medigraphic.com
ENGLISH

Cirujano General

ISSN 2594-1518 (Digital)
ISSN 1405-0099 (Impreso)
  • Mostrar índice
  • Números disponibles
  • Información
    • Información general        
    • Directorio
  • Publicar
    • Instrucciones para autores        
    • Envío de artículos
  • medigraphic.com
    • Inicio
    • Índice de revistas            
    • Registro / Acceso
  • Mi perfil

2021, Número 2

<< Anterior Siguiente >>

Cir Gen 2021; 43 (2)


Manejo emergente de hepatocarcinoma accidentado

Viteri Cevallos, Diego Fernando1; Delgado, Jhony A2; Díaz, Diego A2; Latta, Johana P3; Gordillo, Alberto C1
Texto completo Cómo citar este artículo 10.35366/106727

DOI

DOI: 10.35366/106727
URL: https://dx.doi.org/10.35366/106727
Artículos similares

Idioma: Español/Inglés [English version]
Referencias bibliográficas: 12
Paginas: 141-145
Archivo PDF: 279.50 Kb.


PALABRAS CLAVE

Hígado, hepatocarcinoma, resección tumoral, embolización arterial transcatéter.

RESUMEN

En el presente manuscrito se relata el caso de paciente masculino de 84 años, que acude a urgencias con abdomen agudo, se realiza una tomografía simple y contrastada de abdomen y pelvis, se observa líquido libre en la cavidad y signos de cirrosis hepática, por lo que se decide su ingreso. Posteriormente el paciente muestra signos de choque hipovolémico, por lo cual se decide intervención quirúrgica emergente, se realiza laparoscopia diagnóstica y laparotomía, se describe hemoperitoneo de 2,000 ml aproximadamente y un tumor hepático accidentado en el segmento II, para lo cual, se decide efectuar una segmentectomía hepática y drenaje del hemoperitoneo; el resultado del histopatológico reporta carcinoma hepatocelular que invade la cápsula, con bordes libres. Se presenta este caso debido a que su tratamiento fue adecuado en relación con los estudios realizados previamente, que demuestran que la diseminación del cáncer en la cavidad peritoneal disminuye con el drenaje rápido del hemoperitoneo y las ventajas descritas con la resección del hepatocarcinoma en el primer tiempo quirúrgico.



INTRODUCCIóN

El cáncer de hígado representa la cuarta causa más común de muerte en relación con los tipos de cáncer en el mundo, la Organización Mundial de la Salud estima que para 2030 1,000,000 de personas morirán por esta causa. La tasa de muerte aumentó de 7.2 a 10.3 por cada millón de habitantes en Estados Unidos entre 2000 y 2016.1

Las tasas de mortalidad y hospitalización asociadas a carcinoma hepatocelular (CHC) también aumentaron en 41 y 46% respectivamente. En Estados Unidos se diagnostican 15,000 nuevos casos por año.2 El carcinoma hepatocelular es el sexto cáncer más común en el mundo; sin embargo, en países de Asia y África es un problema de salud, por ejemplo, en Tailandia es el cáncer más común en hombres y el tercero en mujeres; en la mayoría de casos hay una enfermedad hepática de base como la cirrosis relacionada a hepatitis B, C, cirrosis alcohólica o la enfermedad de hígado graso no alcohólica.3 Los pacientes con hepatocarcinoma relacionado con hígado graso no alcohólico por lo general tienen las siguientes características: índice de masa corporal alto, dislipidemia, diabetes tipo II, hipertensión arterial o síndrome metabólico.4 Las citocinas inflamatorias, las adipocinas, la insulina como el factor de crecimiento I y la lipotoxicidad se entremezclan y pueden reaccionar de forma cruzada entre sí para desarrollar carcinoma hepatocelular (CHC).3

