medigraphic.com
ENGLISH

Revista Mexicana de Cirugía Endoscópica

ISSN 1665-2576 (Impreso)
  • Mostrar índice
  • Números disponibles
  • Información
    • Información general        
    • Directorio
  • Publicar
    • Instrucciones para autores        
    • Envío de artículos
  • medigraphic.com
    • Inicio
    • Índice de revistas            
    • Registro / Acceso
  • Mi perfil

2022, Número 1-2

<< Anterior Siguiente >>

Rev Mex Cir Endoscop 2022; 23 (1-2)


Vólvulo gástrico: presentación de caso clínico resuelto por laparoscopía

Maldonado-García, Edwin Leopoldo1; Álvarez-Barragán, Ana Fernanda2; Torres-Castillo, Karla Suhei3; Román-Sandoval, José de Jesús4; Galicia-Alemán, Brenda2
Texto completo Cómo citar este artículo 10.35366/108103

DOI

DOI: 10.35366/108103
URL: https://dx.doi.org/10.35366/108103
Artículos similares

Idioma: Español
Referencias bibliográficas: 10
Paginas: 37-40
Archivo PDF: 206.65 Kb.


PALABRAS CLAVE

vólvulo gástrico, funduplicatura, gastropexia, plastia hiatal.

RESUMEN

Introducción: el vólvulo gástrico se define como una rotación anormal del estómago mayor de 180o sobre su propio eje y es una patología muy poco frecuente. El caso que se presenta ilustra el alto índice de sospecha que se requiere para el diagnóstico oportuno y describe una de las posibles formas de tratarlo por vía laparoscópica. Presentación de caso: paciente femenino de 49 años de edad con un mes de evolución de dolor abdominal epigástrico que irradiaba a tórax y en hemicinturón derecho que presentó dolor de súbito de alta intensidad en región epigástrica, náusea y vómito. Se estableció el diagnóstico de vólvulo gástrico por los hallazgos tomográficos y se resolvió por medio de plastia hiatal y gastropexia anterior por laparoscopía con buenos resultados. Conclusión: no existe un consenso actual para el tratamiento quirúrgico del vólvulo gástrico, pero este caso demuestra que la resolución laparoscópica con plastia hiatal y gastropexia anterior es una opción que puede ofrecer buenos resultados.



INTRODUCCIóN

El vólvulo gástrico (VG) (del latín volvere: vuelta) se define como rotación anormal del estómago mayor de 180o sobre su propio eje y es una patología muy poco frecuente. El cuadro clínico se caracteriza por la tríada de Borchardt: dolor epigástrico súbito con distención abdominal, náusea sin vómito e incapacidad de introducir correctamente la sonda nasogástrica.1



PRESENTACIóN DEL CASO

Paciente femenino de 49 años con antecedentes de apendicectomía, cesárea e histerectomía y cuadro clínico de un mes de evolución con dolor abdominal epigástrico que irradiaba a tórax y en hemicinturón derecho, así como náusea. Acudió al servicio de urgencias por dolor de inicio súbito en región epigástrica con 9/10 en escala del dolor, acompañado de náusea y vómito. Tensión arterial 117/75 mmHg, frecuencia cardiaca 75 lpm, frecuencia respiratoria 21 rpm, saturación O2 93% e índice de masa corporal de 31.5 kg/m2. A la exploración física se encontró con facies álgica, posición antiálgica en decúbito lateral izquierdo, el abdomen blando, depresible, con dolor a la palpación media en epigastrio y marco cólico derecho, timpanismo aumentado a la percusión, con peristalsis presente y signo de Blumberg negativo.

