medigraphic.com
ENGLISH

Cirujano General

ISSN 2594-1518 (Digital)
ISSN 1405-0099 (Impreso)
  • Mostrar índice
  • Números disponibles
  • Información
    • Información general        
    • Directorio
  • Publicar
    • Instrucciones para autores        
    • Envío de artículos
  • medigraphic.com
    • Inicio
    • Índice de revistas            
    • Registro / Acceso
  • Mi perfil

2021, Número 2

<< Anterior Siguiente >>

Cir Gen 2021; 43 (2)


Síndrome de Wilkie. Revisión de la literatura

Benavides-Olivera, Jesús Guadalupe1; Márquez-Jurado, Noel Alonso2; Salgado-Yáñez, Víctor Alejandro3
Texto completo Cómo citar este artículo 10.35366/106722

DOI

DOI: 10.35366/106722
URL: https://dx.doi.org/10.35366/106722
Artículos similares

Idioma: Español/Inglés [English version]
Referencias bibliográficas: 10
Paginas: 115-118
Archivo PDF: 215.03 Kb.


PALABRAS CLAVE

Síndrome de Wilkie.

RESUMEN

Masculino de 48 años que presenta al momento de su ingreso un cuadro de siete días de evolución con intolerancia a la vía oral, acompañado de náusea y vómito de contenido gástrico en múltiples ocasiones, dolor y distensión abdominal progresiva. A la exploración física con facies de dolor, caquéctico, distensión y dolor abdominal generalizado, timpanismo a la percusión. Se realiza tomografía abdominal en fase simple donde se observa dilatación excesiva del estómago sin dilatación intestinal, se complementa abordaje diagnóstico con tomografía contrastada identificando pinzamiento aortomesentérico. El paciente recibió tratamiento conservador por 48 horas sin mejoría, por lo que se lleva a cabo procedimiento duodeno-yeyuno anastomosis laparoscópica. En la actualidad aún existe controversia en torno al diagnóstico y tratamiento del síndrome de pinzamiento de la arteria mesentérica superior, ya que los síntomas no siempre se correlacionan bien con los hallazgos anatómicos anormales en los estudios radiológicos, y pueden no resolverse por completo después del tratamiento.



INTRODUCCIóN

El síndrome de la arteria mesentérica superior es una causa inusual de obstrucción intestinal alta, se conoce por una gran variedad de nombres tales como síndrome de Wilkie, obstrucción duodenal arteriomesentérica y el íleo duodenal crónico.1

Se caracteriza por la compresión de la tercera porción del duodeno debido al estrechamiento del espacio entre la arteria mesentérica superior y arteria aorta, se atribuye principalmente a la pérdida de la almohadilla de grasa mesentérica.2,3

Los síntomas no siempre se correlacionan con los hallazgos anatómicos anormales en los estudios radiológicos.3

Las características de los pacientes de riesgo son la disminución de la agudeza del ángulo aortomesentérico como la pérdida de peso (mayor de 10 kg), lo que conduce a la pérdida de la almohadilla de grasa mesentérica.

El síndrome se asocia comúnmente con enfermedades graves y debilitantes como neoplasias, síndromes de mala absorción, síndrome de inmunodeficiencia adquirida, traumatismos y quemaduras.4

El síndrome se describe con mayor frecuencia después de una cirugía de columna correctiva para la escoliosis, la cual provoca la reducción del ángulo aortomesentérico, bajo esta circunstancia se denomina "síndrome de yeso".5

En raras ocasiones se asocia a un ligamento de Treitz corto que suspende el duodeno en una posición anormalmente cefálica.4

En la evaluación clínica los pacientes pueden presentar de forma aguda (después de una cirugía), o con mayor frecuencia, síntomas progresivos. Los síntomas son consistentes con la obstrucción proximal del intestino delgado, dolor epigástrico postprandial y saciedad temprana, aquéllos con obstrucción más avanzada pueden tener náuseas, vómitos de contenido biliar y pérdida de peso.5

Los síntomas pueden aliviarse en algunas posiciones como decúbito lateral izquierdo, decúbito ventral, o en posición de rodillas al tórax. Estas posiciones eliminan la tensión del ángulo aortomesentérico.6

Los hallazgos en el examen físico no son específicos, pero pueden incluir distensión abdominal, dolor en epigastrio y ruidos peristálticos de lucha.

