medigraphic.com
ENGLISH

Revista del Centro Dermatológico Pascua

ISSN 1405-1710 (Impreso)
  • Mostrar índice
  • Números disponibles
  • Información
    • Información general        
    • Directorio
  • Publicar
    • Instrucciones para autores        
  • medigraphic.com
    • Inicio
    • Índice de revistas            
    • Registro / Acceso
  • Mi perfil

2022, Número 1-2

<< Anterior Siguiente >>

Rev Cent Dermatol Pascua 2022; 31 (1-2)


Angiohistiocitoma de células multinucleadas

Navarrete-Franco, Gisela1; González-González, Maribet2; Ramos-Garibay, José Alberto2; Laguna-Meraz, José Pablo3
Texto completo Cómo citar este artículo 10.35366/107798

DOI

DOI: 10.35366/107798
URL: https://dx.doi.org/10.35366/107798
Artículos similares

Idioma: Español
Referencias bibliográficas: 16
Paginas: 26-29
Archivo PDF: 362.75 Kb.


PALABRAS CLAVE

angiohistiocitoma de células multinucleadas.

RESUMEN

El angiohistiocitoma de células multinucleadas (AHCMN) es una proliferación vascular y fibrohistiocítica de origen aún incierto. Descrito por primera vez por Smith y Wilson-Jones en 1985, es una dermatosis poco frecuente; la forma clásica afecta sobre todo a mujeres de edad media y suele presentarse de forma unilateral, afectando con frecuencia regiones acrales y cara. Morfológicamente son neoformaciones numerosas, cupuliformes, de superficie lisa, eritematosas, eritematovioláceas y/o marrón, aisladas y/o confluentes, formando placas de forma y tamaño variable. Se han descrito casos diseminados con características epidemiológicas y morfológicas diferentes. El diagnóstico se basa en los hallazgos histopatológicos, que incluyen proliferación vascular capilar en la dermis superficial con presencia de células multinucleadas inmersas en un estroma fibroso. El cuadro evoluciona en forma lenta y tiende a ser persistente; aunque existen casos de involución espontánea. El tratamiento de elección es la extirpación quirúrgica, cuando es posible, y la vigilancia es una alternativa ante la naturaleza benigna de esta entidad.



INTRODUCCIóN

El angiohistiocitoma de células multinucleadas (AHCMN) se considera una proliferación vascular y fibrohistiocítica de carácter benigno.1,2 La primera descripción corresponde a Smith y Wilson-Jones en 1985 al observar cinco casos de mujeres entre los 47 y 66 años con lesiones en zonas acrales, unilaterales, únicas o múltiples, de rojas a violáceas, asintomáticas, cuya histología mostraba numerosos vasos sanguíneos en dermis media y células histiocitoides grandes, irregulares y algunas multinucleadas.1

Aunque la patogenia de esta enfermedad es desconocida, la hipótesis que predomina sugiere que corresponde a un proceso reactivo más que neoplásico.3 Lo anterior, tomando en cuenta que es una dermatosis benigna con comportamiento indolente, ausencia de involucro extracutáneo, sin transformación maligna y posibilidad de involución espontánea.3

Desde el punto de vista clínico se distinguen dos variedades. La forma clásica o localizada es la que predomina, de evolución lenta (de meses a años) pero progresiva, más frecuente en mujeres (79%),4 edad media 50 años,5 común en las extremidades (manos, 30%) y cabeza (cara, 29%).6 Topografías poco habituales son mucosa oral, labios, órbita y pared vaginal.7-9 La forma diseminada, poco común, se ha documentado en 15 casos hasta la fecha; en ésta, se afectan ambos sexos por igual y la edad de presentación es más temprana, la evolución más rápida, con lesiones persistentes y no se ha visto involucro de cara. En ambas variedades, son neoformaciones discretamente exofíticas, cupuliformes, de superficie plana y bien circunscritas, de color eritematoso y marrón. Pueden estar aisladas y/o agrupadas formando placas de número, forma y tamaño variable.4 Se ha observado asociación con enfermedades sistémicas y alteraciones de laboratorio en la forma diseminada a diferencia de la forma localizada.4

