. Navas Lobato MA, Martín Reyes R, Lurueña Lobo P, Maté Benito I, Guzmán Hernández G, Martí de Gracia M, et al. Pulmonary artery dissection and conservative medical management. Int J Cardiol. 2007; 119 (1): e25-e26.

  4. Correa Rde A, Silva LC, Rezende CJ, Bernardes RC, Prata TA, Silva HL. Pulmonary hypertension and pulmonary artery dissection. J Bras Pneumol. 2013; 39 (2): 238-241.

  5. Senbaklavaci O, Kaneko Y, Bartunek A, Brunner C, Kurkciyan E, Wunderbaldinger P, et al. Rupture and dissection in pulmonary artery aneurysms: incidence, cause, and treatment--review and case report. J Thorac Cardiovasc Surg. 2001; 121 (5): 1006-1008.

  6. Shilkin KB, Low LP, Chen BT. Dissecting aneurysm of the pulmonary artery. J Pathol. 1969; 98 (1): 25-29.

  7. Inayama Y, Nakatani Y, Kitamura H. Pulmonary artery dissection in patients without underlying pulmonary hypertension. Histopathology. 2001; 38 (5): 435-442.

  8. Tonder N, Kober L, Hassager C. Pulmonary artery dissection in a patient with Eisenmenger syndrome treated with heart and lung transplantation. Eur J Echocardiogr. 2004; 5 (3): 228-230.

  9. Degano B, Prevot G, Tetu L, Sitbon O, Simonneau G, Humbert M. Fatal dissection of the pulmonary artery in pulmonary arterial hypertension. Eur Respir Rev. 2009; 18 (113): 181-185.

  10. Westaby S, Evans BJ, Ormerod O. Pulmonary-artery dissection in patients with Eisenmenger's syndrome. N Engl J Med. 2007; 356 (20): 2110-2112.

  11. Zhang C, Huang X, Li S, Yao H, Zhang B. Pulmonary artery dissection: a fatal complication of pulmonary hypertension. Case Rep Med. 2016; 2016: 4739803.

  12. Hako R, Fedacko J, Tóth S, Morochovic R, Kristian P, Pekárová T, et al. Rare presentation of left lower lobe pulmonary artery dissection. Case Rep Med. 2017; 2017: 2760535.

  13. Hoye SL, Gale CP, Tolan DJ, Pepper CB. An unusual presentation of pulmonary artery dissection. Thorax. 2009; 64 (4): 368.

  14. Neimatallah MA, Hassan W, Moursi M, Al Kadhi Y. CT findings of pulmonary artery dissection. Br J Radiol. 2007; 80 (951): e61-e63.

  15. Khattar RS, Fox DJ, Alty JE, Arora A. Pulmonary artery dissection: an emerging cardiovascular complication in surviving patients with chronic pulmonary hypertension. Heart. 2005; 91 (2): 142-145.

  16. Arul Rajamurugan PS, Panchapakesa Rajendran C, Rukmangatharajan S, Kanakarani P, Rajeswari S, Ravichandran R. Aortic dissection in a case of systemic lupus erythematosus. Lupus. 2007; 16 (12): 1001-1003. doi: 10.1177/0961203307081996.




Figura 1
Figura 2
Figura 3
Tabla 1

2020     |     www.medigraphic.com

Mi perfil

C?MO CITAR (Vancouver)

CIU Cardiac Image Updated . 2022;2

ARTíCULOS SIMILARES

CARGANDO ...