medigraphic.com
ENGLISH

Revista del Centro Dermatológico Pascua

ISSN 1405-1710 (Impreso)
  • Mostrar índice
  • Números disponibles
  • Información
    • Información general        
    • Directorio
  • Publicar
    • Instrucciones para autores        
  • medigraphic.com
    • Inicio
    • Índice de revistas            
    • Registro / Acceso
  • Mi perfil

2022, Número 1-2

<< Anterior Siguiente >>

Rev Cent Dermatol Pascua 2022; 31 (1-2)


Pénfigo eritematoso

Trejo-Acuña, Juan Ramón1; González González, Maribet2; Guzmán-Herrera, Saúl3; López Zenteno, Bianca Eunice4
Texto completo Cómo citar este artículo 10.35366/107799

DOI

DOI: 10.35366/107799
URL: https://dx.doi.org/10.35366/107799
Artículos similares

Idioma: Español
Referencias bibliográficas: 9
Paginas: 30-33
Archivo PDF: 280.98 Kb.


PALABRAS CLAVE

pénfigo seborreico, enfermedad de Senear-Usher, células acantolíticas, ampollas subcórneas, desmogleína 1, cadherina.

RESUMEN

El síndrome de Senear-Usher (también denominado pénfigo seborreico o pénfigo eritematoso) es una forma localizada de pénfigo foliáceo. Los datos epidemiológicos son limitados, pues son pocos los casos reportados en la literatura. En los pénfigos superficiales los autoanticuerpos patogénicos son en general de subclase IgG4, y están dirigidos contra el dominio amino-terminal de la desmogleína 1, una cadherina desmosómica de 160 kDa, desencadenándose de esta forma la acantólisis característica de estas entidades. Las lesiones se ubican en zonas típicamente seborreicas y fotoexpuestas. Consisten en placas eritematoescamosas, con signo de Nikolsky en ocasiones positivo. El diagnóstico se realiza mediante el estudio histopatológico con el hallazgo de ampollas subcórneas y células acantolíticas. El tratamiento de primera línea es a base de esteroides de alta potencia. El pronóstico es variable.



INTRODUCCIóN

El estudio del pénfigo, por sus características fisiopatológicas, se ha dividido en pénfigo vulgar y pénfigo foliáceo. Este último a su vez se subdivide en una forma generalizada, una endémica (fogo selvagem) y una localizada, también llamada pénfigo seborreico o síndrome de Senear-Usher.1



EPIDEMIOLOGíA

La incidencia calculada de pénfigo alrededor del mundo varía de manera considerable. En términos generales, el pénfigo vulgar es más frecuente que el foliáceo. No existen diferencias estadísticamente significativas en cuanto al género.1 En pacientes mexicanos se ha observado que en esta patología predominan los HLA DRB1.2,3



ETIOLOGíA

En personas que cursan con pénfigo foliáceo y su variante, el pénfigo eritematoso, el antígeno involucrado es la desmogleína 1. Por lo tanto, al producirse exclusivamente anticuerpos antidesmogleína 1 (IgG4), el padecimiento se manifiesta con ampollas que se desarrollan sólo en las capas superficiales de la epidermis.4 Con base en los resultados de los estudios realizados en modelos murinos y celulares, se ha observado que la acantólisis es secundaria a diversos mecanismos sinérgicos, entre ellos la interferencia, que causan los autoanticuerpos IgG4 en la adhesión intercelular; aunado a esto, existen diversas vías de señalización que inician y perpetúan la respuesta autoinmune.5



CUADRO CLíNICO

Se trata de una dermatosis que típicamente se localiza en zonas seborreicas y fotoexpuestas como los surcos nasogenianos, la piel cabelluda, el área retroauricular, la parte media del tórax, los hombros y la región lumbosacra.6 Dicha dermatosis en la mayor parte de los casos consta de pequeñas placas eritematoescamosas o eritematocostrosas, a veces exulceradas, por lo cual, ante este cuadro clínico, es necesario plantearse diferentes diagnósticos diferenciales. En ocasiones es posible observar ampollas en extremo frágiles con signo de Nikolsky positivo.7



HISTOPATOLOGíA

Los hallazgos histológicos son idénticos a los encontrados en el pénfigo foliáceo: ampollas subcórneas con techo ubicado en la capa granular o debajo del estrato córneo, contenido constituido por fibrina, escasos neutrófilos y algunas células acantolíticas. En lesiones tardías se observa epidermis hiperqueratósica con paraqueratosis focal y ortoqueratosis. En dermis superficial puede apreciarse discreto infiltrado inflamatorio constituido por eosinófilos y neutrófilos.

La inmunofluorescencia directa generalmente demuestra el depósito de IgG en los espacios intercelulares y en la unión dermoepidérmica. La tinción es más evidente en las capas superiores de la epidermis.

