medigraphic.com
ENGLISH

Revista Mexicana de Cirugía Endoscópica

ISSN 1665-2576 (Impreso)
  • Mostrar índice
  • Números disponibles
  • Información
    • Información general        
    • Directorio
  • Publicar
    • Instrucciones para autores        
    • Envío de artículos
  • medigraphic.com
    • Inicio
    • Índice de revistas            
    • Registro / Acceso
  • Mi perfil

2022, Número 1-2

<< Anterior Siguiente >>

Rev Mex Cir Endoscop 2022; 23 (1-2)


Bazo accesorio intrapancreático: reporte de caso resuelto con pancreatectomía distal robótica

Pereyra-Talamantes, Armando1; Flores-Martín, Juan Eduardo2; Gallaga-Rojas, Marco Antonio1; Rodríguez-Silverio, Jesús Emmanuel1; González-Azua, Erikc3; Alonso-Calamaco, Mario Eduardo4; Jiménez-Chavarría, Enrique5; Noyola-Villalobos, Héctor F6
Texto completo Cómo citar este artículo 10.35366/108104

DOI

DOI: 10.35366/108104
URL: https://dx.doi.org/10.35366/108104
Artículos similares

Idioma: Español
Referencias bibliográficas: 17
Paginas: 41-45
Archivo PDF: 241.61 Kb.


PALABRAS CLAVE

bazo accesorio intrapancreático, tumor neuroendocrino pancreático no funcionante, pancreatomía distal robótica.

RESUMEN

Introducción: el bazo accesorio intrapancreático (BAIP) es una condición benigna difícil de diferenciar de los tumores neuroendocrinos pancreáticos no funcionantes (TNEP-Nf). No lograr diferenciarlos preoperatoriamente amerita cirugía. Presentación del caso: paciente femenino de 46 años con dolor abdominal crónico y con tumor de 1.9 cm reportado por tomografía, ubicado en la cola del páncreas, que se llevó a resección pancreática distal con preservación esplénica asistida por robot con éxito. Al año de seguimiento posoperatorio no presentó complicaciones ni insuficiencia endocrina ni exocrina. Se diagnosticó BAIP mediante el reporte de histopatología. Conclusiones: este caso describe el abordaje diagnóstico y terapéutico de una patología muy poco frecuente como el BAIP. No diferenciar un BAIP de un TNEP-Nf por estudios de imagen es indicativo de tratamiento quirúrgico para evitar progresión de tumores malignos.



INTRODUCCIóN

El bazo accesorio (BA) es una afección benigna en la que el tejido esplénico se encuentra fuera del bazo en otra parte del abdomen o la pelvis.1 Está presente en cerca de 12% de los pacientes en series de autopsias.2 Según un gran estudio en cadáveres que incluyó 311 en busca de bazos accesorios, 66.8% se encontró en el hilio esplénico seguido en frecuencia (17.3%) por aquellos dentro de la cola del páncreas.3 Los bazos accesorios por lo general no representan una amenaza clínica y, con las modalidades actuales de imágenes avanzadas, la cirugía generalmente se puede evitar. El único método de diagnóstico seguro es el muestreo directo de la lesión, ya sea por biopsia directa, biopsia guiada por imagen o aspiración con aguja fina guiada por endoscopía, de lo contrario no es posible diferenciar con seguridad el bazo accesorio intrapancreático (BAIP) del tumor neuroendocrino pancreático no funcionante (TNEP-Nf).1,4

Hace poco, algunas series han sugerido tomar la muestra de lesiones pancreáticas sospechosas mediante biopsia por aspiración con aguja fina guiada por ultrasonido endoscópico (BAAF-USE) para evitar potencialmente la cirugía.1 Cuando no se dispone de este recurso y se cumplen las indicaciones quirúrgicas, se justifica el tratamiento quirúrgico y la resección pancreática5-7 como en este reporte de caso.