El examen de laboratorio puede ser normal, generalmente las pruebas de funcionamiento hepático y química sanguínea no muestran alteraciones, los pacientes con vómitos severos pueden presentar anormalidades electrolíticas caracterizadas por hipocalemia leve y alcalosis metabólica.5,6

El diagnóstico a menudo se retrasa y puede dar lugar a complicaciones como trastornos de la conducción cardiaca, perforación gástrica, obstrucción por un bezoar duodenal, neumatosis gástrica y gas venoso portal.6

La patología diferencial incluye otras causas de obstrucción intestinal alta como enfermedades con alteración de la motilidad duodenal, diabetes tipo 2, esclerosis sistémica y pseudoobstrucción intestinal.7

Los estudios de diagnóstico requieren un alto índice de sospecha, ya que los síntomas pueden ser inespecíficos. Los criterios de diagnóstico por imagen incluyen: 1) Obstrucción duodenal con un corte abrupto en la tercera porción. 2) Ángulo aortomesentérico menor de 25o (se considera la medida más sensible del diagnóstico). 3) Distancia aortomesentérica menor de 8 mm. 4) Fijación alta del duodeno por el ligamento de Treitz.8

Los objetivos iniciales del tratamiento son aliviar los síntomas obstructivos mediante descompresión gastrointestinal con sonda nasogástrica y corrección hidroelectrolítica.9

El apoyo nutricional es fundamental, se prefiere la vía enteral que si no puede lograrse por vía oral, se sugiere la colocación por vía endoscópica de sonda nasoyeyunal, la nutrición parenteral total puede ser necesaria si no es posible la nutrición enteral.6

Algunas opciones quirúrgicas son el procedimiento de Strong, gastroyeyuno anastomosis y duodenoyeyuno anastomosis.

El procedimiento de Strong consiste en una cirugía desrotacional cuyo objetivo es reposicionar la tercera y cuarta porción del duodeno a la derecha de la arteria mesentérica superior en el caso de un ligamento de Treitz corto.8

Cada uno de los enfoques quirúrgicos tiene ventajas y desventajas. El procedimiento de Strong mantiene la integridad del intestino; sin embargo, la falla ocurre en 25% de los pacientes. La gastroyeyuno anastomosis descomprime el estómago, pero no alivia la obstrucción duodenal, provocando síndrome de asa ciega o úlcera péptica. Por lo general se acepta que la duodenoyeyuno-anastomosis tiene resultados superiores a los anteriores.9,10



CASO CLíNICO

Masculino de 48 años que reside en casa de asistencia. Tiene antecedente de ataxia cerebelosa que condiciona postración de tres meses de evolución, apendicectomía con técnica abierta hace 10 años.

Al momento de su ingreso tiene siete días de evolución con intolerancia a la vía oral, acompañada de náusea y vómito de contenido gastroalimenticio en múltiples ocasiones así como dolor y distensión abdominal de predominio postprandial.

A la exploración física, con facies de dolor, caquéctico, distensión abdominal y dolor a la palpación en región epigástrica, timpanismo a la percusión, sin datos de irritación peritoneal, ausencia de peristalsis, mucosas y tegumentos con hidratación subóptima, además de extremidades espásticas. Estudios de laboratorio revelan leucocitosis e hipoalbuminemia