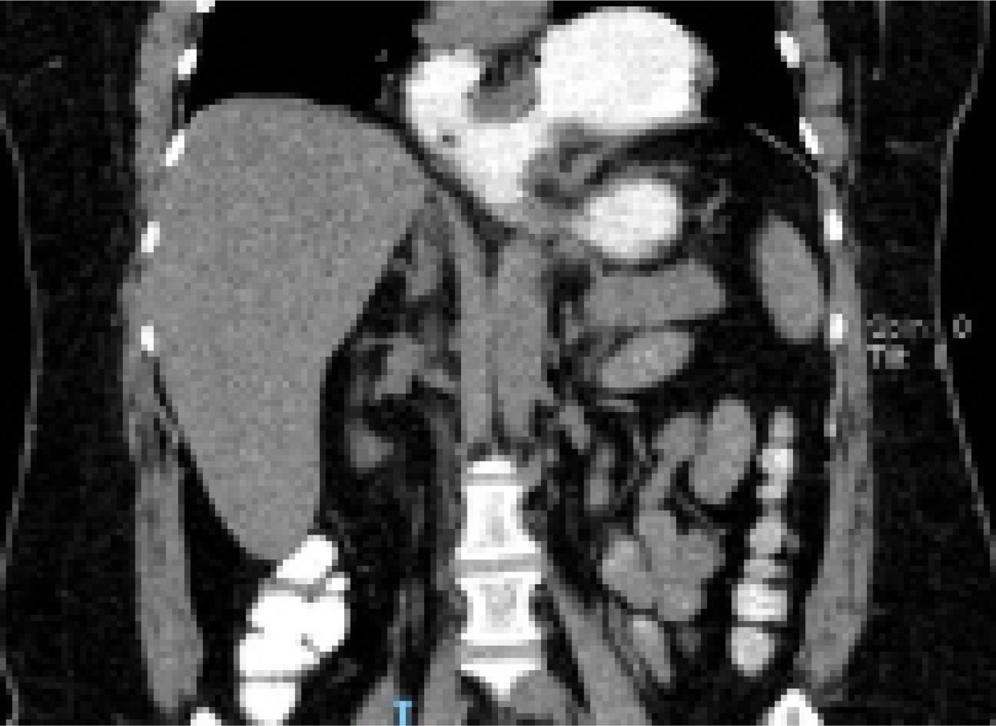
Los exámenes de laboratorio generales no mostraron alteraciones relevantes, pero ante la persistencia de dolor se solicitó tomografía axial computarizada (TAC) contrastada (Figura 1), que mostró evidencia de hernia hiatal mixta (por deslizamiento y paraesofágica) que desplazaba la silueta cardiaca y condicionaba atelectasias pasivas secundarias del parénquima de los segmentos basales adyacentes.

Posteriormente se realizó gastroscopía (Figura 2), teniendo como hallazgos hernia hiatal tipo III y vólvulo gástrico sin compromiso vascular aparente. Presentó incapacidad de colocación de la sonda nasogástrica (SNG) y se le indicó ayuno, solución Hartmann, protector de mucosa gástrica, antiemético y analgésicos intravenosos. Fue valorada por parte de cirugía y se programó para laparoscopía diagnóstica y resolución quirúrgica del vólvulo.

Técnica quirúrgica: bajo anestesia general se efectuó laparoscopía diagnóstica con colocación de cuatro puertos, separador de Nathanson, se encontró cuerpo de estómago por arriba del hiato, se procedió a la reducción del estómago del fondo gástrico y desvolvulación, se cerraron los pilares diafragmáticos con sutura prolene 2-0 llevando a cabo funduplicatura parcial tipo Toupet con calibración por endoscopía transoperatoria de 60 French con dos puntos para fijación del labio derecho de la funduplicatura y un punto del labio izquierdo hacia los pilares, se corroboró la confección de la funduplicatura con endoscopía, además de gastropexia a la pared abdominal anterior con sutura prolene 2-0. No hubo complicaciones (Figuras 3 y 4) y se finalizó evento quirúrgico. El posoperatorio inmediato fue en cuidados intermedios para vigilancia por riesgo de complicaciones.

Durante su primer día posquirúrgico la paciente se encontraba sin dolor ni náusea, con buen estado general, se inició dieta con líquidos claros a las 48 horas del posoperatorio, toleró la vía oral de manera adecuada con la progresión de la dieta, se mantuvo afebril, sin dolor y sin datos de complicaciones. Debido a la evolución favorable, egresó a domicilio al cuarto día de posoperatorio. Se dio seguimiento en consulta externa posterior a los siete días de su alta hospitalaria, la paciente no presentó ningún síntoma posoperatorio, la endoscopía de control indicada a las cuatro semanas de su egreso se mostró sin datos sugestivos de alteración de procedimiento quirúrgico.