PRESENTACIóN DEL CASO

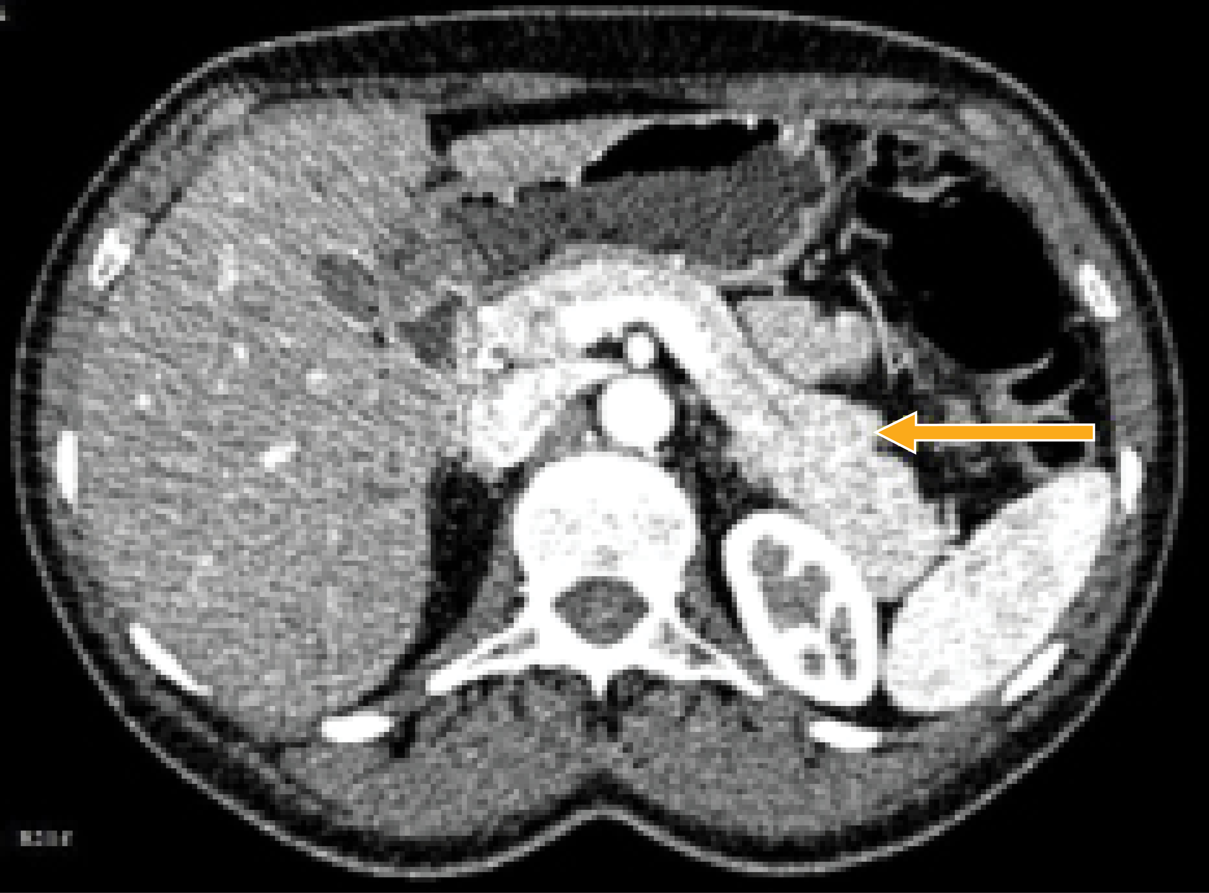
Paciente femenino de 46 años de edad, sin comorbilidades previas y con cesárea a los 23 años de edad como único antecedente quirúrgico. Acude a la consulta externa por cuadro de dolor abdominal crónico y mal localizado, irradiado a fosa renal izquierda, tratado como síndrome de intestino irritable (SII). Dado que no respondió al tratamiento médico estándar para el SII, se realizó tomografía computarizada (TC) simple de abdomen, en donde se observó aumento de tamaño de la cola del páncreas, por lo que se envió al Departamento de Oncología Quirúrgica de nuestro hospital. Para mayor caracterización, se llevaron a cabo varios estudios de sangre e imagen. Los análisis de sangre fueron normales, los niveles de insulina, gastrina y somatostatina también dentro de parámetros normales. Se efectuó tomografía dinámica de páncreas contrastada, donde se observó lesión en la cola del páncreas de 1.9 × 0.9 cm con importante realce del contraste arterial (266 UH) que se mantuvo durante toda la fase venosa (166 UH) y con un lavado tardío como hallazgos (Figura 1). El diagnóstico diferencial fue TNEP-Nf vs bazo accesorio. Dado que la biopsia percutánea no era factible, la endoscópica no estaba disponible y por su tamaño límite, se tomó la decisión de realizar pancreatectomía distal con preservación esplénica laparoscópica asistida por robot.



