medigraphic.com
ENGLISH

Anales Médicos de la Asociación Médica del Centro Médico ABC

ISSN 0185-3252 (Impreso)
Revista de la Asociación Médica del Centro Médico ABC
  • Mostrar índice
  • Números disponibles
  • Información
    • Información general        
    • Directorio
  • Publicar
    • Instrucciones para autores        
  • medigraphic.com
    • Inicio
    • Índice de revistas            
    • Registro / Acceso
  • Mi perfil

2022, Número 3

<< Anterior Siguiente >>

An Med Asoc Med Hosp ABC 2022; 67 (3)


Crónica de una malla infectada: reporte de caso de una explantación

Quijano-Orvañanos, Fernando1; Toto-Morales, Julián Gabriel2; Ferráez Servín de la Mora, Luis Antonio3; Martínez-Munive, Ángel2
Texto completo Cómo citar este artículo 10.35366/107657

DOI

DOI: 10.35366/107657
URL: https://dx.doi.org/10.35366/107657
Artículos similares

Idioma: Español
Referencias bibliográficas: 33
Paginas: 221-225
Archivo PDF: 338.59 Kb.


PALABRAS CLAVE

malla, explantación, Cheatle-Henry.

RESUMEN

En los casos de infección de una malla, la explantación completa del material protésico se considera el tratamiento de elección debido a la frecuente falla en el manejo conservador. Se presenta el caso de paciente masculino de 54 años, quien mostró infección de una malla preperitoneal luego de 24 meses de haberse sometido a una plastia inguinal mediante abordaje transabdominal preperitoneal. Se realizó explantación de la malla con técnica abierta de Cheatle-Henry no sólo como una alternativa menos costosa a la laparoscopia, sino como una forma de mantener intacto el abordaje inguinal anterior en caso de una potencial reparación futura.



INTRODUCCIóN

Se estima que anualmente se realizan 20,000,000 de plastias inguinales en el mundo1 y unas 800,000 en los Estados Unidos.2 Aunque el abordaje quirúrgico óptimo continúa siendo controversial, el laparoscópico representa menos de un tercio del total de casos (entre 20-29%).3-5 Desde los trabajos originales de F. Usher,6 el uso de mallas en las reparaciones inguinales se ha vuelto el método de reparación recomendado por guías internacionales1 debido en parte a la menor tasa reportada de recurrencias.7 Sin embargo, una de las complicaciones más temidas por el uso de mallas en reparaciones de hernias abdominales es la infección de la prótesis, situación que presenta un amplio rango informado en la literatura, que ronda entre 1.9-14% en algunas series, y donde claramente el tipo de prótesis y la técnica quirúrgica tienen una gran influencia en los resultados.8-10 Considerada un evento raro, la tasa registrada de infección de malla tras un abordaje transabdominal preperitoneal (TAPP) oscila entre 0.05-0.11%,11-13 habiendo reportes incluso de 0% de infecciones en otras series.14,15 En este trabajo presentamos el abordaje y manejo quirúrgico de una malla inguinal preperitoneal infectada.



