medigraphic.com
ENGLISH

Revista del Centro Dermatológico Pascua

ISSN 1405-1710 (Impreso)
  • Mostrar índice
  • Números disponibles
  • Información
    • Información general        
    • Directorio
  • Publicar
    • Instrucciones para autores        
  • medigraphic.com
    • Inicio
    • Índice de revistas            
    • Registro / Acceso
  • Mi perfil

2022, Número 1-2

<< Anterior Siguiente >>

Rev Cent Dermatol Pascua 2022; 31 (1-2)


Tumores con diferenciación sebácea. Comunicación de tres casos y revisión de la literatura

Ortiz-Lobato, Laura1; Navarrete-Franco, Gisela2; González-González, Maribet3; Domínguez-Malagón, Hugo Ricardo4; Parra-Jaramillo, Laura Sinaí5; Santos-Ortíz, María Fernanda6
Texto completo Cómo citar este artículo 10.35366/107800

DOI

DOI: 10.35366/107800
URL: https://dx.doi.org/10.35366/107800
Artículos similares

Idioma: Español
Referencias bibliográficas: 30
Paginas: 34-42
Archivo PDF: 556.77 Kb.


PALABRAS CLAVE

tumores sebáceos, adenoma sebáceo, sebaceoma, carcinoma sebáceo.

RESUMEN

Los tumores con diferenciación sebácea son un grupo de neoformaciones anexiales poco frecuentes. Suelen manifestarse en adultos mayores, comprometiendo cabeza y cuello. Actualmente, se les clasifica en tres grandes grupos: adenoma sebáceo, sebaceoma y carcinoma sebáceo. En este artículo se comunican tres casos de pacientes con tumores de estirpe sebácea que se presentaron a diferentes edades de la vida.



INTRODUCCIóN

El desarrollo de los anexos cutáneos depende de la interacción y diferenciación entre la epidermis y dermis. Con respecto a las glándulas sebáceas, éste inicia alrededor de las 13 a 16 semanas de gestación, en paralelo con el desarrollo del folículo piloso con el que se encuentran estrechamente relacionadas (a excepción de las glándulas de Fordyce en los labios, los tubérculos de Montgomery en las areolas, las glándulas de Tyson en el glande y las glándulas de Meibomio en los párpados). Se ubican en toda la superficie corporal, excepto en palmas y plantas.1

La secreción de las glándulas sebáceas es holocrina. Histológicamente están constituidas por numerosos lóbulos que contienen lípidos, cuya capa externa está formada por células germinativas pequeñas, basofílicas, cuboidales o aplanadas, a partir de las cuales se desarrollan las capas más internas, adquiriendo un aspecto vacuolado, con núcleo central, cargadas de lípidos, que desembocan en un conducto excretor de epitelio escamoso queratinizado.2

En el presente se consideran tres grupos de tumores con diferenciación sebácea: adenoma sebáceo, sebaceoma y carcinoma sebáceo.3,4 La hiperplasia sebácea y el nevo sebáceo no se consideran como verdaderas entidades tumorales sebáceas. La diferenciación sebácea también se observa en forma secundaria como fenómeno poco frecuente durante el desarrollo de otros tumores cutáneos con diferenciación folicular y apocrina.2,5

Las neoplasias sebáceas son poco frecuentes, aparecen a cualquier edad, predominando en ancianos. Comprometen habitualmente cabeza y cuello, pero pueden aparecer en cualquier parte de la superficie corporal. Son solitarios y esporádicos, aunque un subconjunto de ellos se asocia al síndrome de Muir-Torre.5

A continuación comunicamos tres casos de pacientes diagnosticados con tumores de diferenciación sebácea.



CASO 1

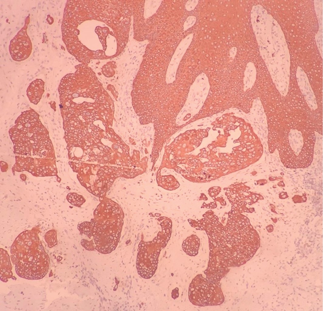
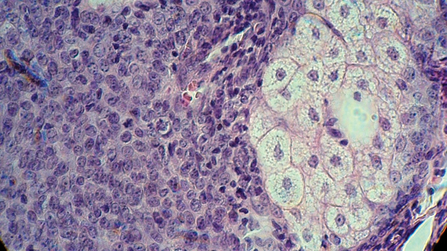
Paciente del sexo masculino de 11 años de edad, sin antecedentes familiares ni personales relevantes, quien acude por presentar dermatosis localizada a párpado superior derecho; constituida por una neoformación hemiesférica del orden de 0.5 cm, de color amarillo-rosado, de bordes bien definidos, con telangiectasias en su superficie, de aspecto lobulado (Figura 1). Con 10 años de evolución, asintomático. Sin tratamiento previo. Con la impresión clínica de tumor de anexos se realizó biopsia escisional, cuyo reporte histopatológico demostró la presencia de una neoformación exofítica, en cuya dermis se observaban cordones epiteliales constituidos principalmente por células sebáceas de características normales, las cuales en algunas zonas se encontraban delimitadas por dos o tres hileras de células basaloides. Con los hallazgos anteriores se realiza el diagnóstico histopatológico de adenoma sebáceo (Figuras 2 y 3).



