medigraphic.com
ENGLISH

Revista del Centro Dermatológico Pascua

ISSN 1405-1710 (Impreso)
  • Mostrar índice
  • Números disponibles
  • Información
    • Información general        
    • Directorio
  • Publicar
    • Instrucciones para autores        
  • medigraphic.com
    • Inicio
    • Índice de revistas            
    • Registro / Acceso
  • Mi perfil

2022, Número 1-2

<< Anterior Siguiente >>

Rev Cent Dermatol Pascua 2022; 31 (1-2)


Tumor de células gigantes de la vaina tendinosa

Cardona Hernández, Miguel Ángel1; Ramos Garibay, Juan Alberto2; Jiménez Herrera, Erick Alejandro3; López Zenteno, Bianca Eunice4
Texto completo Cómo citar este artículo 10.35366/107802

DOI

DOI: 10.35366/107802
URL: https://dx.doi.org/10.35366/107802
Artículos similares

Idioma: Español
Referencias bibliográficas: 26
Paginas: 48-52
Archivo PDF: 299.82 Kb.


PALABRAS CLAVE

tumor de partes blandas, tumor tenosinovial de células gigantes, neoformaciones interfalángicas, cirugía de mano.

RESUMEN

El tumor gigante de la vaina tendinosa es una neoformación benigna que surge de la bolsa sinovial, la bursa y las vainas de los tendones. Se presenta en población adulta y excepcionalmente en niños. Ocupa el segundo lugar de las neoformaciones en manos, predomina en el género masculino. Su evolución es lenta y sus síntomas inespecíficos. Clínicamente se manifiesta como neoformaciones ubicadas en la unión interfalángica. Se clasifica en formas localizada y difusa. El diagnóstico se realiza con el apoyo de imagen (resonancia magnética y tomografía) y mediante la confirmación histopatológica. El tratamiento es quirúrgico y debe ser en manos de un cirujano experto. Se ha descrito el uso de radioterapia y terapia biológica como adyuvantes. El pronóstico es bueno y la tasa de recidiva se asocia a la extirpación incompleta de la tumoración. El diagnóstico diferencial más frecuente debe realizarse con los quistes sinoviales, seguidos de otro tipo de quistes y angiolipomas.



INTRODUCCIóN

El tumor de células gigantes de la vaina tendinosa (TCGVT) es una tumoración benigna no epitelial que se origina de la vaina tendinosa.1 Descrito en 1948, desde entonces ha sido denominada con diferentes nombres: tumor de células gigantes tenosinovial, tenosinovitis nodular localizada, xantoma y sinovitis villonodular pigmentada.2



EPIDEMIOLOGíA

La edad de presentación del TCGVT oscila entre los 30 y 50 años de edad, afecta principalmente a mujeres, en una proporción 2:1.3-5 Su manifestación en la infancia es excepcional, en estos casos se le asocia con síndromes.6 El TCGVT corresponde a 1.6% de todos los tumores de partes blandas, y es el segundo en frecuencia de las neoformaciones en manos, ocupando el primer lugar el quiste sinovial.3,7 En México, Díaz J y colaboradores reportaron que este tumor se presenta en su mayoría en hombres (58%), con rango de edad de 17 a 68 años, y con tiempo de evolución de seis meses a cinco años.8



CUADRO CLíNICO

EL TCGVT se clasifica en localizado y difuso, de acuerdo a sus características topográficas y de crecimiento. En la forma localizada (la más común), estos tumores proliferan fuera de la articulación, (como en los tendones de las manos), en contraste con la forma difusa.2

La topografía más frecuente compromete las articulaciones interfalángicas proximales de los dedos de las manos. Se afectan en orden de frecuencia: índice, pulgar y dedo medio, con predominio en la cara palmar.5 En la forma difusa se pueden afectar las articulaciones de los miembros inferiores; ésta cursa con comportamiento más agresivo.3,4 Algunas topografías atípicas del TCGVT localizado son la articulación temporomandibular y la rodilla.9,10

