medigraphic.com
ENGLISH

Revista del Centro Dermatológico Pascua

ISSN 1405-1710 (Impreso)
  • Mostrar índice
  • Números disponibles
  • Información
    • Información general        
    • Directorio
  • Publicar
    • Instrucciones para autores        
  • medigraphic.com
    • Inicio
    • Índice de revistas            
    • Registro / Acceso
  • Mi perfil

2022, Número 1-2

<< Anterior Siguiente >>

Rev Cent Dermatol Pascua 2022; 31 (1-2)


Porocarcinoma

Ortíz-Lobato, Laura1; González-González, Maribet2; López-Salmerón, Andrea3; Reyes-Hernández, Cynthia Guadalupe4
Texto completo Cómo citar este artículo 10.35366/107803

DOI

DOI: 10.35366/107803
URL: https://dx.doi.org/10.35366/107803
Artículos similares

Idioma: Español
Referencias bibliográficas: 18
Paginas: 53-56
Archivo PDF: 368.71 Kb.


PALABRAS CLAVE

porocarcinoma ecrino, poroma ecrino maligno, carcinoma de glándulas sudoríparas, carcinoma ecrino, carcinoma anexial.

RESUMEN

El porocarcinoma ecrino o poroma ecrino maligno es una neoplasia poco frecuente que se origina de las glándulas sudoríparas ecrinas, que cursa con alto potencial metastásico; afecta principalmente a adultos mayores. Es una neoplasia de etiología desconocida; sin embargo, se le ha relacionado con poromas ecrinos benignos preexistentes. Su topografía habitual compromete cabeza y extremidades inferiores, manifestándose como una neoformación exofítica y eritematosa. El diagnóstico se realiza por medio de estudio histopatológico. El tratamiento es la extirpación quirúrgica; se utiliza quimioterapia o radioterapia en casos de metástasis o recurrencia. En este artículo se comunica el caso de una paciente de 68 años de edad con un porocarcinoma ecrino.



INTRODUCCIóN

El porocarcinoma ecrino o poroma ecrino maligno fue reportado por primera vez en 1963 por Pinkus y Mehregan, describiéndolo como un tumor que combinaba características de poroma ecrino y enfermedad de Paget.1



EPIDEMIOLOGíA

A pesar de considerarse un tumor raro, es el tumor maligno de las glándulas sudoríparas más frecuente, representa 0.005-0.01% de los tumores cutáneos.2

El porocarcinoma suele manifestarse en pacientes entra la sexta y octava décadas de la vida. En niños se han reportado casos excepcionales.3,4 No tiene predilección por sexo. La mayoría de los casos se desarrollan en caucásicos.2,5 Puede presentarse como lesión de novo, o como transformación maligna de un poroma preexistente. Se ha descrito que en el transcurso de años a décadas 18-50% de los porocarcinomas degeneran a partir de poromas inicialmente benignos.2,6,7 Se ha reportado que entre 8-31% de los casos se presentan con metástasis al momento del diagnóstico.3,5



PATOGéNESIS

El porocarcinoma es un tumor maligno que se deriva de las glándulas sudoríparas ecrinas. Su etiología es desconocida, aunque se han detectado alteraciones en los genes supresores tumorales P53 y RB1, mutaciones activadoras en HRAS y EGFR, así como sobrexpresión de la proteína p16, los cuales podrían desempeñar algún papel como cofactores oncogénicos para el desarrollo de esta neoplasia.8-10



CUADRO CLíNICO

En orden de frecuencia, la localización más común es la cabeza, seguida de las extremidades inferiores, tronco y extremidades superiores.3,5 El porocarcinoma se manifiesta generalmente como neoformación única de aspecto nodular, eritematosa, brillante, firme; algunas lesiones son friables, ulceradas o induradas; algunas otras tienen aspecto verrugoso o polipoide. Su tamaño es variable, oscila de 2 a 10 cm.11 A la dermatoscopia se aprecia un patrón vascular polimorfo, incluyendo vasos lineales en asa, vasos lineales irregulares y vasos puntiformes en un fondo rojo-lechoso.12 El diagnóstico diferencial debe incluir al poroma ecrino, granuloma piógeno, carcinoma epidermoide, melanoma amelánico, entre otros.13