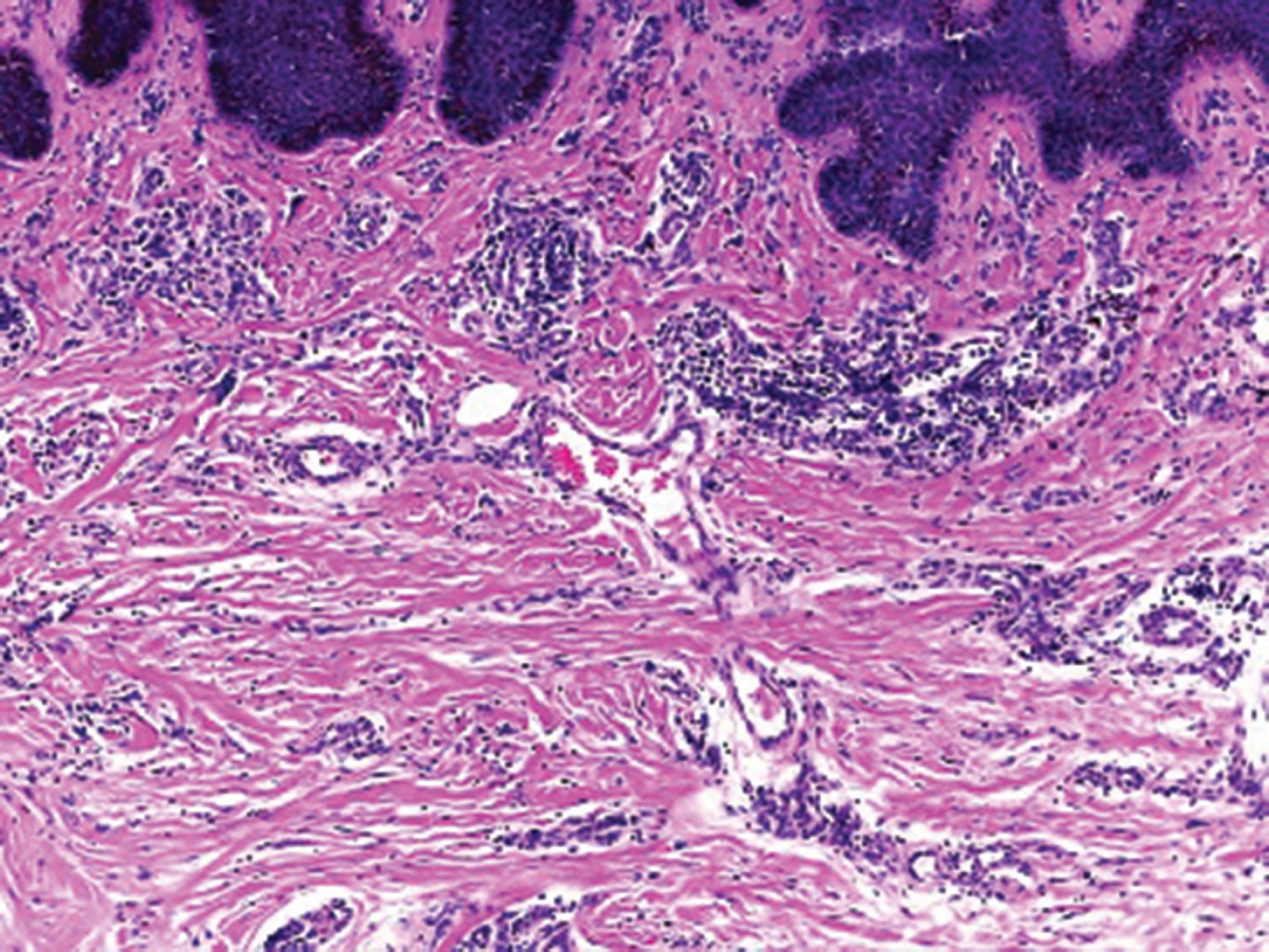
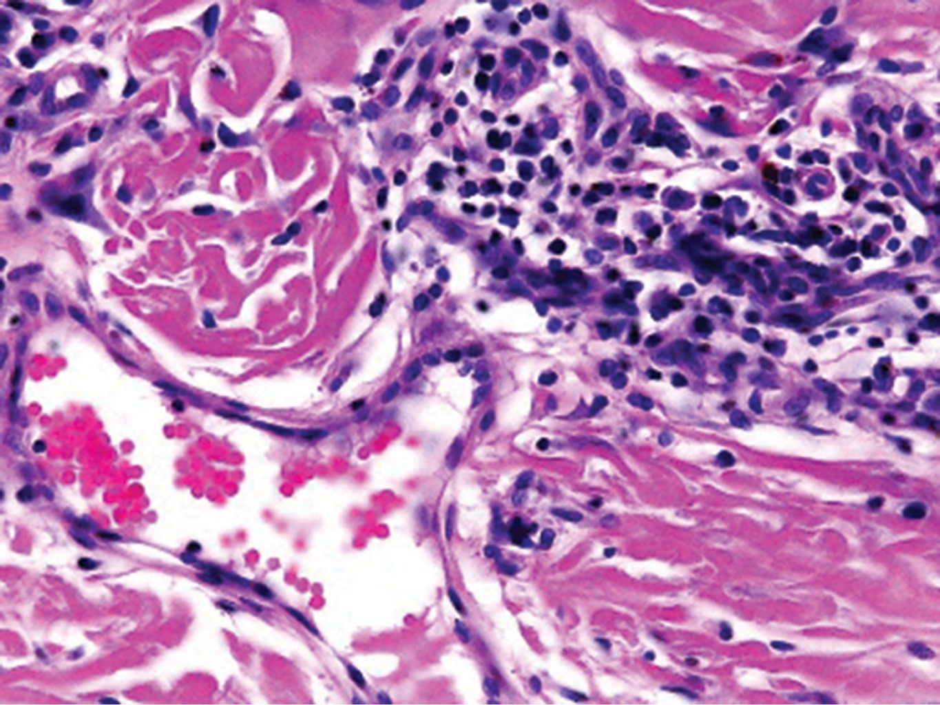
El estudio histológico es diagnóstico con los siguientes hallazgos: proliferación de vasos capilares y vénulas en la dermis superficial y media, cuyo endotelio es prominente y en ocasiones protruye hacia la luz, células multinucleadas que presentan citoplasma angulado con núcleos hipercromáticos en número variable, inmersas en un estroma fibroso.10,11 En la inmunohistoquímica, como es esperado, las células endoteliales expresan factor VIII, CD31 y CD34, mientras que los macrófagos, histiocitos y células multinucleadas expresan factor XIIIa, CD68 (variable) y vimentina.5 La dermatoscopía hasta el momento es inespecífica.12