Diagnósticos diferenciales: pénfigo IgA lineal, dermatitis seborreica, pénfigo vulgar, pénfigo foliáceo, lupus discoide.8



TRATAMIENTO

No existe un tratamiento universalmente aceptado como primera línea. Se han empleado con éxito esteroides tópicos de alta potencia.8 Sin embargo, en casos diseminados suele ser necesaria la administración de esteroides sistémicos. Otras opciones que han demostrado ser eficaces son: azatioprina, ciclosporina, dapsona, micofenolato de mofetilo; no obstante, en una revisión sistemática realizada por la Colaboración Cochrane publicada en 2014 se concluye que no existen datos suficientes que avalen la superioridad de alguno de estos tratamientos.9



CASO CLíNICO

Paciente del sexo femenino, de 28 años de edad, originaria y residente de la Ciudad de México, sin antecedentes personales patológicos de importancia.

Consulta por dermatosis localizada a cabeza de la que afecta cara, y de ésta, frente y mejillas, siendo bilateral, asimétrica. Dicha dermatosis estaba constituida por eritema y escama, que confluían formando 10 pequeñas placas de forma circular de 5-10 mm de diámetro, de bordes bien definidos, superficie anfractuosa, exulcerada en algunas áreas, con fina escama blanquecina en otras. Evolución crónica, en ocasiones pruriginosa (Figuras 1 y 2).

Al interrogatorio refiere evolución de dos años, habiendo sido tratada con el diagnóstico de dermatitis seborreica en múltiples ocasiones. Aplicó medicamentos a base de piroctolamina, así como protectores solares, con mejoría discreta del cuadro. Ya en esta unidad, con el diagnóstico clínico presuntivo de lupus discoide se indicó la toma de una biopsia, además, se proporcionó amplia explicación sobre los cuidados generales para la piel y medidas de fotoprotección.

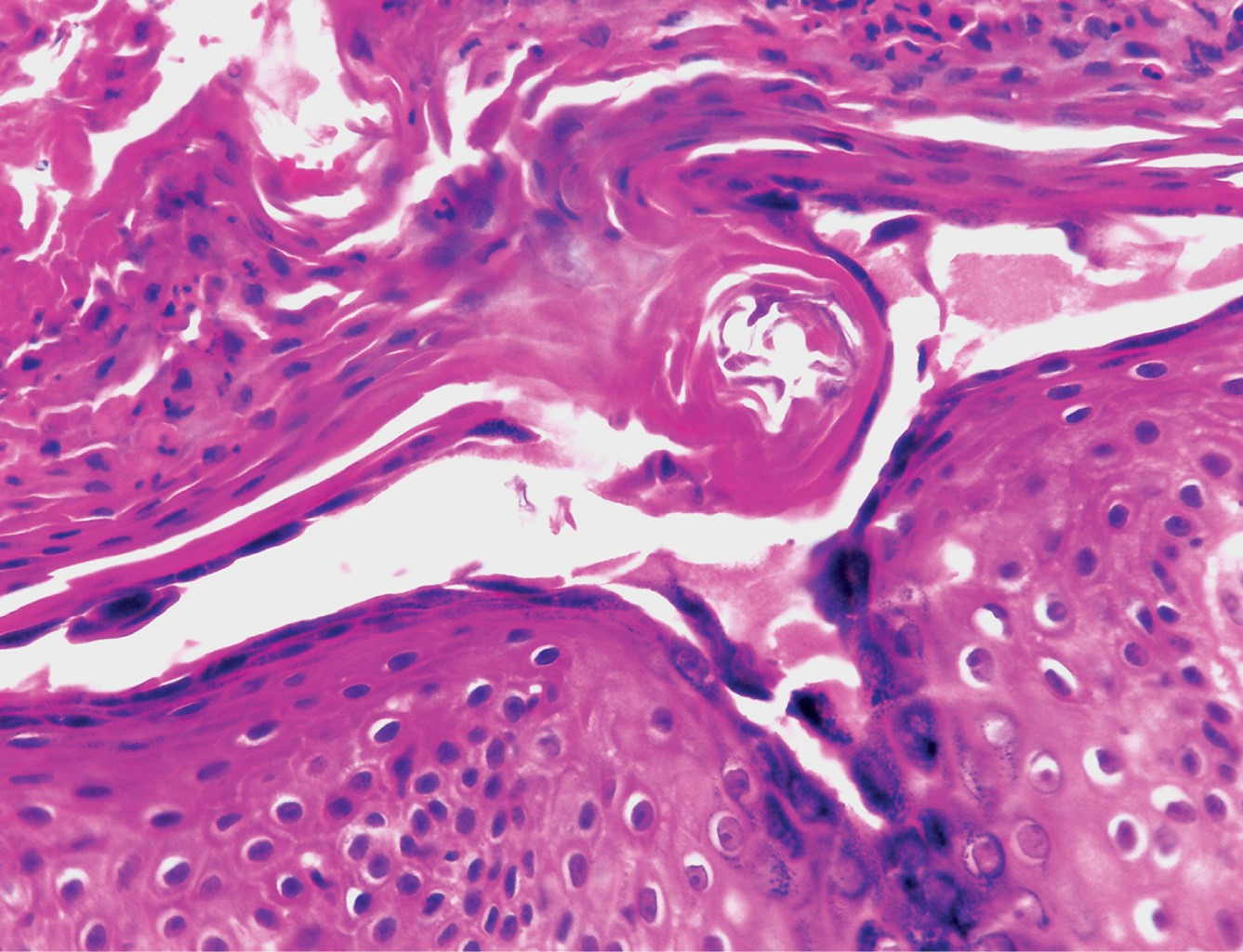
Los hallazgos del estudio histopatológico mostraron hiperqueratosis paraqueratósica, con focos de polimorfonucleares, células acantolíticas en la capa granulosa y áreas con acantosis irregular moderada. Dermis superficial y media con infiltrados moderados dispuestos en focos, constituidos principalmente por linfocitos, algunos histiocitos y escasos polimorfonucleares, los cuales rodean vasos dilatados; asimismo se observa engrosamiento de fibras de colágena (Figuras 3 y 4).