DIAGNóSTICO

Se requiere efectuar una biopsia para confirmar el diagnóstico por histopatología. Este tumor es muy similar al poroma ecrino, con componentes similares al acrosiringio, con células y ductos típicos de porocarcinoma, aunque con características citológicas de malignidad, entre las que se encuentran: pleomorfismo nuclear y citoplasmático, hipercromatismo nuclear y actividad mitótica anormal e incluso un patrón infiltrativo con respuesta estromal desmoplásica, necrosis tumoral, invasión perineural o vascular. La diferenciación ductal suele ser identificable, pero se vuelve más evidente mediante el uso de la reacción diastasa-PAS o la demostración por inmunohistoquímica de la expresión de EMA o CEA.14,15



PRONóSTICO

Los sitios más comunes de metástasis son los ganglios linfáticos, seguidos en menor proporción por el pulmón, el hígado y el sistema nervioso central. Hasta 6% presenta linfadenopatías palpables y el resto se diagnostica con estudios de imagen: tomografía axial computarizada (TAC), resonancia magnética (RM) o tomografía por emisión de positrones (PET-CT).2



TRATAMIENTO

El tratamiento inicial es quirúrgico, mediante la ejecución de una escisión amplia; no obstante, no se ha demostrado que márgenes mayores a 2 cm se asocien a menor riesgo de recurrencia, por lo que la cirugía micrográfica de Mohs se propone como tratamiento de elección en porocarcinomas clásicos, y en neoplasias con patrones histológicos infiltrativo o pagetoide para evitar el riesgo de recidiva local.16 Al ser los ganglios linfáticos el sitio más común de metástasis y no ser siempre identificables con estudios de imagen, algunos autores proponen llevar a cabo biopsia de ganglio linfático centinela;17 con todo, aún no se cuenta con evidencia suficiente para que esto se haga de manera rutinaria. En el caso de enfermedad metastásica, no existe estándar terapéutico, por lo que se ha sugerido utilizar quimioterapia, radioterapia y/o inmunoterapia.3,18



CASO CLíNICO

Paciente del sexo femenino, de 68 años, quien acude a valoración por presentar una neoformación en dorso de pie izquierdo, a nivel de tarso, de tres años de evolución. Cuenta con el antecedente de rasurado previo de la misma lesión en el año 2013, cuyo diagnóstico histopatológico fue de poroma ecrino. Sin otros antecedentes personales relevantes para el padecimiento actual.

A la exploración física se observa una neoformación hemiesférica, eritemato-violácea, de 0.8 cm de diámetro, con escama fina en su superficie y bordes bien definidos, de consistencia firme, no fija a planos profundos (Figura 1). A la dermatoscopía se observan vasos polimorfos, agrupados, regulares y crisálidas (Figura 2).