CASO CLíNICO

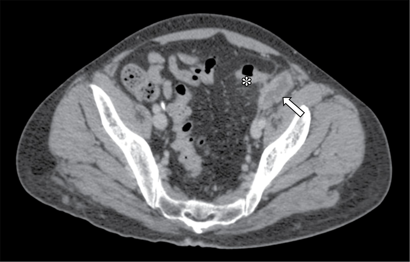
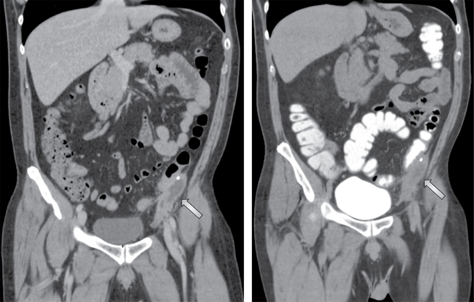
Paciente masculino de 54 años quien inició el 20 de abril de 2020 con dolor abdominal de predominio en fosa iliaca izquierda; se solicitó estudio tomográfico y se estableció el diagnóstico de diverticulitis aguda grado Hinchey Ib (absceso pericólico) en otra clínica y se manejó con ceftriaxona 1 g intramuscular cada 12 horas por cinco días. Dos semanas posteriores al término del tratamiento presentó exacerbación del cuadro con incremento del dolor y alza térmica cuantificada hasta 37.7 oC, sin otra sintomatología acompañante. Como comorbilidades refirió únicamente trastorno depresivo mayor en tratamiento con clobazam. Como antecedente de importancia destacaba plastia inguinal izquierda con colocación de malla por vía laparoscópica dos años previos al inicio de los síntomas. A la exploración física sus signos vitales eran presión arterial (TA) 130/80 mmHg, frecuencia cardiaca (FC) 90, frecuencia respiratoria (FR) 16, temperatura 37.1 oC; abdomen blando, depresible, doloroso a la palpación media y profunda de fosa iliaca izquierda, sin datos de irritación peritoneal y sin cambios en la coloración de la piel. En los estudios de laboratorio de ingreso: leucocitos séricos 6.2 × 103/μL, neutrófilos absolutos 4.22 × 103/μL, proteína C reactiva ultrasensible 3.06 mg/dL, velocidad de sedimentación globular 36 mm/h y procalcitonina sérica 0.05 ng/dL. Una tomografía de abdomen reveló una colección hipodensa localizada en receso paracólico izquierdo (Figura 1), cuyas características tomográficas eran sugestivas de un proceso infeccioso. Tras la administración de contraste endovenoso y transrectal se observó reforzamiento de la pared de la colección sin evidencia de comunicación entre la colección y el colon (Figura 2). Se realizó drenaje percutáneo de la colección guiado por tomografía obteniendo 10 mL de material hematopurulento dejando catéter Dawson Mueller 8.5 Fr; el cultivo aeróbico reportó crecimiento de Serratia marcescens sensible a carbapenémicos. Completó cinco días de tratamiento con meropenem 1 g intramuscular cada ocho horas y fue egresado previo retiro del drenaje. Reingresó tres semanas después de su egreso para el retiro de la malla. Realizamos un abordaje en línea media infraumbilical, incidiendo hasta el espacio preperitoneal sin entrar a cavidad (Figura 3). Se disecó el espacio preperitoneal izquierdo de forma roma hasta el nivel de la espina iliaca anterosuperior ipsilateral, visualizando y respetando los vasos epigástricos profundos, mismos que se rechazaron superiormente junto con fibras del recto abdominal (Figura 4). Se extrajo malla de poliéster autoadherible, la cual se encontraba plicada y distorsionada (Figura 5). Por último, se lavó el espacio preperitoneal con un litro de microdacyn, se colocó drenaje cerrado 19 Fr, se afrontó aponeurosis anterior con surgete tipo Small bites utilizando sutura 0 de muy lenta absorción y se colocaron grapas en piel. El procedimiento se llevó a cabo en un tiempo de 60 minutos y un sangrado cuantificado en 30 mL. Cursó su postoperatorio sin eventualidades y fue egresado al día siguiente. El drenaje se retiró a los cinco días en consulta externa.



DISCUSIóN

El objetivo de este reporte es analizar los posibles factores relacionados a la infección de la malla y presentar una alternativa de tratamiento exitosa.

Está claro que el propósito de toda malla quirúrgica es proporcionar fuerza biomecánica a las estructuras faciales debilitadas por medio de una reacción a cuerpo extraño.16 Bajo condiciones ideales, la malla se incorpora al tejido del huésped gracias al crecimiento interno de fibroblastos, pero cuando esto no sucede, existe una fijación incompleta del injerto.17

Los materiales macroporosos (> 75 μm) no permiten la proliferación de bacterias;18 la infección de la malla desencadena una respuesta inflamatoria aguda y no crónica que promueve la reabsorción de fibras de colágeno;19 todo lo anterior sumado a la plasticidad inherente del poliéster fueron sin duda factores que favorecieron el plegamiento de la malla en nuestro caso.

