medigraphic.com
SPANISH

Cirujano General

ISSN 2594-1518 (Electronic)
ISSN 1405-0099 (Print)
  • Contents
  • View Archive
  • Information
    • General Information        
    • Directory
  • Publish
    • Instructions for authors        
    • Send manuscript
  • medigraphic.com
    • Home
    • Journals index            
    • Register / Login
  • Mi perfil

2021, Number 2

<< Back Next >>

Cir Gen 2021; 43 (2)

Emergent managment of ruptured hepatocellular carcinoma

Viteri Cevallos, Diego Fernando1; Delgado, Jhony A2; Díaz, Diego A2; Latta, Johana P3; Gordillo, Alberto C1
Full text How to cite this article 10.35366/106727

DOI

DOI: 10.35366/106727
URL: https://dx.doi.org/10.35366/106727

Language: English/Spanish [Versi?n en espa?ol]
References: 12
Page: 141-145
PDF size: 260.17 Kb.


Key words:

Liver, hepatocellular carcinoma, tumor resection, transcatheter arterial embolization.

ABSTRACT

In this manuscript, the case of an 84-year-old male patient is described, this person comes to the emergency room with an acute abdomen, a simple and contrasted tomography of the abdomen and pelvis is carried out, it was observed free fluid in the cavity and signs of liver cirrhosis. Thus, his admission to the hospital is suggested. Later, the patient shows signs of hypovolemic shock, for which an emergent surgical intervention is decided, a diagnostic laparoscopy and laparotomy were performed, hemoperitoneum of approximately 2,000 ml and an uneven liver tumor in segment II are described, for which it is decided to carry out a hepatic segmentectomy and drainage of the hemoperitoneum; the histopathological result reports hepatocellular carcinoma that invades the capsule, with free borders. This case is presented because its treatment was adequate in relation to previous studies, which show that the dissemination of cancer in the peritoneal cavity decreases with rapid drainage of the hemoperitoneum and the advantages described with resection of hepatocarcinoma in the first stage surgical.



INTRODUCTION

Liver cancer represents the fourth most common cause of death among malignant neoplasms worldwide, with the World Health Organization estimating that by 2030, 1'000,000 people will die from this cause. The death rate increased from 7.2 to 10.3 per 1 million population in the United States between 2000 and 2016.1

Mortality and hospitalization rates associated with hepatocellular carcinoma (HCC) also increased by 41% and 46%, respectively. In the United States, 15,000 new cases are diagnosed each year.2 Hepatocellular carcinoma is the sixth most common cancer in the world; however, in Asian and African countries, it is a health problem. For example, in Thailand, it is the most common cancer in men and the third most common in women; in most cases, there is an underlying liver disease such as cirrhosis related to hepatitis B, C, alcoholic cirrhosis, or non-alcoholic fatty liver disease.3 Patients with nonalcoholic fatty liver disease-related hepatocarcinoma usually have the following characteristics: high body mass index, dyslipidemia, type II diabetes, hypertension, or metabolic syndrome.4 Inflammatory cytokines, adipokines, insulin such as growth factor I, and lipotoxicity intermingle and may cross-react to develop hepatocellular carcinoma (HCC).3

Spontaneous HCC rupture occurs in 3 to 26% of all patients, and mortality rates are high, approximately 32 to 66.7%. The one-, three-, and five-year survival rates of patients with ruptured HCC were 54.2, 35, and 21.2%, respectively, compared to patients with unruptured HCC, the survival were 72.1, 47.3 and 33.9% within the same follow-up time. The available treatments for HCC rupture are hepatic resection, transcatheter arterial embolization (TAE), and conservative treatment (compensation of underlying cirrhosis). In selected patients, timely surgical resection can result in a good prognosis and long-term survival. TAE is a treatment alternative that can effectively induce hemostasis with success rates of 53-100%.3



PRESENTATION OF THE CASE

An 84 years-old male patient, with a history of hypothyroidism treated with levothyroxine 75 µg orally every day, dyslipidemia treated with simvastatin 20 mg every day, prostatectomy 20 years ago, and surgery for vertebral fracture six years ago present sudden onset abdominal pain with 12 hours of evolution, located in the epigastrium and mesogastrium of intensity 9/10 on the visual analog scale (VAS), accompanied by abdominal distension and lipotimia.