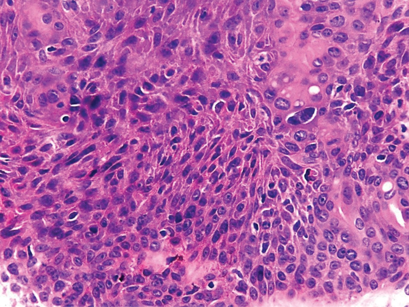
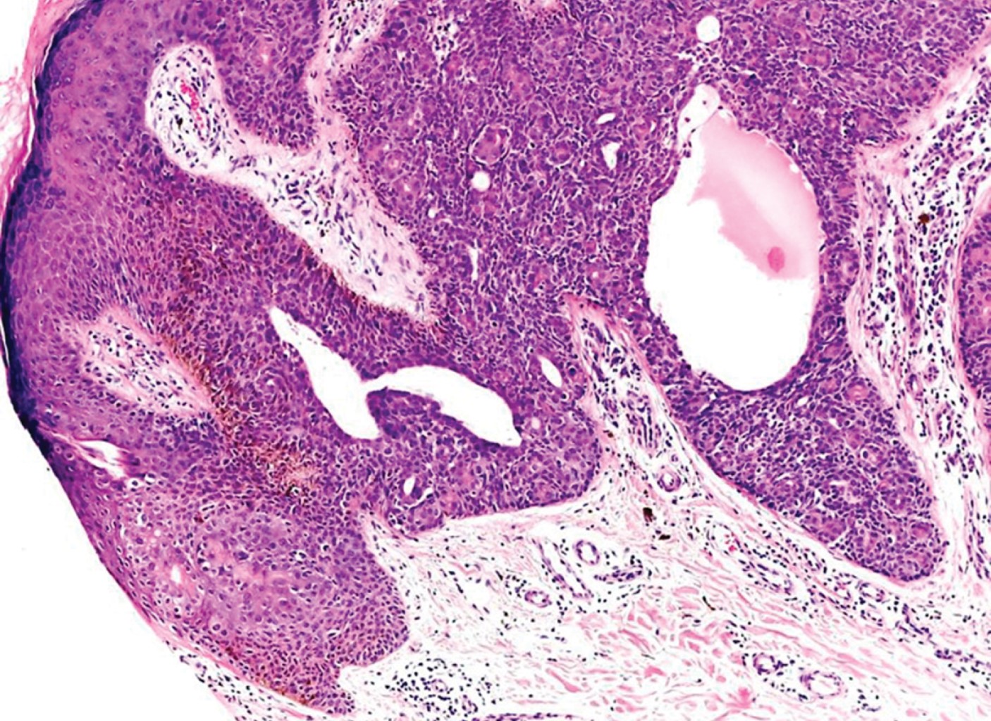
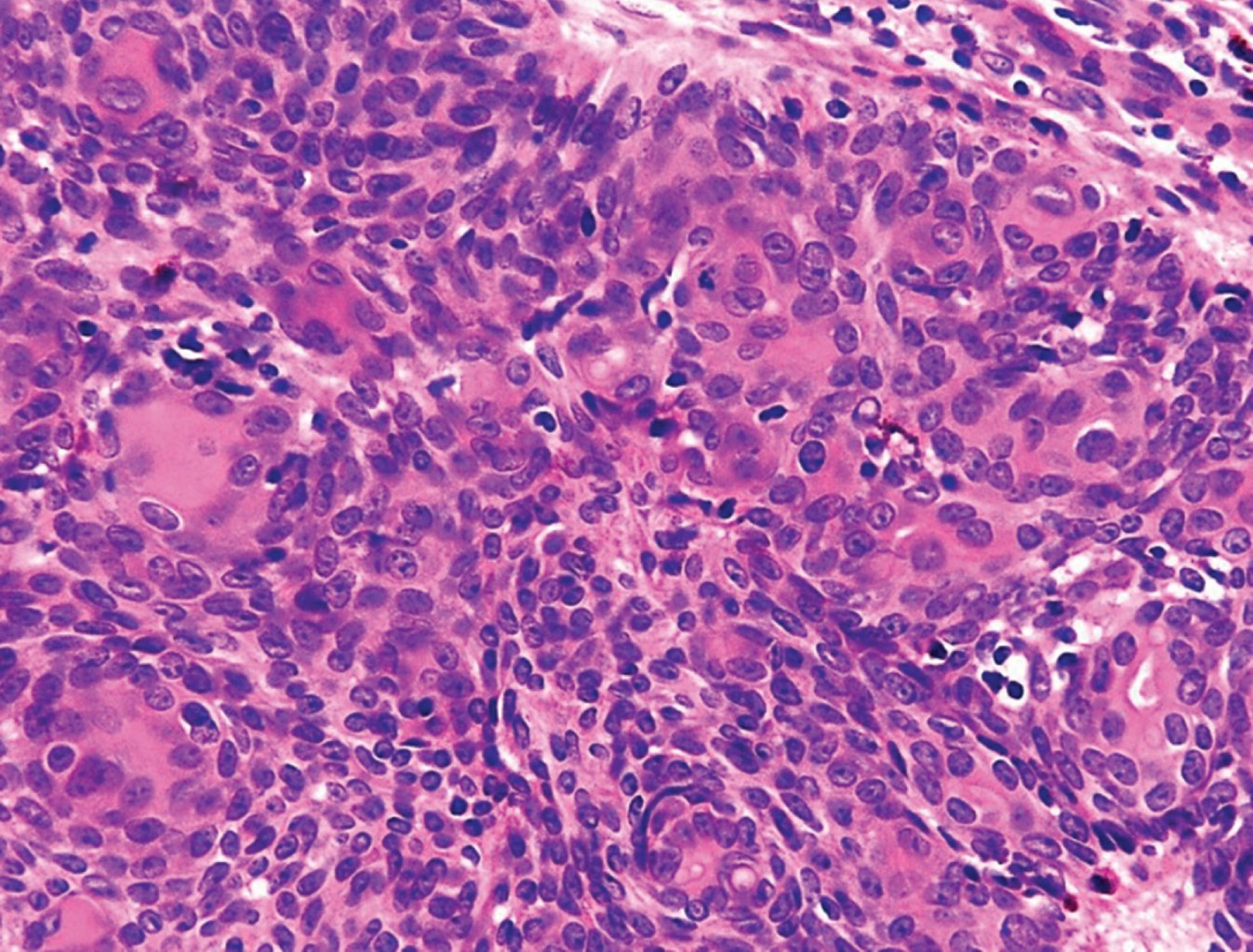
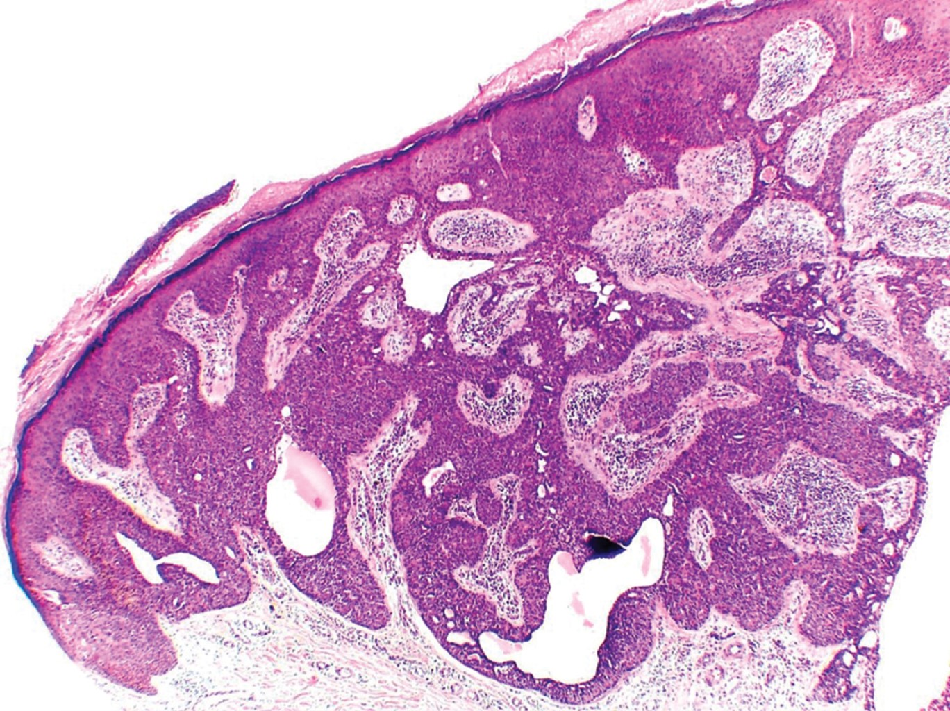
Con la sospecha clínica de probable poroma ecrino se realiza biopsia excisional. El estudio histopatológico reporta neoformación Exofítica, cuya epidermis muestra hiperqueratosis paraqueratósica (Figura 3). En todo el espesor de la dermis se observan cordones tumorales conectados con la epidermis, los cuales se anastomosan atrapando papilas (Figura 4); están constituidos por células de núcleos basofílicos, algunas de las cuales presentan núcleos grandes e hipercromáticos, mitosis anormales y metaplasia escamosa; presentan estructuras ductales y pigmento melánico, rodeados por una moderada reacción inflamatoria (Figuras 5 y 6). El diagnóstico histopatológico fue de porocarcinoma ecrino. En el Servicio de Dermatooncología de esta Unidad se efectúa extirpación quirúrgica más amplia, con margen de 7 cm, con reparación del defecto llevando a cabo un injerto, sin evidenciar lesión tumoral remanente en la histopatología. Al considerarse un tumor con alto potencial metastásico, se envía al paciente a hospital de tercer nivel para hacer estudios de extensión y seguimiento.