DISCUSIóN

El VG es una condición poco frecuente que se define como rotación anormal del estómago mayor de 180o sobre su propio eje,1 inicialmente fue descrito por Berti en 1866.2 El diagnóstico temprano es de principal importancia debido al alto riesgo de morbimortalidad por las complicaciones potenciales que puede presentar, suele requerir tratamiento quirúrgico urgente.3 El cuadro clínico se caracteriza por la tríada de Borchardt: dolor epigástrico súbito con distensión abdominal, náusea sin vómito e incapacidad de introducir de forma correcta la sonda nasogástrica.4 En la radiografía simple de abdomen se observa el estómago distendido con niveles hidroaéreos y diafragma elevado. En la actualidad una tomografía computarizada es el estudio con mayor sensibilidad y especificidad, ya que es útil para identificar posición de píloro y cardias, determinar el tipo de VG según su eje de torsión y la relación que existe entre las curvaturas.5

En la revisión realizada por Villela CE et al se obtuvo que el VG mesenteroaxial fue el más frecuente con 51.1% de los casos presentados, y se demuestra que el tratamiento quirúrgico fue el pilar terapéutico en 90.7% de los pacientes, en el VG agudo con diagnóstico y terapia oportunos la mortalidad es de 15-25% y en casos de diagnóstico tardío o complicaciones se reporta una tasa de 30-50%.6 El método de elección es quirúrgico, los objetivos principales de la cirugía son la reducción del vólvulo, la prevención de la recurrencia y la reparación de los factores predisponentes como los defectos diafragmáticos.

Algunas de las complicaciones presentadas por retraso del diagnóstico y tratamiento son ulceración, perforación, hemorragia, necrosis pancreática y avulsión omental, en raras ocasiones la rotación gástrica puede causar la ruptura de los vasos esplénicos, lo que resulta en hemorragia y ruptura esplénica;4,7 70-80% de los VG son secundarios y se ven en pacientes mayores de 50 años, asociados con factores predisponentes como alteraciones anatómicas del diafragma, parálisis del nervio frénico o cifoescoliosis.4 La paciente que presentamos era menor de 50 años y sin factores de riesgo, por lo cual al inicio fue difícil sospechar el diagnóstico. El estómago normalmente se apoya de manera principal en la unión gastroesofágica y el píloro, además de estar fijado a la cavidad peritoneal por cuatro ligamentos (gastrohepático, gastroesplénico, gastrofrénico y gastrocólico), de tal manera que para que se produzca un VG primario, alguno de los anteriores debe encontrarse ausente o en caso de los ligamentos ser anormalmente laxos.8,9 Con mayor frecuencia se debe a defectos diafragmáticos congénitos o adquiridos, como eventración o hernia hiatal paraesofágica que en nuestros días es la más común.9,10

Existen distintos tipos de VG, la clasificación utilizada es la de Singleton (Tabla 1). El diagnóstico suele ser difícil por la poca sospecha clínica, puede ir desde un hallazgo radiológico incidental hasta situaciones urgentes. En el examen con rayos X se puede detectar la dilatación gástrica con escasez de gas en la parte restante del intestino. Si el VG es en la forma mesentérico axial la sombra gástrica muestra doble nivel de aire y fluido en bipedestación, mientras que, en el órgano axial, el estómago se coloca más horizontal con un nivel de fluido único. La serie gastrointestinal superior se considera más específica que la radiografía, pues revela obstrucción del estómago en el sitio del vólvulo y su distensión a nivel del diafragma.4,10 En este caso la presentación clínica no fue clásica, ya que la paciente presentaba arcadas con vómito de contenido gástrico, por lo que se solicitó una TAC con contraste vía oral que confirmó el diagnóstico y la condición asociada de hernia paraesofágica.

Una fase aguda de un vólvulo debe tratarse con intervención quirúrgica urgente debido al compromiso vascular, el manejo inicial debe ser con descompresión con sonda nasogástrica (SNG), seguida de cirugía para comprobar viabilidad gástrica, resecar si hay necrosis y ejecutar tratamiento quirúrgico definitivo: reducción de la rotación, gastrostomía, gastropexia y reparación de los defectos predisponentes. La cirugía mínimamente invasiva, como es el caso de la cirugía laparoscópica, ha demostrado una tasa baja de complicaciones, sangrado y estancia hospitalaria.10 La paciente se consideró apta para el procedimiento laparoscópico, por lo que ese fue el tratamiento quirúrgico efectuado. Debido a la baja incidencia de esta patología, es esencial reconocer el cuadro clínico y hacer el diagnóstico de manera precoz. La cirugía endoscópica del hiato y estómago permite resolver casos de alta complejidad con disminución de la morbilidad perioperatoria. Es necesario el entrenamiento del cirujano en cirugía de hiato para hacer frente a este tipo de patología infrecuente.