La ruptura espontánea de CHC ocurre de 3 a 26% de todos los pacientes y las tasas de mortalidad son altas, aproximadamente de 32 a 66.7%. Las tasas de supervivencia a uno, tres y cinco años de pacientes con CHC roto fueron 54.2, 35 y 21.2% respectivamente, en comparación con pacientes con CHC no roto la supervivencia fue 72.1, 47.3 y 33.9% con el mismo tiempo de seguimiento. Los tratamientos disponibles para la ruptura del CHC son la resección hepática, la embolización arterial transcatéter (TAE, por sus siglas en inglés) y el tratamiento conservador (compensación de la cirrosis subyacente). En pacientes seleccionados, la resección quirúrgica oportuna puede dar como resultado un buen pronóstico y un aumento de supervivencia a largo plazo. La TAE es una alternativa de tratamiento que puede inducir efectivamente la hemostasia con tasas de éxito de 53-100%.3



PRESENTACIóN DEL CASO

Paciente masculino de 84 años, con antecedentes de hipotiroidismo en tratamiento con levotiroxina de 75 µg vía oral cada día, dislipidemia en tratamiento con simvastatina de 20 mg cada día, prostatectomía hace 20 años, intervención quirúrgica por fractura vertebral hace seis años. Acude a nuestra casa de salud acompañado de familiares, el paciente presenta dolor abdominal de inicio súbito con 12 horas de evolución, localizado en epigastrio y mesogastrio de intensidad 9/10 en la escala visual análoga (EVA), se acompaña de distensión abdominal y lipotimia.

Al examen físico paciente consciente, orientado, a su ingreso los signos vitales: frecuencia cardiaca en 92 por minuto, tensión arterial de 102/80 mmHg, saturación de oxígeno 94% con FiO2 de 36%. El abdomen se observa distendido con ruidos hidroaéreos disminuidos y a la palpación se evidencia resistencia muscular involuntaria con signo de Dunphy positivo. Se realizan exámenes de laboratorio e imagen con los siguientes resultados: leucocitos: 14.7 K/μl, neutrófilos: 77.7%, hemoglobina: 11.1 g/dl, hematocrito: 33.8%, plaquetas: 236,000 K/μl, gasometría arterial al ingreso con pH: 7.11, pCO2: 36 mmHg, PO2: 60 mmHg, HCO3: 11.40 mEq/l, EB: -17.20 mEq/l, lactato: 9.70 mmol/l. Se decide reanimación con cristaloides y realizar una tomografía computarizada (TC) de abdomen sin contraste que reporta hígado con densidad tomográfico heterogéneo de aspecto micronodular, con disminución de tamaño del lóbulo derecho, hallazgos en probable relación con cirrosis hepática. Además, presencia de líquido perihepático, periesplénico, correderas parietocólicas y hueco pélvico en un volumen aproximado de 1,500 cm3 (Figura 1). Posteriormente, el paciente refiere de nuevo sensación de debilidad con signos vitales: frecuencia cardiaca: 115 por minuto, tensión arterial: 80/50 mmHg, por lo cual se decide trasladarlo a sala de operaciones de forma urgente, se inicia de forma laparoscópica, pero por los hallazgos se decide en el transquirúrgico la conversión a laparotomía donde se identifican 2,000 ml de hemoperitoneo, masa de 4 × 5 cm aproximadamente en segmento II del hígado con sangrado activo, se realiza drenaje de hemoperitoneo y segmentectomía hepática del segmento II (Figura 2), en el transquirúrgico se transfunden dos paquetes de glóbulos rojos, el paciente pasa a sala general con estabilidad hemodinámica; sin embargo, en el control de exámenes la hemoglobina se encuentra en 8.5 g/dl, por lo que se decide pasar dos paquetes más de glóbulos rojos y dos de plasma fresco congelado, posterior a esto su evolución fue sin complicaciones, se retira drenaje de Jackson Pratt y al cuarto día de hospitalización se da el alta médica con paracetamol vía oral 1 gramo cada ocho horas por cinco días.

