medigraphic.com
ENGLISH

Revista CONAMED

ISSN 2007-932X (Digital)
Órgano Oficial de Difusión de la Comisión Nacional de Arbitraje Médico
  • Mostrar índice
  • Números disponibles
  • Información
    • Información general        
    • Directorio
  • Publicar
    • Instrucciones para autores        
  • medigraphic.com
    • Inicio
    • Índice de revistas            
    • Registro / Acceso
  • Mi perfil

2022, Número 3

<< Anterior Siguiente >>

Rev CONAMED 2022; 27 (3)


Expulsión espontánea de lito en paciente con íleo biliar. Reporte de un caso clínico inusual

López Romero, César Alejandro1; Gómez Rodríguez, Juan Manuel1; Romero Nogales, Antonio2
Texto completo Cómo citar este artículo 10.35366/107642

DOI

DOI: 10.35366/107642
URL: https://dx.doi.org/10.35366/107642
Artículos similares

Idioma: Español
Referencias bibliográficas: 11
Paginas: 114-117
Archivo PDF: 169.39 Kb.


PALABRAS CLAVE

íleo biliar, lito, expulsión espontánea.

RESUMEN

El íleo biliar es una complicación poco común de la colelitiasis, se describe como una obstrucción intestinal mecánica debida a la impactación de uno o más cálculos biliares dentro del tracto gastrointestinal. El lito llega al intestino por medio de una fístula colecistoentérica. El tipo de fístula más frecuente se localiza entre la vesícula biliar y el duodeno. Debido a la falta de sospecha de este padecimiento, el diagnóstico se realiza con laparotomía exploradora en 50% de los pacientes. La mayoría de la bibliografía recomienda manejo quirúrgico; sin embargo, existen muy pocos casos en los cuales se ha reportado la expulsión espontánea del lito biliar.



INTRODUCCIóN

El íleo biliar fue descrito por primera vez en 1654 por Erasmus Bartolim en un estudio de necropsia.1-3 Es causado por el paso de un cálculo biliar desde los ductos biliares hacia el lumen intestinal por medio de una fístula.4 El tipo de fístula más frecuente se localiza entre la vesícula biliar y el duodeno.1,4 La fístula aparece cuando hay episodios recurrentes de colecistitis aguda y genera una amplia inflamación y adherencias entre la vesícula biliar y el tracto digestivo.4,5 Esta patología representa de 1 a 4% de las causas de oclusión mecánica del intestino delgado en pacientes menores de 65 años.2 Esta entidad se presenta con mayor frecuencia en pacientes mayores de 65 años y tiene una prevalencia de hasta 25% como causa de oclusión en este grupo de edad.2,6,7 Predomina en el género femenino con una proporción de 3.5-6.1:1.1-4 La sospecha diagnóstica es de suma importancia para un manejo oportuno. En una revisión de literatura japonesa Kashara y colaboradores reportaron que sólo ocho de 112 pacientes mostraron paso espontáneo de lito a través del tracto gastrointestinal.8,9