ADENOMA SEBáCEO

Se utiliza el término "adenoma" para designar a aquellas neoplasias benignas con diferenciación glandular. Los adenomas sebáceos clínicamente se manifiestan como neoformaciones solitarias menores de 5 mm de diámetro, de color amarillo-rosado, o del color de la piel. Su topografía habitual suele ser la cabeza y el cuello. Por lo común afecta a pacientes de edad avanzada.6 Se debe descartar que se trate del síndrome de Muir-Torre cuando coexisten varios adenomas sebáceos en un mismo paciente, ubicados en párpados, mejillas, o piel cabelluda, aunque también se deben descartar neoplasias internas ante lesiones solitarias en cabeza.7

El estudio histopatológico muestra una neoformación bien circunscrita ubicada en zonas intermedias de la dermis, separada por tabiques de tejido conectivo. Está constituida por lóbulos sebáceos inmaduros, los cuales son irregulares en tamaño y forma. En los lóbulos están presentes dos tipos de células: en la periferia se observan células basaloides indiferenciadas, las cuales son idénticas a las de las glándulas sebáceas normales, y sebocitos maduros en el centro.6

En la periferia se puede apreciar un número variable de capas de pequeñas células germinativas con núcleos vesiculares redondos u ovalados y escaso citoplasma. Este mayor número de células basaloides o germinativas permite hacer el diagnóstico diferencial con la hiperplasia sebácea, la cual contiene en su estructura máximo dos capas de dichas células. Éstas se entremezclan con las células sebáceas maduras de ubicación más central (que son mucho más grandes y tienen citoplasma espumoso, pálido y núcleos hipercromáticos centrales).

En ocasiones se observa una empalizada periférica. Algunos lóbulos muestran degeneración quística, y otros parecen conectarse directamente con el epitelio superficial. Más de la mitad del lóbulo en el adenoma sebáceo está compuesta por células sebáceas maduras. En algunas ocasiones se observan adenomas sebáceos gigantes que muestran aumento de la actividad mitótica en el componente de células basaloides, lo cual no debe interpretarse como probable signo de malignidad.

La dermis intermedia puede contener un infiltrado celular inflamatorio crónico que incluye linfocitos, histiocitos y células plasmáticas. Se ha descrito la presencia de un cuerno cutáneo suprayacente.8,9

Dentro de los diagnósticos diferenciales histopatológicos del adenoma sebáceo se encuentran la hiperplasia sebácea y el epitelioma sebáceo o sebaceoma. En la primera los lóbulos sebáceos están completa o casi completamente maduros, mientras que en el segundo predominan las masas de células de forma irregular. El porcentaje de células tumorales con diferenciación sebácea madura es inferior a 50%. El adenoma sebáceo y el epitelioma sebáceo carecen de atipia nuclear o patrones de crecimiento asimétricos invasivos, que son características del carcinoma sebáceo. Sin embargo, puede apreciarse actividad mitótica considerable en las regiones basaloides tanto en el adenoma sebáceo como en el epitelioma.7



CASO 2

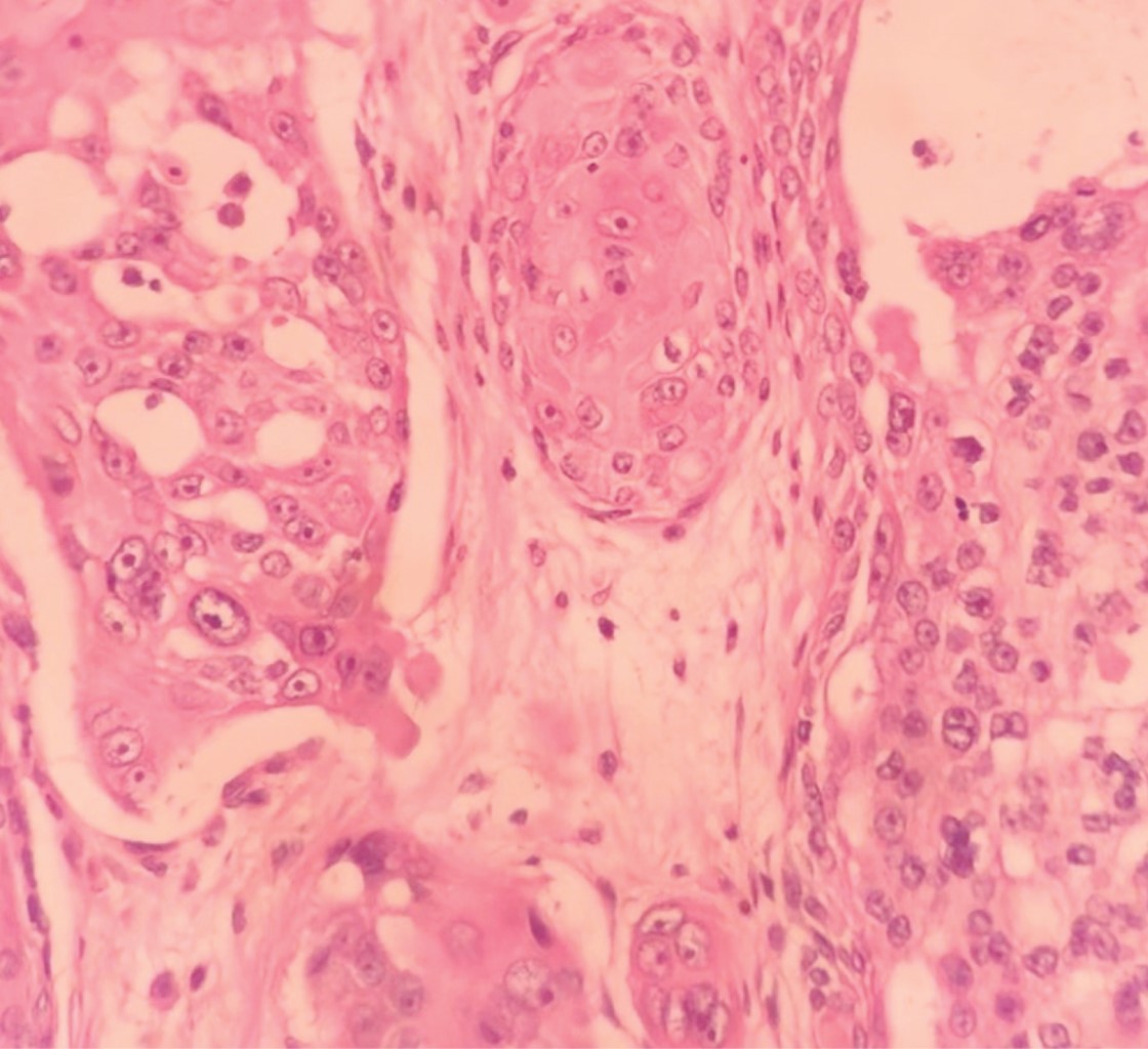
Mujer de 76 años con dermatosis localizada a la punta nasal, constituida por una neoformación hemiesférica, bien circunscrita, de 9 mm de diámetro, de superficie eritematosa, ulcerada, con bordes del color de la piel y telangiectasias (Figura 4). A la dermatoscopía se observan áreas rojo-vinosas mal definidas que alternan con áreas amarillentas sin estructura característica, costra y ulceración en el centro y vasos arborescentes en la periferia (Figura 5). Un año de evolución, con crecimiento en los últimos tres meses, con leve prurito y sangrado ocasional.