El diagnóstico diferencial desde el punto de vista clínico, es principalmente el sarcoma de Kaposi. Desde el punto de vista terapéutico, no hay un tratamiento específico, pero tampoco es necesario, salvo por cuestiones cosméticas;3 en este escenario, la cirugía convencional, criocirugía o diversas modalidades de tratamiento láser o con luz pulsada han mostrado efectividad y resultados satisfactorios en algunos casos.13,14



CASO CLíNICO

Paciente masculino de 47 años de edad, con dermatosis localizada a tórax anterior, bilateral y asimétrica, constituida por múltiples neoformaciones cupuliformes, de superficie plana, eritematosas y eritematovioláceas, de número y tamaño variable, aisladas y confluentes formando placas (Figuras 1 y 2). Evolución crónica y asintomática. Sin alteraciones en el resto de la piel y a nexos.

Al interrogatorio, refiere haber iniciado hace cuatro años con "lunares" de forma lenta y progresiva. Sin tratamiento previo ni antecedentes médicos de relevancia. Clínicamente se hizo el diagnóstico de sarcoma de Kaposi vs histiocitosis y se solicitaron estudios paraclínicos, que descartaron infección por VIH u otras alteraciones. El estudio histológico mostró epidermis normal y en la dermis superficial y media presencia de vasos dilatados, fibrosis y células multinucleadas basofílicas con bordes angulosos (Figuras 3, 4 y 5).

Con estas observaciones histológicas se hizo el diagnóstico de angiohistiocitoma de células multinucleadas. Se explicó el padecimiento al paciente y éste aceptó vigilancia.



DISCUSIóN Y COMENTARIOS

El angiohistiocitoma de células multinucleadas (AHCMN) es una dermatosis poco frecuente, con menos de 200 casos publicados; por lo que se considera una entidad subdiagnosticada.5 De las dos formas descritas, las manifestaciones epidemiológicas y clínicas son diferentes, pero presentan los mismos hallazgos histopatológicos. La etiopatogenia es desconocida, por lo que se proponen el papel de los mastocitos y una influencia hormonal15,16 como los desencadenantes de un proceso inflamatorio que induce proliferación vascular,6 lo que se correlaciona con la migración de células CD68+ del espacio intravascular y la presencia subsecuente de las células multinucleadas. Posteriormente, aparecen atrofia y fibrosis y disminuye la población de células CD68+, lo que explica la heterogeneidad de la expresión de este marcador en diferentes reportes de casos.4,6


REFERENCIAS (EN ESTE ARTÍCULO)

  1. Smith NP, Wilson Jones E. Multinucleate cell angiohistiocytoma-a new entity. Br J Dermatol 1985; 113 Suppl 29:15.

  2. Smolle J, Auboeck L, Gogg-Retzer I, Soyer HP, Kerl H. Multinucleate cell angiohistiocytoma: a clinicopathological, immunohistochemical and ultrastructural study. Br J Dermatol. 1989; 121: 113-121.