PRESENTACIóN DEL CASO

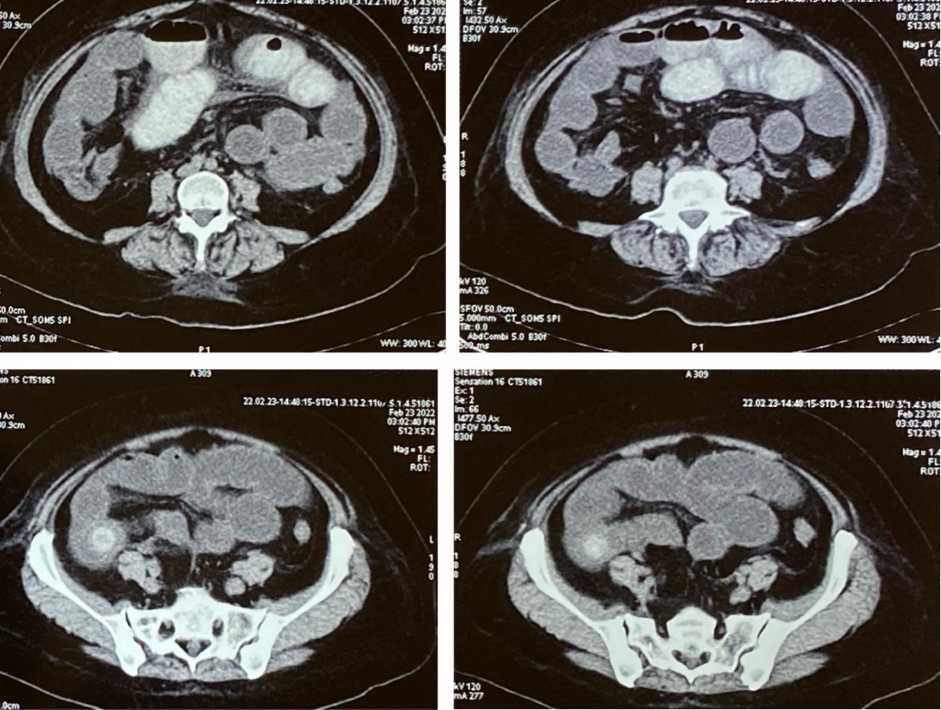
Paciente femenino de 58 que acude al servicio de urgencias por presentar cuadro clínico de ocho días de evolución caracterizado por dolor en epigastrio 9/10 puntos en la escala visual análoga, tipo punzante acompañado de náuseas que progresaron a vómitos de contenido gastrobiliar, evacuaciones y canalización de gases presentes. Se inició manejo con antiácidos por médico particular previo al ingreso a urgencias sin mostrar mejoría de sintomatología. A la exploración física muestra como hallazgos de relevancia distensión abdominal con dolor a la palpación superficial y profunda localizado en epigastrio y mesogastrio; timpanismo generalizado a la auscultación y peristalsis disminuida. No se encuentra resistencia muscular ni datos de irritación peritoneal al momento de su ingreso. Como antecedentes de importancia refirió alérgica a dextrometorfano y penicilina. Negó antecedentes de cuadros dolorosos abdominales sugestivos de colecistitis. También se negaron enfermedades crónico degenerativas y cirugías. En sus paraclínicos presenta leucocitos 18.13 × 103/mL, con neutrófilos 15.56 × 103/mL, linfocitos 1.44 × 103/mL, hemoglobina 11.60 g/dL, hematocrito 34.60%, plaquetas 359 × 103/mL, creatinina 0.60 mg/dL, nitrógeno ureico 8.6 mg/dL, urea 18.5 mg/dL, sodio 138 mEq/L, potasio 3.3 mEq/L y cloro 104 mEq/L. Se realizó tomografía abdominal con contraste vía oral con reporte de vesícula biliar con material de contraste proveniente del duodeno, que mostró comunicación anómala entre ambas estructuras en relación con el trayecto fistuloso a nivel de la segunda porción del duodeno, asas de intestino secundario a múltiples niveles hidroaéreos secundario a lito de 24 mm en íleon distal a 40 cm de la válvula ileocecal (Figura 1) con distensión de asas intestinales proximales a ese sitio. Se colocó sonda nasogástrica en su primer día de ingreso hospitalario con un gasto de 1,400 cm3 en las primeras 24 horas. En su segundo y tercer día de estancia intrahospitalaria la paciente no tuvo evacuaciones, ni canalización de gases; presencia de significativa distensión abdominal y timpanismo generalizado, aun sin datos de irritación peritoneal. Durante el cuarto día de estancia intrahospitalaria previo a su intervención quirúrgica se reportó evacuación con expulsión de heces y el cálculo biliar.

Posteriormente fue sometida a laparotomía exploradora, en la cual se observó vesícula biliar esclerotrófica (Figura 2) con múltiples adherencias de epiplón y fístula de 5 mm que conectaba la vesícula biliar con la segunda porción del duodeno (Figura 3), se hizo revisión sistemática de todo el intestino en búsqueda de litos residuales sin encontrar presencia de los mismos. Por lo cual no se realizó enterolitotomía longitudinal. Se procedió a efectuar cierre primario de fístula (Figura 4) y colecistectomía.

La paciente mostró buena evolución clínica posterior a la intervención quirúrgica con evacuación tipo Bristol 6 en el segundo día del postoperatorio. Se inició dieta líquida a las 72 horas de la intervención quirúrgica, con adecuada tolerancia y siendo posible la progresión de la misma. Debido a la evolución favorable sin complicaciones se decidió el egreso hospitalario.



DISCUSIóN

El íleo biliar es una rara complicación de litiasis vesicular en 0.3-0.4%, el mecanismo más frecuente del paso del lito es a través de una fístula colecisto duodenal, misma situación que presentó nuestra paciente. Este caso clínico aquí expuesto de íleo biliar es inusual debido a que la edad de presentación del caso se encuentra por debajo de los 65 años, al cual sólo corresponde menos de 4% de incidencia de esta patología según la literatura citada en esta publicación. Un cálculo de tamaño mayor de 2 cm de diámetro genera obstrucción a nivel del intestino delgado en 90% de los pacientes,4 lo cual concuerda con nuestro caso, donde se documentó un lito de 24 mm por tomografía, responsable del cuadro oclusivo a inicios de la enfermedad; sin embargo, destaca la expulsión espontánea del lito en las heces fecales. Cabe destacar los pocos casos documentados de expulsión espontánea del cálculo en íleo biliar, lo que hace nuestro reporte de caso con resolución infrecuente de íleo biliar. Se han descrito en la literatura japonesa apenas ocho casos de 112 que presentaron resolución espontánea.9 Existe aún controversia sobre el manejo del íleo biliar; sin embargo, la mayoría de la bibliografía concuerda en que el manejo quirúrgico continúa siendo de elección en todos los casos reportados recomendando una enterolitotomía con extracción de cálculos, seguida o no de colecistectomía y reparación de la fístula bilioentérica.10 En este caso se realizó cirugía en un solo tiempo, ya que ofrece las ventajas de evitar complicaciones futuras como la presencia de carcinoma de vesicular biliar en 15%, colecistitis o colangitis o recurrencias del cuadro obstructivo.8,11