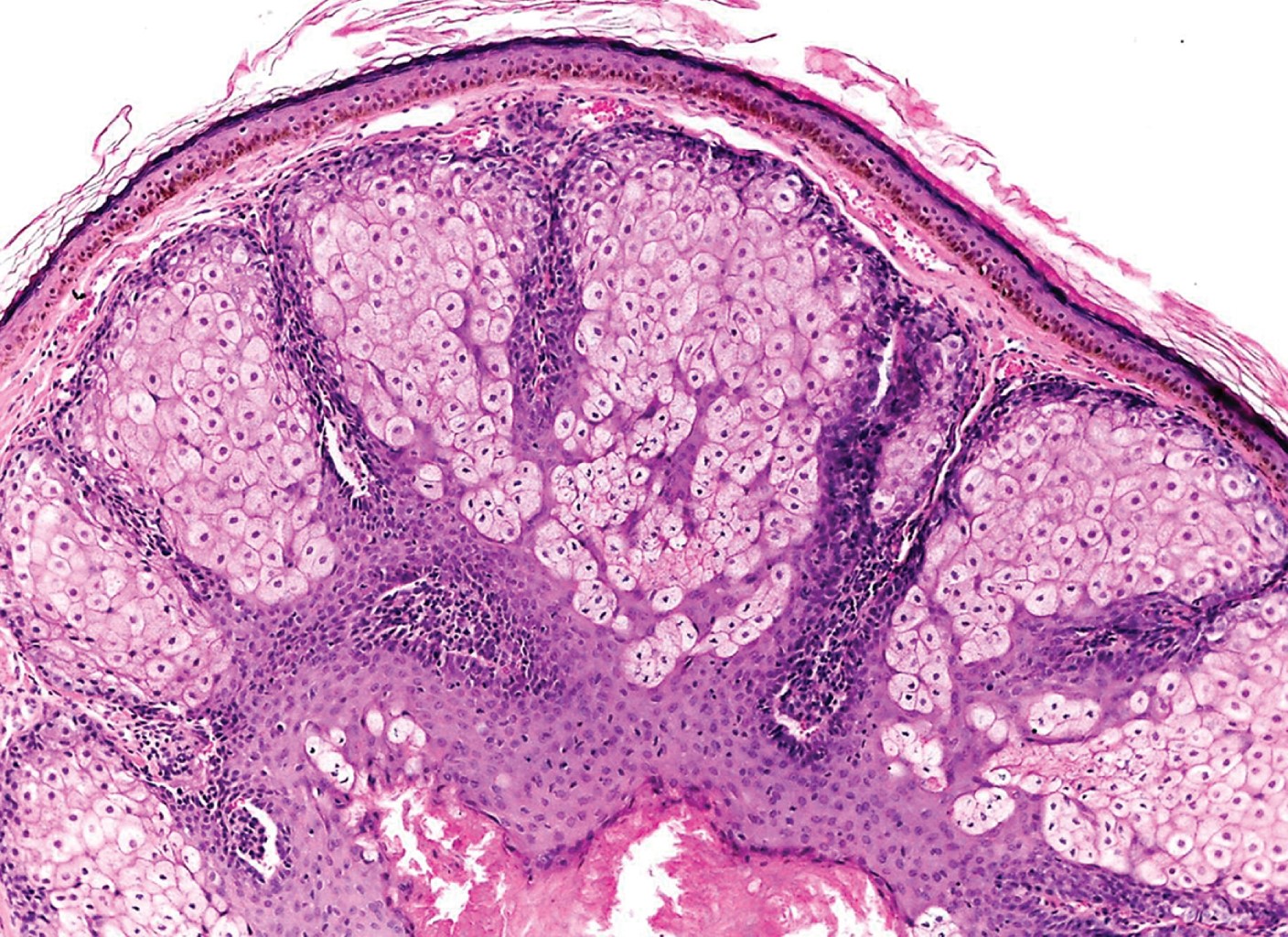
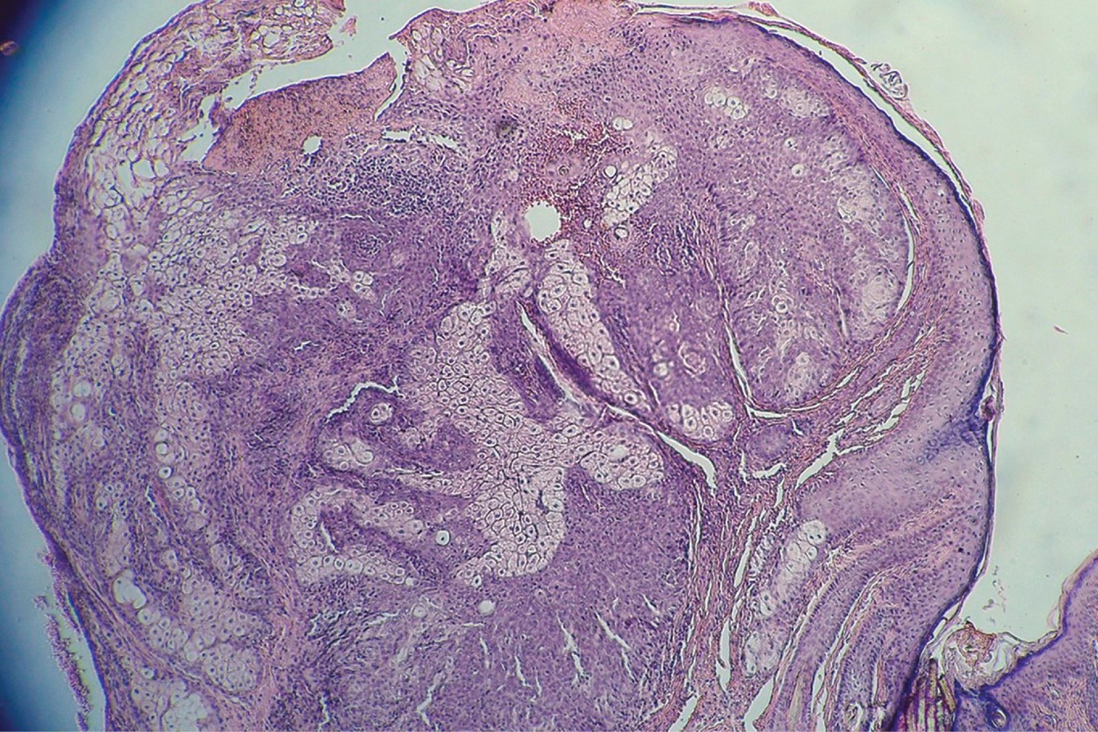
Se realiza biopsia incisional que reporta neoformación ligeramente exofítica cuya epidermis presenta escasa capa córnea y acantosis irregular moderada, por debajo de ésta se observan numerosos cordones de células basaloides que se entremezclan con tejido sebáceo maduro en proporciones iguales, rodeados por escasa reacción inflamatoria. Con lo anterior se integra el diagnóstico de sebaceoma (Figuras 6 y 7). En un segundo tiempo se realiza extirpación completa de la misma.