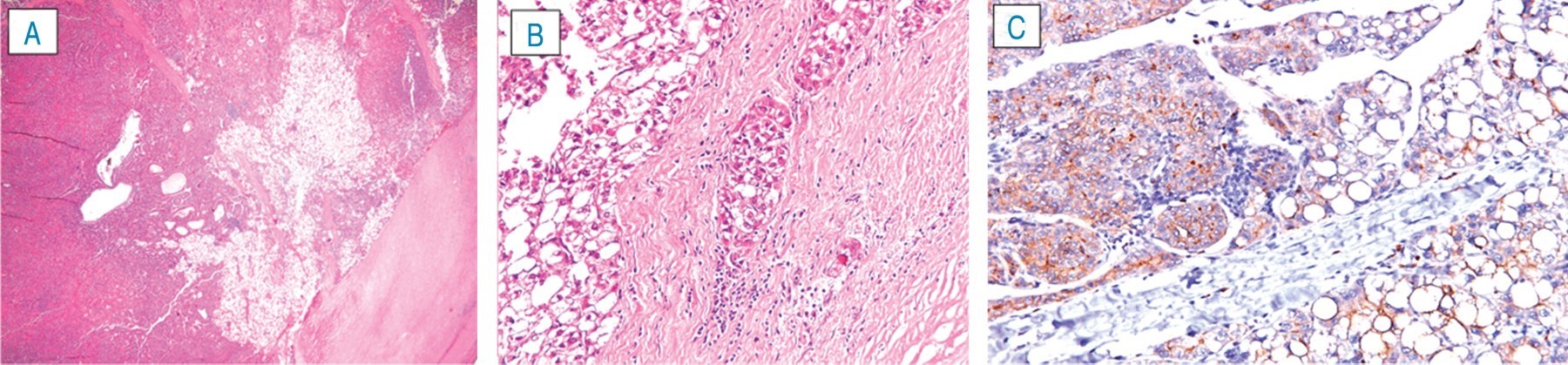
El reporte de histopatología del segmento II de hígado concluye como carcinoma hepatocelular con proliferación de células dispuestas en patrón mixto (trabecular, acinar y de células claras) con invasión de la cápsula (Figura 3), pero con bordes libres, por lo cual se interconsulta a oncología clínica para su seguimiento y tratamiento complementario.



DISCUSIóN

El carcinoma hepatocelular (CHC) es la neoplasia maligna primaria de hígado más común en el mundo, representa 90% de las neoplasias de hígado,5 con 500,000 casos diagnosticados al año aproximadamente, su ruptura espontánea ocurre en 20% de los casos produciendo hemoperitoneo, con lo cual la tasa de mortalidad se reporta hasta en 25%.6 El examen de imagen de elección para diagnóstico, tratamiento y extensión de los tumores hepáticos es la tomografía trifásica con una precisión diagnóstica de 68 a 90%.5

La etiología de la ruptura del CHC y posterior hemorragia tiene varias hipótesis que incluyen crecimiento de tumor y necrosis, ruptura por división del parénquima hepático normal suprayacente o erosión de un vaso, coagulopatía que conduce al inicio un sangrado espontáneo dentro del tumor, aumento de la presión dentro del tumor debido al bloqueo de las ramas venosas hepáticas a causa de invasión del cáncer.3

Hay otros datos más específicos relacionados con la ruptura del CHC en varios estudios que incluyen edad avanzada, cirrosis avanzada, signos de hipertensión portal y tumores grandes.7

Generalmente la fuente de sangrado del CHC es una de las arterias hepáticas; sin embargo, los tumores hepáticos sin tratamiento previo pueden tener un suministro arterial colateral extrahepático, por lo cual podría ser una fuente oculta de sangrado, hay que poner mucha atención cuando se decide el tratamiento con TAE y no hay un control adecuado del sangrado.8 La ruptura del CHC constituye una urgencia vital y obliga a mantener un índice de sospecha elevado en pacientes con cirrosis hepática establecida que presenten dolor abdominal, distensión, de instauración rápida acompañados de descenso de la hemoglobina e hipotensión arterial con evolución a choque hipovolémico por sangrado masivo intraperitoneal9 como ocurrió en nuestro paciente; la única diferencia es que no tenía diagnóstico previo de cirrosis o tumor hepático.