On physical examination, the patient was conscious and oriented; on admission, vital signs were heart rate of 92 per minute, blood pressure of 102/80 mmHg, oxygen saturation of 94% with FiO2 of 36%. The abdomen was distended with decreased hydroaerial sounds, and on palpation, there was evidence of involuntary muscle resistance with positive Dunphy's sign. Laboratory and imaging tests were performed with the following results: leukocytes: 14.7 K/µl, neutrophils: 77.7%, hemoglobin: 11.1 g/dl, hematocrit: 33.8%, platelets: 236,000 K/µl; arterial blood gases on admission showed a pH of 7.11, pCO2 of 36 mmHg, PO2 60 mmHg, HCO3 11.40 mEq/l, base excess -17.20 mEq/l, and lactate 9.70 mmol/l. It was decided to administrate crystalloid solutions and to perform a CT scan of the abdomen without contrast that showed a liver with a heterogeneous tomographic density of micronodular appearance, with a decrease in size of the right lobe, findings probably related to liver cirrhosis. In addition, perihepatic fluid in the perisplenic, and parietocolic gutters, and in the pelvic cavity was approximately 1,500 cm3 (Figure 1). Subsequently, the patient again refers a sensation of weakness with the following vital signs: heart rate of 115 per minute, and blood pressure of 80/50 mmHg, so it was decided to transfer him to the operating room urgently. A laparoscopic surgery was started, but due to the findings, it was decided to convert to laparotomy during the trans-surgical procedure, where 2,000 ml of hemoperitoneum were identified. The hemoperitoneum was drained and hepatic segmentectomy of segment II was performed (Figure 2); two red blood cell packages were transfused during the trans-surgical procedure. The patient was transferred to the general ward with hemodynamic stability; however, in the control examinations hemoglobin was found to be 8.5 g/dl, so it was decided to transfuse two more packs of red blood cells and two packs of fresh frozen plasma, after which his evolution was without complications. The Jackson Pratt drainage was removed and on the fourth day of hospitalization, he was discharged with oral paracetamol 1 gram every eight hours for five days.

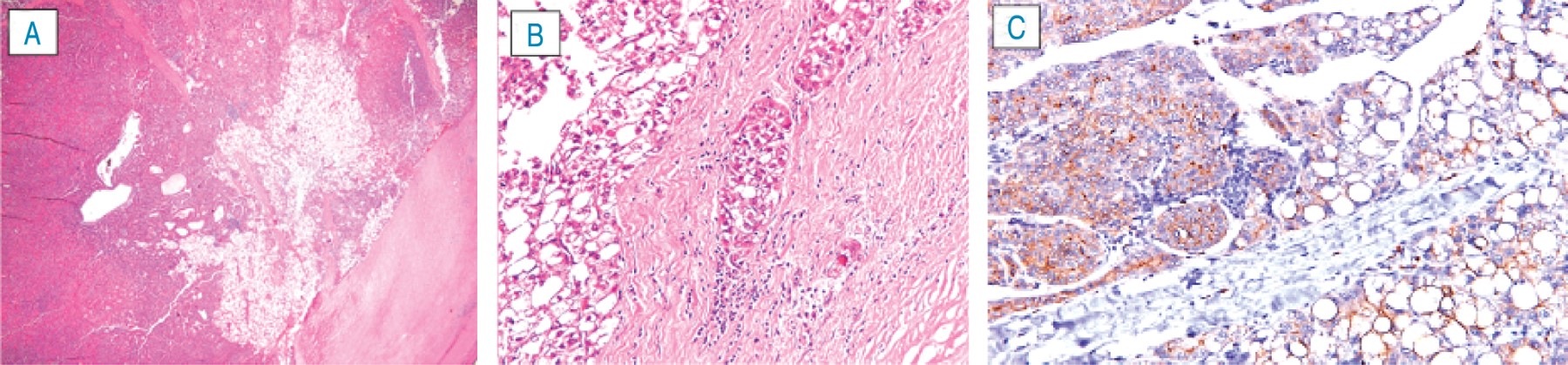
The histopathology report of segment II of the liver concluded a hepatocellular carcinoma with the proliferation of cells arranged in a mixed pattern (trabecular, acinar, and clear cell) with invasion of the capsule (Figure 3) but with free borders, for which clinical oncology was consulted for follow-up and complementary treatment.