SEBACEOMA

El sebaceoma es un tumor anexial benigno poco frecuente con diferenciación sebácea. A lo largo de la historia ha recibido otros nombres: "epitelioma sebáceo" o "sebomatricoma".10 En la actualidad se acepta el término de "sebaceoma" para referirse a esta neoplasia.11

Predomina en mujeres en edad avanzada, con media de edad de 70 años,12 en quienes se manifiesta como lesión de novo o como tumor secundario asociado a nevo sebáceo o queratosis seborreica, o también puede formar parte de alguna genodermatosis como el síndrome de Muir-Torre.13,14

El sebaceoma predomina en zonas donde abundan las glándulas sebáceas como piel cabelluda y cara; no obstante, se han reportado casos en cuello, tronco y extremidades.2,14 En general son lesiones únicas (rara vez múltiples) de crecimiento lento, asintomáticas, que se manifiestan como neoformaciones hemiesféricas y bien delimitadas, o bien, de aspecto nodular o en placa. La superficie suele ser verrugosa y puede estar ulcerada.12,13

En la dermatoscopía se observan áreas ovoides amarillo-rosadas que corresponden a conglomerados de células con diferenciación sebácea, así como estructuras vasculares similares a los vasos arborescentes del carcinoma basocelular, e incluso áreas de ulceración.15,16

El estudio histopatológico establece el diagnóstico definitivo. Las características incluyen la presencia de una neoformación bien circunscrita que se asienta principalmente en dermis superficial, conformada por conglomerados de sebocitos inmaduros que se disponen en lóbulos de células basaloides indiferenciadas, poligonales, con escaso citoplasma que tiene núcleo de aspecto vesicular y nucléolo eosinofílico, que se intercalan con sebocitos maduros agrupados así como con ductos excretores bien diferenciados. Las definiciones actuales de sebaceoma enfatizan que el componente de células basaloides debe ser mayor de 50% para diferenciarlo del adenoma sebáceo; con todo, debido a que se trata de un criterio que se ha adoptado de manera arbitraria, algunos autores cuestionan su empleo.2,5 Otros hallazgos incluyen la presencia de focos de epitelio escamoso queratinizado, calcificaciones, áreas de diferenciación apocrina y alto índice de mitosis sin atipias celulares, lo que permite diferenciarlo del carcinoma sebáceo. Estos tumores pueden presentar diversos patrones de crecimiento que orientan al diagnóstico, entre los que se incluyen patrón ondulado, sinusoidal o laberíntico, y el similar a un patrón carcinoide.5

El diagnóstico diferencial clínico incluye entidades más frecuentes como el carcinoma basocelular o el dermatofibroma así como otros tumores con diferenciación sebácea, que por topografía y morfología son indistinguibles del sebaceoma como el adenoma y el carcinoma sebáceos, siendo este último de primordial importancia.5,12

El tratamiento de elección es la extirpación quirúrgica. La recurrencia es baja.2,13 Otras opciones de tratamiento incluyen criocirugía y rasurado de la lesión.17 La transformación maligna es poco frecuente; existen pocos casos reportados en la literatura.13,18