TéCNICA QUIRúRGICA

Bajo anestesia general, la paciente se acomodó en decúbito supino, con los brazos cerrados, se colocó una sonda urinaria. Se obtuvo neumoperitoneo con aguja de Veress en punto de Palmer. Se hizo incisión infraumbilical de 12 mm, al introducir un trocar laparoscópico bariátrico de 12 mm. Bajo visión directa, se introdujo trocar subxifoideo de 5 mm para la retracción hepática y gástrica, después se instalaron tres puertos robóticos de 8 mm y un puerto auxiliar de 12 mm en el abdomen como se muestra en la Figura 2.

El carro robótico (Da Vinci Si, Intuitive Surgical, Sunnyvale, CA.) se puso en la cabeza del paciente y se llevó a cabo acoplamiento cefálico. Se utilizó disposición de tres brazos como se observa en la Figura 2. El ligamento gastrocólico se seccionó con bisturí ultrasónico y el estómago se retrajo cefálicamente. Se observó lesión subcapsular de alrededor de 2 cm en la cola del páncreas. Mediante sonda de ultrasonido laparoscópico se inspeccionó el páncreas y no se observaron lesiones satélites ni secundarias en la glándula. Con manipulación cuidadosa y disección de los tejidos se creó una ventana retropancreática justo lateral a los vasos mesentéricos, el páncreas se dividió con una engrapadora lineal cortante con cartucho blanco (vascular) de 60 mm, introducida a través del trocar del asistente, la arteria esplénica se disecó mediante bisturí ultrasónico y clips plásticos de polímero vasculares. Debido a su anatomía parcialmente intrapancreática, no fue posible liberar y disecar la vena esplénica del páncreas, por lo que tuvo que ser seccionada con otro cartucho vascular. Para concluir, se resecó la cola pancreática incluyendo la lesión (Figura 3). Se conservó adecuado drenaje venoso del bazo en todos los vasos gastroesplénicos. Se colocó drenaje cerrado cerca del sitio de la sección pancreática. El tiempo de acoplamiento fue de 23 minutos y el de la consola fue de 163 minutos. La pérdida sanguínea se calculó en 200 mL. No se requirieron hemotransfusiones.



RESULTADOS

La paciente se recuperó sin eventualidades, comenzó dieta con líquidos claros a la mañana siguiente y se egresó al cuarto día posoperatorio. No se documentó fístula pancreática ni alguna otra complicación.