No existe una malla ideal, pues las propiedades varían, dependiendo de la hernia y su técnica de reparación; sin embargo, se ha sugerido que debe ser biocompatible, resistente a la infección, de fácil manejo e implantación, económica y duradera.16

Aunque clínicamente el poliéster ha demostrado no tener mayor riesgo de infección que el polipropileno,20 estudios in vitro han revelado que un inóculo de tan sólo 102 bacterias es suficiente para producir la adherencia a distintos tipos de mallas,21 con una aparente mayor afinidad por materiales como el politetrafluoroetileno (PTFE) y el poliéster.22

Staphylococcus aureus es el microorganismo aislado con mayor frecuencia en este tipo de infecciones, seguido de una variedad de enterobacterias.23,24 Sin embargo, no hemos encontrado reportes previos con aislamientos similares al nuestro. Aunque existen múltiples factores que afectan el grado de adherencia bacteriana a una superficie como la malla, la secreción de polisacáridos y el desarrollo del biofilm es un paso clave para evadir muchos de los mecanismos de defensa.25

Los factores de riesgo relacionados a la infección de la malla en su mayoría provienen de estudios donde se mezclan reparaciones ventrales e inguinales. Lledó y colaboradores26 identificaron los siguientes: obesidad (índice de masa corporal [IMC] > 30), diabetes, cirugía de urgencia, el uso de una malla grande (> 15 cm) y un tiempo quirúrgico > 180 min. Para Stremitzer y asociados27 el riesgo aumenta 1.13 cada 15 min de tiempo adicional y, al menos en su análisis univariado, el IMC también fue un factor de riesgo. Sin embargo, en su metaanálisis, Mavors y su grupo28 dejan fuera la obesidad y señalan como únicos factores de riesgo la edad, el uso del tabaco, un ASA > 3, cirugía de urgencia y un tiempo quirúrgico prolongado. Ninguno de los factores mencionados, exceptuando el tiempo quirúrgico, parecen estar relacionados al caso que reportamos.

Se ha sugerido que el manejo de una malla infectada dependerá del tipo de material;29 sin embargo, la frecuente falla al manejo conservador ha vuelto a la explantación completa de la malla el tratamiento de elección.23 Aunque se ha propuesto a la laparoscopia como un método de manejo y evaluación de la extensión del proceso infeccioso, la gran mayoría de los pacientes terminan por requerir un desbridamiento abierto debido a múltiples razones.30,31 Proponemos el abordaje de Cheatle-Henry no sólo como una alternativa menos costosa a la laparoscopia, sino como una forma de mantener intacto el abordaje inguinal anterior en caso de una posible reparación futura. Además, al realizar la tomografía con contraste rectal preoperatoria, prescindimos del abordaje laparoscópico propuesto por Jin y colaboradores31 como medio para evaluar la extensión a órganos internos.

Por último, parece ser que la explantación no confiere mucho riesgo de recurrencia y sí elimina los síntomas en la gran mayoría de los pacientes; series pequeñas con seguimientos que rondan los cuatro años sugieren una tasa de recurrencia entre 5-14%.32,33 Nuestro caso, a seis meses de la explantación, no ha presentado datos de recurrencia.



CONCLUSIONES

Pese a que la infección de una malla inguinal laparoscópica es un evento raro, el número real podría ser mayor debido a la falta de reportes y al creciente uso de esta técnica. La explantación completa se considera el tratamiento de elección debido a la frecuente falla al manejo conservador. El abordaje abierto a través de línea media deja intacto el abordaje inguinal anterior para el raro caso que necesite una reparación futura debido a una recurrencia.


REFERENCIAS (EN ESTE ARTÍCULO)

  1. HerniaSurge Group. International guidelines for groin hernia management. Hernia. 2018; 22 (1): 1-165.

  2. Rutkow IM. Demographic and socioeconomic aspects of hernia repair in the United States in 2003. Surg Clin North Am. 2003; 83 (5): 1045-1051, v-vi.