CASO 3

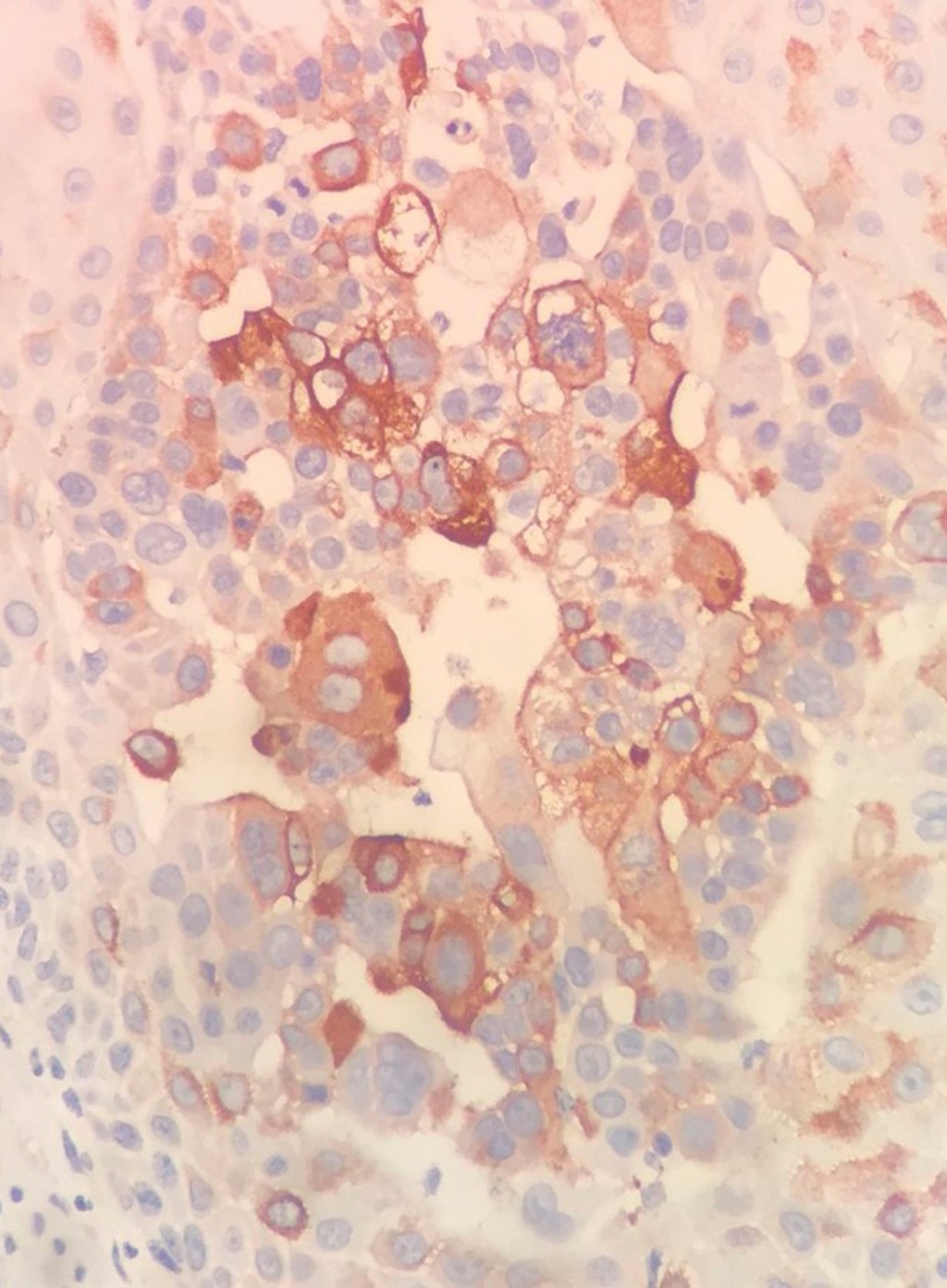
Hombre de 84 años con diagnóstico de metástasis de carcinoma epidermoide de origen primario desconocido en región inguinal izquierda, de dos años de evolución, en tratamiento paliativo con metotrexato y pregabalina durante un año, quien acude por presentar dermatosis diseminada a región inguinal izquierda y muslo izquierdo, constituida por incontables neoformaciones de diversos tamaños y formas del color de la piel, algunas amarillentas, de aspecto papular y nodular, de bordes bien definidos y en su mayoría, confluentes. En el resto de la piel se observa eritema, edema +++ y una úlcera en región inguinal. De evolución crónica y dolorosa (Figura 8). La tomografía axial computarizada (TAC) muestra adenopatías en región inguinal, bilaterales, de predominio en el lado izquierdo, y a nivel de la cadena iliaca externa derecha. Estudios de laboratorio: GGT 24 U/L, DHL 135 U/L, TGP 17 U/L, BT 0.22 mg/dL, BD 0 mg/dL, albúmina 3.3 g/dL, globulina 3.8 g/dL, Hb 12.6 g/dL, Hto 38.3%, Plt 421 × 103/µL, monocitos 16.6%, glucosa 92 mg/dL, CS 0.88 mg/dL. Debido a la rápida progresión, se inicia tratamiento con capecitabina y radioterapia (46 Gy/23 fracciones). Al notar incremento en la ulceración se suspende la quimioterapia por dos semanas para disminuir la toxicidad. Al término de la misma, se observa persistencia del edema e incremento de las lesiones. Se realiza biopsia incisional, cuyo estudio por inmunohistoquímica reporta CK7+, EMA+, P63+, CK20-, con lo cual se realiza el diagnóstico de carcinoma dependiente del folículo piloso compatible con carcinoma sebáceo (Figuras 9, 10, 11 y 12).

Posterior al diagnóstico histopatológico definitivo, el paciente no se consideró candidato a terminar los ciclos de quimioterapia propuesta, quedando a cargo del servicio de cuidados paliativos y falleciendo debido a las complicaciones derivadas de la patología inicial.