El manejo del hepatocarcinoma roto depende del estado hemodinámico del paciente, del grado de carga tumoral y de la función hepática subyacente. La embolización transarterial (TAE, por sus siglas en inglés) se ha considerado ahora una opción eficaz para controlar la hemorragia en los pacientes cuya hemodinamia está alterada y además, ofrece un tiempo para evaluar el estado del paciente y su carga tumoral. En la actualidad se ofrece esta estrategia puente para posteriormente aplicar un tratamiento quirúrgico definitivo y/o curativo en determinados pacientes. El TAE tiene una tasa de resolución de la hemorragia de 53 a 100% de los casos.3 Hay estudios que comparan los tres tipos de tratamientos cuyos resultados demuestran mayor supervivencia en los pacientes en quienes se realizó resección hepática versus TAE o manejo conservador.6 El tratamiento conservador de CHC roto rara vez se usa solo, su indicación es en pacientes hemodinámicamente estables con pérdida mínima de sangre o en quienes no tienen indicación quirúrgica y en los que están recibiendo tratamiento paliativo. La supervivencia hospitalaria con esta alternativa es 49% y sólo de 1% de supervivencia al año.7 En nuestro caso se decidió realizar una resección hepática debido a que el paciente acudió a nuestra casa de salud con abdomen agudo y con alteración hemodinámica; en el transquirúrgico se observó sangrado activo a nivel del tumor hepático, por lo cual se tomó la decisión mencionada.

Por lo general, se asume que la ruptura espontánea del CHC influye en el pronóstico de los pacientes sometidos a segmentectomía hepática, todavía hay controversia en esto, ya que en grandes estudios como el realizado en Shanghái por Yang T y colaboradores en 1,223 pacientes, demostró que las tasas de morbimortalidad perioperatoria fueron comparables en los grupos de CHC roto versus no roto, lo que indica que la segmentectomía hepática no aumenta el riesgo en pacientes seleccionados y con cirujanos expertos. La diseminación peritoneal es común después de una resección curativa de CHC roto, pero la resección temprana y la eliminación del hemoperitoneo reduce la aparición de esta diseminación. La mortalidad reportada posterior a la hepatectomía parcial en CHC roto es de 7%.10

También se discute el momento de realizar la segmentectomía hepática, ya que depende de varios factores, por ejemplo, en Child-Pugh grado C se contraindica de forma absoluta la cirugía; otras contraindicaciones incluyen trombosis tumoral de la vena porta principal, encefalopatía hepática intratable, coagulopatía severa, estado de bajo rendimiento, metástasis a distancia y función cardiaca, renal o pulmonar alterada que no pueda tolerar la mencionada cirugía, donde se pondría como primera opción la embolización transarterial (TAE). Cuando se decide resolución quirúrgica, la discusión es en cuanto a realizar la segmentectomía en un primer tiempo o en etapas, se describen mayores tasas de mortalidad cuando se realiza en una sola etapa; sin embargo, también hay estudios que demuestran que la mortalidad de la segmentectomía hepática en un solo tiempo es comparable con la cirugía en etapas si las condiciones del paciente lo permiten, más aún se reportan ventajas cuando se realiza en un solo tiempo con menor diseminación peritoneal, mayor supervivencia, mejor calidad de vida y estancia hospitalaria más corta.11

Al investigar sobre la supervivencia y la recurrencia de CHC roto versus el no roto en estudios pequeños se encontró que no hubo diferencia estadísticamente significativa entre estos dos grupos, pero en otros grupos más grandes, por ejemplo, Yang y colaboradores con seguimiento de cinco años demostraron que la supervivencia fue sólo de 16.8% en el grupo de CHC roto en comparación con 50.5% en el grupo sin ruptura (p < 0.001). La recurrencia fue similar entre pacientes con CHC roto y no roto (73 versus 60%; p = 0.568), pero el tiempo medio de recurrencia fue significativamente más corto en el grupo con ruptura (0.54 versus 2.73 años; p < 0.001).12



CONCLUSIONES

El CHC es el tumor maligno más frecuente del hígado y su ruptura es una complicación que requiere intervención emergente.

La segmentectomía hepática en el primer tiempo quirúrgico es una opción que ofrece ventajas en cuanto a menor diseminación del cáncer, estancia hospitalaria más corta y mayor supervivencia en comparación con el tratamiento en etapas.

La embolización transarterial TAE es una opción que hay que tomar en cuenta en pacientes seleccionados y cuando la disponibilidad del intervencionismo esté a la mano, debido a que son pacientes que podrían cambiar su estabilidad hemodinámica en poco tiempo.