  3. Smink DS, Paquette IM, Finlayson SRG. Utilization of laparoscopic and open inguinal hernia repair: a population-based analysis. J Laparoendosc Adv Surg Tech A. 2009; 19 (6): 745-748.

  4. Bourgon AL, Fox JP, Saxe JM, Woods RJ. Outcomes and charges associated with outpatient inguinal hernia repair according to method of anesthesia and surgical approach. Am J Surg. 2015; 209 (3): 468-472.

  5. Pavlosky KK, Vossler JD, Murayama SM, Moucharite MA, Murayama KM, Mikami DJ. Predictors of laparoscopic versus open inguinal hernia repair. Surg Endosc. 2019; 33 (8): 2612-2619.

  6. Usher FC. Hernia repair with Marlex mesh. An analysis of 541 cases. Arch Surg. 1962; 84: 325-328.

  7. Lockhart K, Dunn D, Teo S, Ng JY, Dhillon M, Teo E et al. Mesh versus non-mesh for inguinal and femoral hernia repair. Cochrane Database Syst Rev. 2018; 9 (9): CD011517.

  8. Cobb WS, Carbonell AM, Kalbaugh CL, Jones Y, Lokey JS. Infection risk of open placement of intraperitoneal composite mesh. m Surg. 2009; 75 (9): 762-767.

  9. Brown RH, Subramanian A, Hwang CS, Chang S, Awad SS. Comparison of infectious complications with synthetic mesh in ventral hernia repair. Am J Surg. 2013; 205 (2): 182-187.

  10. Bueno-Lledó J, Torregrosa-Gallud A, Sala-Hernandez A, Carbonell-Tatay F, Pastor PG, Diana SB, et al. Predictors of mesh infection and explantation after abdominal wall hernia repair. Am J Surg. 2017; 213 (1): 50-57.

  11. Leibl BJ, Schmedt CG, Schwarz J, Daubler P, Kraft K, Schlossnickel B et al. A single institution's experience with transperitoneal laparoscopic hernia repair. Am J Surg. 1998; 175 (6): 446-451; discussion 452.

  12. Lovisetto F, Zonta S, Rota E, Bottero L, Faillace G, Turra G et al. Laparoscopic transabdominal preperitoneal (TAPP) hernia repair: surgical phases and complications. Surg Endosc. 2007; 21 (4): 646-652.

  13. Kapiris SA, Brough WA, Royston CM, O'Boyle C, Sedman PC. Laparoscopic transabdominal preperitoneal (TAPP) hernia repair. A 7-year two-center experience in 3017patients. Surg Endosc. 2001; 15 (9): 972-975.

  14. Castorina S, Luca T, Privitera G, El-Bernawi H. An evidence-based approach for laparoscopic inguinal hernia repair: lessons learned from over 1,000 repairs. Clin Anat. 2012; 25 (6): 687-696.

  15. Agresta F, Mazzarolo G, Bedin N. Inguinal hernia repair in a community hospital setting--have attitudes changed because of laparoscopy? A review of a general surgeon's experience over the last 5 years. Surg Laparosc Endosc Percutan Tech. 2009; 19 (3): 267-271.

  16. Sanders DL, Kingsnorth AN. Prosthetic mesh materials used in hernia surgery. Expert Rev Med Devices. 2012; 9 (2): 159-179.

  17. Mann D V, Prout J, Havranek E, Gould S, Darzi A. Late-onset deep prosthetic infection following mesh repair of inguinal hernia. Am J Surg. 1998; 176 (1): 12-14.

  18. Amid PK, Shulman AG, Lichtenstein IL, Hakakha M. Biomaterials for abdominal wall hernia surgery and principles of their applications. Langenbecks Arch Chir. 1994; 379 (3): 168-171.

  19. Trabucchi EE, Corsi FR, Meinardi C, Cellerino P, Allevi R, Foschi DA. Tissue response to polyester mesh for hernia repair: An ultramicroscopic study in man. Hernia. 1998; 2 (3): 107-112. Available in: https://doi.org/10.1007/BF01250023

  20. Totten C, Becker P, Lourd M, Roth JS. Polyester vs polypropylene, do mesh materials matter? A meta-analysis and systematic review. Med Devices. 2019; 12: 369-378.

