medigraphic.com
SPANISH

Cirujano General

ISSN 2594-1518 (Electronic)
ISSN 1405-0099 (Print)
  • Contents
  • View Archive
  • Information
    • General Information        
    • Directory
  • Publish
    • Instructions for authors        
    • Send manuscript
  • medigraphic.com
    • Home
    • Journals index            
    • Register / Login
  • Mi perfil

2021, Number 2

<< Back Next >>

Cir Gen 2021; 43 (2)

Wilkie syndrome. Literature review

Benavides-Olivera, Jesús Guadalupe1; Márquez-Jurado, Noel Alonso2; Salgado-Yáñez, Víctor Alejandro3
Full text How to cite this article 10.35366/106722

DOI

DOI: 10.35366/106722
URL: https://dx.doi.org/10.35366/106722

Language: English/Spanish [Versi?n en espa?ol]
References: 10
Page: 115-118
PDF size: 209.54 Kb.


Key words:

Wilkie syndrome.

ABSTRACT

A 48-year-old male patient presented at the time of admission a seven-day picture with intolerance to the oral route, accompanied by nausea and vomiting of gastro-alimentary content on multiple occasions, abdominal distension which is associated with intense pain that is exacerbated prior to admission, the clinical picture suggestive of intestinal obstruction. Upon physical examination, the patient presents pain fascia, cachectic distension and generalized abdominal pain, percussion tympanism, abdominal tomography is performed in a simple phase where excessive dilation of the stomach is observed without intestinal dilation, so it is decided to perform tomography with contrast Intravenous due to the suspicion of an aorto-mesenteric impingement, conservative treatment is performed for 48 hours, without improvement so that laparoscopic surgical procedure (duodenum-jejunum anastomosis) is performed. The importance of Wilkie syndrome is because it is a rare cause of high intestinal obstruction, resulting from compression of the duodenum between the abdominal aorta and the superior mesenteric artery. There is still some controversy surrounding the diagnosis of superior mesenteric artery syndrome, since the symptoms do not always correlate well with abnormal anatomical findings in radiological studies, and may not resolve completely after treatment.



INTRODUCTION

The superior mesenteric artery syndrome is an unusual cause of upper intestinal obstruction, known by various names such as Wilkie syndrome, duodenal arteriomesenteric obstruction, and chronic duodenal ileus.1

It is characterized by compression of the third portion of the duodenum due to the narrowing of the space between the superior mesenteric artery and the aorta, attributed to the loss of the mesenteric fat pad.2,3

Symptoms do not always correlate with abnormal anatomic findings in radiological studies.3

The characteristics of at-risk patients are decreased acuity of the aortomesenteric angle due to weight loss (greater than 10 kg), leading to loss of the mesenteric fat pad.

The syndrome is commonly associated with severe and debilitating diseases such as neoplasms, malabsorption syndromes, acquired immune deficiency syndrome, trauma, and burns.4

The syndrome is most often described after corrective spine surgery for scoliosis, which causes a reduction of the aortomesenteric angle; under this circumstance, it is called "cast syndrome".5

Rarely it is associated with a short ligament of Treitz that suspends the duodenum in an abnormally cephalic position.4

On clinical evaluation, patients may present acutely (after surgery) or more frequently with progressive symptoms. Symptoms are consistent with proximal small bowel obstruction, postprandial epigastric pain, and early satiety, and those with more advanced obstruction may have nausea, vomiting of biliary contents, and weight loss.5

Symptoms may be relieved in some positions, such as left lateral decubitus, ventral decubitus, or kneeling. These positions eliminate the tension of the aortomesenteric angle.6

Physical examination findings are not specific but may include abdominal distention, epigastric pain, and peristaltic rumbling.

Laboratory tests may be normal, and liver function and blood chemistry tests do not show alterations; patients with severe vomiting may present electrolyte abnormalities characterized by mild hypokalemia and metabolic alkalosis.5,6

Diagnosis is often delayed and can lead to cardiac conduction disturbances, gastric perforation, obstruction by a duodenal bezoar, gastric pneumatosis, and portal venous gas.6

Differential pathology includes other causes of upper intestinal obstruction such as diseases with altered duodenal motility, type 2 diabetes, systemic sclerosis, and intestinal pseudo-obstruction.7

Diagnostic studies require a high index of suspicion since symptoms may be nonspecific. Diagnostic imaging criteria include: 1) Duodenal obstruction with an abrupt cut in the third portion. 2) Aortomesenteric angle less than 25o (considered the most sensitive measure of the diagnosis). 3) Aortomesenteric distance less than 8 mm. 4) High fixation of the duodenum by the ligament of Treitz.8

The initial treatment goals are to relieve obstructive symptoms by gastrointestinal decompression with a nasogastric tube and water and electrolyte correction.9

Nutritional support is essential. Enteral nutrition is preferred, and if it cannot be achieved orally, endoscopic placement of a nanojoule tube is suggested; total parenteral nutrition may be necessary if enteral nutrition is not possible.6

Some surgical options are the Strong's procedure, gastro-jejunal anastomosis, and duodenojejunal anastomosis.

