medigraphic.com
ENGLISH

Revista Mexicana de Cirugía Torácica General

Sociedad Mexicana de Cirujanos Torácicos Genrales S.C.
  • Mostrar índice
  • Números disponibles
  • Información
    • Información general        
    • Directorio
  • Publicar
    • Instrucciones para autores        
    • Envío de artículos
  • medigraphic.com
    • Inicio
    • Índice de revistas            
    • Registro / Acceso
  • Mi perfil

2021, Número 2

<< Anterior Siguiente >>

Rev Mex Cir Torac Gen 2021; 2 (2)


Biomímesis como concepto fundamental en la reconstrucción torácica

Damián-López, Erik1; Loyola-García, Ulises2; Martínez-Arias, Miguel Alejandro2; Omaña-Toledo, Juan Antonio3; Otero-Pérez, Armando1; Escobedo-Sánchez, Emmanuel1; Ortiz-Cordero, Luis Ángel1; Alderete-González, María Fernanda4; Lozano-Vázquez, Yair Antonio5
Texto completo Cómo citar este artículo 10.35366/107223

DOI

DOI: 10.35366/107223
URL: https://dx.doi.org/10.35366/107223
Artículos similares

Idioma: Español
Referencias bibliográficas: 4
Paginas: 49-52
Archivo PDF: 294.38 Kb.


PALABRAS CLAVE

Biomímesis, reconstrucción torácica, tratamiento individualizado.

RESUMEN

Introducción y objetivos: La biomímesis tomada como concepto fundamental para la reconstrucción de la pared costal, ya sea para patología traumática o tumoral, ha sido un pilar importante en la determinación del tipo y material que se debe utilizar para restablecer la anatomía y función del tórax. Presentamos de manera representativa nuestra experiencia en el manejo de pacientes que requieren reconstrucción torácica, en los cuales hacemos uso de múltiples sistemas y materiales disponibles. Material y métodos: Se describen cuatro casos complejos representativos de nuestra experiencia anual: dos pacientes con patología tumoral benigna y dos pacientes con trauma contuso de tórax con lesiones complejas, los cuales se manejaron de manera individualizada según las características de sus lesiones. Resultados: La utilización de manera individualizada de los múltiples materiales disponibles en el mercado, siguiendo el principio de restitución anatómica y funcional del tórax, hace de la biomímesis un concepto fundamental para la reconstrucción de la pared torácica y la restitución a las actividades cotidianas de nuestros pacientes. Conclusiones: Se cuenta con diferentes materiales disponibles en el mercado para la reconstrucción de la pared torácica; sin embargo, aún es un camino en desarrollo, siempre con el fin de restituir la calidad de vida de los pacientes por medio de la incorporación a sus actividades cotidianas.



INTRODUCCIóN

La naturaleza ha sido, desde las primeras publicaciones sobre biomímesis en 1889 (Otto Lilienthal), una musa inspiradora para el artista,1 logrando así desarrollos tecnológicos basados en los sistemas naturales. Bajo este concepto, la cirugía de tórax no es la excepción, ya que el cirujano debe ser flexible y creativo al momento de individualizar la reconstrucción de la pared torácica, teniendo como objetivo los siguientes siete puntos:2

  • 1. Restaurar la rigidez de la pared torácica.
  • 2. Prevenir hernias pulmonares.
  • 3. Evitar la contracción de la pared torácica.
  • 4. Prevenir el atrapamiento de la escápula.
  • 5. Proteger los órganos mediastínicos.
  • 6. Buen resultado estético.
  • 7. Preservación de la función pulmonar.

Para lograr estos resultados, se deberá tomar en cuenta algunas propiedades de los materiales protésicos empleados en la reconstrucción de la pared torácica, los cuales deberán tener las siguientes características:2

  • 1. Suficiente rigidez para abolir movimientos paradójicos del tórax.
  • 2. Suficiente maleabilidad para permitir un adecuado contorneado.
  • 3. Física y químicamente inertes.
  • 4. Permitir el crecimiento del tejido.
  • 5. Radiopacos.
  • 6. Estéril y resistente a infecciones.
  • 7. Barato.



MATERIAL Y MéTODOS

Se incluyeron cuatro pacientes: dos con lesiones tumorales y dos con fracturas costales complejas.