COMENTARIO

Ante lesiones dermatológicas ubicadas en las regiones ya señaladas, y con la imagen clínica mencionada, es necesario realizar una biopsia excisional, con el estudio histopatológico correspondiente para tener un diagnóstico lo más temprano posible, ya que se trata de un tumor con alto potencial metastásico.14

El caso motivo de esta publicación nos ejemplifica la evolución clínica de una lesión en una paciente con el antecedente de haber sido tratada por poroma ecrino previo, sin extirpación completa, cuya lesión derivó en la variante maligna de este tipo de tumor anexial. Debido al porcentaje de lesiones que degeneran en neoplasia maligna, se sugiere efectuar extirpación completa desde un inicio.


REFERENCIAS (EN ESTE ARTÍCULO)

  1. Pinkus H, Mehregan AH. Epidermotropic eccrine carcinoma. A case combining features of eccrine poroma and paget's dermatosis. Arch Dermatol. 1963; 88: 597-606

  2. Nazemi A, Higgins S, Swift R, In G, Miller K, Wysong A. Eccrine Porocarcinoma: new insights and a systematic review of the literature. Dermatol Surg. 2018; 44: 1247-1261.

  3. Salih AM, Kakamad FH, Baba HO, Salih RQ, Hawbash MR, Mohammed SH et al. Porocarcinoma; presentation and management, a meta-analysis of 453 cases. Ann Med Surg (Lond). 2017Jun;20:74-79.