  3. Costa AA, Wedy GF, Junior WB, Criado PR. Multinucleate cell angiohistiocytoma: an uncommon cutaneous tumor. An Bras Dermatol. 2020; 95: 480-483. doi: 10.1016/j.abd.2019.10.005.

  4. Wang M, Abdul-fattah B, Wang C, et al. Generalized multinucleate cell angiohistiocytoma: case report and literature review. J Cutan Pathol. 2017; 44: 125-134. doi: 10.1111/cup.12853.

  5. Jia QN, Qiao J, Qu T. Generalized multinucleate cell angiohistiocytoma with possible origin from fibroblasts: A clinicopathological study of 15 cases. J Dermatol. 2021; 48: 114-119. doi: 10.1111/1346-8138.15610.

  6. Frew JW. Multinucleate cell angiohistiocytoma: clinicopathological correlation of 142 cases with insights into etiology and pathogenesis. 2014. Available in: www.amjdermatopathology.com

  7. Jones AC, Mullins D, Jimenez F. Multinucleate cell angiohistiocytoma of the upper lip. Oral Surg Oral Med Oral Pathol. 1994; 78: 743-747.

  8. Shields JA, Eagle RC, Shields CL, Sohmer KK. Multinucleate cell angiohistiocytoma of the orbit. Am J Ophthalmol. 1995; 120 (3): 402-403. doi: 10.1016/S0002-9394(14)72178-6.

  9. Roncati L, Piscioli F, Taddei F, Pusiol T. Multinucleate giant cell angiohistiocytoma of the vaginal wall. J Obstet Gynaecol. 2017; 37: 395-397. doi: 10.1080/01443615.2016.1250731.

  10. Applebaum DS, Shuja F, Hicks L, Cockerell C, Hsu S. Multinucleate cell angiohistiocytoma: a case report and review of the literature. Dermatol Online J. 2014; 20: 22610. doi: 10.5070/d3205022610.

  11. Doshi-Chougule BN, Gust A, Mentzel T, Boer-Auer A. Multinucleate cell angiohistiocytoma with hypertrophic nerves. J Cutan Pathol. 2013; 40: 1048-1053. doi: 10.1111/cup.12227.

  12. Teixeira V, Serra D, Pereira N, Tellechea O. Multinucleate cell angiohistiocytoma: A new case report with dermoscopy. Dermatol Online J. 2014; 20 (3). doi: 10.5070/d3203021756

  13. Suh JH, Lee SK, Kim HY, Kim MS, Lee UH. A case of multinucleate cell angiohistiocytoma in a 14-year-old boy showing two different clinical and histopathological findings. J Cutan Pathol. 2019; 46 (3): 221-225. doi: 10.1111/cup.13398.

  14. Grgurich E, Quinn K, Oram C, McClain R, Lountzis N. Multinucleate cell angiohistiocytoma: Case report and literature review. J Cutan Pathol. 2019; 46 (1): 59-61. doi: 10.1111/cup.13361.

  15. Printed BM, Denmark I. Multinucleate cell angiohistiocytoma: a fibrohistiocytic proliferation with increased mast cell numbers and vascular hyperplasia. J Cutan Pathol. 2002; 29: 232-237.

  16. Cesinaro AM, Roncati L, Maiorana A. Estrogen receptor alpha overexpression in multinucleate cell angiohistiocytoma: new insights into the pathogenesis of a reactive process. Available in: www.amjdermatopathology.com



AFILIACIONES

1 Jefe del Servicio de Dermatopatología. Centro Dermatológico "Dr. Ladislao de la Pascua", SSCDMX.;

2 Dermatólogo y Dermatopatólogo. Centro Dermatológico "Dr. Ladislao de la Pascua", SSCDMX.;

3 Dermatólogo y Dermatopatólogo egresado. Centro Dermatológico "Dr. Ladislao de la Pascua", SSCDMX.



CORRESPONDENCIA

Gisela Navarrete-Franco. E-mail: giselanavarrete@hotmail.com


Figura 1
Figura 2
Figura 3
Figura 4
Figura 5

2020     |     www.medigraphic.com

Mi perfil

C?MO CITAR (Vancouver)

Rev Cent Dermatol Pascua. 2022;31

ARTíCULOS SIMILARES

CARGANDO ...