medigraphic.com
ENGLISH

Revista Mexicana de Cirugía Endoscópica

ISSN 1665-2576 (Impreso)
  • Mostrar índice
  • Números disponibles
  • Información
    • Información general        
    • Directorio
  • Publicar
    • Instrucciones para autores        
    • Envío de artículos
  • medigraphic.com
    • Inicio
    • Índice de revistas            
    • Registro / Acceso
  • Mi perfil

2021, Número 3-4

<< Anterior Siguiente >>

Rev Mex Cir Endoscop 2021; 22 (3-4)


Vólvulo gástrico; presentación clínica de una complicación de cirugía gástrica previa

Hermosillo-Cornejo, Daniel González1; López-Almanza, Perla Ximena2; Reyes-Rodríguez, Enrique3; Montalvo-Domínguez, Gerardo Andrés1; Martínez-Garza, Pablo Andrade1
Texto completo Cómo citar este artículo 10.35366/106479

DOI

DOI: 10.35366/106479
URL: https://dx.doi.org/10.35366/106479
Artículos similares

Idioma: Español
Referencias bibliográficas: 19
Paginas: 145-149
Archivo PDF: 234.14 Kb.


PALABRAS CLAVE

Vólvulo gástrico, dolor abdominal, vómito, caso clínico.

RESUMEN

Introducción: El vólvulo gástrico es una entidad poco frecuente, fue descrita por primera vez en 1841 por Von Rokitansky como una causa de estrangulación intestinal. Los datos clínicos sugestivos de vólvulo gástrico incluyen: dolor epigástrico intenso, imposibilidad para vomitar e incapacidad para colocar una sonda nasogástrica. Su diagnóstico oportuno y tratamiento eficaz son fundamentales para un buen desenlace clínico. Caso clínico: Presentamos el caso de un hombre de 50 años de edad con antecedente de funduplicatura laparoscópica 10 meses previos a su ingreso, quien cursó con dolor abdominal progresivo y datos sugestivos de vólvulo gástrico, diagnóstico que se confirmó mediante estudios auxiliares, siendo sometido a detorsión y gastropexia con adecuada evolución. Conclusión: El vólvulo gástrico es una condición infrecuente, con espectro clínico amplio. La creación de guías estandarizadas con base en evidencia científica deberá ser el objetivo de investigación futura.



INTRODUCCIóN

El término vólvulo deriva del latín volvere que significa "dar vueltas" o "girar", fue descrito por primera vez en 1841 por Von Rokitansky como causa de estrangulación intestinal1 y desde entonces los vólvulos han sido considerados entidades poco frecuentes, pero con elevada mortalidad; por lo que su diagnóstico temprano y tratamiento oportuno son obligatorios.2 A pesar de tener diversas etiologías, el vólvulo gástrico secundario a un procedimiento quirúrgico, específicamente una funduplicatura laparoscópica, es en extremo raro y ha sido comunicado de manera excepcional en reportes de casos. Presentamos el caso de un hombre de 50 años con antecedente de funduplicatura laparoscópica y posterior vólvulo gástrico. Difundir el abordaje diagnóstico y terapéutico de este caso clínico, ayudará a otros médicos a sospechar esta entidad y tratarla de manera oportuna.



PRESENTACIóN DEL CASO

Hombre de 50 años de edad, quien como único antecedente relevante mencionó una funduplicatura laparoscópica 10 meses previos a su ingreso. Su padecimiento actual se caracterizó por la presencia de dolor abdominal de dos días de evolución, que progresó en intensidad hasta volverse incapacitante, refiriendo además irradiación al tórax posterior, náusea y arqueo sin vómito en múltiples ocasiones. Se realizaron estudios de laboratorio que evidenciaron: hemoglobina 17.1 g/dL, plaquetas 196,000/μL, leucocitos 9,300/μL, tiempo de protrombina 11 segundos, tiempo de tromboplastina parcial activada 27.5 segundos, glucosa sérica 101 mg/dL, BUN 16.1 mg/dL, creatinina sérica 1.1 mg/dL y lipasa sérica de 32 U/L. Se decidió llevar a cabo gastroduodenoscopía, donde se encontró dificultad para el paso del endoscopio al estómago y abundante contenido líquido (600 mm3), además de aspecto arremolinado y edematoso de los pliegues gástricos, lo que hizo sospechar un vólvulo gástrico (Figura 1).