  4. Valverde K, Senger C, Ngan BY, Chan HS. Eccrine porocarcinoma in a child that evolved rapidly from an eccrine poroma. Med Pediatr Oncol. 2001; 37: 412-414.

  5. Behbahani S, Malerba S, Karanfilian KM, Warren CJ, Alhatem A, Samie FH. Demographics and outcomes of eccrine porocarcinoma: results from the National Cancer Database. Br J Dermatol. 2020; 183: 161-163.

  6. Arslan E, Tatar C, Aksoy A, Tutuncu N. De novo malignant eccrine poroma of the nose: a review of the midface as a location. Plast Reconstr Surg. 2004; 113: 2227-2229.

  7. Robson A, Greene J, Ansari N, Kim B, Seed PT, McKee PH et al. Eccrine porocarcinoma (malignant eccrine poroma): a clinicopathologic study of 69 cases. Am J Surg Pathol. 2001; 25: 710-720.

  8. Harms PW, Hovelson DH, Cani AK, Omata K, Haller MJ, Wang ML et al. Porocarcinomas harbor recurrent HRAS-activating mutations and tumor suppressor inactivating mutations. Hum Pathol. 2016; 51: 25-31.

  9. Sawaya JL, Khachemoune A. Poroma: a review of eccrine, apocrine, and malignant forms. Int J Dermatol. 2014; 53: 1053-1061.

  10. Gu LH, Ichiki Y, Kitajima Y. Aberrant expression of p16 and RB protein in eccrine porocarcinoma. J Cutan Pathol. 2002; 29: 473-479.

  11. Le NS, Janik S, Liu DT, Grasl S, Faisal M, Pammer J et al. Eccrine porocarcinoma of the head and neck: meta-analysis of 120 cases. Head Neck. 2020; 42: 2644-2659.

  12. Edamitsu T, Minagawa A, Koga H, Uhara H, Okuyama R. Eccrine porocarcinoma shares dermoscopic characteristics with eccrine poroma: a report of three cases and review of the published work. J Dermatol. 2016; 43: 332-335.

  13. Gómez MZ, Medina M, Vélez V, Rodriguez P. Porocarcinoma ecrino: aspectos demográficos, clínicos, histopatológicos y terapéuticos en una serie de 7 pacientes. Actas Dermosifiliogr. 2017; 108: e27-e32.

  14. Calonje E, Brenn T, Lazar A, Mckee P. Tumors of the sweat glands. In: McKee's pathology of the skin with clinical correlations. 5th ed. Edinburgh: Elsevier Saunders, 2020; pp. 1569-1570.

  15. Barnhill RL, Crowson A, Magro CM. Piepkorn MW. Sweat Gland Tumors. 3th ed. Dermatopathology, 2010; pp. 738-739.

  16. Belin E, Ezzedine K, Stanislas S, Lalanne N, Beylot-Barry M, Taieb A et al. Factors in the surgical management of primary eccrine porocarcinoma: prognostic histological factors can guide the surgical procedure. Br J Dermatol. 2011; 165: 985-989.

  17. Delgado R, Kraus D, Coit DG, Busam KJ. Sentinel lymph node analysis in patients with sweat gland carcinoma. Cancer. 2003; 97: 2279-2284.

  18. González-López MA, Vázquez-López F, Soler T, Gómez-Diéz S, Hidalgo GY, Manjón JA et al. Metastatic eccrine porocarcinoma: a 5.6-year follow-up study of a patient treated with a combined therapeutic protocol. Dermatol Surg. 2003; 29: 1227-1232.



AFILIACIONES

1 Dermatóloga. Centro Dermatológico "Dr. Ladislao de la Pascua", SSCDMX.

2 Dermatóloga y Dermatopatóloga. Centro Dermatológico "Dr. Ladislao de la Pascua", SSCDMX.

3 Residente del tercer año de Dermatología. Centro Dermatológico "Dr. Ladislao de la Pascua", SSCDMX.

4 Residente del primer año de Dermatología. Centro Dermatológico "Dr. Ladislao de la Pascua", SSCDMX.



CORRESPONDENCIA

Dra. Laura Ortíz Lobato. E-mail: lobatolaura1@outlook.com


Figura 1
Figura 2
Figura 3
Figura 4
Figura 5
Figura 6

2020     |     www.medigraphic.com

Mi perfil

C?MO CITAR (Vancouver)

Rev Cent Dermatol Pascua. 2022;31

ARTíCULOS SIMILARES

CARGANDO ...