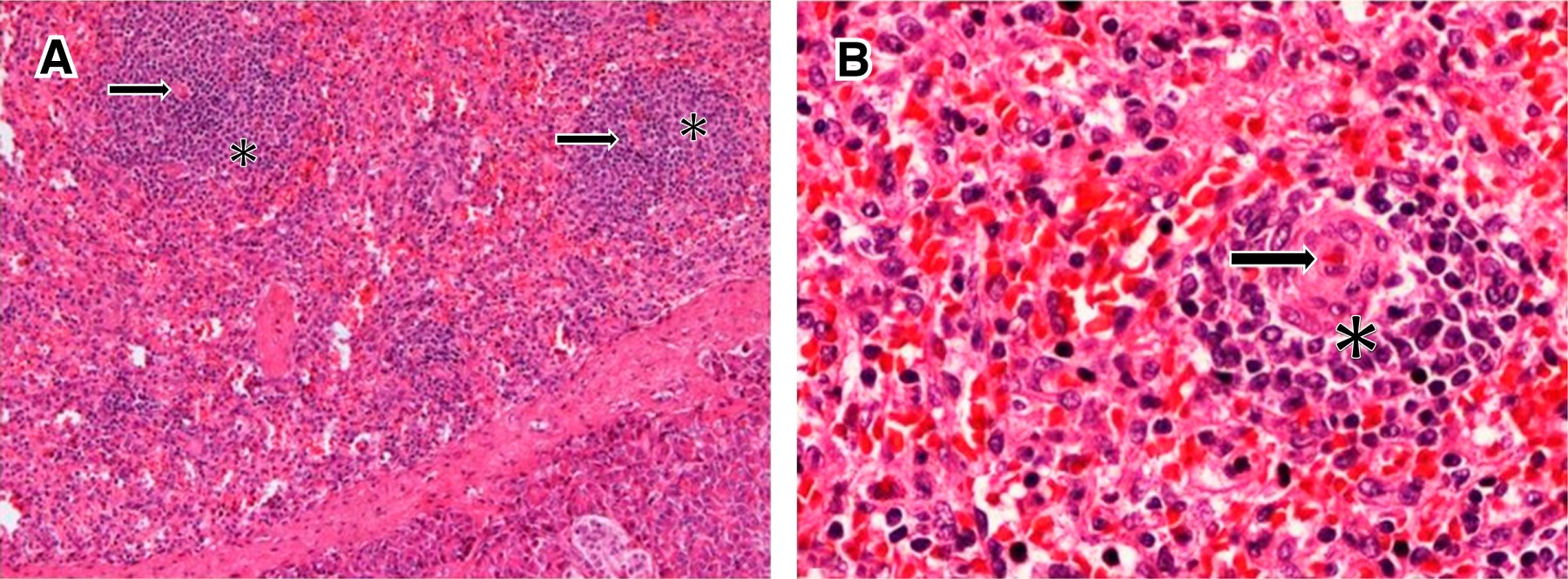
El análisis histopatológico de la pieza quirúrgica (Figura 4) mostró la presencia de acúmulos de tejido linfoide que rodeaban una arteria central, éstos estaban interpuestos con una red compleja de senos venosos característicos del tejido esplénico (Figura 5A y B) por lo que el diagnóstico fue de BAIP. A la paciente se le ha dado seguimiento por un año y ha permanecido sin tratamiento adicional, sin síntomas de insuficiencia endocrina o exocrina y sus síntomas abdominales disminuyeron considerablemente.



DISCUSIóN

Los tumores neuroendocrinos pancreáticos (TNEP) son un grupo de tumores endócrinos que surgen en el páncreas. Los hay funcionantes (insulinoma, gastrinoma, vipoma, glucagonoma, entre otros) caracterizados por un síndrome de exceso hormonal, y no funcionantes. Estos últimos comprenden el grupo más numeroso de los TNEP y no producen el síndrome clásico de exceso hormonal; más bien, causan morbilidad y mortalidad al invadir el tejido normal y provocar metástasis.5,6

Los TNEP-Nf tienen un potencial maligno moderado y, cuando lo son, desarrollan un comportamiento agresivo local y potencial de metástasis regionales y a distancia, por lo que las tendencias recientes dictan un enfoque terapéutico agresivo: cirugía y, cuando sea necesario, terapia locorregional, terapia sistémica y control de las complicaciones.7

Como ya se mencionó, el tejido esplénico ectópico no es un hallazgo infrecuente, varía de 12 a 25% en series de autopsias,2,3 el hilio esplénico es el sitio más común, y el segundo sitio anatómico está adyacente o en la cola del páncreas.3 No está claro cuántos de estos acúmulos de tejido son en realidad intrapancreáticos, también conocidos como bazo accesorio intrapancreático (BAIP).

El BAIP es un desafío clínico; si bien los bazos accesorios no tienen potencial maligno, su apariencia en la tomografía computarizada como masas hipervasculares plantea preocupación por el potencial de malignidad y a menudo no se distingue, como los tumores neuroendocrinos u otros tumores hipervasculares.8 Desafortunadamente, existen recomendaciones contradictorias en cuanto a la conducta clínica a seguir cuando un BAIP y un TNEP-Nf no se pueden diferenciar, la mayoría de las recomendaciones médicas son obtener una biopsia o proceder a la cirugía, y las guías actuales sobre diagnóstico y manejo de los TNEP no proponen algún flujograma para una correcta toma de decisiones cuando existe incertidumbre diagnóstica sobre estos dos.2,5,9

Los TNEP-Nf comprenden 1 a 2% de todos los tumores pancreáticos,2 lo que los convierte en una entidad rara, por lo tanto, la mejor práctica está dictada por grados de evidencia regular y bajos, y principalmente por guías de consenso de expertos.