CONCLUSIONES

El íleo biliar es una patología poco frecuente y se considera una complicación de colelitiasis crónica que genera un cuadro de obstrucción intestinal. Establecer el diagnóstico es fundamental, ya que es una patología que se manifiesta en edades avanzadas y siempre está acompañada de otras comorbilidades que pueden incrementar el porcentaje de mortalidad. El manejo siempre será quirúrgico y se individualizará de acuerdo con la edad y comorbilidades presentes en el momento del diagnóstico.



AGRADECIMIENTOS

Agradecemos a los médicos y residentes del Hospital General de Manzanillo por hacer posible este artículo de reporte de caso.


REFERENCIAS (EN ESTE ARTÍCULO)

  1. Belmontes Castillo M, Pintor Belmontes Íleo biliar, una causa infrecuente de oclusión Rev Fac Med 2015, 58 (1): 33-39.

  2. Castillo González J, Guillen Martínez E, Chama Naranjo A, Garcia Cordova E, Farell Rivas J, López Olivares R. Gallstone ileus: early diagnosis and treatment of an infrequent disease. Cirugía 2021; 32 (1): 36-42.

  3. Ayantunde AA, Agrawal A. Gallstone ileus: diagnosis and management. World J 2007; 31 (6): 1292-1297.

  4. Ploneda-Valencia CF, Gallo-Morales M, Rinchon C, Navarro-Muñiz E, Bautista-López C, de la Cerda-Trujillo L et al. El íleo biliar: una revisión de la literatura 15. médica. Revista de Gastroenterología de 2017; 82 (3): 248-254.

  5. Zimadlová D, Hoffman P, Bártová J. Gallstone ileus. Case report and review of literature. Folia Gastroenterol 2009; 7: 136-139.

  6. Sesti J, Okoro C, Parikh M. Laparoscopic enterolithotomy for gallstone ileus. J Am Coll 2013; 217 (2): e13-e15.

  7. Martín Pérez J, Delgado Plasencia L, Bravo Gutiérrez A et al. Gallstone ileus as a cause of acute abdomen. Importance of early diagnosis for surgical treatment. Cir 2013; 91: 485-489.

  8. Williams NE, Gundara JS, Roser S, Samra Disease spectrum and use of cholecystolithotomy in gallstone ileus transection. Hepatobiliary Pancreat Dis 2012; 11 (5): 553-557.

  9. Kasahara Y, Umemura H, Shiraha S, Kuyama T, Sakata K, Kubota H. Gallstone ileus. Review of 112 patients in the Japanese literature. Am J Surg. 1980; 140 (3): 437-40. Available from: https://www.sciencedirect.com/science/article/abs/pii/0002961080901853

  10. Reinhardt SW, Jin LX, Pitt SC, Earl TM, Chapman WC, Doyle Bouveret's syndrome complicated by classic gallstone ileus: progression of disease or iatrogenic J Gastrointest 2013; 17 (11): 2020-2024.

  11. Perdomo M, Pose S, Wagner G, Armand Ugon G, Ruso Martinez L. Síndrome de Bouveret asociado a carcinoma escamoso. Una excepcional asociación lesional. Conferencia: Congreso Uruguayo de 2016. doi: 10.13140/RG.2.2.10863.33444.



AFILIACIONES

1 Residente de primer año de Cirugía General. Hospital General de Manzanillo.

2 Cirujano general. Hospital General de Manzanillo.



Conflicto de intereses: los autores no presentan conflicto de intereses.

Financiamiento: los autores declaran que no se recibió financiamiento para realizar este artículo.



CORRESPONDENCIA

CALR. cesar.lopez95@outlook.com




Recibido: 07/05/2022. Aceptado: 21/07/2022.

Figura 1
Figura 2
Figura 3
Figura 4

2020     |     www.medigraphic.com

Mi perfil

C?MO CITAR (Vancouver)

Rev CONAMED. 2022;27

ARTíCULOS SIMILARES

CARGANDO ...