DISCUSSION

Hepatocellular carcinoma (HCC) is the most common primary malignant neoplasm of the liver worldwide; it represents 90% of liver neoplasms,5 with approximately 500,000 cases diagnosed per year. Spontaneous rupture occurs in 20% of the cases producing hemoperitoneum, with which the mortality rate increases up to 25%.6 The imaging test of choice for diagnosis, treatment, and define the extension of liver tumors is the three-phase tomography, which has a diagnostic accuracy of 68 to 90%.5

The etiology of HCC rupture and subsequent hemorrhage has several hypotheses, including tumor growth and necrosis, rupture by division of the overlying normal liver parenchyma or erosion of a vessel, coagulopathy leading to the onset of spontaneous bleeding within the tumor, and increased pressure within the tumor due to blockage of hepatic venous branches due to cancer invasion.3

There are other more specific data related to HCC rupture in several studies, including advanced age, advanced cirrhosis, signs of portal hypertension, and large tumors.7

Generally, the source of HCC bleeding is one of the hepatic arteries; however, previously untreated liver tumors may have an extrahepatic collateral arterial supply, which could be a hidden source of bleeding, and close attention should be paid when treatment with TAE is decided and bleeding is not adequately controlled.8 HCC rupture constitutes a vital emergency and requires a high index of suspicion in patients with established liver cirrhosis who present abdominal pain and distension, and a rapid onset accompanied by a drop in hemoglobin, and arterial hypotension with evolution to hypovolemic shock due to massive intraperitoneal bleeding,9 as occurred in our patient. The only difference is that he had no previous diagnosis of cirrhosis or liver tumor.

The management of ruptured hepatocarcinoma depends on the hemodynamic status of the patient, the degree of tumor burden, and the underlying liver function. Transarterial embolization (TAE) has now been found to be an effective option to control bleeding in patients whose hemodynamics are impaired and provides a time to assess the patient's condition and tumor burden. This bridging strategy is now offered for subsequent definitive and curative surgical treatment in selected patients. TAE has a hemorrhage resolution rate of 53 to 100% of cases.3 Studies are comparing the three types of treatment whose results show greater survival in patients in whom hepatic resection was performed versus TAE or conservative management.6 Conservative treatment of ruptured HCC is rarely used alone; its indication is in hemodynamically stable patients with minimal blood loss or those without surgical indication and those receiving palliative treatment. In-hospital survival with this alternative is 49%, and only 1% survival at one year.7 In our case, it was decided to perform a hepatic resection because the patient came to our clinic with acute abdomen and hemodynamic alteration. In the trans-surgical examination, active bleeding was observed at the level of the hepatic tumor, for which reason the decision above was made.

It is generally assumed that spontaneous HCC rupture influences the prognosis of patients undergoing hepatic segmentectomy; there is still controversy on this, as extensive studies such as the one performed in Shanghai by Yang T et al. in 1,223 patients showed that perioperative morbidity and mortality rates were comparable in the ruptured versus unruptured HCC groups, indicating that hepatic segmentectomy does not increase the risk in selected patients and with expert surgeons. Peritoneal dissemination is common after curative resection of ruptured HCC, but early resection and removal of the hemoperitoneum reduce the occurrence of this dissemination. The reported mortality following partial hepatectomy in ruptured HCC is 7%.10

The timing of hepatic segmentectomy is also debated, as it depends on several factors; for example, in Child-Pugh grade C patients, surgery is contraindicated. Other contraindications include tumor thrombosis of the central portal vein, intractable hepatic encephalopathy, severe coagulopathy, low-performance status, distant metastasis, and altered cardiac, renal, or pulmonary function that cannot tolerate the surgery above. In such cases, transarterial embolization (TAE) would be the first option. When the surgical resolution is decided, the discussion is whether to perform segmentectomy in a first stage or in several stages; higher mortality rates are described when it is performed in a single location; however, some studies show that the mortality of hepatic segmentectomy in a single stage is comparable with staged surgery if the patient's conditions allow it, and even more, advantages are reported when it is performed in a single stage with less peritoneal dissemination, better survival, a better quality of life and shorter hospital stay.11

When investigating survival and recurrence of ruptured versus non-ruptured HCC in small studies, it was found that there was no statistically significant difference between these two groups, but in other larger groups, for example, Yang et al. with 5-year follow-up demonstrated that survival was only 16.8% in the ruptured HCC group compared with 50.5% in the non-ruptured group (p < 0.001). Recurrence was similar between patients with ruptured and non-ruptured HCC (73 vs. 60%; p = 0.568), but the mean time to recurrence was significantly shorter in the ruptured group (0.54 vs. 2.73 years; p < 0.001).12



CONCLUSIONS

HCC is the most frequent malignant tumor of the liver, and its rupture is a complication that requires emergency intervention.