REFERENCIAS (EN ESTE ARTÍCULO)

  1. Villanueva A. Hepatocellular carcinoma. N Engl J Med. 2019; 380: 1450-1462.

  2. Ahn J, Flamm SL. Hepatocellular carcinoma. Dis Mon. 2004; 50: 556-573.

  3. Kerdsuknirun J, Vilaichone V, Vilaichone RK. Risk factors and prognosis of spontaneously ruptured hepatocellular carcinoma in Thailand. Asian Pac J Cancer Prev. 2018; 19: 3629-3634.

  4. Kwon OS, Kim JH, Kim JH. The development of hepatocellular carcinoma in non-alcoholic fatty liver disease. Korean J Gastroenterol. 2017; 69: 348-352.

  5. Zsuzsa J. Képalkotó vizsgálatok a hepatocellularis carcinoma szurésére. Orvosi Hetilap. 2010; 151: 1083-1090.

  6. Chua DW, Koh YX, Allen JC, Chan CY, Lee SY, Cheow PC, et al. Impact of spontaneous rupture on the survival outcomes after liver resection for hepatocellular carcinoma: a propensity matched analysis comparing ruptured versus non-ruptured tumors. Eur J Surg Oncol. 2019; 45: 1652-1659.

  7. Moris D, Chakedis J, Sun SH, Spolverato G, Tsilimigras DI, Ntanasis-Stathopoulos I, et al. Management, outcomes, and prognostic factors of ruptured hepatocellular carcinoma: a systematic review. J Surg Oncol. 2018; 117: 341-353.

  8. Nishiyama T, Kamo M, Horiuchi S. Extrahepatic collateral artery extravasation in patients with ruptured hepatocellular carcinoma. J Vasc Interv Radiol. 2018; 29: 564-567.

  9. Fernández-Ruiz M, Guerra-Vales J, Llenas-García J, Delgado-García J, Gómez-Pellico C, González-Barber A. Hemoperitoneo como forma de presentación del carcinoma hepatocelular: experiencia de tres casos con rotura tumoral espontánea y revisión de la literatura. An Med Interna. 2008; 25: 81-84.

  10. Yang T, Sun YF, Zhang J, Lau WY, Lai EC, Lu JH, et al. Partial hepatectomy for ruptured hepatocellular carcinoma. Br J Surg. 2013; 100: 1071-1079.

  11. Wu J, Zhu P, Zhang Z, Zhang B, Shu C. European journal of surgical oncology spontaneous rupture of hepatocellular carcinoma: optimal timing of partial hepatectomy, Eur J Surg Oncol. 2019; 45: 1887-1894.

  12. Joliat GR, Labgaa I, Uldry E, Demartines N, Halkic N. Recurrence rate and overall survival of operated ruptured hepatocellular carcinomas. Eur J Gastroenterol Hepatol. 2018; 30: 792-796.



AFILIACIONES

1 Médico Tratante de Cirugía General. Hospital Quito No. 1 de la Policía Nacional. Quito, Ecuador.

2 Médico Postgradista de Cirugía General R4, Pontificia Universidad Católica del Ecuador (PUCE). Hospital Quito No. 1 de la Policía Nacional. Quito, Ecuador.

3 Médica Patóloga. Hospital Quito No. 1 de la Policía Nacional. Quito, Ecuador.



Consideraciones éticas: Los autores declaran que siguieron los protocolos de su centro de trabajo sobre la publicación de datos de pacientes, resguardando su derecho a la privacidad mediante la confidencialidad de sus datos.

Financiamiento: No se recibió apoyo financiero para la realización de este trabajo.

Conflicto de intereses: Los autores declaran no tener conflicto de intereses.



CORRESPONDENCIA

Diego Fernando Viteri Cevallos. E-mail: diegoviteri83@hotmail.com




Recibido: 20/08/2020. Aceptado: 08/12/2021

Figura 1
Figura 2
Figura 3

2020     |     www.medigraphic.com

Mi perfil

C?MO CITAR (Vancouver)

Cir Gen. 2021;43

ARTíCULOS SIMILARES

CARGANDO ...