Strong's procedure consists of de-rotational surgery aimed at repositioning the third and fourth portions of the duodenum to the right of the superior mesenteric artery in the case of a short Treitz ligament.8

Each of the surgical approaches has advantages and disadvantages. Strong's procedure maintains bowel integrity; however, failure occurs in 25% of patients. Gastro-jejunal anastomosis decompresses the stomach but does not relieve duodenal obstruction, leading to blind loop syndrome or peptic ulcer. It is generally accepted that duodenojejunal-anastomosis has superior results to the previous ones.9,10



CLINICAL CASE

The patient was a 48-year-old male residing in a nursing home with a history of cerebellar ataxia of a three-month duration that conditions prostration and appendectomy with open technique ten years ago.

At the time of her admission, he had seven days of evolution with oral intolerance, accompanied by nausea and vomiting of gastric content on multiple occasions, abdominal pain, and postprandial distension.

On physical examination, he was found with pain facies, cachectic, abdominal distension, and pain on palpation in the epigastric region, tympanic on percussion, no evidence of peritoneal irritation, absence of peristalsis, mucous membranes, and integuments with suboptimal hydration, in addition to spastic extremities. Laboratory studies revealed leukocytosis and hypoalbuminemia.

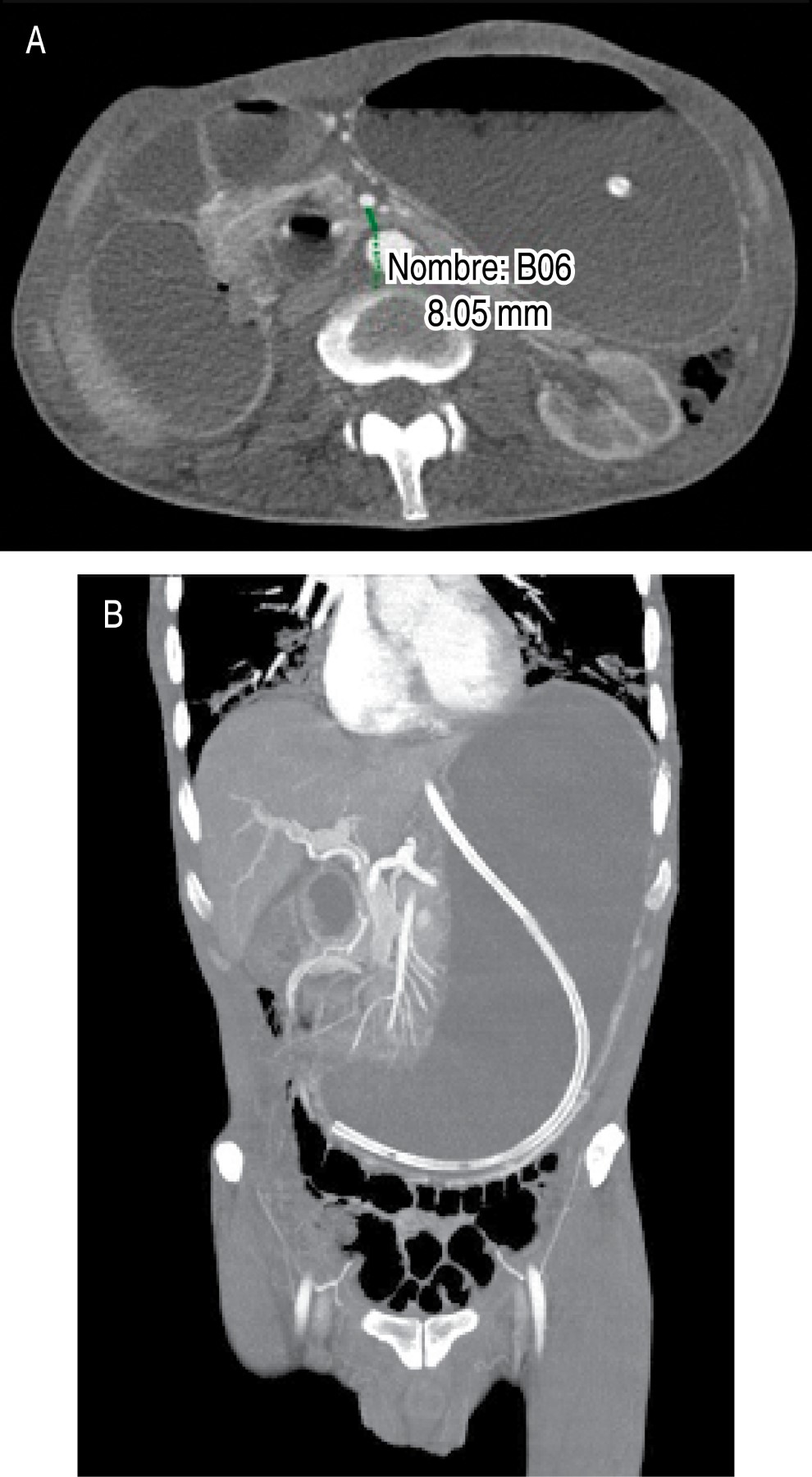
An abdominal CT scan was performed in which gastric dilatation was identified with loss of gastric folds and decreased distance between the aorta and superior mesenteric artery, measuring 8.05 mm (Figure 1). The sagittal section of the CT scan showed an acute aortomesenteric angle of 14.92o (Figure 2). Since his admission, he received management with gastric decompression through a nasogastric tube, water and electrolyte replacement, analgesics, and antibiotic therapy with a third-generation cephalosporin antibiotic; however, the obstruction persisted despite conservative management for 48 hours, so surgical management was proposed and accepted. A laparoscopic approach with five ports was performed; the transverse colon was mobilized, and the site of obstruction was seen as secondary to clamping of the superior mesenteric artery between the third and fourth portion of the duodenum. A mechanical duodenojejunal-anastomosis was performed at 60 cm from the ligament of Treitz; the gastroenterostomy was closed in two planes with slow absorption monofilament suture for the first plane and non-absorbable for the second one. Postoperative evolution was good. He started drinking liquids at 24 hours and progressed to a soft diet at 48 hours. He was discharged home due to improvement 48 hours after the procedure. There have not been any subsequent clinical sequelae after two months. He has had adequate tolerance to the oral route, but the patient has not attended to control for post-surgical follow-up.