Hepatic segmentectomy in the first surgical time is an option that offers advantages in terms of less cancer dissemination, a shorter hospital stay, and more prolonged survival compared to staged treatment.

Transarterial embolization is an option to be considered in selected patients and when interventionism is available because these patients could improve their hemodynamic stability quickly.


REFERENCES

  1. Villanueva A. Hepatocellular carcinoma. N Engl J Med. 2019; 380: 1450-1462.

  2. Ahn J, Flamm SL. Hepatocellular carcinoma. Dis Mon. 2004; 50: 556-573.

  3. Kerdsuknirun J, Vilaichone V, Vilaichone RK. Risk factors and prognosis of spontaneously ruptured hepatocellular carcinoma in Thailand. Asian Pac J Cancer Prev. 2018; 19: 3629-3634.

  4. Kwon OS, Kim JH, Kim JH. The development of hepatocellular carcinoma in non-alcoholic fatty liver disease. Korean J Gastroenterol. 2017; 69: 348-352.

  5. Zsuzsa J. Képalkotó vizsgálatok a hepatocellularis carcinoma szurésére. Orvosi Hetilap. 2010; 151: 1083-1090.

  6. Chua DW, Koh YX, Allen JC, Chan CY, Lee SY, Cheow PC, et al. Impact of spontaneous rupture on the survival outcomes after liver resection for hepatocellular carcinoma: a propensity matched analysis comparing ruptured versus non-ruptured tumors. Eur J Surg Oncol. 2019; 45: 1652-1659.

  7. Moris D, Chakedis J, Sun SH, Spolverato G, Tsilimigras DI, Ntanasis-Stathopoulos I, et al. Management, outcomes, and prognostic factors of ruptured hepatocellular carcinoma: a systematic review. J Surg Oncol. 2018; 117: 341-353.

  8. Nishiyama T, Kamo M, Horiuchi S. Extrahepatic collateral artery extravasation in patients with ruptured hepatocellular carcinoma. J Vasc Interv Radiol. 2018; 29: 564-567.

  9. Fernández-Ruiz M, Guerra-Vales J, Llenas-García J, Delgado-García J, Gómez-Pellico C, González-Barber A. Hemoperitoneo como forma de presentación del carcinoma hepatocelular: experiencia de tres casos con rotura tumoral espontánea y revisión de la literatura. An Med Interna. 2008; 25: 81-84.

  10. Yang T, Sun YF, Zhang J, Lau WY, Lai EC, Lu JH, et al. Partial hepatectomy for ruptured hepatocellular carcinoma. Br J Surg. 2013; 100: 1071-1079.

  11. Wu J, Zhu P, Zhang Z, Zhang B, Shu C. European journal of surgical oncology spontaneous rupture of hepatocellular carcinoma: optimal timing of partial hepatectomy, Eur J Surg Oncol. 2019; 45: 1887-1894.

  12. Joliat GR, Labgaa I, Uldry E, Demartines N, Halkic N. Recurrence rate and overall survival of operated ruptured hepatocellular carcinomas. Eur J Gastroenterol Hepatol. 2018; 30: 792-796.



AFFILIATIONS

1 General Surgery Attending Physician. Quito Hospital No. 1 of the National Police. Quito, Ecuador.

2 Postgraduate Doctor of General Surgery R4, Pontificia Universidad Católica del Ecuador (PUCE). Quito Hospital No. 1 of the National Police. Quito, Ecuador.

3 Medical Pathologist. Quito Hospital No. 1 of the National Police. Quito, Ecuador.



Ethical considerations: The authors declare that they followed their center\'s protocols on the publication of patient data, safeguarding their right to privacy through confidentiality of their data.

Funding: No financial support was received for this work.

Disclosure: The authors declare that they have no conflicts of interest.



CORRESPONDENCE

Diego Fernando Viteri-Cevallos. E-mail: diegoviteri83@hotmail.com




Received: 08/20/2020. Accepted: 12/08/2021

Figure 1
Figure 2
Figure 3

2020     |     www.medigraphic.com

Mi perfil

C?MO CITAR (Vancouver)

Cir Gen. 2021;43