El tratamiento quirúrgico de los TNEP o la resección pancreática formal no está exenta de riesgos, morbilidad y mortalidad significativas: las complicaciones oscilan entre 40 y 50% y la mortalidad alrededor de 5% en los centros quirúrgicos pancreáticos de alto volumen.10-13 Además de la morbilidad quirúrgica, las pancreatectomías distales o grandes resecciones del parénquima pancreático se asocian con alta incidencia de insuficiencia pancreática endocrina y exocrina, oscilando la primera de 10 a 24% después de una pancreatoduodenectomía y de 8 a 60% tras una pancreatectomía distal, y la segunda de 30 a 60% tras una pancreatoduodenectomía y de 0 a 40% tras una pancreatectomía distal.14

En la actualidad, la evidencia y las mejores recomendaciones indican que los TNEP funcionales (TNEP-f) menores a 2 cm, deben someterse a resección local del tumor, lo que se asocia con alta incidencia de fístulas pancreáticas, y a resección pancreática formal en tumores mayores a 2 cm. En cuanto a los TNEP-Nf, los tumores menores a 2 cm podrían mantenerse bajo observación y los mayores a 2 cm deberían tratarse con resección pancreática.9,15,16

Algunos autores se inclinan por el uso de la aspiración con aguja fina guiada por ultrasonido endoscópico (BAAF-USE) como abordaje diagnóstico de aquellas lesiones que no se pueden diferenciar entre BAIP y TNEP-Nf para evitar cirugías innecesarias si se diagnostica un BAIP. Renno A et al.1 realizaron una revisión sistemática de todos los casos reportados en la literatura donde se diagnosticó BAIP con BAAF-USE e inmunotinción, cromogranina A, sinaptofisina y estudio histopatológico estándar, y se descartó neoplasia. Tras el análisis y comparación con biopsias positivas para neoplasias, establecieron que la biopsia BAAF-USE tenía sensibilidad de 90.8% y especificidad de 96.5% para el diagnóstico certero de lesiones pancreáticas sólidas. La mayoría de los autores están de acuerdo en que la BAAF-USE debe ofrecerse cuando exista duda en el diagnóstico por imágenes de estas lesiones para evitar un procedimiento quirúrgico a los pacientes con lesiones benignas y la morbilidad que éste conlleva.17

En nuestro caso, la BAAF-USE no estaba disponible en nuestro centro y, debido al tamaño límite, la ubicación, las características de la imagen y los síntomas abdominales crónicos, se decidió hacer la cirugía. No hubo complicaciones perioperatorias y al año de seguimiento la paciente no había desarrollado insuficiencia endocrina ni exocrina. En retrospectiva, una biopsia preoperatoria podría haber evitado la cirugía y la morbilidad inherente, pero como el recurso no estaba a nuestro alcance se determinó efectuar el tratamiento quirúrgico.



CONCLUSIONES

Como resultado, debido a su baja incidencia, no hay pruebas sólidas sobre el diagnóstico y el tratamiento de los TNEP-Nf, aparte de grados de evidencia moderados a bajos, y la opinión de expertos exige la mejor práctica médica. Diferenciar los TNEP-Nf de los BAIP sin biopsia puede resultar difícil o imposible, lo que trae consigo cirugías innecesarias, o lo contrario, progresión a tumores malignos.

La evidencia en BAAF-USE de tumores sólidos de páncreas > 2 cm sugiere que, cuando existe incertidumbre diagnóstica por imagen, se debe ofrecer este método si está disponible. Cuando no existen los recursos para un diagnóstico certero, la pancreatectomía distal por robot ofrece una opción viable para resecar y corroborar la etiología de estos tumores poco frecuentes.


REFERENCIAS (EN ESTE ARTÍCULO)

  1. Renno A, Hill M, Abdel-Aziz Y et al Diagnosis of intrapancreatic accessory spleen by endoscopic ultrasound-guided fine-needle aspiration mimicking a pancreatic neoplasm: a case report and review of literature. Clin J Gastroenterol. 2020; 13: 287-297. doi: 10.1007/s12328-019-01045-y.