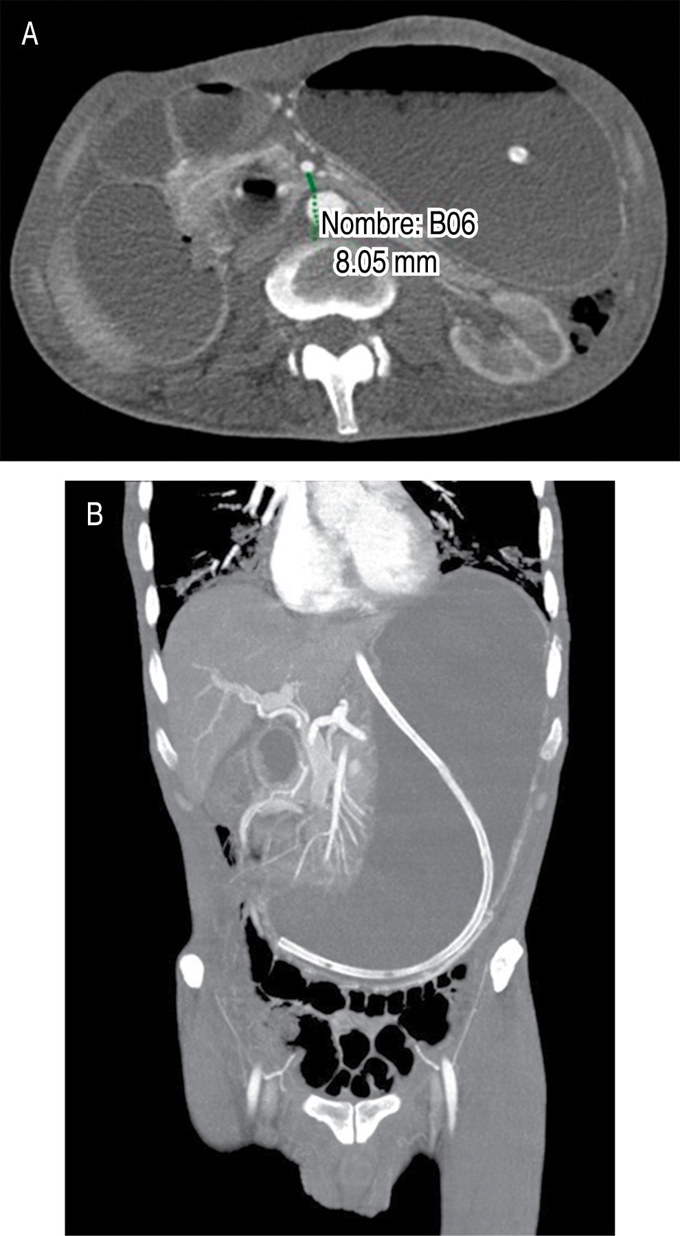
Se realizó tomografía de abdomen en la que se identifica dilatación gástrica con pérdida de los pliegues gástricos así como disminución de la distancia entre la arteria aorta y arteria mesentérica superior, la cual mide 8.05 mm (Figura 1). En el corte sagital de la tomografía se observa un ángulo agudo aortomesentérico de 14.92o (Figura 2). Desde su ingreso recibió manejo con descompresión gástrica con sonda nasogástrica, reposición hidroelectrolítica, analgésicos y antibioticoterapia con cefalosporinas de tercera generación; sin embargo, persiste la obstrucción a pesar de manejo conservador durante 48 horas, por lo que se propone y acepta manejo quirúrgico. Se realiza abordaje laparoscópico con cinco puertos, se moviliza el colon transverso y se visualiza el sitio de obstrucción secundaria a pinzamiento de la arteria mesentérica superior entre la tercera y la cuarta porción del duodeno. Se realiza duodenoyeyuno-anastomosis mecánica a 60 cm del ligamento de Treitz, se cierra gastroenterotomía en dos planos con monofilamento de absorción lenta para el primer plano y no absorbible para el segundo. Con buena evolución postoperatoria, inicio de líquidos a las 24 horas y progresión a dieta blanda a las 48 horas. Fue egresado por mejoría 48 horas después del procedimiento. En seguimiento postquirúrgico durante dos meses con adecuada tolerancia a la vía oral, no se cuenta con secuencia clínica posterior, ya que el paciente no asiste a control.