Se manifiesta como neoformación subcutánea, de aspecto lobulado, de consistencia firme, con tamaño aproximado de 0.5 a 5 cm de diámetro; su crecimiento es lento. Puede ser pruriginosa o producir parestesias locales, aunque en general es asintomática. En algunas ocasiones, el TCGVT presenta una pseudocápsula que cubre total o parcialmente la neoformación, acompañarse de adherencias o invadir el tejido circundante.11 La forma clínica de este tumor es variable, irregular, ya que debido al crecimiento hacia sitios de menor resistencia, genera extrusión de la pseudocápsula. Como consecuencia de la presión que genera el crecimiento de la neoformación, hasta 5% es acompañado de lesiones de aspecto granulomatoso, y 67% manifiesta compromiso óseo sin pseudocápsula.12 En las radiografías es posible percibir al tumor como radiolúcido. En el ultrasonido se aprecia como tumoración a expensas de la vaina tendinosa, asociado a derrame articular y engrosamiento de la cápsula sinovial. Puede observarse flujo sanguíneo a través de la tumoración mediante la modalidad Doppler. La tomografía computarizada muestra una tumoración con imágenes quísticas subcondrales, y la resonancia magnética una tumoración con radiolucidez leve, en comparación con el músculo en T1, heterogéneo en T2 y sin realce al administrar gadolinio.4-13



PATOGENIA

La teoría sobre los mecanismos causales de esta tumoración es aún controversial. Se ha propuesto proliferación celular monoclonal y policlonal, sin resultados concluyentes.3 La teoría más aceptada es la mutación del gen del factor estimulante de colonias tipo 1 (CSF 1, por sus siglas en inglés: colony stimulating factor 1) presente en el gen 1p13, que genera sobrexpresión del CSF 1 y sobrecrecimiento de células similares a los histiocitos/monocitos.14 Esta mutación genética se encuentra en 63-77% de estos tumores.15 Otra teoría es su desarrollo posterior a un traumatismo, debido a que 50% de los pacientes con TCGVT refiere este antecedente. Otras posibles causas son: alteraciones en el metabolismo de los lípidos, proliferación osteoclástica, infección, trastornos vasculares, y alteraciones metabólicas.3,4



HISTOPATOLOGíA

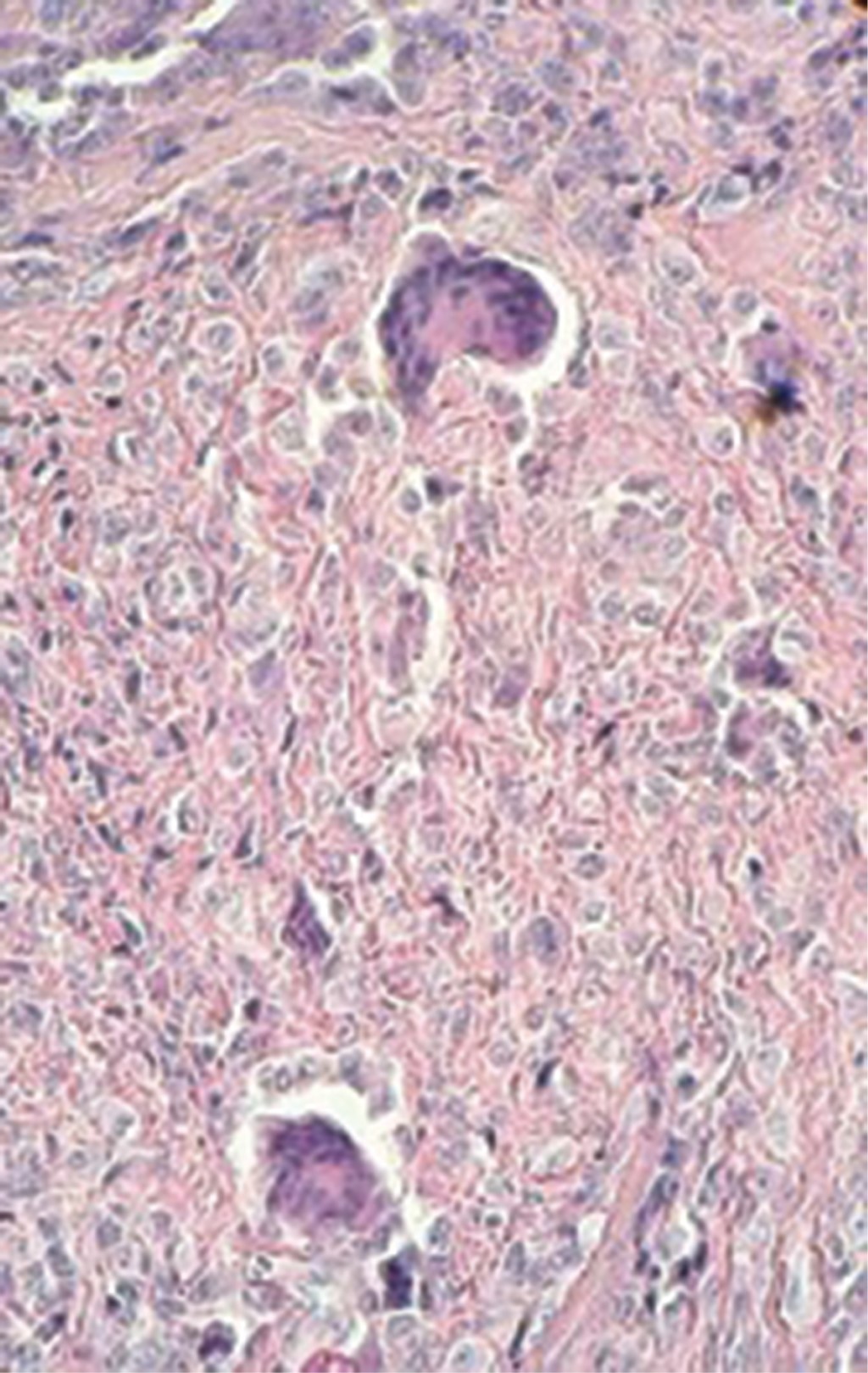
En la histopatología del TCGVT se observan lóbulos con celularidad mixta rodeados de colágena densa. Las células del infiltrado muestran un núcleo vesiculoso con contenido lipídico, o con hemosiderina, lo cual proporciona aspecto espumoso a estas células. Además, se observan células gigantes eosinofílicas y multinucleadas, similares a los osteoclastos. Estas células contienen hasta 60 núcleos, y se forman por fusión de células mononucleares.16



