medigraphic.com
ENGLISH

Anales Médicos de la Asociación Médica del Centro Médico ABC

ISSN 0185-3252 (Impreso)
Revista de la Asociación Médica del Centro Médico ABC
  • Mostrar índice
  • Números disponibles
  • Información
    • Información general        
    • Directorio
  • Publicar
    • Instrucciones para autores        
  • medigraphic.com
    • Inicio
    • Índice de revistas            
    • Registro / Acceso
  • Mi perfil

2022, Número 3

<< Anterior Siguiente >>

An Med Asoc Med Hosp ABC 2022; 67 (3)


Apendicitis de muñón

Núñez Gurría, Sebastián1; Kanan Rentería, José Abraham1; Murillo Zolezzi, Adrián2; Valente Acosta, Benjamín3
Texto completo Cómo citar este artículo 10.35366/107658

DOI

DOI: 10.35366/107658
URL: https://dx.doi.org/10.35366/107658
Artículos similares

Idioma: Español
Referencias bibliográficas: 11
Paginas: 226-229
Archivo PDF: 227.29 Kb.


PALABRAS CLAVE

apendicitis de muñón, apendicitis aguda, abdomen agudo, cirugía, apendicectomía, apéndice.

RESUMEN

La apendicitis de muñón es la inflamación del tejido residual de apendicectomía incompleta. Con incidencia de 1 en 50,000 casos, el cuadro clínico es igual al de la apendicitis; descartar la posibilidad por una apendicectomía previa es una consideración errónea y usualmente retarda el tratamiento. Se reporta el caso de una paciente de 38 años que presenta apendicitis de muñón 20 años después de la apendicectomía. Se aplicó manejo quirúrgico y, por adecuada evolución, se dio de alta. El objetivo de este reporte de caso es revisar brevemente esta patología poco frecuente, para mantenerla como diagnóstico diferencial en los casos que lo ameriten.



INTRODUCCIóN

El apéndice vermiforme es una estructura tubular y flexible, con terminación cerrada y redondeada, implantada en la parte inferior y medial del ciego, aproximadamente a 2 o 3 centímetros por debajo del orificio ileal.1 La apendicectomía es la cirugía más practicada en el mundo.2 Se estiman 1.4 casos de apendicitis aguda por cada 1,000 habitantes en la población general.3

La apendicitis de muñón se define como la inflamación del tejido residual después de una apendicectomía.4 Se estima que 0.15% de los casos diagnosticados como apendicitis aguda, serán apendicitis de muñón. A pesar de ser una patología relativamente infrecuente, es necesario mantenerla dentro de los diagnósticos diferenciales de un abdomen agudo.5 Desafortunadamente, la literatura acerca de la apendicitis de muñón es escasa y es probable que se deba a la falta de reporte de los casos.6 Es por ello que hemos decidido realizar esta breve revisión de caso.