CARCINOMA SEBáCEO

El carcinoma sebáceo es un adenocarcinoma con diferenciación sebácea, cuyo comportamiento biológico es agresivo. Representa de 0.2 a 4.6% de las neoplasias malignas cutáneas, con incidencia anual de uno a dos casos por millón de personas. Existen alrededor de 130 casos reportados. Es más frecuente en mujeres, con edad promedio de 64.5 años (de 44 a 94 años de edad). Por su localización se clasifican en oculares y extraoculares. La ubicación habitual (75%) es la región periorbitaria, afecta los anexos oculares (glándulas de Meibomio, de Zeis y sebáceas de los complejos pilosebáceos de la carúncula, piel de párpados y cejas) compromete tronco en 15%, y las extremidades en 10% de los casos.19,20

Los factores de riesgo relacionados son: edad avanzada, sexo femenino, pertenecer a algún grupo racial asiático, portadores de procesos inflamatorios, exposición a radiación ultravioleta e inmunosupresión crónicas, antecedentes de irradiación, inmunosupresión posterior a trasplante de órganos (renal 93%, hígado 4%, corazón 4%), coexistencia de otras neoplasias (carcinoma espinocelular, carcinoma basocelular, melanoma y cáncer de próstata). Otras asociaciones observadas son con el síndrome de Muir-Torre y el retinoblastoma familiar.11,12,19,20

Clínicamente el carcinoma sebáceo se caracteriza por la presencia de neoformaciones de aspecto papular, de tamaño y forma variable, de color rosa-amarillento o eritematosas, que incrementan su tamaño adquiriendo aspecto nodular; pueden ulcerarse o cubrirse de costras. En tronco se agrupan, la imagen clínica es nodular; aunque también pueden manifestarse como engrosamiento difuso de la piel, o como lesiones pediculadas.21,22

El estudio histopatológico es indispensable para su diagnóstico, ya que las formas tempranas pueden semejar benignidad. Este estudio muestra una colección de células sebáceas indiferenciadas, no encapsuladas, lobulares, de base dérmica, que pueden contener gotas de lípidos en su citoplasma, que son responsables del característico aspecto "espumoso" (con disposición central en los lóbulos). Los patrones histológicos pueden ser lobular, (similar a un comedocarcinoma), papilar y mixto; también se clasifican de acuerdo al grado de diferenciación como: bien diferenciados, moderadamente diferenciados o poco diferenciados. Se relacionan con mayor mortalidad los tumores poco diferenciados, la diseminación pagetoide (la más característica), el origen multicéntrico, el tamaño tumoral > 10 mm e invasión a estructuras vasculares, linfáticas y perineurales. Las tinciones por inmunohistoquímica para antígeno de membrana epitelial (EMA) (ausente en el carcinoma de células escamosas y basocelular) y adipofilina (97.1% de sensibilidad y especificidad) son las mejores pruebas complementarias para corroborar la diferenciación sebácea. Éstas permiten confirmar la existencia de citoplasma vacuolado; CD15+ y CD10- en los centros de los nidos tumorales; células tumorales negativas para el antígeno carcinoembrionario (CEA), la proteína S100 o la proteína del fluido de la enfermedad quística macroscópica (GCDFP). En comparación con sus contrapartes benignas, el carcinoma sebáceo expresa incremento de p53 y Ki-67 (marcadores de proliferación) y disminución de bcl-2 y p21 (marcadores antiapoptóticos).2,19,21-23

Algunas características que orientan hacia el diagnóstico histopatológico de carcinoma sebáceo son el pleomorfismo nuclear, la presencia de mitosis atípicas, necrosis y un patrón de crecimiento infiltrativo. También debe distinguirse del carcinoma basocelular, (sobre todo si la proporción de sebocitos maduros es baja), el cual se caracteriza por presentar atipia celular pronunciada, numerosas células apoptóticas, células en la periferia del tumor que adoptan una disposición en empalizada, y el "artefacto de retracción" en el estroma.5

En casos de difícil diagnóstico, la inmunohistoquímica permite la diferenciación entre carcinoma sebáceo y carcinoma basocelular con diferenciación sebácea. Los sebaceomas con frecuencia presentan positividad para CK7, la inmunoperoxidasa para EMA y la adipofilina son positivas en adipocitos maduros. El estudio inmunohistoquímico negativo para BerEP4 permite diferenciarlo de un carcinoma basocelular con diferenciación sebácea. También se utiliza la determinación de receptores androgénicos, los cuales suelen mostrar positividad en estas neoplasias.2,5

El diagnóstico diferencial del carcinoma sebáceo extraocular debe incluir: neoplasias sebáceas benignas, carcinoma basocelular, carcinoma espinocelular, carcinoma de células de Merkel, linfoma cutáneo, metástasis, nevo sebáceo, xantomas y sarcoidosis. Los diagnósticos diferenciales histopatológicos incluyen el carcinoma basocelular con diferenciación sebácea y el carcinoma espinocelular.22

Una vez realizado el diagnóstico de carcinoma sebáceo, se debe estadificar (sistema de estadificación T = tumor, N = extensión a nódulos, M = metástasis [TNM] para el cáncer de piel no melanoma, de acuerdo con el American Joint Committee on Cancer [AJCC]). En los tumores localmente invasivos los estudios radiográficos pueden mostrar destrucción ósea. La resonancia magnética ayuda a delimitar la afección del tejido blando. El uso de TC o PET-TC está justificado cuando se ha detectado afectación ganglionar.24

El carcinoma sebáceo tiende a recurrir de forma local entre 9-36% cinco años después del diagnóstico, 14-25% desarrolla metástasis. La sobrevida es de 71.1% a los cinco años y de 45.9% a los 10 años.2,25 El mecanismo de invasión es por vía angiolinfática.19,26

El tratamiento en estadios iniciales consiste en la extirpación quirúrgica y/o radioterapia. Algunos investigadores consideran conveniente la remoción de los ganglios linfáticos involucrados. En casos avanzados, además debe considerarse la radioterapia, la quimioterapia (cisplatino, paclitaxel, 5-FU) o terapias combinadas.19,24 Otras opciones terapéuticas son la electroquimioterapia, cuyo porcentaje de respuesta adecuada es de 56-100%, dependiendo del tamaño del tumor y del resultado del estudio histopatológico, o del uso del combinado de 5-FU y cisplatino en casos recurrentes o con metástasis; sin embargo, debido a que es una entidad poco frecuente, no existe una terapia estándar.19,27,28