El diagnóstico fue compatible con pénfigo seborreico por correlación clínico-histopatológica.



COMENTARIO

Consideramos de importancia comunicar este caso clínico debido a que se trata de una dermatosis poco frecuente, con cuadro clínico característico. Los dermatólogos deben tener en mente esta imagen clínica, así como los diversos diagnósticos diferenciales ante dermatosis con topografía y morfología similares como la dermatitis seborreica y el lupus cutáneo. El diagnóstico definitivo se realiza mediante la histopatología y estudios de inmunofluorescencia, si bien la sospecha clínica es esencial para evitar la demora en el inicio del tratamiento.


REFERENCIAS (EN ESTE ARTÍCULO)

  1. Kasperkiewicz M, Ellebrecht CT, Takahashi H, Yamagami J, Zillikens D, Payne AS et al. Pemphigus. Nat Rev Dis Primers. 2017; 3: 17026. doi: 10.1038/nrdp.2017.26.

  2. Yan L, Wang JM, Zeng K. Association between HLA-DRB1 polymorphisms and pemphigus vulgaris: a meta-analysis. Br J Dermatol. 2012; 167: 768-777. doi: 10.1111/j.1365-2133.2012.11040.x.

  3. Vega-Memije ME, Sáez de Ocariz-Gutiérrez MM, Cortés-Franco R, Domínguez-Soto L, Granados-Arriola J. Análisis de HLA-DR en pacientes mexicanos con pénfigo. Gac Med Mex. 2001; 137: 535-540.

  4. Stanley JR, Amagai M. Pemphigus, bullous impetigo, and the staphylococcal scalded-skin syndrome. N Engl J Med. 2006; 355: 1800-1810. doi: 10.1056/NEJMra061111.

  5. España A, Diaz LA, Mascaró JM Jr, Giudice GJ, Fairley JA, Till GO et al. Mechanisms of acantholysis in pemphigus foliaceus. Clin Immunol Immunopathol. 1997; 85: 83-89. doi: 10.1006/clin.1997.4407.

  6. Kirk JA, Culton DA, Diaz LA. Diagnosis and clinical features of pemphigus foliaceus. Dermatol Clin. 2011; 29: 405-412.

  7. Amagai M. Cap. 30: Pemphigus. In: Amagai M, Bolognia JL, Jorizzo JL, Schaffer JV. Dermatology. 3rd ed. Philadelphia: Elsevier; 2012. pp. 461-474.

  8. Singh S. Evidence-based treatments for pemphigus vulgaris, pemphigus foliaceus, and bullous pemphigoid: a systematic review. Indian J Dermatol Venereol Leprol. 2011; 77: 456-469. doi: 10.4103/0378-6323.82400.

  9. Atzmony L, Hodak E, Gdalevich M, Rosenbaum O, Mimouni D. Treatment of pemphigus vulgaris and pemphigus foliaceus: a systematic review and meta-analysis. Am J Clin Dermatol. 2014; 15: 503-515.



AFILIACIONES

1 Dermatooncólogo. Centro Dermatológico "Dr. Ladislao de la Pascua", SSCDMX. México.

2 Dermatopatóloga. Centro Dermatológico "Dr. Ladislao de la Pascua", SSCDMX. México.

3 Dermatólogo. Centro Dermatológico "Dr. Ladislao de la Pascua", SSCDMX. México.

4 Residente del tercer año de Dermatología. Centro Dermatológico "Dr. Ladislao de la Pascua", SSCDMX. México.



CORRESPONDENCIA

Dr. Juan Ramón Trejo-Acuña. E-mail: hermesjuanderma@hotmail.com


Figura 1
Figura 2
Figura 3
Figura 4

2020     |     www.medigraphic.com

Mi perfil

C?MO CITAR (Vancouver)

Rev Cent Dermatol Pascua. 2022;31

ARTíCULOS SIMILARES

CARGANDO ...