CONCLUSION

Willkie syndrome is a rare clinical entity whose diagnostic and therapeutic approach represents a clinical challenge. It is essential to have a high clinical suspicion that allows identifying data of high intestinal obstruction and complementing it with laboratory and imaging studies that support the diagnosis and establish the most appropriate therapeutic approach for each case.


REFERENCES

  1. Dorph MH. The cast syndrome; review of the literature and report of a case. N Engl J Med. 1950; 243: 440-442.

  2. González Hermosillo-Cornejo D, Díaz Girón-Gidi A, Vélez-Pérez FM, Lemus-Ramírez RI, Andrade Martínez-Garza P. Síndrome de Wilkie. Reporte de un caso. Cirugía y Cirujanos. 2017; 85: 54-59.

  3. Zachariah SK, Fenn MG. Acute intestinal obstruction complicating pregnancy: diagnosis and surgical management. BMJ Case Rep. 2014; 2014: bcr2013203235.

  4. Vásquez-Arango JN, Durán-Meléndez MA, Vásquez-Maya C. Tratamiento mínimamente invasivo del síndrome de Wilkie. Rev Colomb Cir. 2018; 33: 299-306.

  5. Sánchez-Marchori C, Laguia M, Gomar Sancho F. Alteraciones funcionales de la conjunción gastroesofágica en la escoliosis. Rev Esp de Cir Ost. 1990; 17-30.

  6. Jain R. Superior mesenteric artery syndrome. Curr Treat Options Gastroenterol. 2007; 10: 24-27.

  7. Merrett ND, Wilson RB, Cosman P, Biankin AV. Superior mesenteric artery syndrome: diagnosis and treatment strategies. J Gastrointest Surg. 2009; 13: 287-292.

  8. Ibarra F, Arraigada D. Síndrome de la arteria mesentérica superior: caso clínico y revisión. Boletín Escuela de Medicina UC, Pontificia Universidad Católica de Chile. 2006; 31: 42-46.

  9. Loera Torres MA, García Núñez LM, Cabello Pasini R, Morales Arias S, Núñez Cantú O, Rivera Cruz JM. Síndrome de Wilkie: reporte de dos casos. Rev Sanid Milit Mex. 2010; 64: 41-46.

  10. Ozkurt H, Cenker MM, Bas N, Erturk SM, Basak M. Measurement of the distance and angle between the aorta and superior mesenteric artery: normal values in different BMI categories. Surg Radiol Anat. 2007; 29: 595-599.



AFFILIATIONS

1 General Surgery Service. Christus Muguerza Hospital Del Parque. Chihuahua, Mexico.

2 General Surgery Resident. Christus Muguerza Hospital Del Parque. Chihuahua, Mexico.

3 Internal Medicine Service. Christus Muguerza Hospital Del Parque. Chihuahua, Mexico.



Ethical considerations and responsibility: Data privacy. According to the protocols established in our work center, it is declared that the protocols on patient data privacy have been followed preserving their anonymity.

Funding: No financial support was received for this work.

Disclosure: None of the authors have a conflict of interest in the conduct of this study.



CORRESPONDENCE

Víctor Alejandro Salgado-Yáñez, MD. E-mail: drvsalgado@gmail.com




Received: 10/03/2019. Accepted: 08/17/2021

Figure 1
Figure 2

2020     |     www.medigraphic.com

Mi perfil

C?MO CITAR (Vancouver)

Cir Gen. 2021;43