TUMORES DE DIFERENCIACIóN SEBáCEA Y SU ASOCIACIóN CON TUMORES VISCERALES

Los tumores sebáceos se han asociado con malignidad visceral. El tracto gastrointestinal es el sitio más afectado (50% a nivel colorrectal), siendo el adenocarcinoma la variedad más frecuente. Otros órganos involucrados son el conducto biliar, la glándula tiroides, la mama, el uréter, la próstata y el útero. En un estudio de Kim y colaboradores, donde se evaluó a 80 pacientes con tumores sebáceos, 17.5% de ellos se asoció a malignidad visceral, de los cuales 15.7% presentaban carcinoma sebáceo y 20.7% tumores sebáceos benignos. De estos últimos, 50% mostraban múltiples neoplasias viscerales.4

Los tumores sebáceos se han asociado al síndrome de Muir-Torre en 68% de los casos. El que con más frecuencia se detecta es el adenoma sebáceo, seguido del carcinoma sebáceo. Este síndrome es una variante fenotípica autosómica dominante del cáncer colorrectal hereditario, sin poliposis, también conocido como síndrome de Lynch. Esta genodermatosis se caracteriza por la coexistencia de un tumor de glándulas sebáceas, o un queratoacantoma, asociados con neoplasia visceral hasta en 40% de los casos, principalmente cáncer colorrectal en 47-51%, seguido de neoplasias del tracto genitourinario en 21-25%, y el resto puede afectar tracto respiratorio. Rara vez se le asocia a neoplasia del sistema hemolinfático. Para su diagnóstico es necesario que se reúnan los criterios de Ámsterdam para cáncer colorrectal.29,30



COMENTARIO

Los tumores de diferenciación sebácea son poco frecuentes. El objetivo principal de este artículo al comunicar esta serie de casos es resaltar la importancia de detectar a tiempo este tipo de tumores que pueden desarrollarse a diferentes edades. Su diagnóstico es un reto debido a la heterogeneidad en su presentación clínica, por lo que la realización del estudio histopatológico es indispensable para distinguirlos de otras tumoraciones, incluyendo las que derivan de los otros anexos cutáneos, e incluso de los carcinomas basocelular y epidermoide. Estos tumores se han relacionado con tumores viscerales, por esta razón el manejo de estas neoplasias debe contener una evaluación multidisciplinaria que incluya, en caso necesario, consejo genético, y alertar para la búsqueda de otros tumores malignos a nivel sistémico.


REFERENCIAS (EN ESTE ARTÍCULO)

  1. Brownell I, Lemis CA, Koss T. Dermatología. 4ta edición. España: Elsevier. pp. 56-65.

  2. Iacobelli J, Harvey N, Wood B. Sebaceous lesions of the skin. Pathology. 2017; 49: 688-697. doi: 10.1016/j.pathol.2017.08.012.

  3. Tirado M, Metze D, Sahlmann J, Boer-Auer A. Cytologic grading of cutaneous sebaceous neoplasms: does it help to differentiate benign from malignant? Am J Dermatopathol. 2019; 41: 722-732. doi: 10.1097/DAD.0000000000001434.

  4. Kim JE, Kim JH, Chung KY, Yoon JS, Roh MR. Clinical features and association with visceral malignancy in 80 patients with sebaceous neoplasms. Ann Dermatol. 2019; 31: 14-21. doi: 10.5021/ad.2019.31.1.14.

  5. Flux K. Sebaceous neoplasms. Surg Pathol Clin. 2017; 10: 367-382. doi: 10.1016/j.path.2017.01.009.

  6. Machado-Chavelas A, Ramos-Garibay A. Adenoma sebáceo. Rev Cent Dermatol Pascua. 2008; 17: 19-21. Disponible en: https://www.medigraphic.com/pdfs/derma/cd-2008/cd081e.pdf

  7. Darias C, Piña Y, Lima M. Neoplasias de origen sebáceo asociadas a síndrome de Muir-Torre. A propósito de un caso. Rev Med Electrónico. 2017; 39: 584-591. Disponible en: http://scielo.sld.cu/scielo.php?script=sci_arttext&pid=S1684-18242017000300017&lng=es

  8. Calonje E, Brenn T, Lazar A, Billings S. McKee's pathology of the skin with clinical correlations. 5th edition. Elsevier. 2020, pp. 1596-1598.

  9. Reinhart J, James W. Sebaceous adenoma in the setting of immunosuppression for kidney transplantation. JAAD Case Reports. 2019; 5: 818-820. doi: 10.1016/j.jdcr.2019.07.027.

  10. Monti FC, Bonetto VN, Valente E, Kurpis M, Ruiz LA. Sebaceoma-epitelioma sebáceo. Arch Argent Dermatol. 2010; 60: 233-237. Disponible en: https://docplayer.es/23865886-Sebaceoma-epitelioma-sebaceo.html

  11. Calonje J, Brenn T, Lazar A. Tumors and related lesion of the sebaceous glands. McKee's Pathology of the Skin. 5th Ed. United States of America: Elsevier; 2020. pp. 1589-1610.

  12. Ferreira I, Wiedemeyer K, Demetter P, Adams DJ, Arends MJ et al. Update on the pathology, genetics and somatic landscape of sebaceous tumours. Histopathology. 2019; 76: 640-649. doi: 10.1111/his.14044.

  13. Lee DW, Kwak SH, Kim JH, Byeon JY, Lee HJ, Choi HJ. Sebaceous carcinoma arising from sebaceoma. Arch Craniofac Surg. 2021; 22: 126-130. doi: 10.7181/acfs.2021.00059.

  14. Bourlond F, Cribier B, Lipsker D, Velter C. Tumeurs sébacées et syndrome de Muir-Torre [Sebaceous tumors and Muir-Torre syndrome]. Ann Dermatol Venereol. 2015; 142: 456-459. doi: 10.1016/j.annder.2015.03.012.

  15. Coppola R, Carbotti M, Zanframundo S, Verona RM, Graziano A, Panasiti V. Use of dermoscopy in the diagnosis of sebaceoma. J Am Acad Dermatol. 2015; 72: e143-e145.

  16. Nomura M, Tanaka M, Nunomura M, Izumi M, Oryu F. Dermoscopy of rippled pattern sebaceoma. Dermatol Res Pract. 2010; 2010: 140486. doi: 10.1155/2010/140486.