REPORTE DEL CASO

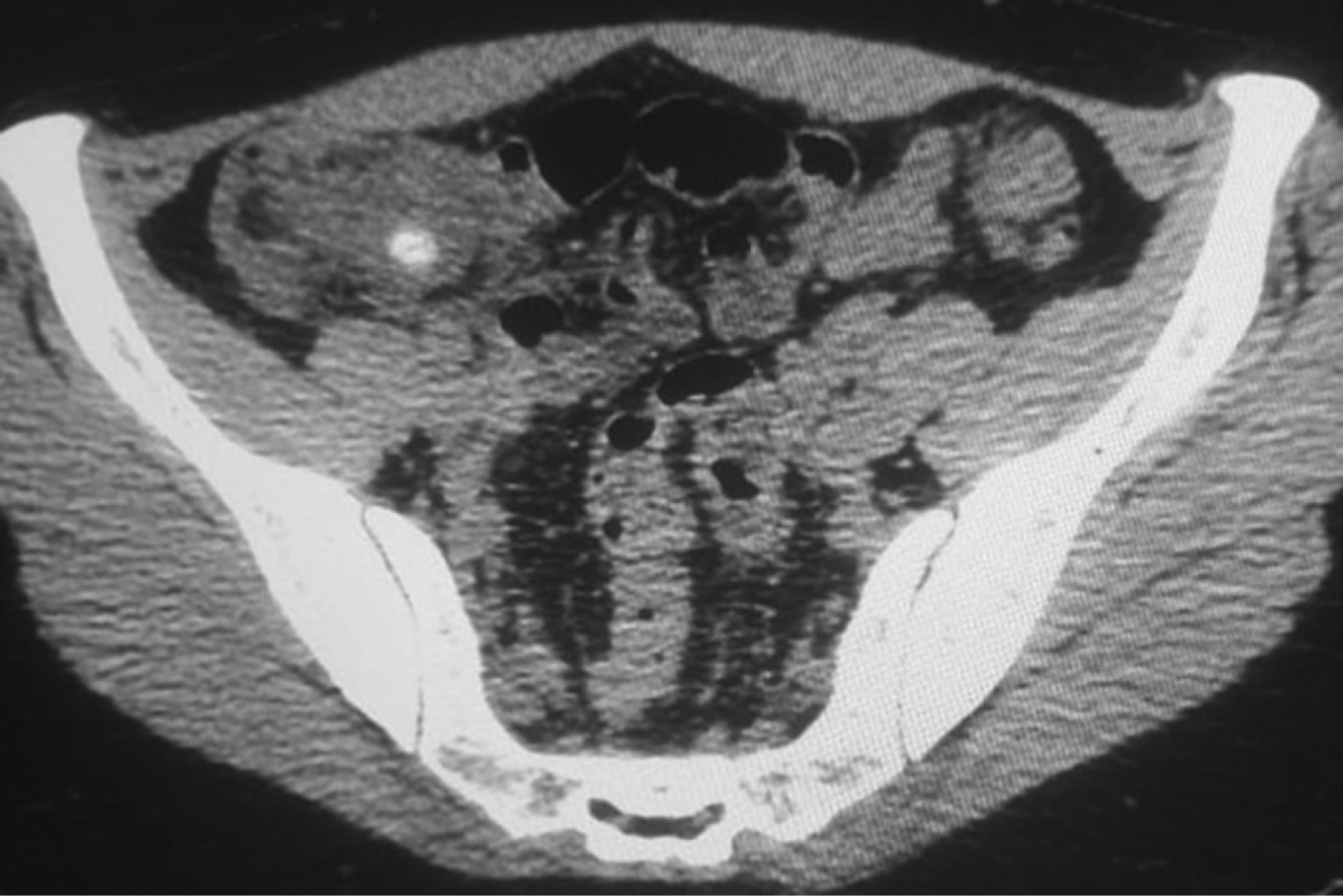
Paciente femenino de 36 años, con antecedentes familiares de diabetes mellitus por parte de su abuela materna. Niega tabaquismo, etilismo u otras toxicomanías. Antecedentes personales de enfermedad celíaca de reciente diagnóstico y apendicectomía 20 años antes. Presenta dolor abdominal difuso que se localiza en hipocondrio derecho con irradiación a región dorsal derecha acompañado de fiebre y evacuaciones disminuidas en consistencia, inicialmente tratada con paracetamol y antibióticos de amplio espectro, sin presentar mejoría, por lo que es revalorada. A la exploración física se observa paciente con taquicardia, febril, ligeramente deshidratada, con datos de irritación peritoneal (rebote en cuadrante inferior derecho del abdomen). En la tomografía de abdomen se observa una imagen compatible con apendicitis de muñón, con fecalito hacia la punta (Figura 1). Se reporta por imagenología: "Proceso inflamatorio a nivel de la fosa iliaca derecha sugiere como primera posibilidad diagnóstica apendicitis de muñón con presencia de plastrón. Imagen que sugiere apendicolito. Adenopatías pericecales y perineales de apariencia inflamatoria". La paciente pasa a laparoscopia diagnóstica donde se encuentra plastrón inflamatorio en región de ciego que no se puede disecar de manera adecuada (Figura 2A y B ). Se realiza conversión a laparotomía, encontrando muñón apendicular largo, abscedado y con afectación de válvula ileocecal, por lo que se realiza ileocequectomía y anastomosis latero lateral mecánica con engrapadora lineal cortante. El reporte de patología indica "hallazgos compatibles con apendicitis aguda". La paciente evoluciona adecuadamente en el postoperatorio.

Laboratorios relevantes:

03/08/19: BH: leucocitos 15.1 × 109/L, neutrófilos absolutos 12,530/ml.