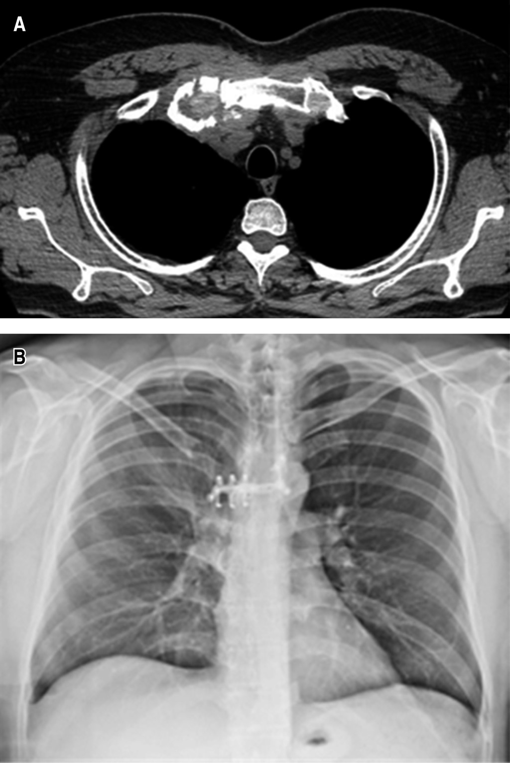
  • ? Caso 1: masculino de 51 años de edad con tumor de articulación esternoclavicular y esternocostal derecha, el cual se resecó con bordes libres y se reconstruyó con sistema StraTos®, sistema Tritium® y malla parcialmente absorbible (Figura 1).
  • ? Caso 2: femenino de 50 años de edad con tumor de segundo espacio intercostal derecho, el cual se resecó con bordes libres y se reconstruyó con sistema StraTos® y malla parcialmente absorbible (Figura 2).
  • ? Caso 3: masculino de 58 años de edad con luxación costocondral izquierdas (5-7), las cuales se fijaron con sistema StraCos® para los trazos simples y para el séptimo cartílago se utilizó un montaje de sistema StraCos® con sistema Tritium® para fijar el cartílago común al esternón (Figura 3).
  • ? Caso 4: masculino de 53 años de edad con fracturas costales izquierdas laterales (5-8) y posteriores (5-8), las cuales se fijaron con sistema StraCos® para trazos laterales y posteriores, además de fijación con tornillos de cortical del sistema Tritium® para estos últimos trazos por la cercanía con las apófisis transversas de la vértebra adyacente (Figura 4).



RESULTADOS

Al momento, los cuatro pacientes se encuentran en seguimiento por la consulta externa, en la cual se ha visto evolución y mejoría de sus padecimientos, así como una completa restitución a sus actividades cotidianas, sin complicaciones hasta el momento por los procedimientos.



DISCUSIóN

Desde el inicio de la cirugía torácica se ha puesto en discusión la necesidad de reconstruir la pared del tórax; sin embargo, hoy en día no se cuenta con un material o biopolímero que cuente con todas las características necesarias para lograr los objetivos básicos de este tipo de cirugía, es aquí donde la biomímesis toma relevancia para el tratamiento de los pacientes que requieran algún tipo de reconstrucción, ya sea por causas congénitas, tumorales o traumáticas, lo cual impone un reto para los cirujanos de tórax, ya que se requiere de la creatividad y la imaginación, así como de la habilidad para lograr restituir la anatomía lo más apegado a la naturaleza, garantizando una función y apariencia acorde con las necesidades de cada paciente.

Como término general tomamos en cuenta los espacios mayores de 5 cm para realizar algún procedimiento con el fin de disminuir dicho espacio y evitar complicaciones, así como la fijación del esternón o de las costillas fracturadas del paciente, en los cuales el trazo de fractura condicionará alguna angulación importante que se manifestará con dolor o dificultad respiratoria, así como una apariencia física no adecuada.

Aún no se cuenta con un tratamiento estandarizado para estos pacientes, el cual es muy complejo en algunas ocasiones; no obstante, hemos tenido excelentes resultados con los materiales disponibles en nuestro centro de trabajo, haciendo uso de múltiples tipos de éstos, pero sin duda alguna el factor que consideramos más importante es el principio de la biomímesis y su aplicación en estos pacientes.



CONCLUSIONES

No existe un polímero que satisfaga la totalidad de los requerimientos para regresar a la normalidad los tejidos involucrados en la reconstrucción torácica; sin embargo, es necesario que los materiales o productos desarrollados y utilizados en la reconstrucción de la pared torácica repliquen la anatomía y función del cuerpo humano lo más acercado a la realidad y, con esto,3 lograr mejorar la calidad de vida de los pacientes.4


REFERENCIAS (EN ESTE ARTÍCULO)

  1. Favret EA. Biomimética, tecnología inspirada en la naturaleza. Museo. 2013; (circa 1500): 25-32.

  2. Khullar OV, Fernández FG. Prosthetic reconstruction of the chest wall. Thorac Surg Clin. 2017; 27(2): 201-208.

  3. Reddy R, Reddy N. Biomimetic approaches for tissue engineering. J Biomater Sci Polym Ed. 2018; 29(14): 1667-1685.

  4. Sanna S, Brandolini J, Pardolesi A, Argnani D, Mengozzi M, Dell'Amore A et al. Materials and techniques in chest wall reconstruction: a review. J Vis Surg. 2017; 3: 95.



AFILIACIONES

1 Residente de Cirugía Torácica del Centro Médico ISSEMyM, Toluca, México.

2 Cirujano Torácico del Centro Médico ISSEMyM, Toluca, México.

3 Cirujano Torácico del Hospital "Adolfo López Mateos", México.

4 Médico General en investigación ISSEMyM, Toluca, México.

5 Residente de Cirugía General del Centro Médico ISSEMyM, Toluca, México.



CORRESPONDENCIA

Erik Damián-López. E-mail: damian.lopez.erik@gmail.com




Recibido: 29/11/2021. Aceptado: 10/03/2022

Figura 1
Figura 2
Figura 3
Figura 4

2020     |     www.medigraphic.com

Mi perfil

C?MO CITAR (Vancouver)

Rev Mex Cir Torac Gen. 2021;2

ARTíCULOS SIMILARES

CARGANDO ...