DIAGNóSTICO DIFERENCIAL

El diagnóstico diferencial clínico se realiza principalmente con quistes sinoviales, quistes epidermoides, quistes de la glándula sebácea, angiolipomas y angiomiolipomas. A nivel histopatológico debe diferenciarse de los granulomas a cuerpo extraño, xantomas tendinosos, fibromas de la vaina tendinosa, miositis osificante, sarcoma sinovial, epitelioide y de células claras, y melanoma.17,18



TRATAMIENTO

El tratamiento de primera línea es la extirpación quirúrgica, la cual debe ser efectuada por un cirujano experto, debido a la ubicación de la tumoración y su relación con estructuras delicadas, como tendones y nervios. Algunos autores sugieren que antes de llevar a cabo la cirugía se soliciten estudios de gabinete, y se ensaye para planear adecuadamente la cirugía. Para aquellos localizados en mano, se recomienda el bloqueo interdigital, disección y extracción con lupa quirúrgica en cuanto sea posible para evitar dejar fragmentos en el lecho y generar recidivas. Si la piel está adherida al tumor, puede hacerse una escisión elíptica, plastia en "z" o injerto.4,19

Para los TCGVT gigantes se recomienda una incisión palmar tipo Brunner, incisión en la línea media lateral, longitudinal dorsal o transversal. La extracción siempre debe incluir a la pseudocápsula, la cual tiende a ser bien delimitada. Si se presentan adherencias, debe realizarse la resección con margen de 1 mm a partir del sitio de adhesión, y si la tumoración alcanza planos profundos, es factible utilizar la electrocauterización o el curetaje del lecho.12,18 Puede asociarse radioterapia para disminuir el riesgo de recidiva. Se han probado algunas otras terapias adyuvantes, como el imatinib y el inhibidor del receptor CSF 1, con buenos resultados. Estas terapias se han descrito sobre todo para las formas diseminadas. Las complicaciones son poco comunes. El hematoma es el más frecuente; se llegan a desarrollar también neuritis o necrosis por lesión arterial.4,7,20,21



RECURRENCIAS

El índice de recidiva de estos tumores es de 6 a 45%; es directamente proporcional a si la extirpación fue completa o no.3,5,22 Otros factores relacionados con la recidiva del tumor son: cursar con osteoartritis, ubicación en la articulación interfalángica del primer ortejo, o en la articulación interfalángica distal de los otros dedos, erosión ósea, infiltración del tendón, de la cápsula sinovial o de la articulación, invasión neurovascular y diseminación fuera de la pseudocápsula.22-24 Algunos autores han reportado que la ausencia del gen NM23, detectado por inmunohistoquímica, y el alto índice mitótico es probable que estén asociados a la recurrencia.25,26 El lapso en el cual se puede desarrollar recurrencia es de dos a cuatro años, aunque estas cifras son variables. Es importante considerar estos factores para evitar la recidiva de este tumor, debido a que su potencial de transformación maligna es de 10 a 20%.