04/08/19: BH: leucocitos 14.8 15.1 × 109/L, neutrófilos absolutos 12.730/ml, PCR: 22.12 mg/L, PFH: bilirrubina total 2.08 mg/100 ml, bilirrubina directa en suero 0.58 mg/100 ml, bilirrubina indirecta 1.50 mg/100 ml.

05/08/19: BH: leucocitos 13.8 × 109/L, neutrófilos absolutos 10.440/ml.



DISCUSIóN

El cuadro patológico de apendicitis de muñón puede aparecer hasta 50 años después de la apendicectomía.7 Los factores predisponentes para la apendicitis de muñón incluyen un muñón apendicular de más de 5 mm, dificultades para identificar la base apendicular durante la apendicectomía por apendicitis complicada y una técnica quirúrgica deficiente.6 De igual manera, el aumento del uso de la laparoscopia podría predisponer a una mayor incidencia de casos de apendicitis de muñón, pues el campo visual es menor, en comparación con el procedimiento quirúrgico tradicional o abierto (aunque puede suceder después de cualquiera de ambos procedimientos).3

Esta patología se debe a inflamación y perforación del muñón por perfusión insuficiente o alojamiento de un fecalito.

De acuerdo con la revisión de publicaciones de casos similares, la presentación clínica de la apendicitis de muñón es similar a la apendicitis aguda, con dolor abdominal central o en cuadrante inferior derecho, náusea y vómito, anorexia, pirexia, peritonismo local y leucocitosis. Otras presentaciones menos comunes son el dolor abdominal inespecífico, una incisión postapendicectomía sin mejoría o una fístula infectada.

La historia previa de apendicectomía puede retrasar el diagnóstico, al considerar erróneamente que el paciente nunca más volverá a sufrir apendicitis. Sin embargo, en estos casos es importante valorar la posibilidad de una sección apendicular previa incompleta y nueva apendicitis.8

Al considerar el diagnóstico, es importante pensar en otras posibles patologías y explicaciones, como lo es la inflamación de un "apéndice duplicado". Sin embargo, se resalta la rareza de esta variante anatómica, estimada en 0.004% de los pacientes con apendicitis.9

Para diagnosticar esta patología se necesita alta sospecha clínica. Para demostrar el proceso inflamatorio se utilizan estudios de imagen. En la población pediátrica se debe evaluar el beneficio del diagnóstico contra los posibles efectos de la radiación al utilizar una tomografía. Por ello, se sugiere descartar primero otras patologías y usar antes otros medios, como el ultrasonido, aunque el diagnóstico definitivo se da solamente con una tomografía.10 Los estudios de imagen más utilizados en el adulto son el ultrasonido o la tomografía abdominal. Otras herramientas incluyen la colonoscopia o el trago de bario. A veces el diagnóstico es incierto y sólo se puede hacer por laparotomía o laparoscopia exploratoria. Posibles complicaciones del cuadro patológico incluyen gangrena de muñón, perforación o peritonitis.

La resección quirúrgica es el tratamiento de elección para esta entidad patológica. La decisión entre modalidad abierta o laparoscópica depende del cirujano y la situación individual del caso del paciente. Se debe considerar una resección ileocecal o una hemicolectomía derecha (con o sin ileostomía) si hay sospecha de perforación del muñón, inflamación del ciego, malignidad o diverticulitis.11 Subramanian y colaboradores encontraron que sólo 14.8% de los casos revisados fueron tratados laparoscópicamente, el 85.2% restante fue por laparotomía y de éstos el 65.4% requirieron apendicectomía, 19.2% ileocequectomía, 9.6% hemicolectomía derecha y 3.8% cequectomía parcial.2

En este caso, el cuadro patológico se presenta de acuerdo con los datos tomados de la revisión literaria realizada. La paciente comenzó su padecimiento actual 20 años después de la apendicectomía, habiendo casos reportados hasta 50 años después. De igual manera, la sintomatología y presentación clínica correlacionan con otros casos reportados; la imagenología implementada y los hallazgos fueron contundentes. El tratamiento fue el mismo que en otros reportes, con adecuada evolución postoperatoria y egreso sin pendientes.