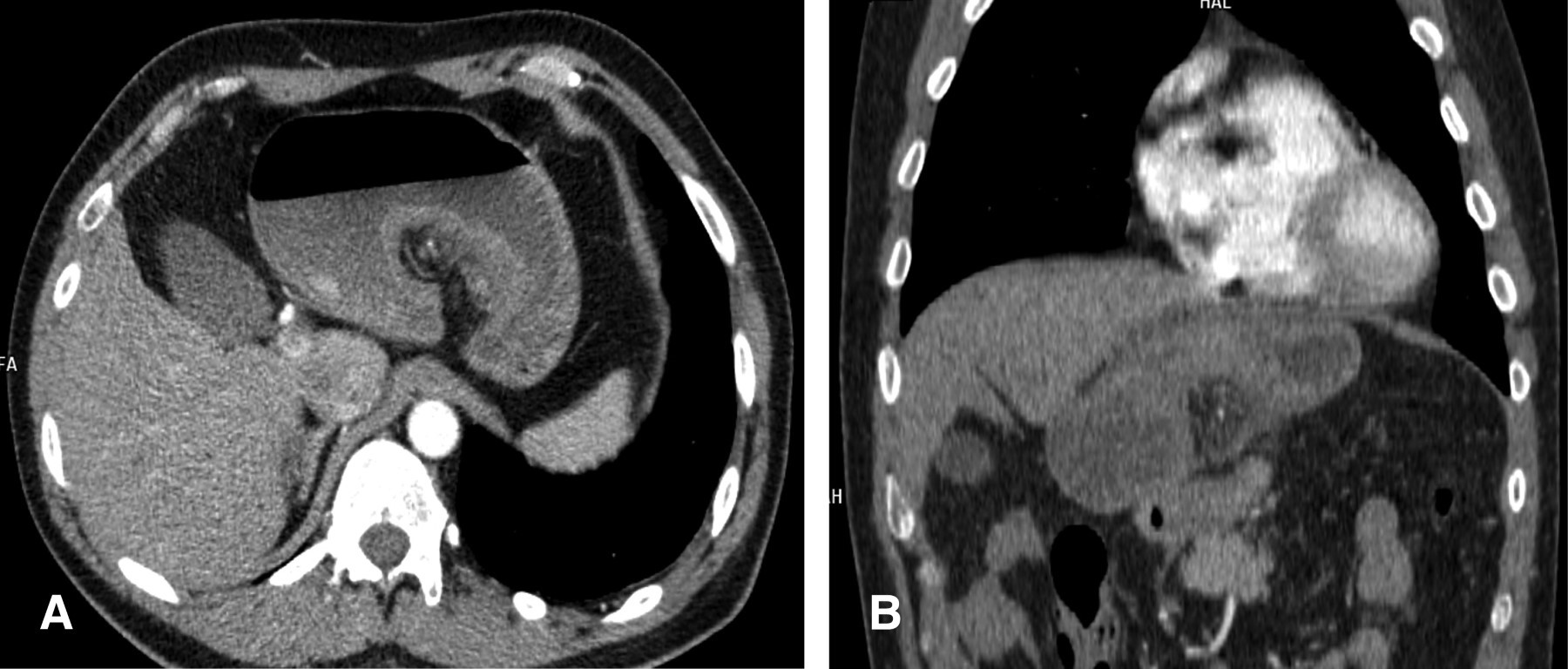
El paciente fue hospitalizado y se le efectuó tomografía toracoabdominal, que reportó al estómago con engrosamiento de sus pliegues y signo de remolino hacia la región del píloro, confirmando la sospecha diagnóstica (Figura 2), por lo que se optó por la resolución quirúrgica urgente mediante laparoscopía, detorsión gástrica y gastropexia (Figuras 3 y 4). La evolución fue satisfactoria; un esofagograma con medio hidrosoluble de control posquirúrgico confirmó la ausencia de complicaciones a las 12 horas de la cirugía y el paciente pudo egresar para seguimiento por consulta externa tras cuatro días de estancia hospitalaria (Figura 5).