  17. Gay J, Gross G. Muir-Torre syndrome. Treasure Island (FL). Stat Pearls. 2021.

  18. Al-Khashnam H, Burezq H, Al-Aradi I, Al-Sabah H, Al-Abdulhadi K. Unusual malignant transformation of recurrent sebaceoma. A case report. Clin Med Oncol. 2008; 2: 389-392. doi: 10.4137/cmo.s477.

  19. Ribero S, Baduel ES, Brizio M, Picciotto F, Dika E, Fierro MT et al. Metastatic sebaceous cell carcinoma, review of the literature and use of electrochemotherapy as possible new treatment modality. Radiol Oncol. 2016; 50: 308-312. doi: 10.1515/raon-2016-0039.

  20. Eyssautier SF, Cabezas CL, Álvarez TM, Papuzinski AC, Sáez CE. Carcinoma sebáceo extraocular, reporte de un caso. Rev Otorrinolaringol Cir Cabeza Cuello. 2019; 79: 98-104. doi: 10.4067/S0718-48162019000100098.

  21. González-Almaraz G, Aineda-Cárdenas M. Carcinoma sebáceo. Rev Cent Dermatol Pascua. 1999; 8: 76-85. Disponible en: https://dcmq.com.mx/edición-octubre-diciembre-2013-volumen-11-número-4/198-carcinoma-sebáceo-informe-de-un-caso

  22. Kyllo R, Brady K, Hurst E. Sebaceous carcinoma: review of the literature. Dermatologic Surg. 2015; 41: 1-15. doi: 10.1097/DSS.0000000000000152.

  23. Moliné J, Ferrari B, Alperovich R, Waimann J, Acosta AC, Schroh R et al. Carcinoma sebáceo. Sebaceous carcinoma. Dermatol Argent. 2013; 19: 112-116. Disponible en: https://www.dermatolarg.org.ar/index.php/dermatolarg/article/download/1064/615

  24. Knackstedt T, Samie F. Sebaceous carcinoma: a review of the scientific literature. Curr Treat Options Oncol. 2017; 18: doi: 10.1007/s11864-017-0490-0.

  25. Imko-Walczuk B, Kry?c A, Lizakowski S, Debska-?lizie?d A, Rutkowskid B, Biernate W et al. Sebaceous carcinoma in patients receiving long-term immunosuppressive treatment: case report and literature review. Transplant Proc. 2014; 46: 2903-2907. doi: 10.1016/j.transproceed.2014.09.064.

  26. Bolm I, Babaryka G, Moergel M, Al-Nawas B, Kammerer PW. Multifocal metastasizing extra-ocular facial sebaceous carcinoma as diagnostic challenge: case report and systematic review. J Maxillofac Oral Surg. 2015; 14: 331-337. doi: 10.1007/s12663-013-0547-y.

  27. Jung YH, Woo IS, Kim MY, Han CW, Rha EY. Palliative 5-fluorouracil and cisplatin chemotherapy in recurrent metastatic sebaceous carcinoma: case report and literature review. Asia Pac J Clin Oncol. 2016; 12: e189-e193. doi: 10.1111/ajco.12088.

  28. Kumar V, Xu Y. Unusual presentation of metastatic sebaceous carcinoma and its response to chemotherapy: Is genotyping a right answer for guiding chemotherapy in rare tumours? Curr Oncol. 2015; 22: e316-e319. doi: 10.3747/co.22.2467.

  29. Vaglio GG, Leiva MJ, Ferrario D, Volonteri V, Kowalczuk A, Vaccaro C et al. Tumores sebáceos: ¿Tan inocentes como creemos? Síndrome de Muir-Torre. Dermatología CMQ. 2014; 12: 24-28. Disponible en: https://dcmq.com.mx/edición-enero-marzo-2014-volumen-12-número-1/222-tumores-sebáceos-¿tan-inocentes-como-creemoss%C3%ADndrome-de-muir-torre

  30. John AM, Schwartz RA. Muir-Torre syndrome (MTS): an update and approach to diagnosis and management. J Am Acad Dermatol. 2016; 74: 558-566. doi: 10.1016/j.jaad.2015.09.074



AFILIACIONES

1 Médico adscrito al Servicio de Dermatología. Centro Dermatológico "Dr. Ladislao de la Pascua", Secretaría de Seguridad Ciudadana de la Ciudad de México (SSCDMX).

2 Jefe del Servicio de Dermatopatología. Centro Dermatológico "Dr. Ladislao de la Pascua", Secretaría de Seguridad Ciudadana de la Ciudad de México (SSCDMX).

3 Dermatopatóloga. Centro Dermatológico "Dr. Ladislao de la Pascua", Secretaría de Seguridad Ciudadana de la Ciudad de México (SSCDMX).

4 Histopatólogo. Instituto Nacional de Cancerología. Centro Dermatológico "Dr. Ladislao de la Pascua", Secretaría de Seguridad Ciudadana de la Ciudad de México (SSCDMX).

5 Dermatóloga egresada. Centro Dermatológico "Dr. Ladislao de la Pascua", Secretaría de Seguridad Ciudadana de la Ciudad de México (SSCDMX).

6 Residente del primer año de Dermatología. Centro Dermatológico "Dr. Ladislao de la Pascua", Secretaría de Seguridad Ciudadana de la Ciudad de México (SSCDMX).



CORRESPONDENCIA

Dra. Laura Ortiz-Lobato. E-mail: lobatolaura1@outlook.es


Figura 1
Figura 2
Figura 3
Figura 4
Figura 5
Figura 6
Figura 7
Figura 8
Figura 9
Figura 10
Figura 11
Figura 12

2020     |     www.medigraphic.com

Mi perfil

C?MO CITAR (Vancouver)

Rev Cent Dermatol Pascua. 2022;31

ARTíCULOS SIMILARES

CARGANDO ...