CASO CLíNICO

Paciente del sexo masculino, de 68 años, originario y residente de la Ciudad de México, acude por presentar una tumoración en el dedo índice de la mano derecha que ha ido aumentando de tamaño en los últimos dos años, causando imposibilidad para ejecutar sus actividades manuales. Niega antecedente de traumatismos previos, así como manipulación de la lesión. A la exploración física se observa dermatosis localizada a la extremidad superior derecha, de la cual afecta mano y de ésta el dedo índice en su cara dorsal, en el tercio distal, a nivel de la articulación interfalángica distal. La dermatosis estaba constituida por una neoformación subcutánea de aproximadamente 2 centímetros de diámetro, de aspecto lobulado, del color de la piel, con eritema en el centro, móvil, no adherida a planos profundos, de consistencia firme, y de bordes bien definidos (Figura 1).

Se solicita radiografía de mano derecha, en la cual se observa radiolucidez circunscrita a nivel de articulación interfalángica distal. Durante la exploración quirúrgica, al extirpar la lesión, se obtiene una neoformación de color amarillo, lobulada, de consistencia firme, superficie aperlada, de bordes bien definidos (Figura 2). Se efectúa reconstrucción mediante colgajo de avance en "L", sin complicaciones (Figura 3). En la histopatología se observa una tumoración circunscrita constituida por numerosas células de aspecto fusiforme y epitelioide que forman haces muy compactos, así como formación de numerosas células gigantes multinucleadas de tipo osteoclasto (Figura 4). El paciente evolucionó en forma favorable, con adecuada cicatrización de la herida, y sin recidivas hasta el momento (Figura 5).



COMENTARIO

El caso que se comunica en este artículo busca ilustrar de manera clara la presentación clásica de esta neoformación benigna, así como su abordaje quirúrgico. Se hizo una revisión amplia del tema. La presentación de estos tumores es común dentro de la población, por lo que es de suma importancia reconocer su manifestación lo más pronto posible y determinar la mejor forma de llevar a cabo el abordaje quirúrgico, logrando la extirpación completa con la cual se asegure la no recurrencia, y sobre todo informar al paciente acerca de su diagnóstico y pronóstico clínicos. Es indispensable el envío de la pieza para estudio histopatológico.


REFERENCIAS (EN ESTE ARTÍCULO)

  1. Ackerman LV. Benign giant cell tumor of tendon sheath? Mo Med. 1948; 45: 383.

  2. Kitagawa Y, Takai S. Optimal treatment for tenosynovial cell tumors of the hand. J Nippon Med Sch. 2020; 87: 184-190. doi: 10.1272/jnms.JNMS.2020_87-408.

  3. Alarcón-Hernández H, Enríquez-Merino J, Novales Santa-Coloma J, Pérez-Cortés S. Tumor de células gigantes de la vaina tendinosa. Reporte de un caso. Rev Cent Dermatol Pascua. 2001; 10: 90-93.

  4. Rodríguez-Acar M, Ramos-Garibay A, Domínguez-Serrato MA, Salcedo-García DL. Tumor de células gigantes de la vaina tendinosa. Rev Cent Dermatol Pascua. 2010; 19: 108-111.

  5. Cevik HB, Kayahan S, Eceviz E, Gümüstas SA. Tenosynovial giant cell tumor in the hand: experience with 173 cases. J Hand Surg Asian Pac Vol. 2020; 25: 158-163. doi: 10.1142/S2424835520500174.

  6. Zheng S, Lee PY, Huang Y, Wang A, Li T. Giant cell tumor of tendon sheath and tendinopathy as early features of early onset sarcoidosis. Front Pediatr. 2019; 7: 480. doi: 10.3389/fped.2019.00480.

  7. Erosa-Farah MA, Cortés-Cárdenas SA, López-Iñiguez A. Tumor de células gigantes de la vaina tendinosa en la mano. Rev Esp Med Quir. 2012; 17: 146-149.

  8. Díaz-González JM, Domínguez-Cherit J, López-Garza NS. Tumor de células gigantes de la vaina tendinosa: estudio retrospectivo de siete casos. Dermatologia CMQ. 2017; 15: 11-13.

  9. Álvarez-Buylla Blanco M, López Amado M, Padin Seara A, Reguera Arias A. Chondroid tenosynovial giant cell tumor of the temporomandibular joint: a case report. Acta Otorrinolaringol Esp. 2021; 72:128-130.

  10. Arican M, Turhan Y, Gamsizkan M. A rare localized giant cell tumor of the tendon sheath originating from the ligamentum mucosum: a case report. Jt Dis Relat Surg. 2020; 31: 149-153. doi: 10.5606/ehc.2020.72323.