  21. Sanders DL, Kingsnorth AN, Lambie J, Bond P, Moate R, Steer JA. An experimental study exploring the relationship between the size of bacterial inoculum and bacterial adherence to prosthetic mesh. Surg Endosc. 2013; 27 (3): 978-985. Available in: https://doi.org/10.1007/s00464-012-2545-4

  22. Gungor B, Esen S, Gok A, Yilmaz H, Malazgirt Z, Leblebicioglu H. Comparison of the adherence of E. coli and S. aureus to ten different prosthetic mesh grafts: in vitro experimental study. Indian J Surg. 2010; 72 (3): 226-231.

  23. Taylor SG, O'Dwyer PJ. Chronic groin sepsis following tension-free inguinal hernioplasty. Br J Surg. 1999; 86 (4): 562-565.

  24. Johanet H, Contival N. Mesh infection after inguinal hernia mesh repair. J Visc Surg. 2011; 148 (5): e392-394.

  25. An YH, Friedman RJ. Concise review of mechanisms of bacterial adhesion to biomaterial surfaces. J Biomed Mater Res. 1998; 43 (3): 338-348.

  26. Bueno LJ, Sosa QY, Gomez IGI, Vaqué UJ, Carbonell TF, Bonafé DS et al. Prosthetic infection after hernioplasty. Five years experience. Cir Esp. 2009; 85 (3): 158-164.

  27. Stremitzer S, Bachleitner-Hofmann T, Gradl B, Gruenbeck M, Bachleitner-Hofmann B, Mittlboeck M et al. Mesh graft infection following abdominal hernia repair: risk factor evaluation and strategies of mesh graft preservation. A retrospective analysis of 476 operations. World J Surg. 2010; 34 (7): 1702-1709.

  28. Mavros MN, Athanasiou S, Alexiou VG, Mitsikostas PK, Peppas G, Falagas ME. Risk factors for mesh-related infections after hernia repair surgery: a meta-analysis of cohort studies. World J Surg. 2011; 35 (11): 2389-2398.

  29. Narkhede R, Shah NM, Dalal PR, Mangukia C, Dholaria S. Postoperative mesh infection-still a concern in laparoscopic era. Indian J Surg. 2015; 77 (4): 322-326. Available in: https://pubmed.ncbi.nlm.nih.gov/26702240

  30. Yang H, Liu Y, Chen J, Shen Y. The management of mesh infection after laparoscopic inguinal hernia repair. Surg Laparosc Endosc Percutan Tech. 2019; 29 (1): 40-42.

  31. Jin C, Shen Y, Chen J. Laparoscopic evaluation and management of 47 patients with late-onset mesh infection after inguinal hernioplasty. Hernia. 2020; 24 (2): 381-385.

  32. Fawole AS, Chaparala RPC, Ambrose NS. Fate of the inguinal hernia following removal of infected prosthetic mesh. Hernia. 2006; 10 (1): 58-61.

  33. Rehman S, Khan S, Pervaiz A, Perry EP. Recurrence of inguinal herniae following removal of infected prosthetic meshes: a review of the literature. Hernia. 2012; 16 (2): 123-126.



AFILIACIONES

1 Cirugía General, Cirugía del Aparato Digestivo. Departamento de Cirugía, Centro Médico ABC, Ciudad de México.

2 Cirugía General. Departamento de Cirugía, Centro Médico ABC, Ciudad de México.

3 Residente de Cirugía General. Departamento de Cirugía, Centro Médico ABC, Ciudad de México.



CORRESPONDENCIA

Dr. Luis Antonio Ferráez. E- mail: luis.ferraez@hotmail.com




Recibido: 23/03/2021. Aceptado: 30/09/2021.

Figura 1
Figura 2
Figura 3
Figura 4
Figura 5

2020     |     www.medigraphic.com

Mi perfil

C?MO CITAR (Vancouver)

An Med Asoc Med Hosp ABC. 2022;67

ARTíCULOS SIMILARES

CARGANDO ...