DISCUSIóN

El vólvulo gástrico se caracteriza por una rotación anormal del estómago, de más de 180 grados,3 que puede clasificarse según su "causa", "eje de rotación" o "cronicidad". Los vólvulos primarios (también llamados idiopáticos) ocurren por una alteración en las estructuras de fijación gástrica; mientras que los secundarios se desarrollan como consecuencia de alteraciones anatómicas o funcionales del estómago u órganos adyacentes, siendo la asociación más frecuente con hernias diafragmáticas.3-5

En el caso del paciente presentado en este reporte, el vólvulo gástrico se clasificaría como secundario tras la funduplicatura laparoscópica previa, que fungió como alteración anatómica a partir de la cual se desarrolló un eje de rotación.

El eje de rotación del estómago clasifica a los vólvulos gástricos en órganoaxiales, mesenteroaxiales o mixtos. El vólvulo organoaxial (hasta 60% de los casos) sucede cuando el estómago rota sobre su eje longitudinal tomando en cuenta una línea imaginaria trazada entre la unión gastroesfágica y el píloro. El vólvulo mesenteroaxial se debe a una rotación sobre el eje de su mesenterio tomando en cuenta una línea imaginaria perpendicular a éste, dibujada entre la curvatura menor y mayor. El vólvulo mixto es una mezcla de los anteriores.3,4

El pico de incidencia de esta patología ocurre en la quinta década de la vida y no se han reportado asociaciones con género o raza.3,5 La forma secundaria es la más frecuente y corresponde hasta 70% de los casos.3

La obstrucción provocada por un vólvulo puede ser transitoria o aguda y sostenida, provocando la última isquemia gástrica.1 Es, además, una verdadera emergencia quirúrgica, ya que la mortalidad en estos casos se ha reportado hasta en 50% de los pacientes.5

La presentación clínica típica de la forma aguda es con dolor en el abdomen superior, acompañado de la imposibilidad para vomitar y la incapacidad para colocar una sonda nasogástrica, signos que conforman la denominada Tríada de Borchardt, presente en hasta 70% de los casos.3,6,7

En el caso presentado, la clínica obligaba a descartar otras causas de dolor abdominal intenso acompañado de náusea e irradiación del dolor hacia tórax posterior, en especial pancreatitis aguda, infarto agudo al miocardio, etcétera. Tras el descarte de otros diagnósticos diferenciales, la resistencia al paso del endoscopio sugirió directamente vólvulo gástrico.

Algunas complicaciones que se han reportado además de la perforación y necrosis son: ulceración, hemorragia, necrosis pancreática y avulsión del omento.8

Por tratarse de una entidad infrecuente, su diagnóstico requiere de alta sospecha clínica.3-5 La confirmación suele llevarse a cabo mediante métodos radiológicos como los estudios contrastados o la tomografía toracoabdominal, siendo esta última, además, capaz de identificar defectos anatómicos y evidenciar la presencia de perforaciones.3,9

El tratamiento implica la descompresión gástrica inmediata para prevenir las complicaciones y aliviar la sintomatología,3 siendo el estándar de oro el manejo quirúrgico resolutivo (reducción del vólvulo, descompresión, resección del tejido necrótico y prevención de las recurrencias mediante técnicas de fijación).10,11

La endoscopía digestiva superior puede, en algunas ocasiones, confirmar el diagnóstico en casos de duda, además de lograr la descompresión y evaluar la viabilidad de la mucosa gástrica, siendo una alternativa terapéutica descrita en fechas recientes para pacientes con contraindicaciones quirúrgicas.11

El vólvulo gástrico representa un reto diagnóstico y la demora en el tratamiento puede ocasionar complicaciones que tienen impacto en la morbimortalidad del paciente.12,13 Para realizar el diagnóstico oportuno es necesario mantener un alto índice de sospecha basado en las manifestaciones clínicas, para enfocar adecuadamente los estudios de gabinete.

Dentro de las múltiples opciones con las que se cuentan hoy en día, los estudios radiológicos desempeñan un papel importante, la tomografía abdominal permite caracterizar el vólvulo gástrico y detectar si hay complicaciones asociadas, ya que los cortes menores a 1 mm permiten la reconstrucción de las imágenes con excelente calidad.