  2. Bhutiani N, Egger ME, Doughtie CA et al. Intrapancreatic accessory spleen (IPAS): a single-institution experience and review of the literature. Am J Surg. 2017; 213: 816-820.

  3. Halpert B, Gyorkey F. Lesions observed in accessory spleens of 311 patients. Am J Clin Pathol. 1959; 32: 165-168.

  4. Arkadopoulos N, Athanasopoulos P, Stafyla V et al. Intrapancreatic accessory spleen issues: diagnostic and therapeutic challenges. JOP. 2009; 10: 400-405.

  5. Massironi S, Sciola V, Peracchi M et al. Neuroendocrine tumors of the gastro-entero-pancreatic system. World J Gastroenterol. 2008; 14: 5377-5384.

  6. Ehehalt F, Saeger HD, Schmidt CM Neuroendocrine tumors of the pancreas. Oncologist. 2009; 14: 456-467.

  7. Ro C, Chai W, Yu VE, Yu R. Pancreatic neuroendocrine tumors: biology, diagnosis, and treatment. Chin J Cancer. 2013; 32: 312-324.

  8. Guo W, Han W, Liu J et al. Intrapancreatic accessory spleen: a case report and review of literature. World J Gastroenterol. 2009; 15: 1141-1143.

  9. Falconi M, Eriksson B, Kaltsas G et al. Consensus guidelines for the management of functional p-NETs (F-p-NETs) and non-functional p-NETs (NF-p-NETs). Neuroendocrinology. 2016; 103: 153-171.

  10. Partelli S, Maurizi A, Tamburrino D et al. Surgical management of pancreatic neuroendocrine neoplasms. Ann Saudi Med. 2014; 34: 1-5.

  11. Büchler MW, Wagner M, Schmied BM et al. Changes in morbidity after pancreatic resection: toward the end of completion pancreatectomy. Arch Surg. 2003; 138: 1310-1314.

  12. Yeo CJ, Cameron JL, Sohn TA et al. Six hundred fifty consecutive pancreaticoduodenectomies in the 1990s: pathology, complications and outcomes. Ann Surg. 1997; 226: 248-257.

  13. Cameron JL, He J. Two thousand consecutive pancreaticoduodenectomies. J Am Coll Surg. 2015; 220: 530-536. Available in: https://doi.org/10.1016/j.jamcollsurg.2014.12.031

  14. Smith JK, Ng SC, Hill JS et al. Complications after pancreatectomy for neuroendocrine tumors: a national study. J Surg Res. 2010; 163: 63-68.

  15. Kunz PL, Reidy-Lagunes D, Anthony LB, Bertino EM, Brendtro JA. Consensus guidelines for the management and treatment of neuroendocrine tumors. Pancreas. 2013; 42: 557-567.

  16. Singh S, Dey C, Kennecke H et al. Consensus recommendations for the diagnosis and management of pancreatic neuroendocrine tumors: guidelines from a Canadian national expert group. Ann Surg Oncol. 2015; 22: 2685-2699.

  17. Nakai Y, Takahara N, Mizuno S, Kogure H, Koike K. Current status of endoscopic ultrasound techniques for pancreatic neoplasms. Clin Endosc. 2019; 52: 527-532.



AFILIACIONES

1 Servicio de Cirugía Bariátrica, Hospital Central Militar, Ciudad de México.

2 Cirugía General, Instituto Mexicano del Seguro Social, Estado de México.

3 Departamento de Cirugía General, Hospital Central Militar, Ciudad de México.

4 Departamento de Cirugía Oncológica, Hospital Central Militar, Ciudad de México.

5 Director del Hospital Militar Regional, Irapuato, Guanajuato.

6 Director del Hospital Militar Regional de Acapulco, Guerrero.



CORRESPONDENCIA

Armando Pereyra-Talamantes. E-mail: drpereyratalamantes@hotmail.com




Recibido: 29/03/2022. Aceptado: 27/04/2022.

Figura 1
Figura 2
Figura 3
Figura 4
Figura 5

2020     |     www.medigraphic.com

Mi perfil

C?MO CITAR (Vancouver)

Rev Mex Cir Endoscop. 2022;23

ARTíCULOS SIMILARES

CARGANDO ...