  11. Al-Qattan MM. Giant cell tumors of tendon sheath: classification and recurrence rate. J Hand Surg Br. 2001; 26: 72-75.

  12. Kitagawa Y, Tamai K, Tsunoda R, Sawaizumi T, Takai S. Bone changes associated with soft-tissue tumors of the hand. J Nippon Med Sch. 2012; 79: 267-273.

  13. Wang C, Song RR, Kuang PD, Wang LH, Zhang MM. Giant cell tumor of the tendon sheath: magnetic resonance imaging findings in 38 patients. Oncol Lett. 2017; 13: 4459-4462.

  14. Sansone V, Longhino V. What's in a name? A call for consistency in the classification of tenosynovial giant cell tumour. Knee. 2018; 25: 1322-1323.

  15. West RB, Rubin BP, Miller MA et al. A landscape effect in tenosynovial giant-cell tumor from activation of CSF1 expression by a translocation in a minority of tumor cells. Proc Natl Acad Sci USA. 2006; 103: 690-695.

  16. Elder D, Elenitsas R, Johnson BL, Murphy GF. Lever's histopathology of the skin. Philadelphia. 11th ed. 2015, pp. 874-875.

  17. Glowacki KA, Weiss AP. Giant cell tumors of tendon sheath. Hand Clin. 1995; 11: 245-253.

  18. Monaghan H, Salter DM, Al-Nafussi A. Giant cell tumour of tendon sheath (localized nodular tenosynovitis): clinicopathological features of 71 cases. J Clin Pathol. 2001; 54: 404-407.

  19. Ikeda K, Osamura N, Tomita K: Giant cell tumour in the tendon sheath of the hand: importance of the type of lesion. Scand J Plast Reconstr Surg Hand Surg. 2007; 41: 138-142.

  20. Verspoor FGM, Mastboom MJL, Hannink G, Maki RG , Wagner A, Bompas E et al. Long-term efficacy of imatinib mesylate in patients with advanced tenosynovial giant cell tumor. Sci Rep. 2019; 9: 14551.

  21. Palmerini E, Longhi A, Donati DM, Staals EL. Pexidartinib for the treatment of adult patients with symptomatic tenosynovial giant cell tumor: safety and efficacy. Expert Rev Anticancer Ther. 2020; 20: 441-445.

  22. Ozben H, Coskun T. Giant cell tumor of tendon sheath in the hand: analysis of risk factors for recurrence in 50 cases. BMC Musculoskeletal Disord. 2019; 20: 457.

  23. Reilly KE, Stern PJ, Dale JA. Recurrent giant cell tumors of the tendon sheath. J Hand Surg Am. 1999; 24: 1298-1302.

  24. Lorea P, Van De Walle H, Kinnen L, Ledoux P, Moermans JP, Van Den Heule B. Giant cell tumours of the tendon sheath: lack of correlation between nm23-H1 expression and recurrence. J Hand Surg Br. 2004; 29: 67-70.

  25. Shi J, Zheng J, Zhou X, Li Z, Chen X, Gao W et al. Risk factors associated with postoperative recurrence in patients with tenosynovial giant cell tumor of the hand: a retrospective cohort study. Ann Plast Surg. 2019; 83: 523-528.

  26. Linney LS, Al-Hassani F, Pikturnaite J, Mathew B, Thornton D, Wade RG et al. Tenosynovial giant cell tumours of the hand: a multicentre case-control study. J Plast Reconstr Aesthet Surg. 2019; 72: 918-923.



AFILIACIONES

1 Dermatooncólogo. Centro Dermatológico "Dr. Ladislao de la Pascua" SSCDMX.

2 Dermatopatólogo. Centro Dermatológico "Dr. Ladislao de la Pascua" SSCDMX.

3 Médico residente de Cirugía Dermatológica y Dermatooncología. Centro Dermatológico "Dr. Ladislao de la Pascua" SSCDMX.

4 Médico residente del tercer año de Dermatología. Centro Dermatológico "Dr. Ladislao de la Pascua" SSCDMX.



CORRESPONDENCIA

Dr. Miguel Ángel Cardona-Hernández. E-mail: drmiguelcardona08@gmail.com


Figura 1
Figura 2
Figura 3
Figura 4
Figura 5

2020     |     www.medigraphic.com

Mi perfil

C?MO CITAR (Vancouver)

Rev Cent Dermatol Pascua. 2022;31

ARTíCULOS SIMILARES

CARGANDO ...