Por otra parte, los estudios contrastados ayudan a delimitar mejor la anatomía y aportan cierto beneficio para la planeación quirúrgica. De acuerdo con un estudio publicado por Teague y su equipo, los estudios contrastados confirmaron el diagnóstico en la mayoría de los pacientes de su serie de casos (14 de los 25 pacientes considerados).3,14

Albas y equipo describieron cuatro hallazgos que predicen un vólvulo gástrico por radiología con buena sensibilidad: a) niveles hidroaéreos por encima del diafragma, b) escaso aire distal en el intestino, c) inversión de la posición de la curvatura mayor del estómago y d) píloro apuntando hacia abajo.13

En algunos casos es necesario hacer una gastroduodenoscopía como auxiliar diagnóstico o para la colocación de una sonda de descompresión bajo visualización directa, un método considerado seguro y con menor morbimortalidad que un procedimiento quirúrgico en algunos pacientes seleccionados.4 Toydemir reportó que este método diagnóstico se utilizó en 14 pacientes que fueron sometidos a corrección de un vólvulo gástrico por vía laparoscópica, siendo en conjunto con la tomografía y los estudios contrastados, parte del protocolo prequirúrgico establecido en su centro.15

Investigaciones recientes reportan que a pesar de que los estudios contrastados son más útiles en el diagnóstico, la gastroduodenoscopía es más sensible para valorar el grado de isquemia en la mucosa gástrica, y por lo tanto, algunos autores recomiendan la ejecución de una endoscopía superior de forma temprana, en caso de estar disponible.16

Se recomienda el tratamiento conservador en pacientes que no presenten datos sugestivos de compromiso vascular o perforación. La colocación de una sonda nasogástrica aporta alivio en la sintomatología y en algunos casos ayuda a reducir el vólvulo de forma espontánea; sin embargo, la resolución definitiva y la prevención de futuras recidivas será mediante un procedimiento quirúrgico.2

En el caso del paciente presentado en este reporte, se optó por el abordaje quirúrgico para una mejor evaluación de la cavidad abdominal y para evitar futuras recidivas, mediante la realización de gastropexia.

Jacob reportó que de 38 casos revisados, en un periodo que comprendía desde 1968 hasta 2001, 18 fueron manejados de forma conservadora, manteniéndose sólo uno de ellos asintomático y sin necesidad de más intervenciones, lo que demuestra la baja tasa de éxito clínico con este escenario.17

En cuanto a la comparación entre cirugía abierta o laparoscópica, Martínez y su equipo identificaron, en un periodo de más de 10 años, a 10 pacientes con diagnóstico de vólvulo gástrico agudo, de los cuales nueve fueron manejados de forma laparoscópica posterior al tratamiento inicial. La evolución posquirúrgica en este grupo de pacientes fue favorable, logrando su egreso en un periodo de 48-72 horas, lo que asemeja a lo ocurrido en nuestro caso, evidenciando la eficacia y seguridad de esta técnica mínimamente invasiva si se tiene el entrenamiento adecuado.18 Teague y colaboradores reportaron también disminución importante en los días de estancia intrahospitalaria en los pacientes sometidos a un abordaje laparoscópico, por lo que de estar disponible, éste deberá considerarse como el tratamiento de elección.19



CONCLUSIÓN

El vólvulo gástrico es una condición infrecuente, con un espectro clínico amplio. Es fundamental el diagnóstico y tratamiento oportuno, ya que el retraso en el mismo se asocia con mortalidad elevada. A pesar de modalidades terapéuticas conservadoras, el tratamiento quirúrgico continúa siendo el manejo definitivo de elección y las terapias puente deberán ser sólo consideradas para mejorar las condiciones del paciente antes del procedimiento quirúrgico. La creación de guías estandarizadas con base en evidencia científica es objetivo de investigación futura que proponemos para una mejor atención de estos pacientes.


REFERENCIAS (EN ESTE ARTÍCULO)

  1. Gingold D, Murrell Z. Management of colonic volvulus. Clinn Colon Rectal Surg. 2012; 25: 236-244.

  2. Bauman ZM, Evans CH. Volvulus. Surg Clin North Am. 2018; 98: 973-993.

  3. Rashid F, Thangarajah T, Mulvey D, Larvin M, Iftikhar SY. A review article on gastric volvulus: a challenge to diagnosis and management. Int J Surg. 2010; 8: 18-24.

  4. Karthikeyan VS, Sistla SC, Ram D, Rajkumar N. Gastric volvulus following diagnostic upper gastrointestinal endoscopy: a rare complication. BMJ Case Rep. 2014; 2014: bcr2013202833.