CONCLUSIONES

A pesar de que el vólvulo gástrico es una entidad poco frecuente, el diagnóstico clínico y por imagen de manera oportuna permiten resolver este tipo de urgencia ocasionando menor morbilidad con ayuda de la cirugía endoscópica.



AGRADECIMIENTOS

A la Beneficencia Española de La Laguna.


REFERENCIAS (EN ESTE ARTÍCULO)

  1. Takahashi T, Yamoto M, Nomura A, Ooyama K, Sekioka A, Yamada Y et al. Single-incision laparoscopic gastropexy for mesentero-axial gastric volvulus. Surg Case Rep. 2019; 5: 19.

  2. Akhtar A, Siddiqui FS, Sheikh AAE, Sheikh AB, Perisetti A. Gastric volvulus: a rare entity case report and literature review. Cureus. 2018; 10: e2312.

  3. Caldaro T, Torroni F, Romeo E, Federici di Abriola G, Dall'Oglio L. Gastric volvulus. In: Till H, Thompson M, Foker J, Holcomb G, Khan K. Esophageal and gastric disorders in infancy and childhood. Berlin, Heidelberg: Springer; 2017. Vol. 1. pp. 1355-1360.

  4. Rashid F, Thangarajah T, Mulvey D, Larvin M, Iftikhar SY. A review article on gastric volvulus: a challenge to diagnosis and management. Int J Surg. 2010; 8: 18-24.

  5. Ibáñez Sanz L, Borruel Nacenta S, Cano Alonso R, Díez Martínez P, Navallas Irujo M. Vólvulos del tracto gastrointestinal. Diagnóstico y correlación entre radiología simple y tomografía computarizada multidetector. Radiología. 2020; 57: 35-43.

  6. Villela-Cañas E, Carrillo-Gorena MJ, Soto-Pérez A, Aguirre-Baca DA, Enríquez-Sánchez LB, Padilla-López JG et al. Vólvulo gástrico: reporte de caso en el Hospital Central Universitario del Estado de Chihuahua. Cir Gen. 2020; 42: 306-310.

  7. Cardile AP, Heppner DS. Gastric volvulus, Borchardt's triad, and endoscopy: a rare twist. Hawaii Med J. 2011; 70: 80-82.

  8. al-Salem AH. Intrathoracic gastric volvulus in infancy. Pediatr Radiol. 2000; 30: 842-845.

  9. Lee NK, Kim S, Jeon TY, Kim HS, Kim DH, Seo HI et al. Complications of congenital and developmental abnormalities of the gastrointestinal tract in adolescents and adults: evaluation with multimodality imaging. Radiographics. 2010; 30: 1489-1507.

  10. Krim AO, Andronikou S, Rubin G. Predisposing factors for developing gastric volvulus and the role of imaging. S Afr J Surg. 2012; 50: 131-133.



AFILIACIONES

1 Cirugía General y Endoscópica. Beneficencia Española de La Laguna. Coahuila, México.

2 Departamento de Cirugía General. Beneficencia Española de La Laguna. Coahuila, México.

3 Gastroenterología y Endoscopía. Beneficencia Española de La Laguna. Coahuila, México.

4 Medicina Crítica. Beneficencia Española de La Laguna. Coahuila, México.



CORRESPONDENCIA

Edwin Leopoldo Maldonado-García. E-mail: edwinlmg@gmail.com




Recibido: 27/04/2022. Aceptado: 10/08/2022.

Figura 1
Figura 2
Figura 3
Figura 4
Tabla 1

2020     |     www.medigraphic.com

Mi perfil

C?MO CITAR (Vancouver)

Rev Mex Cir Endoscop. 2022;23

ARTíCULOS SIMILARES

CARGANDO ...