CONCLUSIONES

La apendicitis de muñón es una patología con fisiopatología y presentación clínica muy similar a la apendicitis aguda que puede llegar a causar complicaciones graves, de ahí la importancia de su detección temprana. En el caso presentado, se tomó el abordaje sistemático, de acuerdo con revisión literaria de otros casos similares, de tal manera que se dio un tratamiento oportuno y se obtuvo una evolución adecuada. El descartar apendicitis por apendicectomía previa por simple omisión podría retrasar el tratamiento e incrementar el riesgo de morbilidad y mortalidad del paciente, por lo que es importante mantener esta patología como uno de los diagnósticos diferenciales.


REFERENCIAS (EN ESTE ARTÍCULO)

  1. Pró EA. Anatomía clínica. Buenos Aires: Editorial Médica Panamericana; 2012.

  2. Subramanian A, Liang MK. A 60-year literature review of stump appendicitis: the need for a critical view. Am J Surg. 2012; 203 (4): 503-507. Available in: https://www.americanjournalofsurgery.com/article/S0002-9610(11)00642-8/fulltext

  3. Rosón RPJ, Toscano CEV, Cotta RJ, Lozano LM, Lopez VMC. Apendicitis del muñón apendicular: a propósito de un caso. Gastroenterología y Hepatología. 2011; 34 (10): 722-723. Available in: https://www.elsevier.es/es-revista-gastroenterologia-hepatologia-14-articulo-apendicitis-del-munon-apendicular-proposito-S0210570511003049

  4. Kumar A, Sharma A, Khullar R, Soni V, Baijal M, Chowbey PK. Stump appendicitis: a rare clinical entity. J Minim Access Surg. 2013; 9 (4): 173-176. Available in: https://www.ncbi.nlm.nih.gov/pmc/articles/PMC3830137/

  5. Dikicier E, Altintoprak F, Ozdemir K, Gundogdu K, Yener UM, Cakmak G et al. Stump appendicitis: a retrospective review of 3130 consecutive appendectomy cases. World J Emerg Surg. 2018; 13: 22. Available in: https://wjes.biomedcentral.com/articles/10.1186/s13017-018-0182-5

  6. Baglietto AG. ¿Existe la apendicitis del muñón apendicular? Cirugía Pediátrica. 2015; 28: 208-210. Available in: https://www.secipe.org/coldata/upload/revista/2015_28-4_208-210.pdf

  7. Guisasola IA, Leunda IM, Villanueva MA, Nogués PA. Apendicitis de muñón apendicular. Una nueva observación. Anales de Pediatría. An Pediatr (Barc). 2007; 66 (5): 538-544. Disponible en: https://www.analesdepediatria.org/es-apendicitis-munon-apendicular-una-nueva-articulo-13102520

  8. Baldó MJC. Apendicitis del muñón apendicular: dos casos clínicos y revisión de la bibliografía. Rev Esp Enferm Dig. 2009; 101 (7): 506-519. Disponible en: http://scielo.isciii.es/scielo.php?script=sci_arttext&pid=S1130-01082009000700017

  9. Roberts KE, Starker LF, Duffy AJ, Bell RL, Bokhari J. Stump appendicitis: a surgeon's dilemma. JSLS. 2011; 15 (3): 373-378.

  10. Essenmacher AC, Nash E, Walker SK, Pitcher GJ, Buresh CT, Shawn ST. Stump appendicitis. Clin Pract Cases Emerg Med. 2018; 2 (3): 211-214. Available in: https://www.researchgate.net/publication/326754255_Stump_Appendicitis/citation/download

  11. Kanona H, Al Samaraee A, Nice C, Bhattacharya V. Stump appendicitis: a review. Int J Surg. 2012; 10 (9): 425-428. Available in: https://www.sciencedirect.com/science/article/pii/S1743919112007406



AFILIACIONES

1 Médico de pregrado. Tecnológico de Monterrey, Campus Ciudad de México.

2 Cirugía general. Tecnológico de Monterrey, Campus Ciudad de México.

3 Medicina interna. Tecnológico de Monterrey, Campus Ciudad de México.



CORRESPONDENCIA

Sebastián Núñez Gurría. E-mail: A01370971@itesm.mx




Recibido: 19/09/2019. Aceptado: 17/09/2021.

Figura 1
Figura 2

2020     |     www.medigraphic.com

Mi perfil

C?MO CITAR (Vancouver)

An Med Asoc Med Hosp ABC. 2022;67

ARTíCULOS SIMILARES

CARGANDO ...