  5. Coleman KC, Grabo D. Paraesophageal hernia and gastric volvulus. In: Brown C, Inaba K, Martin M, Salim A eds. Emergency general surgery. Springer, Cham. 2019, 397-403. Available in: https://doi.org/10.1007/978-3-319-96286-3_35

  6. Sleiwah A, Thomas G, Crawford I, Stanek A. Gastric volvulus: a potentially fatal cause of acute abdominal pain. BMJ Case Rep. 2017; 2017: bcr2016217708.

  7. Chau B, Dufel S. Gastric volvulus. Emerg Med J. 2007; 24: 446-447.

  8. Shivanand G, Seema S, Srivastava DN, Pande GK, Sahni P, Prasad R et al. Gastric volvulus: acute and chronic presentation. Clin Imaging. 2003; 27: 265-268.

  9. Light D, Links D, Griffin M. The threatened stomach: management of the acute gastric volvulus. Surg Endosc. 2016; 30: 1847-1852.

  10. Reyes-Zamorano J. Vólvulo gástrico agudo: una complicación tardía de la funduplicatura Nissen. Reporte de dos casos y análisis de la bibliografía. Cir Cir. 2014; 82: 541-550.

  11. Ramos GP, Majumder S, Ravi K, Sweetser S. Role of diagnostic preoperative upper gastrointestinal endoscopy in radiologically confirmed gastric volvulus. Dig Dis Sci. 2018; 63: 3091-3096.

  12. Ghosh RK, Fatima K, Ravakhah K, Hassan C. Gastric volvulus: an easily missed diagnosis of chest pain in the emergency room. BMJ Case Rep. 2016; 2016: bcr2015213888.

  13. Lopez PP, Megha R. Gastric volvulus. [Updated 2019 Aug 22]. In: StatPearls [Internet]. Treasure Island (FL): StatPearls Publishing; 2020.

  14. Verde F, Hawasli H, Johnson PT, Fishman EK. Gastric volvulus: unraveling the diagnosis with MPRs. Emerg Radiol. 2019; 26: 221-225.

  15. Toydemir T, Cipe G, Karatepe O, Yerdel MA. Laparoscopic management of totally intra-thoracic stomach with chronic volvulus. World J Gastroenterol. 2013; 19: 5848-5854.

  16. Zuiki T, Hosoya Y, Lefor AK, Tanaka H, Komatsubara T, Miyahara Y et al. The management of gastric volvulus in elderly patients. Int J Surg Case Rep. 2016; 29: 88-93. doi: 10.1016/j.ijscr.2016.10.058.

  17. Jacob CE, Lopasso FP, Zilberstein B, Bresciani CJ, Kuga R, Cecconello I, Gama-Rodrigues JJ. Gastric volvulus: a review of 38 cases. ABCD. Arq Bras Cir Dig. 2009; 22: 96-100. doi: 10.1590/s0102-67202009000200006.

  18. García RM, Tomás NP, Pozo CD, Tarragón AV, Mas EM, Juan RT et al. Tratamiento del vólvulo gástrico agudo mediante abordaje laparoscópico. Cirugía Española, 2013; 91: 189-193. Disponible en: https://doi.org/10.1016/j.ciresp.2012.03.011

  19. Teague WJ, Ackroyd R, Watson DI, Devitt PG. Changing patterns in the management of gastric volvulus over 14 years. Br J Surg. 2000; 87: 358-336.



AFILIACIONES

1 Departamento de Cirugía General. Fundación Clínica Médica Sur. México, Ciudad de México.

2 Escuela de Medicina, Universidad Panamericana. México, Ciudad de México

3 Fundación Clínica Médica Sur. México, Ciudad de México.



CORRESPONDENCIA

Dr. Daniel González Hermosillo-Cornejo. E-mail: dr.gonzalezhermosillo@gmail.com




Recibido: 03/03/2022. Aceptado: 18/04/2022.

Figura 1
Figura 2
Figura 3
Figura 4
Figura 5

2020     |     www.medigraphic.com

Mi perfil

C?MO CITAR (Vancouver)

Rev Mex Cir Endoscop. 2021;22

ARTíCULOS SIMILARES

CARGANDO ...