CONCLUSIóN

El síndrome de Wilkie es una entidad clínica de presentación rara cuyo abordaje diagnóstico y terapéutico representa un reto clínico. Es importante la alta sospecha clínica que permita identificar datos de obstrucción intestinal alta y complementarla con estudios de gabinete que soporten el diagnóstico y permitan establecer el abordaje terapéutico más apropiado para cada caso.


REFERENCIAS (EN ESTE ARTÍCULO)

  1. Dorph MH. The cast syndrome; review of the literature and report of a case. N Engl J Med. 1950; 243: 440-442.

  2. González Hermosillo-Cornejo D, Díaz Girón-Gidi A, Vélez-Pérez FM, Lemus-Ramírez RI, Andrade Martínez-Garza P. Síndrome de Wilkie. Reporte de un caso. Cirugía y Cirujanos. 2017; 85: 54-59.

  3. Zachariah SK, Fenn MG. Acute intestinal obstruction complicating pregnancy: diagnosis and surgical management. BMJ Case Rep. 2014; 2014: bcr2013203235.

  4. Vásquez-Arango JN, Durán-Meléndez MA, Vásquez-Maya C. Tratamiento mínimamente invasivo del síndrome de Wilkie. Rev Colomb Cir. 2018; 33: 299-306.

  5. Sánchez-Marchori C, Laguia M, Gomar Sancho F. Alteraciones funcionales de la conjunción gastroesofágica en la escoliosis. Rev Esp de Cir Ost. 1990; 17-30.

  6. Jain R. Superior mesenteric artery syndrome. Curr Treat Options Gastroenterol. 2007; 10: 24-27.

  7. Merrett ND, Wilson RB, Cosman P, Biankin AV. Superior mesenteric artery syndrome: diagnosis and treatment strategies. J Gastrointest Surg. 2009; 13: 287-292.

  8. Ibarra F, Arraigada D. Síndrome de la arteria mesentérica superior: caso clínico y revisión. Boletín Escuela de Medicina UC, Pontificia Universidad Católica de Chile. 2006; 31: 42-46.

  9. Loera Torres MA, García Núñez LM, Cabello Pasini R, Morales Arias S, Núñez Cantú O, Rivera Cruz JM. Síndrome de Wilkie: reporte de dos casos. Rev Sanid Milit Mex. 2010; 64: 41-46.

  10. Ozkurt H, Cenker MM, Bas N, Erturk SM, Basak M. Measurement of the distance and angle between the aorta and superior mesenteric artery: normal values in different BMI categories. Surg Radiol Anat. 2007; 29: 595-599.



AFILIACIONES

1 Servicio de Cirugía General. Christus Muguerza Hospital Del Parque. Chihuahua, México.

2 Residente de Cirugía General. Christus Muguerza Hospital Del Parque. Chihuahua, México.

3 Servicio de Medicina Interna. Christus Muguerza Hospital Del Parque. Chihuahua, México.



Consideraciones y responsabilidad ética: Privacidad de los datos. De acuerdo a los protocolos establecidos en nuestro centro de trabajo, se declara que se han seguido los protocolos sobre la privacidad de datos de pacientes preservando su anonimato.

Financiamiento: No se recibió apoyo financiero para la elaboración de este trabajo.

Conflicto de intereses: Ninguno de los autores tiene conflicto de intereses en la realización de este estudio.



CORRESPONDENCIA

Dr. Víctor Alejandro Salgado-Yáñez. E-mail: drvsalgado@gmail.com




Recibido: 03/10/2019. Aceptado: 17/08/2021

Figura 1
Figura 2

2020     |     www.medigraphic.com

Mi perfil

C?MO CITAR (Vancouver)

Cir Gen. 2021;43

ARTíCULOS SIMILARES

CARGANDO ...